Obstetric Emergencies
Obstetric Emergencies
Obstetric Emergencies: We will
Obstetric Emergencies: We will
cover...
cover...
 Normal Pregnancy
Normal Pregnancy
 Common medical and surgical
Common medical and surgical
complications of pregnancy
complications of pregnancy
Normal pregnancy
Normal pregnancy
 All females of childbearing age are
All females of childbearing age are
presumed to be pregnant until proven
presumed to be pregnant until proven
otherwise.
otherwise.
 All pregnancy tests detect B-HCG which is
All pregnancy tests detect B-HCG which is
produced at the time of implantation (8-9
produced at the time of implantation (8-9
days post conception)
days post conception)
 B-HCG should double every day for the
B-HCG should double every day for the
first weeks, peak at week 8 and remain
first weeks, peak at week 8 and remain
elevated up to 60 days post-partum
elevated up to 60 days post-partum
False Negatives
False Negatives
Too early in pregnancy
Too early in pregnancy
Dilute/old urine
Dilute/old urine
Ectopic
Ectopic
Incomplete Ab.
Incomplete Ab.
False Positives
False Positives
Urine:
Urine:
hematuria/proteinuria
hematuria/proteinuria
Serum:
Serum:
T.O.A.
T.O.A.
Thyrotoxicosis
Thyrotoxicosis
Molar pregnancy
Molar pregnancy
Drugs (MJ, ASA,
Drugs (MJ, ASA,
Phenothiazines,
Phenothiazines,
anticonvulsants,
anticonvulsants,
antidepressants,
antidepressants,
methadone
methadone
Some Important Physiological
Some Important Physiological
Changes in Pregnancy
Changes in Pregnancy
 Cardiac: increased heart rate, decreased
Cardiac: increased heart rate, decreased
blood pressure. CO increases
blood pressure. CO increases
 Respiratory: rate increases, TV increases,
Respiratory: rate increases, TV increases,
FRV decreases, pCO2 decreases
FRV decreases, pCO2 decreases
 Heme: Volume increases, HCT drops, WBC
Heme: Volume increases, HCT drops, WBC
increases
increases
Drugs in Pregnancy: A, B, C, D, X
Drugs in Pregnancy: A, B, C, D, X
Considered Safe in pregnancy:
Considered Safe in pregnancy:
PCN
PCN
Cephalosporins
Cephalosporins
Azithro/Erythromycin
Azithro/Erythromycin
Acetaminophen
Acetaminophen
Narcotics
Narcotics
Heparin
Heparin
Asthma Drugs
Asthma Drugs
Reglan (Metoclopramide)
Reglan (Metoclopramide)
Immunizations derived from killed viruses
Immunizations derived from killed viruses
(tetanus, diptheria, Hep. B, Rabies)
(tetanus, diptheria, Hep. B, Rabies)
Radiation in Pregnancy
Radiation in Pregnancy
 <5-10 rads = no significant risk of birth
<5-10 rads = no significant risk of birth
defects
defects
 Beams aimed 10cm away from fetus pose
Beams aimed 10cm away from fetus pose
no additional risk
no additional risk
 Initial trauma X-rays each deliver <1 rad
Initial trauma X-rays each deliver <1 rad
 One never withholds necessary
One never withholds necessary
radiography.
radiography.
 Use MRI or U/S if available.
Use MRI or U/S if available.
Transvaginal Ultrasound
Transvaginal Ultrasound
Images
Images
Normal, non-pregnant uterus on
Normal, non-pregnant uterus on
T/V U/S
T/V U/S
The “Double-Ring” Sign or
The “Double-Ring” Sign or
“Double Decidual” Sign of normal
“Double Decidual” Sign of normal
early pregnancy
early pregnancy
Normal Pregnancy T/V
Normal Pregnancy T/V
Ultrasound Showing Gestational
Ultrasound Showing Gestational
and Yolk Sac. No fetus is seen.
and Yolk Sac. No fetus is seen.
5w 2d
5w 2d
6w 1d T/V U/S showing yolk
6w 1d T/V U/S showing yolk
sac
sac
Normal T/V U/S with embryo
Normal T/V U/S with embryo
at 10w 3d
at 10w 3d
Complications of Pregnancy –
Complications of Pregnancy –
Vaginal Bleeding
Vaginal Bleeding
1
1st
st
Trimester Causes:
Trimester Causes:
1.
1. Ectopic
Ectopic
2.
2. Abortion
Abortion
3.
