Obstructive sleep apnea (OSA)
In a healthy sleeping child, the mouth is
typically closed, the oral cavity is
collapsed, and the nasopharynx and
hypopharynx are patent with minimal
wall motion
Obstructive Sleep Apnea in Pediatric
Patients
UPPER AIRWAY OBSTRUCTION
• Correct normal resistance is 2 to 3.5 cm H2O/L/Sec and
results in high tracheobronchial airflow which
enhances the oxygenation of the most peripheral
pulmonary alveoli.
• Mouth breathing causes a lower velocity of incoming
air and eliminates nasal resistance. Low pulmonary
compliance results .
• According to blood gas studies, mouth breathers have
20% higher partial pressure of carbon dioxide and 20%
lower partial pressures of oxygen in the blood, linked
to their lower pulmonary compliance and reduced
velocity.
Upper Airway Resistance Syndrome
• Upper Airway Resistance Syndrome or UARS is
a sleep disorder characterized by airway
resistance to breathing during sleep. The
primary symptoms include daytime sleepiness
and excessive fatigue.
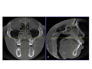
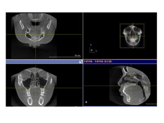
Adenoids
• The adenoids are absent at birth and then rapidly
proliferate during infancy. The adenoids reach
their maximum size between 2 and 10 years of
age and then begin to progressively decrease in
size beginning in the teenage years.
• Adenoids larger in size than 12 mm and
associated with interim collapse of the posterior
nasopharynx on the cine MR images should be
considered enlarged.
Adenoids
• The adenoids, along with the tonsils, help
prevent agents such as bacteria and viruses
from entering the body. The adenoids are
made up of a group of blood cells that create
antibodies. Antibodies are proteins that
neutralize foreign substances in the body.
When infection or inflammation occurs, the
adenoids can enlarge. Since they are seated at
the back of the nasal cavity, the swollen
adenoids can block airflow through the nose.
Enlarged Adenoids and Their
Symptoms
• Breathing through the mouth instead of the nose
most of the time
• Nose sounds "blocked" when the person speaks
• Noisy breathing during the day
• Recurrent ear infections
• Snoring at night
• Breathing stops for a few seconds at night during
snoring or loud breathing (sleep apnea)
facial growth
• The age of four (4), 60 percent of the
craniofacial skeleton has reached its adult size.
By the age of twelve, 90 percent of facial
growth has already occurred.
• By age seven (7) the majority of the growth
and development of the maxilla is complete
and by age nine (9) the majority of the growth
and development of the mandible is complete.
Facial growth is coupled with
adenoidal growth
UPPER AIRWAY OBSTRUCTION AND
MOUTH BREATHING
• Upper airway obstruction and mouth breathers
demonstrated considerable backward and
downward rotation of the mandible, increased
overjet, increase in the mandible plane angle, a
higher palatal plane, and narrowing of both
upper and lower arches at the level of canines
and first molars compared to the nasal
breathers group.
Adenoidal hypertrophy
• The adenoids, along with the tonsils, help
prevent agents such as bacteria and viruses
from entering the body. The adenoids are
made up of a group of blood cells that create
antibodies. Antibodies are proteins that
neutralize foreign substances in the body.
When infection or inflammation occurs, the
adenoids can enlarge. Since they are seated at
the back of the nasal cavity, the swollen
adenoids can block airflow through the nose.
Obstruction of upper airways
Contributing factors
• Contributing factors in the obstruction of
upper airways include: anatomical airway
constriction, developmental anomalies,
macroglossia, enlarged tonsils and adenoids,
nasal polyps and allergic rhinitis.
• Enlarged adenoids as the major contributing
factor.
Adenoid hypertrophy and the
development of skeletal dental
abnormalities.
• Airway obstruction, resulting from nasal cavity
or pharynx blockage, results in postural
modifications such as open lips, lowered
tongue position, anterior and posteroinferior
rotation of the mandible, and a change in
head posture. These modifications take place
in an effort to stabilize the airway.
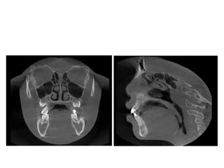
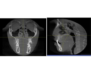
Enlarged adenoids
• Enlarged adenoids correlated with the open
mouth position.(AJR Am J Roentgenol. 2002
Aug;179(2):503-8 )
• The nasopharynx and hypopharynx changes only
minimally with respiration any motion greater
than 5 mm should be considered abnormal.
