Santa Rosa Hospital
Sheila Sustache de Leon MD
Enero 2012
THE PREGNANT PATIENT
Santa Rosa Hospital
Sheila M. Sustache de Leon MD
Feb/ 2012
• Full term delivery at 37 week
of gestation.
• 12% of live births are
premature.
• 65% of all perinatal morbidity
and mortality is associated
with premature delivery.
Non pregnant
• Uterus weight
– 70g
• Cavity volume
– 10ml
pregnant
• Uterus weight
– 1100g
• Cavity volume
– 5 L
Extends Abdominal cavity
umbilicus
liver
• Exerts pressure on the anterior abdominal wall.
– Displaces the intestine superiorly and laterally.
• Change the relationship between the abdominal visceral
organs.
• In upright position
– The uterus is supported by the anterior abdominal
wall.
– Usually undergoes a dextrorotation because of the
presence of the rectosigmoid on the left.
• In supine position
– Uterine weight falls on the spinal column.
– Compression of the surrounding great vessels.
– Especially the flaccid IVA
• Electrical change in the myometrium
– Resting membrane potential of the uterine
myocyte ranges from -40 to -60 mV.
– Early in gestation
• -60mV
• Irregular electrical activity (slow waves)
– Near term
• -40 mV
• Rhythmic alteration in the membrane
potential lead to an action potential at the top
of slow waves.
Entry Ca2+
Voltage sensitive
Ca2+ channel
Allow interaction
actin-myosin
Electromechanical
coupling
Uterine
contraction
• Second trimester
– Irregular contraction can be palpated though the
abdominal wall (Braxton hicks contractions)
• Irregular in intensity
• Infrequent
• Unpredictable
• Non-rhythmic
• More uncomfortable than painful)
• They do not increase in intensity, or frequency
http://www.medhelp.org
• Small increase uterine pressure up to 80 mmHg.
•Increase gap junctions results in rapid and efficient
conduction of the action potential uterine smooth
muscle.
•Resulting coordinated
•Dilatation of cervix and delivery of the baby.
Stimulates uterine
activity
Down regulates uterine
activity
Estrogen (opposing the action of
progesterone)
Progesterone (block Ca2+ flux
thought cell membrane)
Oxytocin ( secreted from posterior
pituitary. Stimulate Ca2+ across
myometrial plasma membrane and
distinct receptor myometrium and
other reproductive tissues.)
PGE₂, PGFα (favor activation of
the uterine musculature, onset uterine
contraction. Raise local [Ca2+] by
increasing release from intracellular
store. )
IL-1, IL-6 (produced locally by
placental tissue and act in concert with
other stimulatory factor)
• Multifactorial
– Surgical manipulation
– Intraabdominal inflammatory process
• The delaying or inhibition of labor stopping of
contraction during premature labor.
– Intervention is directed at decreasing the uterine
smooth muscle activity thought inhibition of the
muscle contraction.
– Tocolytic treatment may result in the delay of delivery
by aprox. 48 hrs, which allows for the administration
of steroids to promote fetal lung maturation.
• Decrease risk of respiratory distress syndrome and
multiorgan failure in the preterm neonate.
• Magnesium sulfate
– First line tocolytic agent
– High intracellular [Mg] inhibits Ca2+ entry
myometrial cells interfering with actin-myosin
coupling. Also increase the sensitivity of K+
channels favoring hyperpolarization and uterine
relaxation.
– Range 4 and 9 mg/dL
• Prostaglandins
– Prostaglandin synthetase inhibitors specially
AINES are use to stop premature labor.
• Indomethacin
– Recomendated in Nonobstetric surgery.
– Preoperative dose 50mg-100 mg PO
– Postoperative 50 mg PO q 6 hrs for 48hrs.
– Intraabdominal surgery preterm pregnant
» Two doses of betamethasone 12mg 24hrs or four doses of
dexamethasone 6 mg 12 hrs
» Ideally beginning 48 hrs prior to surgery.
• Β adrenergic agonists
– Stimulation of uterine β2 receptor leads to activation
of adenylate cyclase and an increse in intracellular
cyclic adenosine monophosphate (cAMP)
concentration.
– Activation of cAMP dependent protin kinase A inhibits
myosin light chain phosphorylation and actin myosin
coupling.
– Protein Kinase A activity is also associate with increase
Ca2+ effux, decrease Ca2+ influx, and increases K+
conductance.
• Calcium channel blockers
– Inhibits entry of calcium though voltage
dependent Ca2+ channels.
• Nifedipine
– Abolish uterine activity and prevent delivery with minimal
toxicity or side effects.
• The maternal physiologic homeostasis adapts in
order to promote a physiologic environment the
benefits the development and growth of the
fetus.
• Progesterone levels increase
– Is a smooth muscle relaxant that play a major role
in assuring relaxation of the uterine smooth
muscle to prevent premature delivery.
– In addition vascular, gastrointestinal and
urogenital smooth muscle relaxes.
• Plasma volume increase by up 50% and RBC
volumen by 20 % to 30%.
– This increase in intravascular (blood) volumen
leads to a 50% increase in cardiac output (CO).
• Marked venous and arterial vasodilatation. The
vasodilatation is facilitated by a decrease in
vasoconstrictor sensitivity and an increase in the
production of nitric oxide and prostacyclin.
– Common clinical signs and symptoms associated
with this increase in CO and associated
vasodilatation include:
• Decrease exercise tolerance
• Mild peripheral edema
• Spider angiomata
• Complains of stuffy sinuse
• Increase in lower extremity varicosities
• hemorrhoids
• To increase O2 delivery to the fetus and
remove the increased supply of CO2 produced
by the fetus.
– Hyperventilates
– Maternal O2 metabolism increases by 20% - 30%
and functional reserve capacity decrease.
• When intubation is needed, there significantly
less time to establish an airway and assure
continued oxygenation.
• Is common to have sensation of SOB,
specifically in the second and third trimester.
• The lower esophageal
sphincter tone gradually
decreases.
– Nausea and vomiting of
pregnancy is a common
occurrence affecting
between 50% and 90%
of all women.
