Periodontal disease
Presented by:Maryam Jahangiri
Periodotal disease
Gingival disease
Dental
plaque
induced
Non-plaque
induced
periodontitis
Chronic
periodontitis
Aggressive
periodontitis
Less
common
type of
periodontitis
Abscesses of the periodontium
Gingival
abscess
Pericoronal
abscess
Periodontal
abscess
Develop
mental or
acquired
deformiti
es and
condition
s
Gingivitis
• Gingivitis is a common and mild form of gum disease
(periodontal disease) that causes irritation, redness and
swelling (inflammation) of your gingiva, the part of your gum
around the base of your teeth. It's important to take gingivitis
seriously and treat it promptly. Gingivitis can lead to much
more serious gum disease called periodontitis and tooth loss.
Gingival disease
Non_plaque induced
Gingival disease of
special bacterial origin
Gingival disease of viral
origin
Traumatic lesions
Foreign body reactions
Not otherwise specified
Gingival disease of fungal
origin
Gingival disease of genetic
origin
Gingival manifestations of
systemic conditions
Allergic reaction
Plaque induced
plaque_induced gingivitis
Gingival diseases modified
by systemic factors
Gingival diseases modified
by medications
Gingival diseases modified
by malnutrition
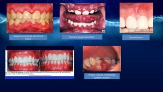
Gingivitis associated with dental
plaque
Herpetic gingivostomatitis
Plaque induced modified by
systemic factors
Chemical burn
periodontitis
Chronic
periodontitis
localized generalized
Aggressive
periodontitis
localized generalized
Less common types
of periodontitis
Periodontitis
as a
manifestation
of a systemic
disease
Necrotizing
periodontal
disease
Periodontitis
associated
with
endodontic
lesions
Chronic periodontitis
• It is inflammatory disease of supporting tissues
of teeth caused by specific micro-organism
resulting in progressive destruction of
periodontal ligament and alveolar bone with
pocket formation,recession or both.
• Chronic periodontitis,formerly known as adult
periodontitis or chronic adult periodontitis is the
most prevalent form of periodontitis.
• Most commonly seen in adults.
• Age associated but not age related.
• Chronic periodontitis is considered a site-specific
disease.
Clinical features
• Supra and subgingival plaque accumulation
• Gingival inflammation
• Pocket formation
• Loss of periodontal attachment
• Occasional suppuration
• Poor oral hygience-gingiva is typically may be slightly to moderately
swollen
• Color-pale red
• Consistency-soft or firm
• Surface topography-loss of stippling
• Flattened or cratered papillae
• Furcation
• Tooth mobility
• BOP
symptoms
• Bleeding gums during brushing or eating
• Increasing spacing between their teeth
• Loose teeth
• Usually painless
• Sensitivity due to exposed root
• Halitosis
• Gingival tendernss or itching
Chronic periodontitis
Localized:
Less than 30%
sites are
involved
Generalized:
30% or more
sites shows CAL
& bone loss
-
age
Rate of proggression
Microbial etiology
immunological
Chronic
periodontitis
More prevalent in adults but may be
presented in children and
adolescents
Slow rate of progression
Consist of both aerobic & anaerobic
gram positive &gram negative
microorganism
No abnormalities detected
Aggressive
periodontitis
Circumpubertal onset in LAP & under
30 years of age in GAP
Rapid rate of progression with
pronounced episodic events of
attachment and bone loss
Aggreagatibacter
Actinomyctemcomitans
Prevotella intermedia
Hyper responsive macrophage
phenotype & phocyte abnormalities
early
•CAL= 1-2mm
•Pocket
depths=4-
5mm
•Bone loss=
slight
horizontal
moderate
•CAL=3-4mm
•Pocket
depths=5-
7mm
•Bone
loss=slight to
moderate
horizontal
advanced
•CAL=>5mm
•Pocket
depths=>7mm
•Bone
loss=moderate
to severe
horizontal and
vertical
Chronic periodontitis progression
1. The continuous model
2. The random model or episodic burst
model
3. The Asynchronous, multiple-Burst model
Risk factors for disease
• Local factors
• Systemic factors
• Genetic factors
• Environmental and behavioral factors
• Prior history of periodontitis
Aggressive periodontitis
• Aggressive periodontitis refers to the
multifactorial,severe and rapidly
progressive form of
periodontitis,which primarily but not
exclusively affects younger patients.
