Fractures of the
Olecranon
Moderator: Dr. Amrit Shrestha
Presenter: Dr. Suman Subedi
• Bimodal distribution:
Younger individuals: High-energy trauma
Older individuals: Simple falls
PDCT0RSE@£TS.COM
Epidemiology
Anatomy
• The subcutaneous position of olecranon
makes it vulnerable to direct trauma.
Anatomy
• The coronoid process delineates
the distal border of greater sigmoid
notch of ulna, which articulates
with the trochlea.
• This articulation allows motion only
about the flexion-extension axis,
thus providing intrinsic stability to
the elbow joint.
• “Bare area“: Transverse ridge
interrupting the articular cartilage.
• Posteriorly,thetricepstendonenvelops the
articular capsulebefore it inserts to the
olecranon.
• Fracture olecranon with displacement
representsa functional disruptionof triceps
mechanism, resulting in Ioss of active extension
of the elbow.
Mechanismof injury
• Direct: Fall on the point of elbow or direct trauma to
olecranon.
—Typically results in a comminuted olecranon fracture.
• Indirect: Fall onto the outstretched upper extremity
accompanied by a strong, sudden contraction of triceps.
—Typically results in a transverse or oblique fracture.
• A combination of these may produce displaced, comminuted
fractures, or, in cases of extreme violence, fracture-
dislocation with anterior displacement of the distal ulnar
fragment and radial head.
Clinical Presentation
• Patients typical
present with the
upper extremity
supported by the
contralateral hand
with the elbow in
relative flexion.
° Look:
—Abrasions over olecranon or hand can be indicative of the
mechanism of injury.
• Feel:
—Palpable defect at fracture site.
Move:
—Inability to extend the elbow actively against gravity indicates
discontinuity of triceps mechanism.
° Neurosensory evaluation:
—Associated ulnar nerve injury is possible, esp. with
comminuted fractures resulting from high-energy injuries.
ClinicalEvaluation
Associated Injuries
• Given the subcutaneous location of the olecranon, open
fractures are not uncommon and have a reported rate of 2%
to 30% of fractures.
• Transolecranon fracture-dislocations may be associated with
injuries to the coronoid process or segmental fractures of the
ulna.
• Posterior Monteggia lesions may be associated with coronoid
process fractures (26%), radial head fractures (68%), ipsilateral
upper extremity injuries (24%), and injuries to the collateral
ligaments.
Radiographic Evaluation
• True lateral radiograph
Demonstrates:
• extent of the fracture
• degree of comminution
• degree of articular surface
involvement
• displacement of the radial head, if
present.
• AP view:
This shouid be evaluated to
exclude associated fractures or
dislocations.
The distal humerus may obscure
osseous details of the olecranon
fracture.
Radiographic Evaluation
• Radiocapitellar view:
This may be of help if the patient appears to have
a concomitant injury or displacement of the radial
head.
Position the patient as for a lateral x-ray view but
angle the tube 45° toward the shoulder
Radiographic Evaluation
Mayo
Classification
• This distinguishes
factorsthat have a
direct influence on
treatment:
(1) fracture
displacement,
(2) comminution, &
(3) ulnohumeral
stability.
Schatzker classification
(Based on Fracture Pattern
• Transverse: Occurs at apex of sigmoid notch. Usually
represents an avulsion fracture.
• Transverse-impacted: A direct force leads to comminution
& depression of articular surface.
• Oblique: results from hyperextension injury; it begins at
midpoint of sigmoid notch and runs distally.
• Comminuted fractures with associated injuries: result from
direct high-energy trauma; fractures of coronoid process
may lead to instability.
• Oblique-distal: Fractures extend distal to the coronoid &
compromise elbow stability.
• Fracture-dislocation: usually associated with severe
trauma.
Treatment
Treatment Objectives
 Restoration of articular surface
 Restoration & preservation of
elbow extensor mechanism
 Restoration of elbow motion and
prevention of stiffness
 Prevention of complications
Nonoperative Treatment
° Indications:
• nondisplaced fractures
• displaced fractures in poorly
functioning elder individuals
Nonoperative Treatment
 Immobilization in along arm cast
with the elbow in 45-90° of flexion is
favored by many authors.
 in reliable patients a posterior splint or
orthosis with gradual initiation of ROM after
5-7 daysmay be used.
