PNEUMOCONIOSIS
Dr Vijay Shankar S
28TH APRIL
WORLD DAY
FOR SAFETY & HEALTH AT WORK
is an annual international campaign to promote safe, healthy
and decent work. Has been observed by the International
Labor Organization (ILO) since 2003.
Theme-2014
“Safety and health in the
use of chemicals at work“
Theme-2015
• “Join in building a culture of prevention on
Occupational Safety and Health”
PNEUMOCONIOSIS
Introduction
 Coined from the Greek (pneumo = lung,
konis =dust) & introduced in the 19th
century to describe lung diseases due to
the inhalation of mineral dust
 May have been first described by
Hipprocrates in a metal digger’s difficulty
in breathing
PATHOGENESIS- GENERAL ASPECTS
• The development of a pneumoconiosis depends
on
1. the amount of dust retained in the lung and
airways;
2. the size, shape, and therefore buoyancy of the
particles;
3. particle solubility and physiochemical
reactivity; and
4. the possible additional effects of other
irritants (e.g., concomitant tobacco smoking).
• In general, only a small percentage of
exposed people develop occupational
respiratory diseases,
implying
a genetic predisposition to their development!!
COAL WORKERS
PNEUMOCONIOSIS
THE SPECTRUM
Asymptomatic
anthracosis
Simple CWP
with little to no
pulmonary
dysfunction
Complicated CWP, or
progressive massive
fibrosis (PMF), in
which lung function
is compromised
SILICOSIS
Silicosis
 Has been recognized for hundreds of
years as occupational hazard of
stonecutters
 Silica comprises some 25% of earth’s
crust
 Degree of exposure varies considerably
with the type of rock mined
– Sandstone consist of 100% silica
High Risk Occupations
Foundry worker Sand blasting
Hard rock mining
Stone cutting
SILICA
CRYSTALLINE
Quartz,
crystobalite, and
tridymite
AMORPHOUS
Silicosis
 Silicosis refers to the lung disease
attributed to the inhalation of
crystalline silicon dioxide (silica)
 Most common occupational lung disease
worldwide
 Estimated 1 million workers are exposed
to high levels of silica
PATHOGENESIS
Inhalation of crystalline silica
Interact with epithelial cells &
macrophages
Release of mediators
fibrosis
Pathology
Pathology of silicosis is based on
chronicity, incubation time & level
of exposure
Classification
 Chronic or Classic Silicosis
 Accelerated Silicosis
 Acute Silicosis
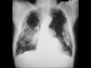
Chronic Silicosis
 Most common form
 Exposure 20-40 yrs
 Hallmark of chronic
form is the silicotic
nodule or islet
 Silicotic islet develops
in the hilar lymph nodes
& calcify
 Disease progress to
fibrosis of the upper
lobe
Accelerated Silicosis
 Similar to chronic silicosis but exposure is
shorter & heavier (<10yrs)
Acute Silicosis
 Intense exposure to
high silica dust occurs
over months
 Acute silicosis may
show features similar to
pulmonary alveolar
proteinosis with silica
particles identified in
proteinaceous material
 Rarely seen in the US
Clinical Features
 Dyspnea-initially with exercise
 Cough with or without sputum
 Wheezing or chest tightness which can
lead to respiratory failure
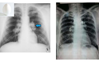
Chest X-ray of Uncomplicated
Silicosis
 Enlargement of hilar nodes may precede
parenchymal disease
 Uncomplicated silicosis has small round
opacities
 Egg-shell calcification of the hilum is
suggestive of silicosis
 Occasional can calcify
morphology
Complication of Silicosis
 M. tuberculosis/
Atypical
mycobacterium
 Rates of TB range
from 5-43%
 Factors that may
influence is the stage &
type of disease (acute
silicosis high risk for
TB)
Complications of Silicosis
 Cor pulmonale
 Spontaneous
pneumothorax
 Collagen vascular
disease (scleroderma)
 Lung Cancer
ASBESTOSIS
Milling
Metal fabrication
Building insulation Electrical insulation
ASBESTOS
Amphibole
Less commonly used
Amosite, Crocidolite,
anthophyllite, tremolite
Stiff and short
Likely to delivered deeper into
the lungs
Serpentine
Most commonly used
Chrysotile
More flexible and curved
Likely to be impacted in
upper respiratory passages
Asbestos related lung diseases
• Produces 4 major categories of human disease
– Pulmonary fibrosis (asbestosis)
– Benign asbestos-related pleural response
– Bronchogenic carcinoma
– Mesothelioma
Pathogenesis
PATHOGENESIS
Inhalation of asbestos
Interact with epithelial cells &
macrophages and penetrate the
alveoli
Release of mediators
INTERSTITIAL
fibrosis
ALSO ACT AS TUMOR INITIATOR
AND PROMOTER
CARCINOGENESIS
Pathologic features
• Begin in lower lobes and sub pleura
• Early stages – minimal fibrosis
• Late stages- extensive fibrosis- destroys the
architecture-dilated/cystic air spaces-
honeycombed appeareance
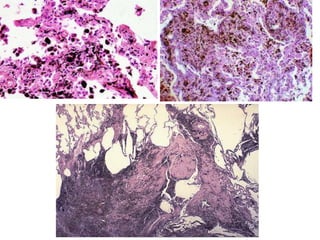
Microscopy
 Asbestos bodies: asbestos fibres coated with a film of proteins
rich in iron.
