ПАТОФІЗІОЛОГІЯ СЕРЦЯ Лектор – Досенко Віктор Євгенович,   д.м.н., професор кафедри патофізіології НМУ ім. О.О.Богомольця,  провідний науковий співробітник відділу загальної та молекулярної патофізіології Інституту фізіолоії ім. О.О.Богомольця НАН України
 
 
НЕДОСТАТНІСТЬ СЕРЦЯ – неспроможність органу забезпечувати нормальний хвилинний об ` єм крові Недостатність серця від перевантаження 2. Недостатність серця через ушкодження міокарда 3. Змішана
ПЕРЕВАНТАЖЕННЯ СЕРЦЯ Перед навантаження (об ’ ємом) Після навантаження (тиском) Недостатність мітрального, аортального клапану, дефект міжпередсердної, міжшлуночкової перетинки  та ін. Стеноз мітрального, аортального клапану, артеріальна гіпертензія, коарктація аорти  та ін.
МЕХАНІЗМИ КОМПЕНСАЦІЇ НЕГАЙНІ (термінові) - гетерометричний механізм компенсації за законом Франка-Старлінга - гомеометричний механізм - збільшення частоти серцевих скорочень ГІПЕРТРОФІЯ МІОКАРДА ВІДДАЛЕНІ (довготермінові)
ГІПЕРТРОФІЯ МІОКАРДА – патофізіологічний процес, що виникає при перевантаженні серця (або окремих його відділів), та спричинює збільшення маси органу за рахунок збільшення об ` єму кардіоміоцитів
МЕХАНІЗМИ ГІПЕРТРОФІЇ МІОКАРДА ГЕНЕТИЧНІ При “розтягненні” кардіоміоцитів змінюється експресія  185  генів   ( 164  upregulated ,  21 downregulated )   За впливу норадреналіну   змінюється експресія  450  генів  (238 upregulated ,   211 downregulated ) Microarray chip
СТАДІЇ ГІПЕРТРОФІЇ МІОКАРДА (за Ф.З.Меєрсоном) 1. Аварійна 2. Завершеної гіпертрофії та відносно стійкої гіперфункції 3. Поступового виснаження і прогресуючого кардіосклерозу =  ІФС   m А =   ІФС  m А m А =  ІФС
ФАТАЛЬНІ ПАРАДОКСИ ГІПЕРТРОФІЇ МІОКАРДА V 3  ->  S 2 При збільшенні об ` єму в кубі – площа збільшується лише в квадраті Зменшення питомої поверхні клітин  ->  погіршення транспорту речовин Кількість судин, що живлять серце, не збільшується Погіршення оксигенації та трофічного забезпечення Кількість нервових закінчень у серці не збільшується Часткова денервація серця  ->   підвищення чутливості до адренергічних впливів
КАРДІОСКЛЕРОЗ – НЕВБЛАГАННИЙ НАСЛІДОК ГІПЕРТРОФІЇ МІОКАРДА
Недостатність мітрального клапану Перевантаження об ` ємом лівого шлуночка Гіпертрофія лівого шлуночка Недостатність лівого шлуночка Підвищення тиску  в легеневих венах Рефлекс Кітаєва - підвищення тиску в легеневих артеріях  Перевантаження тиском правого шлуночка  Гіпертрофія правого шлуночка  Недостатність правого шлуночка  Стеноз мітрального клапану Перевантаження тиском лівого передсердя Гіпертрофія лівого передсердя Недостатність лівого передсердя Підвищення тиску в легеневих венах Рефлекс Кітаєва - підвищення тиску в легеневих артеріях  Перевантаження тиском правого шлуночка  Гіпертрофія правого  шлуночка  Недостатність правого шлуночка  Перевантаження об ` ємом лівого передсердя Гіпертрофія та недостатність лівого передсердя
