04/12/2014
1
04/12/2014
2
 Introduction
 Definition
 Functions
 Requirements
 Classification
 Other methods of fabrication
 Using cad-cam
 Conclusion
 References
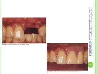
04/12/2014
3
04/12/2014
4
DEFINITION
 According to The Glossary of Prosthodontic Terms,
A provisional prosthesis is a prosthesis designed to
enhance aesthetics, provide stabilization and/or function
for a limited period of time, and should be replaced by a
definitive prosthesis after a period of time.
04/12/2014
5
Provisionalrestorationoptionsin
implantdentistryAustralianDentalJournal
2007;52:(3):234-242
FUNCTIONS
 Provisional restorations can be used as a diagnostic
restoration.
 Used to preserve the soft tissue morphology around
extraction socket .
 Guide the healing of the peri-implant tissue.
 Gives information about shade, crown & soft tissue
contours.
04/12/2014
6
Provisionalrestorationoptionsin
implantdentistryAustralianDentalJournal
2007;52:(3):234-242
 It allows restoration of the integrity of the dental arch.
 Occlusal stability of the opposing arch.
 Masticatory function.
 Proper speech and esthetics.
 Allows the patient to visualize and evaluate the end
restorative result.
04/12/2014
7
Provisionalrestorationoptionsin
implantdentistryAustralianDentalJournal
2007;52:(3):234-242
REQUIREMENTS
 It should be rigid and have sufficient strength to
with stand the occlusal forces.
 Provide ideal environment for healing.
 It should restore normal intra oral function.
 It should function as a template for the esthetics
 It should not exert pressure on surgical site.
04/12/2014
8
Provisionalrestorationoptionsin
implantdentistryAustralianDentalJournal
2007;52:(3):234-242
04/12/2014
9
TYPE OF PROSTHESIS
Removable
Partial acrylic dentures
Essix appliance
Fixed tooth supported
Archwire supportedpontic
Resin bonded pontic
Resin bonded cast metal framework
bridge
Fixed implant supported
Transitional implants
04/12/2014
10
Provisionalrestorationoptionsin
implantdentistryAustralianDentalJournal
2007;52:(3):234-242
BASED ON THE TECHNIQUE
 Chair side –direct technique
Archwire supportedpontic.
 In laboratory- indirect technique.
Resin bonded fixed partial denture
 Both- direct & indirect.
Essix appliance
04/12/2014
11
Provisionalrestorationoptionsin
implantdentistryAustralianDentalJournal
2007;52:(3):234-242
TIME OF CONSTRUCTION
 Prior to tooth extraction.
 During socket healing.
 Prior to implant placement.
 During osseointegration.
 After implant loading.
04/12/2014
12
Provisionalrestorationoptionsin
implantdentistryAustralianDentalJournal
2007;52:(3):234-242
BASED ON CONSTRUCTION
Pre-
fabricated or
Custommade
04/12/2014
13
04/12/2014
14
 An interim removable partial denture (RPD) is often
used as a provisional restoration during the
construction of an implant-supported prosthesis.
04/12/2014
15
Provisionalrestorationoptionsin
implantdentistryAustralianDentalJournal
2007;52:(3):234-242
16
FixedandRemovableProvisionalOptionsforPatientsundergoing
ImplantTreatmentCompendiumNovember2007;28(11):604-609
04/12/2014
17
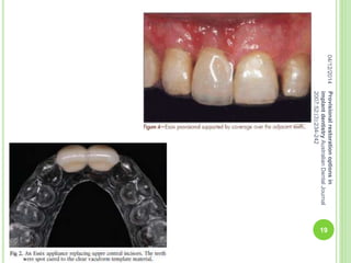
ESSIXAppliancestheFabricationofaTemporaryBridgetoReplace
MissingAnteriorTeethELLIOTTM.MOSKOWITZ,JOHNJ.SHERIDAN,
KRUNOTOVILO.VirtualJournalofOrthodontics
 The Essix provisional is made from clear
thermoplastic sheets to retain pontics for missing
teeth.
