PneumoniaPneumonia
Is an inflammation of the lung parenchyma that
is caused by a microbial agent.
• Pneumonia is a more general term that
describes an inflammation process in the
lung tissue.
• Bacteria commonly enter the lower airway
but do not cause pneumonia in the presence
of an intact host defense mechanism.
Causative organismsCausative organisms
• Bacteria
• Mycobacteria
• Chlamydiae
• Mycoplasma
• Fungi
• Parasites
• Viruses
ClassificationsClassifications
• Community-acquired pneumonia
• Hospital-acquired pneumonia
• Pneumonia in the immuno-compromised host
• Aspiration pneumonia
Community acquired pneumonia
CAP
 Occur in community within 48 hr. of hosp. or
institutionalization.
• Causative agent is S. pneumonia, H. influienza.
• S.pneumonia is the most common CAP in people older than
60. Most common during winter & spring. Its gram +ve
capsulated non motile that resides in URT. It may occur as
lobar or bronchopneumonia.
Community acquired pneumonia
CAP
Mycoplasma pneumonia: most often in older children &
young adult, spread by infected respiratory droplets
through person to person contact. Occur as
bronchopneumonia.
H.influinza: affects elderly or those with comorbid illness
as COPD. X-ray multi lobar, bronchopneumonia, or areas
of “consolidation” tissue that solidifies as a result of
collapsed alveoli or pneumonia.
Community acquired pneumonia
CAP
 Viruses: viral pneumonia in immmunocompetent children areViruses: viral pneumonia in immmunocompetent children are
influenza viruses type A, B, adenovirus, parainfluinza virus,influenza viruses type A, B, adenovirus, parainfluinza virus,
varicella zoster.varicella zoster.
 Immunocompremized adult, cytomegalovirus, herpes simplex,Immunocompremized adult, cytomegalovirus, herpes simplex,
adenovirus, RSV.adenovirus, RSV.
 Acute stage of viral respiratory infection occurs withinAcute stage of viral respiratory infection occurs within
ciliated cell of the airways.ciliated cell of the airways.
 Infiltration of tracheabroncheal tree with pneumonia.Infiltration of tracheabroncheal tree with pneumonia.
 The inflammatory process extends to alveolar areaThe inflammatory process extends to alveolar area
Hospital acquired pneumonia
 Knows as nosocomial is defining as the onset of pneumonia
symptoms more than 48 hr.s after admission to hospital.
 Its accounts for approximately 15% of hospital acquired
infections.
 The common organisms include: Enterobacter species,
Klebsiella apecies, P.aeruginosa, Protus, methicillin resistant
S.aureus (MRSA).
Hospital acquired pneumonia
Certain illness may predispose pt HAP because
of:
• Impaired defenses or chronic illness; Coma,
malnutrition, prolong, hospitalization.
• Numerous intervention as endotracheal intubation,
NGT.
• Immunocompromised pt, gram –ve bacilli,
staphylococcal pneumonia responsible for more
than 30% of cases of HAP. Its mortality is high,
resistant to all antimicrobial except vancomycin.
These strains of s.aureus are refered to as MRSA.
Hospital acquired pneumonia
• Because methicillin resistant S. aureus (MRSA is highly
virulent, steps must be taken to prevent spread . pt must be
isolated with contact precautions.
 HAP is presented with pulmonary infiltration on chest x-ray
combined with evidence of infection as fever, purulent
sputum & leukocytosis.
 Pneumonia from klebseilla or gram–ve, e.g (E.coli,) are
characterized by destruction of lung structure & alveolar
walls, consodilation & bacteremia
Clinical manifestationsClinical manifestations
• A sudden onset of cough
• Blood-tinged sputum may be present.
• In the debilitated or dehydrated patient, sputum production
may be minimal or absent
• Pleural effusions
• High fever
• tachycardia
• Even with treatment, the mortality rate remains high.
Pneumonia in the compromisedPneumonia in the compromised
hosthost
• May be caused by the organisms
• (S. pneumoniae, S. aureus, H. influenzae, P. aeruginosa, M.
tuberculosis).
