Disease Affecting
Tubules & Interstitium
Presented By
Prof. Dr.
Nabil Tadros Mikhail
MBBS, MS Pathol., PhD Pathol.
Prof. of Pathology
Alexandria University - Egypt
Consultant & Chief Pathologist
King Fahad Central Hospital
Gizan - KSA
 Most of tubular injury also involve the

interstitium.
 It could be



Inflammatory as interstitial nephritis
Ischemic
as acute tubular necrosis
1

2

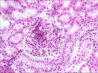
Portal circulation of the kidney 2 arterial capillaries
Ares of collecting tubules and loops of Henley's
(I- Tubulo-Interstitial Nephritis (TIN
 A group of inflammatory diseases

affected the interstitium and tubules.
 The glomeruli may be spared
altogether or affected only late in the
course of disease.
(I- Tubulo-Interstitial Nephritis (TIN
 Most of TIN caused by infection
 Renal pelvis is also affected and hence

the name pyelonephritis.
 The term interstitial nephritis is reserved
for cases of non infectious origin as
(drugs, hypokalemia,..(
Acute pyelonephritis-1
 It is a common suppurative inflammation

of the kidney and renal pelvis caused by
bacterial infections.
 The causative organism is most
commonly E coli.
 Other organisms could be involved as
proteus , klebsiella ,pseudomonas, ..
Acute pyelonephritis
 Routes of infection:

Two routes are recognized
 1- Ascending infection: this is the most
common route. Ascending infection
occur from the lower urinary tract
 2- hematogenous route; infection occur
through blood stream.
Predisposing factors
 1- Urinary obstruction: It result in stasis

which facilitate bacterial growth.
 2- Vesicoureteral reflux (VUR(; It can be
congenital or acquired. Incompetence of
vesicoureteral orifice allows bacteria to
ascend the ureter into pelvis.
 3- Instrumentation; as catheterization.
Predisposing factors
 4- pregnancy: 6% of pregnant has

bacteriuria during pregnancy
 5- diabetes mellitus: increases the risk of
pyelonephritis
 6- Sex: common in females due to short
urethra
 7-Immunosuppression and deficiency.
Morphology Of
Acute Pyelonephritis
 One or both kidney may be involved.
 Affected kidney may be slightly

enlarged.
 Characteristically discrete yellowish
raised abscesses are apparent on
renal surface.
Morphology Of
Acute Pyelonephritis
Microscopically:

 Suppurative necrosis or abscess

formation within renal parenchyma.
 Large masses of neutrophils extend
within the nephron into collecting
tubules, giving rise to white cell
casts in urine .
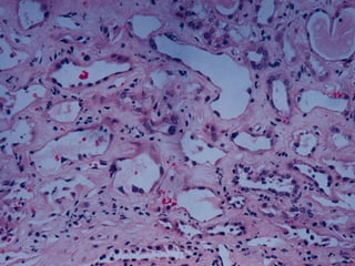
Abscess formation within renal parenchyma
Large masses of neutrophils extend within the nephron into collecting tubules
Morphology Of
Acute Pyelonephritis
Microscopically:

 Typically the glomeruli are spared

and resist infection.
 If obstruction is complete
suppurative exudate may be unable
to drain and fill renal pelvis
(pyonephrosis)
Morphology Of
Acute Pyelonephritis
 A second infrequent form of pyelonephritis

is necrotizing papillitis.
 In which there is necrosis of renal papillae
(at the tip of renal pyramids).
Necrotizing papillitis
Morphology Of
Acute Pyelonephritis
 Necrotizing Papillitis.
 There is sharp grey white to yellow necrosis

of papillae.
 It is seen more commonly in diabetes
mellitus who develop acute pyelonephritis.
This is an ascending bacterial infection leading to acute pyelonephritis.
Numerous PMN's are seen filling renal tubules across the center

and right of this picture
At high magnification, many neutrophils are seen in the tubules and interstitium
in a case of acute pyelonephritis
Clinical Picture
 Onset is sudden with pain at costo-renal

angle.
 Fever, rigors and malaise.
 Urine analysis :
Pyuria,.
WBCs

casts,
Positive urine culture.
Clinical Picture ..
 The disease tend to be benign and self

limited.
 Repeated attacks may lead to chronicity
(chronic pyelonephritis).
 Those with necrotizing papillitis may be
associated with acute renal failure and
poor prognosis.
Chronic Pyelonephritis
 Chronic pyelonephritis is defined as

interstitial inflammation and scarring
of renal parenchyma with deformity
of pelvicalyceal system.
 Chronic pyelonephritis is an
important cause of chronic renal
failure.
 Two forms are found:
Chronic Pyelonephritis
 1- chronic obstructive pyelonephritis:
 Associated with urinary obstruction.
 Recurrent infection is

superimposed on obstructive lesion
leading to chronic pyelonephritis.
 The disease may be
Bilateral (urethral obstruction) or
 Unilateral (calculi in ureter).

