Routine Lab Tests
• Can you mention some of routine Lab tests?
– CBC
– Blood group(esp. for surgical patients)
– U/A
– serum electrolytes , ------
CBC
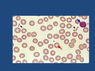
• The complete blood count (CBC) is a common
blood test that evaluates the three major
types of cells in the blood:
• red blood cells,
• white blood cells, and
• platelets.
Ctd.
A CBC may be ordered as part of a
• routine checkup, or
• if your child is feeling more tired than usual,
• seems to have an infection,
• or has unexplained bruising or bleeding.
Red blood cells
• The CBC's measurements of red blood cell (RBC) count
includes:
• hemoglobin (the oxygen-carrying protein in RBCs),
• Hct:The hematocrit (Ht or HCT) or packed cell volume (PCV)
or erythrocyte volume fraction (EVF) is the proportion of
blood volume that is occupied by red blood cells
• red cell indices
MCV,MCH,MCHC
• MCV=HCT/RBC,
NV = 83 to 97 fL
• MCHC=HGB/HCT
NV 31 to 34 g/dL
• MCH=HGB/RBC,
NV 28 to 32
Red blood cells
• provides information about the RBCs, which
carry oxygen from the lungs to the rest of the
body
• These measurements are usually done to test
for anemia, a common condition that occurs
when the body has insufficient red blood cells.
White blood cells
• The white blood cell (WBC) count measures
the number of WBCs (also called leukocytes)
in the blood.
• The WBC differential test measures the
relative numbers of the different kinds of
WBCs in the blood.
• Polymorphs( neutrophils) : react within an
hour of tissue injury and are the hallmark of
acute inflammation
• Lymphocytes: play an important and integral
role in the body's defenses.
• Monocytes: part of the human body's
immune system , in response to inflammation
signals, monocytes can move quickly (aprox. 8-12
hours) to sites of infection
• Eosinophils:They also control mechanisms associated
with allergy and asthma
• Basophils: allergies and parasitosis
• WBCs, which help the body fight infection, are
bigger than red blood cells and there are far
fewer of them in the bloodstream.
An abnormal WBC count may indicate
• an infection,
• inflammation, or
• other stress in the body.
• For example, a bacterial infection can cause
the WBC count to increase, or decrease,
dramatically
Platelets
• The smallest blood cells, platelets play an
important role in blood clotting and the
prevention of bleeding.
• When a blood vessel is damaged or cut,
platelets clump together and plug the hole
until the blood clots...
• If the platelet count is too low, a person can
be in danger of bleeding in any part of the
body..
The CBC can also test for
• loss of blood,
• abnormalities in the production or destruction
of blood cells,
• acute and chronic infections,
• allergies, and
• problems with blood clotting
The Procedure
• Not much blood is drawn in a CBC. A health
professional will usually draw the blood from
a vein.
• For an infant, the blood may be obtained by
puncturing the heel with a small needle.
• If the blood is being drawn from a vein, the
skin surface is cleaned with antiseptic, and an
elastic band is placed around the upper arm to
apply pressure and cause the vein to swell
with blood.
• A needle is inserted into a vein (usually in the
arm inside of the elbow or on the back of the
hand) and blood is withdrawn and collected in
a vial or syringe.
• After the procedure, the elastic band is
removed. Once the blood has been collected,
the needle is removed and the area is covered
with cotton or a bandage to stop the bleeding.
The entire test will only take a few minutes.
Normal values
• Hgb wbc N L M E p
• At birth 13.7-20 9-30 61 31 6 2 150-450
• 2 wk 13-20 5-20 40 48 9 3
• 1 m 10-14 5-19 35 56 7 3
• 6 m-6 y 10.5-14 6-17 32 61 5 3
• 7-12 y 11-16 5-14 51 42 5 3
• adult
• female 12-16 4-13 57 35 5 3
• male 14-18
Blood Chemistries
• Blood chemistries refers to an analysis of a
number of chemical substances in the blood,
having clinical significance
Cardiac Enzymes
• CPK
• AST
• LDH
Liver Function Tests
Kidney Function Tests
Electrolytes
• Calcium
• Chloride
• Phosphorus
• Magnesium
• Potassium
• Sodium
Lipid profiles
• Cholesterol
• Total
• LDL
• HDL
• VLDL
• Triglycerides
Coagulation profile
• CBC
• Platelets
• Prothrombin Time(PT)
• Partial thromboplastin time(PTT)
• Bleeding time
Hormonal asseys
• Pregnancy test
• T3 and T4
• TSH
• FSH
• LH
• Prolactin
• Estradiol
• DHEAS (Dehydroepiandrosterone sulfate
• Glucose
• CO2 Content
• Uric Acid
• CPK
• LDH
Liver function tests
•
Primary functions of the liver
• Bile production and excreation
• Excreation of bilirubin, cholestrol,hormones
and drugs
• Metabolism of fats, proteins,and
carbohydrates
• Storage of glycogen , vitamins,and minerals
and regulation of glucose levels
• Synthesis of plasma proteins,such as albumin
and clotting factors
• Blood detoxification and purification
• Conversion of ammonia into a less toxic form
called urea
• A/G Ratio ( normal is 2:1( reversed)
• Albumin
• Alkaline Phosphatase : a marker for poor bile flow
• Transaminases:markers of hepatocyte integrity
-ALT( SGPT: serum glutamic pyruvic (SGPT): more
specific for liver
5-45 IU
• AST( SGOT(Serum glutamic-oxaloacetic transaminase ):leakes
from injured liver,heart,skeletal muscle cells or rbcs, rarely
kidneys
5- 55 IU
• Bilirubin :is the yellow breakdown product of normal heme
catabolism. Heme is formed from hemoglobin, a principal
component of red blood cells.
