Externconference
PRAKAIRAT CHALERMPORNPONG
Case
Case : 16 years old Thai man
Underlying disease : -
Chief complaint : มีแผลที่เท้าซ้าย 5 hr PTA
Primarysurvey
Airway & C-spine protection:
can speak , no cervical spine tenderness
Breathing & ventilation :
no wound at chest, normal & equal chest expansion , no subcutaneous emphysema , equal
breath sound both lungs, trachea in midline, RR 18/min, CCT negative
Circulation & hemorrhagic control:
BP 106/61 mmHg, PR 98 bpm
Primarysurvey
Disability & neurological status:
GCS: E4V5M6, Pupils 3 mm RTLBE
Exposure:
Laceration wound at left mid foot dorsal side size 6 x 2 cm seen tendon tear and laceration
wound 5 x 1 cm , Laceration wound at 3rd and 5th toe left foot size 1 cm , 1 cm dorsalis
pedis pulse 2+ , tibialis posterior pulse 2+
Secondarysurvey-History
Allergy: No allergy
Medication: No medication
Past illness: No underlying disease, No previous surgery
Last meal: 18 September 2017, 20.00
Event: ผู้ป่วยให้ประวัติว่าขี่รถมอเตอร์ไซด์ล้ม เท้าซ้ายกระแทกกับตอไม้ไม่มีศีรษะกระแทก
ไม่มีสลบ จาเหตุการณ์ได้ หลังจากล้ม กระดกนิ้วเท้าซ้ายได้แค่นิ้วโป้ง เจ็บบริเวณแผลที่เท้ามาก
Secondarysurvey-Examination
Head & Maxillofacial:
No wound, no facial deformities, no ecchymosis
C-spine & Neck:
No wound at neck, can movement without pain, no tenderness at posterior midline
Chest:
Trachea in midline, equal lung expansion , breath sound : clear and equal both lungs,
no subcutaneous emphysema , CCT negative
Secondarysurvey-Examination
Abdomen & Pelvis:
no wound , no ecchymosis , normoactive bowel sound,
soft, not tender , no guarding , no rebound tenderness , PCT negative
Extremities:
laceration wound at left mid foot dorsal side size 6 x2 cm seen tendon tear and laceration
wound 5 x 1 cm
laceration wound at 2nd and 4th toe left foot size 2 cm , 2 cm
dorsalis pedis pulse 2+ , tibialis posterior pulse 2+
Secondarysurvey-Examination
Musculoskeletal:
laceration wound at left mid foot dorsal side size 6 x 2 cm seen tendon tear and laceration
wound 5 x 1 cm
laceration wound at 2nd and 4th toe left foot size 2 cm , 2 cm
dorsalis pedis pulse 2+ , tibialis posterior pulse 2+
Neurologic:
GCS: E4V5M6 , pupils 3 mm RTLBE, full EOM, no facial palsy
Motor: grade V all extremities except cannot extend 2nd - 5th toe at left foot
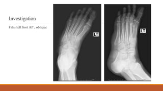
Investigation
Film left foot AP , oblique
Investigation
Film left ankle AP , lateral
Film left ankle mortis
Investigation
Diagnosis
Opened fracture at tarsal bone with tear extensor tendon of left foot ( classification IIIA )
Management
Nss irrigation + remove foreign body
IV ATB : Cefazolin + Gentamicin + PGS
Tetanus toxoid vaccine 1 course
Pain control : Tramol
Set OR for debridement with tendon repair
Openfracture
a fracture with direct communication to the external environment
Etiology
Open fractures can result from a variety of injuries. Common direct mechanisms include
high-energy trauma, such as motor vehicle accidents, firearms, and falls from a height.
Indirect mechanisms include low-energy torsional injuries, such as those sustained during
sports and falls from a standing height. The extent of trauma is directly related to the
amount of energy imparted through the mechanism of injury.
Epidemiology
Crush injuries are the most common cause of open fractures, followed by falls from a
standing height and road traffic accidents.9 Open fractures occur more commonly in males
than in females (7:3), with a mean age of 40.8 and 56 years
•Fracture management begins after initial trauma survey and resuscitation is complete
•Antibiotics
•initiate early IV antibiotics and update tetanus prophylaxis
•Control bleeding
•direct pressure
•do not blindly clamp or place tourniquets on damaged extremities
•Assessment
•soft-tissue damage
•neurovascular exam
Intheemergency room
Dressing
◦remove gross debris from wound
◦place sterile saline-soaked dressing on the wound
Stabilize
◦splint fracture for temporary stabilization
◦decreases pain, disruption of clots , facilitates bed transfers and ambulation, prevents
further soft tissue injury, and promotes healing.