Clinical presentation:
1. Dyspnea
2. Fever
3. Nonproductive cough.
Immuno-compromised statesImmuno-compromised states
• Pt. use corticosteroids or other
immunosuppressive agents
• Chemotherapy
• Nutritional depletion
• Use of broad-spectrum antimicrobial agents
• AIDS
• Genetic immune disorders
• Long-term advanced life-support technology
(mechanical ventilation).
Aspiration pneumoniaAspiration pneumonia
• Refers to the pulmonary consequences resulting
from the entry of endogenous or exogenous
substances into the lower airway.
• The most common form of aspiration pneumonia is
bacterial infection from aspiration of bacteria that
normally reside in the upper airways
Setting of Aspiration pneumoniaSetting of Aspiration pneumonia
• May occur in the community or hospital;
common pathogens are S. pneumoniae, H. influenzae, and S.
aureus.
Other substances may be aspirated into the lung, such as;
1. Gastric contents
2. Exogenous chemical contents
3. Irritating gases.
This type of aspiration or ingestion may impair the lung
defenses, cause inflammatory changes, and lead to bacterial
growth and a resulting pneumonia.
• Distribution of lung
involvement in bronchial and
lobar pneumonia.
• In bronchopneumonia (left),
patchy areas of consolidation
occur.
• In lobar pneumonia (right), an
entire lobe is consolidated
Pathophysiology
• Upper airway characteristics normally prevent potentially infectious
particles from reaching the normally sterile lower respiratory tract.
• Thus, patients with pneumonia caused by infectious agents often have an
acute or chronic underlying disease that impairs host defenses.
• Pneumonia arises from normally present flora in a patient whose
resistance has been altered, or it results from aspiration of flora present in
the oropharynx.
• It may also result from blood borne organisms that enter the pulmonary
circulation and are trapped in the pulmonary capillary bed, becoming a
potential source of pneumonia.
Pathophysiology
• Pneumonia often affects both ventilation and diffusion.
• An inflammatory reaction can occur in the alveoli, producing
an exudate that interferes with the diffusion of oxygen and
carbon dioxide.
• White blood cells, mostly neutrophils, also migrate into the
alveoli and fill the normally air-containing spaces.
• Areas of the lung are not adequately ventilated because of
secretions and mucosal edema that cause partial occlusion of
the bronchi or alveoli, with a resultant decrease in alveolar
oxygen tension.
Pathophysiology
• Broncho spasm may also occur in patients with reactive
airway disease. Because of hypoventilation, a ventilation–
perfusion mismatch occurs in the affected area of the lung.
• Venous blood entering the pulmonary circulation passes
through the under ventilated area and exits to the left side of
the heart poorly oxygenated.
• The mixing of oxygenated and unoxygenated or poorly
oxygenated blood eventually results in arterial hypoxemia.
Pathophysiology
• If a substantial portion of one or more lobes is involved, the
disease is referred to as “lobar pneumonia.”
• The term “bronchopneumonia” is used to describe pneumonia
that is distributed in a patchy fashion, having originated in
one or more localized areas within the bronchi and extending
to the adjacent surrounding lung parenchyma
• Bronchopneumonia is more common than lobar pneumonia
Risk FactorRisk Factor
• Conditions that produce mucus or bronchial obstruction and
interfere with normal lung drainage (eg, cancer, cigarette
smoking, COPD)
• Immuno suppressed patients and those with a low neutrophil
count (neutropenic)
• Smoking; cigarette smoke disrupts both mucociliary and
macrophage activity
• Prolonged immobility and shallow breathing pattern
Risk FactorRisk Factor
• Depressed cough reflex;
1. Due to medications
2. A debilitated state
3. Weak respiratory muscles
• Aspiration of foreign material into the lungs during a period of
unconsciousness;
1. head injury
2. Anesthesia
3. depressed level of consciousness
• Abnormal swallowing mechanism
• Nothing-by-mouth (NPO) status; placement of nasogastric, orogastric,
or endotracheal tube
• Antibiotic therapy (in very ill people, the oropharynx is likely to
be colonized by gram-negative bacteria)
• Alcohol intoxication (because alcohol suppresses the body’s
reflexes, may be associated with aspiration, and decreases white
cell mobilization and tracheobronchial ciliary motion)
• General anesthetic, sedative, or opioid
• Advanced age, because of possible depressed cough and glottic
reflexes and nutritional depletion
• Respiratory therapy with improperly cleaned equipment
Preventive MeasurePreventive Measure
• Promote coughing and expectoration of secretions.