НЕДОСТАТНІСТЬ СЕРЦЯ – неспроможність органу забезпечувати нормальний хвилинний об ` єм крові 1.  Недостатність серця від перевантаження 2. Недостатність серця через ушкодження  міокарда 3. Змішана
УШКОДЖЕННЯ МІОКАРДА Коронарогенні Некоронарогенні гіпоксичний некроз електролітно-стероїдна  кардіопатія аутоімунне ушкождення та   інші ІШЕМІЧНА  ХВОРОБА  СЕРЦЯ
ІШЕМІЧНА ХВОРОБА СЕРЦЯ –  мультифакторне захворювання, що характеризується  абсолютним або відносним порушенням кровопостачання міокарда внаслідок ураження коронарних артерій серця Раптова коронарна смерть Стенокардія Інфаркт міокарда Аритмії Постінфарктний кардіосклероз Клінічні форми ІХС
ФАКТОРИ РИЗИКУ  ІШЕМІЧНОЇ ХВОРОБИ СЕРЦЯ ЕКЗОГЕННІ ЕНДОГЕННІ Алельний   поліморфізм генів -  SNP   Переїдання (дисліпідемії, ожиріння, цукровий діабет ІІ типу) Стрес, “невідреаговані емоції” (артеріальна гіпертензія) Паління Гіподинамія
Алельний поліморфізм – феномен, що визначає генетичну гетерогенність популяції та генетичну індивідуальність кожної людини ~  30   млн. поліморфізмів на 3.2 млрд. Нуклеотидів в геномі людини Кожний ген може бути представлений у більш ніж 900 варіантах
ВІДМІННОСТІ МУТАЦІЇ ВІД АЛЕЛЬНОГО ПОЛІМОРФІЗМУ ГЕНА Дозволяє оцінити ризик виникнення захворювання, його важкість та ефективність терапії Дозволяє підтвердити діагноз спадкового захворювання Діагностичне Впливає на ймовірність розвитку захворювання (полігенна патологія) Спричинює розвиток захворювання  (моногенна патологія) Патофізіологічне Певною мірою змінює активність білків Чинить потужний вплив на активність білків Біохімічне Забезпечує генетичну гетерогенність популяції, генетичне підгрунтя конституції людини Немає Фізіологічне Має широке розповсюдження (частота зміненого алеля від 1% до 75%) Зустрічається рідко (частота мутантного алеля не перевищує 1%) Популяційно-генетичне  АЛЕЛЬНИЙ ПОЛІМОРФІЗМ МУТАЦІЯ ЗНАЧЕННЯ
ІШЕМІЧНА ХВОРОБА СЕРЦЯ  ЯК  ПОЛІГЕННЕ  ЗАХВОРЮВАННЯ PPAR- α ,   ,  δ CEPT Печінкова ліпаза Ліпопротеїд-ліпаза Ангіотензиноген A ПФ Адипонектин 5- ліпоксигеназа Фактор  XIII Фактор  V CD14 Рецептор  ox-LDL Параоксоназа Апо-ліпопротеїни eNOS Епоксигеназа   Рецептор ангіотензину ІІ  Фактор  VII Toll- рецептор
