Principles of Tooth Preparation
Biological Considerations
I. Preservation of Tooth Structure
1- Use of partial coverage rather than full coverage restorations
2- Preparation of tooth with minimal practical convergence angle
(Taper) between axial walls
3. Preparation of occlusal surface following the anatomical
contour to give uniform reduction
4. Reduction of axial walls with maximal thickness of remaining
dentin surrounded the pulp
5. Selection of marginal geometry which is conservative and
compatible with other principles
6. Avoidance of unnecessary apical extension of the preparation
Reduce
Retention

Reduce
Resistance

Over reduction

Increase
Hypersensitivity

Pulp
inflammation and
necrosis

Tooth fracture
On of the most common violation of
this principle is seen in discriminate use
of full porcelain coverage in a situation
when partial veneer coverage can be
used
Also you should be careful about;
1- Adjacent tooth
- by using matrix band of the adjacent tooth
- cutting in the enamel of prepared tooth with
fine tapered stone
2- Soft tissues
- by using mirror or the flange of saliva ejector
3- Pulp
Causes of Pulp Injury;

1- Thermal
2- Chemicals
3- Bacterial
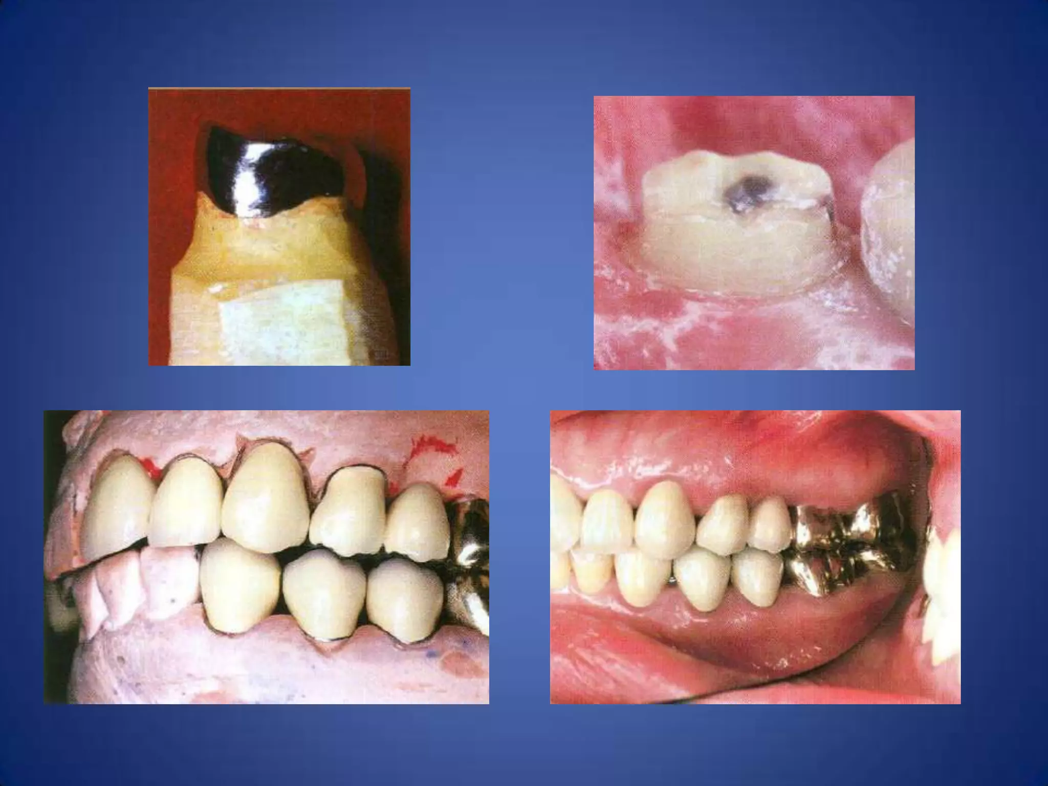
Avoidance of over contour
• Gingival inflammation is commonly associated with crowns and
FPD abutments having excessive axial contours, probably because it
is more difficult for the patient to maintain plaque control around
the gingival margin. A tooth preparation must provide sufficient
space for the development of good axial contours.
• Under most circumstances a crown should duplicate the contours
and profile of the original tooth (unless the restoration is needed to
correct a malformed or malpositioned tooth). If an error is made, a
slightly under contoured flat restoration is better because it is
easier to keep free of plaque; however, increasing proximal contour
on anterior crowns to maintain the interproximal papilla may be
beneficial.
• Sufficient tooth structure must be removed to allow the
development of correctly formed axial contours, particularly in the
interproximal and furcation areas of posterior teeth, where
periodontal disease often begins
Margin placement
Whenever possible, the margin of preparation
should be supragingivally, where the supragingival
margin is prepared on sound enamel, while the
subgingival margin is often prepared on cementum
advantages:
1- Easier to prepare accurately without trauma to
soft tissue.
2- Prepared on hard enamel.
3- Easy to finished.
4- More easily to kept clean.
5- Impression are more easily made.
6- Restoration can be easily to evaluated at recall
appointment.
Indications of subgingival finish line
1- Dental caries, cervical erosion, restoration extend
subgingivally.
2- Proximal contact area extend near gingival crest.
3- Short tooth and additional retention is required.
4- The margin of metal-ceramic restoration is to be
hidden subgingivally.
5- Root sensitivity cannot be controlled by
conservative procedures.
Marginal Geometry
Ideal requirements of finish lines:
1.

