• Yakın geçmişe kadar kolorektal epitelyal polipler
iki başlıkta sınıflanmaktaydı:
1.Adenom
2.Hiperplastik polip
• Adenomlar sitolojik atipi içermeleri nedeniyle
kolorektal karsinomda prekürsör lezyonlar olarak
kabul edilirken hiperplastik polipler sitolojik atipi
içermemeleri nedeniyle malign potansiyel
taşımadıkları düşünülmekteydi.
• Artık hiperplastik polipler içinde serrated
morfolojiye sahip heterojen bir grubun neoplastik
progresyon riski taşıdığı kabul edilmektedir.
• Bu serrated lezyonlar kolorektal adenomlarda
olmayan karakteristik epigenetik alterasyonlar
göstermektedir.
• Serrated yolağı !
• Serrated polipler:
1. Hiperplastik polipler
2. Sesil serrated adenomlar
3. Geleneksel serrated adenomlar
4. Mikst polipler
• Bu lezyonlarda kullanılan terminoloji ve diagnostik
kriterler konusunda birlik henüz sağlanamamış olup
tartışmalar devam etmektedir.
• Alman gastroenteroloji patoloji grubu biraraya gelerek
bu konuda kendi aralarında fikir birliği sağlamaya
çalışmışlardır.
• Kolorektal karsinogenezde genomik
instabilitenin tipine bağlı olarak iki farklı
moleküler gelişim paterni tanımlanmıştır:
1.Kromozomal instabilite ara yolu
2.DNA mikrosatellit instabilite ara yolu
Kromozomal instabilite ara yolu
• Çeşitli onkogen ve tümör süpresör genlerde
görülen seri mutasyonların ardı ardına
kümülasyonu sonucu kromozomal instabilite
ortaya çıkmaktadır.
• Bu moleküler değişikliklere morfolojik
değişiklikler eşlik etmekte ve lezyonların
progresyonu sonucu kolorektal karsinoma
gelişmektedir.
Adenom-karsinom sekansı
DNA mikrosatellit instabilite ara yolu
• DNA onarım genlerindeki genetik bozukluklar
nedeniyle oluşan mikrosatellit instabilitesi üzerinden
gerçekleşmektedir.
• Buradada çeşitli gen mutasyonlarının akümülasyonu
söz konusudur ancak etkilenen genler farklıdır ve
adenoma-karsinoma sekansından farklı olarak bu
genetik değişikliklerin tam karşılığı olabilecek
morfolojik değişiklikler tam olarak tanımlanamamıştır.
• Serrated lezyonların bu mekanizmayla karsinoma
ilerleyebilecekleri ileri sürülmektedir.
• Serrated neoplazi sekansındaki prekürsör
lezyonlar serrated arşitektüre sahip bir polip
spektrumundan oluşmaktadır.Bu nedenle bu
poliplere serrated polipler adı verilmiştir.
• İlk olarak Longacre ve Fenoglio Presier
kolorektumda 3 tip serrated polip
tanımlamışlardır:
1. Hiperplastik polip
2. Mikst hiperplastik adenomatöz polip
3. Serrated adenom
• Son yıllarda IEN içermeyen hiperplastik polipserrated
lezyonlar ın altında genetik değişikliklerin bulunduğu
saptandı.
(KRAS ve BRAF)
• Hiperplastik poliplerde ve serrated adenomlarda
epitelin normal dizilimini sağlayan apoptozisin özel bir
formu olan anoikisin bloke edilmiş olduğu saptandı.
• Bu inhibisyon aktive edilmiş ve mutasyona uğramış RAS
ve RAF genleri ile düzenlenmekte.
• Karakteristik serrated morfoloji defektif anikois ile
açıklanmakta.
• Bu yolağın klasik adenom-karsinom
sekansından daha hızlı ilerlediği
düşünülmektedir.
• Serrated lezyonların sınıflandırılmasında
terminolojide yaşanan sıkıntılar nedeniyle 29
nisan 2008 yılında gastroenterolojik patoloji
toplantısında diagnostik kriterler tartışılmıştır.
Hiperplastik polip
• En yaygın (%80-90)
• Distal kolon ve rektum
• Mukozadan kabarık lezyonlardır
• 5mm den küçük!
