CONVENTIONAL,DIGITAL
FLUOROSCOPY AND Digital
SUBTRACTION ANGIOGRAPHY
Subodh Dhungana
Chitwan Medical College
INTRODUCTION
• Refers to the way of obtaining image in the fluorescent screen.
• Conventional fluoroscopy
• Modern fluoroscopy
Advantages
• Real-time imaging & visualization of anatomy & dynamic processes.
• Also used to position the patient for subsequent image recording or
devices for interventional procedures.
• Possible to examine the patient in different positions & to evaluate
profile views of abnormalities found.
• Fluoroscopy is actually a rather routine type of x-ray examination
except for its application in the visualization of vessels, called
angiography.
• The fluoroscope is used for examination of moving internal structures
and fluids.
HISTORY
• In 1896 Thomas Addison discovered fluoroscopy using barium
platinocyanide as screen phosphor
• – Modified II/TV system with more brightness gain(1948)
• – Temporal and energy subtraction (1960)
• – Clinical DSA systems(1977)
• – Qualitative and quantitative improvements
• – Image processing advances
• Early fluoroscopes: Cardboard funnels, open at narrow end for viewing,
the wide end closed with a thin cardboard piece that coated on the inside
with a layer of fluorescent material.
• Direct viewing of the fluoroscopic image is defective in Color, Sharpness &
contrast than the image produced on the film radiographs.
• Red adaptation goggles were developed by Wilhelm Trendelenburg in
1916. The resulting red light from it’s filtration correctly sensitized the
observer’s eyes prior to procedure.
Fluoroscopic Acquisition Components
Fluoroscopy Composition / Structure
• Fluoroscopic imaging system, the x-ray tube is usually hidden under
the patient table.
• The image intensifier are set over the patient table.
• With some fluoroscopes, the x-ray tube is over the patient table, and
the image receptor is under the patient table.
• Some fluoroscopes are operated remotely from outside the x-ray
room.
• During image-intensified fluoroscopy, the radiologic image is
displayed on a television monitor or flat panel monitor.
• Image intensifier that converts x-rays into visible light at high intensity
• During fluoroscopy, the x-ray tube is operated at less than 5 mA.
• Despite the lower mA, however, the patient dose is considerably
higher during fluoroscopy than during radiographic examinations
because the x- ray beam exposes the patient constantly for a
considerably longer time.
• The kilovolt peak (kVp) of operation depends entirely on the section
of the body that is being examined.
Image-Intensifier Tube
• The image-intensifier tube is approximately 50 cm long.
• The image-intensifier tube is a complex electronic device that
receives the image-forming x-ray beam and converts it into a visible-
light image of high intensity.
Image-Intensifier Tube
1. Glass envelope
2. Input phosphor
3. Photocathode
4. Electrostatic focusing lens
5. Output phosphor
Glass envelope
• Maintains tube vacuum to allow control of electrons flow.
• When installed, the tube is mounted inside a metal container to
protect it from rough handling and breakage.
• The tube components are contained within a glass or metal envelope
that provides structural support.
Input phosphor
• X-rays that exit the patient and are incident on the image intensifier
tube are transmitted through the glass envelope and interact with the
input phosphor, which is cesium iodine.
• The CsI crystals are grown as tiny needles and are tightly packed in a
layer of approximately 300 μm, Each crystal is approximately 5 μm in
diameter.
• When an x-ray interacts with the input phosphor, its energy is
converted into visible light.
1st Generation Image Intensifiers
• Input phosphor – Zinc Cadmium Sulfide
• Output phosphor – Zinc Cadmium Sulfide
2nd Generation Image Intensifiers
• Input Phosphor – Cesium Iodide
(smaller crystals with greater packing density)
• Output phosphor – Zinc Cadmium Sulfide
Photocathode
• It is bonded directly to the input phosphor with a thin, transparent,
adhesive layer.
• The photocathode is a thin metal layer, usually composed of cesium
and antimony compounds, that respond to stimulation of light with
the emission of electron. This process is known as photoemission.
• The number of electrons emitted by the photocathode is directly
proportional to the intensity of light that reaches it.
• The photocathode emits electrons when illuminated by the input
phosphor.
Electrostatic Focusing Lens
• Located along length of the tube, responsible for focusing the
electrons across the tube from input to output phosphor.
• Image is reversed from input to output phosphor (right becomes left,
superior to inferior)
• The concave input screen reduces distortion by keeping the same
distance between all points on the input and output screens.
Anode
• Anode is usually charged with 25kV and used to accelerate electron
across the tube.
• Electrons produced by photoemission will be accelerated to the
anode.
• The anode is a circular plate with a hole in the middle through which
electrons pass to the output phosphor, which is just the other side of
the anode and is usually made of zinc cadmium sulfide.
Output Phosphor
• The output Phosphor is usually made up of zinc cadmium sulfide
crystals.
• Each photoelectron that arrives at the output Phosphor results in
approximately 50-70 times magnification.
• The output phosphor is the site where electrons interact and
produce light.
• For the image pattern to be accurate,
the electron path from the
photocathode to the output
phosphor must be precise.
• The engineering aspects of
maintaining proper electron travel
are called electron optics.
• The interaction of these high-energy
electrons with the output phosphor
produces a considerable amount of
light.
• Each photoelectron that arrives at
the output phosphor produces 50 to
75 times as many light photons as
were necessary to create it.
Summary
Glass envelope
• Surrounds all of the components and provides mechanical
support of internal components has a vacuum tube.
Input phosphor
• Receives incident x-rays from the x-ray tube and converts them
into light Composed of cesium iodide
Photocathode
• Attached to the input phosphor by an adhesive layer, Converts
light from input phosphor to electrons by photoemission
Negative portion of the tube
Anode
• Positive portion of the tube. A circular plate with a hole in it in
which electrons are focused to which goes to the output
phosphor
Electrostatic focusing lenses
• Focuses electron path form photocathode to anode by means of
repulsion
Output phosphor
• Converts electrons from anode to light
Camera
• The television camera consist of
cylindrical housing, approximately
15 mm in diameter by 25 cm in
length, that contains the heart of
the camera, TV camera tube.
• It also contains electromagnetic coils
that are used to properly steer the
electron beam inside the tube.
