DONE BY…
MWADZIWANA LOUIS LAW
Septicarthritis
Definition
 Inflammation of a synovial membrane
with purulent effusion into the joint
capsule, often due to bacterial
infection
Cont…
 SA is considered as a rheumatologic
emergency as joint destruction occurs
rapidly and can lead to significant
morbidity and mortality.
 Although accurate diagnosis could be
particularly challenging especially in
patients with an underlying
inflammatory joint disease.
Pathophysiology
 Once the bacteria or any other
causative agents sets in, there is rapid
bacterial replication in the joint
resulting in an ensuing inflammatory
process that can lead to rapid local
joint destruction and might be
accompanied with a systemic
infection.
Aetiology
SA is caused by the invasion of bacteria, viruses, or fungi into
the synovial membrane of a joint.
 Staphylococcus aureus - the most common cause in
adults. Has a specific affinity of synovial structures.
 Streptococci- the second most common cause
 Haemophilus influenzae - was the most common cause in
children but is now uncommon in areas where Haemophilus
vaccination is practiced
 Neisseria gonorrhoea- in young adults, multiple macules or
vesicles seen over the trunk are a pathognomonic feature.
 Escherichia coli- in the elderly, IV drug users and the
seriously ill
 M. tuberculosis, Salmonella
 This occurs most commonly by direct inoculation, penetrating
wound, or direct extension. The most common mechanism of
infection is via haematogenous.
Cont…
 Viruses that can cause septic arthritis
include hepatitis A, B, and C ,
herpes viruses, HIV&AIDS virus,
mumps and ebola.
 Fungi that can cause septic arthritis
include cistoplasma, coccidioides,
and Blastomyces.
Neisseria gonorrhoea
Frequency
 2-10 cases per 100,000 in the general
population
 30-70 cases per 100,000 in patients
with immunological disorders or
deficiencies, and joint replacements
 Gonococcal: women 3x > men
Risk factors
 While joint infection occasionally affects
people with no known predisposing risk
factors, it more commonly occurs when
certain risk situations are present which
includes~
 Abnormal joint architecture is the most
important risk factor for SA e.g. in pts
with RA
 For reasons that are not entirely clear,
the risk of SA in a patient with RA is
increased 4- to15-fold irrespective of
therapy
cont…
 surgery
 IV drug use
 Risk for sexually transmitted disease
 Anaemia
 Diabetes
 Age
 Alcoholism
 Malignancy
 medications
Root of infection:
◦ Blood stream
◦ Contiguous infection
◦ Direct inoculation:
 Injection: 0.0002
 Arthroscopic surgery: < 0.005
 Animal or human bite
lncidence
 Adults
◦ Knee 40-50 %
◦ Hip 20-25 %
◦ Infants and young children
 Hip 95 %
Cont…
 Large joints are more commonly
affected than the small joints
 Up to 60% of cases the hip or the
knee is.
Common sites susceptible to
infection
Site of involvement:
 Knee: 55%
 Ankle: 10%
 Wrist: 9%
 Shoulder: 7%
 Hip: 5%
 Elbow: 5%
 SC: 5%- IV drug abuser
 SI: 2%- IV drug abuser
 Foot joints: 2%
Diagnostic features
 A case definition for bacterial SA was
proposed by Newman which required
one of four points to be met:
(1) isolation of an organism from an
affected joint
(2) isolation of an organism from
another source with a concomitant
swollen, hot joint
Cont…
 Arthrocentesis with synovial fluid
examination and culture
 Increased White blood cell count
 Increased Erythrocyte sedimentation rate
(ESR)
 Increased Temperature
 Increased C-Reactive Protein (CRP)
 Imaging studies are used to rule out
other conditions
 Blood cultures
Cont…
(3) clinical features and turbid joint fluid
in the presence of previous antibiotic
therapy
(4) Histologic or radiologic evidence
consistent with septic arthritis
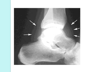
Radiography
 Early:
◦ Soft tissue swelling Joint space widening
 Late (2-3 w):
◦ Erosion
◦ Joint space narrowing
Clinical features
Is summarised as a red, hot painful joint
 Fever (toxic)
 Erythema
 Sever pain
 Sever swelling of one joint
 Sever tenderness
 Warmth
 Sever limited ROM
cont….
