PEDIATRIC
RADIOLOGY
Presenter
Dr. Anamika Joshi
CONTENTS
• Introduction
• Composition of film
• Selection criteria and Radiographic examination
• Types of radiographs
• Technical errors
• Principle of radiation safety
• Radiation safety symbol
• Radiation protection
• References
Introduction
• Radiographic examination plays an important role
in the diagnosis and treatment planning in both
children and adult.
• A complete examination of the dentition &
associated structures should include a
radiographic survey.
• The work of many scientist culminated in the
discovery of X-ray by Roentgen on Novenber 8,
1895.
Composition of Film
• A radiographic film is an image receptor
system.
• On exposure there’s a formation of an invisible
image or latent image, which when chemically
processed transforms into a visible image that
can be viewed under transillumination.
• An X-ray film is composed of :-
a. Base: made up of polyester, polyethylene
terapthalate .
 helps in supporting imulsion that
gets chemically activated when
exposed to X-rays.
provides rigidity to the film.
b. Adhesive layer: it is present over the base to
attach the film emulsion to the film base.
c. Film emulsion: It is the main image receptor
system of X-ray film, as this is sensitive to both
light and X-ray.
 mainly consist of silver bromide crystals
with some amount of silver iodide suspended
in a gelatin matrix.
Selection crtiteria and
Radiographic examination
• Radiograph should be made only when there is
an expectation that disease is present or when an
undetected condition left untreated could
adversely affect the patient’s dental health.
• 2 important consideration when deciding
whether to perform radiographic examination for
children are: -stage of dentition development.
-risk of dental caries.
Criteria for exposing of radiographs in
Asymptomatic children
• Expectation to this rule includes when there is
clinical evidence of injury, disease such as
caries, pulpal pathosis, delayed or accelerated
eruption or exfoliation of teeth, swelling,
hemorrhage, pain or ulceration.
• In such cases, radiograph is indicated to
confirm the diagnosis and evaluate the
treatment.
Development of Dentition as Criteria
• Dental radiographs are indicated in following
conditions:-
Primary Dentition:-Determine the presence od
Proximal caries.
-If all surfaces of primary teeth can be examined
clinically because of open contacts, then
radiographs are not indicated.
-If child’s behavior is doubtful then radiographs
should be deferred until behavior improves.
Early transtitional dentition:- radiographs are
taken to evaluate the presence of
interproximal caries, developmental
anomalies of teeth and pathologic conditions
of the hard and soft tissues of the mouth, jaws
and associated structures.
Early permanent dentition:- Radiographs are
taken to evaluate the same tissues as in the
early mixed dentition and to check the
position and developmental status of thhe
third molars.
No other dental radiographs are routinely
needed in children.
others are prescribed for diagnostic purpose
such as
bitewing radiograph: detect interproximal caries
periapical films : when teeth are clinically
not palpable by 9 years of age.
Radiographic examination
• When a new patient is seen at dental office and
no previous radiographs are available, it may be
necessary to obtain a baseline series of
radiographs.
• These examinations include the following:-
a) Four-Film Series
b) Eight-Film Survey
c) Twelve-Film Survey
d) Sixteen-Film Survey
a.) Four-Film Series:- This series consist of
-a maxillary and mandibular anterior occlsual
-2 posterior bite-wing radiographs.
b.) Eight-Film Survey:- This survey includes
-a maxillary and a mandibular
occlusal/periapical,
-a right and left maxillary posterior
occlusal/periapicals
-left primary mandibular molar periapicals
2 posterior bitewings.
c.) Twelve-Film Survey:- This examination
includes
-4 primary molar-premolar periapical
radiographs,
-4 canine periapical radiographs,
-2 incisor periapical radiographs,
-2 posterior bitewing radiographs.
d.) Sixteen-Film Survey:- This examination
consist of
-12th film survey
-addition of 4 permanent radiographs.
Four film survey
GUIDELINES FOR PRESCRIBING
RADIOGRAPHS
NEW PATIENTS* Posterior bitewing
radiographs
Individualized radiographic
examination(periapical/occ
lusal radiographs)
Recall patients*
Clinical caries & high risk
factors for caries
Posterior bitewing
examination 6 month
intervals or untill no carious
lesion evidented.
