PLEURAL DISEASES
ANATOMY
• The pleura is the serous membrane that covers the lung
parenchyma, the mediastinum, the diaphragm, and the
rib cage. Lined by mesothelial cells
• it contributes to the elastic recoil of the lung, which is
important in expelling air from the lung
• it restricts the volume to which the lung can be inflated,
thereby protecting it
• Thin layer of fluid around 8 – 10ml in each
• Normal pleural fluid - ~ 2000 wbc/mm3, 70%
macrophages, 25% lymphocytes 700rbc/mm3
• Protein - ~1g%, sugar ~ plasma glucose
• Parietal pleura is pain sensitive
• Normal pleural fluid has the following characteristics:
• Clear ultrafiltrate of plasma that originates from the
parietal pleura
• A pH of 7.60-7.64
• Protein content of less than 2% (1-2 g/dL)
• Fewer than 1000 white blood cells (WBCs) per cubic
millimeter
• Glucose content similar to that of plasma
• Lactate dehydrogenase (LDH) less than 50% of
plasma
• Origin of pleural fluid - pleural capillaries, the interstitial
spaces of the lung, the intrathoracic lymphatics, the
intrathoracic blood vessels, or the peritoneal cavity
• 15ml/day ( 0.01ml/kg/day)
• Clearance – lymphatics in parietal pleura(0.4ml/kg/hr)
capillaries, transcytosis
PLEURAL EFFUSION
Mechanism of pleural effusion
• Increased pleural fluid formation
• Increased interstitial fluid in the lung
• Left ventricular failure, pneumonia, and pulmonary
embolus
• Increased intravascular pressure in pleura
• Right or left ventricular failure, superior vena caval
syndrome
• Increased permeability of the capillaries in the pleura
• Pleural inflammation
• Increased levels of vascular endothelial growth
factor
• Increased pleural fluid protein level
• Decreased pleural pressure
• Lung atelectasis or increased elastic recoil of the
lung
• Increased fluid in peritoneal cavity
• Ascites or peritoneal dialysis
• Disruption of the thoracic duct
• Disruption of blood vessels in the thorax
• Decreased pleural fluid absorption
• Obstruction of the lymphatics draining the parietal
pleura
• Elevation of systemic vascular pressures
• Superior vena caval syndrome or right ventricular
failure
• ?Disruption of the aquaporin system in the pleura
Transudative effusion
• Congestive heart failure
• Cirrhosis
• Pulmonary embolism
• Nephrotic syndrome
• Peritoneal dialysis
• Superior vena cava obstruction
• Myxedema
• Urinothorax
Exudative
• Neoplastic diseases
Metastatic disease
Mesothelioma
• Infectious diseases
Bacterial infections
Tuberculosis
Fungal infections
Viral infections
Parasitic infections
Pulmonary embolization
Gastrointestinal disease
Esophageal perforation
Pancreatic disease
Intraabdominal abscesses
Diaphragmatic hernia
After abdominal surgery
Endoscopic variceal sclerotherapy
After liver transplant
• Collagen vascular disease
• Post-coronary artery bypass surgery
• Asbestos exposure
• Sarcoidosis
• Uremia
• Meigs' syndrome
• Yellow nail syndrome
• Trapped lung
• Radiation therapy
• Post-cardiac injury syndrome
• Hemothorax
• Iatrogenic injury
• Ovarian hyperstimulation syndrome
• Pericardial disease
• Chylothorax
Drug-induced pleural disease
Nitrofurantoin
Dantrolene
Methysergide
Bromocriptine
Procarbazine
Amiodarone
CLINICAL FEATURES
• Asymptomatic
• arise either from inflammation of the pleura, from
compromise of pulmonary mechanics, from interference
with gas exchange, or on rare occasions, from
decreased cardiac output
• Inflammation -
• chest pain – pleuritic
• Subside or become dull aching when effusion
develops
• dry, nonproductive cough.