 Golden brown, fusiform or beaded rods.
 coating is thickest at ends - Dumbell shape
 form when macrophages phagocytose asbestos, iron derived
from phagocyte ferritin.
• Ferrugious bodies : other inorganic
particles/fibres coated with similar protein
iron complex
Clinical Diagnosis of Asbestosis
 Earliest symptom is insidious onset of
breathlessness with exertion
 Clubbing of digits (32-42%), râles(32-64%)
 Cough, wheezing & sputum production are
unusual; if present can be attributed to
cigarette smoking
Pleural Disease Associated with
Asbestosis
 Pleural Plaques
 Pleural Thickening
 Pleural Effusion
 Mesothelioma
Pleural Plaques
 Smooth white raised lesions located on the posterolateral
aspect of the parietal pleura or diaphragm
 Plaques vary in size & shape
 Asymptomatic in pts without parenchymal disease
 Presence of plaques is associated with likelihood of
developing parenchymal disease
 Rarely seen before 20yrs after exposure
Pleural Thickening
 Diffuse or focal
 Pleural thickening are
often associated with
parenchymal disease
 Asbestos bodies can
be found in visceral
pleura
 Can cause symptoms
Pleural Effusions
 May persist for months-years
 Symptoms - chest tightness, pleuritic chest
pain, fever, dyspnea
 May reoccur on same side or opposite side
after yrs of exposure
 Effusions maybe bloody
Mesothelioma
 Arise in the pleura &
peritoneum
 80% occur in men
exposed to asbestos in
the workplace or
living near the mines
 Smoking does not
enhance prevalence of
disease
Lung Cancer & Asbestos
 First recognized in 1930
 Average latency period 20-30 yrs
 Association of lung cancer with smokers &
asbestos exposure is multiplicative
 Adenocarcinoma & squamous cell carcinoma
Summary
 Coal workers pneumoconiosis.
 Know the difference between Asbestosis &
Silicosis.
resp (2).pptx

resp (2).pptx

  • 1.
  • 3.
    28TH APRIL WORLD DAY FORSAFETY & HEALTH AT WORK is an annual international campaign to promote safe, healthy and decent work. Has been observed by the International Labor Organization (ILO) since 2003.
  • 4.
    Theme-2014 “Safety and healthin the use of chemicals at work“
  • 5.
    Theme-2015 • “Join inbuilding a culture of prevention on Occupational Safety and Health”
  • 7.
  • 8.
    Introduction  Coined fromthe Greek (pneumo = lung, konis =dust) & introduced in the 19th century to describe lung diseases due to the inhalation of mineral dust  May have been first described by Hipprocrates in a metal digger’s difficulty in breathing
  • 10.
    PATHOGENESIS- GENERAL ASPECTS •The development of a pneumoconiosis depends on 1. the amount of dust retained in the lung and airways; 2. the size, shape, and therefore buoyancy of the particles; 3. particle solubility and physiochemical reactivity; and 4. the possible additional effects of other irritants (e.g., concomitant tobacco smoking).
  • 11.
    • In general,only a small percentage of exposed people develop occupational respiratory diseases, implying a genetic predisposition to their development!!
  • 12.
  • 14.
    THE SPECTRUM Asymptomatic anthracosis Simple CWP withlittle to no pulmonary dysfunction Complicated CWP, or progressive massive fibrosis (PMF), in which lung function is compromised
  • 16.
  • 17.
    Silicosis  Has beenrecognized for hundreds of years as occupational hazard of stonecutters  Silica comprises some 25% of earth’s crust  Degree of exposure varies considerably with the type of rock mined – Sandstone consist of 100% silica
  • 18.
  • 19.
    Foundry worker Sandblasting Hard rock mining Stone cutting
  • 20.
  • 21.
    Silicosis  Silicosis refersto the lung disease attributed to the inhalation of crystalline silicon dioxide (silica)  Most common occupational lung disease worldwide  Estimated 1 million workers are exposed to high levels of silica
  • 22.
    PATHOGENESIS Inhalation of crystallinesilica Interact with epithelial cells & macrophages Release of mediators fibrosis
  • 24.