• Encourage smoking cessation.
• Initiate special precautions against infection.
• Reposition frequently and promote lung expansion exercises
• Initiate suctioning and chest physical therapy if indicated.
Preventive MeasurePreventive Measure
• Promote frequent oral hygiene.
• Minimize risk for aspiration by checking placement of tube
and proper positioning of patient.
• Encourage reduced or moderate alcohol intake (in case of
alcohol stupor, position patient to prevent aspiration).
• Observe the respiratory rate and depth during recovery from
general anesthesia and before giving medications.
• If respiratory depression is apparent, with hold the medication
and contact the physician.
3 specific strategies for preventing
HAP
• Staff education & infection surveillance.
• Interruption of transmission of microorganisms
• Modification of host risk of infection.
Vaccination against pneumococcal infection is advised for:
People over 65 years.
Immunocompetent people.
People with functional & anatomic asplenia.
People living in environments or social setting in which
risk of disease is high.
Clinical Manifestations
• Sudden onset of shaking chills, rapidly
rising fever, pleuritic chest pain by deep
breathing and coughing.
• Respiratory distress (shortness of breath,
use of accessory muscles in respiration)
• Increase pulse and tachypnea
• URTIURTI
• In sever pneumonia, flushed cheeks, lipsIn sever pneumonia, flushed cheeks, lips
and nail beds- central cyanosis.and nail beds- central cyanosis.
• Orthopnea.Orthopnea.
• Poor appetitePoor appetite
• Purulent SputumPurulent Sputum
DX finding & assessment
1. History, physical examination.
2. Chest x-ray
3. Blood culture (bacteremia)
4. Sputum examination.
5. Bronchoscopy is often used with pt. with acute sever
infection or immuno-compromized pt.
Obtaining sputum sampleObtaining sputum sample
(1) Rinse the pt.s mouth with water to
minimize contamination by normal oral
flora
(2) Breathe deeply several times
(3) Cough deeply
(4) Expectorate the raised sputum into a sterile
container.
Medical Management
• Administration of appropriate antibiotic as result of gram
stain.
• Rx for out pt with CAP who has no cardiopulmonary disease
(CPD), includes, erythromycin
• If pt have CPD, high dose amoxicillin or augmentim.
• (HAP), or nosocomial pneumonia, empirical treatment- broad
spectrum IV antibiotics.
Medical Management
 Treatment for viral pneumonia is supportive, antibiotics used
with viral infection when secondary bacterial pneumonia,
bronchitis or sinusitis are presented.
 Antipyretic, to treat headache, fever
 Antitussive, cough.
 Warm moist inhalation, to relieve bronchial irritation
 Anti histamine, to reduce sneezing & rhinorrhea.
Medical Management
 If hypoxemia, O2 supply, blood gases, pulse
oximetry. High o2 is contraindicated in
COPD. Because may worsen alveolar
ventilation by decreasing pt. ventilatory
drive.
 Respiratory support measure include, high
O2 concentration, endotracheal intubation,
mechanical ventilation.
 To prevent serious complication in elderly,
vaccination against pneumococcal &
influenza infection is recommended.
Complications
Shock
Respiratory failure.
Atelectasis
Pleural effusion
Super infection.

Pneumonia

  • 1.
  • 2.
