How to learn the techniques Francesco Maisano San Raffaele Scientific Institute  and University Hospital Milano
Speaker ’ s name:  Francesco Maisano    I have the following  potential conflicts of interest to report:      Consulting for Edwards Lifesciences LLC, Micardia Corp, Medtronic Inc, Nycomed      Honoraria from St Jude Medical      Royalties from Edwards Lifesciences LLC
Complementary skills Availability of resources Crossfertilization Seamless patient-oriented care
…  percutaneous heart valve treatment requires skill sets independent of the operator’s base discipline …  specific training should be required … Those individuals eligible for the procedural training should be confined to experienced interventionalists and surgeons …  most interventionalists are likely to be cardiologists … … surgeons with appropriate training in percutaneous procedures may directely participate…
Surgery Hwy Cardiology Hwy TAVI  Hwy
Leadership Team management Patient oriented approach Risk management Comorbidities assessment Biological age determination Quality of life based decisions Unbiased treatment choice Hybrid approaches Less invasive interventions Minimally invasive surgery  Catheter based interventions Imaging Timing Screening process Image-guided interventions
Accredited postgraduate residency or fellowship training program Alternative pathways for practicing physicians IC with extensive structural heart disease experience Surgeons with valve disease and high risk patients experience
 
Associations Post-graduate courses Universities Fellowships Meetings PCR, EACTS, AATS, TCT, etc Industry supported opportunities  General endovascular training Device-specific training Implantation Patient selection Perioperative management
Decision making Periprocedural care Focus on comorbidity and ageing Management of complications Imaging training Patient selection Procedural planning Procedural guidance Learning the basics of catheter skills Cathlab tutorship Simulator training Learning the basics of surgery OR visits Learn the basic surgical skills
No major aircraft company today launches a new aircraft without simultaneously contracting for a suite of simulation devices.                               
Simulation: learning the basics – Hands-on simulators and bench models
The Simulated Patient - Simantha ™ Clinical scenario and ‘talking head’ Real patient images Responsive hemodynamics Exchangeable catheters Adverse event scenarios Performance Metrics
 
“ real world” experience visiting,  proctoring,  exchanging ideas mutual support, Taking decisions  sharing responsibility… Visiting centers with experience in Structural heart disease, High risk valve surgery,Transcatheter program
 
 
 
