Respiratory Cases
Dr G Abraham
Case 1
• A 75 year old gentleman living in the community is
being assessed for home oxygen. His ABG on room air
is as follows:
• pH: 7.36 (7.35-7.45)
• pO2: 8.0 (10–14)
• pCO2: 7.6 (4.5–6.0)
• HCO3: 31 (22-26)
• BE: +5 (-2 to +2)
• Other values within normal range
Case 1
• Respiratory acidosis
with full metabolic
compensation
(chronic)
• Note no acidemia –
pH normal
• Seen in chronic lung
disease, eg COPD
COPD
• Describe the diagnostic features of COPD.
• What are the investigations required for
diagnosis?
• Describe the staging of COPD.
• What pharmacological treatments are
available?
GOLD Staging of COPD
Classification FEV1 of predicted
Mild >80%
Moderate 50-79
Severe 30-49
Very severe <30%
Pharmacological Treatments in COPD
SABA or SAMA
FEV1
<50%
>50%
LAMA or
LABA +ICS
(Seretide)
LABA
(Salmeterol)
or LAMA
(Tiotropium)
Other considerations in medical
management of COPD
• Persistent exacerbations require combinations
of long-acting medications.
• Oral theophylline.
• Longterm oxygen therapy
• Diuretics
Case 2
• A 65 year old lady is admitted with acute shortness of
breath, cough, fever and malaise. She is known to have
COPD and a previous discharge letter says he is a CO2
retainer. ABG on air shows:
• pH: 7.10 (7.35-7.45)
• pO2: 6.0 (10–14)
• pCO2: 7.6 (4.5–6.0)
• HCO3: 35 (22-26)
• BE: -5 (-2 to +2)
• Other values within normal range
Case 2 CXR
Case 2
• Describe your approach to management.
• Discuss oxygen therapy.
Management of acute exacerbations
• Nebulisers – Salbutamol/ipratropium
• IV Hydrocortisone
• Antibiotics – Benzylpenicillin/Clarithromycin
Commonest pathogen s.pneumoniae,
h.influenzae
• IV Aminophylline 250 mcg loading dose, then
infusion at 500 mcg/kg/h
• BiPAP (Bilevel pressure support ventilation)
• Intubation and ventilation
Oxygen administration
Oxygen therapy
• Aim sats 88-92% and Pa02 of >8kPa. Assess
changes in PaCO2.
• Nasal cannulae – Flow rate 1-4L
• Delivers Fi02 of 24-40%
• Venturi mask – often preferred in COPD as
gives precise FiO2 at high flow rates.
• Colour coded.
Case 3
• A 23 year old girl with known asthma presents
to the GP with some daytime wheeze and
limitation in her exercise capacity over the last
3 months.
• DHx: Salbutamol accuhaler 200 mcg prn/qds
Case 3 – Answers to MCQ
• 1 – Inhaled corticosteroid with prn SABA
• 2 – LABA
• 3 - LAMA
2016 BTS guidelines: Asthma
management
• 1) Use combination of steroid and short -acting
steroid inhaler
• 2) Add LABA in combination preparation.
• 3) Increase inhaled steroid dose. Discontinue
LABA if no response. Consider oral drugs from
other groups.
• 4) Leukotriene receptor antagonists,
theophylline, LAMA, increase steroid dose to
maximum.
• Consider specialist referral at this stage.
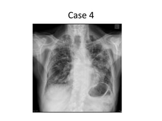
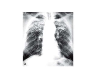
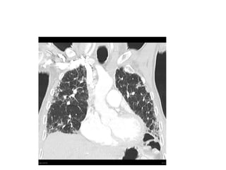
Case 4
Interstitial Lung Disease – A quick
guide
• Umbrella term.
• Consider:
• 1) Idiopathic interstitial pneumonias of which
usual interstitial pneumonia is commonest type
(also known as idiopathic pulmonary fibrosis)
• 2) Interstitial lung disease of known cause –
connective tissue disease, drug related, dusts
which may be organic or inorganic.
• 3) Granulomatous interstitial lung disease –
sarcoidosis.
Cases 5-6
References
• Hsu C, Wu Y, Lin H, et al Indicators of
haemothorax in patients with spontaneous
pneumothorax Emergency Medicine Journal
2005;22:415-417.