• The gallbladder empties more slowly during
pregnancy and undergoes a gradual increase
in residual volume, both during fasting and
after meals.
– Motility and volumes return to normal as early as
2 weeks after pregnancy.
• Prolonged small bowel transit time and
decreased colonic emptying work to maximize
nutrient and water absorption.
– Contribute to the constipation reported by 38% of
pregnant women.
• Abdominal pain
– Round ligament pain is described as an aching,
dragging pain.
• Typically unilateral
• Provoked by physical activity or even turning while sleeping.
• Common occurrence third trimester
– Pain in the hypochondrium.
• Can result from uterine pressure on the lower ribs.
• Px describes a very localizated, sharp, nonradiating pain.
• That more often is on R+ compare to the L+ upper cuadrant.
• Hemoglobin concentrations may drop to 10
mg/dl.
• Hematocrit values may go as low as 30%.
• Pregnancy may be associated with an increase
in the WBC count.
– Up to levels of 13,000 cell/mL.
– Intrapartum and immediate postpartum (<24 hrs)
counts may be as high as 25,000 WBC/mL
• Platelet count may slightly decrease as the
pregnancy progresses.
– Up 8% of pregnancy
– The most common cause is gestational
thrombocytopenia.
• Typically asymptomatic
• Recover to normal levels a few weeks following the
delivery.
• Renal blood flow and glomerular filtration rate
increase by over 50%.
• Creatinine levels decrease appropriately, resulting
in normal levels of 0.5 to 0.6 mg/mL.
• Serum alkaline phosphatase levels gradually
increase.
– Because of production of an alkaline phosphatase
isozyme by the placenta.
• Albumin levels may be lower.
– Associated with the increase in plasma volumen and
osmotic pressure may be decreased.
• In almost all clinical presentations, the risks of
misdiagnosis by avoiding the proper imaging
tests are greater compared to the risks of
sequelae from ionizing radiation to the fetus.
• Ionizing radiation
– Fetal effects of ionizing radiation depend on the dose
absorbed by the fetal tissue and the stage of fetal
development during exposure.
– The roentgen is a common unit of exposure.
• Produce 0.26 milicoulomb/kg of air or 2 billon ion pairs/ cm³ of
exposed air.
– One gray (Gy) is strictly defined as the deposition of 1.0
joule of energy/kg of tissue.
– One rad is 1% of 1 Gy.
– In is a misconception to assume that the radiation
absorbed by the mother is the same as the
absorbed by the fetus.
– Dosing of radiation to the uterus and conceptus
can vary several fold based on abdominal wall
depth and the anteverted or retroverted position
of the uterus.
– DNA damage may be repaired of may result in cell
death, rapid cell growth, abnormal cell growth or
genetic mutation.
Radiation dosing to the conceptus an
uterus from selected radiographic
examinations.
Examination DOSE (mrad)
Routine Chest x- ray 0.5-1.0
Abdominal flat plate 140
Intravenous pyelogram 78
CT, chest (uterus shielded, not
exposed)
16-23
CT, abdomen (uterus shielded,
not exposed)
150-190
CT, pelvis 2,000
• Growth impairment of organs occurs of the
population of cells cannot be replaced or
damage occurs to a small population of
progenitor cells at a vital stage of
development.
– The outcome of radiation exposure depends on
the absorbed dose and the stage of development
during exposure.
• Potential death early in gestation.
• Teratogenesis during organogenesis (4 to 10 weeks of
gestation).
• Growth retardation at later gestational stages.
• Lethal Effects
– Multicellular embryo, before the blastocyst stage
is most sensitive to the lethal effects of radiation
but resistant to teratogenesis if it survives.
– More than 50% of all human pregnancies abort.
• Determining the lethal dose of radiation at this stage is
difficult.
– Significant radiation exposure in the first 2 weeks
of human development.
• 3 and 4 weeks of results in loss of the pregnancy.
• Teratogenic effects
– Occurs during early organogenesis.
– Correspond to weeks 2 to 8 in human
development (4 to 10 of gestation).
– A significantly higher rate after exposure to
radiation in pregnancy have been report:
• Microcephaly, pigmentary changes in the retina,
hydrocephalus, and optic nerve atrophy.
– Exposure less than 5 rads does not increase the
risk for birth defects.
• 5 to 10 rads = teratogenicity
• Greater than 10 rads = serious risk to the fetus.
• Intrauterine Growth restriction
– Result from radiation induced cellular depletion.
– Example: children exposed in utero to the
Japanese atomic blasts.
• 1,500 m from center of the explosion
– Exposed to over 25 rads
– 2 a 3 cm shorter, 3 kg lighter head circumference 1 cm smaller
than normal (17 y/o)
• Oncogenic potential
– The correlation between childhood cancer and in
utero exposure to radiation has been reported.
• Ultrasound
– Ultrasonography use high frecuency, no ionizing,
acoustic radiation to create images.
– Audible sound range = 20 to 20,000 vibration/seg
• Ultrasonography use frecuencies of 1 millon to 10 millons
vibrations/seg
– Not been shown to produce fetal damage or harmful
effect.
• Rapid compression and decompression of
tissue by sound wave. Cause tissue damage.
– Conversion of mechanical energy to thermal
energy.
– Especially at the bone soft tissue interface, could
lead to local hypertermia.
• CAVITATION could cause microscopic bubbles already
present in tissue to grow size because of absorption of
surrounding diffused gases.
• MRI
– Use no ionizing radiation and relies on the magnetic
properties of tissue to create images.
– Four magnetic fields interact during an MRI
examination to create the image.
• Intrinsic magnetic field (2)
• Extrinsic magnetic field (2)
– Present danger to the developing fetus.
• Charged particles and molecules moving in a strong
magnetic field create an electroestatic potential difference
and anormal RBC can alter their shape and create a charge
when moving within an electric field.
• Can induce visual light flashes because of magnetic effects
on the photoreceptors in the eye, and heat can be generated
during the application of radiofrequencies.