3. Molar Pregnancy
Molar Pregnancy
4.
4. Non-pregnancy Related
Non-pregnancy Related
a. Infectious
a. Infectious
b. Trauma
b. Trauma
c. Neoplasm
c. Neoplasm
The work-up is the same!
The work-up is the same!
 Pelvic Exam
Pelvic Exam
 Beta HCG
Beta HCG
 Transvaginal ultrasound
Transvaginal ultrasound
 Rh
Rh
 CBC, CMP
CBC, CMP
 PT/PTT/INR
PT/PTT/INR
 UA
UA
Ectopic Pregnancy – A surgical
Ectopic Pregnancy – A surgical
emergency of pregnancy
emergency of pregnancy
 The leading cause of first trimester
The leading cause of first trimester
maternal death
maternal death
 Usually 5-8 weeks after LMP
Usually 5-8 weeks after LMP
 High Risk: History of ectopic, tubal
High Risk: History of ectopic, tubal
surgery or sterilization procedure,
surgery or sterilization procedure,
Known tubal scarring or pathology,
Known tubal scarring or pathology,
Diethylstilbestrol exposure, IUD.
Diethylstilbestrol exposure, IUD.
Signs/Symptoms
Signs/Symptoms
 Symptoms (in decreasing order of
Symptoms (in decreasing order of
frequency): Abdominal pain,
frequency): Abdominal pain,
amenorrhea, vaginal bleeding (50-80%),
amenorrhea, vaginal bleeding (50-80%),
dizziness, pregnancy symptoms, urge to
dizziness, pregnancy symptoms, urge to
defecate, passing tissue
defecate, passing tissue
 Signs: Adnexal tenderness, abdominal
Signs: Adnexal tenderness, abdominal
tenderness, adnexal mass, enlarged
tenderness, adnexal mass, enlarged
uterus, orthostatic changes, fever
uterus, orthostatic changes, fever
Testing
Testing
Beta > 6000 mIU/ml + empty uterus on
Beta > 6000 mIU/ml + empty uterus on
trans
transabdominal
abdominal ultrasound
ultrasound
OR
OR
Beta > 1200 mIU/ml + empty uterus on
Beta > 1200 mIU/ml + empty uterus on
trans
transvaginal
vaginal ultrasound =
ultrasound =
Ectopic Pregnancy = Laparoscopy
Ectopic Pregnancy = Laparoscopy
Beta <6000 + empty uterus on
Beta <6000 + empty uterus on
transabdominal ultrasound
transabdominal ultrasound
OR
OR
Beta < 1200 + empty uterus on transvaginal
Beta < 1200 + empty uterus on transvaginal
ultrasound = serial outpatient beta
ultrasound = serial outpatient beta
measurements to ensure normal rise.
measurements to ensure normal rise.
This only applies to stable patients and
This only applies to stable patients and
should be done in consult with ob/gyn
should be done in consult with ob/gyn
A heterotopic pregnancy (to
A heterotopic pregnancy (to
compare normal vs. abnormal)
compare normal vs. abnormal)
Ectopic Pregnancy
Ectopic Pregnancy
2
2nd
nd
Trimester
Trimester
 Causes are abortion and non-pregnancy
Causes are abortion and non-pregnancy
causes.
causes.
 Work-up is the same
Work-up is the same
 Management of threatened AB is the same
Management of threatened AB is the same
 If complete, may be D&C candidate
If complete, may be D&C candidate
 If other types of AB, patient may undergo
If other types of AB, patient may undergo
oxytocin induced labor as inpatient.
oxytocin induced labor as inpatient.
3
3rd
rd
Trimester (>28 weeks)
Trimester (>28 weeks)
Placental Abruption
Placental Abruption
Placenta separates from
Placenta separates from
uterine wall
uterine wall
Painful dark or clotted blood
Painful dark or clotted blood
Risks: HTN, smoking, ETOH,
Risks: HTN, smoking, ETOH,
cocaine, multiparity,
cocaine, multiparity,
previous abruption,
previous abruption,
trauma, mom > 40
trauma, mom > 40
Management: U/S, Ob
Management: U/S, Ob
consult, cardiac/fetal
consult, cardiac/fetal
monitoring, IV, pre-op labs,
monitoring, IV, pre-op labs,
delivery if possible
delivery if possible
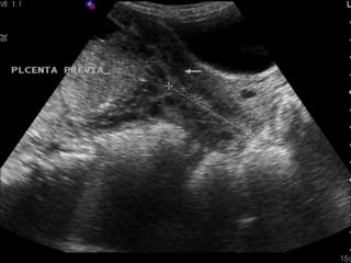
Placenta Previa
Placenta Previa
Placenta implants too low
Placenta implants too low
Painless bright red bleeding
Painless bright red bleeding
Risks: prior C-section, grand
Risks: prior C-section, grand
multiparity, previous previa,
multiparity, previous previa,
multiple gestations,
multiple gestations,
multiple induced abortions,
multiple induced abortions,
mom >40.
mom >40.