• Mikroskobik olarak elonge kriptlerin üst yarısı
serrated arşitektürdedir. Kriptlerin alt yarısı
düzgündür.
Nükleus küçük, uniform ve bazalde lokalizedir.
Nükleer kalabalıklaşma,sitolojik atipi yada IEN
bulguları izlenmez.
• Hiperplastik polipler literatürde stoplazmik
difransiyasyonuna göre subtiplerine ayrılmıştır.
1.Mikroveziküler tip
2.Goblet hücreli tip
3.Müsinden fakir tip
• Suptipleri ayırt etmek zor olduğu için ve klinik
faydası şüpheli olduğu için rutinde tercih
edilmiyor.
• Distal kolonda ve rektumda lokalize küçük HP in
malign progresyon riski oldukça düşüktür.
• Aksine 10 mm den büyük ve proksimalde lokalize
HP in malign potansiyelle sahip olduğu yapılan
çalışmalarla gösterilmiştir.
• Multiple hiperplastik polip varlığı hiperplastik
polipozis sendrom ve kolorektal karsinomlarla
ilişkilidir.
Hiperplastik polipozis
• Kolorektumda yaygın büyük çaplı özellikle
proksimali tutan ve genellikle ailevi karakterde
multiple hiperplastik polip varlığıyla karakterli
sendromdur.
• Araştırmalarda burada görülen hiperplastik
poliplerin konvansiyel hiperplastik poliplerden
farklı olduğu sendromun ‘serrated adenomatöz
polipozis’ olarak adlandırılması gerektiği öne
sürülmektedir.
• Hiperplastik polipozis olgularının bazı kriterleri içermesi
gerekir. (WHO)
1. Proksimalden sigmoid kolona kadar en az 5 adet
HP(serrated) görmeliyiz.2 tanesi 11 cm den büyük çapta
olmalı.
2. 1. derece akrabasında HPS olan bireyde sigmoid kolon
proksimalinde lokalize herhangi bir sayıda hiperplastik polip
3. Tüm kolonda yaygın 30 un üzerinde herhangi bir çapta
hiperplastik polip
• Bu kritelerden bir tanesi görüldüğü zaman tanı konulur.
Sesil serrated adenom (SSA)
• İkinci en sık serrated poliptir. (%15-20)
• Makroskopik olarak yassı yada kabarık lezyonlar
şeklindedir. 5mm den büyük olup kolonun sağ yarısında
daha sıktır.
• Mikroskobik olarak hiperserrasyon ve kriptlerde dilatasyon
kript bazalinde T veya L şekilli dallanma izlenir .
Muskularis mukoza normalden incedir ve inverted kriptler
muskularis mukozanın altında izlenebilir.(psödoinvazyon)
Kriptlerin bazalinde matür goblet hücreleri görülür.
Kriptlerin orta 3 te 1 lik alanda proliferasyon izlenir bu
alanda nükleus veziküle olup nükleol belirgindir.
• SSA diyebilmek için en önemli 4 kriter:
1.Kriptlerin alt 3te 1inde hiperserrasyon
serrasyon (dalllanan yada dallanmayan)
2.Muskularis mukozanın üstünde T yada L şekilli
kriptler.
3.Muskularis mukoza altında inverted kriptler
4.Kriptlerin alt 3 te 1 lik alanında kolumnar
dilatasyon
• SSA ın kompleks arşitektürü nedeniyle SSA
diyebilmek için nicel bir kriter yok
• Bu gruba göre en az 2 farklı kriptte 4 kriterden
2 tanesini görmek gerekir.
• Tabiiki çok daha fazla çalışmayla bu kriterin
doğrulanması gerekir.
• SSA ve HP i ayırmada MUC6 nın etkinliğine
yönelik tartışmalar devam etmektedir.
• Yapılan çalışmalarda spesifite yüksek ,
sensitivite düşük bulunmuş
• Bu grup MUC6 nın etkin bir markır olduğunu
kabul etmiyor.
• SSA tanısı verirken bazal mukozayı değerlendirebilmek
önemlidir.