• Total :
• Direct (Conjugated):
• Indirect (Unconjugated)
elevated
• Hemolysis
• Hepatocellular disease
• Biliary obstruction
• Hepatitis B Surface Antigen
• LDH
• Prothrombin time
• Blood ammonia level
• autoantibodies
Functions of the kidney
• Removal of nitrogenous waste products of
metabolism
• Regulation of acid base balance
• Regulation of fluid and electrolyte balance
• Removal of toxins/drugs
• Maintenace of BP
• Production of erytropoietin
• BUN: The blood urea nitrogen (BUN) test is a
measure of the amount of nitrogen in the blood in
the form of urea, and a measurement of
renal function. Urea is a substance secreted by the
liver, and removed from the blood by the kidneys.
• Creatinine :Creatinine is a break-down product of
creatine phosphate in muscle, and is usually
produced at a fairly constant rate by the body
(depending on muscle mass)
• Creatinine Clearance :Creatinine clearance
rate (CCr) is the volume of blood plasma that
is cleared of creatinine per unit time and is a
useful measure for approximating the GFR.
• GFR:Glomerular filtration rate (GFR)
describes the flow rate of filtered fluid
through the kidney
• LDH: It catalyses the interconversion of pyruvate and
lactate with concomitant interconversion of NADH
and NAD
• calcium
• Phosphorus
• Total Protein
• Uric Acid
• Urea/creatinine ratio

Routine lab tests

  • 1.
  • 2.
    • Can youmention some of routine Lab tests? – CBC – Blood group(esp. for surgical patients) – U/A – serum electrolytes , ------
  • 3.
    CBC • The completeblood count (CBC) is a common blood test that evaluates the three major types of cells in the blood: • red blood cells, • white blood cells, and • platelets.
  • 4.
    Ctd. A CBC maybe ordered as part of a • routine checkup, or • if your child is feeling more tired than usual, • seems to have an infection, • or has unexplained bruising or bleeding.
  • 5.
    Red blood cells •The CBC's measurements of red blood cell (RBC) count includes: • hemoglobin (the oxygen-carrying protein in RBCs), • Hct:The hematocrit (Ht or HCT) or packed cell volume (PCV) or erythrocyte volume fraction (EVF) is the proportion of blood volume that is occupied by red blood cells • red cell indices MCV,MCH,MCHC
  • 6.
  • 7.
  • 8.
  • 9.
    Red blood cells •provides information about the RBCs, which carry oxygen from the lungs to the rest of the body
  • 10.
    • These measurementsare usually done to test for anemia, a common condition that occurs when the body has insufficient red blood cells.
  • 11.
    White blood cells •The white blood cell (WBC) count measures the number of WBCs (also called leukocytes) in the blood. • The WBC differential test measures the relative numbers of the different kinds of WBCs in the blood.
  • 12.
    • Polymorphs( neutrophils): react within an hour of tissue injury and are the hallmark of acute inflammation • Lymphocytes: play an important and integral role in the body's defenses.
  • 13.
    • Monocytes: partof the human body's immune system , in response to inflammation signals, monocytes can move quickly (aprox. 8-12 hours) to sites of infection • Eosinophils:They also control mechanisms associated with allergy and asthma • Basophils: allergies and parasitosis
  • 17.
    • WBCs, whichhelp the body fight infection, are bigger than red blood cells and there are far fewer of them in the bloodstream.
  • 18.
    An abnormal WBCcount may indicate • an infection, • inflammation, or • other stress in the body. • For example, a bacterial infection can cause the WBC count to increase, or decrease, dramatically
  • 19.
    Platelets • The smallestblood cells, platelets play an important role in blood clotting and the prevention of bleeding. • When a blood vessel is damaged or cut, platelets clump together and plug the hole until the blood clots...