Management: U/S, Ob consult,
Management: U/S, Ob consult,
pre-op labs,
pre-op labs, avoid pelvic
avoid pelvic
exam,
exam, c-section
c-section
3
3rd
rd
Trimester Bleeding cont’d
Trimester Bleeding cont’d
 Uterine Rupture: Can be seen in scarred
Uterine Rupture: Can be seen in scarred
and unscarred uteri. (uteruses?
and unscarred uteri. (uteruses?
uterata?)
uterata?)
Complications of Pregnancy:
Complications of Pregnancy:
Trauma
Trauma
Key Concept: Although you have two
Key Concept: Although you have two
patients, maternal circulation is to be
patients, maternal circulation is to be
maintained at the expense of the fetus.
maintained at the expense of the fetus.
Without mom, the baby will surely die.
Without mom, the baby will surely die.
Mom should be kept in left lateral decubitus
Mom should be kept in left lateral decubitus
This is where knowing the physiologic
This is where knowing the physiologic
changes of pregnancy becomes extremely
changes of pregnancy becomes extremely
important ! Mom can lose up to 35% of her
important ! Mom can lose up to 35% of her
blood volume before showing any signs of
blood volume before showing any signs of
shock!
shock!
Management
Management
Over 20 weeks: Goes to Ob for 4 hours of
Over 20 weeks: Goes to Ob for 4 hours of
cardiotocographic monitoring
cardiotocographic monitoring
All women with abdominal trauma get
All women with abdominal trauma get
Rhogam (fetomaternal hemorrhage
Rhogam (fetomaternal hemorrhage
present in 30% of these patients)
present in 30% of these patients)
Kleihauer-Betke test: Used in women >12w
Kleihauer-Betke test: Used in women >12w
to determine and quantify the amount of
to determine and quantify the amount of
fetomaternal hemorrhage that occurred
fetomaternal hemorrhage that occurred
Perimortem C-Section
Perimortem C-Section
 Fetus greater than 28weeks, maternal
Fetus greater than 28weeks, maternal
death less than 15 minutes =
death less than 15 minutes =
perimortem c-section
perimortem c-section
Complications of Pregnancy:
Complications of Pregnancy:
Hypertension
Hypertension
 Can be chronic (meaning it began prior
Can be chronic (meaning it began prior
to conception or began during
to conception or began during
gestation and persists >6 weeks post-
gestation and persists >6 weeks post-
partum) or gestational.
partum) or gestational.
 We care about this because HTN in
We care about this because HTN in
pregnancy is associated with pre-
pregnancy is associated with pre-
eclampsia, abruption, prematurity,
eclampsia, abruption, prematurity,
IUGR and stillbirth
IUGR and stillbirth
Pre-eclampsia: To be considered
Pre-eclampsia: To be considered
in those >20wks with HTN
in those >20wks with HTN
Mild
Mild
SBP > 140 (or +20 from
SBP > 140 (or +20 from
baseline. Or DBP >90 (or +10
baseline. Or DBP >90 (or +10
from baseline)
from baseline)
Proteinuria .3g/24h
Proteinuria .3g/24h
+/- Edema
+/- Edema
No Oliguria
No Oliguria
No Associated symptoms
No Associated symptoms
Normal labs
Normal labs
No IUGR
No IUGR
Severe
Severe
BP>160/90
BP>160/90
Proteinuria >5g/24h
Proteinuria >5g/24h
Edema Present
Edema Present
Oliguric
Oliguric
Associated symptoms (H/A,
Associated symptoms (H/A,
visual symptoms, abdominal
visual symptoms, abdominal
pain, pulm. edema
pain, pulm. edema
Associated labs (dec. plts, inc.
Associated labs (dec. plts, inc.
LFT, inc. bili, inc. creatinine,
LFT, inc. bili, inc. creatinine,
increased uric acid)
increased uric acid)
IUGR present
IUGR present
HELLP syndrome = very severe.
