CASE CONFERENCE
Ext.เวชพิสิทธิ์ พนาวร
PATIENT PROFILE
• ผู้ป่วยชายไทยอายุ 75 ปี
• Chief complaint: ปวดข้อสะโพก 2 mth PTA
• Present illness: ปวดข้อสะโพก บริเวณขาหนีบร้าวมาที่ข้อเข่า 2 mth PTA ไม่มีปวดหลัง ไม่มีชา ไม่อ่อนแรง เดินได้แต่ผิดปกติ
เดินแล้วไม่มีปวดมากขึ้น โดยมีอาการปวดตลอดเวลา ไม่มีทาท่าทางใดแล้วดีขึ้น แต่จะมีอาการปวดมากขึ้นตอนยกขาเข้ามาด้านใน ไม่มี
ประวัติtraumaมาก่อน
• Past illness : Underlying COPD, Gout
• Personal history : Hx of smoking 40 pack-year,No Hx of alcohol drinking,No Hx
bleeding disorder
PHYSICAL EXAMINATION
• Vital signs: BP 139/75, PR 100 bpm, T37.5c, RR20
• GA: good conscious, well co-operated
• HEENT: Not pale, No jaundice
• CVS: Normal S1S2, No murmur, symmetrical pulses on all extremities, No cyanosis
• Lung: clear, normal equal BS, No adventitious sound, No dullness on percussion
• Abdomen: Soft, Not tender, No rebound tenderness, No sign of chronic liver disease
• Orthopedics examination: Lt. Hip -> Limit ROM in internal rotation, Not tender at
hip, Normo reflexia, Muscle power grade V all extremities
LABORATORY
CBC
• WBC 17,000 /uL
• HGB 12.2 g/dL
• HCT 36.7%
• MCV 98
• RDW 14.3
• PLT 206,000
• N 89.7%, L3.3%, M5.7%, E0.4%, B0.9%
LABORATORY 2
• Sodium 138.1
• Potassium 3.61
• Chloride 101.4
• Co2 24
• BUN 13
• Cr 1.41
• CRP 125
• ESR 57(H)
• Anti-HIV (-)
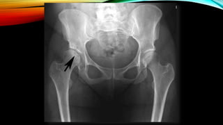
FILM: BOTH HIP AP
MANAGEMENT
• Total hip arthroplasty
AVASCULAR NECROSIS
• Osteonecrosis of femoral head
• Most common incidence: 30-50 years
• Pathogenesis: ยังไม่ทราบแน่ชัด
• Risk factors: Trauma, Corticosteroid use, Excessive alcohol consumption,
Coagulation disorder, Hemoglobinopathies, Dysbaric phenomena, Autoimmune
diseases, Storage diseases, Smoking, Hyperlipidemia
PATHOGENIC MECHANISM OF AVN
• Ischemia 1. Vascular disruption
2.Vascular compression or constriction
3. Intravascular occlusion
• Direct cellular toxicity
• Altered differentiation of mesenchymal stem cells
CLINICAL PRESENTATION
• Groin pain
• Limit hip internal rotation
• Antalgic gait
HOW TO DIAGNOSE AVN OF
FEMORAL HEAD?
• Radiograph (X-ray or MRI)
-Ficet and Arlet classification system
CRESCENT SIGN
TREATMENT
• Non surgical treatment
1.Non-weight bearing therapy : For small and asymptomatic lesion
2.Biophysical modalities: ESWT(Extracorporeal shock waves therapy)
HBO(Hyperbaric )
3.Pharmacotherapy : Enoxaparin, Bisphosphonates
SURGICAL TREATMENT
• Femoral head-preserving procedure
1.Core decompression
2.Core decompression with nonvascularized bone grafting
3.Vascularized bone grafting
4.Concentrated stem cell
5.Biologic adjuncts
6.Tantalum rods
7.Rotational osteotomy
SURGICAL TREATMENT(CONT.)
• Hip arthroplasty
1.Total hip arthroplasty
2.Resurfacing artroplasty
CONCLUSION
1. Symptomatic osteonecrosis + Small lesions + Pre-collape stage
-> Femoral head-sparing procedure
2. Young people + symptomatic osteonecrosis + large lesions + Pre-collapse
stage -> Femoral head-sparing procedure
3. Old people + symptomatic osteonecrosis + large lesions + Pre-collapse
stage ->Total hip arthroplasty
4. Symptomatic osteonecrosis + Post-collapse stage-> Total hip arthroplasty

Conference เวชพิสิทธิ์

  • 1.