 The pontic is fabricated by applying the vacuum
form sheet under high pressure and heat over the
denture teeth
04/12/2014
18
ESSIXAppliancestheFabricationofaTemporaryBridgetoReplaceMissing
AnteriorTeethELLIOTTM.MOSKOWITZ,JOHNJ.SHERIDAN,KRUNOTOVILO.
VirtualJournalofOrthodontics
04/12/2014Provisionalrestorationoptionsin
implantdentistryAustralianDentalJournal
2007;52:(3):234-242
19
TECHNIQUE
04/12/2014
20
ESSIXAppliancestheFabricationofaTemporaryBridgetoReplaceMissing
AnteriorTeethELLIOTTM.MOSKOWITZ,JOHNJ.SHERIDAN,KRUNOTOVILO.
VirtualJournalofOrthodontics
04/12/2014
21
ESSIXAppliancestheFabricationofaTemporaryBridgetoReplaceMissing
AnteriorTeethELLIOTTM.MOSKOWITZ,JOHNJ.SHERIDAN,KRUNO
TOVILO.VirtualJournalofOrthodontics
04/12/2014
22
Fixed provisional prostheses include
 Bonded extracted natural teeth,
denture teeth, and
cast metal reinforced
 Resin bonded fixed partial dentures
04/12/2014
23
Provisionalrestorationoptionsin
implantdentistryAustralianDentalJournal
2007;52:(3):234-242
Type 1 bonded denture teeth
with stainless steel wire
24
FixedandRemovableProvisionalOptionsforPatientsundergoing
ImplantTreatmentCompendiumNovember2007;28(11):604-609
04/12/2014
25
Pre-operative radiograph.
The patient had
generalized refractory
periodontitis, especially in
the maxillary arch.
Pre-operative facial view.
One of the patient’s chief
complaint was the
anterior crowding and
the vertical drifting of
maxillary
anterior teeth.
04/12/2014
26
Provisionalrestorationoptionsin
implantdentistryAustralianDentalJournal
2007;52:(3):234-242
Diagnostic wax up of the planned
restoration illustrating anticipated
contours of the final restoration. The
alignment of anterior teeth was
altered to provide straighter, more
aesthetically pleasing teeth. The
incisal lengths of maxillary incisors
were reduced, decreasing the
horizontal and vertical relationship
of the anterior teeth.
Facial view of prepared teeth
immediately after extraction. Strategic
teeth were maintained to retain the
provisional prosthesis. The implant
sites were previously selected and
the non-strategic teeth were removed
according to the diagnostic wax up.
04/12/2014
27
Provisionalrestorationoptionsin
implantdentistryAustralianDentalJournal
2007;52:(3):234-242
Provisional acrylic restoration
prior to insertion. The provisional
restoration is relined with
compatible self cure resin to fit
over the prepared abutment teeth.
Fixed provisional restorations
cemented on strategic natural
abutments. The molars have been
retained temporarily to maintain
the vertical dimension of
occlusion.
04/12/2014
28
Provisionalrestorationoptionsin
implantdentistryAustralianDentalJournal
2007;52:(3):234-242
04/12/2014
29
NaturalcrownvsimmediateimplantFARHAN
DURANNI,ijoicrjan-apr2014;5(1):34-37
04/12/2014
30
NaturalcrownvsimmediateimplantFARHAN
DURANNI,ijoicrjan-apr2014;5(1):34-37
04/12/2014
31
NaturalcrownvsimmediateimplantFARHAN
DURANNI,ijoicrjan-apr2014;5(1):34-37
04/12/2014
32
NaturalcrownvsimmediateimplantFARHAN
DURANNI,ijoicrjan-apr2014;5(1):34-37
04/12/2014
33
Provisionalrestorationoptionsinimplant
dentistryAustralianDentalJournal
2007;52:(3):234-242
 In extended partial edentulous areas where there
are no or limited natural abutments to support a
provisional restoration, one or more transitional
implants may be used.