HELLP syndrome = very severe.
Above +RUQ pain, n/v
Above +RUQ pain, n/v
Management
Management
 Isolated HTN requires a 24h urine and close Ob
Isolated HTN requires a 24h urine and close Ob
f/u
f/u
 With other findings, admit, 24h urine, bed rest
With other findings, admit, 24h urine, bed rest
and HTN management in consult with ob/gyn.
and HTN management in consult with ob/gyn.
 Hydralazine common though diazoxide,
Hydralazine common though diazoxide,
labetalol, nifedipine and nitroprusside also used
labetalol, nifedipine and nitroprusside also used
 +/- Mag to prevent seizures
+/- Mag to prevent seizures
Complications of Pregnancy:
Complications of Pregnancy:
Eclampsia
Eclampsia
 Preeclampsia +seizures or coma
Preeclampsia +seizures or coma
 May occur without proteinuria, may
May occur without proteinuria, may
occur up to 10 days postpartum
occur up to 10 days postpartum
 ICH is the major cause of maternal death
ICH is the major cause of maternal death
 Warning signs = H/A, visual changes,
Warning signs = H/A, visual changes,
hyperreflexia, Abd. pain
hyperreflexia, Abd. pain
 Tx = Delivery. Magnesium, Phenytoin or
Tx = Delivery. Magnesium, Phenytoin or
Diazepam, Hydralazine or Labetalol
Diazepam, Hydralazine or Labetalol
Complications of Pregnancy:
Complications of Pregnancy:
UTI/Pyelo
UTI/Pyelo
 Pregnant women more prone to UTI secondary
Pregnant women more prone to UTI secondary
to physiologic changes of pregnancy
to physiologic changes of pregnancy
 Treat both symptomatic and asymptomatic
Treat both symptomatic and asymptomatic
bacturia (untreated = up to 40% risk of
bacturia (untreated = up to 40% risk of
progression to pyelo)
progression to pyelo)
 Culture urine, give 7 day course
Culture urine, give 7 day course
 We admit pregnant women with pyelonephritis
We admit pregnant women with pyelonephritis
because of its increased risk of of progressing to
because of its increased risk of of progressing to
preterm labor or septic shock.
preterm labor or septic shock.
Complications of Pregnancy:
Complications of Pregnancy:
Appendicitis
Appendicitis
Appendicitis is the most frequent surgical
Appendicitis is the most frequent surgical
emergency of pregnancy
emergency of pregnancy
Incidence is the same as non-pregnant
Incidence is the same as non-pregnant
population but the complications are more
population but the complications are more
frequent secondary to delayed diagnosis
frequent secondary to delayed diagnosis
Again, the physiologic changes of pregnancy
Again, the physiologic changes of pregnancy
complicate the clinical picture (leukocytosis,
complicate the clinical picture (leukocytosis,
displaced appendix)
displaced appendix)
Picture mimics pyelo. When patients don’t
Picture mimics pyelo. When patients don’t
improve with IV abx, the diagnosis is
improve with IV abx, the diagnosis is
reconsidered.
reconsidered.
Laparotomy is the preferred diagnostic
Laparotomy is the preferred diagnostic
procedure. Ultrasound can used
procedure. Ultrasound can used
References
References
1. Preparing for the Written Board Exam in Emergency Medicine. 5
1. Preparing for the Written Board Exam in Emergency Medicine. 5th
th
ed. Vol 1. Rivers, Carol. pp 550-574
ed. Vol 1. Rivers, Carol. pp 550-574
2. learnobultrasound.com/3trimesterbleed.htm
2. learnobultrasound.com/3trimesterbleed.htm
3. www.smbs.buffalo.edu/emed/emed/ultrasound.html
3. www.smbs.buffalo.edu/emed/emed/ultrasound.html
4. Harwood &Nuss’ Clinical Practice of Emergency Medicine 4
4. Harwood &Nuss’ Clinical Practice of Emergency Medicine 4th
th
ed. Wolfson, Alan B Lippincott, Williams and
ed. Wolfson, Alan B Lippincott, Williams and
Wilkins, Philadelphia, 2005. pp.496-497
Wilkins, Philadelphia, 2005. pp.496-497
5. home.flash.net/~drrad/tf/122396.htm
5. home.flash.net/~drrad/tf/122396.htm
6. www.pwc-sii.com/Research/death/ribs.htm
6. www.pwc-sii.com/Research/death/ribs.htm
7. www.jaapa.com/.../article/130146/
7. www.jaapa.com/.../article/130146/
8. www.advancedfertility.com/ultraso1.htm
8. www.advancedfertility.com/ultraso1.htm
9. Ma, John O. Emergency Ultrasound via access emergency medicine at http://0-
9. Ma, John O. Emergency Ultrasound via access emergency medicine at http://0-
www.accessem.com.innopac.lsuhsc.edu/content.aspx?aID=100900
www.accessem.com.innopac.lsuhsc.edu/content.aspx?aID=100900

Obstetrics and Gynacologic emergencies.ppt

  • 1.