• A number of such television camera
tubes are available for television
fluoroscopy, but the vidicon and its
modified version, the plumbicon,
are used most often.
• The glass envelope serves the same
function that it does for the X-ray tube;
to maintain a vacuum and provide
mechanical support for the internal
elements.
• These internal elements include the
cathode, its electron gun, assorted
elelctrostatic grids, and a target
assembly that serves as an anode.
• The electron gun is a heated filament
that supplies a constant electron
current by thermionic emission.
• Theses electrons are formed into an
electron beam by the control grid,
which also helps to accelerate the
electrons to the anode.
• At the anode end of the tube,
the electron beam passes
through a wire mesh- like
structure and interacts with the
target assembly. The target
assembly consist of three layers
that are sandwiched together.
1. Window
2. Signal plate
3. Target
• The target of a television camera
tube conducts electrons, creating
a video signal only when
illuminated.
• Image intensifiers and television
camera tubes are manufactured
so that the output phosphor of
the image intensifier tube is the
same diameter as the window of
the television camera tube,
usually 2.5 or 5cm.
Optical coupling
• Television camera tubes and
charge coupled devices (CCDs)
are coupled to an image
intensifier tube in two ways.
A. Fiberoptics
B. Lens system
• The simplest method is to use a
bundle of fiber optics.
• One advantage of this type of
coupling is its compact assembly,
which makes it easy to move the
image intensifier tower. This
coupling is rugged and can
withstand relatively rough handling.
• The principal disadvantage is that it
cannot accommodate the
additional optics required for
devices such as cine or photospot
cameras.
Lens Coupling:
• To accept a cine or photoshot camera,
lens coupling is required. This type of
coupling results in a much larger
assembly that should be handled with
care.
Working:
• The objective lens accepts light from
the output Phosphor and converts it
into a parallel beam.
• When an image is recorded on film, this
beam is interrupted by a beam-splitting
mirror so that only a portion is
transmitted to the television camera;
the remainder is reflected to a film
camera. Such a system allows the
fluroscopist to view the image while it
being recorded.
THREE FORMS OF FLUOROSCOPY
• DIRECT FLUOROSCOPY
• TV FLUOROSCOPY
• DIGITAL FLUOROSCOPY
DIRECT FLUOROSCOPY
DIRECT FLUOROSCOPY
DIRECT FLUOROSCOPY
Photo: Suitcase portable x-ray unit & hand fluoroscope
TV FLUOROSCOPY
TV FLUOROSCOPY
• Image intensifier- TV system
TV FLUOROSCOPY
WHY DIGITAL FLUOROSCOPY?
• Image acquistion faster
• Post processing is done
• Linear response
• Low patient dose(last frame hold)
• Pulse progessive fluoroscopy
• Temporal frame averaging
DIGITAL FLUOROSCOPY IMAGING SYSTEM
• A digital fluoroscopy examination is conducted in the much same
manner as a conventional fluoroscopic study but a computer has
been added and have multiple monitors and a more complex
operating system
DIGITAL FLUOROSCOPY IMAGING SYSTEM
• Digital Fluoroscopy Imaging System contains:
• alphanumeric and special function keys for patient data and
communication with the computer,
• Additional special function keys for data acquisition and image
display,
• Computer interactive video control,
• A pad for cursor and Region of interest (ROI) manipulation or
trackball, joystick, mouse.
• Al least two monitors- one for edit patient and examination data and
to annotate final image and other for subtracted images.
DIGITAL FLUOROSCOPY IMAGING SYSTEM
• During DF, the X-ray tube actually operates in the radiographic mode.
• This is not a problem as images from Digital Fluoroscopy are obtained by
pulsing the X-ray beam in a manner called Pulse-Progressive Fluoroscopy.
• PPF contains 3 stages:
• INTERROGATION TIME
• EXTINCTION TIME
• DUTY TIME
• DF system must incorporate high frequency generators with very rapid
switching on and off with interrogation time and extinction times of less
than 1 ms.
CHARGE-COUPLED DEVICE
• A major change from conventional fluoroscopy to Digital fluoroscopy
is the use of a charge-coupled device (CCD) instead of TV camera
pickup tube.
• Developed in 1970s for military applications especially in night vision
scopes.
• The application of CCD in fluoroscopy is a recent development.
The Sensitive component is a layer of crystalline silicon.
CHARGE-COUPLED DEVICE
CHARGE-COUPLED DEVICE
CCD
• CCDs can be tiled to receive the light from
an area X-ray beam as it interacts with a
scintillation phosphor such as Cesium
Iodide (CsI).
• The scintillation light from a CsI phosphor is
efficiently transmitted through fiber optic
bundles to the CCD array.
• The result is the high X-ray capture
efficiency and good spatial resolution – up
to 5lp/mm.
• CsI/CCD is an indirect Digital Fluoroscopic
process by which X-rays are first converted
into light and then to electric signal.
ADVANTAGES OF CCD
• High spatial resolution
• High signal to noise ratio
• High quantam detective efficiency
• No warm up required
• No spatial distortion
• No maintenance
• Unlimited life
• Not affected by magnetic field
• Linear response
• Low patient dose
CCD
• The spatial resolution of a CCD is determined by its physical size and
pixel count.
• 1024 matrix can produce images with 10lp/min spatial resolution.
FLAT PANEL IMAGE RECEPTOR(FPIR)
• Next development in Direct Fluoroscopy.
• Composed of either cesium iodide(CsI) or amorphous silicon and
amorphous selenium(a-Se)
• Two types:
• Direct conversion FPIR
• Indirect conversion FPIR
INDIRECT CONVERSION
• Indirect conversion FPIR involves the use of CsI to capture the X-ray as
well as transmission of the resulting scintillation light to a collection
element.
• The collection element is silicon sandwiched as a Thin Film
Transistor(TFT).
• Silicon is a semiconductor that usually is grown as a crystal but when
identified as amorphous Silicon (a-Si), silicon is not crystalline but is
fluid that can be painted onto a supporting surface.
• CsI has a high photoelectric capture as Cs has atomic no. 55 and
Iodine has 53
INDIRECT CONVERSION
• CsI/a-Si is an indirect Direct Fluoroscopy process by which X-rays are
converted first to light by CsI and then to electrical signal by a-Si.