Posterior bitewing
examination 6 month
intervals or untill no carious
lesion evidented.
No clinical caries & no high
risk factors for caries
Posterior bitewing
examination at 12-24
month interval
Posterior bitewing
examination at 12-24
month interval
Periodontal disease or a
history of periodontal
treatment
Indivisualized radiographic
examination(priapical/
bitewing radiographs)
Indivisualized radiographic
examination(priapical/
bitewing radiographs)
Growth and development
assessment
Usually not indicated Indivisualized radiographic
examination(periapical/
bitewing radiographs)
Patient category child
Primary Dentition Transitional Dentition
New patients* Indivisualizes radiographic
examination(posterior bitewing and
selected intraoral radiographs)
Recall Patien
Clinical caries & high risk factors for
caries
ts*
Posterior bitewing radiographic
examination 6-12 month interval
No clinical caries & no high risk
factors for caries
Posterior bitewing examination 6
month intervals or untill no carious
lesion evidented.
Posterior bitewing examination at
18-36 month interval
Periodontal disease or a history of
periodontal treatment
Indivisualized radiographic
examination(priapical/ bitewing
radiographs)
Growth and development
assessment
Indivisualized radiographic
examination(periapical/ bitewing
radiographs)
Permanent DentitionPatient category
Adolescent
TYPES OF
RADIOGRAPHS
• The film used in pediatric dental practice for
radiographic examination can be grouped
into:
i. Intraoral films
ii. Extraoral films
i. Intraoralfilms
• These are meant for positioning inside the
mouth during exposure.
• There are 3 types of intraoral radiographic
projections:
o Intraoral periapical radiographs
o Bitewing radiographs
o Occlusal radiographs
SIZE OF INTRA ORAL FILMS.
 SIZE 0 (22X35mm): used for bitewing and
periapical radiographs for small
children.
 SIZE 1(24X40mm): used for radio graphing
anterior teeth in adults.
 SIZE 2(31X41mm) : standard film used for anterior
occlusal radiograph, periapical
radiograph and bitewing
survey mixed and permanent
dentition.
 SIZE 3(27X54mm) : used for posterior bitewing
examination.
 SIZE 4(57X76mm) : visualizing the entire
maxillary and mandibular
arch.
ii. Extra oral films
• Most of these films are used along with
intensifying film.
• They are available in varying sizes depending
upon the individual projection for which they
are employed.
 5X7” : used for TMJ view and lateral oblique view.
 8X10” : used for lateral cephalograms, paranasal
sinuses view, etc.
 6X12” : used for orthopantomography.
INTRAORALRADIOGRAPHS
• There are 3 types of intraoral projections:
i. Intraoral periapical radiographs
ii. Bitewing radiographs
iii. Occlusal radiographs
INTRAORAL PERIAPICAL RADIOGRAPHS
• These are useful in the evaluation of teeth and
their associated structures.
• These can be taken by 2 techniques-
 long cone or paralleling technique
 short cone or bisecting angle technique
Paralleling Technique
• X-ray films are placed parallel to the long axis
of teeth and the central ray is directed at right
angle to teeth and film.
• Film holder is needed as the film is placed
farther away from the object.
Advantages :- avoid superimposition of
structures.
- minimal magnification.
Disadvantages:- small size of mouth in children
precludes the placement of film
beyond apical region.
- can not be performed with shallow
palate and shallow floor of mouth.
Bisecting angle technique
• It is based on the principle called the “Rule of
Isometry”(which states that 2 triangles are
equally if they have 2 equal angles and common
side).
• The central ray is directed perpendicular to a
plane that bisects the angle created by long axis
of teeth and film.
• In primary dentition size 0 film should be used.
Bitewing Radiographs
• It is a lateral projection of tooth crown in both
jaws on same side.
• It is very useful in delectation of incipient
proximal caries and state of restoration.
• It can be taken by using film size no. 0 or 1 or
young children and no. 2 for older children.