  • 2.
    Obstetric Emergencies: Wewill Obstetric Emergencies: We will cover... cover...  Normal Pregnancy Normal Pregnancy  Common medical and surgical Common medical and surgical complications of pregnancy complications of pregnancy
  • 3.
    Normal pregnancy Normal pregnancy All females of childbearing age are All females of childbearing age are presumed to be pregnant until proven presumed to be pregnant until proven otherwise. otherwise.  All pregnancy tests detect B-HCG which is All pregnancy tests detect B-HCG which is produced at the time of implantation (8-9 produced at the time of implantation (8-9 days post conception) days post conception)  B-HCG should double every day for the B-HCG should double every day for the first weeks, peak at week 8 and remain first weeks, peak at week 8 and remain elevated up to 60 days post-partum elevated up to 60 days post-partum
  • 4.
    False Negatives False Negatives Tooearly in pregnancy Too early in pregnancy Dilute/old urine Dilute/old urine Ectopic Ectopic Incomplete Ab. Incomplete Ab. False Positives False Positives Urine: Urine: hematuria/proteinuria hematuria/proteinuria Serum: Serum: T.O.A. T.O.A. Thyrotoxicosis Thyrotoxicosis Molar pregnancy Molar pregnancy Drugs (MJ, ASA, Drugs (MJ, ASA, Phenothiazines, Phenothiazines, anticonvulsants, anticonvulsants, antidepressants, antidepressants, methadone methadone
  • 5.
    Some Important Physiological SomeImportant Physiological Changes in Pregnancy Changes in Pregnancy  Cardiac: increased heart rate, decreased Cardiac: increased heart rate, decreased blood pressure. CO increases blood pressure. CO increases  Respiratory: rate increases, TV increases, Respiratory: rate increases, TV increases, FRV decreases, pCO2 decreases FRV decreases, pCO2 decreases  Heme: Volume increases, HCT drops, WBC Heme: Volume increases, HCT drops, WBC increases increases
  • 6.
    Drugs in Pregnancy:A, B, C, D, X Drugs in Pregnancy: A, B, C, D, X Considered Safe in pregnancy: Considered Safe in pregnancy: PCN PCN Cephalosporins Cephalosporins Azithro/Erythromycin Azithro/Erythromycin Acetaminophen Acetaminophen Narcotics Narcotics Heparin Heparin Asthma Drugs Asthma Drugs Reglan (Metoclopramide) Reglan (Metoclopramide) Immunizations derived from killed viruses Immunizations derived from killed viruses (tetanus, diptheria, Hep. B, Rabies) (tetanus, diptheria, Hep. B, Rabies)
  • 7.
    Radiation in Pregnancy Radiationin Pregnancy  <5-10 rads = no significant risk of birth <5-10 rads = no significant risk of birth defects defects  Beams aimed 10cm away from fetus pose Beams aimed 10cm away from fetus pose no additional risk no additional risk  Initial trauma X-rays each deliver <1 rad Initial trauma X-rays each deliver <1 rad  One never withholds necessary One never withholds necessary radiography. radiography.  Use MRI or U/S if available. Use MRI or U/S if available.
  • 8.
  • 9.
    Normal, non-pregnant uteruson Normal, non-pregnant uterus on T/V U/S T/V U/S
  • 10.
    The “Double-Ring” Signor The “Double-Ring” Sign or “Double Decidual” Sign of normal “Double Decidual” Sign of normal early pregnancy early pregnancy
  • 11.
    Normal Pregnancy T/V NormalPregnancy T/V Ultrasound Showing Gestational Ultrasound Showing Gestational and Yolk Sac. No fetus is seen. and Yolk Sac. No fetus is seen. 5w 2d 5w 2d
  • 12.
    6w 1d T/VU/S showing yolk 6w 1d T/V U/S showing yolk sac sac
  • 13.