ВИЗНАЧЕННЯ АЛЕЛЬНОГО ПОЛІМОРФІЗМУ  ПРОМОТОРУ ГЕНА  eNOS  ( T -786  C ) ПРАЙМЕРИ:  upstream  5`-  CAC CTG CAT TCT GGG AAC TGT A  -   3`   downstream  5`-  GCC GCA GTA GCA GAG AGA C  -   3`   АМПЛІФІКАЦІЯ  : 94  С (1 хв), гібридизація праймерів - 63  С (50  c ек) та елонгація - 74  С (1 хв)  -  35 циклів   (термоциклер “ Applied Biosystems  2700 ” )   Р   Е   С   Т   Р   И   К   Ц   І   Я Pdi I  ( Nae I ) ЕЛЕКТРОФОРЕЗ в 2,5 % агарозному гелі із бромистим етидієм   MroN  I   5`… G    C – C – G – G - C   … 3` 3`… C – G – G – C – C    G …   5` 100 50 5`… G – C – C    G – G - C   … 3` 3`… C – G – G    C – C – G …   5` 150
ЗАСТОСУВАННЯ ПЛР В РЕАЛЬНОМУ ЧАСІ ДЛЯ ВИЗНАЧЕННЯ ПОЛІМОРФІЗМУ ПООДИНОКИХ НУКЛЕОТИДІВ
ФУНКЦІОНАЛЬНЕ ЗНАЧЕННЯ АЛЕЛЬНОГО ПОЛІМОРФІЗМУ ( T -786  C)  ПРОМОТОРУ ГЕНА е NOS   χ 2  = 10.01 P < 0.05 Розподіл алельних варіантів Рівень експресії мРНК  eNOS  * Активність продукції  NO Виживання хворих  *
МЕХАНІЗМИ ІШЕМІЧНОГО УШКОДЖЕННЯ КАРДІОМІОЦИТІВ  ЗАГИБЕЛЬ КЛІТИНИ Зменшення надходження кисню Пригнічення аеробних шляхів отримання енергії  Активація гліколізу  Накопичення лактату  Ацидоз  Активація  Na-H  транспортеру  Активація  Na- Са транспортеру  Накопичення Са ++  в клітині  Контрактури міофібрил Накопичення жирових кислот  Детергентоподібна дія вільних жирових  кислот  Активація фосфоліпаз, ліпоксигеназ та ін. ферментів  Инактивація мембранних ферментів
МЕХАНІЗМИ РЕПЕРФУЗІЙНОГО УШКОДЖЕННЯ КАРДІОМІОЦИТІВ   ЗАГИБЕЛЬ КЛІТИНИ Відновлення надходження кисню   Активація аеробних шляхів отримання енергії  Надходження активованих лейкоцитів в осередок ішемії Утворення вільних радикалів на тлі зменшення вмісту антиоксидантних ферментів  Активація протеолізу  Ушкодження мембранних білків  Ушкодження мембранних ліпідів
Активацію фагоцитів при асептичному  запаленні забезпечують МІТОХОНДРІЇ ! Nature 464, 104-107  (4 March 2010)
 
ЗАГИБЕЛЬ КАРДІОМІОЦИТА ЗАПРОГРАМОВАНА НЕЗАПРОГРАМОВАНА АПОПТОЗ АУТОФАГІЯ НЕКРОЗ
НЕОНАТАЛЬНИЙ КАРДІОМІОЦИТ ЩУРА ПІСЛЯ 24 ГОДИН КУЛЬТИВУВАННЯ
 
 
РІЗНІ ВИДИ КЛІТИННОЇ СМЕРТІ КАРДІОМІОЦИТІВ ПРИ АНОКСІЇ-РЕОКСИГЕНАЦІЇ  Visualization of living, necrotic and apoptotic cells with use of Hoechst 33342  Visualization of autophagic cells with use of monodansylcadaverine
Механізми запуску апоптозу та аутофагії при ішемії міокарда   Зменшення кровопостачання  Зменшення надходження до клітини амінокислот та інших поживних речовин (жирних кислот, глюкози), ішемічне “голодування”  Пригнічення активності білка  mTOR   Пригнічення синтезу білків Активація аутофагії Збільшення кількості амінокислот Само-перетравлювання клітини АУТОФАГІЧНА КЛІТИННА СМЕРТЬ Зменшення окисного фосфорилювання в мітохондріях  Зменшення потенціалу на мітохондріальній мембрані  Відкриття “мітохондріальної пори”  Вихід білків-індукторів апоптозу  АПОПТОЗ Вихід йонів кальцію