• The coronal portion of both maxillary and
mandibular teeth visualized on the film.
Occlusal radiographs
• These are used in the evaluation of the entire
maxillary and mandibular arch.
• A larger film is used to cover the larger area in
one film.
• When smaller No. 2 film is used, the procedure is
called “cracker bite” or “coolie” occlusal.
• It is not indicated in children as it does not press
the floor of mouth or tickle the soft palate.
Extraoral andSpecializedRadiographing/Imaging
1. Panoramic radiography
2. Cephalomatric radiography
3. Lateral oblique view
4. Posteroanterior view
5. Paranasal sinus view
6. Reverse-town projection
7. Submentovertex view
8. Digital radiography
9. Wrist radiography
10. Sialography
11. Computerized tomography
12. MRI
13. Ultrasound
1. Panoramic Radiography
• It is the most common extraoral radiography
technique.
• It is based on body section radiography which
uses a mechanism by which the x ray film and
the source of x ray film moves simultaneously
in opposite direction at same speed.
Rationale
• It helps in evaluation of both maxillary & mandibular
together with their associated structures in one film.
• It does not alarm the anxious child who may refuse
intraoral films.
• The structures come within the “zone of image layer”
are clearly visualized, but the structures outside this, is
blurred.
• Imaging for maxillary sinus, nasal fosae etc. can be
possible.
• Used in evaluation of traumatic injuries and patient
education.
2. Cephalomatric Radiography
• Pediatric dentists, orthodontists and
maxillofacial surgeons use cephalomatric
radiographs or a typical tracing of lateral ceph.
With constructed points, planes and angles.
3. Lateral Oblique view
• It can be taken by using a 5X7” screen film
combination.
• It can be taken to visualize either the body or
ramus of mandible.
4. Posteroanterior view
• It is taken with an 8X10” screen film
combination.
• It is used to evaluate the skull for any
pathology, trauma or devlopmental
anomalies.
5. Paranasal sinus view
• It is taken by 8X10” film combination.
• It is mainly indicates in the visualization of
paranasal sinuses, orbits, zygomaticofrontal
sutures.
6. Reverse-Towne projection
• It is taken with 8X10” screen film combination.
• It is indicated in suspected cases of condylar
neck fractures.
7. Submentovertex view
• It is also taken with 8X10”screen film
combination.
• It helps in visualization of condyles, sphenoid
sinus and curvature of mandible.
8. Digital Radiography
• The first digital imaging system, Radio Visio
Graphy(RVG) was invented by Dr. Frances
Mouyens and manufactured by Trophie
Radiologie in 1984.
• There are 2 methods of obtaining a digital
image:- direct method
indirect method
9. Wrist Radiography
• It is taken for bone estimation.
• In it, a plain film of the left wrist is taken and
the carpel and metacarpel bones are studied
for the degree of ossification.
10. Sialography
• It is specialized radiograph technique in which
a dye or contrast medium is introduced in a
retrograde fashion into the duct of salivary
gland and then radiograph is taken.
• Mainly indicated in case of stones within the
duct or Sjogren syndrome.
11. Computerized Tomography
• It is helpful in diagnosis of disorders involving
ossicles, neonatal maxillae and TMJ.
• TACT(tuned aperture computed tomography)
usd for diagnosis of External root resorption.
12. Magnetic Resonance Imaging
• It is a non-invasive technique in which high
strength, static magnetic field pulsed radio
waves are used to create an image.
• It is used to image head, neck and
musculoskeletal system, study of vascular
structures, evaluation of lymph nodes and
articular disc of TMJ.
13. Ultrasound
• It is valuable in evaluation of cyst and tumors
of orofacial region and salivary gland diseases.
• It makes the use of sound waves to generate
image.
Technical Errors
i. Improper placement of films.
ii. Cone cutting.
iii. Incorrect horizontal angulations.
iv. Improper vertical angulations.
v. Overexposure.
vi. A high exposure of patient to radiation
because of repetition of radiographic
examination due to an uncooperative child.