Chronic Pyelonephritis
 2- Chronic reflux associated

pyelonephritis:
 It is also called reflux nephropathy.
 It result from repeated infection on those
with vesicoureteral reflux.
 It may be unilateral or bilateral involve
both kidneys and lead to CRF.
Morphology
 Macroscopically:
 one or both kidney may be involved.
 In bilateral involvement ,the kidneys are

not equally contracted with uneven
scarring.
 Scars involve renal pelvis and calyces
resulting in blunted and deformed
calyces
Morphology
 Microscopically; is non specific.
 Uneven interstitial fibrosis and inflammatory

infiltrates of lymphocytes and plasma cells.
 Tubules are either contracted or dilated and
lined atrophic epithelium and contain colloid
casts (resemble thyroid).
 Glomeruli is usually normal except late
when glomerulosclerosis occur.
 The large collection of chronic inflammatory cells here is in a patient

with a history of multiple recurrent urinary tract infections.
 This is chronic pyelonephritis
 Both lymphocytes and plasma cells are seen at high magnification in

this case of chronic pyelonephritis
Clinical Picture
 May be asymptomatic and discovered late.
 Hypertension may be found.
 Bacteriuria is not always found.
 Bilateral disease affect tubules mainly with

loss of concentrating ability leading to
polyuria and nocturia.
 Late stages glomeruli is affected and CRF
occur
Drug-Induced
Interstitial Nephritis
 1- Acute drug induced interstitial

nephritis;
 It occur due to adverse reaction to
many drugs as
 Penicillin,
 Rifampicin,
 Phenylbutazone
 others,..

and
Drug-induced
Interstitial Nephritis
 1- Acute drug induced interstitial nephritis;
 The disease begins 15 days after exposure

to drugs and characterized by






Fever,
Eosinophilia,
Rash
Hematuria.
Acute renal failure and oliguria may develop in
50% of cases.
…Acute drug induced
 Pathogenesis:
 Both type I (IgE mediated)

and type IV (cell mediated)
hypersensitivity are found.
 The drug act as hapten and become
bound to extracellular components of
tubular cells and become immunogenic.
…Acute drug induced
 Morphology:
 the interstitium is infiltrated by

eosinophils in large amount and also
other mononuclear cells.
The interstitium is infiltrated by eosinophils in large amount
 And also other mononuclear cells.
Slide 21.57
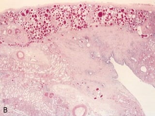
Analgesic nephropathy-2
 Patients who consume large amount of

analgesics may develop interstitial nephritis
associated with papillary necrosis.
 These analgesic include
 Phenacetin ,
 Acetaminophin,
 Aspirin, …
Analgesic nephropathy-2
 Pathogenesis:
 Phenacetin injures the cells by oxidative

damage.
 Aspirin inhibit PG production and thus
inhibit its vasodilatory effects and
predispose to papilla to ischemia.
Analgesic nephropathy
 Morphology:
 Papillary necrosis is the characteristic

finding.
 The papillae appear yellowish brown due
to accumulation of drug products.
Analgesic nephropathy
 Microscopically

The papilla show: Coagulative necrosis
 With loss of cellular details and
 Preservation of tubular outline.
Analgesic nephropathy
 Clinically,
 It may present with CRF and hypertension .
 Cessation of analgesic intake may improve

renal function.
)Acute tubular necrosis (ATN
 ATN is characterized
 Morphologically by destruction of tubular

epithelium and
 Clinically by ARF .
 The latter signifies an acute suppression of
renal function with urine flow falling within
24 hours to less than 400 ml (oliguria).
)Acute tubular necrosis (ATN
(Acute tubular necrosis (ATN
 Other causes of ARF include
1. Severe glomerular diseases,
2. Acute papillary necrosis,
3. and others.
ATN
 ATN is a reversible renal lesion.
 Its reversibility adds to its clinical

importance because proper treatment
can safe patient life.
ATN
 ATN can results either from
 reduction of blood flow and shock