• The image receptor is fabricated into individual pixels which has light
sensitive face of a-Si with a capacitor and a TFT embedded in it.
• The geometry of each individual pixel is very important as a portion of
the pixel face is occupied by conductors, capacitors and TFT.
• It is not totally sensitive to the incident image forming X-ray beam.
• The percentage of the pixel face that is sensitive to X-rays is the fill
factor, which is approximately 80%; therefore 20% of the X-ray beam
does not contribute to the image.
• As the pixel size is reduced, spatial resolution improves but at the
expense of the patient radiation dose.
• With smaller pixels, the fill factor is reduced and the X-ray intensity
must be increased to maintain adequate signal strength.
DIRECT CONVERSION
• Amorphous Selenium is the direct DF
process by which X-rays are converted to
electric signal as no scintillation phosphor
is involved.
• The imaging forming X-ray beam interacts
directly with a-Se producing a charged
pair.
• Amorphous-Se is both the capture
element and the coupling element.
• Amorphous-Se is approx. 200 m thick and
is sand-wiched between charged
electrodes.
• X-rays incident on a-Se create electron
hole pairs through direct ionization of
Selenium.
The created charge is collected by a storage
capacitor and remains there until the signal
is read by the switching action of the TFT.
FPIR
FPIR
Field coverage / size advantage to flat panel Image distortion advantage to flat panel
FPIR
• FPIR is much small and lighter and is manipulated more easily than an
image intensifier.
• FPIR imaging suite provides easier patient manipulation and
radiologist/technologist movement.
• No radiographic cassettes
• No pincushion distortion
FPIR
• image guided catheter navigation.
FINAL COMPARISION
IMAGE DISPLAY-VIDEO SYSTEM
• A 525-line system of conventional fluoroscopy is inadequate for DF.
• Limitations of conventional video that restrict its application in digital
techniques are:
• Interlaced mode of reading the target of the television camera can
significantly degrade image.
• Conventional television camera tubes are relatively noisy which have SNR
about 200:1 where as 1000:1 is necessary of DF.
• Interlaced Versus Progressive Mode:
• Conventional television camera tube reads its target assembly by interlaced
mode, wherein two fields of 262½ lines are read individually in 1/60s
(17ms) to form a 525-line video frame in 1/30s (33ms).
• In DF, the TV camera tube reads in progressive mode in which the electron
beam of the TV camera sweeps the target assembly continuously from top
to bottom in 33 ms.
IMAGE DISPLAY-VIDEO SYSTEM
• The video image is formed similarly on the television monitor.
• No interlace of one field with another.
• Produce a sharper image with less flicker.
• Signal-to-noise Ratio:
• Background noise
• As conventional TV camera tubes have and SNR 200:1, the maximum
output signal will be 200 times greater than the background electronic
noise.
• SNR 200:1 is not sufficient for DF because the video signal is rarely at
maximum and lower signals become even more lost in the noise.
• This affect in subtraction techniques and image contrast resolution is
severely degraded by a system with a low SNR.
FLAT PANEL IMAGE DISPLAY
• Flat Panel Display technology is rapidly replacing the Cathode Ray
Tube (CRT) in all applications like Television, Computer.
• Radiography and fluoroscopy is the similar field in which CRTs are
rapidly being replaced by the Flat Panel Image Display.
• In fluoroscopic image viewing, Flat Panel Image Display is usually
Active Matrix Liquid Crystal Display (AMLCD)
• Liquid crystals materials -a natural molecular dipole.
Active Matrix Liquid Crystal Display (AMLCD)
• Display Characteristics:
• AMLCDs are fashioned pixel by pixel.
• A 1-megapixel display will have a 1000 x 1000 pixel arrangement
and a high resolution monitor of 5-megapixel display has 2000 x
2500 pixel arrangement.
• Image luminance:
• Better grayscale definition than CRTs.
• Not limited by Veiling glare or reflections in the glass faceplate
• AMLCDs have less intrinsic noise than that of a CRT.
• Ambient light:
• Designed to better reduce the influence of ambient light on image
contrast.
• Angular dependence
DIFFERENCES BETWEEN CRT AND AMLCD
TOTAL PROCESS
Acquisition Processing Display
FLUORO
UNIT ADC
COMPUTER
HARDWARE
AND
SOFTWARE
ALGORITHMS
DAC
FLAT PANEL
IMAGE
DISPLAY
STORAGE
Automatic Brightness Control
• Automatic Brightness control (ABC) is a mechanism, which can keep
the brightness of the image constant ate the monitor.
• Basically a feedback circuit, which measure the light intensity of the
output screen or video camera signal.
• A photomultiplier or a photodiode is used to monitor the light output
of the tube.
DIGITAL SUBTRACTION ANGIOGRAPHY
• Digital subtraction angiography (DSA) is a new radiographic
technology used in diagnosing vascular disease
• The digitalized image information makes it possible to “subtract” the
pre contrast images from those obtained after contrast injection so as
to visualize arterial structures without direct arterial puncture and
injection
• DSA is a gold standard investigation for renal artery stenosis, cerebral
aneurysms & arteriovenous malformations (AVM).
DSA
• Image contrast can be enhanced electronically and image contrast is
improved by subtraction techniques which provide instantaneous
viewing of the subtracted image during passage of a bolus of contrast
medium.
• So Digital fluoroscopy provides better contrast resolution through
post processing of image subtraction.
• Types of image subtraction:
• Temporal subtraction
• Energy subtraction
• Hybrid subtraction
TEMPORAL SUBTRACTION
• Image obtained at one time subtracted from image at later time
• Shows only blood vessels with contrast
• Two types:
1. Mask mode
2. Time interval display mode(TID)
MASK MODE
Amount of contrast
• 4-10 sec delayed image before bolus of CM reaches the anatomic site
is taken as mask image and stored in primary memory and is
displayed.
• The mask image if followed by a series of additional images with
bolus of CM and stored in adjacent memory locations.
• These each subsequent images are acquired with subtraction from
the mask image and stored in primary memory and displayed in
monitor as well
MASK MODE
MASK MODE
Image Integration
• Imaging sequence after acquisition of the mask can be controlled. e.g.
after acquiring mask image after 2 sec. of injection, after 2 sec
another delay, images are obtained at the rate of 2/s for 3s, 1/s for 5s
and one every other second for another 14 second.