 SA presents with a short 1–2 week
history of pain, swelling, heat and
restricted movement in the affected
joint(s)
 There is a common misconception
that
SA affects only one joint but evidence
now suggests that in up to 22% of
cases the presentation is polyarticular
Symptoms in
Newborns/Infants
 Inability to move the limb
(pseudoparalysis)
 Cries when infected joint is moved
 Fever
 Unable to move the limb
 Irritability
Cont….
 If the hip joint is infected the child
holds the hip rigidly in a flexed,
abducted and externally rotated
position that maximizes capsular
volume.
Medical management
Antibiotics
 Current antibiotic choices should be made
based due to what likely organism and
subsequently modified in light of culture and
sensitivity results.
NSAIDS
An overactive immune response, secondary to
the initial septic
Event causes more joint damage and that
steroid treatment down regulates this
exaggerated native immune response.
 Disease modifying anti rheumatic drugs
Cont…
 Arthroscopy- this is a process of
extracting joint fluid/pus through the
means of a small incision and suction
tubes placed around the joint.
 Arthrocentesis-a needle is placed into
the joint to extract ad remove the joint
fluid.
 Amputation may be done but rare
Cont…
Surgical options-removal of infected
joint material is imperative in
improving a patient
Conti..
Physiotherapy management
Primary aims
 Reduce pain
 Restore and maintain physiological
function
 Patient education about exercise and
management of their condition.
Cont…
 Immobilization
control pain as it is often too painful to
bear weight.
 Mobilization can begin if the patient is
responding well following 5 days of
gentle treatment. PT needs to consists
of allowing the joint to be in its
functional position and positioning the
joint to allow passive range of motion
activities.
Cont….
 Electrotherapy-ice
 hydrotherapy, heat and TENS, IFT,
Ultrasound to manage pain and joint
stiffness.
 NB: heat modalities are not supposed
to be used in the acute phase or
before initiation of antibiotic treatment.
Complications of SA
 Rapid clearing of the infection is
critical to preserve the joint. If the
infection has been longstanding, the
possibility of joint destruction exists.
The keys to successful outcome are
rapid medical attention and drainage
and the accurate administration of
antibiotics to which the offending
microbes are susceptible.
Prognosis
The best outcome for individuals with
septic arthritis is immediate treatment.
Mortality ranges from 19-25%
permanent joint disability occurs in 25-
50% of the cases.
Fifty percent of adults with septic
arthritis have significant decreased
ROM or chronic pain after the
infection.
Cont…
 Poor outcome predictors in prognosis
of septic arthritis include the following:
 Age older than 60, infection of the hip
or shoulder joints, underlying
rheumatoid arthritis, positive findings
on synovial fluid cultures after 7 days
of therapy, delay of 7 days or longer in
beginning treatment
REFERENCES
 Septic Arthritis Aspiration Techniques
and Indications for Surgery at
Medscape. Author: Nadera Sweiss.
Updated: Feb 7, 2012
 Prosthetic Joint Infectious Arthritis:
Infections of Joints and Bones: Merck
Manual Professional [Internet]. [cited
2010 Feb 16];Available
 Klippel, J.H., et al. Primer on the
Rheumatic Diseases. New York:
Springer, 2008.
Cont…
 Weston VC, Jones AC, Bradbury N, et
al. Clinical features and outcome of
septic arthritis in a single UK Health
District 1982–1991. Ann Rheum
Dis1999; 58:214–219.