    Pathology Pathology of silicosisis based on chronicity, incubation time & level of exposure
  • 25.
    Classification  Chronic orClassic Silicosis  Accelerated Silicosis  Acute Silicosis
  • 26.
    Chronic Silicosis  Mostcommon form  Exposure 20-40 yrs  Hallmark of chronic form is the silicotic nodule or islet  Silicotic islet develops in the hilar lymph nodes & calcify  Disease progress to fibrosis of the upper lobe
  • 27.
    Accelerated Silicosis  Similarto chronic silicosis but exposure is shorter & heavier (<10yrs)
  • 28.
    Acute Silicosis  Intenseexposure to high silica dust occurs over months  Acute silicosis may show features similar to pulmonary alveolar proteinosis with silica particles identified in proteinaceous material  Rarely seen in the US
  • 29.
    Clinical Features  Dyspnea-initiallywith exercise  Cough with or without sputum  Wheezing or chest tightness which can lead to respiratory failure
  • 30.
    Chest X-ray ofUncomplicated Silicosis  Enlargement of hilar nodes may precede parenchymal disease  Uncomplicated silicosis has small round opacities  Egg-shell calcification of the hilum is suggestive of silicosis  Occasional can calcify
  • 32.
  • 33.
    Complication of Silicosis M. tuberculosis/ Atypical mycobacterium  Rates of TB range from 5-43%  Factors that may influence is the stage & type of disease (acute silicosis high risk for TB)
  • 34.
    Complications of Silicosis Cor pulmonale  Spontaneous pneumothorax  Collagen vascular disease (scleroderma)  Lung Cancer
  • 35.
  • 36.
  • 37.
    ASBESTOS Amphibole Less commonly used Amosite,Crocidolite, anthophyllite, tremolite Stiff and short Likely to delivered deeper into the lungs Serpentine Most commonly used Chrysotile More flexible and curved Likely to be impacted in upper respiratory passages
  • 38.
    Asbestos related lungdiseases • Produces 4 major categories of human disease – Pulmonary fibrosis (asbestosis) – Benign asbestos-related pleural response – Bronchogenic carcinoma – Mesothelioma
  • 39.
  • 40.
    PATHOGENESIS Inhalation of asbestos Interactwith epithelial cells & macrophages and penetrate the alveoli Release of mediators INTERSTITIAL fibrosis ALSO ACT AS TUMOR INITIATOR AND PROMOTER CARCINOGENESIS
  • 41.
    Pathologic features • Beginin lower lobes and sub pleura • Early stages – minimal fibrosis • Late stages- extensive fibrosis- destroys the architecture-dilated/cystic air spaces- honeycombed appeareance
  • 42.
    Microscopy  Asbestos bodies:asbestos fibres coated with a film of proteins rich in iron.  Golden brown, fusiform or beaded rods.  coating is thickest at ends - Dumbell shape  form when macrophages phagocytose asbestos, iron derived from phagocyte ferritin.
  • 43.
    • Ferrugious bodies: other inorganic particles/fibres coated with similar protein iron complex
  • 44.
    Clinical Diagnosis ofAsbestosis  Earliest symptom is insidious onset of breathlessness with exertion  Clubbing of digits (32-42%), râles(32-64%)  Cough, wheezing & sputum production are unusual; if present can be attributed to cigarette smoking
  • 45.
    Pleural Disease Associatedwith Asbestosis  Pleural Plaques  Pleural Thickening  Pleural Effusion  Mesothelioma
  • 46.
    Pleural Plaques  Smoothwhite raised lesions located on the posterolateral aspect of the parietal pleura or diaphragm  Plaques vary in size & shape  Asymptomatic in pts without parenchymal disease  Presence of plaques is associated with likelihood of developing parenchymal disease  Rarely seen before 20yrs after exposure
  • 49.
    Pleural Thickening  Diffuseor focal  Pleural thickening are often associated with parenchymal disease  Asbestos bodies can be found in visceral pleura  Can cause symptoms
  • 51.
    Pleural Effusions  Maypersist for months-years  Symptoms - chest tightness, pleuritic chest pain, fever, dyspnea  May reoccur on same side or opposite side after yrs of exposure  Effusions maybe bloody
  • 53.
    Mesothelioma  Arise inthe pleura & peritoneum  80% occur in men exposed to asbestos in the workplace or living near the mines  Smoking does not enhance prevalence of disease
  • 55.
    Lung Cancer &Asbestos  First recognized in 1930  Average latency period 20-30 yrs  Association of lung cancer with smokers & asbestos exposure is multiplicative  Adenocarcinoma & squamous cell carcinoma
  • 56.
    Summary  Coal workerspneumoconiosis.  Know the difference between Asbestosis & Silicosis.