MASK MODE
REMASKING
• On subsequent examination, if the initial mask image is inadequate
because of the patient motion or improper technique or any other reason,
later images may be used as the mask image.
• e.g. if the intended mask image is technically inadequate and maximum
contrast appears during the 5th image, a better subtraction image may be
obtained by using image number 5 as the mask image rather than image
number 1.
• Several images (e.g. image numbers four through eight) even can be
integrated using the composite image as the mask image.
• Unacceptable masking images can be caused by noise, motion and
technical factors.
Time-Interval Difference Mode
• Some examinations call for each subtracted image to be made form a
different mask and follow-up frame.
• TID mode produces subtracted images form progressive masks and
following frames.
Time-Interval Difference Mode
• In real time, the images observed convey the flow of CM dynamically.
• TID images are relatively free of motion artifacts but have less
contrast than mask-mode imaging.
• TID imaging is applied principally in cardiac evaluation.
TEMPORAL SUBTRACTION
MISREGISTRNATION
• If the patient motion occurs between the mask image and a
subsequent image, the subtracted image will contain misregistration
artifacts.
• The same anatomy is not registered in the same pixel of the image
matrix.
• This type of artifact can be eliminated by the registration of the mask
by shifting the mask by one or more pixels so that superimposition of
images is again obtained.
ENERGY SUBTRACTION
• The temporal subtraction techniques take advantage of changing contrast
media during the time of examination and require no special demands on
the high voltage generator.
• Energy subtraction uses two different X-ray beam alternately to provide a
subtraction image that results form differences in photoelectric interaction.
• Energy subtraction is based on the abrupt change in the photoelectric
absorption of the K edge of contrast media compared with that for soft
tissue and bone.
• The probability of photoelectric absorption in iodine of CM, bone and
muscle decreases with the increasing X-ray energy.
• At an energy of 33 keV, an abrupt increase in absorption is noted in iodine
and a modest decrease in soft tissue and bone.
• The energy corresponds to the binding energy of the two K-shell electrons
of iodine.
ENERGY SUBTRACTION
• If monoenergetic X-ray beams of 32 and 34 keV could be used
alternately, the difference in absorption of Iodine would be enormous
and the resultant subtraction image would have very high contrast.
• But such is not the case because every X-ray beam contains a wide
spectrum of energies.
• Energy subtraction has the decided disadvantage of requiring some
method of providing an alternating X-ray beam of two different
emission spectra.
• Two methods have been devised –
• alternating pulsing the X-ray beam at 70kVp and then 90 kVp
• Introducing dissimilar metal filters into the X-ray beam alternately on
a flywheel.
DIFFERENCES
HYBRID SUBTRACTION
• Some Digital Fluoroscopy systems are capable of combining Temporal
and Energy subtraction techniques – Hybrid Subtraction.
• In Hybrid subtraction, image acquisition follows the mask-mode
procedure.
• The mask and each subsequent images are formed by an energy
subtraction technique.
• If patient motion can be controlled, hybrid imaging theoretically can
produce the highest-quality DF images.
HYBRID SUBTRACTION
DSA
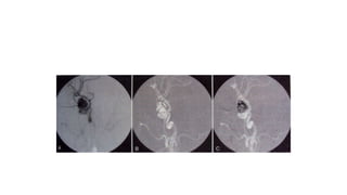
ROADMAPPING
• Roadmapping is a special application of DSA.
• A mask image is acquired and stored and CM is injected and
subtraction images are acquired as in DSA (A).
• As the catheter is fluoroscopically advanced, the image is formed by
subtraction form the second mask (B).
• Final DSA image shows completer vasculature tree with good contrast
(C).
• This image is inverted and used as the mask for additional DSA images.
DSA
PATIENT DOSE
• Potential advantage of DF is reduced patient dose.
• However, DF images appear to be continuous, in fact they are
discrete.
• DF X-ray beams are pulsed to fill one or more 33-ms video frames; so
fluoroscopic dose rate is lower than that for continuous analog
fluoroscopy.
• Static images with DF also are made with a lower dose per frame than
those attained with a 100-mm spot film camera.
• Both television camera tube and the CCD have greater sensitivity than
the spot film.
• Digital spot images are so easy to acquire that it is possible to mare
more exposures than are necessary.
DSA
SUMMARY
• Digital fluoroscopy has replaced the conventional type for its
advantages.
• In case of conventional fluoroscopy, what we get is what we see but
in case of digital fluoroscopy many post processing can be done.
Advances
• A future prospect is that DSA may be performed with energy
subtraction rather than temporal subtraction.
• Energy subtraction, an alternative being tested in several centers, is
based on subtraction of images of different kilovoltage, rather than in
different time.
• The advantage is that the different kilovoltages can be programmed
within milliseconds of each other, so that motion no longer
introduces an artifact.
• Current fluoroscopically based DSA units are incapable of energy
subtraction although one manufacturer is planning to provide such a
system in the future.
• The cesium-iodide image intensifier is the standard for production DSA
units, but state-of-the-art image intensifiers, such as the Thompson CSF 96
intensifier and the Philips 14-inch (36 cm) intensifier, are proposed for
future DSA units.
• Further modifications will include thicker image phosphors in order to
better control and use the light output.
• The size of the image intensifier is also an important factor, especially for
demonstrating large vascular areas, as in the extremities.
• Large intensifiers, such as the Philips 14-inch (36 cm), offer superior
contrast resolution capabilities, but have the disadvantages of decrease in
spatial resolution due to the fixed matrix size of the image processor and
the considerable increase in cost.
• Newly developed video tubes, such as the Amperex 45-XQ (‘‘frog’s
head’ ‘ plumbicon), as incorporated into a Sierra Scientific camera,
and the lead oxide Videcon tube are examples.
• Snapshot mode; slow scan video technique where the image is stored
on the target of the of the TV pickup tube & then read out digitized.
QUESTIONS???
• What are the forms of fluroscopy?
• Why digital fluroscopy has replaced other forms of fluroscopy?
• What are the advantages of FPIR?
• Why AMLCD has replaced CRT?
• What is meant by DSA and what are its type?
• What is meant by remasking?
• What is meant by misregistration and how can it be reduced?
• How are the temporal and energy substraction differ with each
other?