Incorrect Horizontal
Angulation: overlapped
contacts. Cause: central ray
not directed through inter
proximal spaces. Correction:
rimm alignment device .
Vertical angulation is too flat.
Insufficient angulation
Principle of Radiation
Safety1. Justification:-
• Risk vs benefit principle.
• It is the responsibility of the dentist.
2. Optimization:-
• Principle of radiation protection is ALARA- As
Low As Reasonably Achievable.
• Dose of radiation should be as minimum as
possible.
• Radiation protection should not only be of the
patient, but also of the personal and public in
waiting area.
Radiation Safety
Symbol
• The traditional symbol to denote radiation
hazard is called “Trefoil”.
• The symbol can be magenta or black, on a
yellow background.
• This should be displayed on the door of
radiology operatory to alert people about
radiation hazard.
Radiation
ProtectionPATIENT PROTECTION
Before exposure prescription of radiograph
should be justified.
- proper equipment.
-filtration to remove low
energy radiation.
- collimation to restrict the
size of the beam.
During Exposure X-ray films.
- intraoral use of E or F speed films.
- Extraoral use of intensifying
screens.
- use of holding films.
- increase in focal spot to film
distance.
- Decrease in time exposure by
increasing voltage (kVp) and
current(mA).
After exposure  proper processing of films.
- correct interpretation and
documentation.
Personal Protection (during exposure)
• Use of lead aprons, thyroid collar and lead
gloves.
• Operatory with lead barriers as per guidelines.
• If lead barrier is not present the personnel
should be standing at a distance of six feet
from the patient and in the area coming at 90
to 135 degree angulations from object.
• Holding of tube and film should be avoided.
• Use of film badges.
Public Protection
• If holding films for patient, use of lead aprons,
thyroid collar and lead gloves is
recommended.
• Operatory with lead barrier as guidelines.
• Use of radiation warning symbol.
• Dentistry for Child and Adolescent McDONALD
AVERY DEAN (8th edition)
• Textbook of Pedodontics Shobha Tandon 2nd
edition.
• Textbook of Radiology White and Pherroh.
Pediatric Radiology

Pediatric Radiology

  • 1.
  • 2.
    CONTENTS • Introduction • Compositionof film • Selection criteria and Radiographic examination • Types of radiographs • Technical errors • Principle of radiation safety • Radiation safety symbol • Radiation protection • References
  • 3.
    Introduction • Radiographic examinationplays an important role in the diagnosis and treatment planning in both children and adult. • A complete examination of the dentition & associated structures should include a radiographic survey. • The work of many scientist culminated in the discovery of X-ray by Roentgen on Novenber 8, 1895.
  • 4.
    Composition of Film •A radiographic film is an image receptor system. • On exposure there’s a formation of an invisible image or latent image, which when chemically processed transforms into a visible image that can be viewed under transillumination.
  • 6.
    • An X-rayfilm is composed of :- a. Base: made up of polyester, polyethylene terapthalate .  helps in supporting imulsion that gets chemically activated when exposed to X-rays. provides rigidity to the film.
  • 7.
    b. Adhesive layer:it is present over the base to attach the film emulsion to the film base. c. Film emulsion: It is the main image receptor system of X-ray film, as this is sensitive to both light and X-ray.  mainly consist of silver bromide crystals with some amount of silver iodide suspended in a gelatin matrix.
  • 8.
    Selection crtiteria and Radiographicexamination • Radiograph should be made only when there is an expectation that disease is present or when an undetected condition left untreated could adversely affect the patient’s dental health. • 2 important consideration when deciding whether to perform radiographic examination for children are: -stage of dentition development. -risk of dental caries.
  • 9.
    Criteria for exposingof radiographs in Asymptomatic children • Expectation to this rule includes when there is clinical evidence of injury, disease such as caries, pulpal pathosis, delayed or accelerated eruption or exfoliation of teeth, swelling, hemorrhage, pain or ulceration. • In such cases, radiograph is indicated to confirm the diagnosis and evaluate the treatment.
  • 10.