• Adenoid enlargement most likely does play a role
in the development of obstruction in obstructive
sleep apnea.
Develop of the midface
• The relationship between the naso-maxillary
complex and the cranial base is significant for
aesthetic reasons and proper facial bone, muscle
and soft tissue support.
• An improper airway will affect the global
individual growth.
• Additionally, muscle adaptions affect
dentoskeletal development. The integration of
the musculoskeletal system affects respiration,
mastication, deglutition, and speech.
Facial growth
• This basic understanding of facial growth and
development is relevant as adenoidal tissue
enlargement coincides with major facial
growth, i.e. they occur simultaneously.
• Facial growth may be restricted by abnormal
development of adenoidal tissue resulting in
abnormal swallowing and breathing patterns.
Habitual mouth breathing may result
in muscular and postural anomalies
• Facial structures are modified by postural
alterations in soft tissue that produce changes
in the equilibrium of pressure exerted on
teeth and the facial bones . Additionally,
during mouth breathing, muscle alterations
affect mastication, deglutition and phonation
because other muscles are relied upon.
Dentofacial changes associated with
nasal airway blockage
• Mouth breathers, often exhibited narrow
V-shaped dental arches.
• This narrow jaw is a result of mouth
breathers keeping their lips apart and their
tongue position low. The imbalance
between the tongue pressure, and the
muscles in the cheek, result in cheek
muscles compressing the alveolar process
in the premolar region. Simultaneously,
the lower jaw postures back. These
simultaneous actions have been termed
the compressor theory
The relationship of airway
obstruction and dentofacial
structures
黃奇卿醫師
中華民國美容醫學專科醫師
口腔暨顏面美學重建醫學會理事長
台北醫學大學臨床講師
DDS ,Taipei Medical University
Chairman of the Facial Beauty & Dento-maxillofacial esthetics reconstruction
medical Society , Taiwan
Specialty in Chinese Society of Cosmetic surgery and anti-aging medicine
The relationship of airway obstruction
and dentofacial structures
• Airway obstruction, coupled with loss of
lingual and palatal pressure of the tongue,
produces alterations in the maxilla. The
positioning of the tongue also plays an
important role in mandibular development.
The tongue displaced downward can lead to a
retrognathic mandible; and an interposed
tongue can lead to anterior occlusal anomalies.
The relationship of airway obstruction
and dentofacial structures
• maxillary changes can be viewed in the transverse
direction, producing a narrow face and palate often
linked with cross bite; in the anteroposterior direction,
producing maxillary retrusion; and in the vertical
direction causing an increase in palatal inclination as
related to the cranial base and excessive increases of
the lower anterior face height.
• The most commonly found occlusal alterations are
cross bite (posterior and/or anterior), open bite,
increased over jet, and retroclination of the maxillary
and mandibular incisors.
• Correct nasal breathing facilitates normal
growth and development of the craniofacial
complex .
• Important motor functions such as chewing
and swallowing depend largely on normal
craniofacial development.
• Any restriction to the upper airway passages
can cause nasal obstruction possibly resulting
in various dentofacial and skeletal alterations.
• 1. The cranial base must develop properly;
• 2. The naso-maxillary complex must grow
down and forward from the cranial base;
• 3. The maxilla must develop in a linear and
lateral fashion;
• 4. A patent airway must develop properly.
UPPER AIRWAY OBSTRUCTION AND
MOUTH BREATHING
• Upper airway obstruction and mouth breathers
demonstrated considerable backward and
downward rotation of the mandible, increased
overjet, increase in the mandible plane angle, a
higher palatal plane, and narrowing of both
upper and lower arches at the level of canines
and first molars compared to the nasal
breathers group.
Adenoidal hypertrophy
• The adenoids, along with the tonsils, help
prevent agents such as bacteria and viruses
from entering the body. The adenoids are
made up of a group of blood cells that create
antibodies. Antibodies are proteins that
neutralize foreign substances in the body.
When infection or inflammation occurs, the
adenoids can enlarge. Since they are seated at
the back of the nasal cavity, the swollen
adenoids can block airflow through the nose.
obstruction of upper airways
Contributing factors
• Contributing factors in the obstruction of
upper airways include: anatomical airway
constriction, developmental anomalies,
macroglossia, enlarged tonsils and adenoids,
nasal polyps and allergic rhinitis.
• Enlarged adenoids as the major contributing
factor.
Teeth grinding in children
• We always said “a lot of kids grind their teeth but
they will grow out of it, do not to worry about it”.
