Өндгөвчний
хорт хавдар
(Ovarian cancer)
Аус-423
Б.Анхзаяа
Б.Индэрмаа
Б.Баасанжаргал
А.Мандухай
• Өндгөвч нь өндгөн эсийг
боловсруулан, эстроген
прогестерон дааврын
нийлэгжлийн ихэнхийг нь
хариуцдаг хос эрхтэн юм.
Өндгөвчний хорт хавдрын
эмнэлзүй болон эмчилгээний
аргачлалын талаар их
судалгаа хийгдээд байгаа
бөгөөд өндгөвчний хавдрыг
эрт шатанд илрүүлбэл
эмчилгээний үр дүн илүү
сайн байдаг.
Өндгөвчний хорт хавдар нь
дааврын гаралтай өмөнгийн
нэг хэлбэр юм.
• Өндгөвчний хорт хавдар нь хөгжингүй орнуудад нилээд их тархалттай
бөгөөд 70 хүн тутмын нэгд нь өндгөвчний хавдар үүсдэг байна.
• АНУ-д өндгөвчний хорт хавдраар нийт эмэгтэйчүүдийн нас баралт 1%
• Япон улс өндгөвчний хавдрын хамгийн бага өвчлөлтэй орны тоонд
ордог.
• Өндгөвчний хортой хавдрын 80% нь хоргүй хавдрын суурин дээр
үүсдэг бөгөөд өндгөвчний нийт хавдрын 75-80%-ийг хоргүй, 20-25%-
ийг хортой хавдар эзэлдэг байна
• Манай оронд эмэгтэйчүүдийн бэлэг эрхтний хорт хавдрын дотор
өндгөвчний хорт хавдар II байр эзэлдэг бөгөөд ихэнхдээ хожуу
оношлогддог нь цаашдын тавиланд муугаар нөлөөлж байна.
• Манай орны эмэгтэйтэйчүүдэд тохиолдож байгаа өндгөвчний хавдрын
80% ийг хучуур эдийн гаралтай хавдар эзэлж байна.
Шалтгаан, эрсдэлт хүчин зүйл
Удамшил
• Өндгөвчний хорт хавдрын
тохиолдлын 10 хувь нь удамшлын
гаралтай генийн өөрчлөлтөөс
үүсдэг гэж судлаачид үздэг.
• Гэр бүлийн гишүүний хэн нэгэн нь
өндгөвчний хорт хавдартай, хөх,
ходоод гэдэсний хавдартай
тохиолдолд
өвчин үүсэх магадлал өндөр гэж
үздэг.
• Эдгээрт хөхний хавдрын эх үүсвэр
болох BRCA1 болон BRCA2 генийн
мутаци хамаарах бөгөөд хөхний
эдийн хамт өндгөвчний хорт
хавдрын шалтгаан болж болно.(16-
60%)
Нас
• Өндгөвчний хавдрын эрсдэлт
хүчин зүйлсээс хамгийн өндөр
эрсдэлтэй нь нас юм. Эмэгтэйчүүд
цэвэршилтийн үед өндгөвчний
хорт хавдраар өвчлөх эрсдэл илүү
өндөр байдаг.
• Мөн 5-10 жилийн турш дан
эстроген дааврыг прогестерон
даавраар тэнцвэржүүлэлгүйгээр
хэрэглэсэн эмэгтэйчүүд илүү
сэрэмжтэй байх хэрэгтэй.
Эстроген, прогестерон дааврудыг
хослуулан хэрэглэснээр хавдрын
эрсдлийг нэмэгдүүлэх магадлал
бага байдгийг эмч нар ажигласан
байдаг.
Таргалалт
• Илүүдэл жинтэй
эмэгтэйчүүд өндгөвчний
хорт хавдрын эрсдэл илүү
өндөртэй байна. Мөн
хавдрын шалтгаантай нас
баралтын хувь илүүдэл
жинтэй эмэгтэйчүүдэд
илүү өндөр байдаг.
Биеийн жингийн хэмжээ
нэмэгдэх тусам хавдрын
эрсдэл өндөрсөнө.
Төрсөн эсэх
• Төрсөн эмэгтэйчүүдээс илүү
төрөөгүй эмэгтэйчүүдэд
өндгөвчний хорт хавдар
үүсэх магадлал өндөр
байдаг.Өөрөөр хэлбэл,
өндгөн эс боловсрох
эргэлтийн
үеийн тоо бага байдаг
эмэгтэйчүүд өндгөвчний хорт
хавдар тусах магадлал бага
байдаг гэж үздэг.
• 2 талын өндгөвч өвчлөх нь 1 талынхаас 2 дахин их байдаг
Дотоод шүүрлийн булчирхайн хямрал нөлөөтэй.
Эрсдлийг бууруулах нь:
Жирэмслэлт
• Төрөөгүй эмэгтэйгээс
биологийн жамаар хүүхэд
төрүүлсэн эмэгтэйчүүдийн
хавдрын эрсдэл бага байдаг.