ЕНДОГЕННІ ПРОГРАМИ ЗАХИСТУ СЕРЦЯ   ПРЕКОНДИЦІОНУВАННЯ - феномен підвищеної стійкості міокарда до ішемії-реперфузії, який виникає за рахунок попереднього впливу которкочасної ішемії або інших ушкоджуючих факторів ПОСТКОНДИЦІОНУВАННЯ - феномен підвищеної стійкості міокарда до реперфузії, який виникає за рахунок впливу ушкоджуючих факторів після ішемії (перед початком тривалої реперфузії)
Хімічні – засоби для інгаляційного наркозу (десфлуран, ізофлуран, галотан), опіати, інгібітори протеасоми   активатори АТФ-чутливих калієвих каналів та ін. ФАКТОРИ ІНДУКЦІЇ  ПРЕ- ТА ПОСТКОНДИЦІОНУВАННЯ  Фізичні – гіпоксія, гіпероксія, гіпертермія Біологічні – ліпополісахариди бактерій ЕНДОГЕННІ: ішемія, ішемія-реперфузія, аденозин,  NO,  брадикінін, ацетилхолін та ін. ЕКЗОГЕННІ:
АТФ-ЧУТЛИВІ КАЛІ ЄВІ  КАНАЛИ ( K ATP - КАНАЛИ) – КАРДИНАЛЬНИЙ МЕХАНІЗМИ КАРДІОПРОТЕКЦІЇ
ГОЛОВНІ МЕХАНІЗМИ КАРДІОПРОТЕКЦІЇ ПРИ АКТИВАЦІЇ АТФ-ЧУТЛИВИХ КАЛІ ЄВИХ  КАНАЛІВ
СИСТЕМА НАТРІЙУРЕТИЧНІ ПЕПТИДІВ – ЕНДОКРИННА СИСТЕМА СЕРЦЯ ANP BNP CNP 28 22 32
 
О.О.Мойбенко
 

патофізіологія серця

  • 1.
    ПАТОФІЗІОЛОГІЯ СЕРЦЯ Лектор– Досенко Віктор Євгенович, д.м.н., професор кафедри патофізіології НМУ ім. О.О.Богомольця, провідний науковий співробітник відділу загальної та молекулярної патофізіології Інституту фізіолоії ім. О.О.Богомольця НАН України
  • 2.
  • 3.
  • 4.
    НЕДОСТАТНІСТЬ СЕРЦЯ –неспроможність органу забезпечувати нормальний хвилинний об ` єм крові Недостатність серця від перевантаження 2. Недостатність серця через ушкодження міокарда 3. Змішана
  • 5.
    ПЕРЕВАНТАЖЕННЯ СЕРЦЯ Переднавантаження (об ’ ємом) Після навантаження (тиском) Недостатність мітрального, аортального клапану, дефект міжпередсердної, міжшлуночкової перетинки та ін. Стеноз мітрального, аортального клапану, артеріальна гіпертензія, коарктація аорти та ін.
  • 6.
    МЕХАНІЗМИ КОМПЕНСАЦІЇ НЕГАЙНІ(термінові) - гетерометричний механізм компенсації за законом Франка-Старлінга - гомеометричний механізм - збільшення частоти серцевих скорочень ГІПЕРТРОФІЯ МІОКАРДА ВІДДАЛЕНІ (довготермінові)
  • 7.
    ГІПЕРТРОФІЯ МІОКАРДА –патофізіологічний процес, що виникає при перевантаженні серця (або окремих його відділів), та спричинює збільшення маси органу за рахунок збільшення об ` єму кардіоміоцитів
  • 8.
    МЕХАНІЗМИ ГІПЕРТРОФІЇ МІОКАРДАГЕНЕТИЧНІ При “розтягненні” кардіоміоцитів змінюється експресія 185 генів ( 164 upregulated , 21 downregulated ) За впливу норадреналіну змінюється експресія 450 генів (238 upregulated , 211 downregulated ) Microarray chip
  • 9.