• Dyspnea –
• Small-to-moderate-sized pleural effusions displace
rather than compress the lung and have little effect on
pulmonary function
History focusing on etiology
• Fever , pleuritic chest pain – inflammatory
• With cough and expectoration – synpneumonic
• Weight loss, loss of apetite – chronic infections –TB,
malignancy
• Occupation – asbetosis
• Chest pain , hemoptysis, dyspnea –
• Drug exposure
• Repeated vomiting followed by chest pain, dyspnea –
• Abdominal pain radiating to back, left pleural effusion –
• Joint pains, rash, alopecia, oral ulcers
• Orthopnea, PND, pedal edema
• Anasarca , froathy urine
• Jaundice, abdominal distension in an alcoholic
• Smoker , expectoration , hemoptysis, hoarseness,
weight loss
SIGNS
• Trachea shift
• Mediastinum / apex
• Symmetry of hemithorax , intercostal spaces
• Chest movement
• Tactile vocal fremitus
• Percussion
• Shifting dullness
• Auscultation
• Air entry
• Upper border of effusion
• Egophony , whispering pectoriloqy
WORK UP
• Chest X- ray:
• 75 mL-subpulmonic space without spillover, can
obliterate the posterior costophrenic sulcus,
• 175 mL is necessary to obscure the lateral
costophrenic sulcus on an upright chest radiograph
• 500 mL will obscure the diaphragmatic contour on an
upright chest radiograph;
• 1000 ml of effusion reaches the level of the fourth
anterior rib,
• On decubitus radiographs and CT scans, less than 10
mL, and possibly as little as 2 mL, can be identified
Based on the decubitus films
• small effusions are thinner than 1.5 cm, moderate
effusions are 1.5 to 4.5 cm thick, and large effusions
exceed 4.5 cm.
• Effusions thicker than one cm are usually large
enough for sampling by thoracentesis, since at least
200 mL of liquid are already present
PLEURAL FLUID ANALYSIS
• INDICATION
• A pleural fluid thickness >10mm in lateral decubitus
CXR
• Complications. pain, bleeding (hematoma, hemothorax,
or hemoperitoneum), pneumothorax, empyema, soft
tissue infection, spleen or liver puncture, vasovagal
events, seeding the needle tract with tumor, and adverse
reactions to lidocaine or topical antiseptic
solutions,retained intrapleural catheter fragments
• Bloody – Hematocrit compared to the blood
• <1% is nonsignificant
• 1-20% indicates either cancer, PE or trauma
• >50% indicates hemothorax.
• Cloudy or Turbid – Centrifugation
• Turbid supernatant indicates high lipid levels
• Check TG - >110mg/dl – chylothorax
• If TG>50mg/dl and cholesterol>250 -
pseudochylothorax
• pH < 7.2 :
• complicated parapneumonic effusion
• esophageal rupture
• rheumatoid pleuritis
• tuberculous pleuritis
• malignant pleural disease
• hemothorax
• systemic acidosis
• lupus pleuritis
• urinothorax
EXUDATE
• pleural fluid protein > 3.0
g/dL
• Pleural fluid protein > 0.5
serum protein
• Pleural fluid LDH >0.6
serum LDH
• Pleural fluid LDH greater
than two thirds of the
upper limit of normal
serum LDH
TRANSUDATE
• Protein <3g/dl
• <0.5
• <0.6
• less
EXUDATE
• pleural fluid cholesterol
>60mg/dl
• SPAG <1.2g
• pleural fluid-to-serum
bilirubin ratio above 0.6
• Wbc > 1000
• Glucose < serum
TRANSUDATE
• Clear
• Straw colored
• Nonviscid
• Odorless
• Wbc <1000
• Glucose = serum
• Microbiology :
• Gram stain
• AFB
• Culture
• ADA - >43 – may suggest TB
• Cytology
• USG
• CT scan
• Bronchoscopy
• Pleural biopsy
PARAPNEUMONIC EFFUSION
• Any pleural effusion associated with bacterial
pneumonia, lung abscess, or bronchiectasis is a
parapneumonic effusion
1. Nonsignificant - Small <10 mm thick on decubitus x-
ray study - Rx – antibiotics
2. Typical parapneumonic - >10 mm thick
Glucose >40 mg/dL, pH >7.2
Gram's stain and culture negative
Rx – antibiotics
3. Borderline complicated - 7.0 <pH <7.20 and/or
LDH >3 × upper limit normal and glucose >40 mg/dL
Gram's stain and culture negative
Antibiotics plus serial thoracentesis
4. Simple complicated : pH <7.0 or glucose <40 mg/dL
Gram's stain or culture positive
Not loculated not frank pus
Tube thoracostomy plus antibiotics
5. Complex complicated :
pH <7.0 and/or glucose <40 mg/dL or
Gram's stain or culture positive, Multiloculated
Tube thoracostomy plus fibrinolytics (rarely require
thoracoscopy or decortication)
6. Simple empyema:
Frank pus present, Single locule or free flowing
Tube thoracostomy ± decortication
• 7. Complex empyema:
Frank pus present, Multiple locules
Tube thoracostomy ± fibrinolytics
Often require thoracoscopy or decortication
TREATMENT
• TREAT THE CAUSE
• Thoracocentesis :
• Loculated pleural fluid
• Pleural fluid pH <7.20
• Pleural fluid glucose <40mg/dl
• Positive Gram stain or culture of the pleural fluid
• Presence of gross pus in the pleural space
Pleural diseases

Pleural diseases

  • 1.
