Pannic litisPannic litisPanniculitisPanniculitis
Nathan C. Walk, M.D.Nathan C. Walk, M.D.
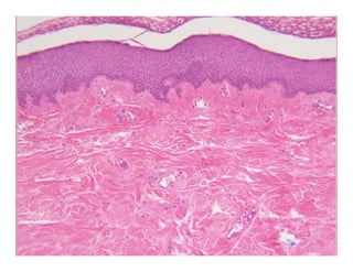
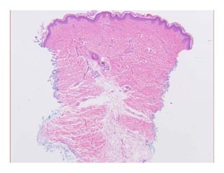
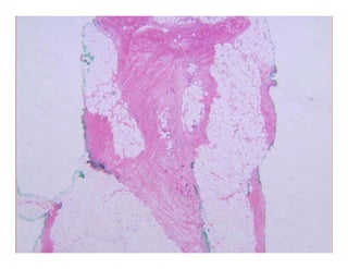
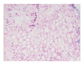
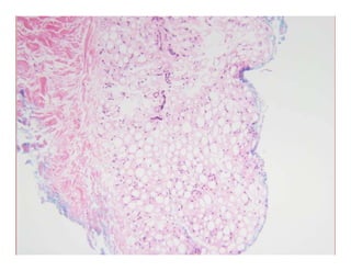
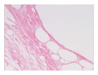
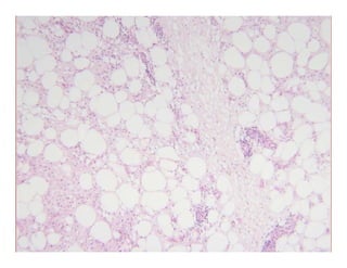
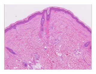
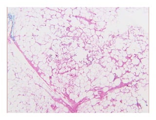
Normal morphology of subcutaneous fatNormal morphology of subcutaneous fatNormal morphology of subcutaneous fatNormal morphology of subcutaneous fat
SubSub--Q fat has a limited repertoire of responses toQ fat has a limited repertoire of responses toSubSub Q fat has a limited repertoire of responses toQ fat has a limited repertoire of responses to
noxious stimulinoxious stimuli
–– Fat necrosisFat necrosis
V i fV i fVarious forms:Various forms:
–– Enzymatic, crystalline, suppurative, hyalinizing, microcysticEnzymatic, crystalline, suppurative, hyalinizing, microcystic
–– LIPOPHAGICLIPOPHAGIC –– most common, least specificmost common, least specific
Fat often involved secondarily in another primary processFat often involved secondarily in another primary process–– Fat often involved secondarily in another primary processFat often involved secondarily in another primary process
VasculitisVasculitis
Deep fungalDeep fungal
R di tiR di tiRadiationRadiation
TraumaTrauma
metastaticmetastatic
C id bl l !!C id bl l !!–– Considerable overlap!!Considerable overlap!!
Stages of lesionStages of lesiongg
–– Neutrophils first….Neutrophils first….