Төрөлт бүрт хавдрын эрсдэл
буурах бөгөөд хүүхдээ
хөхөөрөө хооллох нь нэмэлт
хамгаалалт болно.
Эм бэлдмэл
• Жирэмснээс хамгаалах
дааврын эм уудаг
эмэгтэйчүүдийн хавдрын
эрсдэл багасна. 5-аас багагүй
жилийн хугацаанд эм уусан
эмэгтэй огт эм хэрэглэдэггүй
эмэгтэйгээс 2 дахин бага
эрсдэлтэй байна. Жирэмсний
явцад өндгөн эс боловсруулалт
саатдагийн адилаар дааврын
эм адил замаар саатуулна.
Судлаачдын үзэж байгаагаар
овуляци бага байх нь хавдраас
сэргийлнэ гэж үздэг.
Өндгөвчний гуурсаа боолгох
• Үрийн хоолойг боолгох нь
өндгөвчний хавдраас
хамгаалж болно.
Өндгөвчний эдийг үлдээж,
умайгаа авахуулах арга нь
мөн хамгаалах үр дүнтэй
гэж үздэг.
Өндгөвч тайрах
• Генийн мутацитай,
өндгөвчний хавдрын
өндөр эрсдэлтэй
эмэгтэйчүүд өндгөвчөө
тайруулдаг. Хорт хавдрын
өндөр эрсдэлтэй, 40-өөс
дээш насны эмэгтэй
өндгөвчөө тайруулах арга
хэмжээ авч болно.
Өөх тос багатай хоолны дэглэм
• Хэдийгээр өндгөвчний хавдраас
сэргийлэх тогтсон хоолны
дэглэм байхгүй ч, зохистой
хооллолт өндөр ач
холбогдолтой. Сүүлийн үеийн
судалгаагаар дөрвөөс багагүй
хугацааны турш өөх тос багатай
хоолны дэглэм баримталсан
эмэгтэйн өндгөвчний хавдрын
эрсдэл буурсан байдаг гэж
үзжээ. Мөн зарим судлаачид
хүнсний ногоо ихээр хэрэглэдэг
эмэгтэйн хавдрын эрсдэл бага
гэдэг ч, илүү дэлгэрэнгүй
судалгаа хийх шаардлагатай.
• Эрт биений юм зогсох
• Хүүхэд хөхүүлэх хугацаа
урт байх
Ангилал
• Удамшдаг байдлаар нь 3 ангилдаг
- Өндгөвчний өмөн
- Өндгөвчний өмөн хөхний өмөнтэй хавсарсан
хэлбэр
- Өндгөвчний өмөн бүдүүн гэдэсний өмөнтэй
хавсарсан хэлбэр
Өндгөвчний хавдрын гистологийн ангилал:
1. Хучуур эдийн
- Серозон
- Салслаг(муцинозны)
- Өнгөгүй эсийн(светлоклеточны)
- Бренеррийн хавдар
- Хавтгай эсийн
- Хучуур эдийн холимог
- Хучуур эдийн ангилагдаагүй
- Ялгаралгүй
2. Бэлгийн хөвчний суурь эдийн хавдар
- Мөхлөгт суурийн
- Андробластом
- Гининдобласт
- Бэлгийн хөвчний суурийн ангилагдаагүй
хавдар
3. Өөхлөг эсийн
4.Герминогенние (Үр хөврөлийн)
- Дисгермином
- Эндодермальны хөндийн хавдар
- Полиэмбрион
- Хорионкарцином
- Тератом
- Үр хөврөлийн холимог хавдар
5. Гонадобластом
6. Өндгөвчинд өвөрмөц биш зөөлөн эдийн
хавдрууд
7. Ангилагдаагүй хавдрууд
8. Хоёрдогч хавдрууд (үсэрхийлсэн)
9. Гарал нь тодорхой биш хавдрууд
10. Өндгөвчний торлогийн хавдрууд
11. Хавдар төст процессууд
• Өндгөвчний хавдрыг эсийн ялгаралын
зэргээр ангилах:
Хавдрын боловсролтын зэрэг Хавдар дахь ялгараагүй эсийн тоо
G1 их ялгаралтай 0-25%
G2 дунд зэргийн ялгаралтай 25-50%
G3 бага ялгаралтай 51-75%
G4 ялгаралгүй 76-100%
Эмнэл зүйн ангилал
FGIO- Iр үе шат: Хавдар зөвхөн өндгөвчинд
байрлана.
IА -хавдар зөвхөн нэг өндгөвчинд байрласан.
IВ- хавдар хоёр өндгөвчинд байрласан.
IС- хавдар өндгөвчний хальсны гадна талд тархаж,
хальсыг гэмтээсэн байх бөгөөд хэвлийн шингэнд
хавдрын эс илэрнэ.
II-р үе шат хавдар нэг эсвэл хоёр өндгөвчийг
хамарсан байна.
IIА- хавдар эсвэл үсэрхийлэл умай ба умайн
гуурс руу тархсан
IIВ- бага аарцагны бусад эд рүү тархсан
IIС- хэвлийн хөндийд шингэн үүссэн, шингэнд
хавдрын эс илэрнэ.