Intheemergency room
Intheoperatingroom
Aggressive debridement and irrigation
•prevention of deep infection
•saline shown to be most effective irrigating agent
•on average, 3L of saline are used for each successive Gustilo type
•Type I: 3L
•Type II: 6L
•Type III: 9L
•bony fragments without soft tissue attachment can be removed
•Fracture stabilization : internal or external fixation
•Staged debridement and irrigation : every 24 to 48 hours as needed
•Early soft tissue coverage or wound closure is ideal
•timing of flap coverage for open tibial fractures remains controversial
•increased risk of infection beyond 7 days
•Can place antibiotic bead-pouch in open dirty wounds
•beads made by mixing methylmethacrylate with heat-stable antibiotic powder
Intheoperatingroom
AntibioticTreatment
•Gustilo Type I and II
•1st generation cephalosporin
•clindamycin or vancomycin can also be used if allergies exist
•Gustilo Type III
•1st generation cephalosporin and aminoglycoside
•Farm injuries or possible bowel contamination
•add penicillin for anaerobic coverage (clostridium)
Duration
- initiate as soon as possible
◦increased infection rate when antibiotics are delayed for more than 3 hours from time of
injury
- continue for 24 hours after initial injury if wound is able to be closed primarily
-continue until 24 hours after final closure if wound is not closed during initial surgical
debridement
AntibioticTreatment
TetanusProphylaxis
Initiate in emergency room or trauma bay
Two forms of prophylaxis
◦toxoid dose 0.5 mL, regardless of age
◦immune globulin dosing
◦<5-years-old receives 75U
◦5-10-years-old receives 125U
◦>10-years-old receives 250U
◦toxoid and immunoglobulin should be given intramuscularly with two different syringes
in two different locations
Guidelines for tetanus prophylaxis depend on 3 factors
•complete or incomplete vaccination history (3 doses)
•date of most recent vaccination
•severity of wound
TetanusProphylaxis
References
1. Mohamad J. Halawi, MD; Michael P. Morwood, MD (2015) 'Acute Management of Open
Fractures: An Evidence-Based Review', Orthopedics, 38(11), pp.1025-1033.
2. ธไนนิตย์โชตนภูติ,ธรรมนูญ ศรีสอ้าน,สมภพ ภู่ วิทยา และคณะ (2557) Orthopedics for
medical student, 1 edn., โครงการตารา วิทยาลัยแพทยศาสตร์พระมงกุฎเกล้า: นาอักษรการ
พิมพ์.
3. David Abbasi , Ben Taylor (2016) Open Fractures Management, Available
at: https://www.orthobullets.com/trauma/1004/open-fractures-management (Accessed: 20th
September 2017).
Thankyou

Open fracture

  • 1.
  • 2.
    Case Case : 16years old Thai man Underlying disease : - Chief complaint : มีแผลที่เท้าซ้าย 5 hr PTA
  • 3.
    Primarysurvey Airway & C-spineprotection: can speak , no cervical spine tenderness Breathing & ventilation : no wound at chest, normal & equal chest expansion , no subcutaneous emphysema , equal breath sound both lungs, trachea in midline, RR 18/min, CCT negative Circulation & hemorrhagic control: BP 106/61 mmHg, PR 98 bpm
  • 4.
    Primarysurvey Disability & neurologicalstatus: GCS: E4V5M6, Pupils 3 mm RTLBE Exposure: Laceration wound at left mid foot dorsal side size 6 x 2 cm seen tendon tear and laceration wound 5 x 1 cm , Laceration wound at 3rd and 5th toe left foot size 1 cm , 1 cm dorsalis pedis pulse 2+ , tibialis posterior pulse 2+
  • 5.
    Secondarysurvey-History Allergy: No allergy Medication:No medication Past illness: No underlying disease, No previous surgery Last meal: 18 September 2017, 20.00 Event: ผู้ป่วยให้ประวัติว่าขี่รถมอเตอร์ไซด์ล้ม เท้าซ้ายกระแทกกับตอไม้ไม่มีศีรษะกระแทก ไม่มีสลบ จาเหตุการณ์ได้ หลังจากล้ม กระดกนิ้วเท้าซ้ายได้แค่นิ้วโป้ง เจ็บบริเวณแผลที่เท้ามาก
  • 6.
    Secondarysurvey-Examination Head & Maxillofacial: Nowound, no facial deformities, no ecchymosis C-spine & Neck: No wound at neck, can movement without pain, no tenderness at posterior midline Chest: Trachea in midline, equal lung expansion , breath sound : clear and equal both lungs, no subcutaneous emphysema , CCT negative
  • 7.
    Secondarysurvey-Examination Abdomen & Pelvis: nowound , no ecchymosis , normoactive bowel sound, soft, not tender , no guarding , no rebound tenderness , PCT negative Extremities: laceration wound at left mid foot dorsal side size 6 x2 cm seen tendon tear and laceration wound 5 x 1 cm laceration wound at 2nd and 4th toe left foot size 2 cm , 2 cm dorsalis pedis pulse 2+ , tibialis posterior pulse 2+
  • 8.
