More Related Content
PPS
TAEM10:Roles of endoscopic nurse PDF
DOC
PDF
PPT
PPTX
Common respiratory problems PPT
PPTX
What's hot
PPT
TAEM10: Endocrine Emergency - Nurse PPT
TAEM10: Endocrine Emergency PDF
PPT
PDF
การดูแลผู้ป่วยที่ใช้เครื่องช่วยหายใจ PDF
PDF
การพยาบาลผู้ป่วยที่มีอุปกรณ์ติดตัว PDF
การพยาบาลผู้ป่วยที่มีปัญหา ของระบบทางเดินหายใจ PPTX
PPT
PPT
PDF
PPT
PPTX
PPT
โรคเบาหวานและการตรวจวัด โดยอาจารย์ธราธิป เรืองวิทยานนท์ PDF
แนวปฏิบัติ การล้างไตทางช่องท้อง พ.ศ. 2561 PPT
รายงานการวิเคราะห์กรณีศึกษาที่ ๑๐ PDF
Part 2 - PD guideline Dialysis Weekend 9-11 feb 2018_pattaya PPT
PDF
Total parenteral nutrition Viewers also liked
PDF
PPTX
สปสช.การบริหารAsthma&copd57 PDF
PDF
PDF
PDF
PDF
การดูแลเครื่องมือและอุปกรณ์ในการบำบัด PDF
PDF
PPT
3 Asthma and COPD Management PPTX
PPT
Mechanical Ventilation in ARDS vs COPD PPTX
Hypoxia and oxygen therapy PPT
Chronic obstructive pulmonary disease PPT
PPT
COPD (Chronic Obstructive Pulmonary Disease) PPT
PPTX
COPD (Chronic obstructive Pulmonary Disease) PowerPoint Presentation -aslam PPTX
Similar to TAEM10:Respiratory distress
PDF
การดูแลผู้บาดเจ็บที่ทรวงอก PDF
PDF
Trauma Initial assessment and Resuscitation PPT
PDF
PDF
PDF
Life threatening chest injuries 15 พค.2558 PDF
การพยาบาลผู้ป่วยใช้เครื่องช่วยหายใจ PPT
PDF
PDF
PDF
Approach to pulmonary hypertension in Thai PDF
2016 Respiratory Assessment PDF
PDF
Interhospital chest conference PPT
PPT
Can we offer COPD patients better life? PDF
PDF
PC04 : Management of dyspnea in palliative care PDF
โรคที่มีสาเหตุเนื่องจากบุหรี่ More from taem
PDF
ประชุมใหญ่สามัญประจำปี วิทยาลัยแพทย์ฉุกเฉินแห่งประเทศไทย 2562-2563 PDF
PDF
PDF
ACTEP2014: What's new in endocrine emergency PDF
ACTEP2014: What is simulation PDF
ACTEP2014: Upcoming trend of lung ultrasound PDF
ACTEP2014: The routine to research R2R concept your way out of a research dea... PDF
ACTEP2014: Therapeutic hypothermia for ACTEP 2014 PDF
ACTEP2014: Sepsis marker in clinical use PDF
ACTEP2014: Symp Experience in STEMI & NSTEMI & UA ACS cases in ED Ramathibodi... PDF
ACTEP2014: Sepsis management has anything change PDF
ACTEP2014: Patient safety & risk management PDF
ACTEP2014: How to set up guideline for MCI PDF
ACTEP2014: How to maximise resuscitation in trauma 2014 PDF
PDF
ACTEP2014: Hemodynamic US in critical care PDF
PDF
PDF
PDF
ACTEP2014: ED accreditation HA JCI TQA TAEM10:Respiratory distress
- 1.
- 2.
- 3.
- 4.
- 5.
- 6.
- 7.
- 8.
- 9.
- 10.
Case ชายอายุ60 ปีมาด้วยหอบเหนื่อย RR=36/min Lung- wheeze ,O2sat(RA) =80% - 11.
- 12.
- 13.
เป็น irreversible airflow obstruction ที่มี ปฎิกิริยาอักเสบในปอดอย่างต่อเนื่อง - 14.
- 15.
- 16.
- 17.
- 18.
- 19.
Drug Beta2agonist Anticholinergic drug Steroid Tiotropium - 20.
- 21.