• IIIүе шат- Хавдар хэвлийн хөндий рүү болон
хэсгийн тунгалагийн булчирхай руу тархсан.
IIIА- хэвлийн гялтан хальс руу үсэрхийлсэн
IIIВ- хэвлийн гялтанруу 2см-ээс бага үсэрхийлсэн
IIIС- хэвлийн гялтанруу үсэрхийлсэн 2 см-ээс том
хэмжээтэй, орчны тунгалагын булчирхайд
үсэрхийлсэн.
Эмнэлзүй
Аус-423 Б.Баасанжаргал
Эмнэл зүй
• Өвчтөний 70-80%-д ямар 1 шинж тэмдэг илрээгүй байхад хорт хавдар
хожуу шатанд тархсан мөн тархсан байна.
• БЮМ алдагдана /дааврын идэвх ихэссэнээс их хэмжээтэй ирэх/
• Цэвэршилтйн насанд байгаа хүмүүс цусархаг ялгадас гарна
Эмнэлзүй
• Хэвлийгээр өвдөх мэдрэмж төрнө
• Давсаг дарагдвал ойр ойр шээх
• Хэвлий томрох /хэвлийд шингэн үүссэнээс эсвэл хэвлий, бага
аарцганд хавдар үүссэнээс/
• Том сэмж ба хэвлийн дотор гялтанд юун түрүүнд гэдэсний
гогцоонуудыг хучсан гялтанд үсэрхийлснээс
– огиулна
– хоолонд дургүй болно
– өтгөн хатна
– эцэж турах
Эмнэлзүй
• Амьсгалын эрхтний талаас
– Амьсгаадах
– Ханиах өөрчлөлтүүд илрэнэ
– /Цээжний хөндийн даралт ихсэх, хэвлийд шингэн хурах, хавдар
томорсноос/
Эмнэлзүй
Оношлогоо
Аус-423 Б.Индэрмаа
Эмэгтэйчүүдийн үзлэг:
• Дотуур үзлэгээр илрэх өндгөвчний өмөнгийн үндсэн бодит шинж нь
бага аарцагт эзэлхүүнтэй үүсвэр тэмтрэгдэнэ.
• Өндгөвчний өмөнгийн үед энэхүү үүсгэвэр
• хатуу
• хөдөлгөөнгүй
• төвгөр
• барзгар байна.
Оношлогоо
• Цэвэрших буюу биений юм ирэхгүй болсоноос хойш 1 жил өнгөрөхөд
өндгөвч хэвийн үедээ жижгэрч эмэгтэйчүүдийн үзлэгт
тодорхойлогдохгүй.
• Үүнтэй холбоотой өндгөвч тэмтрэгдвэл - өндгөвчний өмөнг үгүйсгэнэ.
/өндгөвч тэмтрэгдэх хам шинж/
• Цэвэршилтийн дараах үедээ байгаа эмэгтэйд 5 см –с том биш үүсвэр
тэмтрэгдвэл хоруу явцтай байдаг.
• Аарцгийн хөндийн байрлалтай бөөрний доошлолтыг өндгөвчний өмөн
гэж андуурч болно.
Оношлогоо
• Умайн хүзүү болон үтрээний дотор талаас эсийн шинжилгээ авна.
• Хавдрын шинж байдлыг илрүүлэхийн тулд үтрээний арын хүнхрээнд
хатгалт хийж шинжилгээ хийнэ.
Оношлогоо
Өндгөвчний хавдрын оношлогоо
Шинж тэмдэг илрээгүй болон урьдчилан сэргийлэх үзлэгээр илрээгүй
тохиолдолд өндгөвчний хорт хавдрыг 2 аргаар илрүүлж болно.
• Цусан дахь СА-125 төрлийн уургийн хэмжээг үзэх
• Өндгөвчийг хэт авиагаар харах арга юм.
Иймд хорт хавдрын өндөр эрсдэлтэй бүлгийн эмэгтэй бүр тогтмол
шинжилгээнд хамрагдахыг зөвлөдөг.
Оношлогоо
• Хорт хавдар/өмөнгийн маркерууд гэдэг нь аль нэгэн ганц, эсвэл олон
төрлийн хавдрын үед өвчтөний цус, шээс, эсвэл эдээс хэвийн
хэмжээнээс илүүгээр илэрдэг бодисууд юм.
• Гормон буюу даавар, фермент, сөрөг биет зэрэг олон янзын бодисууд
нь хавдрын маркерийн үүрэг гүйцэтгэж байж болно.
