PULP
STRUCTURAL COMPONENTS OF DENTAL PULP

CELLULAR EXTRACELLULAR CONNECTIVETISSUE
1.ODONTOBLASTS 1.COLLAGEN FIBERS 1.BLOOD VESSELS
2. FIBROBLASTS 2.INTERCELLULAR GS 2.LYMPHATIC CHANNELS
3.UNDIFFERENTIATED 3.NERVE FIBERS
MESENCHYMAL CELLS
4.IMMUNOCOMPETENT
CELLS
CELLS OF PULP
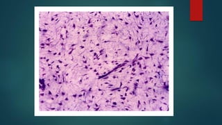
1. ODONTOBLASTS :
• Ectomesenchymal origin-Dentin forming cells
• Second most prominent cells of pulp
• Location: adjacent to dentin (cell bodies-pulp, cell
processes-dentinal tubules)
• Large in coronal pulp and comparatively smaller in
radicular pulp
• Morphological variations – tall columnar in crown, low
columnar in mid of root , flat near apex
• Shape of the cells depends upon degree of activity
• More active cells – tall, oval nucleus at pulpal end and abundant
cytoplasmic organelles
• The cell becomes narrower at apical end and enters predentin –
odontoblastic processes
• Odontoblastic processes are devoid of organelles but contain
microtubules, filaments and vesicles
• Junctions like gap ,tight , desmosomes are seen
• Based on activity odontoblastscan be classified into
1) Synthetic(active odontoblasts)
2) Intermediate(transitional odontoblasts)
3) Resting(aged odontoblasts)
TYPES OF ODONTOBLASTS IN PULP
1) ACTIVE
• Elongated cells,basal
nucleus & basophilic
cytoplasm
• Abundant synthetic
cellular organelles (for
secretion of dentin
matrix)
• Abundant secretory
granules
2) TRANSITIONAL
• Similar features as
that of active
odontoblasts
• Comparatively
organelles are lesser
and less prominent
• Less secretory
granules
• Condensed
chromatin with
organelles
distributed around
the nucleus
3) AGED
• Little cytoplasm
• Dark and close
faced
nucleus(transcriptio
nally inactive
nucleus)
• Less organelles
• Secretory granules
and vacuolesare
rare/absent
2. FIBROBLASTS :
▪ Most numerous cells of pulp
▪ Variable shape-fusiform, stellate
▪ Numerous in younger teeth and decreases with age
▪ Function – synthesis , maintenance and degradation of
pulp matrix
3. Undifferentiated mesenchymal cells:
o Polyhedral in shape with peripheral processes and a large central
nucleus
o Found in cell rich zone and are scattered throughout the central pulp
o Reserve cells - CT cells of pulp are derivedfrom these cells
o Show totipotency ( can give rise to different cells like odontoblasts,
fibroblasts)
o More in younger pulp
o Decreases withage thus reducing the regenerative powerof pulp
4. IMMUNOCOMPETENT CELLS :
MACROPHAGES
o Found in central part
of pulp
o Large oval/spindle
shaped
o RER , mitochondria,
free ribosomes are
found
o Round and densely
stained nucleus
o Function – scavenger
cells ( eliminate dead
cells)
DENDRITIC CELLS
o Antigen presenting
cells
o Dendritic processes
extend between the
odontoblasts
o Non phagocytotic
cells
o Function-Participate
in cellular immunity
by presenting
antigens to T-cells
o Increase during
dental caries
LYMPHOCYTES &
EOSINOPHILLS
o Number increases
during
inflammation
EXTRACELLULAR COMPONENTS :
1.FIBERS
o Collagen type-I and type-III
o Exhibit cross striations
o In younger pulp fibrils are of smaller
diameter and these aggregate in
older pulp to form thicker fibers
o Scattered fibers – diffusedcollagen
o Bundled fibers – bundle collagen
o Few reticular fibers and elasticfibers
may be present
2.GROUND SUBSTANCE
o Composedof
mucopolysaccharides and protein
polysaccharide complex( GAG’S
and proteoglycans )
o Functions :
1. Medium for distribution of cells and
fibers
2. Support to cells
3. Medium for transport of nutrients
and catabolites
o It decreases with age
Connective tissue components:
a) BLOOD VESSELS
o Highly vascularized – supplied by sup and inf alveolararteries
o Blood vesselsenter through apical and accessory foramen
o In coronal pulp they undergo extensive branching
o In peripheral pulp they form sub odontoblastic capillary network
o Arterioles divide into – meta arterioles, pre capillaries and capillaries
o Capillariesshow fenestrations for exchange of materials
o Venous drainage of pulp is by same veins
b) LYMPHATIC CHANNELS :
o Lymph vessels in pulp are thin walled and irregular lumen composed of
endothelial cells surrounded by an incomplete layer of smooth muscles
o Anterior teeth drains into- submental lymph nodes
o Posterior teeth drains into – sub mandibular lymph nodes and deep cervical
lymph nodes
c) Nerve supply :
o The nerve bundles that enter pulp consist principally of :
 Sensory afferent nerves of the TRIGEMINAL NERVE
 Sympathetic branches from the SUPERIOR CERVICAL GANGLION
The nerve fibers in pulp are non myelinated :
 A DELTA AND A BETA – TRANSMIT SHARP PAIN
 C FIBERS TRANSMIT DULL PAIN
PLEXUS OF RASCHKOW:
 PLEXUS OF NERVE FIBERS THAT ARE FORMED DUE TO
BRANCHING AND REBRANCHING OF MYLIENATED NERVE
FIBERS LOCATED IN CELL RICH ZONE OF PULP