 Follow-up radiographs should be obtained
within 5-7 days after treatment to rule out
fracture displacement.
Nonoperative Treatment
• Osseousunion isusually not complete until6-8weeks.
• Typically, the elbow is splinted for 2 to 3 weeks and then gentle active-
assisted flexion is started avoiding active extension against gravity or
resistance for the first 6 weeks after injury.
• At 6 weeks, the patient can begin active motion against gravity
• resistive exercises started at 3 months
Operative Treatment
Indications
• Disruption of extensor mechanism (any displaced
fracture)
• Articular incongruity
• Open fractures
Principles of Surgical Treatment
• Rigid fixation is required.
a) Plate fixation:
Often the best choice, esp. when comminution is present, to
maintain ulnar Iength and alignment.
• A number of plate fixation techniques have been described, most involving
a contoured posterior or lateral plate with, when possible,
interfragmentary screws.
a) In addition to internal fixation, use of an external
fixation device or distraction device can be helpful or
necessary to maintain joint congruity while allowing an
early motion program.
Primary bonegrafting should be considered to reduce the risk of
nonunion , especially in type IIIB olecranon
fractures
Principles of Surgical Treatment
Principles of Surgical Treatment
• Total elbow arthroplasty may be considered
based on the fracture pattern, bone quality,
and patient age.
However, the results of elbow arthroplasty
following trauma are not as good as the results
for patients with inflammatory arthritis.
• Restoration of articular congruity is a primary goal
of reduction and fixation of olecranon fractures.
1) Type IIIB olecranon fractures are not well suited to tension
band wiring because of the loss of bony stability under
compression.
2) Avoid narrowing of the olecranon to coronoid distance.
3) It is usually preferable to co-apt the cortical surfaces and leave
a gap in the articular surface in order to preserve a more
normal articular contour.
Principles of Surgical Treatment
Surgical Options
Tension band wiring
• Commonly used for noncomminuted,
transverse olecranon fractures.
• Tension band wiring in
combination with 2 parallel K-
wires counteracts the tensile
forces & converts them to
compressive forces and is
indicated for avulsion-type
olecranon fractures.
• Various techniques have been
described.
Tension band wiring
Standard AO technique:
• This technique uses 2 intramedullary K-wires and a
figure-of-eight wire with a single knot.
• To avoid proximal migration and hardware prominence,
the K-wires can be directed anteriorly to engage the
ulnar cortex at the base of the coronoid.
a) This provides stronger fixation than the usual intramedullary
placement of the K-wires.
b) Some concerns have been raised over the potential for
neurovascular injury with this technique, although no reports
of such injuries could be found.
Surgical options
Intramedullary fixation
• Currently, the accessibility and ease
of cannulated screw systems have
made intramedullary screw fixation
an attractive treatment option.
• Indications for intramedullary
screw placement:
—Similar to tension band wiring.
—Include simple, noncomminuted
transverse fracture patterns.
Surgical options
Intramedullary fixation
• 6.5-mm cancellouslag screw
fixation.
• The screw must be of sufficient
length to engage the distal
intramedullary canal for
adequate fixation.
• This may be used in conjunction
with tension band wiring.
*
*
*
,
«g%•- "*
Surgical options
Intramedullary fixation
• Other forms of intrameduliary
fixation have also been
introduced.
—Interlocking intramedullary nailing
devices have been created to treat
simple, transverse olecranon
fractures.
° Proponents of this device have touted
its “locking” capability which prevents
the need for intramedullary cortical
purchase necessary in traditional
screw techniques.
Surgicaloptions
Plate and screws
• Plating has becomean increasingly important
method of treating displaced olecranon
fractures.
Surgical options
Plate and screws
• Although plate fixation can be used for virtually any
type of olecranon fracture, it is ideal for the
following indications:
—comminuted olecranon fractures
—Monteggia fracture-dislocations
—olecranon fracture-dislocations
• A plate should also be for oblique fractures and
for fractures that extend distal to the coronoid.