• The consequences of teeth grinding in children
are often manifested in behavioural problems
due to the constant nocturnal arousals. Research
has found that children with bruxism have a
tendency towards anxiety, stress and
hyperactivity. It is also strongly associated with
Attention Deficit Hyperactivity Disorder (ADHD).
Children and Bruxism
• Teeth grinding causes nocturnal arousals and is
classified as a sleep disorder, however it is also a
response to nocturnal arousals that are
associated with other sleep disorders. It is a very
common complaint of children with mouth
breathing, adenotonsillar hypertrophy,
obstructive sleep apnoea (OSA), dental occlusion
and psycholgical problems. It is also linked to
craniomandibular disorders including headaches
and temporomandibular joint discomfort.
The incidence of bruxism in allergic
children
• There is a correlation between bruxism and
upper airway obstruction.
• The cause is obstruction of the eustacian tube
(ear tube) by enlarged adenoidal tissue. Bruxing,
or movement of the jaw from side to side while in
contact with the teeth, relieves pressure by
activation of a muscle near the opening of the ear
tube (the medial pterygoid).
• As the child moves their jaw from side to side,
the little muscle pulls on the ear tube opening,
allowing pressure release .
RME
• Maxillary constriction in particular has been
postulated to play a role in the pathophysiology
of OSA because of its association with low tongue
posture that may contribute to the orophayrnx
airway narrowing (Subtelny 1954).
• Pirelli et al. grouped 31 children with OSA and
followed them up to 4 months after RME
treatment. All of these children had their apnea-
hypoapnea index decreased while their mean
maxillary cross sectional width expanded to
about 4.5mm.
Habitual mouth breathing may result
in muscular and postural anomalies
• Facial structures are modified by
postural alterations in soft tissue
that produce changes in the
equilibrium of pressure exerted
on teeth and the facial bones .
Additionally, during mouth
breathing, muscle alterations
affect mastication, deglutition
and phonation because other
muscles are relied upon.
Mouth breathing - adenoid face
 Long and narrow head
 Dental Malocclusion
 Droopy lower lip
 Upper lip that is shorter then
normal
 Gummy smile
 Flattened cheek
 Dark Circles Under Eyes
790516
810410
蕭郁庭
Obstructive sleep apnea (osa)The relationship of airway obstruction and dentofacial structures
Obstructive sleep apnea (osa)The relationship of airway obstruction and dentofacial structures
Obstructive sleep apnea (osa)The relationship of airway obstruction and dentofacial structures

Obstructive sleep apnea (osa)The relationship of airway obstruction and dentofacial structures

  • 1.
  • 5.
    In a healthysleeping child, the mouth is typically closed, the oral cavity is collapsed, and the nasopharynx and hypopharynx are patent with minimal wall motion
  • 9.
    Obstructive Sleep Apneain Pediatric Patients
  • 10.
    UPPER AIRWAY OBSTRUCTION •Correct normal resistance is 2 to 3.5 cm H2O/L/Sec and results in high tracheobronchial airflow which enhances the oxygenation of the most peripheral pulmonary alveoli. • Mouth breathing causes a lower velocity of incoming air and eliminates nasal resistance. Low pulmonary compliance results . • According to blood gas studies, mouth breathers have 20% higher partial pressure of carbon dioxide and 20% lower partial pressures of oxygen in the blood, linked to their lower pulmonary compliance and reduced velocity.
  • 11.
    Upper Airway ResistanceSyndrome • Upper Airway Resistance Syndrome or UARS is a sleep disorder characterized by airway resistance to breathing during sleep. The primary symptoms include daytime sleepiness and excessive fatigue.
  • 12.
    Adenoids • The adenoidsare absent at birth and then rapidly proliferate during infancy. The adenoids reach their maximum size between 2 and 10 years of age and then begin to progressively decrease in size beginning in the teenage years. • Adenoids larger in size than 12 mm and associated with interim collapse of the posterior nasopharynx on the cine MR images should be considered enlarged.
  • 14.
    Adenoids • The adenoids,along with the tonsils, help prevent agents such as bacteria and viruses from entering the body. The adenoids are made up of a group of blood cells that create antibodies. Antibodies are proteins that neutralize foreign substances in the body. When infection or inflammation occurs, the adenoids can enlarge. Since they are seated at the back of the nasal cavity, the swollen adenoids can block airflow through the nose.
  • 15.