 
Hibrid approach using the skills from Surgery and IC
Toghether we can TEAM work is the winning strategy Cross-training facilitates collaboration and seamless multidisciplinary care Close collaboration is enabling cross-fertilization and development of hybrid strategies It is time to reconsider the role of and relationship among surgeons and interventional cardiologists
Aortic valve implant OPEN    MIS   PORT ACCESS TRANSCATHETER  Invasiveness
Current surgical approach Minimization of invasiveness To mitigate risks Increase acceptance Tailored treatment Anatomical substrate Underlying disease Patient needs Perioperative care Pain management Best prosthetic material
CHANGE REQUIRES ENERGY
MIS PORT ACCESS  Right Thoracotomy With Necklines
Evolving scenario of valve disese Aging / Increased life expectancy Changing style of life Quality  of life   over longevity Productivity E sthetic  appearance Circulation of information Patients awareness Referral pattern Limited resources / cost containment
New indications Include the new technologies in the surgical portfolio Adaptation Learn new skills Renovate the surgical facility Revise inhospital pathways Competition with cardiologists CE mark – device availability Collaboration and teamwork
6 Cardiac Surgeons  who adapted for the future Francesco Maisano Milano Michael Davidson Boston Eric Roselli Cleveland Mat Williams New York Grayson Wheatley Phoenix Thomas Walther Leipzig
The new skills Catheter skills Imaging Research oriented Tracking results Comparing surgical vs interventional outcomes Participating/designing Clinical Trials Additional knowledge Intellectual property Research and development Engineering Regulatory
The training from Industry Edwards, Medtronic and St Jude are actively involved in training surgeons on the new skills EDGE BEST … . Start-up companies are not structured to offer this opportunity E-valve, Corevalve
Collaboration is possible Cardiologist: But we do not send them ! Surgeon: We do not reject anybody !!
Retraining the trained Associations Post-graduate courses Training opportunities during main meetings Universities Fellowships Meetings EACTS, AATS, TCT, PCR, etc Industry  General endovascular training Device-specific training
Team up  all experts
Voyeuristic attitude  vs  Active position
The future of mitral valve surgery Minimally invasive and transcatheter approach Image guidance and computer aided decision making Devices will be ethiology-specific Adjustable Implantable with no or minimal conventional suturing Early repair Stepwise and combined strategies
The cardiac surgeon of the future Tailored approach – the best option for the patient
The new “interventional”  cardiac surgeon Francesco Maisano San Raffaele University Hospital Milano - Italy
Cross training re-training the trained Is cross training necessary? Is it feasible? How to do it? What are the interventional technical and cognitive skills needed to run a transcatheter vave procedure? How to renovate the OR facility and train the Team? How should be the optimal training program?
DISCLOSURES Consulting agreement with Edwards Lifesciences LLC for endovascular mitral valve repair Acknowledge relationship with several interventional cardiologists including Maurice Buchbinder, Antonio Colombo, Alec Vahanian, John Webb.
The background 1998  The concept 1999  Milano I Open chest Closed heart 2001  Milano II Transcatheter Percutaneous 2004  Crosstraining 2005  First in Man endovascular E2E in the OR
Percutaneous Valve Interventions (PVI)  DIFFERENT POINTS OF VIEW Will never work / will never impact my practice Another chapter of cardiac surgery at risk of extinction / Another reason to fight with the Cardiologists An opportunity to offer a better treatment to our patients / to widen indications / to get more surgical candidates The official position….
…  percutaneous heart valve treatment requires skill sets independent of the operator’s base discipline …  specific training should be required … Those individuals eligible for the procedural training should be confined to experienced interventionalists and surgeons …  most interventionalists are likely to be cardiologists … … surgeons with appropriate training in percutaneous procedures may directely participate…
Overlapping targets SURGERY CARDIOLOGY INVASIVENESS Off pump Port access Endoscopic Robotics Percutaneous Valve disease Peripheral stenting CPS Septal ablation ASD/VSD closure PVI
The ideal Transcatheter Valve Interventionalist Anatomy Physiology Pathology Natural history Risk Assessment Engineering Research  Surgical skills Endovascular skills Knowledge of the materials Echocardiography Fluoroscopy  Anesthesiology
