OCCLUSION
Dr Farhan Dil
Assistant professor
Khyber college of dentistry
Occlusion
• Contact relationship between upper and lower teeth during
various activity of the mandible (Mastication, swallowing &
Speech)
• Static and dynamic contact relationship between the occlusal
surfaces of the teeth during function
• Most commom sequance of eruption in maxillary arch
6-1-2-4-3-5-7-8 and 6-1-2-4-5-3-7-8
• Most commom sequance of eruption in mandibular arch
(6-1)-2-3-4-5-7-8 and (6-1)-2-4-3-5-7-8
Centric occlusion
Maximum intercuspation between
uppr and lower teeth
Maximum intercuspation
Maximum interdigitation of the
maxillary teeth with mandibular
teeth
Centric Relation
It is the position of the mandible in which the condyle is
resting in the most posterior or retrusive unstrained position
in the glenoid fossa
Why we study Occlusion
Occlusion helps in treatment of Maloclusion,
Temporomandibular joint problems, proper construction of
Dentures (Crown, bridge, Implant etc)
Occlusal Curvatures
It allow the most efficient use of the forces of mastication
Stabilizing and protecting the dental arch
Curve of Spee
• Antero-posterior curve
• Cusp of canine and follows buccal cusp of premolar and molars
• 2 dimensional curve
• Curve upward from anterior to posterior
• Inclination of individual posterior teeth
Curve of Wilson
• Medio-lateral curvature
• 2 dimensional curve
• Path of the condyles during movements of jaw
• Inclination of crown and root is confirmed by this curve
• Curvature is deeper in molars then permolars
Curve of Monson (Compensating Occlusal Curvature)
• Combination of curve of spee and curve of Wilson
• 3 dimensional curve
• Concave for mandibular arch
• Convex for maxillary arch
Dental Arch Formation
• Outline of maxillary arch is larger
then mandibular arch
• So maxillary teeth overhang the
mandibular teeth when the teeth are
in centric occlusion
• Permits overbite and overjet
relationship
Overjet
• Horizontal relationship of the upper
teeth to the lower teeht in centric
occlusion
Overbite
• Vertical relation of the upper teeth to
lower teeth in centric occlusion
Importance
• Prevent soft tissue biting
• Guid the mandible through various
lateral movement
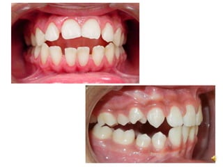
Crossbite
• It is a condition in which one or more teeth abnormally
malposed buccaly or lingually or labially with reference to
opposing teeth.
Open bite
• It is the failure of a tooth or teeth to meet their antagonist in
the opposite arch.
• It creats
– Difficulty in speech
– TMJ disorder
– Functional imbalance
– Bad aesthetics
Classification
• On the basis of region involve
– Anterior open bite
– Posterior open bite
• On the basis of etiological factors
– Skeletal open bite
– Dental open bite
• On the basis of molar relationship
– Class 1 open bite
– Class 2 open bite
– Class 3 open bite
Functional Cusps or Supporting Cusps
• The buccal cusp of mandibular posterior teeth and lingual cusp
of maxillary posterior teeth are called functional cusp or
supporting cusp.
• These cusp occlude in the central fossa and maintain the
occlusal vertical height, these are also called centric cusp or
holding cusp
Non Functional Cusps
• The lingual cusps of mandibular posterior
teeth and buccal cusps of maxillary
posterior teeth are non functional cusp
• Also called guiding cusps
• They guide the mandible in lateral
movements
Leeway space
• The erupting premolars are smaller in
mesiodistal dimension then the
primary molars.
• The difference in size between the
premolars and primary molars as well
as deciduous canine called Leeway
space
• The average mesiodistal size of the deciduous in that area is
47mm, which when compared with the premolar dimension of
43.2mm, indicates an average gain of 3.8mm in available
space.
• The leeway space must be utilized for alignment of lower
incisors as these teeth erupt with an average of 1.6mm of
crowding. The remainder of the space will be utilized by the
mandibular molars
Freeway space
• The space between the occluding surfaces of the maxillary and
mandibular teeth when the mandible is in physiologic resting
position.
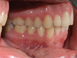
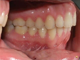
Angle Classification
• Class 1: Mesiobuccal cusp pf maxillary 1st molar occlude in
the buccal groove of mandibular 1st molar
• Canine relationship: The mesial incline of the maxillary
canine occludes with the distal incline of the mandibular
canine. The distal incline of the maxillary canine occludes with
the mesial incline of the mandibular first premolar
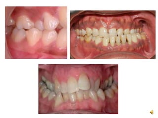
• Class II: Mesiobuccal cusp of maxillary 1st molar occlude
anterior to the buccal groove of mandibular 1st molar
• Division I: The maxillary anterior teeth are protruded. Teeth
are proclained and a large overjet is present.
• Class II: The molar relationships are Class II where the
maxillary central incisors are retroclined.
• Division II: The maxillary lateral incisor teeth may be
proclaimed or normally inclined
Class III
• Mesiobuccal cusp of maxillary 1st molar occlude poterior to
the buccal groove of mandibular 1st molar
Andrew’s 6 keys of Normal Occlusion
• Correct molar relationship
• Correct (mesio-distally) crown angulation
• Correct (Labio-lingually) crown inclination
• No rotation
• No spaces
• Flat occlusal plane
Thank you

Occlusion

  • 1.