Surgical options
• Low-profile, locking
precontoured plates are now
available.
• Standard manually contoured
3.5-mm limited contact DCPs
are also available.
Surgical options
Plate and screws
• Plate fixation allows neutralization of forces
across the fracture site and shouldprovide
adequate rigid internal fixation to begin early
motion.
• Interfragmentary compression screws should be
utilized when possible.
• Augmentation with an external fixation or
distraction device may be beneficial when elbow
stability is lacking despite fracture fixation.
• Articular step-off of > 2 mm hasbeen associated
with poorer results.
Plate position
—Most authors prefer posterior
placement of the plate.
—However, King etalfound no significant
difference in strength of fixation
between posterior or lateral placement.
• Posterior plating allows a more direct
approach to the proximal ulna and
requires less soft tissue stripping and
less effort to contour the plate.
° A laterally placed plate may be less
prominent and less likely to require
hardware removal.
Bailey CS, MacDermid J, Patterson SD, King GJ. Outcome of plate
fixation of olecranon fractures. Journal of orthopaedic trauma. 2001
Nov 1;15(8):542-8.
Surgical Options
Plate and screws
Hook plate
One end of a 3.5-mm semitubular
Plate
flattened with a mallet and bendïng
irons
A wire cutter is used to cut away a
portion of the distal plate hole
The two cut ends are then bent to 90’“.
The plate is then contoured to the
olecranon. Two holes are placed in the
proximal olecranon to ease insertion of
the hooks into the fragments
Cut portions of the plate are
bent to 90 degrees
Surgicaloptions
Fragment Excision with Triceps Advancement
Recent advances in implant technology have made
reconstruction of a severely comminuted
olecranon fracture more feasible.
• However, proximal fragment excision and triceps
advancement still constitutes a viabie option in the
treatment of comminuted olecranon fractures.
• Excision of as much as 50% of the olecranon is
effective in treating comminuted fractures.
Surgical Options
Fragment Excision with Triceps Advancement
• Indications:
—Nonunited fractures
—Extensively comminuted
fractures
—Fractures in elderly individuals
with severe osteopenia and low
functional requirements
Fragment Excision with Triceps
Advancement
• Pearls and Pitfalls:
—Excision in patients with > 60% articular
involvement yields poorer results.
—When reattaching the triceps, care should be
taken to bring the tendon close to the articular
surface, thus improving stability by acting as a sling
for the trochlea.
—Patients must have an intact MCL, interosseous
membrane, and DRUJ before excision, or instability
will likely develop.
—A major criticism of this technique is the potential
for significant loss of triceps power.
Surgical options
Fragment Excision with Triceps
Advancement
• Contraindications:
—Fracture-dislocations of the elbow
—Fractures of the radial head
(Excision will compromise elbow stability)
TotalElbowArthroplasty
• Indications:
—Total elbow arthroplasty may be considered in
elderly patients with significant comminution
and > 60% articular involvement.
Surgical Options
Postoperative management
• The patient shouldbe placed in a posterior
elbow splint.
• With a stable repair, initiateearly ROM
exercises.
• In cases with severesoft tissue injury, early
motion may need to be delayed until the soft
tissue healing is adequate to tolerate motion.
Complications
• Hardware prominence requiring removal:
—The most common complication (up to 80%).
—More common with tension band wiring than
with plate fixation.
Complications
• Hardware failure (1%—5%).
• Infection (0%-6%).
• Pin migration (15%).
° Ulnar neuritis (2%-12%).
• Heterotopic ossification (2%-13%).
° Nonunion (5%).
• Decreased ROM (Stiffness): may complicate
up to 50% of cases. Loss of elbow extension
is most common.
References
Campbell’s operative orthopaedics 14 th edition
Apley and Solomon’s System of Orthopaedics and
Trauma: 10th edition
Rockwood and Green Fractures in Adults -8th
edition
Handbook of fractures 6th edition
Ota.org
Olecranon#

Olecranon#

  • 1.
