Clinical clues in Medicine
WD – 14 / 15
What is the physical sign?
A 54 year old lady with
longstanding Diabetes
mellitus admitted with
shortness of breath
and nephrotic range
proteinurea.
 Beau's lines
 Non-pigmented, depressed transverse bands
 Fever, cachexia, malnutrition,Leuconychia (white nails)
Muehrcke's lines
Transverse opaque white bands
Hypoalbuminaemia
also caused by chemotherapy or severe illness
Mees' lines
Single transverse white band
Arsenic poisoning, renal failure
also caused by chemotherapy or severe illness
A nineteen year old girl with severe headache found to have blood pressure of 210/110 mmHg.
What is the physical sign observe and most probable underlying diagnosis?
 Plexiform neurofibroma of neurofibromatosis type 1
(NF1)
 Causes of hypertension in Neurofibromatosis?
Where else Plexiform neurofibromas can occur?
Sixty four year old lady with deformed hands.
What are the physical signs ?
Differential diagnosis?
What is the most probable diagnosis?
What is the physical sign you observe here?
What are the associations?
 Pes planus (flat feet or fallen arches either
have no arch, or it is very low)
 Associations
 Causes for Pes cavus?
Exact diagnosis?
Diagnosis:
Bilateral Segmental Neurofibromatosis.
Segmental neurofibromatosis (NF)
 A rare disorder that is characterized by neurofibromas,
with or without pigmentary changes
 localized most often to one region of the body
 a single unilateral segment of the body
 No crossing of the median line
 No family history
 No systemic involvement.
 subdivided the SNFs into four subtypes: True segmental,
localized with deep involvement, hereditary, and
bilateral.
Spot diagnosis?
Teenage girl with Diabetes and visual impairment?
 Laurence-Moon-Biedl syndrome
 Cilliopathic human genetic disorder
 Characterized principally by obesity, Retinitis pigmentosa,
polydactyly, hypogonadism and renal failure in some cases.
 Mental retardation has been considered a principal
symptom but is now not regarded as such
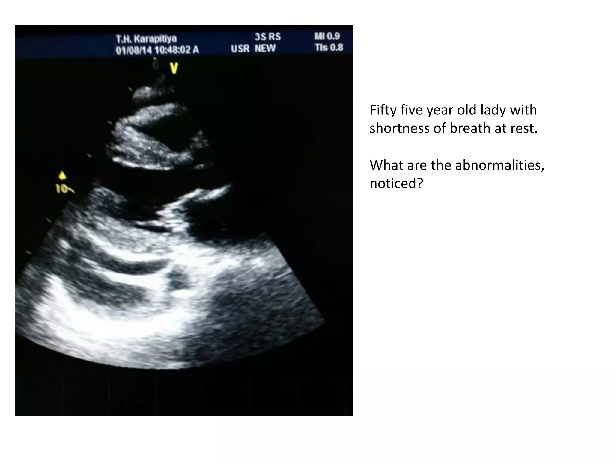
Fifty five year old lady with
shortness of breath at rest.
What are the abnormalities,
noticed?
55 year old patient with fever and facial rash for 5days with neutrophil leucocytosis.
erythematous indurated plaques
DD:
 Sweet’s syndrome or acute febrile neutrophilic
dermatosis.( associations leukemia, RA, IBD,
Behcet’s syndrome)
 Lupus vulgaris
 Lepromatous leprosy
Presentation1
Presentation1
Presentation1
Presentation1
Presentation1
Presentation1

Presentation1

  • 1.
    Clinical clues inMedicine WD – 14 / 15
  • 2.
    What is thephysical sign? A 54 year old lady with longstanding Diabetes mellitus admitted with shortness of breath and nephrotic range proteinurea.
  • 3.
     Beau's lines Non-pigmented, depressed transverse bands  Fever, cachexia, malnutrition,Leuconychia (white nails)
  • 4.
    Muehrcke's lines Transverse opaquewhite bands Hypoalbuminaemia also caused by chemotherapy or severe illness
  • 5.
    Mees' lines Single transversewhite band Arsenic poisoning, renal failure also caused by chemotherapy or severe illness
  • 6.
    A nineteen yearold girl with severe headache found to have blood pressure of 210/110 mmHg. What is the physical sign observe and most probable underlying diagnosis?
  • 7.
     Plexiform neurofibromaof neurofibromatosis type 1 (NF1)
  • 8.
     Causes ofhypertension in Neurofibromatosis?
  • 9.
    Where else Plexiformneurofibromas can occur?
  • 10.
    Sixty four yearold lady with deformed hands. What are the physical signs ? Differential diagnosis? What is the most probable diagnosis?
  • 12.
    What is thephysical sign you observe here? What are the associations?
  • 13.
     Pes planus(flat feet or fallen arches either have no arch, or it is very low)  Associations  Causes for Pes cavus?
  • 14.
  • 15.
  • 16.
    Segmental neurofibromatosis (NF) A rare disorder that is characterized by neurofibromas, with or without pigmentary changes  localized most often to one region of the body  a single unilateral segment of the body  No crossing of the median line  No family history  No systemic involvement.  subdivided the SNFs into four subtypes: True segmental, localized with deep involvement, hereditary, and bilateral.
  • 17.
  • 20.
    Teenage girl withDiabetes and visual impairment?
  • 21.
     Laurence-Moon-Biedl syndrome Cilliopathic human genetic disorder  Characterized principally by obesity, Retinitis pigmentosa, polydactyly, hypogonadism and renal failure in some cases.  Mental retardation has been considered a principal symptom but is now not regarded as such
  • 22.
    Fifty five yearold lady with shortness of breath at rest. What are the abnormalities, noticed?
  • 24.
    55 year oldpatient with fever and facial rash for 5days with neutrophil leucocytosis.
  • 25.
    erythematous indurated plaques DD: Sweet’s syndrome or acute febrile neutrophilic dermatosis.( associations leukemia, RA, IBD, Behcet’s syndrome)  Lupus vulgaris  Lepromatous leprosy

Editor's Notes

  • #11 Is it symmetrical or not?