–– Lymphocytes with giant cells and lipidLymphocytes with giant cells and lipid--containing macrophagescontaining macrophages
FibrosisFibrosis–– FibrosisFibrosis
Adequate biopsy is the keyAdequate biopsy is the key
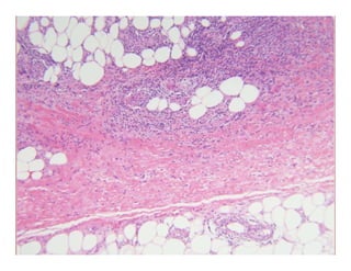
PanniculitisPanniculitis
Septal panniculitis (Venous disorders)Septal panniculitis (Venous disorders)
–– Erythema nodosumErythema nodosum
–– Necrobiosis lipoidicaNecrobiosis lipoidicapp
–– SclerodermaScleroderma
Lobular panniculitis (Arterial supply disruption)Lobular panniculitis (Arterial supply disruption)
–– Subcutaneous fat necrosis of the newbornSubcutaneous fat necrosis of the newbornSubcutaneous fat necrosis of the newbornSubcutaneous fat necrosis of the newborn
–– Sclerema neonatorumSclerema neonatorum
–– WeberWeber--Christian diseaseChristian disease
–– Alpha 1Alpha 1--antitrypsin deficiencyantitrypsin deficiencyAlpha 1Alpha 1--antitrypsin deficiencyantitrypsin deficiency
–– Cytophagic histiocytic panniculitisCytophagic histiocytic panniculitis
–– PanniculitisPanniculitis--like Tlike T--cell lymphomacell lymphoma
Pancreatic panniculitisPancreatic panniculitis–– Pancreatic panniculitisPancreatic panniculitis
–– Lupus panniculitisLupus panniculitis
Panniculitis associated with large vessel vasculitisPanniculitis associated with large vessel vasculitis
l dl d–– Cutaneous polyarteritis nodosaCutaneous polyarteritis nodosa
–– Superficial migratory thrombophlebitisSuperficial migratory thrombophlebitis
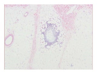
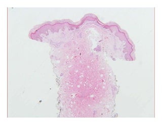
Case 129Case 129Case 129Case 129
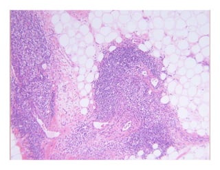
Lupus profundusLupus profundusLupus profundusLupus profundus
½ of cases have epidermal and dermal changes of LE½ of cases have epidermal and dermal changes of LE
–– ?Which are…..?Which are…..
Lobular panniculitis with prominent lymphocytic infiltrateLobular panniculitis with prominent lymphocytic infiltrateLobular panniculitis with prominent lymphocytic infiltrateLobular panniculitis with prominent lymphocytic infiltrate
–– Characteristic feature:Characteristic feature: paraseptal lymphoid follicles, sometimes withparaseptal lymphoid follicles, sometimes with
germinal centergerminal center
Uncommon in other panniculitidesUncommon in other panniculitides
Late lesions with dystrophic calcificationLate lesions with dystrophic calcification
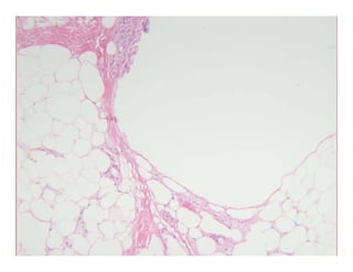
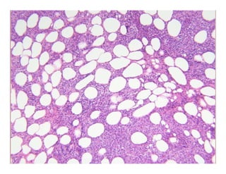
Cas130Cas130Cas130Cas130
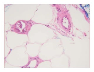
ParaffinomaParaffinoma
k S l i li lk S l i li laka…Sclerosing lipogranulomaaka…Sclerosing lipogranuloma
Special form of facticial panniculitis resulting from injection of lipiSpecial form of facticial panniculitis resulting from injection of lipi
(often paraffin) into subcutaneous tissue(often paraffin) into subcutaneous tissue
Well circumscribed noduleWell circumscribed nodulee c cu sc bed odu ee c cu sc bed odu e
? Swiss cheese appearance? Swiss cheese appearance
Bands of hyaline fibrous tissue between fat cells and cystic spacesBands of hyaline fibrous tissue between fat cells and cystic spaces
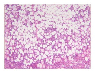
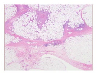
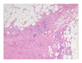
Case 131Case 131Case 131Case 131
Lobular panniculitis, c/w ErythemaLobular panniculitis, c/w Erythema
i di dinduratuminduratum
In lobular panniculitides, inflammatory infiltrate isIn lobular panniculitides, inflammatory infiltrate is
t th h t th l b l BUT th i ftt th h t th l b l BUT th i ftpresent throughout the lobule…BUT, there is often somepresent throughout the lobule…BUT, there is often some
septal involvement as well.septal involvement as well.
Nodular vasculitis/Erythema induratumNodular vasculitis/Erythema induratum
–– Originally 1 entity, then 2 (Bazin, Whitfield), now one again?Originally 1 entity, then 2 (Bazin, Whitfield), now one again?