Diagnostic criteria
• 1-age
• 2-A distinctive radiography pattern depiciting vertical
alveolar bone loss at the first permanent molars and at one
or more incisor teeth.(classical case=an arc-shaped loss of
alveolar bone,extending from the distal surface of 5 to the
mesial surface of the 7)
• 3-Rapid progression
• 4-The disease affects only the permanent dentition.
• 5-The amount of local etiologic factors is not
commensurated with the severity of periodontal
destruction.
• 6-Black male>black female>white female>white male
• 7-In general female to male ratio is 3:1
• 8-Familial pattern
Aggressive periodontitis
Generalized)
-generalized juvenile periodontitis or
rapidly progressive periodontitis
- Usually <30 yrs
-at least three permanent teeth other
than first molars and incisors
Localized)
-localized juvenile periodontitis(LJP)
-11-13 yrs
-Attachment loss on at least 2
permanent(one of which is a first molar)
Necrotizing periodontal disease
Necrotizing
Ulcerative
Gingivitis
Necrotizing
Ulcerative
Periodontitis
Necrotizing ulcerative gingivitis
• Necrotizing ulcerative gingivitis(NUG),necrotizing ulcerative
periodontitis(NUP),necrotizing stomatitis(NS) are the most
severe inflammatory periodontal disorders caused by plaque
bacteria.
• nomenclature=trench mouth,vincent’s gingivostomatitis
• NUG often occurs in groups in an epidemic form
• NUG occurs at all ages,with the highest incidence reported
between ages 20-30 yrs & ages 15-20 yrs.
• The disease seems to occur slightly more among HIV infected
individuals.
Clinical features
• Ulcerated and necrotic papilla and gingival margin.
• Punch out crater
• Gray pseudomembranous slough
• Liner erythema
• In some cases the lesions are denuded of the surface
pseudomembrane , exposing the gingival margin
which is red,shiny,hemorrhagic.
• Spontaneous gingival hemorrhage
Necrotizing ulcerative periodontitis
• Progression of the interproximal lesion often results
in destruction of the interdental alveolar bone.
• Sequestrum formation:necrosis of a small or large
part of the alveolar bone,which is denoted as
sequestrum.the bone fragement is initially
immovable, later on it becomes loose.sequestrum
involves interproximal as well as facial or palatal
cortical bone.
Clinical features
• Sensetive to touch
• Gnawing pain that is often intensified by eating spicy or hot foods & chewing.
• Metallic foul taste & an excessive amount of pasty saliva.
• In mild & moderate stages of disease=local lymphadenopathy and slight elevation
in temperature
• In severe cases=high fever,increased pulse rate,leukocytosis,loss of appetite and
general lassitude.
• insomnia,constipation,gastro-intestinal disorders,headache,mental depression
• In vary rare cases, severe squeal such as gangrenous stomatitis & noma have been
described.
Stages of oral necrotizing disease-
by Horning & Cohen
• Stage 1-necrosis of the tip of the interdental papilla
• Stage 2-necrosis of entire papilla
• Stage 3-necrosis extending to the gingival margin.
• Stage 4-necrosis extending to the attached gingiva.
• Stage 5-necrosis extending to labial & buccal mucosa.
• Stage 6-necrosis exposing alveolar bone.
• Stage 7-necrosis perforating skin of cheek.