They must fit closely to the finish line of the
preparation.

2.

They must have sufficient strength to
withstand the force of mastication.

3. Whenever possible, finish line should be
located in areas where the dentist can finish
and inspect them, and the patient can clean
them
Types of finish line
Featheredge

Chisel

Chamfer

Bevel

Shoulder

Sloped
Shoulder

Beveled
Shoulder
√

X
Occlusal Considerations
Preventing of tooth fracture
Mechanical Considerations
Principles
1- Providing Retention form
2- Providing Resistance form
3- Preventing deformation of
restoration (structure durability)
Retention & Resistance
What is the Retention?
The ability of the preparation to prevent
removal of the restoration along the path of
insertion.
What is the Resistance?
The ability of the preparation to prevent
dislodgment of restoration by force directed
in an along apical oblique and horizontal.
Tensile stress

Shearcompression

Shear stress

compression
I. Retention Form

Factors affecting retention:
1- Taper.
2- Total surface area
3- Roughness of tooth structure.
4- Film thickness
5- Type of luting agent
Taper
The more nearly parallel the opposing walls of preparation
the greatest will be the retention.

The optimum degree of taper is 2.5 to 6.5
degrees
The recommended degrees of taper are: 3 : 5,
6, 10 : 14
the degree of taper
stress in the
cement interface between the preparation
and restoration
the degree of taper
retention
Average degree of tooth preparation taper
Surface area
The greatest the surface area of preparation,
the greatest the retention of restoration.
Grooves
surface area

Boxes
The longer the occluso-gingival
height, the more surface area.

The more diameter of prepared
teeth, the more surface area.
Surface roughness
The prepared teeth should not be highly
polished.
Microscopic roughness, increase the retention
Film Thickness
there is a doubt (no certain data)

Type of luting agent
1- Resin cement
2- Glass ionomer cement
3- Polycarboxylate cement
4- Zinc phosphate cement
5- Zinc oxide eugenol cement
II. Resistance form
Mastication and parafunctional activity may
subject a prosthesis to substantial horizontal ,
oblique or apical forces. These forces are normally
much greater than the ones overcome by retention
Factors affecting resistance to displacement:
1. Magnitude and direction of the dislodging forces
2. Geometry of the tooth preparation
3. Physical properties of the luting agent
Magnitude and direction of the dislodging forces
In a normal occlusion, biting force is distributed
over all the teeth; most of it is axially directed. If a
fixed prosthesis is carefully made with a properly
designed occlusion, the load should be well
distributed and favorably directed . However, if a
patient has a biting habit such as pipe smoking or
bruxing, it may be difficult to prevent fairly large
oblique forces from being applied to a restoration
Geometry of the tooth preparation
What is the definition of Tipping Path?
It is the path along which the
restoration, could be displaced
under the displacing occlusal
force
The more convergence

more displacement
Short occlusogingival height

more displacement
The presence of the grooves

less displacement
Path of insertion
Definition
That direction through which the restoration
could be precisely seated on the corresponding
tooth or teeth

Parallel to the long axis of the tooth

Parallel to the incisal 2/3 of the tooth
Exception;
Tipped tooth

Should parallel to occlusal plane
III. Preventing deformation
(Structural Durability)
1. Occlusal reduction
2. Axial reduction
Functional Cusp Bevel

Palatal

Buccal
Axial Reduction

Proper axial reduction

Thin restoration

Insufficient axial
reduction

Over contour
Esthetic Considerations
1.All Ceramic Restorations
2.Metal Ceramic Restorations
3.Partial Coverage Restorations