THANK YOU……

Fluoroscopy

  • 1.
    CONVENTIONAL,DIGITAL FLUOROSCOPY AND Digital SUBTRACTIONANGIOGRAPHY Subodh Dhungana Chitwan Medical College
  • 2.
    INTRODUCTION • Refers tothe way of obtaining image in the fluorescent screen. • Conventional fluoroscopy • Modern fluoroscopy Advantages • Real-time imaging & visualization of anatomy & dynamic processes. • Also used to position the patient for subsequent image recording or devices for interventional procedures. • Possible to examine the patient in different positions & to evaluate profile views of abnormalities found.
  • 3.
    • Fluoroscopy isactually a rather routine type of x-ray examination except for its application in the visualization of vessels, called angiography. • The fluoroscope is used for examination of moving internal structures and fluids.
  • 4.
    HISTORY • In 1896Thomas Addison discovered fluoroscopy using barium platinocyanide as screen phosphor • – Modified II/TV system with more brightness gain(1948) • – Temporal and energy subtraction (1960) • – Clinical DSA systems(1977) • – Qualitative and quantitative improvements • – Image processing advances
  • 5.
    • Early fluoroscopes:Cardboard funnels, open at narrow end for viewing, the wide end closed with a thin cardboard piece that coated on the inside with a layer of fluorescent material. • Direct viewing of the fluoroscopic image is defective in Color, Sharpness & contrast than the image produced on the film radiographs. • Red adaptation goggles were developed by Wilhelm Trendelenburg in 1916. The resulting red light from it’s filtration correctly sensitized the observer’s eyes prior to procedure.
  • 7.
  • 8.
    Fluoroscopy Composition /Structure • Fluoroscopic imaging system, the x-ray tube is usually hidden under the patient table. • The image intensifier are set over the patient table. • With some fluoroscopes, the x-ray tube is over the patient table, and the image receptor is under the patient table. • Some fluoroscopes are operated remotely from outside the x-ray room. • During image-intensified fluoroscopy, the radiologic image is displayed on a television monitor or flat panel monitor. • Image intensifier that converts x-rays into visible light at high intensity
  • 9.
    • During fluoroscopy,the x-ray tube is operated at less than 5 mA. • Despite the lower mA, however, the patient dose is considerably higher during fluoroscopy than during radiographic examinations because the x- ray beam exposes the patient constantly for a considerably longer time. • The kilovolt peak (kVp) of operation depends entirely on the section of the body that is being examined.
  • 10.
    Image-Intensifier Tube • Theimage-intensifier tube is approximately 50 cm long. • The image-intensifier tube is a complex electronic device that receives the image-forming x-ray beam and converts it into a visible- light image of high intensity.
  • 11.
    Image-Intensifier Tube 1. Glassenvelope 2. Input phosphor 3. Photocathode 4. Electrostatic focusing lens 5. Output phosphor
  • 12.
    Glass envelope • Maintainstube vacuum to allow control of electrons flow. • When installed, the tube is mounted inside a metal container to protect it from rough handling and breakage. • The tube components are contained within a glass or metal envelope that provides structural support.
  • 13.
    Input phosphor • X-raysthat exit the patient and are incident on the image intensifier tube are transmitted through the glass envelope and interact with the input phosphor, which is cesium iodine. • The CsI crystals are grown as tiny needles and are tightly packed in a layer of approximately 300 μm, Each crystal is approximately 5 μm in diameter. • When an x-ray interacts with the input phosphor, its energy is converted into visible light.
  • 14.
    1st Generation ImageIntensifiers • Input phosphor – Zinc Cadmium Sulfide • Output phosphor – Zinc Cadmium Sulfide 2nd Generation Image Intensifiers • Input Phosphor – Cesium Iodide (smaller crystals with greater packing density) • Output phosphor – Zinc Cadmium Sulfide
  • 15.
    Photocathode • It isbonded directly to the input phosphor with a thin, transparent, adhesive layer. • The photocathode is a thin metal layer, usually composed of cesium and antimony compounds, that respond to stimulation of light with the emission of electron. This process is known as photoemission. • The number of electrons emitted by the photocathode is directly proportional to the intensity of light that reaches it. • The photocathode emits electrons when illuminated by the input phosphor.
  • 16.
    Electrostatic Focusing Lens •Located along length of the tube, responsible for focusing the electrons across the tube from input to output phosphor. • Image is reversed from input to output phosphor (right becomes left, superior to inferior) • The concave input screen reduces distortion by keeping the same distance between all points on the input and output screens.
  • 17.
    Anode • Anode isusually charged with 25kV and used to accelerate electron across the tube. • Electrons produced by photoemission will be accelerated to the anode. • The anode is a circular plate with a hole in the middle through which electrons pass to the output phosphor, which is just the other side of the anode and is usually made of zinc cadmium sulfide.
  • 18.
    Output Phosphor • Theoutput Phosphor is usually made up of zinc cadmium sulfide crystals. • Each photoelectron that arrives at the output Phosphor results in approximately 50-70 times magnification. • The output phosphor is the site where electrons interact and produce light.
  • 19.
    • For theimage pattern to be accurate, the electron path from the photocathode to the output phosphor must be precise. • The engineering aspects of maintaining proper electron travel are called electron optics. • The interaction of these high-energy electrons with the output phosphor produces a considerable amount of light. • Each photoelectron that arrives at the output phosphor produces 50 to 75 times as many light photons as were necessary to create it.
  • 20.
    Summary Glass envelope • Surroundsall of the components and provides mechanical support of internal components has a vacuum tube. Input phosphor • Receives incident x-rays from the x-ray tube and converts them into light Composed of cesium iodide Photocathode • Attached to the input phosphor by an adhesive layer, Converts light from input phosphor to electrons by photoemission Negative portion of the tube Anode • Positive portion of the tube. A circular plate with a hole in it in which electrons are focused to which goes to the output phosphor Electrostatic focusing lenses • Focuses electron path form photocathode to anode by means of repulsion Output phosphor • Converts electrons from anode to light
  • 21.
    Camera • The televisioncamera consist of cylindrical housing, approximately 15 mm in diameter by 25 cm in length, that contains the heart of the camera, TV camera tube. • It also contains electromagnetic coils that are used to properly steer the electron beam inside the tube. • A number of such television camera tubes are available for television fluoroscopy, but the vidicon and its modified version, the plumbicon, are used most often.