(Ischemic ATN(
 due to toxins as carbon tetrachloride
(Nephrotoxic ATN(
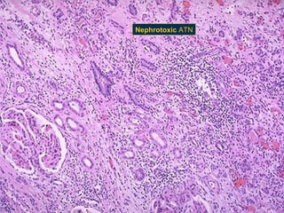
Slide 21.46
Nephrotoxic ATN
ATN pathogenesis

 Two events occur in ATN:
1-

Tubular injury
2- Intra renal vasoconstriction
ATN pathogenesis
 1- Tubular injury:
 Tubular cells are sensitive to ischemia

and toxins.
 These result in loss of polarity which
affect Na/K ATPase and lead to increase
Na delivery to distal tubules.
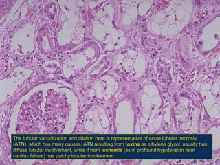
The tubular vacuolization and dilation here is representative of acute tubular necrosis
(ATN(, which has many causes. ATN resulting from toxins as ethylene glycol, usually has
diffuse tubular involvement, while if from ischemia (as in profound hypotension from
cardiac failure( has patchy tubular involvement.
ATN pathogenesis
 The latter cause vasoconstriction.
 Further damage to tubules and the

resultant tubular debris could block
urine outflow and decrease GFR and
lead to oliguria
ATN pathogenesis
2- Intra renal vasoconstriction;
It results from




Activation of renin angiotensin system ,
Increase endothelin production,
Decrease nitric oxide and PGI2.

 This vasoconstriction will decrease GFR

and produce oliguria.
ATN morphology
 ATN is characterized by necrosis of

renal tubules.
 Most lesions are common in outer
medulla (ascending limp and proximal
tubule(.
 Tubular necrosis is often accompanied
with rupture of the basement membrane
(tubulorrhexis( .
ATN morphology
 An additional feature is the presence of casts in

distal & collecting tubules.
 They are composed of Tamm-Horsfall protein
(secreted normally( by renal tubules.
 When crush injuries results in ATN the casts
are composed of myoglobin
 If the patient survive epithelial regeneration
become apparent
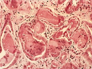
Casts in distal & collecting tubules
 The tubular vacuolization and dilation .
 This is representative of acute tubular necrosis (ATN(
ATN clinical picture
 The urine output falls suddenly between

50 and 400 ml/day (oliguric phase)
 There is symptom and signs of uremia.
(rise of urea and creatinine(
 With good medical care survival is the
rule.
ATN clinical picture
 The recovery is accompanied by
 Increase of urine volume up to 3 litre/day

(polyuric phase), because tubular function
is still impaired and serious electrolytes
imbalance occur in this period.
 Finally urine volume return to normal and the
chance of recovery is around 90-95 %
Causes of obstruction