  • 2.
    PATIENT PROFILE • ผู้ป่วยชายไทยอายุ75 ปี • Chief complaint: ปวดข้อสะโพก 2 mth PTA • Present illness: ปวดข้อสะโพก บริเวณขาหนีบร้าวมาที่ข้อเข่า 2 mth PTA ไม่มีปวดหลัง ไม่มีชา ไม่อ่อนแรง เดินได้แต่ผิดปกติ เดินแล้วไม่มีปวดมากขึ้น โดยมีอาการปวดตลอดเวลา ไม่มีทาท่าทางใดแล้วดีขึ้น แต่จะมีอาการปวดมากขึ้นตอนยกขาเข้ามาด้านใน ไม่มี ประวัติtraumaมาก่อน • Past illness : Underlying COPD, Gout • Personal history : Hx of smoking 40 pack-year,No Hx of alcohol drinking,No Hx bleeding disorder
  • 3.
    PHYSICAL EXAMINATION • Vitalsigns: BP 139/75, PR 100 bpm, T37.5c, RR20 • GA: good conscious, well co-operated • HEENT: Not pale, No jaundice • CVS: Normal S1S2, No murmur, symmetrical pulses on all extremities, No cyanosis • Lung: clear, normal equal BS, No adventitious sound, No dullness on percussion • Abdomen: Soft, Not tender, No rebound tenderness, No sign of chronic liver disease
  • 4.
    • Orthopedics examination:Lt. Hip -> Limit ROM in internal rotation, Not tender at hip, Normo reflexia, Muscle power grade V all extremities
  • 5.
    LABORATORY CBC • WBC 17,000/uL • HGB 12.2 g/dL • HCT 36.7% • MCV 98 • RDW 14.3 • PLT 206,000 • N 89.7%, L3.3%, M5.7%, E0.4%, B0.9%
  • 6.
    LABORATORY 2 • Sodium138.1 • Potassium 3.61 • Chloride 101.4 • Co2 24 • BUN 13 • Cr 1.41 • CRP 125 • ESR 57(H) • Anti-HIV (-)
  • 7.
  • 8.
  • 9.
    AVASCULAR NECROSIS • Osteonecrosisof femoral head • Most common incidence: 30-50 years • Pathogenesis: ยังไม่ทราบแน่ชัด • Risk factors: Trauma, Corticosteroid use, Excessive alcohol consumption, Coagulation disorder, Hemoglobinopathies, Dysbaric phenomena, Autoimmune diseases, Storage diseases, Smoking, Hyperlipidemia
  • 10.
    PATHOGENIC MECHANISM OFAVN • Ischemia 1. Vascular disruption 2.Vascular compression or constriction 3. Intravascular occlusion • Direct cellular toxicity • Altered differentiation of mesenchymal stem cells
  • 11.
    CLINICAL PRESENTATION • Groinpain • Limit hip internal rotation • Antalgic gait
  • 12.
    HOW TO DIAGNOSEAVN OF FEMORAL HEAD? • Radiograph (X-ray or MRI) -Ficet and Arlet classification system
  • 15.
  • 18.
    TREATMENT • Non surgicaltreatment 1.Non-weight bearing therapy : For small and asymptomatic lesion 2.Biophysical modalities: ESWT(Extracorporeal shock waves therapy) HBO(Hyperbaric ) 3.Pharmacotherapy : Enoxaparin, Bisphosphonates
  • 19.
    SURGICAL TREATMENT • Femoralhead-preserving procedure 1.Core decompression 2.Core decompression with nonvascularized bone grafting 3.Vascularized bone grafting 4.Concentrated stem cell 5.Biologic adjuncts 6.Tantalum rods 7.Rotational osteotomy
  • 20.
    SURGICAL TREATMENT(CONT.) • Hiparthroplasty 1.Total hip arthroplasty 2.Resurfacing artroplasty
  • 21.
    CONCLUSION 1. Symptomatic osteonecrosis+ Small lesions + Pre-collape stage -> Femoral head-sparing procedure 2. Young people + symptomatic osteonecrosis + large lesions + Pre-collapse stage -> Femoral head-sparing procedure 3. Old people + symptomatic osteonecrosis + large lesions + Pre-collapse stage ->Total hip arthroplasty 4. Symptomatic osteonecrosis + Post-collapse stage-> Total hip arthroplasty