THORACOCENTESIS
Dr Suresh Kumar
MBBS(MAMC)
Resident Doctor Radio-diagnosis (AIIMS New Delhi)
Forewarded for review to
Dr Shitij Chaudhary
MBBS (MAMC)
Resident Doctor Internal medicine (AIIMS New Delhi)
Diagnosis of pleural effusion
History and physical examination
Mostly aympatomatic. Symptoms include cough, dyspnea and pleuritic
chest pain.There is often clue of associated diseases.
Physical examination is unlikely detect effusion less than 300 ml,
Dullnes on percussion and asymmetric chest expansion have most
accurate to rule in the pleural effusion, while normal tactile vocal
fremitus mostly rules out pleural effusion.
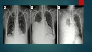
CXR
 Lateral decubitus* CXR requires at least 75 ml of fluid
 CXR PAV requires at least 150 ml of fluid to be detected
 Supine CXR are fallacious to detect pleural effusion
 CXR PA view d/ds
Subpulmonic effusion
Costophrenic and cardiophrenic recesses
Blunting of hemidiaphragm
Homogenous fluid dense radio-opacity in the lung field and
making meniscsus without any bronchovascular markings within
Large effusions causes underlying lung collapse and
mediastenal shift to opposite side
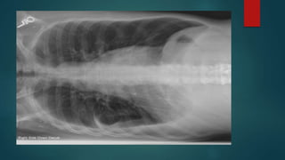
Exceptionally on CXR
 Loculated pelural effusion and effsuions in fissures are
non dependent
 Parapneumonic effusions are difficult to be detected on
CXR
Grading of effusion on CXR
 Mild - Up to causing CoP angle blunting
 Moderate - In between
 Massive - almost entire hemithorax opaque with
collapsed lung
Pleural sonography (USG chest)
Ultrasound can rapidly differentiate conditions that demonstrate a
non-specific, radiopaque appearance of lower lung fields on chest
radiographs, including pleural effusions, pneumonia, atelectasis,
elevated hemi-diaphragm, and lung or pleural masses.
Can detect physiologic amounts of fluid (5ml) but minimal voume of
20 ml is more reliably detected.
Low- frequency( 2-5 MHz) linear probe is used inbetween the ribs.
And Pleural thickness, depth of accumilated pleural fluid,
pneumothorax.
5 structures must be identified to diagnose a pleural effusion
confidently. Colour doppler and M mode can be used as adjunct.
Chareterization of pleural effusion on USG
 Pleural fluid volume- 20x Max. Distance between two pleural
layers (Supine patient at max. inspiration)
 Simple vs Complex effusions*
 Pleural thickness - apposed pleuras are 0.2 to 0.3 mm thick
Diifrential diagnoses of pleural effusion:
Pleural effusion
Perform diagnostic thoracocentesis, measure pleural fluid protein and LDH
Any of the following met?
PF/serum protein >0.5
PF/serum LDH >0.6
PF LDH >2/3 upper normal serum LDH limit
Yes No
Exudate-needs further diagnostic procedures Transudate-treat CHF,cirrhosis,nephrosis
Measure PF glucose
Obtain PF cytology
Obtain TLC/DLC
Culture, Gram stain
PF marker for TB (ADA/gene expert)
Glucose < 60mg/dl
Consider -Malignancy,Bacterial infection
Rhematoid arthritis
No diagnosis
Consider PE (go for CTPA or lung scan) Treat for PE
PF marker for TB
Yes
No
Symptoms improving
No
Treat for TB
Yes
O
b
s
e
r
v
e
Yes No
Consider thoracoscopy or CT/USG guided pleural biopsy
Pleural tap
Pleural anatomy (Suface markings)
*
Mid clavicular
line
Mid
axillary
line
Paravetebral line
( Lateral to erecter
spine m/s)
Visceral pleura 6th rib 8th 10th
Parietal pleura 8th 10th 12th
Indications
A) Diagnostic
 To determine the nature of fluid (Transudative vs exudative) and send
another investiagtions
B) Therapeutic
 To releive the respiratory distress caused by massive pleural effusion.
and in cases of TB??and blood to ?
Contraindiactions
 Insufficient pleural fluid
 Local infection or wound at punctre site
 Severe bleeding diathesis ( INR >1.5)
Complications
 Pneumothorax
 Infection
 Liver or spleen rupture
 Bleeding
 Pain
Methods
 Usg guided*
 Blind tap**
Equipments needed
1. Sterile gloves,gown and drapes;skin sterlizing fluid and swaps
2. 1-2% Lignocaine
3. Thoracocentesis needle or Needle of 18 gauze non puncture
proof cannula, or 18 G LP needle.21 of 22 gauge Needle also can
be used for puncture.