• Lezyonun bazal kısmı eksikse SSP demek daha doğrudur.
• Patoloji raporunda ayırıcı tanılar tartışılmalı ve niye sınırlı
tanı verildiği açıklanmalıdır
• Bu tanı çöp sepeti gibi kullanılarak suistimal edilmemelidir.
• Yakın dönemde SSA lar sesil serrated lezyonlar olarakta
isimlendirilmişlerdir.
Geleneksel serrated adenom
• Serrated lezyonların içinde en nadir görülen varyanttır.(%1-6)
• 1990 dan bu yana serrated adenom olarak ismlendirilmekteydiler
• Makroskopik olarak pedinküle villöz poliplerdir
• Kolonun sol yarısında daha sık görülürler
• İleri yaş!
• TSA mikroskobik olarak İEN içerir.
• Belirgin serrasyon ve diffüz stoplazmik eozinofili görülür.
• Ektopik kript formasyonu izlenir.
• ECF muskularis mukoza ile oryantasyonunu kaybetmiş aberant
kriptlerden oluşan tomurcuklardır.
MİKST POLİPLER
• WHO ya göre mikst polipler konvensiyonel adenomlar
ve serrated lezyonların kombinasyonu olarak
tanımlanmaktadır.
• Geçmişte bu lezyonlar kollizyon tümör olarak
isimlendirilmişlerdir.
• Mikst polip uluslar arası kullanılan bir terminoloji olup
patoloji raporlarında belirtilmelidir.
Polibi oluşturan komponentler açık olarak yazılmalıdır.
• Komponentlerine göre farklı mikst polipler:
1. SSA ve TSA
2. SSA ve konvensiyonel adenom
3. TSA ve konvensiyonel adenom
4. Nadir:HP ve konvensiyonel adenom
• Bu lezyonlarda mutlaka IEN derecesi belirtilmelidir. (yüksek,düşük)
• Farklı terminolojiler kullanılmamalıdır:
Anormal proliferasyon gösteren serrrated polip
SSA ve HP
Testere dişi polip
KLİNİK YAKLAŞIM
• SSA,TSA ve mikst polipler total olarak
çıkarılmalıdırlar.
• Mikroskobik tanım mutlaka rezeksiyonun
durumunu yansıtmalı!
• İnkomplet rezeksiyonlarda patolog mutlaka
kontrol endoskopi ve lezyonun tamamının
eksizyonunu önermelidir.
SONUÇ
• Spesifik genetik de i iklikler içerdikleri gösterilmi olanğ ş ş
serrated adenomlar,hiperplastik poliplerin henüz tam
olarak ayırt edilememi alt grubundan geli mekte ve klasikş ş
adenom-karsinom sekansından çok daha hızlı bir ekildeş
kanser geli imine yol açmaktadır.Bu bulgularş
hiperplastik poliplerin artık tamamen masum lezyonlar
olmadı ı görü ünü ortaya çıkarmı tır.ğ ş ş
SONUÇ
• Spesifik genetik de i iklikler içerdikleri gösterilmi olanğ ş ş
serrated adenomlar,hiperplastik poliplerin henüz tam
olarak ayırt edilememi alt grubundan geli mekte ve klasikş ş
adenom-karsinom sekansından çok daha hızlı bir ekildeş
kanser geli imine yol açmaktadır.Bu bulgularş
hiperplastik poliplerin artık tamamen masum lezyonlar
olmadı ı görü ünü ortaya çıkarmı tır.ğ ş ş
SONUÇ
• Spesifik genetik de i iklikler içerdikleri gösterilmi olanğ ş ş
serrated adenomlar,hiperplastik poliplerin henüz tam
olarak ayırt edilememi alt grubundan geli mekte ve klasikş ş
adenom-karsinom sekansından çok daha hızlı bir ekildeş
kanser geli imine yol açmaktadır.Bu bulgularş
hiperplastik poliplerin artık tamamen masum lezyonlar
olmadı ı görü ünü ortaya çıkarmı tır.ğ ş ş
Serrated adenom2

Serrated adenom2

  • 2.