• Radiopedia.org
• Passmedicine.com

Respiratory cases

  • 1.
  • 2.
    Case 1 • A75 year old gentleman living in the community is being assessed for home oxygen. His ABG on room air is as follows: • pH: 7.36 (7.35-7.45) • pO2: 8.0 (10–14) • pCO2: 7.6 (4.5–6.0) • HCO3: 31 (22-26) • BE: +5 (-2 to +2) • Other values within normal range
  • 3.
    Case 1 • Respiratoryacidosis with full metabolic compensation (chronic) • Note no acidemia – pH normal • Seen in chronic lung disease, eg COPD
  • 4.
    COPD • Describe thediagnostic features of COPD. • What are the investigations required for diagnosis? • Describe the staging of COPD. • What pharmacological treatments are available?
  • 5.
    GOLD Staging ofCOPD Classification FEV1 of predicted Mild >80% Moderate 50-79 Severe 30-49 Very severe <30%
  • 7.
    Pharmacological Treatments inCOPD SABA or SAMA FEV1 <50% >50% LAMA or LABA +ICS (Seretide) LABA (Salmeterol) or LAMA (Tiotropium)
  • 8.
    Other considerations inmedical management of COPD • Persistent exacerbations require combinations of long-acting medications. • Oral theophylline. • Longterm oxygen therapy • Diuretics
  • 9.
    Case 2 • A65 year old lady is admitted with acute shortness of breath, cough, fever and malaise. She is known to have COPD and a previous discharge letter says he is a CO2 retainer. ABG on air shows: • pH: 7.10 (7.35-7.45) • pO2: 6.0 (10–14) • pCO2: 7.6 (4.5–6.0) • HCO3: 35 (22-26) • BE: -5 (-2 to +2) • Other values within normal range
  • 10.
  • 11.
    Case 2 • Describeyour approach to management. • Discuss oxygen therapy.
  • 12.
    Management of acuteexacerbations • Nebulisers – Salbutamol/ipratropium • IV Hydrocortisone • Antibiotics – Benzylpenicillin/Clarithromycin Commonest pathogen s.pneumoniae, h.influenzae • IV Aminophylline 250 mcg loading dose, then infusion at 500 mcg/kg/h • BiPAP (Bilevel pressure support ventilation) • Intubation and ventilation
  • 13.
  • 14.
    Oxygen therapy • Aimsats 88-92% and Pa02 of >8kPa. Assess changes in PaCO2. • Nasal cannulae – Flow rate 1-4L • Delivers Fi02 of 24-40% • Venturi mask – often preferred in COPD as gives precise FiO2 at high flow rates. • Colour coded.
  • 16.
    Case 3 • A23 year old girl with known asthma presents to the GP with some daytime wheeze and limitation in her exercise capacity over the last 3 months. • DHx: Salbutamol accuhaler 200 mcg prn/qds
  • 18.
    Case 3 –Answers to MCQ • 1 – Inhaled corticosteroid with prn SABA • 2 – LABA • 3 - LAMA
  • 19.
    2016 BTS guidelines:Asthma management • 1) Use combination of steroid and short -acting steroid inhaler • 2) Add LABA in combination preparation. • 3) Increase inhaled steroid dose. Discontinue LABA if no response. Consider oral drugs from other groups. • 4) Leukotriene receptor antagonists, theophylline, LAMA, increase steroid dose to maximum. • Consider specialist referral at this stage.
  • 21.
  • 23.
    Interstitial Lung Disease– A quick guide • Umbrella term. • Consider: • 1) Idiopathic interstitial pneumonias of which usual interstitial pneumonia is commonest type (also known as idiopathic pulmonary fibrosis) • 2) Interstitial lung disease of known cause – connective tissue disease, drug related, dusts which may be organic or inorganic. • 3) Granulomatous interstitial lung disease – sarcoidosis.
  • 25.
  • 26.
    References • Hsu C,Wu Y, Lin H, et al Indicators of haemothorax in patients with spontaneous pneumothorax Emergency Medicine Journal 2005;22:415-417. • Radiopedia.org • Passmedicine.com