– Elective examination of pregnant women by MRI postponed
until after the first trimester and completion of organogenesis.
• Is not absolutely contraindicated.
• Medication in pregnancy
– Medications contraindicated in pregnancy include but are not
limited:
• Coumarin derivatives
• Isotretinoin
• Metrotrexate
• Diethylstibestrol
• Thalidomide
• Angiotensin converting enzyme (ACE) inhibitors
• ACE antagonist
• Tetracycline
• Quinolones
– The risks to the fetus may be less compared to the risk to the
mother when not using the proper medication.
Fetal monitoring
• Fetal heart rate (FHR) Indirect assessment of fetal
well being.
• Can be monitored externally using Doppler
device that is placed on the maternal abdomen.
• Uterine activity is monitored by using a
tocodynometer, also applied to the maternal
abdomen.
• Response to altered uterine-placental perfusion
or decrease O2 content in maternal blood.
• FHR interpretation
– Fetal tachicardia ≥ 10 min ↑ 160 bpm
– Fetal bradycardia ≤ 10 min ↓110 bpm
– Acceleration
• Increase in the FHR of at least 15 bpm fpr at least 15
seconds.
• Normal findings in second half of pregnancy.
• Occur as a result of increased sympathetic and
decrease parasympathetic stimulation with fetal
movement.
– Deceleration
• Usually accur intrapartum and related to the uterine
contractions ( periodic decelerations).
• Classification:
– Early
» Simultaneous with the contraction.
» Uniform, gradual drops in the FHR that mirror the uterine
contraction and reflect an increased vagal tone from a
transient increase in intracraneal pressure.
– Late
» Starting when the contraction is in progress and
recovering after the contraction is over.
» Poor uterine perfusion or decrease O2
• Causes: Hypotension; IVC compression, blood loss or
regional anesthesia.
– Variable
» Variable in relation to the contraction.
» Result from umbilical cord compression by uterine
contraction.
– Isolated variable
» Inadequate recovery between contractions.
» Intervention may be indicate.
• Appendicitis affect 250,000 patient every year
in the US.
• Is the most common nonobstetric indication
for operation during pregnancy
– Average incidence if 1 in 1,500 deliveries.
• Variation in signs and symtoms of appendicitis
during pregnancy (see table).
• Appendiceal lumen obstruction
– Lymphoid hyperplasia
– Feacaliths
– Parasites
– Foreign bodies
– Crohn disease
– Metastatic cancer
– Carcinoid syndrome
• Appendiceal lumen obstruction leads to an
increase in intraluminal pressure by blocking the
normal egress of mocus.
– Progressive obstruction of venous outflow followed by
capillary and arterial thrombosis leads to mucosal
ulceration, trasmural wall necrosis and perforation.
First trimester Second
trimester
Third trimester
SIGNS AND
SYMPTOMS
% % %
R+ LQ pain 100 50 14
R+ UQ pain 0 17 57
Guarding
(muscle spasm)
80 50 43
Nausea and
vomiting
53 60 23
Tenderness on
rectal
examination
60 17 0
Perforation rate 20 49 70
• PE:
– Tenderness RLQ
– Rebound & Guarding (peritoneal signs)
– Rovsing sign
• palpation of the LLQ results in more pain in the RLQ
– Dumphy’s sign
• increased abdominal pain with coughing
– Psoas sign (retroperitoneal retroccal appendix)
• passively extending the thigh of a patient lying on their
side with knees extend
– Obturator sign (Pelvic appendix)
• pain when there is flexion and internal rotation of the
hip
– Rectal examination tenderness (Cul-de-sac)
– Low grade fever
• Laboratory
– WBC
• 2nd &3rd Trimester: 6,000-16,000
• Absolute number: not reliable
• Differential:  levels of band cells can be reliable
indication of infection.
– U/A
• mild pyuria or mild hematuria: 20%
• {extraluminal irritation of the ureter, not UTI}.
• mild proteinuria
• A delay in diagnosis occurred in 18% of
patients in the second trimester.
– In third trimester a delay was the rule.
• Delay in operation with a high rate of
perforation.
– 49% in the second trimester
– 70% in the thrid
• Perforated appendicitis presents a greater infectious
risk.
– Large uterus interferes with proper omental migration
throughout the abdominal cavity and prevents the walling
off the inflammatory process.
– Increase vacularity of abdomen
– Greater lymphatic drainage allows rapid dissemination of
infection.
• Perforated appendicitis in pregnancy rapidly leads to
diffuse peritonitis, premature labor and fetal loss.
– Rate of preterm labor and fetal loss 26 % to 66 %
compared with 0% to 5 % for uncomplicated appendicitis.
• Imaging modalities
– Negative appendectomy rate:
-Clinical diagnosis alone: 54%
-Clinical, US & CT: 8%
 1st Line:
 US
 2nd line:
 CT (sensitivity 98%; specificity 98%)
 MRI (sensitivity 100%)
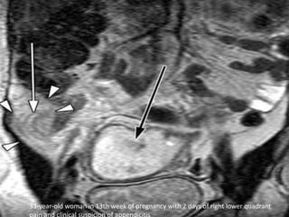
33-year-old woman in 13th week of pregnancy with 2 days of right lower quadrant
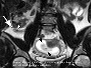
26-year-old woman in 11th week of pregnancy with right lower quadrant
pain and clinical suspicion of appendicitis
• Reduce
insufflations
pressures of 8 to
12 mm Hg.
– Decrease fetal
morbidity and
mortality.
• Use open Hasson
technique of
trocar placement
under direct
visualization
rather than blind
insufflations with
a Veress needle.
• Advantages
– Useful in diagnosis
– Less post-op complication
– Earlier mobilization & recovery: fewer thromboembolic
complications
– Lower postoperative narcotic use: less fetal depression
– Shorter hospital stay
• Disadvantages
– Experience limited
– Co2 pneumoperitoneum:
– uterine blood flow
– Fetal acidosis
– Premature labor
Guidelines for laparoscopic surgery during pregnancy
1. Defer operative intervention until the second trimester, when the fetal risk is
lower, whenever possible.