  • 20.
    • If theplatelet count is too low, a person can be in danger of bleeding in any part of the body..
  • 22.
    The CBC canalso test for • loss of blood, • abnormalities in the production or destruction of blood cells, • acute and chronic infections, • allergies, and • problems with blood clotting
  • 23.
    The Procedure • Notmuch blood is drawn in a CBC. A health professional will usually draw the blood from a vein. • For an infant, the blood may be obtained by puncturing the heel with a small needle.
  • 24.
    • If theblood is being drawn from a vein, the skin surface is cleaned with antiseptic, and an elastic band is placed around the upper arm to apply pressure and cause the vein to swell with blood.
  • 25.
    • A needleis inserted into a vein (usually in the arm inside of the elbow or on the back of the hand) and blood is withdrawn and collected in a vial or syringe.
  • 26.
    • After theprocedure, the elastic band is removed. Once the blood has been collected, the needle is removed and the area is covered with cotton or a bandage to stop the bleeding. The entire test will only take a few minutes.
  • 27.
    Normal values • Hgbwbc N L M E p • At birth 13.7-20 9-30 61 31 6 2 150-450 • 2 wk 13-20 5-20 40 48 9 3 • 1 m 10-14 5-19 35 56 7 3 • 6 m-6 y 10.5-14 6-17 32 61 5 3 • 7-12 y 11-16 5-14 51 42 5 3 • adult • female 12-16 4-13 57 35 5 3 • male 14-18
  • 28.
  • 29.
    • Blood chemistriesrefers to an analysis of a number of chemical substances in the blood, having clinical significance
  • 30.
  • 31.
  • 32.
  • 33.
    Electrolytes • Calcium • Chloride •Phosphorus • Magnesium • Potassium • Sodium
  • 34.
    Lipid profiles • Cholesterol •Total • LDL • HDL • VLDL • Triglycerides
  • 35.
    Coagulation profile • CBC •Platelets • Prothrombin Time(PT) • Partial thromboplastin time(PTT) • Bleeding time
  • 36.
    Hormonal asseys • Pregnancytest • T3 and T4 • TSH • FSH • LH • Prolactin • Estradiol • DHEAS (Dehydroepiandrosterone sulfate
  • 37.
    • Glucose • CO2Content • Uric Acid • CPK • LDH
  • 38.
  • 39.
    Primary functions ofthe liver • Bile production and excreation • Excreation of bilirubin, cholestrol,hormones and drugs • Metabolism of fats, proteins,and carbohydrates • Storage of glycogen , vitamins,and minerals and regulation of glucose levels
  • 40.
    • Synthesis ofplasma proteins,such as albumin and clotting factors • Blood detoxification and purification • Conversion of ammonia into a less toxic form called urea
  • 41.
    • A/G Ratio( normal is 2:1( reversed) • Albumin • Alkaline Phosphatase : a marker for poor bile flow • Transaminases:markers of hepatocyte integrity -ALT( SGPT: serum glutamic pyruvic (SGPT): more specific for liver 5-45 IU
  • 42.
    • AST( SGOT(Serumglutamic-oxaloacetic transaminase ):leakes from injured liver,heart,skeletal muscle cells or rbcs, rarely kidneys 5- 55 IU • Bilirubin :is the yellow breakdown product of normal heme catabolism. Heme is formed from hemoglobin, a principal component of red blood cells. • Total : • Direct (Conjugated): • Indirect (Unconjugated)
  • 43.
    elevated • Hemolysis • Hepatocellulardisease • Biliary obstruction
  • 44.
    • Hepatitis BSurface Antigen • LDH • Prothrombin time • Blood ammonia level • autoantibodies
  • 45.
    Functions of thekidney • Removal of nitrogenous waste products of metabolism • Regulation of acid base balance • Regulation of fluid and electrolyte balance • Removal of toxins/drugs • Maintenace of BP • Production of erytropoietin
  • 46.
    • BUN: Theblood urea nitrogen (BUN) test is a measure of the amount of nitrogen in the blood in the form of urea, and a measurement of renal function. Urea is a substance secreted by the liver, and removed from the blood by the kidneys. • Creatinine :Creatinine is a break-down product of creatine phosphate in muscle, and is usually produced at a fairly constant rate by the body (depending on muscle mass)
  • 47.
    • Creatinine Clearance:Creatinine clearance rate (CCr) is the volume of blood plasma that is cleared of creatinine per unit time and is a useful measure for approximating the GFR. • GFR:Glomerular filtration rate (GFR) describes the flow rate of filtered fluid through the kidney
  • 48.
    • LDH: Itcatalyses the interconversion of pyruvate and lactate with concomitant interconversion of NADH and NAD • calcium • Phosphorus • Total Protein • Uric Acid
  • 49.