    Is an inflammationof the lung parenchyma that is caused by a microbial agent. • Pneumonia is a more general term that describes an inflammation process in the lung tissue. • Bacteria commonly enter the lower airway but do not cause pneumonia in the presence of an intact host defense mechanism.
  • 3.
    Causative organismsCausative organisms •Bacteria • Mycobacteria • Chlamydiae • Mycoplasma • Fungi • Parasites • Viruses
  • 4.
    ClassificationsClassifications • Community-acquired pneumonia •Hospital-acquired pneumonia • Pneumonia in the immuno-compromised host • Aspiration pneumonia
  • 5.
    Community acquired pneumonia CAP Occur in community within 48 hr. of hosp. or institutionalization. • Causative agent is S. pneumonia, H. influienza. • S.pneumonia is the most common CAP in people older than 60. Most common during winter & spring. Its gram +ve capsulated non motile that resides in URT. It may occur as lobar or bronchopneumonia.
  • 6.
    Community acquired pneumonia CAP Mycoplasmapneumonia: most often in older children & young adult, spread by infected respiratory droplets through person to person contact. Occur as bronchopneumonia. H.influinza: affects elderly or those with comorbid illness as COPD. X-ray multi lobar, bronchopneumonia, or areas of “consolidation” tissue that solidifies as a result of collapsed alveoli or pneumonia.
  • 8.
    Community acquired pneumonia CAP Viruses: viral pneumonia in immmunocompetent children areViruses: viral pneumonia in immmunocompetent children are influenza viruses type A, B, adenovirus, parainfluinza virus,influenza viruses type A, B, adenovirus, parainfluinza virus, varicella zoster.varicella zoster.  Immunocompremized adult, cytomegalovirus, herpes simplex,Immunocompremized adult, cytomegalovirus, herpes simplex, adenovirus, RSV.adenovirus, RSV.  Acute stage of viral respiratory infection occurs withinAcute stage of viral respiratory infection occurs within ciliated cell of the airways.ciliated cell of the airways.  Infiltration of tracheabroncheal tree with pneumonia.Infiltration of tracheabroncheal tree with pneumonia.  The inflammatory process extends to alveolar areaThe inflammatory process extends to alveolar area
  • 9.
    Hospital acquired pneumonia Knows as nosocomial is defining as the onset of pneumonia symptoms more than 48 hr.s after admission to hospital.  Its accounts for approximately 15% of hospital acquired infections.  The common organisms include: Enterobacter species, Klebsiella apecies, P.aeruginosa, Protus, methicillin resistant S.aureus (MRSA).
  • 10.
    Hospital acquired pneumonia Certainillness may predispose pt HAP because of: • Impaired defenses or chronic illness; Coma, malnutrition, prolong, hospitalization. • Numerous intervention as endotracheal intubation, NGT. • Immunocompromised pt, gram –ve bacilli, staphylococcal pneumonia responsible for more than 30% of cases of HAP. Its mortality is high, resistant to all antimicrobial except vancomycin. These strains of s.aureus are refered to as MRSA.
  • 11.
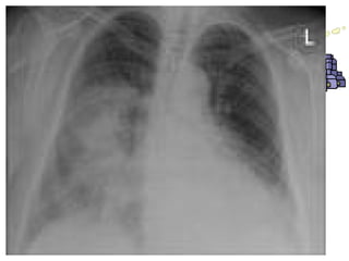
    Hospital acquired pneumonia •Because methicillin resistant S. aureus (MRSA is highly virulent, steps must be taken to prevent spread . pt must be isolated with contact precautions.  HAP is presented with pulmonary infiltration on chest x-ray combined with evidence of infection as fever, purulent sputum & leukocytosis.  Pneumonia from klebseilla or gram–ve, e.g (E.coli,) are characterized by destruction of lung structure & alveolar walls, consodilation & bacteremia
  • 12.
    Clinical manifestationsClinical manifestations •A sudden onset of cough • Blood-tinged sputum may be present. • In the debilitated or dehydrated patient, sputum production may be minimal or absent • Pleural effusions • High fever • tachycardia • Even with treatment, the mortality rate remains high.