  • 2.
    ANATOMY • The pleurais the serous membrane that covers the lung parenchyma, the mediastinum, the diaphragm, and the rib cage. Lined by mesothelial cells
  • 5.
    • it contributesto the elastic recoil of the lung, which is important in expelling air from the lung • it restricts the volume to which the lung can be inflated, thereby protecting it • Thin layer of fluid around 8 – 10ml in each • Normal pleural fluid - ~ 2000 wbc/mm3, 70% macrophages, 25% lymphocytes 700rbc/mm3 • Protein - ~1g%, sugar ~ plasma glucose • Parietal pleura is pain sensitive
  • 6.
    • Normal pleuralfluid has the following characteristics: • Clear ultrafiltrate of plasma that originates from the parietal pleura • A pH of 7.60-7.64 • Protein content of less than 2% (1-2 g/dL) • Fewer than 1000 white blood cells (WBCs) per cubic millimeter • Glucose content similar to that of plasma • Lactate dehydrogenase (LDH) less than 50% of plasma
  • 7.
    • Origin ofpleural fluid - pleural capillaries, the interstitial spaces of the lung, the intrathoracic lymphatics, the intrathoracic blood vessels, or the peritoneal cavity • 15ml/day ( 0.01ml/kg/day) • Clearance – lymphatics in parietal pleura(0.4ml/kg/hr) capillaries, transcytosis
  • 8.
  • 9.
    Mechanism of pleuraleffusion • Increased pleural fluid formation • Increased interstitial fluid in the lung • Left ventricular failure, pneumonia, and pulmonary embolus • Increased intravascular pressure in pleura • Right or left ventricular failure, superior vena caval syndrome • Increased permeability of the capillaries in the pleura • Pleural inflammation • Increased levels of vascular endothelial growth factor • Increased pleural fluid protein level
  • 10.
    • Decreased pleuralpressure • Lung atelectasis or increased elastic recoil of the lung • Increased fluid in peritoneal cavity • Ascites or peritoneal dialysis • Disruption of the thoracic duct • Disruption of blood vessels in the thorax
  • 11.
    • Decreased pleuralfluid absorption • Obstruction of the lymphatics draining the parietal pleura • Elevation of systemic vascular pressures • Superior vena caval syndrome or right ventricular failure • ?Disruption of the aquaporin system in the pleura
  • 12.
    Transudative effusion • Congestiveheart failure • Cirrhosis • Pulmonary embolism • Nephrotic syndrome • Peritoneal dialysis • Superior vena cava obstruction • Myxedema • Urinothorax
  • 13.
    Exudative • Neoplastic diseases Metastaticdisease Mesothelioma • Infectious diseases Bacterial infections Tuberculosis Fungal infections Viral infections Parasitic infections
  • 14.
    Pulmonary embolization Gastrointestinal disease Esophagealperforation Pancreatic disease Intraabdominal abscesses Diaphragmatic hernia After abdominal surgery Endoscopic variceal sclerotherapy After liver transplant
  • 15.
    • Collagen vasculardisease • Post-coronary artery bypass surgery • Asbestos exposure • Sarcoidosis • Uremia • Meigs' syndrome • Yellow nail syndrome
  • 16.
    • Trapped lung •Radiation therapy • Post-cardiac injury syndrome • Hemothorax • Iatrogenic injury • Ovarian hyperstimulation syndrome • Pericardial disease • Chylothorax
  • 17.
  • 18.
    CLINICAL FEATURES • Asymptomatic •arise either from inflammation of the pleura, from compromise of pulmonary mechanics, from interference with gas exchange, or on rare occasions, from decreased cardiac output • Inflammation - • chest pain – pleuritic • Subside or become dull aching when effusion develops • dry, nonproductive cough.
  • 19.
    • Dyspnea – •Small-to-moderate-sized pleural effusions displace rather than compress the lung and have little effect on pulmonary function
  • 20.
    History focusing onetiology • Fever , pleuritic chest pain – inflammatory • With cough and expectoration – synpneumonic • Weight loss, loss of apetite – chronic infections –TB, malignancy • Occupation – asbetosis • Chest pain , hemoptysis, dyspnea – • Drug exposure • Repeated vomiting followed by chest pain, dyspnea –
  • 21.
    • Abdominal painradiating to back, left pleural effusion – • Joint pains, rash, alopecia, oral ulcers • Orthopnea, PND, pedal edema • Anasarca , froathy urine • Jaundice, abdominal distension in an alcoholic • Smoker , expectoration , hemoptysis, hoarseness, weight loss
  • 22.