Cont…
 www.merck.com/mmpe/sec04/ch039/c
h039c.html?qt=Prosthetic%20Joint%2
0Infectious%20Arthritis.
 www.vumc.nl/afdelingenthemas/41463
/27797/2089686/2090082/1608664/8.
pdf
 www.merckmanuals.com/media/profes
sional/pdf/Table_039-2.pdf

Septic Arthritis

  • 1.
    DONE BY… MWADZIWANA LOUISLAW Septicarthritis
  • 2.
    Definition  Inflammation ofa synovial membrane with purulent effusion into the joint capsule, often due to bacterial infection
  • 3.
    Cont…  SA isconsidered as a rheumatologic emergency as joint destruction occurs rapidly and can lead to significant morbidity and mortality.  Although accurate diagnosis could be particularly challenging especially in patients with an underlying inflammatory joint disease.
  • 4.
    Pathophysiology  Once thebacteria or any other causative agents sets in, there is rapid bacterial replication in the joint resulting in an ensuing inflammatory process that can lead to rapid local joint destruction and might be accompanied with a systemic infection.
  • 6.
    Aetiology SA is causedby the invasion of bacteria, viruses, or fungi into the synovial membrane of a joint.  Staphylococcus aureus - the most common cause in adults. Has a specific affinity of synovial structures.  Streptococci- the second most common cause  Haemophilus influenzae - was the most common cause in children but is now uncommon in areas where Haemophilus vaccination is practiced  Neisseria gonorrhoea- in young adults, multiple macules or vesicles seen over the trunk are a pathognomonic feature.  Escherichia coli- in the elderly, IV drug users and the seriously ill  M. tuberculosis, Salmonella  This occurs most commonly by direct inoculation, penetrating wound, or direct extension. The most common mechanism of infection is via haematogenous.
  • 7.
    Cont…  Viruses thatcan cause septic arthritis include hepatitis A, B, and C , herpes viruses, HIV&AIDS virus, mumps and ebola.  Fungi that can cause septic arthritis include cistoplasma, coccidioides, and Blastomyces.
  • 8.
  • 9.
    Frequency  2-10 casesper 100,000 in the general population  30-70 cases per 100,000 in patients with immunological disorders or deficiencies, and joint replacements  Gonococcal: women 3x > men
  • 10.
    Risk factors  Whilejoint infection occasionally affects people with no known predisposing risk factors, it more commonly occurs when certain risk situations are present which includes~  Abnormal joint architecture is the most important risk factor for SA e.g. in pts with RA  For reasons that are not entirely clear, the risk of SA in a patient with RA is increased 4- to15-fold irrespective of therapy
  • 11.
    cont…  surgery  IVdrug use  Risk for sexually transmitted disease  Anaemia  Diabetes  Age  Alcoholism  Malignancy  medications
  • 12.
    Root of infection: ◦Blood stream ◦ Contiguous infection ◦ Direct inoculation:  Injection: 0.0002  Arthroscopic surgery: < 0.005  Animal or human bite
  • 14.
    lncidence  Adults ◦ Knee40-50 % ◦ Hip 20-25 % ◦ Infants and young children  Hip 95 %
  • 15.
    Cont…  Large jointsare more commonly affected than the small joints  Up to 60% of cases the hip or the knee is.
  • 16.
  • 17.
    Site of involvement: Knee: 55%  Ankle: 10%  Wrist: 9%  Shoulder: 7%  Hip: 5%  Elbow: 5%  SC: 5%- IV drug abuser  SI: 2%- IV drug abuser  Foot joints: 2%
  • 18.
    Diagnostic features  Acase definition for bacterial SA was proposed by Newman which required one of four points to be met: (1) isolation of an organism from an affected joint (2) isolation of an organism from another source with a concomitant swollen, hot joint
  • 19.
    Cont…  Arthrocentesis withsynovial fluid examination and culture  Increased White blood cell count  Increased Erythrocyte sedimentation rate (ESR)  Increased Temperature  Increased C-Reactive Protein (CRP)  Imaging studies are used to rule out other conditions  Blood cultures
  • 20.
