
 Ketogenic diet initially was developed in 1920 in
response to the observation that fasting had anti
seizure properties.
 Ketogenic diet can stimulate metabolic effects of
starvation.
 Ketogenc diet-High fat and low carbohydrate
Introduction

 It has beneficial effect on variety of metabolic,
Oncologic, neurodegenerative and psychatric
disorders with different mechanism of actions.
 It also has anti angiogenic effect
 Direct and Indirect effects (neurotransmission, ATP
production)

CLASS 1 CLASS 3
EPILEPSY PARKINSONS DISEASE
ALZHEIMER DISEASE AML
TRAUMATIC BRAIN INJURY
AUTISM
DEPRESSION
Indication

 Epilepsy-mutation in GLUT-1,PDH deficiency
DRAVERT SYNDROME: severe myoclonic epilepsy
febrile seizures
DOOSE SYNDROME: myoclonic astatic epilepsy
 Metabolic defects: PFK deficiency, McArdle
diease(glycogenolysis type V)
Indications

 Malignancy : Advanced astrocytoma,Gliomas
 Trauma and ischemia: fuel to injured brain and
cardio protective effects.
 Neurodegenerative diseases: PD,AD calorie
restriction itself is protective, ketogenic diet enhance
mitochondrial function, improvement in UPDRS

 Ketogenic diet protect against deposition of amyloid.
In AD high carb diet worsens the memory.
 Mitochondrial dysfunction is found to be the cause
of progression of ALS
 Autism: patients on modified Radcliffe diet shown
improvement in Childhood autism rating
scale(CARS)

 Depression: Ketogenic diet shown improvement in
Porsolt test and behavioural changes.
 Migraine , Headache and Narcolepsy

 In ketogenic diet body uses fat as primary source.
 Fat break down in liver-Ketones
 In neuronal tissue ketones are used in mitochondria
to generate ATP.
 Relation between urine ketones and seizure control
is imprecise .
Mechanism of action

 Enhancement of GABA function by ketone bodies
and increases the expression of GAD( 65 & 57)
 Saturated fatty acid and PUFA has neuro protective
effect. Arachidonic acid inhibit voltage gated sodium
channels.
 Brain metabolizes ketone better under conditions of
reduced glucose(calorie restriction)

DIRECT INDIRECT
KETONE BODIES
SUBSTRATE DELIVERY
ENHANCEMENT OF
MITOCHONDRIAL FUNCTION
ATP PRODUCTION
DECREASE ROS
NEUROTRANSMISSION
ION CHANNELS
MITOCHONDRIAL BIOGENISIS
Potential mediators

16
49
35
Protein
Carb
Fat
Standard diet

90
2
8
fat
Carb
Protein
Ketogenic Diet

646
30
Fat
Carb
Protein
Modified Atkins diet

Diet compostion Ketogenic diet Atkins Diet
Fat(% by weight) 80 60
Protein(% by weight) 15 30
Carbs 5 10
Calorie(% of DRA) 75 Not restricted

Typical ketogenic diets
Salad with walnuts Bluberry tart
Sausage and
cabbage dinner
with cream

Day prior to admission(Sunday):
Reduce carb for 24 hr on fasting from evening
Day 1(Monday)
On non carb fluids only, fasting continues till
dinner(1/3 rd of the calculated maintainance).
fluid restriction 60-75 cc/kg
BG Q6H, orange juice for glucose
John Hopkins Protocol

Day 2 (Tuesday)
Urine ketones periodically
Dinner increased to 2/3 rd. of maintenance.
Day 3 (Wednesday)
Breakfast and lunch given providing 2/3 rd of
maintainance
Dinner full Ketogenic meal

Day 4 (Thursday)
Full ketogenic diet breakfast
Education completed
Prescription for carb free diet
Child discharged

 Low level acidosis
 Lack of weight gain
 Constipation
 Diarrhoea and bloating
Side effects

 Significant dyslipidemia
 Kidney stones
 Hypoalbuminemia
 Pancreatitis
 Vitamin deficiencies
Less common

 After 2 years of seizure free or no improvement after
3- 6 months
 Dietary factors that worsen seizure:
1. Glutamate eg: MSG
2. Caffeine
3. Alcohol
4. betel nuts
5. Herbal remedies
Discontinuation


 59 year old male known case of Diabetes, CVA ,HTN
came with history of diplopia and blurring of vision.
 1 st episode of CVA on 2012 during that time he
presented with blurring of vision with pupil dilated
right eye and ptosis with left homonymous
hemianopia. With no EOM involvement.
 No limb weakness, DTR NORMAL.
Case presentation

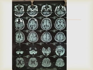
 At that time provisional diagnosis was mid brain
stroke.
 The images MRI Brain showed




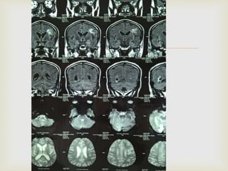
 On 2015 jan CVA with slurring of speech and right
facial palsy. At that time CT brain was took


 Patient presented with diplopia



SUMMARY

Final diagnosis:
 CVA-RIGHT OCCIPITAL ,LEFT
PARIETAL(MCA/PCA)
 RIGHT MEDIAL RECTUS PALSY
 PARTIAL 3RD NERVE PALSY (RIGHT SIDE)
 RIGHT FACIAL N UMN PALSY (RECOVERED)
 T2DM UNCONTROLLED (HBA1C :11)
 HTN