    Normal T/V U/Swith embryo Normal T/V U/S with embryo at 10w 3d at 10w 3d
  • 14.
    Complications of Pregnancy– Complications of Pregnancy – Vaginal Bleeding Vaginal Bleeding 1 1st st Trimester Causes: Trimester Causes: 1. 1. Ectopic Ectopic 2. 2. Abortion Abortion 3. 3. Molar Pregnancy Molar Pregnancy 4. 4. Non-pregnancy Related Non-pregnancy Related a. Infectious a. Infectious b. Trauma b. Trauma c. Neoplasm c. Neoplasm
  • 15.
    The work-up isthe same! The work-up is the same!  Pelvic Exam Pelvic Exam  Beta HCG Beta HCG  Transvaginal ultrasound Transvaginal ultrasound  Rh Rh  CBC, CMP CBC, CMP  PT/PTT/INR PT/PTT/INR  UA UA
  • 17.
    Ectopic Pregnancy –A surgical Ectopic Pregnancy – A surgical emergency of pregnancy emergency of pregnancy  The leading cause of first trimester The leading cause of first trimester maternal death maternal death  Usually 5-8 weeks after LMP Usually 5-8 weeks after LMP  High Risk: History of ectopic, tubal High Risk: History of ectopic, tubal surgery or sterilization procedure, surgery or sterilization procedure, Known tubal scarring or pathology, Known tubal scarring or pathology, Diethylstilbestrol exposure, IUD. Diethylstilbestrol exposure, IUD.
  • 18.
    Signs/Symptoms Signs/Symptoms  Symptoms (indecreasing order of Symptoms (in decreasing order of frequency): Abdominal pain, frequency): Abdominal pain, amenorrhea, vaginal bleeding (50-80%), amenorrhea, vaginal bleeding (50-80%), dizziness, pregnancy symptoms, urge to dizziness, pregnancy symptoms, urge to defecate, passing tissue defecate, passing tissue  Signs: Adnexal tenderness, abdominal Signs: Adnexal tenderness, abdominal tenderness, adnexal mass, enlarged tenderness, adnexal mass, enlarged uterus, orthostatic changes, fever uterus, orthostatic changes, fever
  • 19.
    Testing Testing Beta > 6000mIU/ml + empty uterus on Beta > 6000 mIU/ml + empty uterus on trans transabdominal abdominal ultrasound ultrasound OR OR Beta > 1200 mIU/ml + empty uterus on Beta > 1200 mIU/ml + empty uterus on trans transvaginal vaginal ultrasound = ultrasound = Ectopic Pregnancy = Laparoscopy Ectopic Pregnancy = Laparoscopy
  • 20.
    Beta <6000 +empty uterus on Beta <6000 + empty uterus on transabdominal ultrasound transabdominal ultrasound OR OR Beta < 1200 + empty uterus on transvaginal Beta < 1200 + empty uterus on transvaginal ultrasound = serial outpatient beta ultrasound = serial outpatient beta measurements to ensure normal rise. measurements to ensure normal rise. This only applies to stable patients and This only applies to stable patients and should be done in consult with ob/gyn should be done in consult with ob/gyn
  • 21.
    A heterotopic pregnancy(to A heterotopic pregnancy (to compare normal vs. abnormal) compare normal vs. abnormal)
  • 22.
  • 23.
    2 2nd nd Trimester Trimester  Causes areabortion and non-pregnancy Causes are abortion and non-pregnancy causes. causes.  Work-up is the same Work-up is the same  Management of threatened AB is the same Management of threatened AB is the same  If complete, may be D&C candidate If complete, may be D&C candidate  If other types of AB, patient may undergo If other types of AB, patient may undergo oxytocin induced labor as inpatient. oxytocin induced labor as inpatient.
  • 24.
    3 3rd rd Trimester (>28 weeks) Trimester(>28 weeks) Placental Abruption Placental Abruption Placenta separates from Placenta separates from uterine wall uterine wall Painful dark or clotted blood Painful dark or clotted blood Risks: HTN, smoking, ETOH, Risks: HTN, smoking, ETOH, cocaine, multiparity, cocaine, multiparity, previous abruption, previous abruption, trauma, mom > 40 trauma, mom > 40 Management: U/S, Ob Management: U/S, Ob consult, cardiac/fetal consult, cardiac/fetal monitoring, IV, pre-op labs, monitoring, IV, pre-op labs, delivery if possible delivery if possible Placenta Previa Placenta Previa Placenta implants too low Placenta implants too low Painless bright red bleeding Painless bright red bleeding Risks: prior C-section, grand Risks: prior C-section, grand multiparity, previous previa, multiparity, previous previa, multiple gestations, multiple gestations, multiple induced abortions, multiple induced abortions, mom >40. mom >40. Management: U/S, Ob consult, Management: U/S, Ob consult, pre-op labs, pre-op labs, avoid pelvic avoid pelvic exam, exam, c-section c-section
  • 25.