 These transitional implants are loaded immediately
to support the provisional restoration
04/12/2014
34
Provisionalrestorationoptionsin
implantdentistryAustralianDentalJournal
2007;52:(3):234-242
 Immediate provisional implants were
placed and strategic teeth were maintained
to support long-term telescopic provisional
restoration. The 14-year-old patient
requested a long-term fixed provisional
restoration until the definitive implants are
placed.
04/12/2014
35
Provisionalrestorationoptionsin
implantdentistryAustralianDentalJournal
2007;52:(3):234-242
04/12/2014
36
Provisionalrestorationoptionsinimplant
dentistryAustralianDentalJournal
2007;52:(3):234-242
 Provisional restorations may be used at the time of
implant placement or after an appropriate healing
period.
04/12/2014
37
Provisionalrestorationoptionsin
implantdentistryAustralianDentalJournal
2007;52:(3):234-242
 The term “immediate restoration” is used when a
prosthesis is fixed to the implants within 48 hours
without achieving full occlusal contact with the opposing
dentition.
 whereas “immediate loading” is when the prosthesis is
fixed to the implants in occlusion within 48 hours.
04/12/2014
38
Provisionalrestorationoptionsin
implantdentistryAustralianDentalJournal
2007;52:(3):234-242
04/12/2014
39
Provisionalrestorationoptionsinimplant
dentistryAustralianDentalJournal
2007;52:(3):234-242
Patient’s existing complete mandibular
denture was modified to accommodate
temporary cylinders on the implants. A
duplicate of the denture was used as
radiographic and surgical guide for the
planning and surgical phase of the
treatment. The three dimensional
positions of the implants were
determined from the diagnostic wax up
and clinical and radiographic
examination.
Try in of the mandibular denture
over the temporary cylinders.
04/12/2014
40
Provisionalrestorationoptionsinimplant
dentistryAustralianDentalJournal
2007;52:(3):234-242
Self cure resin was used to attach
the denture and the temporary
cylinders. The denture flange was
then trimmed and the fitting surface
was adjusted to allow proper
hygiene.
The provisional hybrid was used
as verification jig over the master
cast. The soft tissue moulage
was removed to verify the fit of
the provisional on the subgingival
implant restorative margins
04/12/2014
41
Provisionalrestorationoptionsin
implantdentistryAustralianDentalJournal
2007;52:(3):234-242
The same provisional hybrid was
articulated with a bite
registration material, against the
previously articulated study cast
04/12/2014
42
Provisional restoration options in
implant dentistry Australian Dental Journal
2007;52:(3):234-242
04/12/2014
43
Provisionalrestorationoptionsinimplant
dentistryAustralianDentalJournal
2007;52:(3):234-242
A cement on, prefabricated
abutment was torqued to the
recommended value, six weeks
post-placement. The abutment Was
chosen to allow adequate space for
crown construction within the
available interocclusal space.
A denture tooth with appropriate
shade and shape was selected to
fit the edentulous space. The
acrylic tooth was then hollowed
out to fit over a practice implant
analog and abutment extra-orally.
04/12/2014
44
Provisionalrestorationoptionsin
implantdentistryAustralianDentalJournal
2007;52:(3):234-242
The denture tooth was relined intra-
orally using self cured acrylic resin
to capture the indexing component
of the abutment.
The relined denture tooth was
fitted over the practice implant
extra-orally. Note on the
deficiency from the implant
margin to the acrylic tooth due to
tissue impingement.
04/12/2014
45
Provisionalrestorationoptionsin
implantdentistryAustralianDentalJournal
2007;52:(3):234-242
The deficiency was filled in and the
excess material trimmed to the
appropriate emergence profile.
The provisional crown was
cemented with provisional
cement.
04/12/2014
46
Provisionalrestorationoptionsin
implantdentistryAustralianDentalJournal
2007;52:(3):234-242
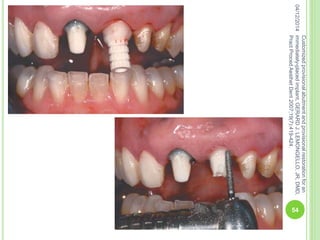
A temporary meso abutment,
one piece temporary abutment
fits directly into the implant body.