  • 13.
    Pneumonia in thecompromisedPneumonia in the compromised hosthost • May be caused by the organisms • (S. pneumoniae, S. aureus, H. influenzae, P. aeruginosa, M. tuberculosis). Clinical presentation: 1. Dyspnea 2. Fever 3. Nonproductive cough.
  • 14.
    Immuno-compromised statesImmuno-compromised states •Pt. use corticosteroids or other immunosuppressive agents • Chemotherapy • Nutritional depletion • Use of broad-spectrum antimicrobial agents • AIDS • Genetic immune disorders • Long-term advanced life-support technology (mechanical ventilation).
  • 15.
    Aspiration pneumoniaAspiration pneumonia •Refers to the pulmonary consequences resulting from the entry of endogenous or exogenous substances into the lower airway. • The most common form of aspiration pneumonia is bacterial infection from aspiration of bacteria that normally reside in the upper airways
  • 16.
    Setting of AspirationpneumoniaSetting of Aspiration pneumonia • May occur in the community or hospital; common pathogens are S. pneumoniae, H. influenzae, and S. aureus. Other substances may be aspirated into the lung, such as; 1. Gastric contents 2. Exogenous chemical contents 3. Irritating gases. This type of aspiration or ingestion may impair the lung defenses, cause inflammatory changes, and lead to bacterial growth and a resulting pneumonia.
  • 17.
    • Distribution oflung involvement in bronchial and lobar pneumonia. • In bronchopneumonia (left), patchy areas of consolidation occur. • In lobar pneumonia (right), an entire lobe is consolidated
  • 18.
    Pathophysiology • Upper airwaycharacteristics normally prevent potentially infectious particles from reaching the normally sterile lower respiratory tract. • Thus, patients with pneumonia caused by infectious agents often have an acute or chronic underlying disease that impairs host defenses. • Pneumonia arises from normally present flora in a patient whose resistance has been altered, or it results from aspiration of flora present in the oropharynx. • It may also result from blood borne organisms that enter the pulmonary circulation and are trapped in the pulmonary capillary bed, becoming a potential source of pneumonia.
  • 19.
    Pathophysiology • Pneumonia oftenaffects both ventilation and diffusion. • An inflammatory reaction can occur in the alveoli, producing an exudate that interferes with the diffusion of oxygen and carbon dioxide. • White blood cells, mostly neutrophils, also migrate into the alveoli and fill the normally air-containing spaces. • Areas of the lung are not adequately ventilated because of secretions and mucosal edema that cause partial occlusion of the bronchi or alveoli, with a resultant decrease in alveolar oxygen tension.
  • 20.
    Pathophysiology • Broncho spasmmay also occur in patients with reactive airway disease. Because of hypoventilation, a ventilation– perfusion mismatch occurs in the affected area of the lung. • Venous blood entering the pulmonary circulation passes through the under ventilated area and exits to the left side of the heart poorly oxygenated. • The mixing of oxygenated and unoxygenated or poorly oxygenated blood eventually results in arterial hypoxemia.
  • 21.
    Pathophysiology • If asubstantial portion of one or more lobes is involved, the disease is referred to as “lobar pneumonia.” • The term “bronchopneumonia” is used to describe pneumonia that is distributed in a patchy fashion, having originated in one or more localized areas within the bronchi and extending to the adjacent surrounding lung parenchyma • Bronchopneumonia is more common than lobar pneumonia
  • 22.
    Risk FactorRisk Factor •Conditions that produce mucus or bronchial obstruction and interfere with normal lung drainage (eg, cancer, cigarette smoking, COPD) • Immuno suppressed patients and those with a low neutrophil count (neutropenic) • Smoking; cigarette smoke disrupts both mucociliary and macrophage activity • Prolonged immobility and shallow breathing pattern
  • 23.