- 22.
- 23.
- 24.
- 25.
- 26.
- 27.
- 28.
ภาวะแทรกซ้อน Pneumothorax cor pulmonale ซึ่งจะมีภาวะเลือดข้น มีความดันในหลอดเลือดดำสูง pulm.embolism - 29.
- 30.
Asthma สัมผัสกับสารภูมิแพ้อันจะกระตุ้นให้มีการอักเสบของหลอดลมจนกระทั่งเกิดภาวะหลอดลมตีบขึ้น - 31.
- 32.
- 33.
- 34.
- 35.
- 36.
- 37.
- 38.
- 39.
- 40.
- 41.
การรักษา Controller -steroid -Long acting ß2 agonist -theophylline - leukotriene modifier reliever medication ß2 agonist Long acting ß2 agonist - 42.
- 43.
- 44.
- 45.
- 46.
- 47.
- 48.
- 49.
- 50.
- 51.
- 52.
การพิจารณารับผู้ป่วยเพื่อรักษาตัวในโรงพยาบาล มีดังนี้1. ปอดอักเสบที่มีภาวะแทรกซ้อนร่วมด้วย เช่น มีน้ำในโพรงเยื่อหุ้มปอด หรือ มีโพรงฝีในปอด เป็นต้น 2. พบว่าอาการของโรคประจำตัวเดิมกำเริบมากขึ้น 3. ไม่สามารถรับประทานยาได้สม่ำเสมอ 4. มีข้อบ่งชี้หลายข้อตามเกณฑ์การประเมินของ PSI หรือ CURB- 65 - 53.
PSI score (pneumonia severity index score) - 54.
- 55.
CURB- 65 confusion( สับสน ) BUN >20 มก / ดล respiratory rate >30 ครั้ง / นาที low blood pressure (systolic<90 มม . ปรอท / diastolic<60 มม . ปรอท ) age >65 ปี - 56.
เกณฑ์ - 0-1 ข้อ สามารถให้การรักษาแบบผู้ป่วยนอกโรงพยาบาลได้ 2 ข้อ รับตัวไว้ในหอผู้ป่วยของโรงพยาบาล 3 ข้อ รับตัวไว้ในหอผู้ป่วยไอซียู - 57.
- 58.
- 59.
- 60.
- 61.
- 62.
- 63.
ระยะเวลาการให้ยา ควรเริ่มให้ยาต้านเชื้อภายใน 4-8ชั่วโมงแรกในห้องฉุกเฉิน พบว่าการรีบให้ยาจะช่วยลดระยะเวลาการพักรักษาตัวในโรงพยาบาลแต่ไม่ลดความรุนแรงของโรค ดังนั้นทางสมาคมจึงระบุว่าควรให้ยาเร็วที่สุดเท่าที่วินิจฉัยโรคได้และควรตัดสินใจเริ่มให้ยาต้านเชื้อที่ห้องฉุกเฉิน โดยทั่วไปมักให้ยานาน 7–10 วันหรือจนกว่าไข้ลดลงมากกว่า 2-3 วัน - 64.
- 65.
- 66.
- 67.
การรักษา ในภาวะ massivehemoptysis ควรรับผู้ป่วยไว้ในโรงพยาบาลโดยให้อยู่ในหอ ICU ถ้ามี active massive hemoptysis และอาการทางคลินิคไม่คงที่ให้ใส่ท่อ ET tube ขนาดตั้งแต่เบอร์ 8 ขึ้นไปหรือใส่ double lumen endotracheal tube - 68.
- 69.
- 70.
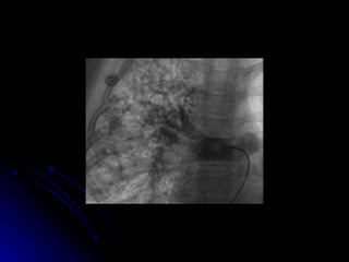
pneumothorax Spontaneous pneumothorax - primary และ secondary traumatic pneumothorax - 71.
primary spontaneous pneumothorax มักพบในผู้ชายอายุน้อยและรูปร่างสูง อาจมีปัจจัยเสี่ยงคือ สูบบุหรี่ ,marfan’s syndrome หรือ mitral valve prolapse เกิดจาก subpleural bulla ที่ lung apex จนมีลมรั่วเข้าสู่โพรงเยื่อหุ้มปอด - 72.