The abutment is made of PEEK
(Polyetheretherketone) plastic
and titanium inlay.
Unaltered temporary meso
abutment on the soft tissue
working cast. The abutment can
be prepared in the laboratory or
chair side with altered cement
margin and corrections of any
angulation problems.
04/12/2014
47
Provisionalrestorationoptionsin
implantdentistryAustralianDentalJournal
2007;52:(3):234-242
04/12/2014
48
Provisionalrestorationoptionsinimplant
dentistryAustralianDentalJournal
2007;52:(3):234-242
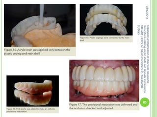
A screw retained provisional
crown was made at chairside
from the patient’s existing
partial denture, attached to the
temporary cylinder using
additional self cure resin. The
excess temporary cylinder is
reduced to follow the palatal
contour of the existing partial
denture and patient’s occlusion.
Facial view of screw retained
provisional restoration on tooth 11
site. The provisional restoration
was hand tightened.
04/12/2014
49
Provisionalrestorationoptionsin
implantdentistryAustralianDentalJournal
2007;52:(3):234-242
04/12/2014
50

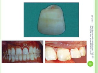
Preoperative appearance
of patient demonstrated
short clinical crowns and
a discolored, uneven
appearance of the
dentition.
04/12/2014
51
Customizedprovisionalabutmentandprovisionalrestorationfor
animmediately-placedimplant,GERARDJ.LEMONGELLO,
JR,DMD,PractProcedAesthetDent2007;19(7):419-424.
04/12/2014
52
Customizedprovisionalabutmentandprovisionalrestorationforan
immediately-placedimplant,GERARDJ.LEMONGELLO,JR,DMD,
PractProcedAesthetDent2007;19(7):419-424.
04/12/2014
53
Customizedprovisionalabutmentandprovisionalrestorationforan
immediately-placedimplant,GERARDJ.LEMONGELLO,JR,DMD,
PractProcedAesthetDent2007;19(7):419-424.
04/12/2014
54
Customizedprovisionalabutmentandprovisionalrestorationforan
immediately-placedimplant,GERARDJ.LEMONGELLO,JR,DMD,
PractProcedAesthetDent2007;19(7):419-424.
04/12/2014
55
Customizedprovisionalabutmentandprovisionalrestorationforan
immediately-placedimplant,GERARDJ.LEMONGELLO,JR,DMD,
PractProcedAesthetDent2007;19(7):419-424.
04/12/2014
56
Customizedprovisionalabutmentandprovisionalrestorationforan
immediately-placedimplant,GERARDJ.LEMONGELLO,JR,DMD,
PractProcedAesthetDent2007;19(7):419-424.
04/12/2014
57
Applicationandfabricationofchairsideprovisionalrestorations
utilizingacrylicshellsandalginateimpressions,STUARTJFROUM,
SANGCHOONCHO,TAKANORISUZUKI
04/12/2014
58
Applicationandfabricationofchairsideprovisionalrestorations
utilizingacrylicshellsandalginateimpressions,STUARTJFROUM,
SANGCHOONCHO,TAKANORISUZUKI
04/12/2014
59
Applicationandfabricationofchairsideprovisionalrestorations
utilizingacrylicshellsandalginateimpressions,STUARTJFROUM,
SANGCHOONCHO,TAKANORISUZUKI
04/12/2014
60
Applicationandfabricationofchairsideprovisionalrestorationsutilizing
acrylicshellsandalginateimpressions,STUARTJFROUM,SANG
CHOONCHO,TAKANORISUZUKI
04/12/2014
61
Applicationandfabricationofchairsideprovisionalrestorationsutilizing
acrylicshellsandalginateimpressions,STUARTJFROUM,SANG
CHOONCHO,TAKANORISUZUKI
04/12/2014
62
Applicationandfabricationofchairsideprovisionalrestorations
utilizingacrylicshellsandalginateimpressions,STUARTJ
FROUM,SANGCHOONCHO,TAKANORISUZUKI
04/12/2014
63
Applicationandfabricationofchairsideprovisional
restorationsutilizingacrylicshellsandalginateimpressions,
STUARTJFROUM,SANGCHOONCHO,TAKANORI
SUZUKI
04/12/2014
64
Applicationandfabricationofchairsideprovisionalrestorationsutilizing
acrylicshellsandalginateimpressions,STUARTJFROUM,SANG
CHOONCHO,TAKANORISUZUKI
04/12/2014
65
DIGITAL DESIGN STRATEGY
04/12/2014
66
Rapidmanufacturingofdentalprosthesesbymeansofselective
lasersintering/melting,J.-P.KRUTH1,B.VANDENBROUCKE,J.