    • Yakın geçmişekadar kolorektal epitelyal polipler iki başlıkta sınıflanmaktaydı: 1.Adenom 2.Hiperplastik polip • Adenomlar sitolojik atipi içermeleri nedeniyle kolorektal karsinomda prekürsör lezyonlar olarak kabul edilirken hiperplastik polipler sitolojik atipi içermemeleri nedeniyle malign potansiyel taşımadıkları düşünülmekteydi.
  • 3.
    • Artık hiperplastikpolipler içinde serrated morfolojiye sahip heterojen bir grubun neoplastik progresyon riski taşıdığı kabul edilmektedir. • Bu serrated lezyonlar kolorektal adenomlarda olmayan karakteristik epigenetik alterasyonlar göstermektedir. • Serrated yolağı !
  • 4.
    • Serrated polipler: 1.Hiperplastik polipler 2. Sesil serrated adenomlar 3. Geleneksel serrated adenomlar 4. Mikst polipler • Bu lezyonlarda kullanılan terminoloji ve diagnostik kriterler konusunda birlik henüz sağlanamamış olup tartışmalar devam etmektedir. • Alman gastroenteroloji patoloji grubu biraraya gelerek bu konuda kendi aralarında fikir birliği sağlamaya çalışmışlardır.
  • 5.
    • Kolorektal karsinogenezdegenomik instabilitenin tipine bağlı olarak iki farklı moleküler gelişim paterni tanımlanmıştır: 1.Kromozomal instabilite ara yolu 2.DNA mikrosatellit instabilite ara yolu
  • 6.
    Kromozomal instabilite arayolu • Çeşitli onkogen ve tümör süpresör genlerde görülen seri mutasyonların ardı ardına kümülasyonu sonucu kromozomal instabilite ortaya çıkmaktadır. • Bu moleküler değişikliklere morfolojik değişiklikler eşlik etmekte ve lezyonların progresyonu sonucu kolorektal karsinoma gelişmektedir.
  • 7.
  • 8.
    DNA mikrosatellit instabiliteara yolu • DNA onarım genlerindeki genetik bozukluklar nedeniyle oluşan mikrosatellit instabilitesi üzerinden gerçekleşmektedir. • Buradada çeşitli gen mutasyonlarının akümülasyonu söz konusudur ancak etkilenen genler farklıdır ve adenoma-karsinoma sekansından farklı olarak bu genetik değişikliklerin tam karşılığı olabilecek morfolojik değişiklikler tam olarak tanımlanamamıştır. • Serrated lezyonların bu mekanizmayla karsinoma ilerleyebilecekleri ileri sürülmektedir.
  • 9.
    • Serrated neoplazisekansındaki prekürsör lezyonlar serrated arşitektüre sahip bir polip spektrumundan oluşmaktadır.Bu nedenle bu poliplere serrated polipler adı verilmiştir. • İlk olarak Longacre ve Fenoglio Presier kolorektumda 3 tip serrated polip tanımlamışlardır: 1. Hiperplastik polip 2. Mikst hiperplastik adenomatöz polip 3. Serrated adenom
  • 10.
    • Son yıllardaIEN içermeyen hiperplastik polipserrated lezyonlar ın altında genetik değişikliklerin bulunduğu saptandı. (KRAS ve BRAF) • Hiperplastik poliplerde ve serrated adenomlarda epitelin normal dizilimini sağlayan apoptozisin özel bir formu olan anoikisin bloke edilmiş olduğu saptandı. • Bu inhibisyon aktive edilmiş ve mutasyona uğramış RAS ve RAF genleri ile düzenlenmekte. • Karakteristik serrated morfoloji defektif anikois ile açıklanmakta.
  • 12.
    • Bu yolağınklasik adenom-karsinom sekansından daha hızlı ilerlediği düşünülmektedir. • Serrated lezyonların sınıflandırılmasında terminolojide yaşanan sıkıntılar nedeniyle 29 nisan 2008 yılında gastroenterolojik patoloji toplantısında diagnostik kriterler tartışılmıştır.
  • 13.