Товч нэр Маркер Хэвийн хэмжээ Маркерийн хэмжээг байнга
нэмэгдүүлдэг хавдар
Маркерийн хэмжээг байнга бус
нэмэгдүүлдэг хавдар
PSA
Prostat specific antigen-
Түрүү булчирхайн онцог
антиген
< 4 ng/ml Түрүү булчирхайн хорт хавдар
CA125 Өндгөвчний салсархаг хорт
хавдар
< 35U/ml Өндгөвчний илдэсийн хорт хавдар Хөхний булчирхайн хорт
хавдар
Шулуун гэдэс, бүдүүн гэдэсний
хорт хавдар
CA 15-3 < 32 U/ml Хөхний булчирхайн хорт хавдар
CA 19-9 < 33 U/ml Нойр булчирхайн хорт хавдар
Бүдүүн гэдэс, шулуун гэдэсний
хорт хавдар
AFP
Alfa phetoprotein
Альфа фетопротеин
<40 ng/ml Элэгний өмөн
Өндөгөвчний хорт хавдар
CEA
Cancer embrional antigen
Карцино эмбриональ антиген
< 2.5 ng/ml Бүдүүн гэдэсний хорт хавдар
Уушигны хорт хавдар
Хөхний булчирхайн хорт
хавдар
Өндөгөвчний хорт хавдар
FDP
Fibrinogen degradation products
Фибриногений бодисын
солилцооны бүтээгдэхүүн
< 4microg/ml Олон эрхтэний хорт хавдар
ROM’s
Fre radicals Reactive Oxygen Metabolites
Свободные радикалы
300-320 U.Carr Олон эрхтэний хорт хавдар
Үрэвслийн эрчимтэй үйл явц
бүхий өвчин эмгэг
• CA-125
– Өндгөвчний ийлдэсийн хорт хавдрын үед энэ маркерийн хэмжээ ихэсдэг - ач холбогдолтой
– Өндгөвчний салстлаг өмөнгийн үед хэмжээ нь нэмэгдэггүй
– Хөхний хорт хавдар болон бүдүүн гэдэсний хангалттай том хэмжээний хавдрын үед хэмжээ нь
мөн нэмэгддэг.
– Үүнээс гадна эндометриоз, бүдүүн гэдэсний үрэвслийн өвчин, элэгний цирроз, нойр
булчирхайн архаг үрэвслийн үед маркерийн агуулга дунд зэргээр нэмэгддэг
• Хавдрын маркеруудын хэмжээг тогтоох нь хавдрын үйл явцад гарсан өөрчлөлтийг
хүний биед тусгай багаж, төхөөрөмж оруулан оношлох бусад аргуудаас 1-6 сарын өмнө
илрүүлэх боломж олгодог.
• Иймээс хавдрыг мэс заслын аргаар авсны дараа хавдрын маркерийн түвшинг тогтоох нь
өвчний явцыг хянах чухал арга болж өгдөг.
Оношлогоо
Өндгөвчний хавдрыг илрүүлэх
• Хэт авиан болон компьютер томографын (CT) оношлогоо нь өндгөвчний эдийн бүтэц
өөрчлөгдсөнийг тодорхойлдог боловч өөрчлөгдсөн эд нь хавдар мөн эсэхийг нарийн
тодорхойлж чаддаггүй.
• Иймээс хорт хавдрын өөрчлөлтийн магадлалтай тохиолдол болгонд сэжигтэй эдийг мэс
ажилбараар авч, сорьцыг лабораторийн шинжилгээнд оруулна. Биопсийг зүүний
хатгалтаар эсвэл дурангийн аргаар авч болно
Дүрс оношлогоо
• Хэт авиагаар хэвлийг шинжлэхэд мэдрэг чанар 62-100%,
• Үтрээгээр шинжлэхэд мэдрэг чанар 100%, өвөрмөц чанар 97% байна.
• КТГ болон өнгөт допплер шинжилгээ хийнэ.
• Үтрээний чанд авиагаар өндгөвчний хорт хавдрыг илрүүлж оношилно
• Хоол боловсруулах эрхтэнг шинжилнэ. /рентген болон дуран/
• Хавдрын маркерийн түвшинг тодорхойлно. / СА-125, СА 72-48 /
• Цэвэршилтийн дараах үед умайн дайвраас гаралтай эзэлхүүн бүхий үүсвэртэй хавсарч
СА 125-ын түвшин 95 нэгж/мл-ээс ихэссэн нөхцөлд эерэг үр дүн 95% байна
• Харин нөхөн үржихүйн насны эмэгтэйчүүдэд энэ үзүүлэлт өвөрмөц биш хоргүй шинж
чанартай олон байдлуудын үед өндөрсөнө.
Оношлогоо
Лапароскопи
• Хэвлийн хөндийн эрхтнүүд хэвлийг гялтан хальсыг олон дахин томруулж нарийвчлан
ялгаж харна.
• Өвөрмөц чанар 90-100% бөгөөд тунгалгийн булчирхай руу хатгалт хийж байхад том
судас гэмтээх магадлал төдий чинээ бага байна.
• Хавдартай гэж сэжиглэгдсэн бүх л өөрчлөлтийг түүж авах буюу дээж авна
• Шинжилгээ хийж байхдаа өндгөвч, хэвлий дахь шингэн, хэвлийн гялтан хальснаас
шинжилгээний дээж материал авна.
