Approach to Pleural Effusion
Mechanism

Increase permeability

Increase pulmonary capillary pressure

Decrease negative pleural pressure

Decrease oncotic pressure

Obstructed lymphatics
Types of pleural effusions
 Transudates
OR
 Exudates
Causes of pleural effusion
Transudates
 Very Common causes
 Heart failure
 Liver cirrhosis
Transudates
 Less Common causes
 Hypoalbuminaemia
 Peritoneal dialysis
 Hypothyroidism
 Nephrotic syndrome
 Mitral Stenosis
Causes of pleural exudates
 Common causes
 Malignancy
 Parapneumonic effusions
 Tuberculosis
Exudates
 Less Common causes
 Pulmonary embolism
 Rheumatoid arthritis and other autoimmune
pleuritis
 Benign Asbestos effusion
 Pancreatitis
 Post-myocardial infarction
 Post CABG
Exudates
 Rare causes
 Yellow nail syndrome (and other lymphatic
disorders
 Drugs
 Fungal infections
Clinical assessment and history
 Through history and physical examination.
Symptoms
 Asymptomatic
 Breathlessness
 Chest pain
 Cough
 Fever
Signs
 Decrease expansion
 Dull percusion node
 Decrease vocal resonance
 Decrease air entry
 Signs of associated disease
 (for example :chronic liver disease-CCF-
nephrotic syndrome -SLE-RA-Ca lung)
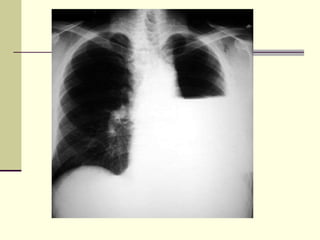
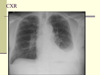
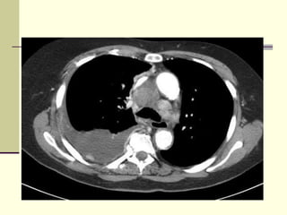
DIAGNOSIS
 CXR
 PLEURAL ASPIRATION
 PLEURAL BIOPSY
 Medical thoracoscopy
 CT scan
 VAT
 Bronchoscopy
CXR
Pleural aspiration
 The initial step in assessing a pleural effusion
is to ascertain whether the effusion is a
transudate or exudate
Light's criteria
 Exudates if one or more of the following:
1. Pleural fluid protein divided by serum protein
is greater than 0.5
2. Pleural fluid LDH divided by serum LDH is
greater than 0.6
3. Pleural fluid LDH > 2/3 the upper limits of
laboratory normal value for serum LDH.
Management
 Treatment of the cause
 Drainage (stop drain for 1-2 hours after 1st
1500 ml) may presipitate pul oedema
 Pleurodesis with – talc
– tetracycline
-Bleomycin
Surgery

Pleural effusion lung medicine class presentation