- 73.
อาการ เจ็บหน้าอกแปล๊บโดยเฉพาะขณะหายใจเข้า ขณะพัก เหนื่อยง่าย - 74.
- 75.
- 76.
- 77.
- 78.
- 79.
การรักษา primary spontaneous pneumothorax <20% ของ hemithorax ให้เฝ้าสังเกตอาการอย่างเดียว - อัตราการดูดซึมลมหายไปวันละ 1-2% แต่ถ้าใช้ O2100% จะทำให้อัตราการดูดซึมเพิ่มเป็น 4 เท่า ควรเฝ้าดูอาการนาน 6 ชั่วโมงและ CXR ก่อนกลับ > 20% ให้ใช้เข็มเจาะออก แล้วดูอาการ 6 ชั่วโมงจากนั้น CXR ก่อนกลับ - 80.
ICD ดูดลมได้มากกว่า 2.5 ลิตร / ปอดไม่ขยายตัวหลังเจาะปอดก็ควรใส่ ICD ที่มีเส้นผ่าศูนย์กลางเล็ก ( ขนาด 7F-14F) Primary spont pneumothorax มีโอกาสเกิดซ้ำ 1/3(16-50%) ดังนั้นอาจรอแตกครั้งที่ 2 ค่อยพิจารณาใส่ ICD - 81.
Secondary spont pneumothorax มีโอกาสเกิดซ้ำ 39-47% ซึ่งอาจเป็นอันตรายต่อชีวิต จึงแนะนำให้ใส่ ICD( ขนาด 20-28F) ทุกราย ตั้งแต่แตกครั้งแรกและทำ pleurodesis ถ้าลมรั่วจาก ICD นานมากกว่า 4-7 วันแสดงว่า ต้องได้รับการผ่าตัดต่อไป - 82.
- 83.
Pleural fluid Transudate และ Exudates Transudative pleural effusion เกิดจากเพิ่ม hydrostatic pressure หรือลด oncotic pressure ของหลอดเลือดที่เยื่อหุ้มปอด Exudative effusion มีโปรตีนมากในน้ำในโพรงเยื่อหุ้มปอดซึ่งเกิดจากเยื่อหุ้มปอดอักเสบจึงเกิดการรั่วของสารน้ำเข้าโพรงเยื่อหุ้มปอด - 84.
- 85.
- 86.
Amylase สูงในpleural effusion แสดงว่ามี esophageal rupture หรือ ตับอ่อนอักเสบ หรือพบในมะเร็งปอด ( พบได้ 10%) เป็นต้น ถ้าพบ adenosine deaminase สูง >45 IU/L- TB pleura สำหรับ cytology ใน pleural effusion พบเซลมะเร็งได้ถึง 40- 87% ถ้ามี Hct ของ pleural fluid >50% ของในเลือดแสดงว่าเป็น hemothorax - 87.
- 88.
การรักษา ถ้ามีการเจาะเอาน้ำออก >1500มลก็มีโอกาสเกิด Postexpansion pulm. Edema ได้ ถ้าเป็น loculated effusion ก็ควรใช้ streptokinase หรือ urokinase ฉีดเข้าโพรงเยื่อหุ้มปอด Pleural fluid ที่มี pH<7.0,LDH สูง และน้ำตาล < 50 มก / ดล . แสดงว่าเป็น parapneumonic effusion ที่จำเป็นต้องให้การรักษาด้วยการใส่ ICD - 89.
- 90.
- 91.
- 92.
การตรวจสืบค้น 1.D-dimer เพื่อrule out 2.CXR มักพบว่าปกติ 3.V/Q scan 4.pulmonary angiography ถือเป็น gold standard ในการวินิจฉัยโรค 5. spiral CT angiogram 6. ECG มักพบหัวใจเต้นเร็ว และ nonspecific ST-T wave abnormalities การพบ S1-Q3-T3 ไม่จำเพาะต่อโรค - 93.
การรักษา Thrombolytic therapy ใช้เมื่อมี massive PE ที่มาด้วยความดันโลหิตต่ำหรือ right ventricular dysfunction สามารถลดอัตราตายลงได้ 50% LMW-heparin Heparin IV drip