–– Appears to be a disease of diverse etiologiesAppears to be a disease of diverse etiologies
Lobular or septolobular panniculitis… with:Lobular or septolobular panniculitis… with:
–– Granulomatous inflammationGranulomatous inflammation –– usually poorly developed, ALSOusually poorly developed, ALSO
with neutrophils lymphocytes and some plasma cellswith neutrophils lymphocytes and some plasma cellswith neutrophils, lymphocytes, and some plasma cellswith neutrophils, lymphocytes, and some plasma cells
–– VasculitisVasculitis
–– NecrosisNecrosis
–– Septal fibrosisSeptal fibrosis–– Septal fibrosisSeptal fibrosis
Case 132Case 132Case 132Case 132
LipodystrophyLipodystrophyLipodystrophyLipodystrophy
LipoatrophyLipoatrophyp p yp p y
–– Primary, idiopathic = lipodystrophyPrimary, idiopathic = lipodystrophy
–– SecondarySecondary
Follows other panniculitides (lupus, morphea, )Follows other panniculitides (lupus, morphea, )Follows other panniculitides (lupus, morphea, …)Follows other panniculitides (lupus, morphea, …)
Looks the same histologicallyLooks the same histologically
InIn established casesestablished cases –– atrophy of fat withOUTatrophy of fat withOUTInIn established casesestablished cases atrophy of fat withOUTatrophy of fat withOUT
inflammationinflammation
–– Involutional changes… small lipocytes and interveningInvolutional changes… small lipocytes and intervening
hyaline or myxoid connective tissuehyaline or myxoid connective tissuehyaline or myxoid connective tissuehyaline or myxoid connective tissue
Early or “active” lesions may have lobularEarly or “active” lesions may have lobular
panniculitis w/ foam cells, small fat cystspanniculitis w/ foam cells, small fat cysts
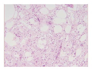
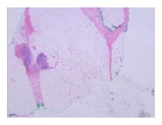
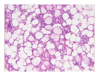
Case 133Case 133Case 133Case 133
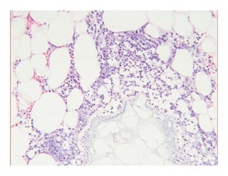
Pancreatic panniculitisPancreatic panniculitisPancreatic panniculitisPancreatic panniculitis
Lobular panniculitisLobular panniculitisLobular panniculitisLobular panniculitis
Enzymatic fat necrosisEnzymatic fat necrosis
Li f ti ith b kd f f t llLi f ti ith b kd f f t ll–– Liquefaction with breakdown of fat cellsLiquefaction with breakdown of fat cells
GhostGhost--like outline of fat cells remaininglike outline of fat cells remaining
At margins of necrotic fat:At margins of necrotic fat:–– At margins of necrotic fat:At margins of necrotic fat:
Variable neutrophils, nuclear dusting, fineVariable neutrophils, nuclear dusting, fine
basophilic calcium deposits, hemorrhagebasophilic calcium deposits, hemorrhagebasophilic calcium deposits, hemorrhagebasophilic calcium deposits, hemorrhage
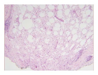
Case 134Case 134Case 134Case 134
Septal panniculitis, c/w ErythemaSeptal panniculitis, c/w Erythema
ddNodosumNodosum
Septal panniculitisSeptal panniculitis
–– Mostly lymphocytes, variable numbers of giant cellsMostly lymphocytes, variable numbers of giant cells
–– Center of lobule sparedCenter of lobule spared
Early lesionsEarly lesions –– more neutrophilsmore neutrophils
Later lesionsLater lesions –– more fibrosis, septal thickeningmore fibrosis, septal thickening
Case 135Case 135Case 135Case 135
Calcifying panniculitisCalcifying panniculitisCalcifying panniculitisCalcifying panniculitis
CalciphylaxisCalciphylaxis
R lifR lif th t i dth t i d–– Rare, lifeRare, life--threatening syndromethreatening syndrome
–– Progressive microvascular and superficial soft tissue calcificationProgressive microvascular and superficial soft tissue calcification