    Cont… (3) clinical featuresand turbid joint fluid in the presence of previous antibiotic therapy (4) Histologic or radiologic evidence consistent with septic arthritis
  • 21.
    Radiography  Early: ◦ Softtissue swelling Joint space widening  Late (2-3 w): ◦ Erosion ◦ Joint space narrowing
  • 23.
    Clinical features Is summarisedas a red, hot painful joint  Fever (toxic)  Erythema  Sever pain  Sever swelling of one joint  Sever tenderness  Warmth  Sever limited ROM
  • 24.
    cont….  SA presentswith a short 1–2 week history of pain, swelling, heat and restricted movement in the affected joint(s)  There is a common misconception that SA affects only one joint but evidence now suggests that in up to 22% of cases the presentation is polyarticular
  • 25.
    Symptoms in Newborns/Infants  Inabilityto move the limb (pseudoparalysis)  Cries when infected joint is moved  Fever  Unable to move the limb  Irritability
  • 26.
    Cont….  If thehip joint is infected the child holds the hip rigidly in a flexed, abducted and externally rotated position that maximizes capsular volume.
  • 28.
    Medical management Antibiotics  Currentantibiotic choices should be made based due to what likely organism and subsequently modified in light of culture and sensitivity results. NSAIDS An overactive immune response, secondary to the initial septic Event causes more joint damage and that steroid treatment down regulates this exaggerated native immune response.  Disease modifying anti rheumatic drugs
  • 29.
    Cont…  Arthroscopy- thisis a process of extracting joint fluid/pus through the means of a small incision and suction tubes placed around the joint.  Arthrocentesis-a needle is placed into the joint to extract ad remove the joint fluid.  Amputation may be done but rare
  • 31.
    Cont… Surgical options-removal ofinfected joint material is imperative in improving a patient
  • 32.
  • 33.
    Physiotherapy management Primary aims Reduce pain  Restore and maintain physiological function  Patient education about exercise and management of their condition.
  • 34.
    Cont…  Immobilization control painas it is often too painful to bear weight.  Mobilization can begin if the patient is responding well following 5 days of gentle treatment. PT needs to consists of allowing the joint to be in its functional position and positioning the joint to allow passive range of motion activities.
  • 35.
    Cont….  Electrotherapy-ice  hydrotherapy,heat and TENS, IFT, Ultrasound to manage pain and joint stiffness.  NB: heat modalities are not supposed to be used in the acute phase or before initiation of antibiotic treatment.
  • 36.
    Complications of SA Rapid clearing of the infection is critical to preserve the joint. If the infection has been longstanding, the possibility of joint destruction exists. The keys to successful outcome are rapid medical attention and drainage and the accurate administration of antibiotics to which the offending microbes are susceptible.
  • 37.
    Prognosis The best outcomefor individuals with septic arthritis is immediate treatment. Mortality ranges from 19-25% permanent joint disability occurs in 25- 50% of the cases. Fifty percent of adults with septic arthritis have significant decreased ROM or chronic pain after the infection.
  • 38.
    Cont…  Poor outcomepredictors in prognosis of septic arthritis include the following:  Age older than 60, infection of the hip or shoulder joints, underlying rheumatoid arthritis, positive findings on synovial fluid cultures after 7 days of therapy, delay of 7 days or longer in beginning treatment
  • 39.
    REFERENCES  Septic ArthritisAspiration Techniques and Indications for Surgery at Medscape. Author: Nadera Sweiss. Updated: Feb 7, 2012  Prosthetic Joint Infectious Arthritis: Infections of Joints and Bones: Merck Manual Professional [Internet]. [cited 2010 Feb 16];Available  Klippel, J.H., et al. Primer on the Rheumatic Diseases. New York: Springer, 2008.
  • 40.
    Cont…  Weston VC,Jones AC, Bradbury N, et al. Clinical features and outcome of septic arthritis in a single UK Health District 1982–1991. Ann Rheum Dis1999; 58:214–219.
  • 41.