    OCCLUSION Dr Farhan Dil Assistantprofessor Khyber college of dentistry
  • 2.
    Occlusion • Contact relationshipbetween upper and lower teeth during various activity of the mandible (Mastication, swallowing & Speech) • Static and dynamic contact relationship between the occlusal surfaces of the teeth during function
  • 6.
    • Most commomsequance of eruption in maxillary arch 6-1-2-4-3-5-7-8 and 6-1-2-4-5-3-7-8 • Most commom sequance of eruption in mandibular arch (6-1)-2-3-4-5-7-8 and (6-1)-2-4-3-5-7-8
  • 7.
    Centric occlusion Maximum intercuspationbetween uppr and lower teeth Maximum intercuspation Maximum interdigitation of the maxillary teeth with mandibular teeth
  • 8.
    Centric Relation It isthe position of the mandible in which the condyle is resting in the most posterior or retrusive unstrained position in the glenoid fossa
  • 9.
    Why we studyOcclusion Occlusion helps in treatment of Maloclusion, Temporomandibular joint problems, proper construction of Dentures (Crown, bridge, Implant etc)
  • 10.
    Occlusal Curvatures It allowthe most efficient use of the forces of mastication Stabilizing and protecting the dental arch
  • 11.
    Curve of Spee •Antero-posterior curve • Cusp of canine and follows buccal cusp of premolar and molars • 2 dimensional curve • Curve upward from anterior to posterior • Inclination of individual posterior teeth
  • 12.
    Curve of Wilson •Medio-lateral curvature • 2 dimensional curve • Path of the condyles during movements of jaw • Inclination of crown and root is confirmed by this curve • Curvature is deeper in molars then permolars
  • 13.
    Curve of Monson(Compensating Occlusal Curvature) • Combination of curve of spee and curve of Wilson • 3 dimensional curve • Concave for mandibular arch • Convex for maxillary arch
  • 14.
    Dental Arch Formation •Outline of maxillary arch is larger then mandibular arch • So maxillary teeth overhang the mandibular teeth when the teeth are in centric occlusion • Permits overbite and overjet relationship
  • 15.
    Overjet • Horizontal relationshipof the upper teeth to the lower teeht in centric occlusion Overbite • Vertical relation of the upper teeth to lower teeth in centric occlusion Importance • Prevent soft tissue biting • Guid the mandible through various lateral movement
  • 17.
    Crossbite • It isa condition in which one or more teeth abnormally malposed buccaly or lingually or labially with reference to opposing teeth.
  • 22.
    Open bite • Itis the failure of a tooth or teeth to meet their antagonist in the opposite arch. • It creats – Difficulty in speech – TMJ disorder – Functional imbalance – Bad aesthetics
  • 23.
    Classification • On thebasis of region involve – Anterior open bite – Posterior open bite • On the basis of etiological factors – Skeletal open bite – Dental open bite • On the basis of molar relationship – Class 1 open bite – Class 2 open bite – Class 3 open bite
  • 26.
    Functional Cusps orSupporting Cusps • The buccal cusp of mandibular posterior teeth and lingual cusp of maxillary posterior teeth are called functional cusp or supporting cusp. • These cusp occlude in the central fossa and maintain the occlusal vertical height, these are also called centric cusp or holding cusp
  • 27.
    Non Functional Cusps •The lingual cusps of mandibular posterior teeth and buccal cusps of maxillary posterior teeth are non functional cusp • Also called guiding cusps • They guide the mandible in lateral movements
  • 28.
    Leeway space • Theerupting premolars are smaller in mesiodistal dimension then the primary molars. • The difference in size between the premolars and primary molars as well as deciduous canine called Leeway space
  • 29.
    • The averagemesiodistal size of the deciduous in that area is 47mm, which when compared with the premolar dimension of 43.2mm, indicates an average gain of 3.8mm in available space. • The leeway space must be utilized for alignment of lower incisors as these teeth erupt with an average of 1.6mm of crowding. The remainder of the space will be utilized by the mandibular molars
  • 31.
    Freeway space • Thespace between the occluding surfaces of the maxillary and mandibular teeth when the mandible is in physiologic resting position.
  • 32.
    Angle Classification • Class1: Mesiobuccal cusp pf maxillary 1st molar occlude in the buccal groove of mandibular 1st molar • Canine relationship: The mesial incline of the maxillary canine occludes with the distal incline of the mandibular canine. The distal incline of the maxillary canine occludes with the mesial incline of the mandibular first premolar
  • 34.
    • Class II:Mesiobuccal cusp of maxillary 1st molar occlude anterior to the buccal groove of mandibular 1st molar • Division I: The maxillary anterior teeth are protruded. Teeth are proclained and a large overjet is present.
  • 35.
    • Class II:The molar relationships are Class II where the maxillary central incisors are retroclined. • Division II: The maxillary lateral incisor teeth may be proclaimed or normally inclined
  • 36.
    Class III • Mesiobuccalcusp of maxillary 1st molar occlude poterior to the buccal groove of mandibular 1st molar
  • 37.
    Andrew’s 6 keysof Normal Occlusion • Correct molar relationship • Correct (mesio-distally) crown angulation • Correct (Labio-lingually) crown inclination • No rotation • No spaces • Flat occlusal plane
  • 39.