Stage 1)erosion of only tip of
interdental papilla
Stage 2)marginal gingiva affected and
complete loss of interdental papilla
Stage 3)involving attached gingiva
Stage 4)exposure of bone
Etiology
• Role of microorganism
• Role of host response
• Predisposing factors includes:local predisposing
factor,systemic predisposing factor
periodontitis as a manifestation of
a systemic disease
• At least 16 systemic diseases have been linked to
periodontitis. These systemic diseases are associated
with periodontal disease because they generally
contribute to either a decreased host resistance to
infections or dysfunction in the connective tissue of
the gums, increasing patient susceptibility to
inflammation-induced destruction
Conditions associated with
periodontitis
• Diabetes mellitus
• hematologic disorders:neutropenia, Leukemia
• Familial and cyclic neutropenia
• Down syndrome
• Leukocyte adhesion deficiency disorder
• Papillon–Lefèvre syndrome
• Chédiak–Higashi syndrome
• Langerhans cell disease (histiocytosis syndromes)
• Glycogen storage disease
• Chronic granulomatous disease
• Infantile genetic agranulocytosis
• Cohen syndrome
• Ehlers–Danlos syndrome (Types IV and VIII)
• Hypophosphatasia
• Crohn's disease (inflammatory bowel disease)
• Marfan syndrome
• Klinefelter syndrome
Periodontitis associated with
endodontic lesions
Combined lesions
Periodontic
lesions
Endodontic
lesions
True combined lesion
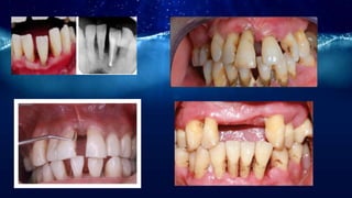
Abscesses of the periodontium
• Gingival abscess—a localized, purulent infection
involves only the soft gum tissue near the marginal
gingiva or the interdental papilla.[3]
• Periodontal abscess—a localized, purulent infection
involving a greater dimension of the gum tissue,
extending apically and adjacent to a periodontal
pocket.[3]
• Pericoronal abscess—a localized, purulent infection
within the gum tissue surrounding the crown of a
partially or fully erupted tooth.[3] Usually associated
with an acute episode of pericoronitis around a
partially erupted and impacted mandibular third
molar (lower wisdom tooth).
Developmental or acquired
deformities and conditions
developmental/acquiredcondition
Localized tooth-realated factors that increase
the risk of developing plaque-induced
gingivitis and periodontitis
Mucogingival deformities and conditions
around teeth
recession
Lack of attached gingiva
Frenal position
Gingival excess
Occlusal trauma
Accelerated and increases attachment loss in
areas already periodontally involved and may
widen PDL resulting in increasing mobility in
otherwise healthy teeth
Periodontal disease [autosaved]

Periodontal disease [autosaved]

  • 1.
  • 2.
    Periodotal disease Gingival disease Dental plaque induced Non-plaque induced periodontitis Chronic periodontitis Aggressive periodontitis Less common typeof periodontitis Abscesses of the periodontium Gingival abscess Pericoronal abscess Periodontal abscess Develop mental or acquired deformiti es and condition s
  • 4.
    Gingivitis • Gingivitis isa common and mild form of gum disease (periodontal disease) that causes irritation, redness and swelling (inflammation) of your gingiva, the part of your gum around the base of your teeth. It's important to take gingivitis seriously and treat it promptly. Gingivitis can lead to much more serious gum disease called periodontitis and tooth loss.
  • 5.
    Gingival disease Non_plaque induced Gingivaldisease of special bacterial origin Gingival disease of viral origin Traumatic lesions Foreign body reactions Not otherwise specified Gingival disease of fungal origin Gingival disease of genetic origin Gingival manifestations of systemic conditions Allergic reaction Plaque induced plaque_induced gingivitis Gingival diseases modified by systemic factors Gingival diseases modified by medications Gingival diseases modified by malnutrition
  • 6.
    Gingivitis associated withdental plaque Herpetic gingivostomatitis Plaque induced modified by systemic factors Chemical burn
  • 10.
    periodontitis Chronic periodontitis localized generalized Aggressive periodontitis localized generalized Lesscommon types of periodontitis Periodontitis as a manifestation of a systemic disease Necrotizing periodontal disease Periodontitis associated with endodontic lesions
  • 11.