    СТАДІЇ ГІПЕРТРОФІЇ МІОКАРДА(за Ф.З.Меєрсоном) 1. Аварійна 2. Завершеної гіпертрофії та відносно стійкої гіперфункції 3. Поступового виснаження і прогресуючого кардіосклерозу = ІФС m А = ІФС m А m А = ІФС
  • 10.
    ФАТАЛЬНІ ПАРАДОКСИ ГІПЕРТРОФІЇМІОКАРДА V 3 -> S 2 При збільшенні об ` єму в кубі – площа збільшується лише в квадраті Зменшення питомої поверхні клітин -> погіршення транспорту речовин Кількість судин, що живлять серце, не збільшується Погіршення оксигенації та трофічного забезпечення Кількість нервових закінчень у серці не збільшується Часткова денервація серця -> підвищення чутливості до адренергічних впливів
  • 11.
    КАРДІОСКЛЕРОЗ – НЕВБЛАГАННИЙНАСЛІДОК ГІПЕРТРОФІЇ МІОКАРДА
  • 12.
    Недостатність мітрального клапануПеревантаження об ` ємом лівого шлуночка Гіпертрофія лівого шлуночка Недостатність лівого шлуночка Підвищення тиску в легеневих венах Рефлекс Кітаєва - підвищення тиску в легеневих артеріях Перевантаження тиском правого шлуночка Гіпертрофія правого шлуночка Недостатність правого шлуночка Стеноз мітрального клапану Перевантаження тиском лівого передсердя Гіпертрофія лівого передсердя Недостатність лівого передсердя Підвищення тиску в легеневих венах Рефлекс Кітаєва - підвищення тиску в легеневих артеріях Перевантаження тиском правого шлуночка Гіпертрофія правого шлуночка Недостатність правого шлуночка Перевантаження об ` ємом лівого передсердя Гіпертрофія та недостатність лівого передсердя
  • 13.
    НЕДОСТАТНІСТЬ СЕРЦЯ –неспроможність органу забезпечувати нормальний хвилинний об ` єм крові 1. Недостатність серця від перевантаження 2. Недостатність серця через ушкодження міокарда 3. Змішана
  • 14.
    УШКОДЖЕННЯ МІОКАРДА КоронарогенніНекоронарогенні гіпоксичний некроз електролітно-стероїдна кардіопатія аутоімунне ушкождення та інші ІШЕМІЧНА ХВОРОБА СЕРЦЯ
  • 15.
    ІШЕМІЧНА ХВОРОБА СЕРЦЯ– мультифакторне захворювання, що характеризується абсолютним або відносним порушенням кровопостачання міокарда внаслідок ураження коронарних артерій серця Раптова коронарна смерть Стенокардія Інфаркт міокарда Аритмії Постінфарктний кардіосклероз Клінічні форми ІХС
  • 16.
    ФАКТОРИ РИЗИКУ ІШЕМІЧНОЇ ХВОРОБИ СЕРЦЯ ЕКЗОГЕННІ ЕНДОГЕННІ Алельний поліморфізм генів - SNP Переїдання (дисліпідемії, ожиріння, цукровий діабет ІІ типу) Стрес, “невідреаговані емоції” (артеріальна гіпертензія) Паління Гіподинамія
  • 17.
    Алельний поліморфізм –феномен, що визначає генетичну гетерогенність популяції та генетичну індивідуальність кожної людини ~ 30 млн. поліморфізмів на 3.2 млрд. Нуклеотидів в геномі людини Кожний ген може бути представлений у більш ніж 900 варіантах
  • 18.