    Enlarged Adenoids andTheir Symptoms • Breathing through the mouth instead of the nose most of the time • Nose sounds "blocked" when the person speaks • Noisy breathing during the day • Recurrent ear infections • Snoring at night • Breathing stops for a few seconds at night during snoring or loud breathing (sleep apnea)
  • 16.
    facial growth • Theage of four (4), 60 percent of the craniofacial skeleton has reached its adult size. By the age of twelve, 90 percent of facial growth has already occurred. • By age seven (7) the majority of the growth and development of the maxilla is complete and by age nine (9) the majority of the growth and development of the mandible is complete.
  • 17.
    Facial growth iscoupled with adenoidal growth
  • 18.
    UPPER AIRWAY OBSTRUCTIONAND MOUTH BREATHING • Upper airway obstruction and mouth breathers demonstrated considerable backward and downward rotation of the mandible, increased overjet, increase in the mandible plane angle, a higher palatal plane, and narrowing of both upper and lower arches at the level of canines and first molars compared to the nasal breathers group.
  • 19.
    Adenoidal hypertrophy • Theadenoids, along with the tonsils, help prevent agents such as bacteria and viruses from entering the body. The adenoids are made up of a group of blood cells that create antibodies. Antibodies are proteins that neutralize foreign substances in the body. When infection or inflammation occurs, the adenoids can enlarge. Since they are seated at the back of the nasal cavity, the swollen adenoids can block airflow through the nose.
  • 20.
    Obstruction of upperairways Contributing factors • Contributing factors in the obstruction of upper airways include: anatomical airway constriction, developmental anomalies, macroglossia, enlarged tonsils and adenoids, nasal polyps and allergic rhinitis. • Enlarged adenoids as the major contributing factor.
  • 21.
    Adenoid hypertrophy andthe development of skeletal dental abnormalities. • Airway obstruction, resulting from nasal cavity or pharynx blockage, results in postural modifications such as open lips, lowered tongue position, anterior and posteroinferior rotation of the mandible, and a change in head posture. These modifications take place in an effort to stabilize the airway.
  • 22.
    Enlarged adenoids • Enlargedadenoids correlated with the open mouth position.(AJR Am J Roentgenol. 2002 Aug;179(2):503-8 ) • The nasopharynx and hypopharynx changes only minimally with respiration any motion greater than 5 mm should be considered abnormal. • Adenoid enlargement most likely does play a role in the development of obstruction in obstructive sleep apnea.
  • 23.
    Develop of themidface • The relationship between the naso-maxillary complex and the cranial base is significant for aesthetic reasons and proper facial bone, muscle and soft tissue support. • An improper airway will affect the global individual growth. • Additionally, muscle adaptions affect dentoskeletal development. The integration of the musculoskeletal system affects respiration, mastication, deglutition, and speech.
  • 24.
    Facial growth • Thisbasic understanding of facial growth and development is relevant as adenoidal tissue enlargement coincides with major facial growth, i.e. they occur simultaneously. • Facial growth may be restricted by abnormal development of adenoidal tissue resulting in abnormal swallowing and breathing patterns.
  • 25.
    Habitual mouth breathingmay result in muscular and postural anomalies • Facial structures are modified by postural alterations in soft tissue that produce changes in the equilibrium of pressure exerted on teeth and the facial bones . Additionally, during mouth breathing, muscle alterations affect mastication, deglutition and phonation because other muscles are relied upon.
  • 26.
    Dentofacial changes associatedwith nasal airway blockage • Mouth breathers, often exhibited narrow V-shaped dental arches. • This narrow jaw is a result of mouth breathers keeping their lips apart and their tongue position low. The imbalance between the tongue pressure, and the muscles in the cheek, result in cheek muscles compressing the alveolar process in the premolar region. Simultaneously, the lower jaw postures back. These simultaneous actions have been termed the compressor theory
  • 27.
    The relationship ofairway obstruction and dentofacial structures 黃奇卿醫師 中華民國美容醫學專科醫師 口腔暨顏面美學重建醫學會理事長 台北醫學大學臨床講師 DDS ,Taipei Medical University Chairman of the Facial Beauty & Dento-maxillofacial esthetics reconstruction medical Society , Taiwan Specialty in Chinese Society of Cosmetic surgery and anti-aging medicine
  • 28.
    The relationship ofairway obstruction and dentofacial structures • Airway obstruction, coupled with loss of lingual and palatal pressure of the tongue, produces alterations in the maxilla. The positioning of the tongue also plays an important role in mandibular development. The tongue displaced downward can lead to a retrognathic mandible; and an interposed tongue can lead to anterior occlusal anomalies.