    Fractures of the Olecranon Moderator:Dr. Amrit Shrestha Presenter: Dr. Suman Subedi
  • 2.
    • Bimodal distribution: Youngerindividuals: High-energy trauma Older individuals: Simple falls PDCT0RSE@£TS.COM Epidemiology
  • 3.
    Anatomy • The subcutaneousposition of olecranon makes it vulnerable to direct trauma.
  • 4.
    Anatomy • The coronoidprocess delineates the distal border of greater sigmoid notch of ulna, which articulates with the trochlea. • This articulation allows motion only about the flexion-extension axis, thus providing intrinsic stability to the elbow joint. • “Bare area“: Transverse ridge interrupting the articular cartilage.
  • 5.
    • Posteriorly,thetricepstendonenvelops the articularcapsulebefore it inserts to the olecranon. • Fracture olecranon with displacement representsa functional disruptionof triceps mechanism, resulting in Ioss of active extension of the elbow.
  • 6.
    Mechanismof injury • Direct:Fall on the point of elbow or direct trauma to olecranon. —Typically results in a comminuted olecranon fracture. • Indirect: Fall onto the outstretched upper extremity accompanied by a strong, sudden contraction of triceps. —Typically results in a transverse or oblique fracture. • A combination of these may produce displaced, comminuted fractures, or, in cases of extreme violence, fracture- dislocation with anterior displacement of the distal ulnar fragment and radial head.
  • 7.
    Clinical Presentation • Patientstypical present with the upper extremity supported by the contralateral hand with the elbow in relative flexion.
  • 8.
    ° Look: —Abrasions overolecranon or hand can be indicative of the mechanism of injury. • Feel: —Palpable defect at fracture site. Move: —Inability to extend the elbow actively against gravity indicates discontinuity of triceps mechanism. ° Neurosensory evaluation: —Associated ulnar nerve injury is possible, esp. with comminuted fractures resulting from high-energy injuries. ClinicalEvaluation
  • 9.
    Associated Injuries • Giventhe subcutaneous location of the olecranon, open fractures are not uncommon and have a reported rate of 2% to 30% of fractures. • Transolecranon fracture-dislocations may be associated with injuries to the coronoid process or segmental fractures of the ulna. • Posterior Monteggia lesions may be associated with coronoid process fractures (26%), radial head fractures (68%), ipsilateral upper extremity injuries (24%), and injuries to the collateral ligaments.
  • 10.
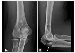
    Radiographic Evaluation • Truelateral radiograph Demonstrates: • extent of the fracture • degree of comminution • degree of articular surface involvement • displacement of the radial head, if present.
  • 11.
    • AP view: Thisshouid be evaluated to exclude associated fractures or dislocations. The distal humerus may obscure osseous details of the olecranon fracture. Radiographic Evaluation
  • 13.
    • Radiocapitellar view: Thismay be of help if the patient appears to have a concomitant injury or displacement of the radial head. Position the patient as for a lateral x-ray view but angle the tube 45° toward the shoulder Radiographic Evaluation
  • 15.
    Mayo Classification • This distinguishes factorsthathave a direct influence on treatment: (1) fracture displacement, (2) comminution, & (3) ulnohumeral stability.
  • 16.
    Schatzker classification (Based onFracture Pattern • Transverse: Occurs at apex of sigmoid notch. Usually represents an avulsion fracture. • Transverse-impacted: A direct force leads to comminution & depression of articular surface. • Oblique: results from hyperextension injury; it begins at midpoint of sigmoid notch and runs distally. • Comminuted fractures with associated injuries: result from direct high-energy trauma; fractures of coronoid process may lead to instability. • Oblique-distal: Fractures extend distal to the coronoid & compromise elbow stability. • Fracture-dislocation: usually associated with severe trauma.
  • 17.
  • 18.
    Treatment Objectives  Restorationof articular surface  Restoration & preservation of elbow extensor mechanism  Restoration of elbow motion and prevention of stiffness  Prevention of complications
  • 19.