    ВІДМІННОСТІ МУТАЦІЇ ВІДАЛЕЛЬНОГО ПОЛІМОРФІЗМУ ГЕНА Дозволяє оцінити ризик виникнення захворювання, його важкість та ефективність терапії Дозволяє підтвердити діагноз спадкового захворювання Діагностичне Впливає на ймовірність розвитку захворювання (полігенна патологія) Спричинює розвиток захворювання (моногенна патологія) Патофізіологічне Певною мірою змінює активність білків Чинить потужний вплив на активність білків Біохімічне Забезпечує генетичну гетерогенність популяції, генетичне підгрунтя конституції людини Немає Фізіологічне Має широке розповсюдження (частота зміненого алеля від 1% до 75%) Зустрічається рідко (частота мутантного алеля не перевищує 1%) Популяційно-генетичне АЛЕЛЬНИЙ ПОЛІМОРФІЗМ МУТАЦІЯ ЗНАЧЕННЯ
  • 19.
    ІШЕМІЧНА ХВОРОБА СЕРЦЯ ЯК ПОЛІГЕННЕ ЗАХВОРЮВАННЯ PPAR- α ,  , δ CEPT Печінкова ліпаза Ліпопротеїд-ліпаза Ангіотензиноген A ПФ Адипонектин 5- ліпоксигеназа Фактор XIII Фактор V CD14 Рецептор ox-LDL Параоксоназа Апо-ліпопротеїни eNOS Епоксигеназа Рецептор ангіотензину ІІ Фактор VII Toll- рецептор
  • 20.
    ВИЗНАЧЕННЯ АЛЕЛЬНОГО ПОЛІМОРФІЗМУ ПРОМОТОРУ ГЕНА eNOS ( T -786  C ) ПРАЙМЕРИ: upstream 5`- CAC CTG CAT TCT GGG AAC TGT A - 3` downstream 5`- GCC GCA GTA GCA GAG AGA C - 3` АМПЛІФІКАЦІЯ : 94  С (1 хв), гібридизація праймерів - 63  С (50 c ек) та елонгація - 74  С (1 хв) - 35 циклів (термоциклер “ Applied Biosystems 2700 ” ) Р Е С Т Р И К Ц І Я Pdi I ( Nae I ) ЕЛЕКТРОФОРЕЗ в 2,5 % агарозному гелі із бромистим етидієм MroN I 5`… G  C – C – G – G - C … 3` 3`… C – G – G – C – C  G … 5` 100 50 5`… G – C – C  G – G - C … 3` 3`… C – G – G  C – C – G … 5` 150
  • 21.
    ЗАСТОСУВАННЯ ПЛР ВРЕАЛЬНОМУ ЧАСІ ДЛЯ ВИЗНАЧЕННЯ ПОЛІМОРФІЗМУ ПООДИНОКИХ НУКЛЕОТИДІВ
  • 22.
    ФУНКЦІОНАЛЬНЕ ЗНАЧЕННЯ АЛЕЛЬНОГОПОЛІМОРФІЗМУ ( T -786  C) ПРОМОТОРУ ГЕНА е NOS χ 2 = 10.01 P < 0.05 Розподіл алельних варіантів Рівень експресії мРНК eNOS * Активність продукції NO Виживання хворих *
  • 23.
    МЕХАНІЗМИ ІШЕМІЧНОГО УШКОДЖЕННЯКАРДІОМІОЦИТІВ ЗАГИБЕЛЬ КЛІТИНИ Зменшення надходження кисню Пригнічення аеробних шляхів отримання енергії Активація гліколізу Накопичення лактату Ацидоз Активація Na-H транспортеру Активація Na- Са транспортеру Накопичення Са ++ в клітині Контрактури міофібрил Накопичення жирових кислот Детергентоподібна дія вільних жирових кислот Активація фосфоліпаз, ліпоксигеназ та ін. ферментів Инактивація мембранних ферментів
  • 24.
    МЕХАНІЗМИ РЕПЕРФУЗІЙНОГО УШКОДЖЕННЯКАРДІОМІОЦИТІВ ЗАГИБЕЛЬ КЛІТИНИ Відновлення надходження кисню Активація аеробних шляхів отримання енергії Надходження активованих лейкоцитів в осередок ішемії Утворення вільних радикалів на тлі зменшення вмісту антиоксидантних ферментів Активація протеолізу Ушкодження мембранних білків Ушкодження мембранних ліпідів
  • 25.