    3 3rd rd Trimester Bleeding cont’d TrimesterBleeding cont’d  Uterine Rupture: Can be seen in scarred Uterine Rupture: Can be seen in scarred and unscarred uteri. (uteruses? and unscarred uteri. (uteruses? uterata?) uterata?)
  • 28.
    Complications of Pregnancy: Complicationsof Pregnancy: Trauma Trauma Key Concept: Although you have two Key Concept: Although you have two patients, maternal circulation is to be patients, maternal circulation is to be maintained at the expense of the fetus. maintained at the expense of the fetus. Without mom, the baby will surely die. Without mom, the baby will surely die. Mom should be kept in left lateral decubitus Mom should be kept in left lateral decubitus This is where knowing the physiologic This is where knowing the physiologic changes of pregnancy becomes extremely changes of pregnancy becomes extremely important ! Mom can lose up to 35% of her important ! Mom can lose up to 35% of her blood volume before showing any signs of blood volume before showing any signs of shock! shock!
  • 29.
    Management Management Over 20 weeks:Goes to Ob for 4 hours of Over 20 weeks: Goes to Ob for 4 hours of cardiotocographic monitoring cardiotocographic monitoring All women with abdominal trauma get All women with abdominal trauma get Rhogam (fetomaternal hemorrhage Rhogam (fetomaternal hemorrhage present in 30% of these patients) present in 30% of these patients) Kleihauer-Betke test: Used in women >12w Kleihauer-Betke test: Used in women >12w to determine and quantify the amount of to determine and quantify the amount of fetomaternal hemorrhage that occurred fetomaternal hemorrhage that occurred
  • 30.
    Perimortem C-Section Perimortem C-Section Fetus greater than 28weeks, maternal Fetus greater than 28weeks, maternal death less than 15 minutes = death less than 15 minutes = perimortem c-section perimortem c-section
  • 31.
    Complications of Pregnancy: Complicationsof Pregnancy: Hypertension Hypertension  Can be chronic (meaning it began prior Can be chronic (meaning it began prior to conception or began during to conception or began during gestation and persists >6 weeks post- gestation and persists >6 weeks post- partum) or gestational. partum) or gestational.  We care about this because HTN in We care about this because HTN in pregnancy is associated with pre- pregnancy is associated with pre- eclampsia, abruption, prematurity, eclampsia, abruption, prematurity, IUGR and stillbirth IUGR and stillbirth
  • 32.
    Pre-eclampsia: To beconsidered Pre-eclampsia: To be considered in those >20wks with HTN in those >20wks with HTN Mild Mild SBP > 140 (or +20 from SBP > 140 (or +20 from baseline. Or DBP >90 (or +10 baseline. Or DBP >90 (or +10 from baseline) from baseline) Proteinuria .3g/24h Proteinuria .3g/24h +/- Edema +/- Edema No Oliguria No Oliguria No Associated symptoms No Associated symptoms Normal labs Normal labs No IUGR No IUGR Severe Severe BP>160/90 BP>160/90 Proteinuria >5g/24h Proteinuria >5g/24h Edema Present Edema Present Oliguric Oliguric Associated symptoms (H/A, Associated symptoms (H/A, visual symptoms, abdominal visual symptoms, abdominal pain, pulm. edema pain, pulm. edema Associated labs (dec. plts, inc. Associated labs (dec. plts, inc. LFT, inc. bili, inc. creatinine, LFT, inc. bili, inc. creatinine, increased uric acid) increased uric acid) IUGR present IUGR present HELLP syndrome = very severe. HELLP syndrome = very severe. Above +RUQ pain, n/v Above +RUQ pain, n/v
  • 33.