    Hiperplastik polip • Enyaygın (%80-90) • Distal kolon ve rektum • Mukozadan kabarık lezyonlardır • 5mm den küçük! • Mikroskobik olarak elonge kriptlerin üst yarısı serrated arşitektürdedir. Kriptlerin alt yarısı düzgündür. Nükleus küçük, uniform ve bazalde lokalizedir. Nükleer kalabalıklaşma,sitolojik atipi yada IEN bulguları izlenmez.
  • 17.
    • Hiperplastik poliplerliteratürde stoplazmik difransiyasyonuna göre subtiplerine ayrılmıştır. 1.Mikroveziküler tip 2.Goblet hücreli tip 3.Müsinden fakir tip • Suptipleri ayırt etmek zor olduğu için ve klinik faydası şüpheli olduğu için rutinde tercih edilmiyor.
  • 18.
    • Distal kolondave rektumda lokalize küçük HP in malign progresyon riski oldukça düşüktür. • Aksine 10 mm den büyük ve proksimalde lokalize HP in malign potansiyelle sahip olduğu yapılan çalışmalarla gösterilmiştir. • Multiple hiperplastik polip varlığı hiperplastik polipozis sendrom ve kolorektal karsinomlarla ilişkilidir.
  • 19.
    Hiperplastik polipozis • Kolorektumdayaygın büyük çaplı özellikle proksimali tutan ve genellikle ailevi karakterde multiple hiperplastik polip varlığıyla karakterli sendromdur. • Araştırmalarda burada görülen hiperplastik poliplerin konvansiyel hiperplastik poliplerden farklı olduğu sendromun ‘serrated adenomatöz polipozis’ olarak adlandırılması gerektiği öne sürülmektedir.
  • 20.
    • Hiperplastik polipozisolgularının bazı kriterleri içermesi gerekir. (WHO) 1. Proksimalden sigmoid kolona kadar en az 5 adet HP(serrated) görmeliyiz.2 tanesi 11 cm den büyük çapta olmalı. 2. 1. derece akrabasında HPS olan bireyde sigmoid kolon proksimalinde lokalize herhangi bir sayıda hiperplastik polip 3. Tüm kolonda yaygın 30 un üzerinde herhangi bir çapta hiperplastik polip • Bu kritelerden bir tanesi görüldüğü zaman tanı konulur.
  • 21.
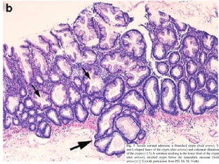
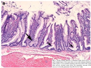
    Sesil serrated adenom(SSA) • İkinci en sık serrated poliptir. (%15-20) • Makroskopik olarak yassı yada kabarık lezyonlar şeklindedir. 5mm den büyük olup kolonun sağ yarısında daha sıktır. • Mikroskobik olarak hiperserrasyon ve kriptlerde dilatasyon kript bazalinde T veya L şekilli dallanma izlenir . Muskularis mukoza normalden incedir ve inverted kriptler muskularis mukozanın altında izlenebilir.(psödoinvazyon) Kriptlerin bazalinde matür goblet hücreleri görülür. Kriptlerin orta 3 te 1 lik alanda proliferasyon izlenir bu alanda nükleus veziküle olup nükleol belirgindir.
  • 22.
    • SSA diyebilmekiçin en önemli 4 kriter: 1.Kriptlerin alt 3te 1inde hiperserrasyon serrasyon (dalllanan yada dallanmayan) 2.Muskularis mukozanın üstünde T yada L şekilli kriptler. 3.Muskularis mukoza altında inverted kriptler 4.Kriptlerin alt 3 te 1 lik alanında kolumnar dilatasyon
  • 26.
    • SSA ınkompleks arşitektürü nedeniyle SSA diyebilmek için nicel bir kriter yok • Bu gruba göre en az 2 farklı kriptte 4 kriterden 2 tanesini görmek gerekir. • Tabiiki çok daha fazla çalışmayla bu kriterin doğrulanması gerekir.
  • 27.
    • SSA veHP i ayırmada MUC6 nın etkinliğine yönelik tartışmalar devam etmektedir. • Yapılan çalışmalarda spesifite yüksek , sensitivite düşük bulunmuş • Bu grup MUC6 nın etkin bir markır olduğunu kabul etmiyor.
  • 28.