    Chronic periodontitis • Itis inflammatory disease of supporting tissues of teeth caused by specific micro-organism resulting in progressive destruction of periodontal ligament and alveolar bone with pocket formation,recession or both. • Chronic periodontitis,formerly known as adult periodontitis or chronic adult periodontitis is the most prevalent form of periodontitis. • Most commonly seen in adults. • Age associated but not age related. • Chronic periodontitis is considered a site-specific disease.
  • 12.
    Clinical features • Supraand subgingival plaque accumulation • Gingival inflammation • Pocket formation • Loss of periodontal attachment • Occasional suppuration • Poor oral hygience-gingiva is typically may be slightly to moderately swollen • Color-pale red • Consistency-soft or firm • Surface topography-loss of stippling • Flattened or cratered papillae • Furcation • Tooth mobility • BOP
  • 13.
    symptoms • Bleeding gumsduring brushing or eating • Increasing spacing between their teeth • Loose teeth • Usually painless • Sensitivity due to exposed root • Halitosis • Gingival tendernss or itching
  • 14.
    Chronic periodontitis Localized: Less than30% sites are involved Generalized: 30% or more sites shows CAL & bone loss
  • 15.
    - age Rate of proggression Microbialetiology immunological Chronic periodontitis More prevalent in adults but may be presented in children and adolescents Slow rate of progression Consist of both aerobic & anaerobic gram positive &gram negative microorganism No abnormalities detected Aggressive periodontitis Circumpubertal onset in LAP & under 30 years of age in GAP Rapid rate of progression with pronounced episodic events of attachment and bone loss Aggreagatibacter Actinomyctemcomitans Prevotella intermedia Hyper responsive macrophage phenotype & phocyte abnormalities
  • 17.
    early •CAL= 1-2mm •Pocket depths=4- 5mm •Bone loss= slight horizontal moderate •CAL=3-4mm •Pocket depths=5- 7mm •Bone loss=slightto moderate horizontal advanced •CAL=>5mm •Pocket depths=>7mm •Bone loss=moderate to severe horizontal and vertical
  • 18.
    Chronic periodontitis progression 1.The continuous model 2. The random model or episodic burst model 3. The Asynchronous, multiple-Burst model
  • 19.
    Risk factors fordisease • Local factors • Systemic factors • Genetic factors • Environmental and behavioral factors • Prior history of periodontitis
  • 21.
    Aggressive periodontitis • Aggressiveperiodontitis refers to the multifactorial,severe and rapidly progressive form of periodontitis,which primarily but not exclusively affects younger patients.
  • 22.
    Diagnostic criteria • 1-age •2-A distinctive radiography pattern depiciting vertical alveolar bone loss at the first permanent molars and at one or more incisor teeth.(classical case=an arc-shaped loss of alveolar bone,extending from the distal surface of 5 to the mesial surface of the 7) • 3-Rapid progression • 4-The disease affects only the permanent dentition. • 5-The amount of local etiologic factors is not commensurated with the severity of periodontal destruction. • 6-Black male>black female>white female>white male • 7-In general female to male ratio is 3:1 • 8-Familial pattern
  • 23.
    Aggressive periodontitis Generalized) -generalized juvenileperiodontitis or rapidly progressive periodontitis - Usually <30 yrs -at least three permanent teeth other than first molars and incisors Localized) -localized juvenile periodontitis(LJP) -11-13 yrs -Attachment loss on at least 2 permanent(one of which is a first molar)
  • 25.
  • 26.
    Necrotizing ulcerative gingivitis •Necrotizing ulcerative gingivitis(NUG),necrotizing ulcerative periodontitis(NUP),necrotizing stomatitis(NS) are the most severe inflammatory periodontal disorders caused by plaque bacteria. • nomenclature=trench mouth,vincent’s gingivostomatitis • NUG often occurs in groups in an epidemic form • NUG occurs at all ages,with the highest incidence reported between ages 20-30 yrs & ages 15-20 yrs. • The disease seems to occur slightly more among HIV infected individuals.
  • 27.