Ялган оношлогоо
• Хоргүй хавдар
• Умайн дайврын үрэвсэлт өвчнүүд / өндгөвч, умайн гуурсан хоолой/
• Умайн салслаг давхаргын доор байрласан дааврын гаралтай
зангилаануудтай тус тус ялган оношилно.

Ondgovchnii havdar

  • 1.
  • 2.
    • Өндгөвч ньөндгөн эсийг боловсруулан, эстроген прогестерон дааврын нийлэгжлийн ихэнхийг нь хариуцдаг хос эрхтэн юм. Өндгөвчний хорт хавдрын эмнэлзүй болон эмчилгээний аргачлалын талаар их судалгаа хийгдээд байгаа бөгөөд өндгөвчний хавдрыг эрт шатанд илрүүлбэл эмчилгээний үр дүн илүү сайн байдаг. Өндгөвчний хорт хавдар нь дааврын гаралтай өмөнгийн нэг хэлбэр юм.
  • 3.
    • Өндгөвчний хортхавдар нь хөгжингүй орнуудад нилээд их тархалттай бөгөөд 70 хүн тутмын нэгд нь өндгөвчний хавдар үүсдэг байна. • АНУ-д өндгөвчний хорт хавдраар нийт эмэгтэйчүүдийн нас баралт 1% • Япон улс өндгөвчний хавдрын хамгийн бага өвчлөлтэй орны тоонд ордог. • Өндгөвчний хортой хавдрын 80% нь хоргүй хавдрын суурин дээр үүсдэг бөгөөд өндгөвчний нийт хавдрын 75-80%-ийг хоргүй, 20-25%- ийг хортой хавдар эзэлдэг байна • Манай оронд эмэгтэйчүүдийн бэлэг эрхтний хорт хавдрын дотор өндгөвчний хорт хавдар II байр эзэлдэг бөгөөд ихэнхдээ хожуу оношлогддог нь цаашдын тавиланд муугаар нөлөөлж байна. • Манай орны эмэгтэйтэйчүүдэд тохиолдож байгаа өндгөвчний хавдрын 80% ийг хучуур эдийн гаралтай хавдар эзэлж байна.
  • 4.
    Шалтгаан, эрсдэлт хүчинзүйл Удамшил • Өндгөвчний хорт хавдрын тохиолдлын 10 хувь нь удамшлын гаралтай генийн өөрчлөлтөөс үүсдэг гэж судлаачид үздэг. • Гэр бүлийн гишүүний хэн нэгэн нь өндгөвчний хорт хавдартай, хөх, ходоод гэдэсний хавдартай тохиолдолд өвчин үүсэх магадлал өндөр гэж үздэг. • Эдгээрт хөхний хавдрын эх үүсвэр болох BRCA1 болон BRCA2 генийн мутаци хамаарах бөгөөд хөхний эдийн хамт өндгөвчний хорт хавдрын шалтгаан болж болно.(16- 60%) Нас • Өндгөвчний хавдрын эрсдэлт хүчин зүйлсээс хамгийн өндөр эрсдэлтэй нь нас юм. Эмэгтэйчүүд цэвэршилтийн үед өндгөвчний хорт хавдраар өвчлөх эрсдэл илүү өндөр байдаг. • Мөн 5-10 жилийн турш дан эстроген дааврыг прогестерон даавраар тэнцвэржүүлэлгүйгээр хэрэглэсэн эмэгтэйчүүд илүү сэрэмжтэй байх хэрэгтэй. Эстроген, прогестерон дааврудыг хослуулан хэрэглэснээр хавдрын эрсдлийг нэмэгдүүлэх магадлал бага байдгийг эмч нар ажигласан байдаг.
  • 5.
    Таргалалт • Илүүдэл жинтэй эмэгтэйчүүдөндгөвчний хорт хавдрын эрсдэл илүү өндөртэй байна. Мөн хавдрын шалтгаантай нас баралтын хувь илүүдэл жинтэй эмэгтэйчүүдэд илүү өндөр байдаг. Биеийн жингийн хэмжээ нэмэгдэх тусам хавдрын эрсдэл өндөрсөнө. Төрсөн эсэх • Төрсөн эмэгтэйчүүдээс илүү төрөөгүй эмэгтэйчүүдэд өндгөвчний хорт хавдар үүсэх магадлал өндөр байдаг.Өөрөөр хэлбэл, өндгөн эс боловсрох эргэлтийн үеийн тоо бага байдаг эмэгтэйчүүд өндгөвчний хорт хавдар тусах магадлал бага байдаг гэж үздэг. • 2 талын өндгөвч өвчлөх нь 1 талынхаас 2 дахин их байдаг Дотоод шүүрлийн булчирхайн хямрал нөлөөтэй.
  • 6.