    Development of Dentitionas Criteria • Dental radiographs are indicated in following conditions:- Primary Dentition:-Determine the presence od Proximal caries. -If all surfaces of primary teeth can be examined clinically because of open contacts, then radiographs are not indicated. -If child’s behavior is doubtful then radiographs should be deferred until behavior improves.
  • 11.
    Early transtitional dentition:-radiographs are taken to evaluate the presence of interproximal caries, developmental anomalies of teeth and pathologic conditions of the hard and soft tissues of the mouth, jaws and associated structures.
  • 12.
    Early permanent dentition:-Radiographs are taken to evaluate the same tissues as in the early mixed dentition and to check the position and developmental status of thhe third molars. No other dental radiographs are routinely needed in children. others are prescribed for diagnostic purpose such as bitewing radiograph: detect interproximal caries periapical films : when teeth are clinically not palpable by 9 years of age.
  • 13.
    Radiographic examination • Whena new patient is seen at dental office and no previous radiographs are available, it may be necessary to obtain a baseline series of radiographs. • These examinations include the following:- a) Four-Film Series b) Eight-Film Survey c) Twelve-Film Survey d) Sixteen-Film Survey
  • 14.
    a.) Four-Film Series:-This series consist of -a maxillary and mandibular anterior occlsual -2 posterior bite-wing radiographs. b.) Eight-Film Survey:- This survey includes -a maxillary and a mandibular occlusal/periapical, -a right and left maxillary posterior occlusal/periapicals -left primary mandibular molar periapicals 2 posterior bitewings.
  • 15.
    c.) Twelve-Film Survey:-This examination includes -4 primary molar-premolar periapical radiographs, -4 canine periapical radiographs, -2 incisor periapical radiographs, -2 posterior bitewing radiographs. d.) Sixteen-Film Survey:- This examination consist of -12th film survey -addition of 4 permanent radiographs.
  • 16.
  • 18.
  • 19.
    NEW PATIENTS* Posteriorbitewing radiographs Individualized radiographic examination(periapical/occ lusal radiographs) Recall patients* Clinical caries & high risk factors for caries Posterior bitewing examination 6 month intervals or untill no carious lesion evidented. Posterior bitewing examination 6 month intervals or untill no carious lesion evidented. No clinical caries & no high risk factors for caries Posterior bitewing examination at 12-24 month interval Posterior bitewing examination at 12-24 month interval Periodontal disease or a history of periodontal treatment Indivisualized radiographic examination(priapical/ bitewing radiographs) Indivisualized radiographic examination(priapical/ bitewing radiographs) Growth and development assessment Usually not indicated Indivisualized radiographic examination(periapical/ bitewing radiographs) Patient category child Primary Dentition Transitional Dentition
  • 20.
    New patients* Indivisualizesradiographic examination(posterior bitewing and selected intraoral radiographs) Recall Patien Clinical caries & high risk factors for caries ts* Posterior bitewing radiographic examination 6-12 month interval No clinical caries & no high risk factors for caries Posterior bitewing examination 6 month intervals or untill no carious lesion evidented. Posterior bitewing examination at 18-36 month interval Periodontal disease or a history of periodontal treatment Indivisualized radiographic examination(priapical/ bitewing radiographs) Growth and development assessment Indivisualized radiographic examination(periapical/ bitewing radiographs) Permanent DentitionPatient category Adolescent
  • 21.
    TYPES OF RADIOGRAPHS • Thefilm used in pediatric dental practice for radiographic examination can be grouped into: i. Intraoral films ii. Extraoral films
  • 22.
    i. Intraoralfilms • Theseare meant for positioning inside the mouth during exposure. • There are 3 types of intraoral radiographic projections: o Intraoral periapical radiographs o Bitewing radiographs o Occlusal radiographs
  • 23.
    SIZE OF INTRAORAL FILMS.  SIZE 0 (22X35mm): used for bitewing and periapical radiographs for small children.  SIZE 1(24X40mm): used for radio graphing anterior teeth in adults.  SIZE 2(31X41mm) : standard film used for anterior occlusal radiograph, periapical radiograph and bitewing survey mixed and permanent dentition.
  • 24.