    Clinical features • Ulceratedand necrotic papilla and gingival margin. • Punch out crater • Gray pseudomembranous slough • Liner erythema • In some cases the lesions are denuded of the surface pseudomembrane , exposing the gingival margin which is red,shiny,hemorrhagic. • Spontaneous gingival hemorrhage
  • 28.
    Necrotizing ulcerative periodontitis •Progression of the interproximal lesion often results in destruction of the interdental alveolar bone. • Sequestrum formation:necrosis of a small or large part of the alveolar bone,which is denoted as sequestrum.the bone fragement is initially immovable, later on it becomes loose.sequestrum involves interproximal as well as facial or palatal cortical bone.
  • 29.
    Clinical features • Sensetiveto touch • Gnawing pain that is often intensified by eating spicy or hot foods & chewing. • Metallic foul taste & an excessive amount of pasty saliva. • In mild & moderate stages of disease=local lymphadenopathy and slight elevation in temperature • In severe cases=high fever,increased pulse rate,leukocytosis,loss of appetite and general lassitude. • insomnia,constipation,gastro-intestinal disorders,headache,mental depression • In vary rare cases, severe squeal such as gangrenous stomatitis & noma have been described.
  • 30.
    Stages of oralnecrotizing disease- by Horning & Cohen • Stage 1-necrosis of the tip of the interdental papilla • Stage 2-necrosis of entire papilla • Stage 3-necrosis extending to the gingival margin. • Stage 4-necrosis extending to the attached gingiva. • Stage 5-necrosis extending to labial & buccal mucosa. • Stage 6-necrosis exposing alveolar bone. • Stage 7-necrosis perforating skin of cheek.
  • 31.
    Stage 1)erosion ofonly tip of interdental papilla Stage 2)marginal gingiva affected and complete loss of interdental papilla Stage 3)involving attached gingiva Stage 4)exposure of bone
  • 32.
    Etiology • Role ofmicroorganism • Role of host response • Predisposing factors includes:local predisposing factor,systemic predisposing factor
  • 33.
    periodontitis as amanifestation of a systemic disease • At least 16 systemic diseases have been linked to periodontitis. These systemic diseases are associated with periodontal disease because they generally contribute to either a decreased host resistance to infections or dysfunction in the connective tissue of the gums, increasing patient susceptibility to inflammation-induced destruction
  • 34.
    Conditions associated with periodontitis •Diabetes mellitus • hematologic disorders:neutropenia, Leukemia • Familial and cyclic neutropenia • Down syndrome • Leukocyte adhesion deficiency disorder • Papillon–Lefèvre syndrome • Chédiak–Higashi syndrome • Langerhans cell disease (histiocytosis syndromes) • Glycogen storage disease • Chronic granulomatous disease • Infantile genetic agranulocytosis • Cohen syndrome • Ehlers–Danlos syndrome (Types IV and VIII) • Hypophosphatasia • Crohn's disease (inflammatory bowel disease) • Marfan syndrome • Klinefelter syndrome
  • 36.
    Periodontitis associated with endodonticlesions Combined lesions Periodontic lesions Endodontic lesions
  • 38.
  • 39.
    Abscesses of theperiodontium • Gingival abscess—a localized, purulent infection involves only the soft gum tissue near the marginal gingiva or the interdental papilla.[3] • Periodontal abscess—a localized, purulent infection involving a greater dimension of the gum tissue, extending apically and adjacent to a periodontal pocket.[3] • Pericoronal abscess—a localized, purulent infection within the gum tissue surrounding the crown of a partially or fully erupted tooth.[3] Usually associated with an acute episode of pericoronitis around a partially erupted and impacted mandibular third molar (lower wisdom tooth).
  • 41.
    Developmental or acquired deformitiesand conditions developmental/acquiredcondition Localized tooth-realated factors that increase the risk of developing plaque-induced gingivitis and periodontitis Mucogingival deformities and conditions around teeth recession Lack of attached gingiva Frenal position Gingival excess Occlusal trauma Accelerated and increases attachment loss in areas already periodontally involved and may widen PDL resulting in increasing mobility in otherwise healthy teeth