    • SSA tanısıverirken bazal mukozayı değerlendirebilmek önemlidir. • Lezyonun bazal kısmı eksikse SSP demek daha doğrudur. • Patoloji raporunda ayırıcı tanılar tartışılmalı ve niye sınırlı tanı verildiği açıklanmalıdır • Bu tanı çöp sepeti gibi kullanılarak suistimal edilmemelidir. • Yakın dönemde SSA lar sesil serrated lezyonlar olarakta isimlendirilmişlerdir.
  • 29.
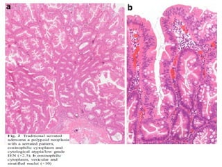
    Geleneksel serrated adenom •Serrated lezyonların içinde en nadir görülen varyanttır.(%1-6) • 1990 dan bu yana serrated adenom olarak ismlendirilmekteydiler • Makroskopik olarak pedinküle villöz poliplerdir • Kolonun sol yarısında daha sık görülürler • İleri yaş! • TSA mikroskobik olarak İEN içerir. • Belirgin serrasyon ve diffüz stoplazmik eozinofili görülür. • Ektopik kript formasyonu izlenir. • ECF muskularis mukoza ile oryantasyonunu kaybetmiş aberant kriptlerden oluşan tomurcuklardır.
  • 32.
    MİKST POLİPLER • WHOya göre mikst polipler konvensiyonel adenomlar ve serrated lezyonların kombinasyonu olarak tanımlanmaktadır. • Geçmişte bu lezyonlar kollizyon tümör olarak isimlendirilmişlerdir. • Mikst polip uluslar arası kullanılan bir terminoloji olup patoloji raporlarında belirtilmelidir. Polibi oluşturan komponentler açık olarak yazılmalıdır.
  • 33.
    • Komponentlerine görefarklı mikst polipler: 1. SSA ve TSA 2. SSA ve konvensiyonel adenom 3. TSA ve konvensiyonel adenom 4. Nadir:HP ve konvensiyonel adenom • Bu lezyonlarda mutlaka IEN derecesi belirtilmelidir. (yüksek,düşük) • Farklı terminolojiler kullanılmamalıdır: Anormal proliferasyon gösteren serrrated polip SSA ve HP Testere dişi polip
  • 34.
    KLİNİK YAKLAŞIM • SSA,TSAve mikst polipler total olarak çıkarılmalıdırlar. • Mikroskobik tanım mutlaka rezeksiyonun durumunu yansıtmalı! • İnkomplet rezeksiyonlarda patolog mutlaka kontrol endoskopi ve lezyonun tamamının eksizyonunu önermelidir.
  • 35.
    SONUÇ • Spesifik genetikde i iklikler içerdikleri gösterilmi olanğ ş ş serrated adenomlar,hiperplastik poliplerin henüz tam olarak ayırt edilememi alt grubundan geli mekte ve klasikş ş adenom-karsinom sekansından çok daha hızlı bir ekildeş kanser geli imine yol açmaktadır.Bu bulgularş hiperplastik poliplerin artık tamamen masum lezyonlar olmadı ı görü ünü ortaya çıkarmı tır.ğ ş ş
  • 36.
    SONUÇ • Spesifik genetikde i iklikler içerdikleri gösterilmi olanğ ş ş serrated adenomlar,hiperplastik poliplerin henüz tam olarak ayırt edilememi alt grubundan geli mekte ve klasikş ş adenom-karsinom sekansından çok daha hızlı bir ekildeş kanser geli imine yol açmaktadır.Bu bulgularş hiperplastik poliplerin artık tamamen masum lezyonlar olmadı ı görü ünü ortaya çıkarmı tır.ğ ş ş
  • 37.
    SONUÇ • Spesifik genetikde i iklikler içerdikleri gösterilmi olanğ ş ş serrated adenomlar,hiperplastik poliplerin henüz tam olarak ayırt edilememi alt grubundan geli mekte ve klasikş ş adenom-karsinom sekansından çok daha hızlı bir ekildeş kanser geli imine yol açmaktadır.Bu bulgularş hiperplastik poliplerin artık tamamen masum lezyonlar olmadı ı görü ünü ortaya çıkarmı tır.ğ ş ş