  • 22.
    • The glassenvelope serves the same function that it does for the X-ray tube; to maintain a vacuum and provide mechanical support for the internal elements. • These internal elements include the cathode, its electron gun, assorted elelctrostatic grids, and a target assembly that serves as an anode. • The electron gun is a heated filament that supplies a constant electron current by thermionic emission. • Theses electrons are formed into an electron beam by the control grid, which also helps to accelerate the electrons to the anode.
  • 23.
    • At theanode end of the tube, the electron beam passes through a wire mesh- like structure and interacts with the target assembly. The target assembly consist of three layers that are sandwiched together. 1. Window 2. Signal plate 3. Target
  • 24.
    • The targetof a television camera tube conducts electrons, creating a video signal only when illuminated. • Image intensifiers and television camera tubes are manufactured so that the output phosphor of the image intensifier tube is the same diameter as the window of the television camera tube, usually 2.5 or 5cm.
  • 25.
    Optical coupling • Televisioncamera tubes and charge coupled devices (CCDs) are coupled to an image intensifier tube in two ways. A. Fiberoptics B. Lens system
  • 26.
    • The simplestmethod is to use a bundle of fiber optics. • One advantage of this type of coupling is its compact assembly, which makes it easy to move the image intensifier tower. This coupling is rugged and can withstand relatively rough handling. • The principal disadvantage is that it cannot accommodate the additional optics required for devices such as cine or photospot cameras.
  • 27.
    Lens Coupling: • Toaccept a cine or photoshot camera, lens coupling is required. This type of coupling results in a much larger assembly that should be handled with care. Working: • The objective lens accepts light from the output Phosphor and converts it into a parallel beam. • When an image is recorded on film, this beam is interrupted by a beam-splitting mirror so that only a portion is transmitted to the television camera; the remainder is reflected to a film camera. Such a system allows the fluroscopist to view the image while it being recorded.
  • 28.
    THREE FORMS OFFLUOROSCOPY • DIRECT FLUOROSCOPY • TV FLUOROSCOPY • DIGITAL FLUOROSCOPY
  • 29.
  • 30.
  • 31.
    DIRECT FLUOROSCOPY Photo: Suitcaseportable x-ray unit & hand fluoroscope
  • 32.
  • 33.
    TV FLUOROSCOPY • Imageintensifier- TV system
  • 34.
  • 35.
    WHY DIGITAL FLUOROSCOPY? •Image acquistion faster • Post processing is done • Linear response • Low patient dose(last frame hold) • Pulse progessive fluoroscopy • Temporal frame averaging
  • 36.
    DIGITAL FLUOROSCOPY IMAGINGSYSTEM • A digital fluoroscopy examination is conducted in the much same manner as a conventional fluoroscopic study but a computer has been added and have multiple monitors and a more complex operating system
  • 37.
    DIGITAL FLUOROSCOPY IMAGINGSYSTEM • Digital Fluoroscopy Imaging System contains: • alphanumeric and special function keys for patient data and communication with the computer, • Additional special function keys for data acquisition and image display, • Computer interactive video control, • A pad for cursor and Region of interest (ROI) manipulation or trackball, joystick, mouse. • Al least two monitors- one for edit patient and examination data and to annotate final image and other for subtracted images.
  • 39.
    DIGITAL FLUOROSCOPY IMAGINGSYSTEM • During DF, the X-ray tube actually operates in the radiographic mode. • This is not a problem as images from Digital Fluoroscopy are obtained by pulsing the X-ray beam in a manner called Pulse-Progressive Fluoroscopy. • PPF contains 3 stages: • INTERROGATION TIME • EXTINCTION TIME • DUTY TIME • DF system must incorporate high frequency generators with very rapid switching on and off with interrogation time and extinction times of less than 1 ms.
  • 40.
    CHARGE-COUPLED DEVICE • Amajor change from conventional fluoroscopy to Digital fluoroscopy is the use of a charge-coupled device (CCD) instead of TV camera pickup tube. • Developed in 1970s for military applications especially in night vision scopes. • The application of CCD in fluoroscopy is a recent development. The Sensitive component is a layer of crystalline silicon.
  • 41.
  • 42.
  • 43.
    CCD • CCDs canbe tiled to receive the light from an area X-ray beam as it interacts with a scintillation phosphor such as Cesium Iodide (CsI). • The scintillation light from a CsI phosphor is efficiently transmitted through fiber optic bundles to the CCD array. • The result is the high X-ray capture efficiency and good spatial resolution – up to 5lp/mm. • CsI/CCD is an indirect Digital Fluoroscopic process by which X-rays are first converted into light and then to electric signal.
  • 44.
    ADVANTAGES OF CCD •High spatial resolution • High signal to noise ratio • High quantam detective efficiency • No warm up required • No spatial distortion • No maintenance • Unlimited life • Not affected by magnetic field • Linear response • Low patient dose
  • 45.
    CCD • The spatialresolution of a CCD is determined by its physical size and pixel count. • 1024 matrix can produce images with 10lp/min spatial resolution.
  • 46.
    FLAT PANEL IMAGERECEPTOR(FPIR) • Next development in Direct Fluoroscopy. • Composed of either cesium iodide(CsI) or amorphous silicon and amorphous selenium(a-Se) • Two types: • Direct conversion FPIR • Indirect conversion FPIR
  • 47.
    INDIRECT CONVERSION • Indirectconversion FPIR involves the use of CsI to capture the X-ray as well as transmission of the resulting scintillation light to a collection element. • The collection element is silicon sandwiched as a Thin Film Transistor(TFT). • Silicon is a semiconductor that usually is grown as a crystal but when identified as amorphous Silicon (a-Si), silicon is not crystalline but is fluid that can be painted onto a supporting surface. • CsI has a high photoelectric capture as Cs has atomic no. 55 and Iodine has 53
  • 48.
  • 49.
    • CsI/a-Si isan indirect Direct Fluoroscopy process by which X-rays are converted first to light by CsI and then to electrical signal by a-Si. • The image receptor is fabricated into individual pixels which has light sensitive face of a-Si with a capacitor and a TFT embedded in it.