–– Setting of secondary hyperparathyroidism and chronic renal failureSetting of secondary hyperparathyroidism and chronic renal failure
–– Painful violaceous skin lesions that progress to nonhealing ulcers withPainful violaceous skin lesions that progress to nonhealing ulcers with
underlying tissue necrosisunderlying tissue necrosis
–– Many complications…mortality >60%Many complications…mortality >60%
–– Histology:Histology:
Intravascular calcium deposits within small and mediumIntravascular calcium deposits within small and medium--sized vesselssized vessels
Also within extravascular soft tissues and visceraAlso within extravascular soft tissues and viscera
May have endovascular fibroblasticMay have endovascular fibroblastic intimal proliferation luminal thrombosisintimal proliferation luminal thrombosisMay have endovascular fibroblasticMay have endovascular fibroblastic--intimal proliferation, luminal thrombosis,intimal proliferation, luminal thrombosis,
or calcific obliteration of vesselsor calcific obliteration of vessels
“Clean” necrosis“Clean” necrosis
–– RelativelyRelatively scantscant inflammationinflammation
“Calcifying panniculitis”“Calcifying panniculitis”y g py g p
–– A number of other conditions may imitate calciphylaxisA number of other conditions may imitate calciphylaxis
histopathologicallyhistopathologically –– diagnosis requires careful integration ofdiagnosis requires careful integration of
clinical and pathologic informationclinical and pathologic information
Peripheral vascular diseasePeripheral vascular disease
Atheroembolus syndromeAtheroembolus syndrome
Septic embolismSeptic embolism
DermatomyositisDermatomyositisDermatomyositisDermatomyositis
Mixed CTDMixed CTD
Antiphospholipid antibody syndromeAntiphospholipid antibody syndrome
DICDICDICDIC
Pyoderma gangrenosumPyoderma gangrenosum
LipodermatosclerosisLipodermatosclerosis
….….
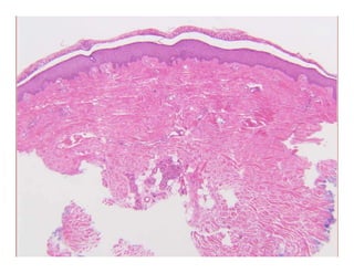
Case 136Case 136Case 136Case 136
Subcutaneous fat necrosis of theSubcutaneous fat necrosis of the
bbnewbornnewborn
Normal epidermis and dermis with anNormal epidermis and dermis with anNormal epidermis and dermis with anNormal epidermis and dermis with an
underlying lobular panniculitisunderlying lobular panniculitis
–– Mixed inflammatory infiltrateMixed inflammatory infiltrateyy
Many fat cells retain their outlineMany fat cells retain their outline
–– Narrow clefts radiate from periphery of cellNarrow clefts radiate from periphery of cellNarrow clefts radiate from periphery of cellNarrow clefts radiate from periphery of cell
Contain doubly refractile needleContain doubly refractile needle--like crystalslike crystals
Same histology as Sclerema neonatorumSame histology as Sclerema neonatorum
–– Except, SN has less inflammationExcept, SN has less inflammation
Case 137Case 137Case 137Case 137
LipodermatosclerosisLipodermatosclerosisLipodermatosclerosisLipodermatosclerosis
Synonyms:Synonyms:Synonyms:Synonyms:
–– Membranous lipodystrophyMembranous lipodystrophy
–– Sclerosing PanniculitisSclerosing Panniculitisgg
Histology:Histology:
–– Stasis changes at topStasis changes at top
–– Septal fibrosisSeptal fibrosis –– THICK septaTHICK septa
–– Fatty microcysts with “membranocystic change”Fatty microcysts with “membranocystic change”
Feathery cuticle inside cystFeathery cuticle inside cyst –– “arabesque pattern”“arabesque pattern”
Case 138Case 138Case 138Case 138
Granulomatous panniculitisGranulomatous panniculitisGranulomatous panniculitisGranulomatous panniculitis
–– AFB, GMS, Gram all negativeAFB, GMS, Gram all negative
–– Secondary to:Secondary to:
TraumaTraumaTraumaTrauma
InfectionInfection
…..?…..?…..?…..?