Disease affecting tubules and interstitium

  • 1.
  • 2.
    Presented By Prof. Dr. NabilTadros Mikhail MBBS, MS Pathol., PhD Pathol. Prof. of Pathology Alexandria University - Egypt Consultant & Chief Pathologist King Fahad Central Hospital Gizan - KSA
  • 4.
     Most oftubular injury also involve the interstitium.  It could be   Inflammatory as interstitial nephritis Ischemic as acute tubular necrosis
  • 5.
    1 2 Portal circulation ofthe kidney 2 arterial capillaries
  • 7.
    Ares of collectingtubules and loops of Henley's
  • 8.
    (I- Tubulo-Interstitial Nephritis(TIN  A group of inflammatory diseases affected the interstitium and tubules.  The glomeruli may be spared altogether or affected only late in the course of disease.
  • 12.
    (I- Tubulo-Interstitial Nephritis(TIN  Most of TIN caused by infection  Renal pelvis is also affected and hence the name pyelonephritis.  The term interstitial nephritis is reserved for cases of non infectious origin as (drugs, hypokalemia,..(
  • 13.
    Acute pyelonephritis-1  Itis a common suppurative inflammation of the kidney and renal pelvis caused by bacterial infections.  The causative organism is most commonly E coli.  Other organisms could be involved as proteus , klebsiella ,pseudomonas, ..
  • 14.
    Acute pyelonephritis  Routesof infection: Two routes are recognized  1- Ascending infection: this is the most common route. Ascending infection occur from the lower urinary tract  2- hematogenous route; infection occur through blood stream.
  • 16.
    Predisposing factors  1-Urinary obstruction: It result in stasis which facilitate bacterial growth.  2- Vesicoureteral reflux (VUR(; It can be congenital or acquired. Incompetence of vesicoureteral orifice allows bacteria to ascend the ureter into pelvis.  3- Instrumentation; as catheterization.
  • 17.
    Predisposing factors  4-pregnancy: 6% of pregnant has bacteriuria during pregnancy  5- diabetes mellitus: increases the risk of pyelonephritis  6- Sex: common in females due to short urethra  7-Immunosuppression and deficiency.
  • 19.
    Morphology Of Acute Pyelonephritis One or both kidney may be involved.  Affected kidney may be slightly enlarged.  Characteristically discrete yellowish raised abscesses are apparent on renal surface.
  • 22.
    Morphology Of Acute Pyelonephritis Microscopically: Suppurative necrosis or abscess formation within renal parenchyma.  Large masses of neutrophils extend within the nephron into collecting tubules, giving rise to white cell casts in urine .
  • 23.
    Abscess formation withinrenal parenchyma
  • 24.
    Large masses ofneutrophils extend within the nephron into collecting tubules
  • 25.
    Morphology Of Acute Pyelonephritis Microscopically: Typically the glomeruli are spared and resist infection.  If obstruction is complete suppurative exudate may be unable to drain and fill renal pelvis (pyonephrosis)
  • 26.
    Morphology Of Acute Pyelonephritis A second infrequent form of pyelonephritis is necrotizing papillitis.  In which there is necrosis of renal papillae (at the tip of renal pyramids).
  • 27.
  • 28.
    Morphology Of Acute Pyelonephritis Necrotizing Papillitis.  There is sharp grey white to yellow necrosis of papillae.  It is seen more commonly in diabetes mellitus who develop acute pyelonephritis.
  • 29.
    This is anascending bacterial infection leading to acute pyelonephritis. Numerous PMN's are seen filling renal tubules across the center and right of this picture
  • 30.
    At high magnification,many neutrophils are seen in the tubules and interstitium in a case of acute pyelonephritis
  • 31.
    Clinical Picture  Onsetis sudden with pain at costo-renal angle.  Fever, rigors and malaise.  Urine analysis : Pyuria,. WBCs casts, Positive urine culture.
  • 32.
    Clinical Picture .. The disease tend to be benign and self limited.  Repeated attacks may lead to chronicity (chronic pyelonephritis).  Those with necrotizing papillitis may be associated with acute renal failure and poor prognosis.
  • 33.
    Chronic Pyelonephritis  Chronicpyelonephritis is defined as interstitial inflammation and scarring of renal parenchyma with deformity of pelvicalyceal system.  Chronic pyelonephritis is an important cause of chronic renal failure.  Two forms are found:
  • 38.
    Chronic Pyelonephritis  1-chronic obstructive pyelonephritis:  Associated with urinary obstruction.  Recurrent infection is superimposed on obstructive lesion leading to chronic pyelonephritis.  The disease may be Bilateral (urethral obstruction) or  Unilateral (calculi in ureter). 
  • 39.
    Chronic Pyelonephritis  2-Chronic reflux associated pyelonephritis:  It is also called reflux nephropathy.  It result from repeated infection on those with vesicoureteral reflux.  It may be unilateral or bilateral involve both kidneys and lead to CRF.
  • 41.
    Morphology  Macroscopically:  oneor both kidney may be involved.  In bilateral involvement ,the kidneys are not equally contracted with uneven scarring.  Scars involve renal pelvis and calyces resulting in blunted and deformed calyces
  • 42.
    Morphology  Microscopically; isnon specific.  Uneven interstitial fibrosis and inflammatory infiltrates of lymphocytes and plasma cells.  Tubules are either contracted or dilated and lined atrophic epithelium and contain colloid casts (resemble thyroid).  Glomeruli is usually normal except late when glomerulosclerosis occur.
  • 43.
