Case conference
Extern ภูชิต สุวิชาเชิดชู
Case
•ผู้ป่วยเด็กหญิง อายุ 10 ปี
•อาชีพ นักเรียน
•ภูมิลาเนา อาเภอโชคชัย จังหวัดนครราชสีมา
•CC : ปวดสะโพกขวา 2 hr PTA
Present illness
• 2 wk PTA ผู้ป่วยวิ่งสะดุดขาตัวเองล้ม สะโพกขวากระแทก
พื้น เจ็บสะโพกขวา พอขยับขาได้ เดินลงน้าหนักได้แต่เดิน
กะเผลก รู้สึกขัดๆที่สะโพกขวา ไปรักษาที่อานามัย ได้ยาแก้
ปวดและยานวด อาการปวดทุเลาลง เริ่มเดินลงน้าหนักได้มาก
ขึ้น เดินกะเผลกลดลง รู้สึกขัดที่สะโพกขวาลดลง
• 2 hr PTA ผู้ป่วยเดินสะดุดขาตัวเองล้ม สะโพกขวากระแทก
พื้น เจ็บสะโพกขวาทันที ขยับขาไม่ได้ เดินลงน้าหนักไม่ได้ จึง
มาโรงพยาบาล
Primary survey
• A : Can speak, no hoarseness, can move
neck all directions, C-spine not tender
• B : Equal breath sound, CCT negative
• C : BP 118/72 mmHg, HR 90 bpm
• D : E4V5M6, Pupils 3 mm RTLBE
• E : No wound
Secondary Survey
•A : No allergy
•M : No medications
•P : No underlying disease
•L : 4 hr PTA
•E : เดินสะดุดขาตัวเองล้ม สะโพกขวากระแทกพื้นดิน
Physical Examination
• GA : A Thai girl, good consciousness, poor
cooperative
• Vital sign : BP 118/72 mmHg, HR 90 bpm, T 37.0 C,
RR 14 /min
• HEENT : Not pale conjunctivae, anicteric sclerae
• Lungs : Clear, equal both
• Heart : Normal S1S2, no murmur
• Abdomen : Soft, not tender, no guarding
Physical Examination
• Extremities : Right leg external rotation, no
wound, no edema, limit ROM due to pain,
neurovascular intact
• Other extremities are within normal limit
Differential diagnosis
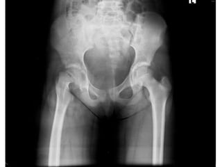
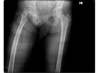
Investigation
•Film pelvis AP
•Film both hips AP
Diagnosis
• Slipped Capital Femoral Epiphysis Right Hip
Slipped Capital Femoral
Epiphysis
•The most common hip disorder in
adolescents
•Usually occurring between 8 and 15
years of age
•More common in boys than girls
http://patient.info/doctor/slipped-capital-femoral-epiphysis-pro
Etiology
• The etiology of SCFE is thought to be
multifactorial and may include obesity,
growth surges, and, less commonly,
endocrine disorders
• Related endocrine disorders include
hypothyroidism, growth hormone
supplementation, hypogonadism, and
panhypopituitarism
Presentation
•The most common symptoms of SCFE
are limping and pain that is poorly
localized to the hip, groin, thigh, or
knee
•Limited internal rotation of the hip is
the most telling sign in the diagnosis of
SCFE
Differential diagnosis
•Acute hip fracture
•Legg-Calve-Perthes' disease
•Acute transient synovitis
•Osteomyelitis
•Septic arthritis
http://www.aafp.org/afp/2010/0801/p258.html
http://www.aafp.org/afp/2010/0801/p258.html
Management
•Avoid moving or rotating the leg. The
patient should not be allowed to walk.
•Provide analgesia and immediate
orthopaedic referral if the diagnosis is
suspected.
•The initial goals of treatment are to
prevent slip progression and avoid
complications.
http://www.aafp.org/afp/2010/0801/p258.html
Complications
•Avascular necrosis
•It is a serious complication associated
with severe displacement and fixation
with more than one screw. Avascular
necrosis often leads to advanced and
early degenerative osteoarthritis
Complications
•Chondrolysis
•Chondrolysis is the acute loss of
articular cartilage, which causes
joint stiffness and pain. It is usually
reported as a complication of
surgical treatment of SCFE.
Reference
• Loder RT. Slipped capital femoral epiphysis
[published correction appears in Am Fam
Physician. 1998;58(1):52]. Am Fam
Physician. 1998;57(9):2135–2142.