Panniculitis. Nathan C. Walk

  • 1.
  • 2.
    Normal morphology ofsubcutaneous fatNormal morphology of subcutaneous fatNormal morphology of subcutaneous fatNormal morphology of subcutaneous fat
  • 3.
    SubSub--Q fat hasa limited repertoire of responses toQ fat has a limited repertoire of responses toSubSub Q fat has a limited repertoire of responses toQ fat has a limited repertoire of responses to noxious stimulinoxious stimuli –– Fat necrosisFat necrosis V i fV i fVarious forms:Various forms: –– Enzymatic, crystalline, suppurative, hyalinizing, microcysticEnzymatic, crystalline, suppurative, hyalinizing, microcystic –– LIPOPHAGICLIPOPHAGIC –– most common, least specificmost common, least specific Fat often involved secondarily in another primary processFat often involved secondarily in another primary process–– Fat often involved secondarily in another primary processFat often involved secondarily in another primary process VasculitisVasculitis Deep fungalDeep fungal R di tiR di tiRadiationRadiation TraumaTrauma metastaticmetastatic C id bl l !!C id bl l !!–– Considerable overlap!!Considerable overlap!!
  • 4.
    Stages of lesionStagesof lesiongg –– Neutrophils first….Neutrophils first…. –– Lymphocytes with giant cells and lipidLymphocytes with giant cells and lipid--containing macrophagescontaining macrophages FibrosisFibrosis–– FibrosisFibrosis Adequate biopsy is the keyAdequate biopsy is the key
  • 5.
    PanniculitisPanniculitis Septal panniculitis (Venousdisorders)Septal panniculitis (Venous disorders) –– Erythema nodosumErythema nodosum –– Necrobiosis lipoidicaNecrobiosis lipoidicapp –– SclerodermaScleroderma Lobular panniculitis (Arterial supply disruption)Lobular panniculitis (Arterial supply disruption) –– Subcutaneous fat necrosis of the newbornSubcutaneous fat necrosis of the newbornSubcutaneous fat necrosis of the newbornSubcutaneous fat necrosis of the newborn –– Sclerema neonatorumSclerema neonatorum –– WeberWeber--Christian diseaseChristian disease –– Alpha 1Alpha 1--antitrypsin deficiencyantitrypsin deficiencyAlpha 1Alpha 1--antitrypsin deficiencyantitrypsin deficiency –– Cytophagic histiocytic panniculitisCytophagic histiocytic panniculitis –– PanniculitisPanniculitis--like Tlike T--cell lymphomacell lymphoma Pancreatic panniculitisPancreatic panniculitis–– Pancreatic panniculitisPancreatic panniculitis –– Lupus panniculitisLupus panniculitis Panniculitis associated with large vessel vasculitisPanniculitis associated with large vessel vasculitis l dl d–– Cutaneous polyarteritis nodosaCutaneous polyarteritis nodosa –– Superficial migratory thrombophlebitisSuperficial migratory thrombophlebitis
  • 6.
  • 13.
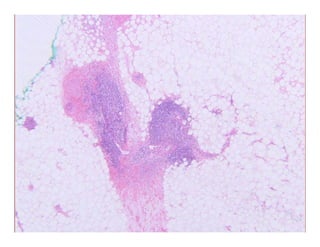
    Lupus profundusLupus profundusLupusprofundusLupus profundus ½ of cases have epidermal and dermal changes of LE½ of cases have epidermal and dermal changes of LE –– ?Which are…..?Which are….. Lobular panniculitis with prominent lymphocytic infiltrateLobular panniculitis with prominent lymphocytic infiltrateLobular panniculitis with prominent lymphocytic infiltrateLobular panniculitis with prominent lymphocytic infiltrate –– Characteristic feature:Characteristic feature: paraseptal lymphoid follicles, sometimes withparaseptal lymphoid follicles, sometimes with germinal centergerminal center Uncommon in other panniculitidesUncommon in other panniculitides Late lesions with dystrophic calcificationLate lesions with dystrophic calcification
  • 14.