    Nonoperative Treatment ° Indications: •nondisplaced fractures • displaced fractures in poorly functioning elder individuals
  • 20.
    Nonoperative Treatment  Immobilizationin along arm cast with the elbow in 45-90° of flexion is favored by many authors.  in reliable patients a posterior splint or orthosis with gradual initiation of ROM after 5-7 daysmay be used.  Follow-up radiographs should be obtained within 5-7 days after treatment to rule out fracture displacement.
  • 21.
    Nonoperative Treatment • Osseousunionisusually not complete until6-8weeks. • Typically, the elbow is splinted for 2 to 3 weeks and then gentle active- assisted flexion is started avoiding active extension against gravity or resistance for the first 6 weeks after injury. • At 6 weeks, the patient can begin active motion against gravity • resistive exercises started at 3 months
  • 23.
    Operative Treatment Indications • Disruptionof extensor mechanism (any displaced fracture) • Articular incongruity • Open fractures
  • 24.
    Principles of SurgicalTreatment • Rigid fixation is required. a) Plate fixation: Often the best choice, esp. when comminution is present, to maintain ulnar Iength and alignment. • A number of plate fixation techniques have been described, most involving a contoured posterior or lateral plate with, when possible, interfragmentary screws. a) In addition to internal fixation, use of an external fixation device or distraction device can be helpful or necessary to maintain joint congruity while allowing an early motion program.
  • 25.
    Primary bonegrafting shouldbe considered to reduce the risk of nonunion , especially in type IIIB olecranon fractures Principles of Surgical Treatment
  • 26.
    Principles of SurgicalTreatment • Total elbow arthroplasty may be considered based on the fracture pattern, bone quality, and patient age. However, the results of elbow arthroplasty following trauma are not as good as the results for patients with inflammatory arthritis.
  • 27.
    • Restoration ofarticular congruity is a primary goal of reduction and fixation of olecranon fractures. 1) Type IIIB olecranon fractures are not well suited to tension band wiring because of the loss of bony stability under compression. 2) Avoid narrowing of the olecranon to coronoid distance. 3) It is usually preferable to co-apt the cortical surfaces and leave a gap in the articular surface in order to preserve a more normal articular contour. Principles of Surgical Treatment
  • 28.
    Surgical Options Tension bandwiring • Commonly used for noncomminuted, transverse olecranon fractures. • Tension band wiring in combination with 2 parallel K- wires counteracts the tensile forces & converts them to compressive forces and is indicated for avulsion-type olecranon fractures. • Various techniques have been described.
  • 30.
    Tension band wiring StandardAO technique: • This technique uses 2 intramedullary K-wires and a figure-of-eight wire with a single knot. • To avoid proximal migration and hardware prominence, the K-wires can be directed anteriorly to engage the ulnar cortex at the base of the coronoid. a) This provides stronger fixation than the usual intramedullary placement of the K-wires. b) Some concerns have been raised over the potential for neurovascular injury with this technique, although no reports of such injuries could be found.
  • 32.
    Surgical options Intramedullary fixation •Currently, the accessibility and ease of cannulated screw systems have made intramedullary screw fixation an attractive treatment option. • Indications for intramedullary screw placement: —Similar to tension band wiring. —Include simple, noncomminuted transverse fracture patterns.
  • 33.
    Surgical options Intramedullary fixation •6.5-mm cancellouslag screw fixation. • The screw must be of sufficient length to engage the distal intramedullary canal for adequate fixation. • This may be used in conjunction with tension band wiring. * * * , «g%•- "*
  • 34.
    Surgical options Intramedullary fixation •Other forms of intrameduliary fixation have also been introduced. —Interlocking intramedullary nailing devices have been created to treat simple, transverse olecranon fractures. ° Proponents of this device have touted its “locking” capability which prevents the need for intramedullary cortical purchase necessary in traditional screw techniques.
  • 35.
    Surgicaloptions Plate and screws •Plating has becomean increasingly important method of treating displaced olecranon fractures.
  • 36.