    Secondarysurvey-Examination Musculoskeletal: laceration wound atleft mid foot dorsal side size 6 x 2 cm seen tendon tear and laceration wound 5 x 1 cm laceration wound at 2nd and 4th toe left foot size 2 cm , 2 cm dorsalis pedis pulse 2+ , tibialis posterior pulse 2+ Neurologic: GCS: E4V5M6 , pupils 3 mm RTLBE, full EOM, no facial palsy Motor: grade V all extremities except cannot extend 2nd - 5th toe at left foot
  • 9.
  • 10.
  • 11.
    Film left anklemortis Investigation
  • 12.
    Diagnosis Opened fracture attarsal bone with tear extensor tendon of left foot ( classification IIIA )
  • 13.
    Management Nss irrigation +remove foreign body IV ATB : Cefazolin + Gentamicin + PGS Tetanus toxoid vaccine 1 course Pain control : Tramol Set OR for debridement with tendon repair
  • 14.
    Openfracture a fracture withdirect communication to the external environment
  • 15.
    Etiology Open fractures canresult from a variety of injuries. Common direct mechanisms include high-energy trauma, such as motor vehicle accidents, firearms, and falls from a height. Indirect mechanisms include low-energy torsional injuries, such as those sustained during sports and falls from a standing height. The extent of trauma is directly related to the amount of energy imparted through the mechanism of injury. Epidemiology Crush injuries are the most common cause of open fractures, followed by falls from a standing height and road traffic accidents.9 Open fractures occur more commonly in males than in females (7:3), with a mean age of 40.8 and 56 years
  • 18.
    •Fracture management beginsafter initial trauma survey and resuscitation is complete •Antibiotics •initiate early IV antibiotics and update tetanus prophylaxis •Control bleeding •direct pressure •do not blindly clamp or place tourniquets on damaged extremities •Assessment •soft-tissue damage •neurovascular exam Intheemergency room
  • 19.
    Dressing ◦remove gross debrisfrom wound ◦place sterile saline-soaked dressing on the wound Stabilize ◦splint fracture for temporary stabilization ◦decreases pain, disruption of clots , facilitates bed transfers and ambulation, prevents further soft tissue injury, and promotes healing. Intheemergency room
  • 20.
    Intheoperatingroom Aggressive debridement andirrigation •prevention of deep infection •saline shown to be most effective irrigating agent •on average, 3L of saline are used for each successive Gustilo type •Type I: 3L •Type II: 6L •Type III: 9L •bony fragments without soft tissue attachment can be removed
  • 21.
    •Fracture stabilization :internal or external fixation •Staged debridement and irrigation : every 24 to 48 hours as needed •Early soft tissue coverage or wound closure is ideal •timing of flap coverage for open tibial fractures remains controversial •increased risk of infection beyond 7 days •Can place antibiotic bead-pouch in open dirty wounds •beads made by mixing methylmethacrylate with heat-stable antibiotic powder Intheoperatingroom
  • 22.
    AntibioticTreatment •Gustilo Type Iand II •1st generation cephalosporin •clindamycin or vancomycin can also be used if allergies exist •Gustilo Type III •1st generation cephalosporin and aminoglycoside •Farm injuries or possible bowel contamination •add penicillin for anaerobic coverage (clostridium)
  • 23.
    Duration - initiate assoon as possible ◦increased infection rate when antibiotics are delayed for more than 3 hours from time of injury - continue for 24 hours after initial injury if wound is able to be closed primarily -continue until 24 hours after final closure if wound is not closed during initial surgical debridement AntibioticTreatment
  • 25.
    TetanusProphylaxis Initiate in emergencyroom or trauma bay Two forms of prophylaxis ◦toxoid dose 0.5 mL, regardless of age ◦immune globulin dosing ◦<5-years-old receives 75U ◦5-10-years-old receives 125U ◦>10-years-old receives 250U ◦toxoid and immunoglobulin should be given intramuscularly with two different syringes in two different locations
  • 26.
    Guidelines for tetanusprophylaxis depend on 3 factors •complete or incomplete vaccination history (3 doses) •date of most recent vaccination •severity of wound TetanusProphylaxis
  • 27.
    References 1. Mohamad J.Halawi, MD; Michael P. Morwood, MD (2015) 'Acute Management of Open Fractures: An Evidence-Based Review', Orthopedics, 38(11), pp.1025-1033. 2. ธไนนิตย์โชตนภูติ,ธรรมนูญ ศรีสอ้าน,สมภพ ภู่ วิทยา และคณะ (2557) Orthopedics for medical student, 1 edn., โครงการตารา วิทยาลัยแพทยศาสตร์พระมงกุฎเกล้า: นาอักษรการ พิมพ์. 3. David Abbasi , Ben Taylor (2016) Open Fractures Management, Available at: https://www.orthobullets.com/trauma/1004/open-fractures-management (Accessed: 20th September 2017).
  • 28.