TUBERCULOSIS
L.D.Wickramanayaka(RN)
S.P.N.S.Senadeera(RN)
WD06
SJGH
What do
you
know?
What Is Tuberculosis (TB)
• Tuberculosis is a specific infectious disease caused by
Mycobacterium tuberculosis which is an Acid fast, aerobic bacilli
• On March 24 1882,Dr.Robert Koch announced the discovery of
Micobacterium tuberculosis
• So it is also known as Koch’s disease. Consumtion, phthisis and
white plague are other names used in history to refer
Tuberculosis
• The disease primarily affects lungs and causes pulmonary
tuberculosis It can also affect intestine, meninges, kidneys,
bones and joints, lymph nodes, skin and other tissues of the
body.
What Is Tuberculosis (TB)
• The disease is usually chronic with varying clinical manifestations.
• The disease also affects animals like cattle; this is known as “Bovine
tuberculosis", which may sometimes be communicated to man.
• Pulmonary tuberculosis, the most important form of tuberculosis which
affects man, will be considered here.
• Tuberculosis (TB) is one of the most prevalent infections of human beings It
contributes considerably to illness and death around the world
Incidence prevalence
• There were around 12000 tuberculosis patients reported each year in
Sri Lanka
• Around 2 Billion TB patients are in worldwide.
• 4 millions of them are unidentified
Types of tuberculosis
1. Pulmonary tuberculosis (affected lungs)
2. Avian tuberculosis ( microbacterium avium - birds)
3. Bovine tuberculosis (mycobacterium bovis - cattle)
4. Miliary tuberculosis / disseminated tuberculosis (affected whole
body)
Etiology
• Bacteria - Mycobacterium tuberculosis
• Mode of transmission - Droplet nuclei by
• coughing,
• sneezing,
• laughing,
• talking.
Risk factors
• Close contact with some one who have active TB
• Immune compromised status (elderly, cancer)
• Drug abuse and alcoholism
• People lacking adequate health care
• pre existing medical conditions (diabetes mellitus, chronic renal
failure)
• Immigrants from countries with higher incidence of TB.
• Institutionalization (long term care facilities)
• health care workers
Pathophysiology
• Initial infection or primary infection
• Entry of micro organism through droplet nuclei
• Bacteria is transmitted to alveoli through airways
• Deposition and multiplication of bacteria
• Bacilli are also transported to other parts of the body through blood
stream.
• Phagocytosis by neutrophils and macrophages
• Accumulation of exudate in alveoli causing Broncho pneumonia
Pathophysiology
• New tissue masses of live and dead bacilli are surrounded by
macrophages- Granuloma
• Macrophages form a protective mass around granulomas
• Granulomas then transforms to fibrous tissue mass and central
portion of which is called ghon tubercle.
• The material (bacteria and macrophages) becomes necrotic forming
cheesy mass.
• Mass becomes calcified and becomes colagenous scar
Pathophysiology
• Bacteria become dormant and no further progression of active disease
(active disease or re infection)
• Inadequate immune response Activation of dormant bacteria
• Ghon tubercle ulcerates and releasing cheesy material into bronchi.
• Bacteria then become airborne resulting in further spread of infection
• Ulcerated tubercle heals and becomes scar tissue
• Infected lung become inflamed
• Further development of pneumonia and tubercle formation Unless the
process is arrested it spreads downwards to the hilum of lungs and later
extends to adjascent lobes.
Phases of tuberculosis disease
• Exposure phase
• Latent phase
• Active phase
• After two weeks of
treatment TB is no longer
communicable.
• After 6 months of
continuous treatment the
disease will be completely
cured.
Clinical manifestations
Clinical manifestations
• Anorexia
• Low grade fever
• Night sweats
• Fatigue
• Weight loss
• Cough more than two weeks
Pulmonary symptoms
• Dyspnea.
• Non resolving bronchopneumonia.
• Chest tightness.
• Non productive cough.
• Mucopurulent sputum with hemoptysis.
• Chest pain.
Approach to diagnosis
• The diagnosis should be based on:
1. A detailed history (including a contact history of TB and symptoms
consistent with TB)
2. Clinical examination (including growth assessment)
3. Investigations Tuberculin skin testing ( Mantoux)
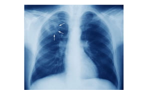
4. Chest X-ray and other relevant radiological investigations
5. Bacteriological confirmation including Xpert MTB/RIF (whenever possible)
6. Investigations for extra-pulmonary TB
7. HIV testing
Assessment and diagnostic findings
1. History taking (contact history, Immune history)
2. Physical examination
1. Clubbing of fingers or toe (in advanced disease)
2. Swollen or tender lymph nodes in the neck or other areas
3. Pleural effusion
4. Unusual breath sounds (crackles)
In miliary TB
• During physical examination,
Swollen liver
Swollen lymph nodes
Swollen spleen
Investigation tests
• Chest X ray
• Sputum culture for Acid Fast Bacilli (AFB)
• Sputum smear microscopy
• Tuberculin skin test (Purified Protein Derived test)
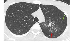
• CT – chest (High resolution CT)
• Rapid diagnostic test-Xpert MTB/RIF(Gene expert)
Sputum smear microscopy
• Sputum will be collected from the suspected patients.
• The most accurate way is to collect three consecutive sputum
samples 8 to 24 hours apart with one being early morning specimen.
• Collected sputum should evaluated under microscopy looking for AFB
• For patients with diagnosed TB, Discontinuation of isolation
precautions should based on sputum smear and other clinical
criteria(e.g:- Three consecutive negative smears)
How to produce a good sputum sample?
