Sample
Collection and
Shipping
What’s important
____and why___
Deb Miller1,2 and Matt Gray1
1Center for Wildlife Health
2College of Veterinary Medicine
Collecting Animals
Enclosure (Pipe) Sampling
Count Number of Dips
Dip until No Larvae
Captured after 10 dips
Is probability of
transmission
affected?
Co-housing Animals
Mean =
0.8 – 0.9 contacts/min for 40 tadpoles/m2
(10 tadpoles per 5-gal [19 L] bucket)
All should contact each other in 9 Minutes
10, 20, 40%
X
15, 30, 60 min
What about
gloves?
Ranavirus Example
Methods: Cohousing
450 Total Animals
Cohouse in buckets for 15, 30, or 60 minutes;
10%, 20%, or 40% infected; 50 animals per treatment
Results: Ā Cohousing
Unpublished	
 Ā Figured	
 Ā Deleted	
 Ā 
Methods: Ā Glove Ā Change Ā  Ā 
(600 Ā total Ā animals)
• Change	
 Ā gloves	
 Ā or	
 Ā don’t	
 Ā change	
 Ā gloves	
 Ā 
• Vary	
 Ā density	
 Ā of	
 Ā infected	
 Ā individuals	
 Ā 
5%	
 Ā 
40%	
 Ā 
10%	
 Ā 
20%	
 Ā 
100	
 Ā animals	
 Ā per	
 Ā treatment	
 Ā for	
 Ā 14	
 Ā days	
 Ā 
600	
 Ā animals	
 Ā total	
 Ā 
Methods: Glove Change
Swab individual
Results: Ā Glove Ā Changing
Unpublished	
 Ā Figured	
 Ā Deleted	
 Ā 
Smokies Example
Searching and Numbered Bags
Isolating Animals
Holding Containers
One Individual per Container
Plastic Bags
1-L or 2-L
Plastic Tubs
Mason Jars
Processing Station
Aseptic Processing Station
People that
collect do
NOT
process!!
ID and Morphometrics:
Stations 1 and 2
Aseptic Processing Station
Station 1
ID Rinsed & Labeled
Weigh SVL
Aseptic Processing Station
Station 2
Swabbing: Station 3
Type of swab:
1. Individually packaged.
2. Wire or plastic shaft (plastic often is
designed with breaking point so no need for
additional instrument to cut the shaft when
placing in tube). NOTE: wood shafts may
interfere with molecular testing
3. Microtip is easier for smaller species
Swabbing Anurans
Bd and Bsal Surveillance
Non-lethal Techniques:Brem et al. (2007)
Swabbing Preferred
Swab 5 times in 5 locations
A. Cressler,
USGS
A. Cressler,
USGS
•  Ventral feet
•  Inner thighs
•  Ventral Abdomen
Larvae:
Swab Oral Cavity 5 times
Adults: if needed, lightly rinse with sterile
water to remove any dirt/debris
Store:
1.  Dry swab (refrigerate or freeze)
2.  70% EtOH if you cannot dry the
swab or keep it cool
Swabbing Salamanders
Bd and Bsal Surveillance
Ventral surfaces (all feet, belly, tail); 5 times
each, often they will grab the swab and you can
twirl it while they hold onto it.
Photo courtesy Dale McGinnity , Nashville zoo
What if you see a lesion?
https://www.youtube.com/
watch?v=a5CtPrGOK8c
Sample Storage
Individual tubes (if shipping, USE SCREW TOP TUBES)
LABEL!! Use marker that will not come off with ethanol/
alcohol
90% EtOH or keep cool
Clipping: station 4
Tail Clip
Aseptic Processing Station
Station 4
Sample Storage
Individual tubes
LABEL!! Use marker that will not come off with Ethanol
90% EtOH or Dry Ice
Data Recording!!!: Station 5
Data Recording
Aseptic Processing Station
Station 5
Release: Station 6
Aseptic Processing Station
Station 6
Releasing or Collecting
Individuals
Whole animals
Biosecurity
Matt Gray, Debra Miller, and Amanda Duffus
Diseases, Pathogens and Parasites Task Team
Biosecurity Precautions:
Disinfecting Procedures
Wear Disposable Gloves
Gloves Rinsed with Distilled H2O
Greer et al. (2009)
Latex Vinyl
Nitrile
$12/box of 100
Disinfecting Equipment
Scrape Mud and Scrub
Disinfecting Equipment
Spray Bottle or Immersion
• Bleach >4%
• EtOH >70%
• Virkon >1%
• Nolvasan >0.75%
Johnson et al. (2003), Bryan et al. (2009), Gold et al. (2013)
$50/
bottle
Amphibian Biosecurity References
www.separc.org
Dodd, C. K., editor. 2009. Amphibian Ecology
and Conservation: A handbook of techniques.