2. Pneumatic compression devices must be used because of he enhancement of
lower venous stasis with pneumoperitoneum and pregnancy induced
hypercoagulable state.
3. Fetal and uterine status, as well as maternal end-tidal CO2 and arterial blood
gases, should be monitored.
4. Use fluroscopy selectively and protect th uterus with lead shield if
intraoperative cholangiography is possible.
5. Given enlarged gravid uterus, abdominal access should be obtained using open
technique.
6. Dependent positioning should be used to shift the uterus off the inferior vena
cava.
Pneumoperitoneum pressures should be minimized and not allowed to exceed 15
mm Hg.
7. Obstetric consultation should be obtained before operation.
• Acute cholecystitis in the second most
common general surgery diagnosis during
pregnancy.
• Progesterone induced relaxation of the
gallbladder combined with estrogen induced
supersaturation of bile predispose to gallstone
formation.
• The risk for development of gallstones is
related to the number of pregnancies,
doubling after two pregnancies and nearly
quadrupling after four.
• Incidence of acute cholecystitis during
pregnancy is relatively low 1 to 8 in 10,000
pregnancies (0.01% to 0.08%).
• Symptoms of cystic duct obstruction:
– Crampy RUQ or epigastric pain after a meal can
last several minutes to hours.
• May radiate to the back
• Nausea
• Vomiting
– Tenderness on palpation of the RUQ=acute
cholecystitis
• Labs
– Normal leukocytosis
– Elevated alkaline phophatase during pregnancy.
– Increase bilirubin
• Visible jauncide
• Diff. DX
– Hepatitis
– Acute fatty liver of pregnancy
– appendicitis
• Dx
– History
– PE
– Ultrasonography 97% accurate
• Gallbladder wall thickening
• Pericholecystic fluid
• Pain on palpation with the ultrasound transducer
• Sonographic Murphy sign (is confirmatory of
inflamation)
• Management
– Maintained on IV hydratation
– Treated with antibiotic for signs of infection.
– A low fat diet
– The surgery was reserved for those with persistent
symptoms, severe toxicity, sepsis, peritonitis or
obstructive jaundice.
• Complication of gallstones
– Choledocholithiasis
– pancreatitis
• Laparoscopic cholecystectomy
– Is a safe and reliable modality
– Removing the diseased gallbladder eliminates the
potential for recurence
– The minimal uterine retraction need with
laparoscopic.
– Access to the RUQ should decrease the risk for
preterm labor.
– The incidence of premature uterine contraction with
laparoscopic cholecystectomy has been reported at 0% to
21%.
• Usually well controled with tocolytics.
• Spontaneous abortion ranging from 0% to 7%.
• Open cholecystectomy
– Rate of premature labor ranges from 0% to 40%.
– Spontaneous abortion or premature birth rate of up to
22%.
– Second trimester is the optimal time.
• Organogenesis is complete
• Gravid uterus is not yet large enough to impinge on the operating
field.
• Choledocholithiasis
– A bilirubin above 1.5 mg/dL, a dilatad common bile
duct or gallstone pancreatitis.
– Endoscopic retrograde cholangiopancreatograpy
(ERCP) can be performed safely in pregnancy.
• Scatter radiation on the order of 4 mrads during whole
examination.
• Evaluation of the biliary tree, stone retrieval, and
sphincteroctomy can be performed.
– Other methods avoid radiation:
• Endoscopic ultrasonogaphy
• Endoscopic papillotomy under ultrasonographic control
• Magnetic resonance cholangiography
• 1 in every 68,000 deliveries.
• Adhesions remain the most common cause of
intestinal obstruction in gravid patient.
• Volvulus is much more common complication.
Cause of intestinal obstruction complication
pregnancy and the puerperium in 66 patients.
# and %
Adhesions 39 (59%)
Volvulus 15 (23%)
Sigmoid 7
Cecal 3
midgut 3
Volvulus around vitellointestinal band 2
Intussusception 3 (5%)
Hernia 2 (3%)
Carcinoma 1 (1%)
Appendicitis 1 (1%)
Idiopathic 5 (8%)
• Obstruction during pregnancy classically presents
during three peak periods.
– The first peak
• The 4 a 5 months of gestation as the uterus becomes an
intra abdominal organ stretching any previously formed
adhesions.
– The second peak
• during the 8 a 9 months, when the fetal head descends into
the pelvis, decreases the uterine size.
– The third peak
• After delivery as the sudden decrease in uterine size
drastically change the association of adhesions to
surrounding bowel.
• Presentation and Dx
– Abdominal pain and vomiting
– Proximal small bowel obstruction
• Results in short period between vomiting episodes with poorly
localized, crampy upper abdominal pain.
– Colonic obstruction
• Present with less frequent feculent vomiting and lower abdominal
pain.
– Tachycardia and hypotension are also late signs suggesting
bowel compromise and shock.
– Labs
• Significant leukocytosis can occur with necrosis and bowel
strangulation.
• Rx
– Serial films every 4 to 6 hrs usually show
progressive changes confirming the dx.
Reference
• Nature Reviews Molecular Cell Biology 4. Review: MRI: volumetric imaging for vital imaging and atlas
construction. http://www.nature.com/focus/cellbioimaging/content/images/nrm1195_f1.html .SS10–
SS16. 2003.
• American Academy of Family Physicians. Clinical Interpretations of Fetal Monitor Patterns and the
Detailed Implications Regarding Fetal Health: May 1, 1999.
• Appendicitis in Pregnancy: Methods. http://www.medscape.com/viewarticle/549510_4
• Acute appendicit is: Pregnancy complicates this diagnosis
• http://www.jaapa.com/acute-appendicitis-pregnancy-complicates-this-diagnosis/article/130146/
• Lodewijk P. Cobben. MRI for Clinically Suspected Appendicitis During Pregnancy. September 2004 vol.