  • 50.
    • The geometryof each individual pixel is very important as a portion of the pixel face is occupied by conductors, capacitors and TFT. • It is not totally sensitive to the incident image forming X-ray beam. • The percentage of the pixel face that is sensitive to X-rays is the fill factor, which is approximately 80%; therefore 20% of the X-ray beam does not contribute to the image. • As the pixel size is reduced, spatial resolution improves but at the expense of the patient radiation dose. • With smaller pixels, the fill factor is reduced and the X-ray intensity must be increased to maintain adequate signal strength.
  • 51.
    DIRECT CONVERSION • AmorphousSelenium is the direct DF process by which X-rays are converted to electric signal as no scintillation phosphor is involved. • The imaging forming X-ray beam interacts directly with a-Se producing a charged pair. • Amorphous-Se is both the capture element and the coupling element. • Amorphous-Se is approx. 200 m thick and is sand-wiched between charged electrodes. • X-rays incident on a-Se create electron hole pairs through direct ionization of Selenium. The created charge is collected by a storage capacitor and remains there until the signal is read by the switching action of the TFT.
  • 52.
  • 53.
  • 54.
    Field coverage /size advantage to flat panel Image distortion advantage to flat panel
  • 55.
    FPIR • FPIR ismuch small and lighter and is manipulated more easily than an image intensifier. • FPIR imaging suite provides easier patient manipulation and radiologist/technologist movement. • No radiographic cassettes • No pincushion distortion
  • 56.
    FPIR • image guidedcatheter navigation.
  • 57.
  • 58.
    IMAGE DISPLAY-VIDEO SYSTEM •A 525-line system of conventional fluoroscopy is inadequate for DF. • Limitations of conventional video that restrict its application in digital techniques are: • Interlaced mode of reading the target of the television camera can significantly degrade image. • Conventional television camera tubes are relatively noisy which have SNR about 200:1 where as 1000:1 is necessary of DF. • Interlaced Versus Progressive Mode: • Conventional television camera tube reads its target assembly by interlaced mode, wherein two fields of 262½ lines are read individually in 1/60s (17ms) to form a 525-line video frame in 1/30s (33ms). • In DF, the TV camera tube reads in progressive mode in which the electron beam of the TV camera sweeps the target assembly continuously from top to bottom in 33 ms.
  • 59.
    IMAGE DISPLAY-VIDEO SYSTEM •The video image is formed similarly on the television monitor. • No interlace of one field with another. • Produce a sharper image with less flicker. • Signal-to-noise Ratio: • Background noise • As conventional TV camera tubes have and SNR 200:1, the maximum output signal will be 200 times greater than the background electronic noise. • SNR 200:1 is not sufficient for DF because the video signal is rarely at maximum and lower signals become even more lost in the noise. • This affect in subtraction techniques and image contrast resolution is severely degraded by a system with a low SNR.
  • 60.
    FLAT PANEL IMAGEDISPLAY • Flat Panel Display technology is rapidly replacing the Cathode Ray Tube (CRT) in all applications like Television, Computer. • Radiography and fluoroscopy is the similar field in which CRTs are rapidly being replaced by the Flat Panel Image Display. • In fluoroscopic image viewing, Flat Panel Image Display is usually Active Matrix Liquid Crystal Display (AMLCD) • Liquid crystals materials -a natural molecular dipole.
  • 61.
    Active Matrix LiquidCrystal Display (AMLCD) • Display Characteristics: • AMLCDs are fashioned pixel by pixel. • A 1-megapixel display will have a 1000 x 1000 pixel arrangement and a high resolution monitor of 5-megapixel display has 2000 x 2500 pixel arrangement. • Image luminance: • Better grayscale definition than CRTs. • Not limited by Veiling glare or reflections in the glass faceplate • AMLCDs have less intrinsic noise than that of a CRT. • Ambient light: • Designed to better reduce the influence of ambient light on image contrast. • Angular dependence
  • 62.
  • 63.
    TOTAL PROCESS Acquisition ProcessingDisplay FLUORO UNIT ADC COMPUTER HARDWARE AND SOFTWARE ALGORITHMS DAC FLAT PANEL IMAGE DISPLAY STORAGE
  • 64.
    Automatic Brightness Control •Automatic Brightness control (ABC) is a mechanism, which can keep the brightness of the image constant ate the monitor. • Basically a feedback circuit, which measure the light intensity of the output screen or video camera signal. • A photomultiplier or a photodiode is used to monitor the light output of the tube.
  • 65.
    DIGITAL SUBTRACTION ANGIOGRAPHY •Digital subtraction angiography (DSA) is a new radiographic technology used in diagnosing vascular disease • The digitalized image information makes it possible to “subtract” the pre contrast images from those obtained after contrast injection so as to visualize arterial structures without direct arterial puncture and injection • DSA is a gold standard investigation for renal artery stenosis, cerebral aneurysms & arteriovenous malformations (AVM).
  • 67.
    DSA • Image contrastcan be enhanced electronically and image contrast is improved by subtraction techniques which provide instantaneous viewing of the subtracted image during passage of a bolus of contrast medium. • So Digital fluoroscopy provides better contrast resolution through post processing of image subtraction. • Types of image subtraction: • Temporal subtraction • Energy subtraction • Hybrid subtraction
  • 68.
    TEMPORAL SUBTRACTION • Imageobtained at one time subtracted from image at later time • Shows only blood vessels with contrast • Two types: 1. Mask mode 2. Time interval display mode(TID)
  • 69.
    MASK MODE Amount ofcontrast • 4-10 sec delayed image before bolus of CM reaches the anatomic site is taken as mask image and stored in primary memory and is displayed. • The mask image if followed by a series of additional images with bolus of CM and stored in adjacent memory locations. • These each subsequent images are acquired with subtraction from the mask image and stored in primary memory and displayed in monitor as well
  • 70.
  • 71.
    MASK MODE Image Integration •Imaging sequence after acquisition of the mask can be controlled. e.g. after acquiring mask image after 2 sec. of injection, after 2 sec another delay, images are obtained at the rate of 2/s for 3s, 1/s for 5s and one every other second for another 14 second.
  • 72.