Principles of tooth preparation fixed orthodontic

  • 1.
  • 3.
  • 4.
    I. Preservation ofTooth Structure 1- Use of partial coverage rather than full coverage restorations
  • 5.
    2- Preparation oftooth with minimal practical convergence angle (Taper) between axial walls
  • 6.
    3. Preparation ofocclusal surface following the anatomical contour to give uniform reduction
  • 7.
    4. Reduction ofaxial walls with maximal thickness of remaining dentin surrounded the pulp
  • 8.
    5. Selection ofmarginal geometry which is conservative and compatible with other principles
  • 9.
    6. Avoidance ofunnecessary apical extension of the preparation
  • 10.
  • 11.
    On of themost common violation of this principle is seen in discriminate use of full porcelain coverage in a situation when partial veneer coverage can be used
  • 12.
    Also you shouldbe careful about; 1- Adjacent tooth - by using matrix band of the adjacent tooth - cutting in the enamel of prepared tooth with fine tapered stone 2- Soft tissues - by using mirror or the flange of saliva ejector
  • 13.
  • 14.
    Causes of PulpInjury; 1- Thermal 2- Chemicals 3- Bacterial
  • 15.
    Avoidance of overcontour • Gingival inflammation is commonly associated with crowns and FPD abutments having excessive axial contours, probably because it is more difficult for the patient to maintain plaque control around the gingival margin. A tooth preparation must provide sufficient space for the development of good axial contours. • Under most circumstances a crown should duplicate the contours and profile of the original tooth (unless the restoration is needed to correct a malformed or malpositioned tooth). If an error is made, a slightly under contoured flat restoration is better because it is easier to keep free of plaque; however, increasing proximal contour on anterior crowns to maintain the interproximal papilla may be beneficial. • Sufficient tooth structure must be removed to allow the development of correctly formed axial contours, particularly in the interproximal and furcation areas of posterior teeth, where periodontal disease often begins
  • 17.
    Margin placement Whenever possible,the margin of preparation should be supragingivally, where the supragingival margin is prepared on sound enamel, while the subgingival margin is often prepared on cementum advantages: 1- Easier to prepare accurately without trauma to soft tissue. 2- Prepared on hard enamel. 3- Easy to finished. 4- More easily to kept clean. 5- Impression are more easily made. 6- Restoration can be easily to evaluated at recall appointment.
  • 18.
    Indications of subgingivalfinish line 1- Dental caries, cervical erosion, restoration extend subgingivally. 2- Proximal contact area extend near gingival crest. 3- Short tooth and additional retention is required. 4- The margin of metal-ceramic restoration is to be hidden subgingivally. 5- Root sensitivity cannot be controlled by conservative procedures.
  • 21.
    Marginal Geometry Ideal requirementsof finish lines: 1. They must fit closely to the finish line of the preparation. 2. They must have sufficient strength to withstand the force of mastication. 3. Whenever possible, finish line should be located in areas where the dentist can finish and inspect them, and the patient can clean them
  • 22.
  • 23.
  • 24.
  • 25.
  • 26.
  • 27.
  • 28.
    Principles 1- Providing Retentionform 2- Providing Resistance form 3- Preventing deformation of restoration (structure durability)
  • 29.
    Retention & Resistance Whatis the Retention? The ability of the preparation to prevent removal of the restoration along the path of insertion. What is the Resistance? The ability of the preparation to prevent dislodgment of restoration by force directed in an along apical oblique and horizontal.
  • 30.
  • 31.
    I. Retention Form Factorsaffecting retention: 1- Taper. 2- Total surface area 3- Roughness of tooth structure. 4- Film thickness 5- Type of luting agent
  • 32.
    Taper The more nearlyparallel the opposing walls of preparation the greatest will be the retention. The optimum degree of taper is 2.5 to 6.5 degrees The recommended degrees of taper are: 3 : 5, 6, 10 : 14 the degree of taper stress in the cement interface between the preparation and restoration the degree of taper retention
  • 35.
    Average degree oftooth preparation taper
  • 36.
    Surface area The greatestthe surface area of preparation, the greatest the retention of restoration. Grooves surface area Boxes
  • 39.
    The longer theoccluso-gingival height, the more surface area. The more diameter of prepared teeth, the more surface area.
  • 40.
    Surface roughness The preparedteeth should not be highly polished. Microscopic roughness, increase the retention
  • 41.
    Film Thickness there isa doubt (no certain data) Type of luting agent 1- Resin cement 2- Glass ionomer cement 3- Polycarboxylate cement 4- Zinc phosphate cement 5- Zinc oxide eugenol cement
  • 42.
    II. Resistance form Masticationand parafunctional activity may subject a prosthesis to substantial horizontal , oblique or apical forces. These forces are normally much greater than the ones overcome by retention Factors affecting resistance to displacement: 1. Magnitude and direction of the dislodging forces 2. Geometry of the tooth preparation 3. Physical properties of the luting agent
  • 43.
    Magnitude and directionof the dislodging forces In a normal occlusion, biting force is distributed over all the teeth; most of it is axially directed. If a fixed prosthesis is carefully made with a properly designed occlusion, the load should be well distributed and favorably directed . However, if a patient has a biting habit such as pipe smoking or bruxing, it may be difficult to prevent fairly large oblique forces from being applied to a restoration
  • 44.
    Geometry of thetooth preparation What is the definition of Tipping Path? It is the path along which the restoration, could be displaced under the displacing occlusal force
  • 45.
  • 47.
  • 48.
    The presence ofthe grooves less displacement
  • 49.
    Path of insertion Definition Thatdirection through which the restoration could be precisely seated on the corresponding tooth or teeth Parallel to the long axis of the tooth Parallel to the incisal 2/3 of the tooth
  • 50.
  • 53.
    III. Preventing deformation (StructuralDurability) 1. Occlusal reduction 2. Axial reduction
  • 55.
  • 57.
    Axial Reduction Proper axialreduction Thin restoration Insufficient axial reduction Over contour
  • 58.
  • 59.
    1.All Ceramic Restorations 2.MetalCeramic Restorations 3.Partial Coverage Restorations