183 no. 3 671-675 http://www.ajronline.org/content/183/3/671.full
• Stavros Zarkadas. LAPAROSCOPIC APPROACH IN ACUTE ABDOMINAL PROCESSES DURING
PREGNANCY.
http://www.laparoscopyhospital.com/laparoscopy_for_acute_abdomen_in_pregnancy.html
•

The pregnant patient

  • 1.
    Santa Rosa Hospital SheilaSustache de Leon MD Enero 2012 THE PREGNANT PATIENT Santa Rosa Hospital Sheila M. Sustache de Leon MD Feb/ 2012
  • 2.
    • Full termdelivery at 37 week of gestation. • 12% of live births are premature. • 65% of all perinatal morbidity and mortality is associated with premature delivery.
  • 3.
    Non pregnant • Uterusweight – 70g • Cavity volume – 10ml pregnant • Uterus weight – 1100g • Cavity volume – 5 L
  • 4.
  • 5.
    • Exerts pressureon the anterior abdominal wall. – Displaces the intestine superiorly and laterally. • Change the relationship between the abdominal visceral organs. • In upright position – The uterus is supported by the anterior abdominal wall. – Usually undergoes a dextrorotation because of the presence of the rectosigmoid on the left. • In supine position – Uterine weight falls on the spinal column. – Compression of the surrounding great vessels. – Especially the flaccid IVA
  • 7.
    • Electrical changein the myometrium – Resting membrane potential of the uterine myocyte ranges from -40 to -60 mV. – Early in gestation • -60mV • Irregular electrical activity (slow waves) – Near term • -40 mV
  • 8.
    • Rhythmic alterationin the membrane potential lead to an action potential at the top of slow waves. Entry Ca2+ Voltage sensitive Ca2+ channel Allow interaction actin-myosin Electromechanical coupling Uterine contraction
  • 9.
    • Second trimester –Irregular contraction can be palpated though the abdominal wall (Braxton hicks contractions) • Irregular in intensity • Infrequent • Unpredictable • Non-rhythmic • More uncomfortable than painful) • They do not increase in intensity, or frequency
  • 10.
    http://www.medhelp.org • Small increaseuterine pressure up to 80 mmHg. •Increase gap junctions results in rapid and efficient conduction of the action potential uterine smooth muscle. •Resulting coordinated •Dilatation of cervix and delivery of the baby.
  • 11.
    Stimulates uterine activity Down regulatesuterine activity Estrogen (opposing the action of progesterone) Progesterone (block Ca2+ flux thought cell membrane) Oxytocin ( secreted from posterior pituitary. Stimulate Ca2+ across myometrial plasma membrane and distinct receptor myometrium and other reproductive tissues.) PGE₂, PGFα (favor activation of the uterine musculature, onset uterine contraction. Raise local [Ca2+] by increasing release from intracellular store. ) IL-1, IL-6 (produced locally by placental tissue and act in concert with other stimulatory factor)
  • 12.
    • Multifactorial – Surgicalmanipulation – Intraabdominal inflammatory process
  • 13.
    • The delayingor inhibition of labor stopping of contraction during premature labor. – Intervention is directed at decreasing the uterine smooth muscle activity thought inhibition of the muscle contraction. – Tocolytic treatment may result in the delay of delivery by aprox. 48 hrs, which allows for the administration of steroids to promote fetal lung maturation. • Decrease risk of respiratory distress syndrome and multiorgan failure in the preterm neonate.
  • 14.
    • Magnesium sulfate –First line tocolytic agent – High intracellular [Mg] inhibits Ca2+ entry myometrial cells interfering with actin-myosin coupling. Also increase the sensitivity of K+ channels favoring hyperpolarization and uterine relaxation. – Range 4 and 9 mg/dL
  • 15.
    • Prostaglandins – Prostaglandinsynthetase inhibitors specially AINES are use to stop premature labor. • Indomethacin – Recomendated in Nonobstetric surgery. – Preoperative dose 50mg-100 mg PO – Postoperative 50 mg PO q 6 hrs for 48hrs. – Intraabdominal surgery preterm pregnant » Two doses of betamethasone 12mg 24hrs or four doses of dexamethasone 6 mg 12 hrs » Ideally beginning 48 hrs prior to surgery.
  • 16.
    • Β adrenergicagonists – Stimulation of uterine β2 receptor leads to activation of adenylate cyclase and an increse in intracellular cyclic adenosine monophosphate (cAMP) concentration. – Activation of cAMP dependent protin kinase A inhibits myosin light chain phosphorylation and actin myosin coupling. – Protein Kinase A activity is also associate with increase Ca2+ effux, decrease Ca2+ influx, and increases K+ conductance.
  • 17.
    • Calcium channelblockers – Inhibits entry of calcium though voltage dependent Ca2+ channels. • Nifedipine – Abolish uterine activity and prevent delivery with minimal toxicity or side effects.
  • 18.
    • The maternalphysiologic homeostasis adapts in order to promote a physiologic environment the benefits the development and growth of the fetus.
  • 19.
    • Progesterone levelsincrease – Is a smooth muscle relaxant that play a major role in assuring relaxation of the uterine smooth muscle to prevent premature delivery. – In addition vascular, gastrointestinal and urogenital smooth muscle relaxes.
  • 20.
    • Plasma volumeincrease by up 50% and RBC volumen by 20 % to 30%. – This increase in intravascular (blood) volumen leads to a 50% increase in cardiac output (CO). • Marked venous and arterial vasodilatation. The vasodilatation is facilitated by a decrease in vasoconstrictor sensitivity and an increase in the production of nitric oxide and prostacyclin.
  • 21.
    – Common clinicalsigns and symptoms associated with this increase in CO and associated vasodilatation include: • Decrease exercise tolerance • Mild peripheral edema • Spider angiomata • Complains of stuffy sinuse • Increase in lower extremity varicosities • hemorrhoids
  • 22.
    • To increaseO2 delivery to the fetus and remove the increased supply of CO2 produced by the fetus. – Hyperventilates – Maternal O2 metabolism increases by 20% - 30% and functional reserve capacity decrease.
  • 23.
    • When intubationis needed, there significantly less time to establish an airway and assure continued oxygenation. • Is common to have sensation of SOB, specifically in the second and third trimester.