The ketogenic diet

  • 2.
      Ketogenic dietinitially was developed in 1920 in response to the observation that fasting had anti seizure properties.  Ketogenic diet can stimulate metabolic effects of starvation.  Ketogenc diet-High fat and low carbohydrate Introduction
  • 3.
      It hasbeneficial effect on variety of metabolic, Oncologic, neurodegenerative and psychatric disorders with different mechanism of actions.  It also has anti angiogenic effect  Direct and Indirect effects (neurotransmission, ATP production)
  • 4.
     CLASS 1 CLASS3 EPILEPSY PARKINSONS DISEASE ALZHEIMER DISEASE AML TRAUMATIC BRAIN INJURY AUTISM DEPRESSION Indication
  • 5.
      Epilepsy-mutation inGLUT-1,PDH deficiency DRAVERT SYNDROME: severe myoclonic epilepsy febrile seizures DOOSE SYNDROME: myoclonic astatic epilepsy  Metabolic defects: PFK deficiency, McArdle diease(glycogenolysis type V) Indications
  • 6.
      Malignancy :Advanced astrocytoma,Gliomas  Trauma and ischemia: fuel to injured brain and cardio protective effects.  Neurodegenerative diseases: PD,AD calorie restriction itself is protective, ketogenic diet enhance mitochondrial function, improvement in UPDRS
  • 7.
      Ketogenic dietprotect against deposition of amyloid. In AD high carb diet worsens the memory.  Mitochondrial dysfunction is found to be the cause of progression of ALS  Autism: patients on modified Radcliffe diet shown improvement in Childhood autism rating scale(CARS)
  • 8.
      Depression: Ketogenicdiet shown improvement in Porsolt test and behavioural changes.  Migraine , Headache and Narcolepsy
  • 9.
      In ketogenicdiet body uses fat as primary source.  Fat break down in liver-Ketones  In neuronal tissue ketones are used in mitochondria to generate ATP.  Relation between urine ketones and seizure control is imprecise . Mechanism of action
  • 10.
      Enhancement ofGABA function by ketone bodies and increases the expression of GAD( 65 & 57)  Saturated fatty acid and PUFA has neuro protective effect. Arachidonic acid inhibit voltage gated sodium channels.  Brain metabolizes ketone better under conditions of reduced glucose(calorie restriction)
  • 11.
     DIRECT INDIRECT KETONE BODIES SUBSTRATEDELIVERY ENHANCEMENT OF MITOCHONDRIAL FUNCTION ATP PRODUCTION DECREASE ROS NEUROTRANSMISSION ION CHANNELS MITOCHONDRIAL BIOGENISIS Potential mediators
  • 12.
  • 13.
  • 14.
  • 15.
     Diet compostion Ketogenicdiet Atkins Diet Fat(% by weight) 80 60 Protein(% by weight) 15 30 Carbs 5 10 Calorie(% of DRA) 75 Not restricted
  • 16.
     Typical ketogenic diets Saladwith walnuts Bluberry tart Sausage and cabbage dinner with cream
  • 17.
     Day prior toadmission(Sunday): Reduce carb for 24 hr on fasting from evening Day 1(Monday) On non carb fluids only, fasting continues till dinner(1/3 rd of the calculated maintainance). fluid restriction 60-75 cc/kg BG Q6H, orange juice for glucose John Hopkins Protocol
  • 18.
     Day 2 (Tuesday) Urineketones periodically Dinner increased to 2/3 rd. of maintenance. Day 3 (Wednesday) Breakfast and lunch given providing 2/3 rd of maintainance Dinner full Ketogenic meal
  • 19.
     Day 4 (Thursday) Fullketogenic diet breakfast Education completed Prescription for carb free diet Child discharged
  • 20.
      Low levelacidosis  Lack of weight gain  Constipation  Diarrhoea and bloating Side effects
  • 21.
      Significant dyslipidemia Kidney stones  Hypoalbuminemia  Pancreatitis  Vitamin deficiencies Less common
  • 22.
      After 2years of seizure free or no improvement after 3- 6 months  Dietary factors that worsen seizure: 1. Glutamate eg: MSG 2. Caffeine 3. Alcohol 4. betel nuts 5. Herbal remedies Discontinuation
  • 23.
  • 24.
      59 yearold male known case of Diabetes, CVA ,HTN came with history of diplopia and blurring of vision.  1 st episode of CVA on 2012 during that time he presented with blurring of vision with pupil dilated right eye and ptosis with left homonymous hemianopia. With no EOM involvement.  No limb weakness, DTR NORMAL. Case presentation
  • 25.
      At thattime provisional diagnosis was mid brain stroke.  The images MRI Brain showed
  • 26.
  • 27.
  • 28.
  • 29.
      On 2015jan CVA with slurring of speech and right facial palsy. At that time CT brain was took
  • 30.
  • 31.
  • 32.
  • 33.
  • 34.
  • 35.
     Final diagnosis:  CVA-RIGHTOCCIPITAL ,LEFT PARIETAL(MCA/PCA)  RIGHT MEDIAL RECTUS PALSY  PARTIAL 3RD NERVE PALSY (RIGHT SIDE)  RIGHT FACIAL N UMN PALSY (RECOVERED)  T2DM UNCONTROLLED (HBA1C :11)  HTN