• http://www.aafp.org/afp/2010/0801/p258.
html
• http://patient.info/doctor/slipped-capital-
femoral-epiphysis-pro

Scfe(phuchit)

  • 1.
    Case conference Extern ภูชิตสุวิชาเชิดชู
  • 2.
    Case •ผู้ป่วยเด็กหญิง อายุ 10ปี •อาชีพ นักเรียน •ภูมิลาเนา อาเภอโชคชัย จังหวัดนครราชสีมา •CC : ปวดสะโพกขวา 2 hr PTA
  • 3.
    Present illness • 2wk PTA ผู้ป่วยวิ่งสะดุดขาตัวเองล้ม สะโพกขวากระแทก พื้น เจ็บสะโพกขวา พอขยับขาได้ เดินลงน้าหนักได้แต่เดิน กะเผลก รู้สึกขัดๆที่สะโพกขวา ไปรักษาที่อานามัย ได้ยาแก้ ปวดและยานวด อาการปวดทุเลาลง เริ่มเดินลงน้าหนักได้มาก ขึ้น เดินกะเผลกลดลง รู้สึกขัดที่สะโพกขวาลดลง • 2 hr PTA ผู้ป่วยเดินสะดุดขาตัวเองล้ม สะโพกขวากระแทก พื้น เจ็บสะโพกขวาทันที ขยับขาไม่ได้ เดินลงน้าหนักไม่ได้ จึง มาโรงพยาบาล
  • 4.
    Primary survey • A: Can speak, no hoarseness, can move neck all directions, C-spine not tender • B : Equal breath sound, CCT negative • C : BP 118/72 mmHg, HR 90 bpm • D : E4V5M6, Pupils 3 mm RTLBE • E : No wound
  • 5.
    Secondary Survey •A :No allergy •M : No medications •P : No underlying disease •L : 4 hr PTA •E : เดินสะดุดขาตัวเองล้ม สะโพกขวากระแทกพื้นดิน
  • 6.
    Physical Examination • GA: A Thai girl, good consciousness, poor cooperative • Vital sign : BP 118/72 mmHg, HR 90 bpm, T 37.0 C, RR 14 /min • HEENT : Not pale conjunctivae, anicteric sclerae • Lungs : Clear, equal both • Heart : Normal S1S2, no murmur • Abdomen : Soft, not tender, no guarding
  • 7.
    Physical Examination • Extremities: Right leg external rotation, no wound, no edema, limit ROM due to pain, neurovascular intact • Other extremities are within normal limit
  • 8.
  • 9.
  • 12.
    Diagnosis • Slipped CapitalFemoral Epiphysis Right Hip
  • 13.
  • 14.
    •The most commonhip disorder in adolescents •Usually occurring between 8 and 15 years of age •More common in boys than girls
  • 15.
  • 16.
    Etiology • The etiologyof SCFE is thought to be multifactorial and may include obesity, growth surges, and, less commonly, endocrine disorders • Related endocrine disorders include hypothyroidism, growth hormone supplementation, hypogonadism, and panhypopituitarism
  • 17.
    Presentation •The most commonsymptoms of SCFE are limping and pain that is poorly localized to the hip, groin, thigh, or knee •Limited internal rotation of the hip is the most telling sign in the diagnosis of SCFE
  • 18.
    Differential diagnosis •Acute hipfracture •Legg-Calve-Perthes' disease •Acute transient synovitis •Osteomyelitis •Septic arthritis
  • 19.
  • 20.
  • 21.
    Management •Avoid moving orrotating the leg. The patient should not be allowed to walk. •Provide analgesia and immediate orthopaedic referral if the diagnosis is suspected. •The initial goals of treatment are to prevent slip progression and avoid complications.
  • 22.
  • 23.
    Complications •Avascular necrosis •It isa serious complication associated with severe displacement and fixation with more than one screw. Avascular necrosis often leads to advanced and early degenerative osteoarthritis
  • 24.
    Complications •Chondrolysis •Chondrolysis is theacute loss of articular cartilage, which causes joint stiffness and pain. It is usually reported as a complication of surgical treatment of SCFE.
  • 25.
    Reference • Loder RT.Slipped capital femoral epiphysis [published correction appears in Am Fam Physician. 1998;58(1):52]. Am Fam Physician. 1998;57(9):2135–2142. • http://www.aafp.org/afp/2010/0801/p258. html • http://patient.info/doctor/slipped-capital- femoral-epiphysis-pro