  • 24.
    • The loweresophageal sphincter tone gradually decreases. – Nausea and vomiting of pregnancy is a common occurrence affecting between 50% and 90% of all women.
  • 25.
    • The gallbladderempties more slowly during pregnancy and undergoes a gradual increase in residual volume, both during fasting and after meals. – Motility and volumes return to normal as early as 2 weeks after pregnancy.
  • 26.
    • Prolonged smallbowel transit time and decreased colonic emptying work to maximize nutrient and water absorption. – Contribute to the constipation reported by 38% of pregnant women.
  • 27.
    • Abdominal pain –Round ligament pain is described as an aching, dragging pain. • Typically unilateral • Provoked by physical activity or even turning while sleeping. • Common occurrence third trimester – Pain in the hypochondrium. • Can result from uterine pressure on the lower ribs. • Px describes a very localizated, sharp, nonradiating pain. • That more often is on R+ compare to the L+ upper cuadrant.
  • 28.
    • Hemoglobin concentrationsmay drop to 10 mg/dl. • Hematocrit values may go as low as 30%. • Pregnancy may be associated with an increase in the WBC count. – Up to levels of 13,000 cell/mL. – Intrapartum and immediate postpartum (<24 hrs) counts may be as high as 25,000 WBC/mL
  • 29.
    • Platelet countmay slightly decrease as the pregnancy progresses. – Up 8% of pregnancy – The most common cause is gestational thrombocytopenia. • Typically asymptomatic • Recover to normal levels a few weeks following the delivery.
  • 30.
    • Renal bloodflow and glomerular filtration rate increase by over 50%. • Creatinine levels decrease appropriately, resulting in normal levels of 0.5 to 0.6 mg/mL. • Serum alkaline phosphatase levels gradually increase. – Because of production of an alkaline phosphatase isozyme by the placenta. • Albumin levels may be lower. – Associated with the increase in plasma volumen and osmotic pressure may be decreased.
  • 31.
    • In almostall clinical presentations, the risks of misdiagnosis by avoiding the proper imaging tests are greater compared to the risks of sequelae from ionizing radiation to the fetus.
  • 32.
    • Ionizing radiation –Fetal effects of ionizing radiation depend on the dose absorbed by the fetal tissue and the stage of fetal development during exposure. – The roentgen is a common unit of exposure. • Produce 0.26 milicoulomb/kg of air or 2 billon ion pairs/ cm³ of exposed air. – One gray (Gy) is strictly defined as the deposition of 1.0 joule of energy/kg of tissue. – One rad is 1% of 1 Gy.
  • 33.
    – In isa misconception to assume that the radiation absorbed by the mother is the same as the absorbed by the fetus. – Dosing of radiation to the uterus and conceptus can vary several fold based on abdominal wall depth and the anteverted or retroverted position of the uterus. – DNA damage may be repaired of may result in cell death, rapid cell growth, abnormal cell growth or genetic mutation.
  • 34.
    Radiation dosing tothe conceptus an uterus from selected radiographic examinations. Examination DOSE (mrad) Routine Chest x- ray 0.5-1.0 Abdominal flat plate 140 Intravenous pyelogram 78 CT, chest (uterus shielded, not exposed) 16-23 CT, abdomen (uterus shielded, not exposed) 150-190 CT, pelvis 2,000
  • 35.
    • Growth impairmentof organs occurs of the population of cells cannot be replaced or damage occurs to a small population of progenitor cells at a vital stage of development.
  • 36.
    – The outcomeof radiation exposure depends on the absorbed dose and the stage of development during exposure. • Potential death early in gestation. • Teratogenesis during organogenesis (4 to 10 weeks of gestation). • Growth retardation at later gestational stages.
  • 37.
    • Lethal Effects –Multicellular embryo, before the blastocyst stage is most sensitive to the lethal effects of radiation but resistant to teratogenesis if it survives. – More than 50% of all human pregnancies abort. • Determining the lethal dose of radiation at this stage is difficult. – Significant radiation exposure in the first 2 weeks of human development. • 3 and 4 weeks of results in loss of the pregnancy.
  • 38.
    • Teratogenic effects –Occurs during early organogenesis. – Correspond to weeks 2 to 8 in human development (4 to 10 of gestation). – A significantly higher rate after exposure to radiation in pregnancy have been report: • Microcephaly, pigmentary changes in the retina, hydrocephalus, and optic nerve atrophy. – Exposure less than 5 rads does not increase the risk for birth defects. • 5 to 10 rads = teratogenicity • Greater than 10 rads = serious risk to the fetus.
  • 39.
    • Intrauterine Growthrestriction – Result from radiation induced cellular depletion. – Example: children exposed in utero to the Japanese atomic blasts. • 1,500 m from center of the explosion – Exposed to over 25 rads – 2 a 3 cm shorter, 3 kg lighter head circumference 1 cm smaller than normal (17 y/o)
  • 40.
    • Oncogenic potential –The correlation between childhood cancer and in utero exposure to radiation has been reported. • Ultrasound – Ultrasonography use high frecuency, no ionizing, acoustic radiation to create images. – Audible sound range = 20 to 20,000 vibration/seg • Ultrasonography use frecuencies of 1 millon to 10 millons vibrations/seg – Not been shown to produce fetal damage or harmful effect.
  • 41.
    • Rapid compressionand decompression of tissue by sound wave. Cause tissue damage. – Conversion of mechanical energy to thermal energy. – Especially at the bone soft tissue interface, could lead to local hypertermia. • CAVITATION could cause microscopic bubbles already present in tissue to grow size because of absorption of surrounding diffused gases.
  • 42.
    • MRI – Useno ionizing radiation and relies on the magnetic properties of tissue to create images. – Four magnetic fields interact during an MRI examination to create the image. • Intrinsic magnetic field (2) • Extrinsic magnetic field (2) – Present danger to the developing fetus. • Charged particles and molecules moving in a strong magnetic field create an electroestatic potential difference and anormal RBC can alter their shape and create a charge when moving within an electric field. • Can induce visual light flashes because of magnetic effects on the photoreceptors in the eye, and heat can be generated during the application of radiofrequencies.