    MASK MODE REMASKING • Onsubsequent examination, if the initial mask image is inadequate because of the patient motion or improper technique or any other reason, later images may be used as the mask image. • e.g. if the intended mask image is technically inadequate and maximum contrast appears during the 5th image, a better subtraction image may be obtained by using image number 5 as the mask image rather than image number 1. • Several images (e.g. image numbers four through eight) even can be integrated using the composite image as the mask image. • Unacceptable masking images can be caused by noise, motion and technical factors.
  • 73.
    Time-Interval Difference Mode •Some examinations call for each subtracted image to be made form a different mask and follow-up frame. • TID mode produces subtracted images form progressive masks and following frames.
  • 74.
    Time-Interval Difference Mode •In real time, the images observed convey the flow of CM dynamically. • TID images are relatively free of motion artifacts but have less contrast than mask-mode imaging. • TID imaging is applied principally in cardiac evaluation.
  • 75.
    TEMPORAL SUBTRACTION MISREGISTRNATION • Ifthe patient motion occurs between the mask image and a subsequent image, the subtracted image will contain misregistration artifacts. • The same anatomy is not registered in the same pixel of the image matrix. • This type of artifact can be eliminated by the registration of the mask by shifting the mask by one or more pixels so that superimposition of images is again obtained.
  • 76.
    ENERGY SUBTRACTION • Thetemporal subtraction techniques take advantage of changing contrast media during the time of examination and require no special demands on the high voltage generator. • Energy subtraction uses two different X-ray beam alternately to provide a subtraction image that results form differences in photoelectric interaction. • Energy subtraction is based on the abrupt change in the photoelectric absorption of the K edge of contrast media compared with that for soft tissue and bone. • The probability of photoelectric absorption in iodine of CM, bone and muscle decreases with the increasing X-ray energy. • At an energy of 33 keV, an abrupt increase in absorption is noted in iodine and a modest decrease in soft tissue and bone. • The energy corresponds to the binding energy of the two K-shell electrons of iodine.
  • 77.
    ENERGY SUBTRACTION • Ifmonoenergetic X-ray beams of 32 and 34 keV could be used alternately, the difference in absorption of Iodine would be enormous and the resultant subtraction image would have very high contrast. • But such is not the case because every X-ray beam contains a wide spectrum of energies. • Energy subtraction has the decided disadvantage of requiring some method of providing an alternating X-ray beam of two different emission spectra. • Two methods have been devised – • alternating pulsing the X-ray beam at 70kVp and then 90 kVp • Introducing dissimilar metal filters into the X-ray beam alternately on a flywheel.
  • 78.
  • 79.
    HYBRID SUBTRACTION • SomeDigital Fluoroscopy systems are capable of combining Temporal and Energy subtraction techniques – Hybrid Subtraction. • In Hybrid subtraction, image acquisition follows the mask-mode procedure. • The mask and each subsequent images are formed by an energy subtraction technique. • If patient motion can be controlled, hybrid imaging theoretically can produce the highest-quality DF images.
  • 80.
  • 81.
    DSA ROADMAPPING • Roadmapping isa special application of DSA. • A mask image is acquired and stored and CM is injected and subtraction images are acquired as in DSA (A). • As the catheter is fluoroscopically advanced, the image is formed by subtraction form the second mask (B). • Final DSA image shows completer vasculature tree with good contrast (C). • This image is inverted and used as the mask for additional DSA images.
  • 83.
    DSA PATIENT DOSE • Potentialadvantage of DF is reduced patient dose. • However, DF images appear to be continuous, in fact they are discrete. • DF X-ray beams are pulsed to fill one or more 33-ms video frames; so fluoroscopic dose rate is lower than that for continuous analog fluoroscopy. • Static images with DF also are made with a lower dose per frame than those attained with a 100-mm spot film camera. • Both television camera tube and the CCD have greater sensitivity than the spot film. • Digital spot images are so easy to acquire that it is possible to mare more exposures than are necessary.
  • 84.
  • 85.
    SUMMARY • Digital fluoroscopyhas replaced the conventional type for its advantages. • In case of conventional fluoroscopy, what we get is what we see but in case of digital fluoroscopy many post processing can be done.
  • 87.
    Advances • A futureprospect is that DSA may be performed with energy subtraction rather than temporal subtraction. • Energy subtraction, an alternative being tested in several centers, is based on subtraction of images of different kilovoltage, rather than in different time. • The advantage is that the different kilovoltages can be programmed within milliseconds of each other, so that motion no longer introduces an artifact. • Current fluoroscopically based DSA units are incapable of energy subtraction although one manufacturer is planning to provide such a system in the future.
  • 88.
    • The cesium-iodideimage intensifier is the standard for production DSA units, but state-of-the-art image intensifiers, such as the Thompson CSF 96 intensifier and the Philips 14-inch (36 cm) intensifier, are proposed for future DSA units. • Further modifications will include thicker image phosphors in order to better control and use the light output. • The size of the image intensifier is also an important factor, especially for demonstrating large vascular areas, as in the extremities. • Large intensifiers, such as the Philips 14-inch (36 cm), offer superior contrast resolution capabilities, but have the disadvantages of decrease in spatial resolution due to the fixed matrix size of the image processor and the considerable increase in cost.
  • 89.
    • Newly developedvideo tubes, such as the Amperex 45-XQ (‘‘frog’s head’ ‘ plumbicon), as incorporated into a Sierra Scientific camera, and the lead oxide Videcon tube are examples. • Snapshot mode; slow scan video technique where the image is stored on the target of the of the TV pickup tube & then read out digitized.
  • 90.
    QUESTIONS??? • What arethe forms of fluroscopy? • Why digital fluroscopy has replaced other forms of fluroscopy? • What are the advantages of FPIR? • Why AMLCD has replaced CRT? • What is meant by DSA and what are its type? • What is meant by remasking? • What is meant by misregistration and how can it be reduced? • How are the temporal and energy substraction differ with each other?
  • 91.

Editor's Notes

  • #40 Interrogation Time: the time for the x-ray tube to be turned on and for kVp & mA levels to reach selection. Less than 1ms. Extinction Time: The time for the x-ray tube to be turned off. Less than 1ms due to the incorporation of High Frequency Generators. Duty cycle: The fraction of time between the Interrogation and the Extinction Time. This is when the x-ray tube is energized or its usually Duty Time.