    Surgical options Plate andscrews • Although plate fixation can be used for virtually any type of olecranon fracture, it is ideal for the following indications: —comminuted olecranon fractures —Monteggia fracture-dislocations —olecranon fracture-dislocations • A plate should also be for oblique fractures and for fractures that extend distal to the coronoid.
  • 37.
    Surgical options • Low-profile,locking precontoured plates are now available. • Standard manually contoured 3.5-mm limited contact DCPs are also available.
  • 38.
    Surgical options Plate andscrews • Plate fixation allows neutralization of forces across the fracture site and shouldprovide adequate rigid internal fixation to begin early motion. • Interfragmentary compression screws should be utilized when possible. • Augmentation with an external fixation or distraction device may be beneficial when elbow stability is lacking despite fracture fixation. • Articular step-off of > 2 mm hasbeen associated with poorer results.
  • 39.
    Plate position —Most authorsprefer posterior placement of the plate. —However, King etalfound no significant difference in strength of fixation between posterior or lateral placement. • Posterior plating allows a more direct approach to the proximal ulna and requires less soft tissue stripping and less effort to contour the plate. ° A laterally placed plate may be less prominent and less likely to require hardware removal. Bailey CS, MacDermid J, Patterson SD, King GJ. Outcome of plate fixation of olecranon fractures. Journal of orthopaedic trauma. 2001 Nov 1;15(8):542-8. Surgical Options Plate and screws
  • 40.
    Hook plate One endof a 3.5-mm semitubular Plate flattened with a mallet and bendïng irons A wire cutter is used to cut away a portion of the distal plate hole The two cut ends are then bent to 90’“. The plate is then contoured to the olecranon. Two holes are placed in the proximal olecranon to ease insertion of the hooks into the fragments Cut portions of the plate are bent to 90 degrees
  • 41.
    Surgicaloptions Fragment Excision withTriceps Advancement Recent advances in implant technology have made reconstruction of a severely comminuted olecranon fracture more feasible. • However, proximal fragment excision and triceps advancement still constitutes a viabie option in the treatment of comminuted olecranon fractures. • Excision of as much as 50% of the olecranon is effective in treating comminuted fractures.
  • 42.
    Surgical Options Fragment Excisionwith Triceps Advancement • Indications: —Nonunited fractures —Extensively comminuted fractures —Fractures in elderly individuals with severe osteopenia and low functional requirements
  • 43.
    Fragment Excision withTriceps Advancement • Pearls and Pitfalls: —Excision in patients with > 60% articular involvement yields poorer results. —When reattaching the triceps, care should be taken to bring the tendon close to the articular surface, thus improving stability by acting as a sling for the trochlea. —Patients must have an intact MCL, interosseous membrane, and DRUJ before excision, or instability will likely develop. —A major criticism of this technique is the potential for significant loss of triceps power.
  • 44.
    Surgical options Fragment Excisionwith Triceps Advancement • Contraindications: —Fracture-dislocations of the elbow —Fractures of the radial head (Excision will compromise elbow stability)
  • 45.
    TotalElbowArthroplasty • Indications: —Total elbowarthroplasty may be considered in elderly patients with significant comminution and > 60% articular involvement. Surgical Options
  • 47.
    Postoperative management • Thepatient shouldbe placed in a posterior elbow splint. • With a stable repair, initiateearly ROM exercises. • In cases with severesoft tissue injury, early motion may need to be delayed until the soft tissue healing is adequate to tolerate motion.
  • 48.
    Complications • Hardware prominencerequiring removal: —The most common complication (up to 80%). —More common with tension band wiring than with plate fixation.
  • 49.
    Complications • Hardware failure(1%—5%). • Infection (0%-6%). • Pin migration (15%). ° Ulnar neuritis (2%-12%). • Heterotopic ossification (2%-13%). ° Nonunion (5%). • Decreased ROM (Stiffness): may complicate up to 50% of cases. Loss of elbow extension is most common.
  • 52.
    References Campbell’s operative orthopaedics14 th edition Apley and Solomon’s System of Orthopaedics and Trauma: 10th edition Rockwood and Green Fractures in Adults -8th edition Handbook of fractures 6th edition Ota.org