    Risk FactorRisk Factor •Depressed cough reflex; 1. Due to medications 2. A debilitated state 3. Weak respiratory muscles • Aspiration of foreign material into the lungs during a period of unconsciousness; 1. head injury 2. Anesthesia 3. depressed level of consciousness • Abnormal swallowing mechanism • Nothing-by-mouth (NPO) status; placement of nasogastric, orogastric, or endotracheal tube
  • 24.
    • Antibiotic therapy(in very ill people, the oropharynx is likely to be colonized by gram-negative bacteria) • Alcohol intoxication (because alcohol suppresses the body’s reflexes, may be associated with aspiration, and decreases white cell mobilization and tracheobronchial ciliary motion) • General anesthetic, sedative, or opioid • Advanced age, because of possible depressed cough and glottic reflexes and nutritional depletion • Respiratory therapy with improperly cleaned equipment
  • 25.
    Preventive MeasurePreventive Measure •Promote coughing and expectoration of secretions. • Encourage smoking cessation. • Initiate special precautions against infection. • Reposition frequently and promote lung expansion exercises • Initiate suctioning and chest physical therapy if indicated.
  • 26.
    Preventive MeasurePreventive Measure •Promote frequent oral hygiene. • Minimize risk for aspiration by checking placement of tube and proper positioning of patient. • Encourage reduced or moderate alcohol intake (in case of alcohol stupor, position patient to prevent aspiration). • Observe the respiratory rate and depth during recovery from general anesthesia and before giving medications. • If respiratory depression is apparent, with hold the medication and contact the physician.
  • 27.
    3 specific strategiesfor preventing HAP • Staff education & infection surveillance. • Interruption of transmission of microorganisms • Modification of host risk of infection. Vaccination against pneumococcal infection is advised for: People over 65 years. Immunocompetent people. People with functional & anatomic asplenia. People living in environments or social setting in which risk of disease is high.
  • 28.
    Clinical Manifestations • Suddenonset of shaking chills, rapidly rising fever, pleuritic chest pain by deep breathing and coughing. • Respiratory distress (shortness of breath, use of accessory muscles in respiration) • Increase pulse and tachypnea • URTIURTI • In sever pneumonia, flushed cheeks, lipsIn sever pneumonia, flushed cheeks, lips and nail beds- central cyanosis.and nail beds- central cyanosis. • Orthopnea.Orthopnea. • Poor appetitePoor appetite • Purulent SputumPurulent Sputum
  • 29.
    DX finding &assessment 1. History, physical examination. 2. Chest x-ray 3. Blood culture (bacteremia) 4. Sputum examination. 5. Bronchoscopy is often used with pt. with acute sever infection or immuno-compromized pt.
  • 30.
    Obtaining sputum sampleObtainingsputum sample (1) Rinse the pt.s mouth with water to minimize contamination by normal oral flora (2) Breathe deeply several times (3) Cough deeply (4) Expectorate the raised sputum into a sterile container.
  • 31.
    Medical Management • Administrationof appropriate antibiotic as result of gram stain. • Rx for out pt with CAP who has no cardiopulmonary disease (CPD), includes, erythromycin • If pt have CPD, high dose amoxicillin or augmentim. • (HAP), or nosocomial pneumonia, empirical treatment- broad spectrum IV antibiotics.
  • 32.
    Medical Management  Treatmentfor viral pneumonia is supportive, antibiotics used with viral infection when secondary bacterial pneumonia, bronchitis or sinusitis are presented.  Antipyretic, to treat headache, fever  Antitussive, cough.  Warm moist inhalation, to relieve bronchial irritation  Anti histamine, to reduce sneezing & rhinorrhea.
  • 33.
    Medical Management  Ifhypoxemia, O2 supply, blood gases, pulse oximetry. High o2 is contraindicated in COPD. Because may worsen alveolar ventilation by decreasing pt. ventilatory drive.  Respiratory support measure include, high O2 concentration, endotracheal intubation, mechanical ventilation.  To prevent serious complication in elderly, vaccination against pneumococcal & influenza infection is recommended.
  • 34.