    Активацію фагоцитів приасептичному запаленні забезпечують МІТОХОНДРІЇ ! Nature 464, 104-107 (4 March 2010)
  • 26.
  • 27.
    ЗАГИБЕЛЬ КАРДІОМІОЦИТА ЗАПРОГРАМОВАНАНЕЗАПРОГРАМОВАНА АПОПТОЗ АУТОФАГІЯ НЕКРОЗ
  • 28.
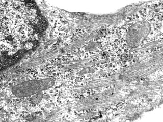
    НЕОНАТАЛЬНИЙ КАРДІОМІОЦИТ ЩУРАПІСЛЯ 24 ГОДИН КУЛЬТИВУВАННЯ
  • 29.
  • 30.
  • 31.
    РІЗНІ ВИДИ КЛІТИННОЇСМЕРТІ КАРДІОМІОЦИТІВ ПРИ АНОКСІЇ-РЕОКСИГЕНАЦІЇ Visualization of living, necrotic and apoptotic cells with use of Hoechst 33342 Visualization of autophagic cells with use of monodansylcadaverine
  • 32.
    Механізми запуску апоптозута аутофагії при ішемії міокарда Зменшення кровопостачання Зменшення надходження до клітини амінокислот та інших поживних речовин (жирних кислот, глюкози), ішемічне “голодування” Пригнічення активності білка mTOR Пригнічення синтезу білків Активація аутофагії Збільшення кількості амінокислот Само-перетравлювання клітини АУТОФАГІЧНА КЛІТИННА СМЕРТЬ Зменшення окисного фосфорилювання в мітохондріях Зменшення потенціалу на мітохондріальній мембрані Відкриття “мітохондріальної пори” Вихід білків-індукторів апоптозу АПОПТОЗ Вихід йонів кальцію
  • 33.
    ЕНДОГЕННІ ПРОГРАМИ ЗАХИСТУСЕРЦЯ ПРЕКОНДИЦІОНУВАННЯ - феномен підвищеної стійкості міокарда до ішемії-реперфузії, який виникає за рахунок попереднього впливу которкочасної ішемії або інших ушкоджуючих факторів ПОСТКОНДИЦІОНУВАННЯ - феномен підвищеної стійкості міокарда до реперфузії, який виникає за рахунок впливу ушкоджуючих факторів після ішемії (перед початком тривалої реперфузії)
  • 34.
    Хімічні – засобидля інгаляційного наркозу (десфлуран, ізофлуран, галотан), опіати, інгібітори протеасоми активатори АТФ-чутливих калієвих каналів та ін. ФАКТОРИ ІНДУКЦІЇ ПРЕ- ТА ПОСТКОНДИЦІОНУВАННЯ Фізичні – гіпоксія, гіпероксія, гіпертермія Біологічні – ліпополісахариди бактерій ЕНДОГЕННІ: ішемія, ішемія-реперфузія, аденозин, NO, брадикінін, ацетилхолін та ін. ЕКЗОГЕННІ:
  • 35.
    АТФ-ЧУТЛИВІ КАЛІ ЄВІ КАНАЛИ ( K ATP - КАНАЛИ) – КАРДИНАЛЬНИЙ МЕХАНІЗМИ КАРДІОПРОТЕКЦІЇ
  • 36.
    ГОЛОВНІ МЕХАНІЗМИ КАРДІОПРОТЕКЦІЇПРИ АКТИВАЦІЇ АТФ-ЧУТЛИВИХ КАЛІ ЄВИХ КАНАЛІВ
  • 37.
    СИСТЕМА НАТРІЙУРЕТИЧНІ ПЕПТИДІВ– ЕНДОКРИННА СИСТЕМА СЕРЦЯ ANP BNP CNP 28 22 32
  • 38.
  • 39.
  • 40.