  • 20.
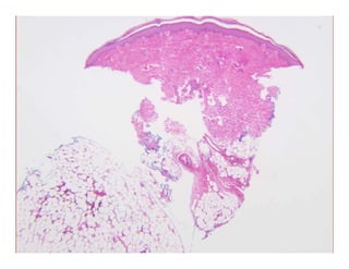
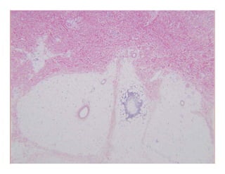
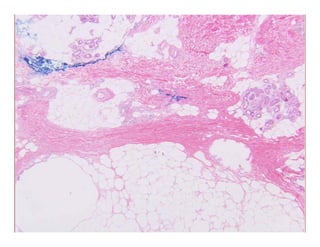
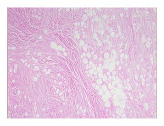
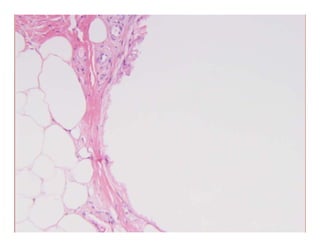
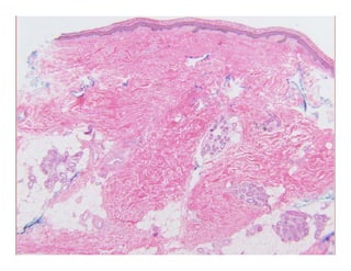
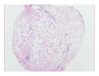
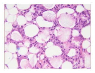
    ParaffinomaParaffinoma k S li li lk S l i li laka…Sclerosing lipogranulomaaka…Sclerosing lipogranuloma Special form of facticial panniculitis resulting from injection of lipiSpecial form of facticial panniculitis resulting from injection of lipi (often paraffin) into subcutaneous tissue(often paraffin) into subcutaneous tissue Well circumscribed noduleWell circumscribed nodulee c cu sc bed odu ee c cu sc bed odu e ? Swiss cheese appearance? Swiss cheese appearance Bands of hyaline fibrous tissue between fat cells and cystic spacesBands of hyaline fibrous tissue between fat cells and cystic spaces
  • 21.
  • 28.
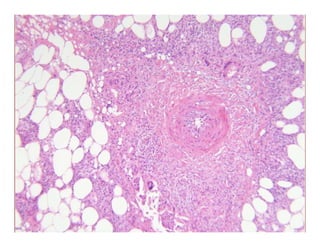
    Lobular panniculitis, c/wErythemaLobular panniculitis, c/w Erythema i di dinduratuminduratum In lobular panniculitides, inflammatory infiltrate isIn lobular panniculitides, inflammatory infiltrate is t th h t th l b l BUT th i ftt th h t th l b l BUT th i ftpresent throughout the lobule…BUT, there is often somepresent throughout the lobule…BUT, there is often some septal involvement as well.septal involvement as well. Nodular vasculitis/Erythema induratumNodular vasculitis/Erythema induratum –– Originally 1 entity, then 2 (Bazin, Whitfield), now one again?Originally 1 entity, then 2 (Bazin, Whitfield), now one again? –– Appears to be a disease of diverse etiologiesAppears to be a disease of diverse etiologies Lobular or septolobular panniculitis… with:Lobular or septolobular panniculitis… with: –– Granulomatous inflammationGranulomatous inflammation –– usually poorly developed, ALSOusually poorly developed, ALSO with neutrophils lymphocytes and some plasma cellswith neutrophils lymphocytes and some plasma cellswith neutrophils, lymphocytes, and some plasma cellswith neutrophils, lymphocytes, and some plasma cells –– VasculitisVasculitis –– NecrosisNecrosis –– Septal fibrosisSeptal fibrosis–– Septal fibrosisSeptal fibrosis
  • 29.