    Эрсдлийг бууруулах нь: Жирэмслэлт •Төрөөгүй эмэгтэйгээс биологийн жамаар хүүхэд төрүүлсэн эмэгтэйчүүдийн хавдрын эрсдэл бага байдаг. Төрөлт бүрт хавдрын эрсдэл буурах бөгөөд хүүхдээ хөхөөрөө хооллох нь нэмэлт хамгаалалт болно. Эм бэлдмэл • Жирэмснээс хамгаалах дааврын эм уудаг эмэгтэйчүүдийн хавдрын эрсдэл багасна. 5-аас багагүй жилийн хугацаанд эм уусан эмэгтэй огт эм хэрэглэдэггүй эмэгтэйгээс 2 дахин бага эрсдэлтэй байна. Жирэмсний явцад өндгөн эс боловсруулалт саатдагийн адилаар дааврын эм адил замаар саатуулна. Судлаачдын үзэж байгаагаар овуляци бага байх нь хавдраас сэргийлнэ гэж үздэг.
  • 7.
    Өндгөвчний гуурсаа боолгох •Үрийн хоолойг боолгох нь өндгөвчний хавдраас хамгаалж болно. Өндгөвчний эдийг үлдээж, умайгаа авахуулах арга нь мөн хамгаалах үр дүнтэй гэж үздэг. Өндгөвч тайрах • Генийн мутацитай, өндгөвчний хавдрын өндөр эрсдэлтэй эмэгтэйчүүд өндгөвчөө тайруулдаг. Хорт хавдрын өндөр эрсдэлтэй, 40-өөс дээш насны эмэгтэй өндгөвчөө тайруулах арга хэмжээ авч болно.
  • 8.
    Өөх тос багатайхоолны дэглэм • Хэдийгээр өндгөвчний хавдраас сэргийлэх тогтсон хоолны дэглэм байхгүй ч, зохистой хооллолт өндөр ач холбогдолтой. Сүүлийн үеийн судалгаагаар дөрвөөс багагүй хугацааны турш өөх тос багатай хоолны дэглэм баримталсан эмэгтэйн өндгөвчний хавдрын эрсдэл буурсан байдаг гэж үзжээ. Мөн зарим судлаачид хүнсний ногоо ихээр хэрэглэдэг эмэгтэйн хавдрын эрсдэл бага гэдэг ч, илүү дэлгэрэнгүй судалгаа хийх шаардлагатай. • Эрт биений юм зогсох • Хүүхэд хөхүүлэх хугацаа урт байх
  • 9.
    Ангилал • Удамшдаг байдлаарнь 3 ангилдаг - Өндгөвчний өмөн - Өндгөвчний өмөн хөхний өмөнтэй хавсарсан хэлбэр - Өндгөвчний өмөн бүдүүн гэдэсний өмөнтэй хавсарсан хэлбэр
  • 10.
    Өндгөвчний хавдрын гистологийнангилал: 1. Хучуур эдийн - Серозон - Салслаг(муцинозны) - Өнгөгүй эсийн(светлоклеточны) - Бренеррийн хавдар - Хавтгай эсийн - Хучуур эдийн холимог - Хучуур эдийн ангилагдаагүй - Ялгаралгүй
  • 11.
    2. Бэлгийн хөвчнийсуурь эдийн хавдар - Мөхлөгт суурийн - Андробластом - Гининдобласт - Бэлгийн хөвчний суурийн ангилагдаагүй хавдар
  • 12.
    3. Өөхлөг эсийн 4.Герминогенние(Үр хөврөлийн) - Дисгермином - Эндодермальны хөндийн хавдар - Полиэмбрион - Хорионкарцином - Тератом - Үр хөврөлийн холимог хавдар
  • 13.
    5. Гонадобластом 6. Өндгөвчиндөвөрмөц биш зөөлөн эдийн хавдрууд 7. Ангилагдаагүй хавдрууд 8. Хоёрдогч хавдрууд (үсэрхийлсэн) 9. Гарал нь тодорхой биш хавдрууд 10. Өндгөвчний торлогийн хавдрууд 11. Хавдар төст процессууд
  • 14.
    • Өндгөвчний хавдрыгэсийн ялгаралын зэргээр ангилах: Хавдрын боловсролтын зэрэг Хавдар дахь ялгараагүй эсийн тоо G1 их ялгаралтай 0-25% G2 дунд зэргийн ялгаралтай 25-50% G3 бага ялгаралтай 51-75% G4 ялгаралгүй 76-100%
  • 15.
    Эмнэл зүйн ангилал FGIO-Iр үе шат: Хавдар зөвхөн өндгөвчинд байрлана. IА -хавдар зөвхөн нэг өндгөвчинд байрласан. IВ- хавдар хоёр өндгөвчинд байрласан. IС- хавдар өндгөвчний хальсны гадна талд тархаж, хальсыг гэмтээсэн байх бөгөөд хэвлийн шингэнд хавдрын эс илэрнэ.
  • 16.
    II-р үе шатхавдар нэг эсвэл хоёр өндгөвчийг хамарсан байна. IIА- хавдар эсвэл үсэрхийлэл умай ба умайн гуурс руу тархсан IIВ- бага аарцагны бусад эд рүү тархсан IIС- хэвлийн хөндийд шингэн үүссэн, шингэнд хавдрын эс илэрнэ.
  • 17.