     SIZE 3(27X54mm): used for posterior bitewing examination.  SIZE 4(57X76mm) : visualizing the entire maxillary and mandibular arch.
  • 26.
    ii. Extra oralfilms • Most of these films are used along with intensifying film. • They are available in varying sizes depending upon the individual projection for which they are employed.  5X7” : used for TMJ view and lateral oblique view.  8X10” : used for lateral cephalograms, paranasal sinuses view, etc.  6X12” : used for orthopantomography.
  • 28.
    INTRAORALRADIOGRAPHS • There are3 types of intraoral projections: i. Intraoral periapical radiographs ii. Bitewing radiographs iii. Occlusal radiographs
  • 29.
    INTRAORAL PERIAPICAL RADIOGRAPHS •These are useful in the evaluation of teeth and their associated structures. • These can be taken by 2 techniques-  long cone or paralleling technique  short cone or bisecting angle technique
  • 31.
    Paralleling Technique • X-rayfilms are placed parallel to the long axis of teeth and the central ray is directed at right angle to teeth and film. • Film holder is needed as the film is placed farther away from the object.
  • 33.
    Advantages :- avoidsuperimposition of structures. - minimal magnification. Disadvantages:- small size of mouth in children precludes the placement of film beyond apical region. - can not be performed with shallow palate and shallow floor of mouth.
  • 34.
    Bisecting angle technique •It is based on the principle called the “Rule of Isometry”(which states that 2 triangles are equally if they have 2 equal angles and common side). • The central ray is directed perpendicular to a plane that bisects the angle created by long axis of teeth and film. • In primary dentition size 0 film should be used.
  • 36.
    Bitewing Radiographs • Itis a lateral projection of tooth crown in both jaws on same side. • It is very useful in delectation of incipient proximal caries and state of restoration. • It can be taken by using film size no. 0 or 1 or young children and no. 2 for older children. • The coronal portion of both maxillary and mandibular teeth visualized on the film.
  • 38.
    Occlusal radiographs • Theseare used in the evaluation of the entire maxillary and mandibular arch. • A larger film is used to cover the larger area in one film. • When smaller No. 2 film is used, the procedure is called “cracker bite” or “coolie” occlusal. • It is not indicated in children as it does not press the floor of mouth or tickle the soft palate.
  • 40.
    Extraoral andSpecializedRadiographing/Imaging 1. Panoramicradiography 2. Cephalomatric radiography 3. Lateral oblique view 4. Posteroanterior view 5. Paranasal sinus view 6. Reverse-town projection 7. Submentovertex view 8. Digital radiography 9. Wrist radiography 10. Sialography 11. Computerized tomography 12. MRI 13. Ultrasound
  • 41.
    1. Panoramic Radiography •It is the most common extraoral radiography technique. • It is based on body section radiography which uses a mechanism by which the x ray film and the source of x ray film moves simultaneously in opposite direction at same speed.
  • 42.
    Rationale • It helpsin evaluation of both maxillary & mandibular together with their associated structures in one film. • It does not alarm the anxious child who may refuse intraoral films. • The structures come within the “zone of image layer” are clearly visualized, but the structures outside this, is blurred. • Imaging for maxillary sinus, nasal fosae etc. can be possible. • Used in evaluation of traumatic injuries and patient education.
  • 43.
    2. Cephalomatric Radiography •Pediatric dentists, orthodontists and maxillofacial surgeons use cephalomatric radiographs or a typical tracing of lateral ceph. With constructed points, planes and angles.
  • 44.
    3. Lateral Obliqueview • It can be taken by using a 5X7” screen film combination. • It can be taken to visualize either the body or ramus of mandible.
  • 45.
    4. Posteroanterior view •It is taken with an 8X10” screen film combination. • It is used to evaluate the skull for any pathology, trauma or devlopmental anomalies.
  • 46.
    5. Paranasal sinusview • It is taken by 8X10” film combination. • It is mainly indicates in the visualization of paranasal sinuses, orbits, zygomaticofrontal sutures.
  • 47.