  • 34.
    LipodystrophyLipodystrophyLipodystrophyLipodystrophy LipoatrophyLipoatrophyp p ypp y –– Primary, idiopathic = lipodystrophyPrimary, idiopathic = lipodystrophy –– SecondarySecondary Follows other panniculitides (lupus, morphea, )Follows other panniculitides (lupus, morphea, )Follows other panniculitides (lupus, morphea, …)Follows other panniculitides (lupus, morphea, …) Looks the same histologicallyLooks the same histologically InIn established casesestablished cases –– atrophy of fat withOUTatrophy of fat withOUTInIn established casesestablished cases atrophy of fat withOUTatrophy of fat withOUT inflammationinflammation –– Involutional changes… small lipocytes and interveningInvolutional changes… small lipocytes and intervening hyaline or myxoid connective tissuehyaline or myxoid connective tissuehyaline or myxoid connective tissuehyaline or myxoid connective tissue Early or “active” lesions may have lobularEarly or “active” lesions may have lobular panniculitis w/ foam cells, small fat cystspanniculitis w/ foam cells, small fat cysts
  • 35.
  • 41.
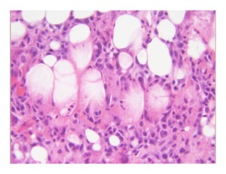
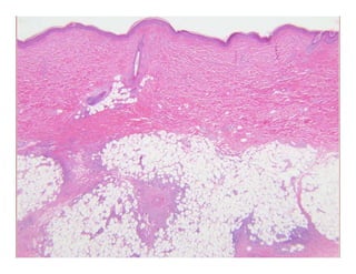
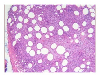
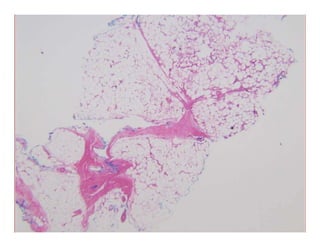
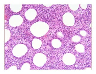
    Pancreatic panniculitisPancreatic panniculitisPancreaticpanniculitisPancreatic panniculitis Lobular panniculitisLobular panniculitisLobular panniculitisLobular panniculitis Enzymatic fat necrosisEnzymatic fat necrosis Li f ti ith b kd f f t llLi f ti ith b kd f f t ll–– Liquefaction with breakdown of fat cellsLiquefaction with breakdown of fat cells GhostGhost--like outline of fat cells remaininglike outline of fat cells remaining At margins of necrotic fat:At margins of necrotic fat:–– At margins of necrotic fat:At margins of necrotic fat: Variable neutrophils, nuclear dusting, fineVariable neutrophils, nuclear dusting, fine basophilic calcium deposits, hemorrhagebasophilic calcium deposits, hemorrhagebasophilic calcium deposits, hemorrhagebasophilic calcium deposits, hemorrhage
  • 42.
  • 49.
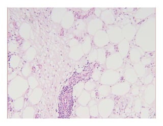
    Septal panniculitis, c/wErythemaSeptal panniculitis, c/w Erythema ddNodosumNodosum Septal panniculitisSeptal panniculitis –– Mostly lymphocytes, variable numbers of giant cellsMostly lymphocytes, variable numbers of giant cells –– Center of lobule sparedCenter of lobule spared Early lesionsEarly lesions –– more neutrophilsmore neutrophils Later lesionsLater lesions –– more fibrosis, septal thickeningmore fibrosis, septal thickening
  • 50.
  • 60.