    • IIIүе шат-Хавдар хэвлийн хөндий рүү болон хэсгийн тунгалагийн булчирхай руу тархсан. IIIА- хэвлийн гялтан хальс руу үсэрхийлсэн IIIВ- хэвлийн гялтанруу 2см-ээс бага үсэрхийлсэн IIIС- хэвлийн гялтанруу үсэрхийлсэн 2 см-ээс том хэмжээтэй, орчны тунгалагын булчирхайд үсэрхийлсэн.
  • 19.
  • 20.
    Эмнэл зүй • Өвчтөний70-80%-д ямар 1 шинж тэмдэг илрээгүй байхад хорт хавдар хожуу шатанд тархсан мөн тархсан байна. • БЮМ алдагдана /дааврын идэвх ихэссэнээс их хэмжээтэй ирэх/ • Цэвэршилтйн насанд байгаа хүмүүс цусархаг ялгадас гарна
  • 21.
    Эмнэлзүй • Хэвлийгээр өвдөхмэдрэмж төрнө • Давсаг дарагдвал ойр ойр шээх • Хэвлий томрох /хэвлийд шингэн үүссэнээс эсвэл хэвлий, бага аарцганд хавдар үүссэнээс/
  • 22.
    • Том сэмжба хэвлийн дотор гялтанд юун түрүүнд гэдэсний гогцоонуудыг хучсан гялтанд үсэрхийлснээс – огиулна – хоолонд дургүй болно – өтгөн хатна – эцэж турах Эмнэлзүй
  • 23.
    • Амьсгалын эрхтнийталаас – Амьсгаадах – Ханиах өөрчлөлтүүд илрэнэ – /Цээжний хөндийн даралт ихсэх, хэвлийд шингэн хурах, хавдар томорсноос/ Эмнэлзүй
  • 24.
  • 25.
    Эмэгтэйчүүдийн үзлэг: • Дотуурүзлэгээр илрэх өндгөвчний өмөнгийн үндсэн бодит шинж нь бага аарцагт эзэлхүүнтэй үүсвэр тэмтрэгдэнэ. • Өндгөвчний өмөнгийн үед энэхүү үүсгэвэр • хатуу • хөдөлгөөнгүй • төвгөр • барзгар байна. Оношлогоо
  • 26.
    • Цэвэрших буюубиений юм ирэхгүй болсоноос хойш 1 жил өнгөрөхөд өндгөвч хэвийн үедээ жижгэрч эмэгтэйчүүдийн үзлэгт тодорхойлогдохгүй. • Үүнтэй холбоотой өндгөвч тэмтрэгдвэл - өндгөвчний өмөнг үгүйсгэнэ. /өндгөвч тэмтрэгдэх хам шинж/ • Цэвэршилтийн дараах үедээ байгаа эмэгтэйд 5 см –с том биш үүсвэр тэмтрэгдвэл хоруу явцтай байдаг. • Аарцгийн хөндийн байрлалтай бөөрний доошлолтыг өндгөвчний өмөн гэж андуурч болно. Оношлогоо
  • 27.
    • Умайн хүзүүболон үтрээний дотор талаас эсийн шинжилгээ авна. • Хавдрын шинж байдлыг илрүүлэхийн тулд үтрээний арын хүнхрээнд хатгалт хийж шинжилгээ хийнэ. Оношлогоо
  • 28.
    Өндгөвчний хавдрын оношлогоо Шинжтэмдэг илрээгүй болон урьдчилан сэргийлэх үзлэгээр илрээгүй тохиолдолд өндгөвчний хорт хавдрыг 2 аргаар илрүүлж болно. • Цусан дахь СА-125 төрлийн уургийн хэмжээг үзэх • Өндгөвчийг хэт авиагаар харах арга юм. Иймд хорт хавдрын өндөр эрсдэлтэй бүлгийн эмэгтэй бүр тогтмол шинжилгээнд хамрагдахыг зөвлөдөг.
  • 29.
    Оношлогоо • Хорт хавдар/өмөнгийнмаркерууд гэдэг нь аль нэгэн ганц, эсвэл олон төрлийн хавдрын үед өвчтөний цус, шээс, эсвэл эдээс хэвийн хэмжээнээс илүүгээр илэрдэг бодисууд юм. • Гормон буюу даавар, фермент, сөрөг биет зэрэг олон янзын бодисууд нь хавдрын маркерийн үүрэг гүйцэтгэж байж болно.
  • 30.