Crosstraining  a personal experience 2003 Design the strategy with Ottavio Alfieri 2003 Internal agreement and authorizations Identification of common strategies with Antonio Colombo  Institution of a study group (TEAM WORK) Authorization from Hospital management Acquisition of the Fluoroscopy equipment / Radioprotection courses 2004 3 months of cath-lab full immersion  (3 days/week)   Basic endovascular skills First operating diagnostic procedures First assisting in complex procedures -2005 Continuing training (at least 2 half days/week) Interesting cases (mainly non coronary) Percutaneous aortic valve implantation 2002–2005   “parallel training” Selected readings (manuals and journals) Animal lab Bench simulators Computer simulators Interventional meetings (TCT, PCR, JIM) Conflicting interests (cardiac surgeons, interventionalists, vascular surgeons, electrophysiology) Hospital management not ready – lack of clinical application  Time consuming and difficult to reproduce Clinical activity at risk / troubles with referrals Need for backup from collegues Some skills easier to achieve (imaging, decision making, etc) Manipulation skills more intuitive than expected New material, instruments, devices to know Time consuming / need planning Very informative  Difficult to get involved actively Meeting new friends /referrals No time limitations No risk for the patients Device specific
Cath lab Vascular access  Catheterization Angiography PTCA Non coronary interventions Material inventory Simple diagnostics done in the OR
Computer simulators Highly realistic simulation based endovascular training using realistic 3D patient anatomies, simulating real tools, tactile feedback, different cases, scenarios and complications. Already in use for training for angiography, angioplasty and coronary and carotid stenting Training sessions available at major cardiology meetings Echo-based simulators needed
Bench Simulators Device specific Useful to explore the device function by direct vision Correlation between manipulations and effects No time limitations Less expensive than animal lab
Animal Lab Very realistic set-up to learn catheter manipulation and management General endovascular training (e.g. transeptal) Device-specific endovascular skills Excellent for team training Expensive
Transeptal puncture “ The” endovascular skill for mitral valve Difficult and risky Echo guidance Safety Precision A surgeon invented it – so we can learn it Few (<5%) interventional cardiology centers routinely perform this technique
Imaging and other enabling technologies ICE 3D echo Multislice CT MRI Stereotaxis Combinations
The Renovation process The Facility radiologic portable machine The hybrid room The materials The Team Multidisciplinary TEAMWORK Cardiologist Interventional cardiologist Vascular surgeon Echocardiographist Clinical cardiology Anesthesiologist Nurses
Impressions from “cross-training” Cross training is feasible Time Dedication Humility – go back to school Positive environment Opportunity of learning new stuff Broadening the view Think as the cardiologists Improve catheter skills for everyday surgical practice Surgery Hwy Cardiology Hwy Percutaneous valve Hwy Standardization of training pathways
The future training Accredited postgraduate residency or fellowship training program Reduce the years spent in general surgery  3 years of “general cardiac surgery” One additional year for specialization in Pediatric General cardiac / Thoracic surgery Interventional surgery Alternative pathway Cross training Bench training and Simulators Animal lab EACTS sponsored postgraduate courses Industry sponsored postgraduate courses Courtesy of P.Kappetein
The future interventional cardiac surgeon Full trained in heart surgery(sub specialized?) and cross trained Minimally invasive  as a broad view Patient and disease oriented  – expert of the disease and mastering all possible technical solutions: conventional, minimally invasive (endoscopic and robotics) and endovascular treatment Scientific oriented  - Tracking results, Comparing surgical vs interventional outcomes, Participating/designing Clinical Trials Technology and Innovation oriented  Intellectual property, Research and development, Engineering, Regulatory
… The Greatest Risk Is Not Taking One…
Acknowledgements Ottavio Alfieri (inspiring and letting me doing it) My collegues (covering my duties) Antonio Colombo (teaching me a lot, and demonstrating friendship) David Zarbatany (who developed the device and believed in me from the very beginning) Maurice Buchbinder (encouraging me and teaching with open mind) Edwards Lifesciences LLC (Don Bobo, Stan Rowe, Marcello Conviti, Luigi Bertana)  (understanding the role of surgeons in the catheter evolution) Pieter Kappetein (envisioning with me the future training requirements ) My Family (understanding me)
 