4. 5,20 and 50 ml syringes
5. 3 way stop cock,IV line and vacant saline bottles
6. Plain vials, E vials, Culture bottles
7. Bedside usg machine with clean linear probe and sterile gelly
8. Informed consent
9. Adhesive dressing
Premonitoring
• Pulse, RR, SpO2, BP has to be measured
Planning
• Review recent CXR and screen with USG again
• Aseemble the supplies and arrange all equipments
• Explain the procedure, benefits and risk of procedure,
management of complications to the patient
• Get the consent form signed
Procedure-
• Positioning of patient - arms should be abducted, crossed over and
should rest over the shoulders.
• Draping of the patient appropriately to avoid touching the unsterile areas.
• Wear gown and gloves.
• Clean the area of chest wall with betadiene which is to be punctured.
• Focus with usg and infiltrate the area till parietal pleura with lignocaine
safely withoput giving any intraarterial or intravenous injection opf
lignocaine.#
• Assemble the 3 way with puncture needle and puncture the site under usg
guidence in the lower most aspect of I/c space at site of max pleural fluid
thickness (Anechoic with acoustic enhacement).#
• Aspirate the fluid of desired voume in case diagnostic tap.
• In case of therapeutric tap.Keep aspirating fluid with 20 or 50 ml
syringe with needle by using three way.Or Remove the needle of
cannula,attach IV set with sheath of cannula and let the fluid drain
in bottle.
• Inacase of dry tap,don't insert the needle forcefully.
• Collect the fluid in desired vials and send samples immediately.
(Also send blood samples to correlate with same timing)
• Collect extra sample and handover to attender of patient for further
use.***
Post procedure
 Note down the fluid volume aspirated.
 Check for pneumo/lung sliding on USG.
 Monitor RR, SpO2, Puls and BP
 CXR PAV in end expiration after 4 hrs.
Blind puncture
• Safer in cases of moderate and large effusions.
• Done in posterior axillary line in 10/11th intercostal space.
• Look for Absence of bronchovascular markings, mensicus sign,
mediastenal shift to get more confidence.
• Avoid tapping parpneumonic effusions blindly.
• Penetrate genatlly with support of fingers and 1-2 mm push in a go.
• In cases of diagnostic tap, use smaller gauge needles 22,23 .
• Drain less fluid in a single tap.
• In case of doubt get an USG done to know depth od effusion and
status of pleura.
Refrences:-
1.Harrison's principles of internal medicine 19th edition.
2.Up to date.com
3.Radiopedia.org
4.Soni NJ, Franco R, Velez MI, et al. Ultrasound in the diagnosis and
management of pleural effusions. J Hosp Med. 2015;10(12):811-816.
doi:10.1002/jhm.2434

Thoracocentesis / pleural effusion

  • 1.
    THORACOCENTESIS Dr Suresh Kumar MBBS(MAMC) ResidentDoctor Radio-diagnosis (AIIMS New Delhi) Forewarded for review to Dr Shitij Chaudhary MBBS (MAMC) Resident Doctor Internal medicine (AIIMS New Delhi)
  • 2.
    Diagnosis of pleuraleffusion History and physical examination Mostly aympatomatic. Symptoms include cough, dyspnea and pleuritic chest pain.There is often clue of associated diseases. Physical examination is unlikely detect effusion less than 300 ml, Dullnes on percussion and asymmetric chest expansion have most accurate to rule in the pleural effusion, while normal tactile vocal fremitus mostly rules out pleural effusion.
  • 3.
    CXR  Lateral decubitus*CXR requires at least 75 ml of fluid  CXR PAV requires at least 150 ml of fluid to be detected  Supine CXR are fallacious to detect pleural effusion  CXR PA view d/ds Subpulmonic effusion Costophrenic and cardiophrenic recesses Blunting of hemidiaphragm Homogenous fluid dense radio-opacity in the lung field and making meniscsus without any bronchovascular markings within Large effusions causes underlying lung collapse and mediastenal shift to opposite side
  • 4.
    Exceptionally on CXR Loculated pelural effusion and effsuions in fissures are non dependent  Parapneumonic effusions are difficult to be detected on CXR Grading of effusion on CXR  Mild - Up to causing CoP angle blunting  Moderate - In between  Massive - almost entire hemithorax opaque with collapsed lung
  • 11.
    Pleural sonography (USGchest) Ultrasound can rapidly differentiate conditions that demonstrate a non-specific, radiopaque appearance of lower lung fields on chest radiographs, including pleural effusions, pneumonia, atelectasis, elevated hemi-diaphragm, and lung or pleural masses. Can detect physiologic amounts of fluid (5ml) but minimal voume of 20 ml is more reliably detected. Low- frequency( 2-5 MHz) linear probe is used inbetween the ribs. And Pleural thickness, depth of accumilated pleural fluid, pneumothorax.
  • 12.
    5 structures mustbe identified to diagnose a pleural effusion confidently. Colour doppler and M mode can be used as adjunct.
  • 13.