  • 29.
    The relationship ofairway obstruction and dentofacial structures • maxillary changes can be viewed in the transverse direction, producing a narrow face and palate often linked with cross bite; in the anteroposterior direction, producing maxillary retrusion; and in the vertical direction causing an increase in palatal inclination as related to the cranial base and excessive increases of the lower anterior face height. • The most commonly found occlusal alterations are cross bite (posterior and/or anterior), open bite, increased over jet, and retroclination of the maxillary and mandibular incisors.
  • 30.
    • Correct nasalbreathing facilitates normal growth and development of the craniofacial complex . • Important motor functions such as chewing and swallowing depend largely on normal craniofacial development. • Any restriction to the upper airway passages can cause nasal obstruction possibly resulting in various dentofacial and skeletal alterations.
  • 31.
    • 1. Thecranial base must develop properly; • 2. The naso-maxillary complex must grow down and forward from the cranial base; • 3. The maxilla must develop in a linear and lateral fashion; • 4. A patent airway must develop properly.
  • 32.
    UPPER AIRWAY OBSTRUCTIONAND MOUTH BREATHING • Upper airway obstruction and mouth breathers demonstrated considerable backward and downward rotation of the mandible, increased overjet, increase in the mandible plane angle, a higher palatal plane, and narrowing of both upper and lower arches at the level of canines and first molars compared to the nasal breathers group.
  • 33.
    Adenoidal hypertrophy • Theadenoids, along with the tonsils, help prevent agents such as bacteria and viruses from entering the body. The adenoids are made up of a group of blood cells that create antibodies. Antibodies are proteins that neutralize foreign substances in the body. When infection or inflammation occurs, the adenoids can enlarge. Since they are seated at the back of the nasal cavity, the swollen adenoids can block airflow through the nose.
  • 34.
    obstruction of upperairways Contributing factors • Contributing factors in the obstruction of upper airways include: anatomical airway constriction, developmental anomalies, macroglossia, enlarged tonsils and adenoids, nasal polyps and allergic rhinitis. • Enlarged adenoids as the major contributing factor.
  • 35.
    Teeth grinding inchildren • We always said “a lot of kids grind their teeth but they will grow out of it, do not to worry about it”. • The consequences of teeth grinding in children are often manifested in behavioural problems due to the constant nocturnal arousals. Research has found that children with bruxism have a tendency towards anxiety, stress and hyperactivity. It is also strongly associated with Attention Deficit Hyperactivity Disorder (ADHD).
  • 36.
    Children and Bruxism •Teeth grinding causes nocturnal arousals and is classified as a sleep disorder, however it is also a response to nocturnal arousals that are associated with other sleep disorders. It is a very common complaint of children with mouth breathing, adenotonsillar hypertrophy, obstructive sleep apnoea (OSA), dental occlusion and psycholgical problems. It is also linked to craniomandibular disorders including headaches and temporomandibular joint discomfort.
  • 37.
    The incidence ofbruxism in allergic children • There is a correlation between bruxism and upper airway obstruction. • The cause is obstruction of the eustacian tube (ear tube) by enlarged adenoidal tissue. Bruxing, or movement of the jaw from side to side while in contact with the teeth, relieves pressure by activation of a muscle near the opening of the ear tube (the medial pterygoid). • As the child moves their jaw from side to side, the little muscle pulls on the ear tube opening, allowing pressure release .
  • 38.
    RME • Maxillary constrictionin particular has been postulated to play a role in the pathophysiology of OSA because of its association with low tongue posture that may contribute to the orophayrnx airway narrowing (Subtelny 1954). • Pirelli et al. grouped 31 children with OSA and followed them up to 4 months after RME treatment. All of these children had their apnea- hypoapnea index decreased while their mean maxillary cross sectional width expanded to about 4.5mm.
  • 40.
    Habitual mouth breathingmay result in muscular and postural anomalies • Facial structures are modified by postural alterations in soft tissue that produce changes in the equilibrium of pressure exerted on teeth and the facial bones . Additionally, during mouth breathing, muscle alterations affect mastication, deglutition and phonation because other muscles are relied upon.
  • 41.
    Mouth breathing -adenoid face  Long and narrow head  Dental Malocclusion  Droopy lower lip  Upper lip that is shorter then normal  Gummy smile  Flattened cheek  Dark Circles Under Eyes
  • 46.
  • 62.
  • 63.