    6. Reverse-Towne projection •It is taken with 8X10” screen film combination. • It is indicated in suspected cases of condylar neck fractures.
  • 48.
    7. Submentovertex view •It is also taken with 8X10”screen film combination. • It helps in visualization of condyles, sphenoid sinus and curvature of mandible.
  • 49.
    8. Digital Radiography •The first digital imaging system, Radio Visio Graphy(RVG) was invented by Dr. Frances Mouyens and manufactured by Trophie Radiologie in 1984. • There are 2 methods of obtaining a digital image:- direct method indirect method
  • 50.
    9. Wrist Radiography •It is taken for bone estimation. • In it, a plain film of the left wrist is taken and the carpel and metacarpel bones are studied for the degree of ossification.
  • 51.
    10. Sialography • Itis specialized radiograph technique in which a dye or contrast medium is introduced in a retrograde fashion into the duct of salivary gland and then radiograph is taken. • Mainly indicated in case of stones within the duct or Sjogren syndrome.
  • 53.
    11. Computerized Tomography •It is helpful in diagnosis of disorders involving ossicles, neonatal maxillae and TMJ. • TACT(tuned aperture computed tomography) usd for diagnosis of External root resorption.
  • 54.
    12. Magnetic ResonanceImaging • It is a non-invasive technique in which high strength, static magnetic field pulsed radio waves are used to create an image. • It is used to image head, neck and musculoskeletal system, study of vascular structures, evaluation of lymph nodes and articular disc of TMJ.
  • 55.
    13. Ultrasound • Itis valuable in evaluation of cyst and tumors of orofacial region and salivary gland diseases. • It makes the use of sound waves to generate image.
  • 56.
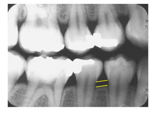
    Technical Errors i. Improperplacement of films. ii. Cone cutting. iii. Incorrect horizontal angulations. iv. Improper vertical angulations. v. Overexposure. vi. A high exposure of patient to radiation because of repetition of radiographic examination due to an uncooperative child.
  • 57.
    Incorrect Horizontal Angulation: overlapped contacts.Cause: central ray not directed through inter proximal spaces. Correction: rimm alignment device . Vertical angulation is too flat. Insufficient angulation
  • 58.
    Principle of Radiation Safety1.Justification:- • Risk vs benefit principle. • It is the responsibility of the dentist. 2. Optimization:- • Principle of radiation protection is ALARA- As Low As Reasonably Achievable. • Dose of radiation should be as minimum as possible. • Radiation protection should not only be of the patient, but also of the personal and public in waiting area.
  • 59.
    Radiation Safety Symbol • Thetraditional symbol to denote radiation hazard is called “Trefoil”. • The symbol can be magenta or black, on a yellow background. • This should be displayed on the door of radiology operatory to alert people about radiation hazard.
  • 60.
    Radiation ProtectionPATIENT PROTECTION Before exposureprescription of radiograph should be justified. - proper equipment. -filtration to remove low energy radiation. - collimation to restrict the size of the beam.
  • 61.
    During Exposure X-rayfilms. - intraoral use of E or F speed films. - Extraoral use of intensifying screens. - use of holding films. - increase in focal spot to film distance. - Decrease in time exposure by increasing voltage (kVp) and current(mA).
  • 62.
    After exposure proper processing of films. - correct interpretation and documentation.
  • 63.
    Personal Protection (duringexposure) • Use of lead aprons, thyroid collar and lead gloves. • Operatory with lead barriers as per guidelines. • If lead barrier is not present the personnel should be standing at a distance of six feet from the patient and in the area coming at 90 to 135 degree angulations from object. • Holding of tube and film should be avoided. • Use of film badges.
  • 65.
    Public Protection • Ifholding films for patient, use of lead aprons, thyroid collar and lead gloves is recommended. • Operatory with lead barrier as guidelines. • Use of radiation warning symbol.
  • 68.
    • Dentistry forChild and Adolescent McDONALD AVERY DEAN (8th edition) • Textbook of Pedodontics Shobha Tandon 2nd edition. • Textbook of Radiology White and Pherroh.