 
 
 
Subclavian access (Corevalve TM) Short delivery distance Painless Local anesthesia Retrograde approach
 
 
 
Subclavian access (Corevalve TM) Short delivery distance Painless Local anesthesia Retrograde approach
 
 
 

How to learn the catheter skill techniques

  • 1.
    How to learnthe techniques Francesco Maisano San Raffaele Scientific Institute and University Hospital Milano
  • 2.
    Speaker ’ sname: Francesco Maisano  I have the following potential conflicts of interest to report:  Consulting for Edwards Lifesciences LLC, Micardia Corp, Medtronic Inc, Nycomed  Honoraria from St Jude Medical  Royalties from Edwards Lifesciences LLC
  • 4.
    Complementary skills Availabilityof resources Crossfertilization Seamless patient-oriented care
  • 5.
    … percutaneousheart valve treatment requires skill sets independent of the operator’s base discipline … specific training should be required … Those individuals eligible for the procedural training should be confined to experienced interventionalists and surgeons … most interventionalists are likely to be cardiologists … … surgeons with appropriate training in percutaneous procedures may directely participate…
  • 6.
  • 7.
    Leadership Team managementPatient oriented approach Risk management Comorbidities assessment Biological age determination Quality of life based decisions Unbiased treatment choice Hybrid approaches Less invasive interventions Minimally invasive surgery Catheter based interventions Imaging Timing Screening process Image-guided interventions
  • 8.
    Accredited postgraduate residencyor fellowship training program Alternative pathways for practicing physicians IC with extensive structural heart disease experience Surgeons with valve disease and high risk patients experience
  • 9.
  • 10.
    Associations Post-graduate coursesUniversities Fellowships Meetings PCR, EACTS, AATS, TCT, etc Industry supported opportunities General endovascular training Device-specific training Implantation Patient selection Perioperative management
  • 11.
    Decision making Periproceduralcare Focus on comorbidity and ageing Management of complications Imaging training Patient selection Procedural planning Procedural guidance Learning the basics of catheter skills Cathlab tutorship Simulator training Learning the basics of surgery OR visits Learn the basic surgical skills
  • 12.
    No major aircraftcompany today launches a new aircraft without simultaneously contracting for a suite of simulation devices.                               
  • 13.
    Simulation: learning thebasics – Hands-on simulators and bench models
  • 14.
    The Simulated Patient- Simantha ™ Clinical scenario and ‘talking head’ Real patient images Responsive hemodynamics Exchangeable catheters Adverse event scenarios Performance Metrics
  • 15.
  • 16.
    “ real world”experience visiting, proctoring, exchanging ideas mutual support, Taking decisions sharing responsibility… Visiting centers with experience in Structural heart disease, High risk valve surgery,Transcatheter program
  • 17.
  • 18.
  • 19.
  • 20.
  • 21.
    Hibrid approach usingthe skills from Surgery and IC
  • 22.
    Toghether we canTEAM work is the winning strategy Cross-training facilitates collaboration and seamless multidisciplinary care Close collaboration is enabling cross-fertilization and development of hybrid strategies It is time to reconsider the role of and relationship among surgeons and interventional cardiologists
  • 23.
    Aortic valve implantOPEN MIS PORT ACCESS TRANSCATHETER Invasiveness
  • 24.
    Current surgical approachMinimization of invasiveness To mitigate risks Increase acceptance Tailored treatment Anatomical substrate Underlying disease Patient needs Perioperative care Pain management Best prosthetic material
  • 25.
  • 26.
    MIS PORT ACCESS Right Thoracotomy With Necklines
  • 27.
    Evolving scenario ofvalve disese Aging / Increased life expectancy Changing style of life Quality of life over longevity Productivity E sthetic appearance Circulation of information Patients awareness Referral pattern Limited resources / cost containment
  • 28.
    New indications Includethe new technologies in the surgical portfolio Adaptation Learn new skills Renovate the surgical facility Revise inhospital pathways Competition with cardiologists CE mark – device availability Collaboration and teamwork
  • 29.