     The largecollection of chronic inflammatory cells here is in a patient with a history of multiple recurrent urinary tract infections.  This is chronic pyelonephritis
  • 44.
     Both lymphocytesand plasma cells are seen at high magnification in this case of chronic pyelonephritis
  • 45.
    Clinical Picture  Maybe asymptomatic and discovered late.  Hypertension may be found.  Bacteriuria is not always found.  Bilateral disease affect tubules mainly with loss of concentrating ability leading to polyuria and nocturia.  Late stages glomeruli is affected and CRF occur
  • 46.
    Drug-Induced Interstitial Nephritis  1-Acute drug induced interstitial nephritis;  It occur due to adverse reaction to many drugs as  Penicillin,  Rifampicin,  Phenylbutazone  others,.. and
  • 47.
    Drug-induced Interstitial Nephritis  1-Acute drug induced interstitial nephritis;  The disease begins 15 days after exposure to drugs and characterized by      Fever, Eosinophilia, Rash Hematuria. Acute renal failure and oliguria may develop in 50% of cases.
  • 48.
    …Acute drug induced Pathogenesis:  Both type I (IgE mediated) and type IV (cell mediated) hypersensitivity are found.  The drug act as hapten and become bound to extracellular components of tubular cells and become immunogenic.
  • 49.
    …Acute drug induced Morphology:  the interstitium is infiltrated by eosinophils in large amount and also other mononuclear cells.
  • 50.
    The interstitium isinfiltrated by eosinophils in large amount  And also other mononuclear cells. Slide 21.57
  • 51.
    Analgesic nephropathy-2  Patientswho consume large amount of analgesics may develop interstitial nephritis associated with papillary necrosis.  These analgesic include  Phenacetin ,  Acetaminophin,  Aspirin, …
  • 52.
    Analgesic nephropathy-2  Pathogenesis: Phenacetin injures the cells by oxidative damage.  Aspirin inhibit PG production and thus inhibit its vasodilatory effects and predispose to papilla to ischemia.
  • 53.
    Analgesic nephropathy  Morphology: Papillary necrosis is the characteristic finding.  The papillae appear yellowish brown due to accumulation of drug products.
  • 54.
    Analgesic nephropathy  Microscopically Thepapilla show: Coagulative necrosis  With loss of cellular details and  Preservation of tubular outline.
  • 55.
    Analgesic nephropathy  Clinically, It may present with CRF and hypertension .  Cessation of analgesic intake may improve renal function.
  • 56.
    )Acute tubular necrosis(ATN  ATN is characterized  Morphologically by destruction of tubular epithelium and  Clinically by ARF .  The latter signifies an acute suppression of renal function with urine flow falling within 24 hours to less than 400 ml (oliguria).
  • 57.
  • 58.
    (Acute tubular necrosis(ATN  Other causes of ARF include 1. Severe glomerular diseases, 2. Acute papillary necrosis, 3. and others.
  • 59.
    ATN  ATN isa reversible renal lesion.  Its reversibility adds to its clinical importance because proper treatment can safe patient life.
  • 60.
    ATN  ATN canresults either from  reduction of blood flow and shock (Ischemic ATN(  due to toxins as carbon tetrachloride (Nephrotoxic ATN(
  • 61.
  • 62.
  • 63.
    ATN pathogenesis  Twoevents occur in ATN: 1- Tubular injury 2- Intra renal vasoconstriction
  • 64.
    ATN pathogenesis  1-Tubular injury:  Tubular cells are sensitive to ischemia and toxins.  These result in loss of polarity which affect Na/K ATPase and lead to increase Na delivery to distal tubules.
  • 65.
    The tubular vacuolizationand dilation here is representative of acute tubular necrosis (ATN(, which has many causes. ATN resulting from toxins as ethylene glycol, usually has diffuse tubular involvement, while if from ischemia (as in profound hypotension from cardiac failure( has patchy tubular involvement.
  • 67.
    ATN pathogenesis  Thelatter cause vasoconstriction.  Further damage to tubules and the resultant tubular debris could block urine outflow and decrease GFR and lead to oliguria
  • 68.
    ATN pathogenesis 2- Intrarenal vasoconstriction; It results from    Activation of renin angiotensin system , Increase endothelin production, Decrease nitric oxide and PGI2.  This vasoconstriction will decrease GFR and produce oliguria.
  • 69.
    ATN morphology  ATNis characterized by necrosis of renal tubules.  Most lesions are common in outer medulla (ascending limp and proximal tubule(.  Tubular necrosis is often accompanied with rupture of the basement membrane (tubulorrhexis( .
  • 70.
    ATN morphology  Anadditional feature is the presence of casts in distal & collecting tubules.  They are composed of Tamm-Horsfall protein (secreted normally( by renal tubules.  When crush injuries results in ATN the casts are composed of myoglobin  If the patient survive epithelial regeneration become apparent
  • 71.
    Casts in distal& collecting tubules
  • 72.
     The tubularvacuolization and dilation .  This is representative of acute tubular necrosis (ATN(
  • 73.
    ATN clinical picture The urine output falls suddenly between 50 and 400 ml/day (oliguric phase)  There is symptom and signs of uremia. (rise of urea and creatinine(  With good medical care survival is the rule.
  • 74.
    ATN clinical picture The recovery is accompanied by  Increase of urine volume up to 3 litre/day (polyuric phase), because tubular function is still impaired and serious electrolytes imbalance occur in this period.  Finally urine volume return to normal and the chance of recovery is around 90-95 %
  • 75.