  • 44.
    – Elective examinationof pregnant women by MRI postponed until after the first trimester and completion of organogenesis. • Is not absolutely contraindicated. • Medication in pregnancy – Medications contraindicated in pregnancy include but are not limited: • Coumarin derivatives • Isotretinoin • Metrotrexate • Diethylstibestrol • Thalidomide • Angiotensin converting enzyme (ACE) inhibitors • ACE antagonist • Tetracycline • Quinolones – The risks to the fetus may be less compared to the risk to the mother when not using the proper medication.
  • 45.
    Fetal monitoring • Fetalheart rate (FHR) Indirect assessment of fetal well being. • Can be monitored externally using Doppler device that is placed on the maternal abdomen. • Uterine activity is monitored by using a tocodynometer, also applied to the maternal abdomen. • Response to altered uterine-placental perfusion or decrease O2 content in maternal blood.
  • 48.
    • FHR interpretation –Fetal tachicardia ≥ 10 min ↑ 160 bpm – Fetal bradycardia ≤ 10 min ↓110 bpm – Acceleration • Increase in the FHR of at least 15 bpm fpr at least 15 seconds. • Normal findings in second half of pregnancy. • Occur as a result of increased sympathetic and decrease parasympathetic stimulation with fetal movement.
  • 49.
    – Deceleration • Usuallyaccur intrapartum and related to the uterine contractions ( periodic decelerations). • Classification: – Early » Simultaneous with the contraction. » Uniform, gradual drops in the FHR that mirror the uterine contraction and reflect an increased vagal tone from a transient increase in intracraneal pressure.
  • 50.
    – Late » Startingwhen the contraction is in progress and recovering after the contraction is over. » Poor uterine perfusion or decrease O2 • Causes: Hypotension; IVC compression, blood loss or regional anesthesia. – Variable » Variable in relation to the contraction. » Result from umbilical cord compression by uterine contraction. – Isolated variable » Inadequate recovery between contractions. » Intervention may be indicate.
  • 52.
    • Appendicitis affect250,000 patient every year in the US. • Is the most common nonobstetric indication for operation during pregnancy – Average incidence if 1 in 1,500 deliveries. • Variation in signs and symtoms of appendicitis during pregnancy (see table).
  • 53.
    • Appendiceal lumenobstruction – Lymphoid hyperplasia – Feacaliths – Parasites – Foreign bodies – Crohn disease – Metastatic cancer – Carcinoid syndrome • Appendiceal lumen obstruction leads to an increase in intraluminal pressure by blocking the normal egress of mocus. – Progressive obstruction of venous outflow followed by capillary and arterial thrombosis leads to mucosal ulceration, trasmural wall necrosis and perforation.
  • 55.
    First trimester Second trimester Thirdtrimester SIGNS AND SYMPTOMS % % % R+ LQ pain 100 50 14 R+ UQ pain 0 17 57 Guarding (muscle spasm) 80 50 43 Nausea and vomiting 53 60 23 Tenderness on rectal examination 60 17 0 Perforation rate 20 49 70
  • 56.
    • PE: – TendernessRLQ – Rebound & Guarding (peritoneal signs) – Rovsing sign • palpation of the LLQ results in more pain in the RLQ – Dumphy’s sign • increased abdominal pain with coughing – Psoas sign (retroperitoneal retroccal appendix) • passively extending the thigh of a patient lying on their side with knees extend – Obturator sign (Pelvic appendix) • pain when there is flexion and internal rotation of the hip – Rectal examination tenderness (Cul-de-sac) – Low grade fever
  • 57.
    • Laboratory – WBC •2nd &3rd Trimester: 6,000-16,000 • Absolute number: not reliable • Differential:  levels of band cells can be reliable indication of infection. – U/A • mild pyuria or mild hematuria: 20% • {extraluminal irritation of the ureter, not UTI}. • mild proteinuria
  • 59.
    • A delayin diagnosis occurred in 18% of patients in the second trimester. – In third trimester a delay was the rule. • Delay in operation with a high rate of perforation. – 49% in the second trimester – 70% in the thrid
  • 60.
    • Perforated appendicitispresents a greater infectious risk. – Large uterus interferes with proper omental migration throughout the abdominal cavity and prevents the walling off the inflammatory process. – Increase vacularity of abdomen – Greater lymphatic drainage allows rapid dissemination of infection. • Perforated appendicitis in pregnancy rapidly leads to diffuse peritonitis, premature labor and fetal loss. – Rate of preterm labor and fetal loss 26 % to 66 % compared with 0% to 5 % for uncomplicated appendicitis.
  • 61.
    • Imaging modalities –Negative appendectomy rate: -Clinical diagnosis alone: 54% -Clinical, US & CT: 8%  1st Line:  US  2nd line:  CT (sensitivity 98%; specificity 98%)  MRI (sensitivity 100%)
  • 62.
    33-year-old woman in13th week of pregnancy with 2 days of right lower quadrant
  • 64.
    26-year-old woman in11th week of pregnancy with right lower quadrant pain and clinical suspicion of appendicitis
  • 65.
    • Reduce insufflations pressures of8 to 12 mm Hg. – Decrease fetal morbidity and mortality. • Use open Hasson technique of trocar placement under direct visualization rather than blind insufflations with a Veress needle.
  • 66.
    • Advantages – Usefulin diagnosis – Less post-op complication – Earlier mobilization & recovery: fewer thromboembolic complications – Lower postoperative narcotic use: less fetal depression – Shorter hospital stay • Disadvantages – Experience limited – Co2 pneumoperitoneum: – uterine blood flow – Fetal acidosis – Premature labor
  • 67.