    6 Cardiac Surgeons who adapted for the future Francesco Maisano Milano Michael Davidson Boston Eric Roselli Cleveland Mat Williams New York Grayson Wheatley Phoenix Thomas Walther Leipzig
  • 30.
    The new skillsCatheter skills Imaging Research oriented Tracking results Comparing surgical vs interventional outcomes Participating/designing Clinical Trials Additional knowledge Intellectual property Research and development Engineering Regulatory
  • 31.
    The training fromIndustry Edwards, Medtronic and St Jude are actively involved in training surgeons on the new skills EDGE BEST … . Start-up companies are not structured to offer this opportunity E-valve, Corevalve
  • 32.
    Collaboration is possibleCardiologist: But we do not send them ! Surgeon: We do not reject anybody !!
  • 33.
    Retraining the trainedAssociations Post-graduate courses Training opportunities during main meetings Universities Fellowships Meetings EACTS, AATS, TCT, PCR, etc Industry General endovascular training Device-specific training
  • 34.
    Team up all experts
  • 35.
    Voyeuristic attitude vs Active position
  • 36.
    The future ofmitral valve surgery Minimally invasive and transcatheter approach Image guidance and computer aided decision making Devices will be ethiology-specific Adjustable Implantable with no or minimal conventional suturing Early repair Stepwise and combined strategies
  • 37.
    The cardiac surgeonof the future Tailored approach – the best option for the patient
  • 38.
    The new “interventional” cardiac surgeon Francesco Maisano San Raffaele University Hospital Milano - Italy
  • 39.
    Cross training re-trainingthe trained Is cross training necessary? Is it feasible? How to do it? What are the interventional technical and cognitive skills needed to run a transcatheter vave procedure? How to renovate the OR facility and train the Team? How should be the optimal training program?
  • 40.
    DISCLOSURES Consulting agreementwith Edwards Lifesciences LLC for endovascular mitral valve repair Acknowledge relationship with several interventional cardiologists including Maurice Buchbinder, Antonio Colombo, Alec Vahanian, John Webb.
  • 41.
    The background 1998 The concept 1999 Milano I Open chest Closed heart 2001 Milano II Transcatheter Percutaneous 2004 Crosstraining 2005 First in Man endovascular E2E in the OR
  • 42.
    Percutaneous Valve Interventions(PVI) DIFFERENT POINTS OF VIEW Will never work / will never impact my practice Another chapter of cardiac surgery at risk of extinction / Another reason to fight with the Cardiologists An opportunity to offer a better treatment to our patients / to widen indications / to get more surgical candidates The official position….
  • 43.
    … percutaneousheart valve treatment requires skill sets independent of the operator’s base discipline … specific training should be required … Those individuals eligible for the procedural training should be confined to experienced interventionalists and surgeons … most interventionalists are likely to be cardiologists … … surgeons with appropriate training in percutaneous procedures may directely participate…
  • 44.
    Overlapping targets SURGERYCARDIOLOGY INVASIVENESS Off pump Port access Endoscopic Robotics Percutaneous Valve disease Peripheral stenting CPS Septal ablation ASD/VSD closure PVI
  • 45.
    The ideal TranscatheterValve Interventionalist Anatomy Physiology Pathology Natural history Risk Assessment Engineering Research Surgical skills Endovascular skills Knowledge of the materials Echocardiography Fluoroscopy Anesthesiology
  • 46.
    Crosstraining apersonal experience 2003 Design the strategy with Ottavio Alfieri 2003 Internal agreement and authorizations Identification of common strategies with Antonio Colombo Institution of a study group (TEAM WORK) Authorization from Hospital management Acquisition of the Fluoroscopy equipment / Radioprotection courses 2004 3 months of cath-lab full immersion (3 days/week) Basic endovascular skills First operating diagnostic procedures First assisting in complex procedures -2005 Continuing training (at least 2 half days/week) Interesting cases (mainly non coronary) Percutaneous aortic valve implantation 2002–2005 “parallel training” Selected readings (manuals and journals) Animal lab Bench simulators Computer simulators Interventional meetings (TCT, PCR, JIM) Conflicting interests (cardiac surgeons, interventionalists, vascular surgeons, electrophysiology) Hospital management not ready – lack of clinical application Time consuming and difficult to reproduce Clinical activity at risk / troubles with referrals Need for backup from collegues Some skills easier to achieve (imaging, decision making, etc) Manipulation skills more intuitive than expected New material, instruments, devices to know Time consuming / need planning Very informative Difficult to get involved actively Meeting new friends /referrals No time limitations No risk for the patients Device specific