    Chareterization of pleuraleffusion on USG  Pleural fluid volume- 20x Max. Distance between two pleural layers (Supine patient at max. inspiration)  Simple vs Complex effusions*  Pleural thickness - apposed pleuras are 0.2 to 0.3 mm thick
  • 14.
    Diifrential diagnoses ofpleural effusion:
  • 16.
    Pleural effusion Perform diagnosticthoracocentesis, measure pleural fluid protein and LDH Any of the following met? PF/serum protein >0.5 PF/serum LDH >0.6 PF LDH >2/3 upper normal serum LDH limit Yes No Exudate-needs further diagnostic procedures Transudate-treat CHF,cirrhosis,nephrosis Measure PF glucose Obtain PF cytology Obtain TLC/DLC Culture, Gram stain PF marker for TB (ADA/gene expert) Glucose < 60mg/dl Consider -Malignancy,Bacterial infection Rhematoid arthritis No diagnosis Consider PE (go for CTPA or lung scan) Treat for PE PF marker for TB Yes No Symptoms improving No Treat for TB Yes O b s e r v e Yes No Consider thoracoscopy or CT/USG guided pleural biopsy
  • 17.
  • 18.
    Pleural anatomy (Sufacemarkings) * Mid clavicular line Mid axillary line Paravetebral line ( Lateral to erecter spine m/s) Visceral pleura 6th rib 8th 10th Parietal pleura 8th 10th 12th
  • 19.
    Indications A) Diagnostic  Todetermine the nature of fluid (Transudative vs exudative) and send another investiagtions B) Therapeutic  To releive the respiratory distress caused by massive pleural effusion. and in cases of TB??and blood to ?
  • 20.
    Contraindiactions  Insufficient pleuralfluid  Local infection or wound at punctre site  Severe bleeding diathesis ( INR >1.5) Complications  Pneumothorax  Infection  Liver or spleen rupture  Bleeding  Pain
  • 21.
  • 22.
    Equipments needed 1. Sterilegloves,gown and drapes;skin sterlizing fluid and swaps 2. 1-2% Lignocaine 3. Thoracocentesis needle or Needle of 18 gauze non puncture proof cannula, or 18 G LP needle.21 of 22 gauge Needle also can be used for puncture. 4. 5,20 and 50 ml syringes 5. 3 way stop cock,IV line and vacant saline bottles 6. Plain vials, E vials, Culture bottles 7. Bedside usg machine with clean linear probe and sterile gelly 8. Informed consent 9. Adhesive dressing
  • 25.
    Premonitoring • Pulse, RR,SpO2, BP has to be measured Planning • Review recent CXR and screen with USG again • Aseemble the supplies and arrange all equipments • Explain the procedure, benefits and risk of procedure, management of complications to the patient • Get the consent form signed
  • 26.
    Procedure- • Positioning ofpatient - arms should be abducted, crossed over and should rest over the shoulders. • Draping of the patient appropriately to avoid touching the unsterile areas. • Wear gown and gloves. • Clean the area of chest wall with betadiene which is to be punctured. • Focus with usg and infiltrate the area till parietal pleura with lignocaine safely withoput giving any intraarterial or intravenous injection opf lignocaine.# • Assemble the 3 way with puncture needle and puncture the site under usg guidence in the lower most aspect of I/c space at site of max pleural fluid thickness (Anechoic with acoustic enhacement).#
  • 27.
    • Aspirate thefluid of desired voume in case diagnostic tap. • In case of therapeutric tap.Keep aspirating fluid with 20 or 50 ml syringe with needle by using three way.Or Remove the needle of cannula,attach IV set with sheath of cannula and let the fluid drain in bottle. • Inacase of dry tap,don't insert the needle forcefully. • Collect the fluid in desired vials and send samples immediately. (Also send blood samples to correlate with same timing) • Collect extra sample and handover to attender of patient for further use.*** Post procedure  Note down the fluid volume aspirated.  Check for pneumo/lung sliding on USG.  Monitor RR, SpO2, Puls and BP  CXR PAV in end expiration after 4 hrs.
  • 29.
    Blind puncture • Saferin cases of moderate and large effusions. • Done in posterior axillary line in 10/11th intercostal space. • Look for Absence of bronchovascular markings, mensicus sign, mediastenal shift to get more confidence. • Avoid tapping parpneumonic effusions blindly. • Penetrate genatlly with support of fingers and 1-2 mm push in a go. • In cases of diagnostic tap, use smaller gauge needles 22,23 . • Drain less fluid in a single tap. • In case of doubt get an USG done to know depth od effusion and status of pleura.
  • 30.
    Refrences:- 1.Harrison's principles ofinternal medicine 19th edition. 2.Up to date.com 3.Radiopedia.org 4.Soni NJ, Franco R, Velez MI, et al. Ultrasound in the diagnosis and management of pleural effusions. J Hosp Med. 2015;10(12):811-816. doi:10.1002/jhm.2434