    Management Management  Isolated HTNrequires a 24h urine and close Ob Isolated HTN requires a 24h urine and close Ob f/u f/u  With other findings, admit, 24h urine, bed rest With other findings, admit, 24h urine, bed rest and HTN management in consult with ob/gyn. and HTN management in consult with ob/gyn.  Hydralazine common though diazoxide, Hydralazine common though diazoxide, labetalol, nifedipine and nitroprusside also used labetalol, nifedipine and nitroprusside also used  +/- Mag to prevent seizures +/- Mag to prevent seizures
  • 34.
    Complications of Pregnancy: Complicationsof Pregnancy: Eclampsia Eclampsia  Preeclampsia +seizures or coma Preeclampsia +seizures or coma  May occur without proteinuria, may May occur without proteinuria, may occur up to 10 days postpartum occur up to 10 days postpartum  ICH is the major cause of maternal death ICH is the major cause of maternal death  Warning signs = H/A, visual changes, Warning signs = H/A, visual changes, hyperreflexia, Abd. pain hyperreflexia, Abd. pain  Tx = Delivery. Magnesium, Phenytoin or Tx = Delivery. Magnesium, Phenytoin or Diazepam, Hydralazine or Labetalol Diazepam, Hydralazine or Labetalol
  • 35.
    Complications of Pregnancy: Complicationsof Pregnancy: UTI/Pyelo UTI/Pyelo  Pregnant women more prone to UTI secondary Pregnant women more prone to UTI secondary to physiologic changes of pregnancy to physiologic changes of pregnancy  Treat both symptomatic and asymptomatic Treat both symptomatic and asymptomatic bacturia (untreated = up to 40% risk of bacturia (untreated = up to 40% risk of progression to pyelo) progression to pyelo)  Culture urine, give 7 day course Culture urine, give 7 day course  We admit pregnant women with pyelonephritis We admit pregnant women with pyelonephritis because of its increased risk of of progressing to because of its increased risk of of progressing to preterm labor or septic shock. preterm labor or septic shock.
  • 36.
    Complications of Pregnancy: Complicationsof Pregnancy: Appendicitis Appendicitis Appendicitis is the most frequent surgical Appendicitis is the most frequent surgical emergency of pregnancy emergency of pregnancy Incidence is the same as non-pregnant Incidence is the same as non-pregnant population but the complications are more population but the complications are more frequent secondary to delayed diagnosis frequent secondary to delayed diagnosis Again, the physiologic changes of pregnancy Again, the physiologic changes of pregnancy complicate the clinical picture (leukocytosis, complicate the clinical picture (leukocytosis, displaced appendix) displaced appendix) Picture mimics pyelo. When patients don’t Picture mimics pyelo. When patients don’t improve with IV abx, the diagnosis is improve with IV abx, the diagnosis is reconsidered. reconsidered. Laparotomy is the preferred diagnostic Laparotomy is the preferred diagnostic procedure. Ultrasound can used procedure. Ultrasound can used
  • 38.
    References References 1. Preparing forthe Written Board Exam in Emergency Medicine. 5 1. Preparing for the Written Board Exam in Emergency Medicine. 5th th ed. Vol 1. Rivers, Carol. pp 550-574 ed. Vol 1. Rivers, Carol. pp 550-574 2. learnobultrasound.com/3trimesterbleed.htm 2. learnobultrasound.com/3trimesterbleed.htm 3. www.smbs.buffalo.edu/emed/emed/ultrasound.html 3. www.smbs.buffalo.edu/emed/emed/ultrasound.html 4. Harwood &Nuss’ Clinical Practice of Emergency Medicine 4 4. Harwood &Nuss’ Clinical Practice of Emergency Medicine 4th th ed. Wolfson, Alan B Lippincott, Williams and ed. Wolfson, Alan B Lippincott, Williams and Wilkins, Philadelphia, 2005. pp.496-497 Wilkins, Philadelphia, 2005. pp.496-497 5. home.flash.net/~drrad/tf/122396.htm 5. home.flash.net/~drrad/tf/122396.htm 6. www.pwc-sii.com/Research/death/ribs.htm 6. www.pwc-sii.com/Research/death/ribs.htm 7. www.jaapa.com/.../article/130146/ 7. www.jaapa.com/.../article/130146/ 8. www.advancedfertility.com/ultraso1.htm 8. www.advancedfertility.com/ultraso1.htm 9. Ma, John O. Emergency Ultrasound via access emergency medicine at http://0- 9. Ma, John O. Emergency Ultrasound via access emergency medicine at http://0- www.accessem.com.innopac.lsuhsc.edu/content.aspx?aID=100900 www.accessem.com.innopac.lsuhsc.edu/content.aspx?aID=100900