Pulp - structural components

  • 1.
  • 2.
     CELLULAR EXTRACELLULAR CONNECTIVETISSUE 1.ODONTOBLASTS1.COLLAGEN FIBERS 1.BLOOD VESSELS 2. FIBROBLASTS 2.INTERCELLULAR GS 2.LYMPHATIC CHANNELS 3.UNDIFFERENTIATED 3.NERVE FIBERS MESENCHYMAL CELLS 4.IMMUNOCOMPETENT CELLS
  • 3.
    CELLS OF PULP 1.ODONTOBLASTS : • Ectomesenchymal origin-Dentin forming cells • Second most prominent cells of pulp • Location: adjacent to dentin (cell bodies-pulp, cell processes-dentinal tubules) • Large in coronal pulp and comparatively smaller in radicular pulp • Morphological variations – tall columnar in crown, low columnar in mid of root , flat near apex
  • 4.
    • Shape ofthe cells depends upon degree of activity • More active cells – tall, oval nucleus at pulpal end and abundant cytoplasmic organelles • The cell becomes narrower at apical end and enters predentin – odontoblastic processes • Odontoblastic processes are devoid of organelles but contain microtubules, filaments and vesicles • Junctions like gap ,tight , desmosomes are seen • Based on activity odontoblastscan be classified into 1) Synthetic(active odontoblasts) 2) Intermediate(transitional odontoblasts) 3) Resting(aged odontoblasts)
  • 5.
    TYPES OF ODONTOBLASTSIN PULP 1) ACTIVE • Elongated cells,basal nucleus & basophilic cytoplasm • Abundant synthetic cellular organelles (for secretion of dentin matrix) • Abundant secretory granules 2) TRANSITIONAL • Similar features as that of active odontoblasts • Comparatively organelles are lesser and less prominent • Less secretory granules • Condensed chromatin with organelles distributed around the nucleus 3) AGED • Little cytoplasm • Dark and close faced nucleus(transcriptio nally inactive nucleus) • Less organelles • Secretory granules and vacuolesare rare/absent
  • 7.
    2. FIBROBLASTS : ▪Most numerous cells of pulp ▪ Variable shape-fusiform, stellate ▪ Numerous in younger teeth and decreases with age ▪ Function – synthesis , maintenance and degradation of pulp matrix
  • 9.
    3. Undifferentiated mesenchymalcells: o Polyhedral in shape with peripheral processes and a large central nucleus o Found in cell rich zone and are scattered throughout the central pulp o Reserve cells - CT cells of pulp are derivedfrom these cells o Show totipotency ( can give rise to different cells like odontoblasts, fibroblasts) o More in younger pulp o Decreases withage thus reducing the regenerative powerof pulp
  • 10.
    4. IMMUNOCOMPETENT CELLS: MACROPHAGES o Found in central part of pulp o Large oval/spindle shaped o RER , mitochondria, free ribosomes are found o Round and densely stained nucleus o Function – scavenger cells ( eliminate dead cells) DENDRITIC CELLS o Antigen presenting cells o Dendritic processes extend between the odontoblasts o Non phagocytotic cells o Function-Participate in cellular immunity by presenting antigens to T-cells o Increase during dental caries LYMPHOCYTES & EOSINOPHILLS o Number increases during inflammation
  • 12.
    EXTRACELLULAR COMPONENTS : 1.FIBERS oCollagen type-I and type-III o Exhibit cross striations o In younger pulp fibrils are of smaller diameter and these aggregate in older pulp to form thicker fibers o Scattered fibers – diffusedcollagen o Bundled fibers – bundle collagen o Few reticular fibers and elasticfibers may be present 2.GROUND SUBSTANCE o Composedof mucopolysaccharides and protein polysaccharide complex( GAG’S and proteoglycans ) o Functions : 1. Medium for distribution of cells and fibers 2. Support to cells 3. Medium for transport of nutrients and catabolites o It decreases with age
  • 13.
    Connective tissue components: a)BLOOD VESSELS o Highly vascularized – supplied by sup and inf alveolararteries o Blood vesselsenter through apical and accessory foramen o In coronal pulp they undergo extensive branching o In peripheral pulp they form sub odontoblastic capillary network o Arterioles divide into – meta arterioles, pre capillaries and capillaries o Capillariesshow fenestrations for exchange of materials o Venous drainage of pulp is by same veins
  • 14.
    b) LYMPHATIC CHANNELS: o Lymph vessels in pulp are thin walled and irregular lumen composed of endothelial cells surrounded by an incomplete layer of smooth muscles o Anterior teeth drains into- submental lymph nodes o Posterior teeth drains into – sub mandibular lymph nodes and deep cervical lymph nodes c) Nerve supply : o The nerve bundles that enter pulp consist principally of :  Sensory afferent nerves of the TRIGEMINAL NERVE  Sympathetic branches from the SUPERIOR CERVICAL GANGLION The nerve fibers in pulp are non myelinated :  A DELTA AND A BETA – TRANSMIT SHARP PAIN  C FIBERS TRANSMIT DULL PAIN
  • 15.
    PLEXUS OF RASCHKOW: PLEXUS OF NERVE FIBERS THAT ARE FORMED DUE TO BRANCHING AND REBRANCHING OF MYLIENATED NERVE FIBERS LOCATED IN CELL RICH ZONE OF PULP