Oxford University Press, UK.
ISBN 9780199541188
Pessier, A.P. and
J.R. Mendelson
(eds.). 2010.
Miller et al. (2015)
Shipping
Debra Miller and Matt Gray
Diseases, Pathogens and Parasites Task Team
Shipping Amphibians for Diagnostic
Testing
Transporting Amphibians
Most Diagnostic Labs Prefer Fresh
Specimens if Possible
Tent
Design
No Direct
Contact with
Dry Ice or Ice
Packs
Preserving Animals
95% EtOH 10% neutral buffered formalin
Separate Containers for Each
Specimen! DO NOT USE
GLASS FOR SHIPPING
50 mL
Shipping Animals
(1) Call the Diagnostic Lab for Specific
Instructions
(2) Follow Courier Guidelines
Shipping Specimens
Triple Packaging
First Layer
Label Each Layer!
Shipping Specimens
Triple Packaging
Second Layer
Do not use Biohazard Bags
(unless known to be infected
with a BSL-2 agent)
Absorbent
Paper Towel
Shipping Specimens
Triple Packaging
Third Layer
ThermoSafe* Polar Pack
Place Cooler in Cardboard Box
Only Use Dry Ice
for Frozen Samples
List of Contents & MSDS if Needed
• Detailed list of all contents
• Description and location of die-off
• Requested services
• Contact information of the shipper
▪ General Pathological Screening
▪ Specific Pathogen Testing
MSDS Required
▪ EtOH or Formalin
Labeling
University of Tennessee (Matthew J. Gray, Ph.D.)
Department of Forestry, Wildlife and Fisheries
Institute of Agriculture
274 Ellington Plant Sciences Building
Knoxville, TN 37996-4563 USA
Debra L. Miller, D.V.M., Ph.D.
Veterinary Diagnostic Laboratory
The University of Georgia
43 Brighton Road
Tifton, GA 31793-1389
Contents: Exempt Animal Specimen (Refrigerate upon Arrival)
Phone: 229-386-3340
(5 lbs) (>1 L or 33.8 oz)(<500 mL, <30 mL Container)
Dangerous Goods
Excepted Quantity
Dangerous Goods in
Hazardous Quantity
No statement
required for
environmental
samples
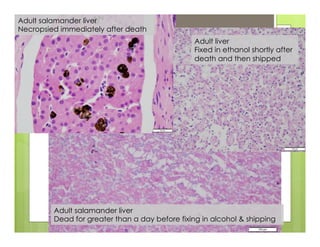
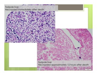
Excellent Example
Why?
›  Culture for pathogen (virus isolation or fungal
culture or if looking for the causative
bacteria): often is not possible from autolysed
tissues because of growth/contamination of
postmortem organisms.
›  PCR: DNA becomes compromised and can
be harder to extract and detect with autolysis,
contamination (bacterial overgrowth).
›  Histology!! Huge difference in what can be
seen under the microscope.
Tadpole liver
Necropsied approximately 12 hours after death
Tadpole liver
Necropsied immediately after death
Adult salamander liver
Dead for greater than a day before fixing in alcohol & shipping
Adult salamander liver
Necropsied immediately after death
Adult liver
Fixed in ethanol shortly after
death and then shipped
Tadpole liver
Collected fresh and shipped
overnight with plenty of cold packs
Tadpole liver
Collected fresh and shipped
overnight with too few cold packs
Questions?

Sample collection and shipping: what's important and why