    Товч нэр МаркерХэвийн хэмжээ Маркерийн хэмжээг байнга нэмэгдүүлдэг хавдар Маркерийн хэмжээг байнга бус нэмэгдүүлдэг хавдар PSA Prostat specific antigen- Түрүү булчирхайн онцог антиген < 4 ng/ml Түрүү булчирхайн хорт хавдар CA125 Өндгөвчний салсархаг хорт хавдар < 35U/ml Өндгөвчний илдэсийн хорт хавдар Хөхний булчирхайн хорт хавдар Шулуун гэдэс, бүдүүн гэдэсний хорт хавдар CA 15-3 < 32 U/ml Хөхний булчирхайн хорт хавдар CA 19-9 < 33 U/ml Нойр булчирхайн хорт хавдар Бүдүүн гэдэс, шулуун гэдэсний хорт хавдар AFP Alfa phetoprotein Альфа фетопротеин <40 ng/ml Элэгний өмөн Өндөгөвчний хорт хавдар CEA Cancer embrional antigen Карцино эмбриональ антиген < 2.5 ng/ml Бүдүүн гэдэсний хорт хавдар Уушигны хорт хавдар Хөхний булчирхайн хорт хавдар Өндөгөвчний хорт хавдар FDP Fibrinogen degradation products Фибриногений бодисын солилцооны бүтээгдэхүүн < 4microg/ml Олон эрхтэний хорт хавдар ROM’s Fre radicals Reactive Oxygen Metabolites Свободные радикалы 300-320 U.Carr Олон эрхтэний хорт хавдар Үрэвслийн эрчимтэй үйл явц бүхий өвчин эмгэг
  • 31.
    • CA-125 – Өндгөвчнийийлдэсийн хорт хавдрын үед энэ маркерийн хэмжээ ихэсдэг - ач холбогдолтой – Өндгөвчний салстлаг өмөнгийн үед хэмжээ нь нэмэгдэггүй – Хөхний хорт хавдар болон бүдүүн гэдэсний хангалттай том хэмжээний хавдрын үед хэмжээ нь мөн нэмэгддэг. – Үүнээс гадна эндометриоз, бүдүүн гэдэсний үрэвслийн өвчин, элэгний цирроз, нойр булчирхайн архаг үрэвслийн үед маркерийн агуулга дунд зэргээр нэмэгддэг • Хавдрын маркеруудын хэмжээг тогтоох нь хавдрын үйл явцад гарсан өөрчлөлтийг хүний биед тусгай багаж, төхөөрөмж оруулан оношлох бусад аргуудаас 1-6 сарын өмнө илрүүлэх боломж олгодог. • Иймээс хавдрыг мэс заслын аргаар авсны дараа хавдрын маркерийн түвшинг тогтоох нь өвчний явцыг хянах чухал арга болж өгдөг. Оношлогоо
  • 32.
    Өндгөвчний хавдрыг илрүүлэх •Хэт авиан болон компьютер томографын (CT) оношлогоо нь өндгөвчний эдийн бүтэц өөрчлөгдсөнийг тодорхойлдог боловч өөрчлөгдсөн эд нь хавдар мөн эсэхийг нарийн тодорхойлж чаддаггүй. • Иймээс хорт хавдрын өөрчлөлтийн магадлалтай тохиолдол болгонд сэжигтэй эдийг мэс ажилбараар авч, сорьцыг лабораторийн шинжилгээнд оруулна. Биопсийг зүүний хатгалтаар эсвэл дурангийн аргаар авч болно
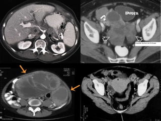
  • 34.
    Дүрс оношлогоо • Хэтавиагаар хэвлийг шинжлэхэд мэдрэг чанар 62-100%, • Үтрээгээр шинжлэхэд мэдрэг чанар 100%, өвөрмөц чанар 97% байна. • КТГ болон өнгөт допплер шинжилгээ хийнэ. • Үтрээний чанд авиагаар өндгөвчний хорт хавдрыг илрүүлж оношилно
  • 36.
    • Хоол боловсруулахэрхтэнг шинжилнэ. /рентген болон дуран/ • Хавдрын маркерийн түвшинг тодорхойлно. / СА-125, СА 72-48 / • Цэвэршилтийн дараах үед умайн дайвраас гаралтай эзэлхүүн бүхий үүсвэртэй хавсарч СА 125-ын түвшин 95 нэгж/мл-ээс ихэссэн нөхцөлд эерэг үр дүн 95% байна • Харин нөхөн үржихүйн насны эмэгтэйчүүдэд энэ үзүүлэлт өвөрмөц биш хоргүй шинж чанартай олон байдлуудын үед өндөрсөнө. Оношлогоо
  • 37.
    Лапароскопи • Хэвлийн хөндийнэрхтнүүд хэвлийг гялтан хальсыг олон дахин томруулж нарийвчлан ялгаж харна. • Өвөрмөц чанар 90-100% бөгөөд тунгалгийн булчирхай руу хатгалт хийж байхад том судас гэмтээх магадлал төдий чинээ бага байна. • Хавдартай гэж сэжиглэгдсэн бүх л өөрчлөлтийг түүж авах буюу дээж авна • Шинжилгээ хийж байхдаа өндгөвч, хэвлий дахь шингэн, хэвлийн гялтан хальснаас шинжилгээний дээж материал авна.
  • 38.
    Ялган оношлогоо • Хоргүйхавдар • Умайн дайврын үрэвсэлт өвчнүүд / өндгөвч, умайн гуурсан хоолой/ • Умайн салслаг давхаргын доор байрласан дааврын гаралтай зангилаануудтай тус тус ялган оношилно.