    SIGNS • Trachea shift •Mediastinum / apex • Symmetry of hemithorax , intercostal spaces • Chest movement • Tactile vocal fremitus • Percussion • Shifting dullness • Auscultation • Air entry • Upper border of effusion • Egophony , whispering pectoriloqy
  • 23.
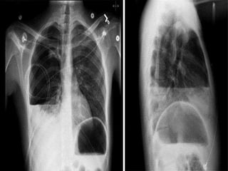
    WORK UP • ChestX- ray: • 75 mL-subpulmonic space without spillover, can obliterate the posterior costophrenic sulcus, • 175 mL is necessary to obscure the lateral costophrenic sulcus on an upright chest radiograph • 500 mL will obscure the diaphragmatic contour on an upright chest radiograph; • 1000 ml of effusion reaches the level of the fourth anterior rib, • On decubitus radiographs and CT scans, less than 10 mL, and possibly as little as 2 mL, can be identified
  • 24.
    Based on thedecubitus films • small effusions are thinner than 1.5 cm, moderate effusions are 1.5 to 4.5 cm thick, and large effusions exceed 4.5 cm. • Effusions thicker than one cm are usually large enough for sampling by thoracentesis, since at least 200 mL of liquid are already present
  • 27.
    PLEURAL FLUID ANALYSIS •INDICATION • A pleural fluid thickness >10mm in lateral decubitus CXR • Complications. pain, bleeding (hematoma, hemothorax, or hemoperitoneum), pneumothorax, empyema, soft tissue infection, spleen or liver puncture, vasovagal events, seeding the needle tract with tumor, and adverse reactions to lidocaine or topical antiseptic solutions,retained intrapleural catheter fragments
  • 28.
    • Bloody –Hematocrit compared to the blood • <1% is nonsignificant • 1-20% indicates either cancer, PE or trauma • >50% indicates hemothorax. • Cloudy or Turbid – Centrifugation • Turbid supernatant indicates high lipid levels • Check TG - >110mg/dl – chylothorax • If TG>50mg/dl and cholesterol>250 - pseudochylothorax
  • 30.
    • pH <7.2 : • complicated parapneumonic effusion • esophageal rupture • rheumatoid pleuritis • tuberculous pleuritis • malignant pleural disease • hemothorax • systemic acidosis • lupus pleuritis • urinothorax
  • 31.
    EXUDATE • pleural fluidprotein > 3.0 g/dL • Pleural fluid protein > 0.5 serum protein • Pleural fluid LDH >0.6 serum LDH • Pleural fluid LDH greater than two thirds of the upper limit of normal serum LDH TRANSUDATE • Protein <3g/dl • <0.5 • <0.6 • less
  • 32.
    EXUDATE • pleural fluidcholesterol >60mg/dl • SPAG <1.2g • pleural fluid-to-serum bilirubin ratio above 0.6 • Wbc > 1000 • Glucose < serum TRANSUDATE • Clear • Straw colored • Nonviscid • Odorless • Wbc <1000 • Glucose = serum
  • 33.
    • Microbiology : •Gram stain • AFB • Culture • ADA - >43 – may suggest TB • Cytology
  • 34.
    • USG • CTscan • Bronchoscopy • Pleural biopsy
  • 35.
    PARAPNEUMONIC EFFUSION • Anypleural effusion associated with bacterial pneumonia, lung abscess, or bronchiectasis is a parapneumonic effusion
  • 36.
    1. Nonsignificant -Small <10 mm thick on decubitus x- ray study - Rx – antibiotics 2. Typical parapneumonic - >10 mm thick Glucose >40 mg/dL, pH >7.2 Gram's stain and culture negative Rx – antibiotics 3. Borderline complicated - 7.0 <pH <7.20 and/or LDH >3 × upper limit normal and glucose >40 mg/dL Gram's stain and culture negative Antibiotics plus serial thoracentesis
  • 37.
    4. Simple complicated: pH <7.0 or glucose <40 mg/dL Gram's stain or culture positive Not loculated not frank pus Tube thoracostomy plus antibiotics 5. Complex complicated : pH <7.0 and/or glucose <40 mg/dL or Gram's stain or culture positive, Multiloculated Tube thoracostomy plus fibrinolytics (rarely require thoracoscopy or decortication) 6. Simple empyema: Frank pus present, Single locule or free flowing Tube thoracostomy ± decortication
  • 38.
    • 7. Complexempyema: Frank pus present, Multiple locules Tube thoracostomy ± fibrinolytics Often require thoracoscopy or decortication
  • 39.
    TREATMENT • TREAT THECAUSE • Thoracocentesis : • Loculated pleural fluid • Pleural fluid pH <7.20 • Pleural fluid glucose <40mg/dl • Positive Gram stain or culture of the pleural fluid • Presence of gross pus in the pleural space