  • 47.
    Cath lab Vascularaccess Catheterization Angiography PTCA Non coronary interventions Material inventory Simple diagnostics done in the OR
  • 48.
    Computer simulators Highlyrealistic simulation based endovascular training using realistic 3D patient anatomies, simulating real tools, tactile feedback, different cases, scenarios and complications. Already in use for training for angiography, angioplasty and coronary and carotid stenting Training sessions available at major cardiology meetings Echo-based simulators needed
  • 49.
    Bench Simulators Devicespecific Useful to explore the device function by direct vision Correlation between manipulations and effects No time limitations Less expensive than animal lab
  • 50.
    Animal Lab Veryrealistic set-up to learn catheter manipulation and management General endovascular training (e.g. transeptal) Device-specific endovascular skills Excellent for team training Expensive
  • 51.
    Transeptal puncture “The” endovascular skill for mitral valve Difficult and risky Echo guidance Safety Precision A surgeon invented it – so we can learn it Few (<5%) interventional cardiology centers routinely perform this technique
  • 52.
    Imaging and otherenabling technologies ICE 3D echo Multislice CT MRI Stereotaxis Combinations
  • 53.
    The Renovation processThe Facility radiologic portable machine The hybrid room The materials The Team Multidisciplinary TEAMWORK Cardiologist Interventional cardiologist Vascular surgeon Echocardiographist Clinical cardiology Anesthesiologist Nurses
  • 54.
    Impressions from “cross-training”Cross training is feasible Time Dedication Humility – go back to school Positive environment Opportunity of learning new stuff Broadening the view Think as the cardiologists Improve catheter skills for everyday surgical practice Surgery Hwy Cardiology Hwy Percutaneous valve Hwy Standardization of training pathways
  • 55.
    The future trainingAccredited postgraduate residency or fellowship training program Reduce the years spent in general surgery 3 years of “general cardiac surgery” One additional year for specialization in Pediatric General cardiac / Thoracic surgery Interventional surgery Alternative pathway Cross training Bench training and Simulators Animal lab EACTS sponsored postgraduate courses Industry sponsored postgraduate courses Courtesy of P.Kappetein
  • 56.
    The future interventionalcardiac surgeon Full trained in heart surgery(sub specialized?) and cross trained Minimally invasive as a broad view Patient and disease oriented – expert of the disease and mastering all possible technical solutions: conventional, minimally invasive (endoscopic and robotics) and endovascular treatment Scientific oriented - Tracking results, Comparing surgical vs interventional outcomes, Participating/designing Clinical Trials Technology and Innovation oriented Intellectual property, Research and development, Engineering, Regulatory
  • 57.
    … The GreatestRisk Is Not Taking One…
  • 58.
    Acknowledgements Ottavio Alfieri(inspiring and letting me doing it) My collegues (covering my duties) Antonio Colombo (teaching me a lot, and demonstrating friendship) David Zarbatany (who developed the device and believed in me from the very beginning) Maurice Buchbinder (encouraging me and teaching with open mind) Edwards Lifesciences LLC (Don Bobo, Stan Rowe, Marcello Conviti, Luigi Bertana) (understanding the role of surgeons in the catheter evolution) Pieter Kappetein (envisioning with me the future training requirements ) My Family (understanding me)
  • 59.
  • 60.
  • 61.
  • 62.
  • 63.
    Subclavian access (CorevalveTM) Short delivery distance Painless Local anesthesia Retrograde approach
  • 64.
  • 65.
  • 66.
  • 67.
    Subclavian access (CorevalveTM) Short delivery distance Painless Local anesthesia Retrograde approach
  • 68.
  • 69.
  • 70.