    Guidelines for laparoscopicsurgery during pregnancy 1. Defer operative intervention until the second trimester, when the fetal risk is lower, whenever possible. 2. Pneumatic compression devices must be used because of he enhancement of lower venous stasis with pneumoperitoneum and pregnancy induced hypercoagulable state. 3. Fetal and uterine status, as well as maternal end-tidal CO2 and arterial blood gases, should be monitored. 4. Use fluroscopy selectively and protect th uterus with lead shield if intraoperative cholangiography is possible. 5. Given enlarged gravid uterus, abdominal access should be obtained using open technique. 6. Dependent positioning should be used to shift the uterus off the inferior vena cava. Pneumoperitoneum pressures should be minimized and not allowed to exceed 15 mm Hg. 7. Obstetric consultation should be obtained before operation.
  • 68.
    • Acute cholecystitisin the second most common general surgery diagnosis during pregnancy. • Progesterone induced relaxation of the gallbladder combined with estrogen induced supersaturation of bile predispose to gallstone formation.
  • 69.
    • The riskfor development of gallstones is related to the number of pregnancies, doubling after two pregnancies and nearly quadrupling after four. • Incidence of acute cholecystitis during pregnancy is relatively low 1 to 8 in 10,000 pregnancies (0.01% to 0.08%).
  • 70.
    • Symptoms ofcystic duct obstruction: – Crampy RUQ or epigastric pain after a meal can last several minutes to hours. • May radiate to the back • Nausea • Vomiting – Tenderness on palpation of the RUQ=acute cholecystitis
  • 71.
    • Labs – Normalleukocytosis – Elevated alkaline phophatase during pregnancy. – Increase bilirubin • Visible jauncide • Diff. DX – Hepatitis – Acute fatty liver of pregnancy – appendicitis
  • 72.
    • Dx – History –PE – Ultrasonography 97% accurate • Gallbladder wall thickening • Pericholecystic fluid • Pain on palpation with the ultrasound transducer • Sonographic Murphy sign (is confirmatory of inflamation)
  • 73.
    • Management – Maintainedon IV hydratation – Treated with antibiotic for signs of infection. – A low fat diet – The surgery was reserved for those with persistent symptoms, severe toxicity, sepsis, peritonitis or obstructive jaundice. • Complication of gallstones – Choledocholithiasis – pancreatitis
  • 74.
    • Laparoscopic cholecystectomy –Is a safe and reliable modality – Removing the diseased gallbladder eliminates the potential for recurence – The minimal uterine retraction need with laparoscopic. – Access to the RUQ should decrease the risk for preterm labor.
  • 75.
    – The incidenceof premature uterine contraction with laparoscopic cholecystectomy has been reported at 0% to 21%. • Usually well controled with tocolytics. • Spontaneous abortion ranging from 0% to 7%. • Open cholecystectomy – Rate of premature labor ranges from 0% to 40%. – Spontaneous abortion or premature birth rate of up to 22%. – Second trimester is the optimal time. • Organogenesis is complete • Gravid uterus is not yet large enough to impinge on the operating field.
  • 76.
    • Choledocholithiasis – Abilirubin above 1.5 mg/dL, a dilatad common bile duct or gallstone pancreatitis. – Endoscopic retrograde cholangiopancreatograpy (ERCP) can be performed safely in pregnancy. • Scatter radiation on the order of 4 mrads during whole examination. • Evaluation of the biliary tree, stone retrieval, and sphincteroctomy can be performed. – Other methods avoid radiation: • Endoscopic ultrasonogaphy • Endoscopic papillotomy under ultrasonographic control • Magnetic resonance cholangiography
  • 77.
    • 1 inevery 68,000 deliveries. • Adhesions remain the most common cause of intestinal obstruction in gravid patient. • Volvulus is much more common complication.
  • 78.
    Cause of intestinalobstruction complication pregnancy and the puerperium in 66 patients. # and % Adhesions 39 (59%) Volvulus 15 (23%) Sigmoid 7 Cecal 3 midgut 3 Volvulus around vitellointestinal band 2 Intussusception 3 (5%) Hernia 2 (3%) Carcinoma 1 (1%) Appendicitis 1 (1%) Idiopathic 5 (8%)
  • 79.
    • Obstruction duringpregnancy classically presents during three peak periods. – The first peak • The 4 a 5 months of gestation as the uterus becomes an intra abdominal organ stretching any previously formed adhesions. – The second peak • during the 8 a 9 months, when the fetal head descends into the pelvis, decreases the uterine size. – The third peak • After delivery as the sudden decrease in uterine size drastically change the association of adhesions to surrounding bowel.
  • 80.
    • Presentation andDx – Abdominal pain and vomiting – Proximal small bowel obstruction • Results in short period between vomiting episodes with poorly localized, crampy upper abdominal pain. – Colonic obstruction • Present with less frequent feculent vomiting and lower abdominal pain. – Tachycardia and hypotension are also late signs suggesting bowel compromise and shock. – Labs • Significant leukocytosis can occur with necrosis and bowel strangulation.
  • 81.
    • Rx – Serialfilms every 4 to 6 hrs usually show progressive changes confirming the dx.
  • 84.
    Reference • Nature ReviewsMolecular Cell Biology 4. Review: MRI: volumetric imaging for vital imaging and atlas construction. http://www.nature.com/focus/cellbioimaging/content/images/nrm1195_f1.html .SS10– SS16. 2003. • American Academy of Family Physicians. Clinical Interpretations of Fetal Monitor Patterns and the Detailed Implications Regarding Fetal Health: May 1, 1999. • Appendicitis in Pregnancy: Methods. http://www.medscape.com/viewarticle/549510_4 • Acute appendicit is: Pregnancy complicates this diagnosis • http://www.jaapa.com/acute-appendicitis-pregnancy-complicates-this-diagnosis/article/130146/ • Lodewijk P. Cobben. MRI for Clinically Suspected Appendicitis During Pregnancy. September 2004 vol. 183 no. 3 671-675 http://www.ajronline.org/content/183/3/671.full • Stavros Zarkadas. LAPAROSCOPIC APPROACH IN ACUTE ABDOMINAL PROCESSES DURING PREGNANCY. http://www.laparoscopyhospital.com/laparoscopy_for_acute_abdomen_in_pregnancy.html •