VANVAERENBERGH1,I.NAERT
04/12/2014Immediatelyloadedfull-archprovisionalimplantrestorationsusing
CAD/CAMandguidedplacement:maxillaryandmandibularcasereportsS.
R.ALLUM,Britishdentaljournalvolume204no.7apr122008
67
04/12/2014
Immediatelyloadedfull-archprovisionalimplantrestorationsusing
CAD/CAMandguidedplacement:maxillaryandmandibularcase
reportsS.R.ALLUM,Britishdentaljournalvolume204no.7apr12
2008
68
04/12/2014
Immediatelyloadedfull-archprovisionalimplantrestorationsusing
CAD/CAMandguidedplacement:maxillaryandmandibularcasereports
S.R.ALLUM,Britishdentaljournalvolume204no.7apr122008
69
04/12/2014
Immediatelyloadedfull-archprovisionalimplantrestorationsusingCAD/CAM
andguidedplacement:maxillaryandmandibularcasereportsS.R.ALLUM,
Britishdentaljournalvolume204no.7apr122008
70
Long guide screws have been fitted on
the two central implants and the
temporary bridge seated intra-orally on
its prosthetic carrier. The proper
positioning of the guide screws
(centrally through the bridge abutment
openings) confirms that both the
surgical and prosthetic stages have
been accurately executed.
The four temporary cylinders have been
tacked into position in the mouth. The
bridge has been removed for final chair
side acrylic additions and finishing.
04/12/2014Immediatelyloadedfull-archprovisionalimplantrestorationsusingCAD/CAM
andguidedplacement:maxillaryandmandibularcasereportsS.R.ALLUM,
Britishdentaljournalvolume204no.7apr122008
71
Final view on completion
04/12/2014
72
 Provisional restoration options in implant dentistry
Australian Dental Journal 2007;52:(3):234-242
 Fixed and Removable Provisional Options for
Patients undergoing Implant Treatment
Compendium November 2007;28(11):604-609
 Immediately loaded full-arch provisional implant
restorations using CAD/CAM and guided
placement: maxillary and mandibular case reports
S. R. ALLUM, British dental journal volume 204 no.
7 apr 12 2008
04/12/2014
73
 Customized provisional abutment and provisional
restoration for an immediately-placed implant,
GERARD J. LEMONGELLO, JR, DMD, Pract
Proced Aesthet Dent 2007;19(7):419-424.
 Provisional Restoration for an Osseointegrated
Single Maxillary Anterior Implant, ROBERT DAVID,
DDS, JCDA September 2008, Vol. 74, No. 7.
 ESSIX Appliances the Fabrication of a Temporary
Bridge to Replace Missing Anterior Teeth ELLIOTT
M. MOSKOWITZ, JOHN J. SHERIDAN, KRUNO
TOVILO. Virtual Journal of Orthodontics
04/12/2014
74
 Application and fabrication of chair side provisional
restorations utilizing acrylic shells and alginate
impressions, STUART J FROUM, SANG CHOON
CHO, TAKANORI SUZUKI.
 Natural crown vs immediate implant FARHAN
DURANNI, ijoicr jan-apr 2014;5(1):34-37.
 Rapid manufacturing of dental prostheses by
means of selective laser sintering/melting, J.-P.
KRUTH1, B. VANDENBROUCKE, J. VAN
VAERENBERGH1, I. NAERT.
04/12/2014
75
04/12/2014
76

Provisional restorative options in implant