    Calcifying panniculitisCalcifying panniculitisCalcifyingpanniculitisCalcifying panniculitis CalciphylaxisCalciphylaxis R lifR lif th t i dth t i d–– Rare, lifeRare, life--threatening syndromethreatening syndrome –– Progressive microvascular and superficial soft tissue calcificationProgressive microvascular and superficial soft tissue calcification –– Setting of secondary hyperparathyroidism and chronic renal failureSetting of secondary hyperparathyroidism and chronic renal failure –– Painful violaceous skin lesions that progress to nonhealing ulcers withPainful violaceous skin lesions that progress to nonhealing ulcers with underlying tissue necrosisunderlying tissue necrosis –– Many complications…mortality >60%Many complications…mortality >60% –– Histology:Histology: Intravascular calcium deposits within small and mediumIntravascular calcium deposits within small and medium--sized vesselssized vessels Also within extravascular soft tissues and visceraAlso within extravascular soft tissues and viscera May have endovascular fibroblasticMay have endovascular fibroblastic intimal proliferation luminal thrombosisintimal proliferation luminal thrombosisMay have endovascular fibroblasticMay have endovascular fibroblastic--intimal proliferation, luminal thrombosis,intimal proliferation, luminal thrombosis, or calcific obliteration of vesselsor calcific obliteration of vessels “Clean” necrosis“Clean” necrosis –– RelativelyRelatively scantscant inflammationinflammation
  • 61.
    “Calcifying panniculitis”“Calcifying panniculitis”yg py g p –– A number of other conditions may imitate calciphylaxisA number of other conditions may imitate calciphylaxis histopathologicallyhistopathologically –– diagnosis requires careful integration ofdiagnosis requires careful integration of clinical and pathologic informationclinical and pathologic information Peripheral vascular diseasePeripheral vascular disease Atheroembolus syndromeAtheroembolus syndrome Septic embolismSeptic embolism DermatomyositisDermatomyositisDermatomyositisDermatomyositis Mixed CTDMixed CTD Antiphospholipid antibody syndromeAntiphospholipid antibody syndrome DICDICDICDIC Pyoderma gangrenosumPyoderma gangrenosum LipodermatosclerosisLipodermatosclerosis ….….
  • 62.
  • 68.
    Subcutaneous fat necrosisof theSubcutaneous fat necrosis of the bbnewbornnewborn Normal epidermis and dermis with anNormal epidermis and dermis with anNormal epidermis and dermis with anNormal epidermis and dermis with an underlying lobular panniculitisunderlying lobular panniculitis –– Mixed inflammatory infiltrateMixed inflammatory infiltrateyy Many fat cells retain their outlineMany fat cells retain their outline –– Narrow clefts radiate from periphery of cellNarrow clefts radiate from periphery of cellNarrow clefts radiate from periphery of cellNarrow clefts radiate from periphery of cell Contain doubly refractile needleContain doubly refractile needle--like crystalslike crystals Same histology as Sclerema neonatorumSame histology as Sclerema neonatorum –– Except, SN has less inflammationExcept, SN has less inflammation
  • 69.
  • 76.
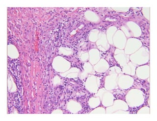
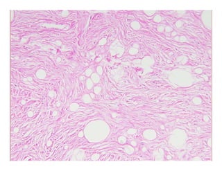
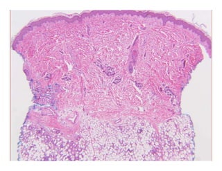
    LipodermatosclerosisLipodermatosclerosisLipodermatosclerosisLipodermatosclerosis Synonyms:Synonyms:Synonyms:Synonyms: –– Membranous lipodystrophyMembranouslipodystrophy –– Sclerosing PanniculitisSclerosing Panniculitisgg Histology:Histology: –– Stasis changes at topStasis changes at top –– Septal fibrosisSeptal fibrosis –– THICK septaTHICK septa –– Fatty microcysts with “membranocystic change”Fatty microcysts with “membranocystic change” Feathery cuticle inside cystFeathery cuticle inside cyst –– “arabesque pattern”“arabesque pattern”
  • 77.
  • 84.
    Granulomatous panniculitisGranulomatous panniculitisGranulomatouspanniculitisGranulomatous panniculitis –– AFB, GMS, Gram all negativeAFB, GMS, Gram all negative –– Secondary to:Secondary to: TraumaTraumaTraumaTrauma InfectionInfection …..?…..?…..?…..?