Editor's Notes

  • #6 Few months ago, concomitantly on the JACC and the Journal of thoracic and cardiovascular surgery, a consensus paper on PVI stated the offical positions of the following associations: the STS, AATS and the Society of cardiovascular interventions. Interestingly, the societies agreed that: … .. The integration between cardiac surgeons and cardiologists is encouraged to facilitate cross fertilization
  • #7 In 2004 I recognized that if I still wanted to be involved in PVIs I had to incorporate in my cultural and technical background, cognitive and technical skill from interventional cardiology. So I decided to undergo crosstraining in interventional cardiology, with the specific aim of being prepared for valve interventions
  • #39 First of all let me thank Dr Vanermen who invited me to give this lecture. In the last one and a half year I underwent cross training with the specific goal of being prepared to perform percutaneuos valve interventions
  • #40 My difficult task is to derive from a personal experience some general conclusions. These are the burning issues which are relevant for surgeons willing to be involved in the clinical development of endovascular valve therapy
  • #41 Before going into the details let me disclose a consulting agreement with Edwards Lifesciences, and several let’s say dangerous relationships with the enemy…. But let’s go with my story
  • #42 Everything started in 1998 when we first suggested suggesting the possibility of perfroming the edge to edge repair percutaneously. Inn 1999, Edwards started the Milano 1 project, and we were involved to test this endvascular device with an open approach. In 2001 the Milano 2 project started, and from that time on we understood that almost anything is feasible with a catheter, it is only a matter of technology. So I entered a crosstrining program to be prepared for the first in man e2e Milano 2 repair, performed with Maurice Buchbinder in our surgical operating room in march 2005.
  • #43 Therefore, I had the priviledge of experiencing all the evolution of enduvscular valve therapy. At the same time I had the opportunity of exchanging opinions with other surgeons and I found different views on PVIs. Some surgeons feel that PVI will never work or will not affect their own practice. Other surgeons think that it is not their business, cardiologists will take it and it is another reason to fight. Both positions are generating misbelief and unwise reactions. As an example we submitted and abstract to this year EACTS reporting our endovascular e2e experience in the animal model. This abstract has been rejected, and we will not able to share with our surgical comminity our experience as surgeons involved in the field. We believe that PVIs are an opportunity for surgeons, and surgeons have to be involved. This position is also the official position of the american surgical societies
  • #44 Few months ago, concomitantly on the JACC and the Journal of thoracic and cardiovascular surgery, the STS, AATS and the Society of cardiovascular interventions published a consensus document stating that…. It appears evident that surgeons and cardiologists should team work to contribute to the evolution of PVI.
  • #45 IN the last years there has been a progressive overlapping between surgery, aiming to less invasive techniques, and interventional cardiology, bocoming more and more invasive. The two disciplines had to meet somewere: and this happened with Percutaneous Valve interventions. Although initial efforts will be directed towards team approach, probably it is time for desgning a new profession, derived from the two disciplines
  • #46 How should be the ideal valve interventionalist? He or she should have gognitive and technical skills from both surgery and interventional cardiology (think for instance to the transapical approach for aortic valve implantation). New skills involve also imaging, engineering and research. But let’s see how I envisioned this scenario
  • #47 Here is the timetable of my training
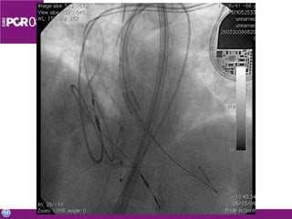
  • #48 Cath lab is the best set-up to learn basic and advanced catheter skills. I have learned the many aspects and the importance of a good vascular access, and performed some basic skills including catheterization and angiography, while I assisted in PTCA and non coronary interventions. The cath lab is an unique opportunity to learn catheter management, and to be exposed to the large inventory of material and devices. In a second step, we run some simple diagnostic procedures in the OR to assess feasigbility and reliability of such new setup. Here you see an angio performed in the OR.
  • #49 I had the priviledge of use computer simulators, they allow
  • #50 An important adjunctive tool for my training has been the bench simulator. Here you see the heart is mounted in this box, and a pump simulates the beating heart and mitral valve function. You see the device working, imaged by an endoscope. This training was useful because it was
  • #51 But most of all, I gained experience in catheter skills in the animal lab.
  • #52 Talking about transeptal, this is the…… However Transeptal is not patrimony of most interventionalists.
  • #53 Not only transeptal puncture can be facilitated by echo, but generally speaking….. Imaging is the most important enanbling technoilogy for PVI and surgeons involved in the field should be exposed to most of these technolgies
  • #54 Last but not least, the personal renovation process of incorporation of new skills is complete only if the facility and the team are renovated as well. We acquired a high level portable fluro machine, and we are in the process of acquiring a hybrid room. We renovated the inventory of the matierals. Most importantly we trained the people involved in the project, for an efficient team approach
  • #55 In conclusion, looking my past year and a half from above, The cross training is feasible but you need…. Overall it has been a great experience….. But in the future we really need to focus on standardized training pathways.
  • #56 I share this slide with Pieter Kappetein. We tried to envision how to train future surgeons. There are at least two options: On is the official training through accredited recidency or fellowships, involving one year postgraduate course in interventional surgery But very important wil be the alternative pathway to be offered to fully trained surgeons, which will include….. Both pathways should be effective in creating reliable professionals to perform percutaneous valve interventions
  • #57 In conclusion: How I envision the future interventional cardiac surgeon. All this evolution is a long jump forward and certainly implies some risks -&gt;
  • #58 But We are ready to take these risks. If you step back in the history of our profession… you will find how many risks have been undertaken by our pioneers who developed our profession in the eraly stages. The had enthusisasm, scientific attitude, they had the strong support from the industry and from engineering, but mostly they were not afraid of the change