• Patient should be advised to collect sputum but not saliva by vigorous
coughing following a deep inspiration.
• Rinse mouth with water
• Inhale deeply 2-3 times with mouth open
• Cough out deeply from the chest
• Open the container and bring it closer to the mouth
• Split out the sputum into it and close the container
• If patient is Unable to produce sputum Induction with hypertonic
saline should be attempted
Mantoux test (Purified Protein Derivatives)
• 0.1 ml of PPD is injected to anterior aspect of the nondominent
forearm (Intradermal)
• After 72 hrs. check for induration at the site
• An induration of 5 or more Millimeters is considered positive in in HIV
infected patients
• In HIV negative individuals
• 0-9 mm negative
• 10-14mm positive
• 15mm or more strongly positive
Tuberculin test can be positive in the absence of
active TB in the following conditions
• Past TB disease
• BCG vaccination
• Latent TB infection
• Incorrect interpretation of test
• Primary TB infection
• Exposure / Infection with non-tuberculous mycobacteria
Complications
• Bones-Spinal pain and joint destruction may result from TB that
infects the bones (TB spine or pott’s spine)
• Brain (meningitis)
• Liver or kidney damage/ altered functions
• Heart (cardiac tamponade)
• Lungs Pleural effusion and Tb pneumonia
• Serious reactions to drug therapy(hepato toxicity, hypersentivity)
Treatments
Drug name Dose Side effect Management of SE
Rifampicin
Isoniazid
Pyrazinamide
Anorexia
Nausea
Abdominal pain
Give drugs with small
meals or last thing at
night. If patient dosen’t
get better exclude
hepatitis
Pyrazinamide 30-40mg/kg/day Joint pain Paracetamol
Aspirin
Isoniazid 7-15mg/kg/day Burning
Numbness or tingling
sensation in the hands
or feet
Pyridoxine 50-
75mg daily
Rifampicin 10-20mg/kg/day Orange/ Red Urine Reassure
Ethambutol 15-25mg/kg/day Optic neuritis Be aware of visual
alterations
DOT – Directly Observed Therapy
• A component of DOTS This ensures a TB patient has taken his
treatment as prescribed
• DOT is a supportive mechanism that ensures the best possible results
in treatment of TB.
• With the right drugs
• In the right doses
• At the right intervals
• For the correct duration
Who could be a DOT provider?
• Health care workers – curative, preventive in both state and private sector
• Religious Leaders
• Community Leaders
• Heads of Institutions
• NGOs
• Cured TB patients
• Any person of responsibility
• Family member – usually not recommended . But, “A responsible family
member” in certain instances
Why do we provide DOT?
• More than one third of the patients (39%) receiving self-administered
treatment do not adhere to treatment vs 10% if the patient was on DOT.
• Impossible to predict which patients will take medicines.
• DOT is necessary at least in the initial phase of treatment to ensure
adherence and achieve sputum smear conversion.
• A TB patient missing one attendance can be traced immediately and
counselled.
• Helps patients finish TB therapy as quickly as possible, without unnecessary
gaps.
• Helps prevent TB from spreading to others; decreases the risk of drug-
resistance resulting from erratic or incomplete treatment; decreases the
chances of treatment failure and relapse.
Nursing care for tuberculosis
Nursing Assessment
• Obtain history of exposure to TB.
• Assess for symptoms of active disease.
• Auscultate lungs for crackles.
• During drug therapy assess for liver function.
Nursing diagnosis and relevant
Nursing
interventions
An ineffective breathing pattern related to pulmonary infection
and potential for long term scarring with decreased lung
capacity
1. Administer and teach self administration of medications ordered
2. Encourage rest and avoidance of exertion if actually ill.
3. Monitor breath sounds respiratory rates, sputum production and
dyspnoea
4. Provide supplimental oxygen as ordered.
5. Encourage increased fluid intake.
6. Instruct about best position to facilitate drainage.
Risk for spreading infection related to
nature of disease and patients symptoms
1. Be aware that TB is transmitted by respiratory droplets. Limit contact
with others while infectious.
2. Use high efficiency masks(N-95) for high risk procedures including
endoscopy.
3. Educate patient to control the spread of infection by covering mouth and
nose while coughing and sneezing. used tissues should be discarded
properly.
4. Use standered precautions for additional protection. Gowns and gloveses
for direct contact with patient.
5. Instruct about risk of drug resistance if drug regimen is not strictly and
continuosly followed
6. Carefully monitor vital signs and observe for temperature changes
Imbalanced nutrition less than body
requirement related to poor appetite ,fatigue and productive
cough
1. Explain the importance of eating nutritious diet to promote healing
and defense against infection.
2. Provide small frequent meals and liquid suppliments during
symptomatic period.
3. Monitor weight of the patient.
4. Administer vitamin supplements as ordered. particularly pyridoxine
(Vitamin B6) to prevent peripheral nuropathy in patients taking
Isoniazid
Non compliance related to lack of motivation particularly in LTBI
and long term treatment associated with health risk to patient,
close contacts and public health.
1. Educate patient about etiology transmission and effects of TB.
2. Review adverse effects of drug therapy.
3. Participate in observation of medicine taking, weekly pill counts or
programs designed to increase compliance with the treatment for
TB.
4. Explain that TB is a communicable disease and that taking
medications is most effective way of preventing transmission.
5. Instruct about medications schedule and side effects.
FAQs
What is Drug resistance TB?
• Drug-resistant tuberculosis (DR-TB) is a form of tuberculosis
caused by bacteria that are resistant to the standard antibiotics
used to treat TB.
• This resistance arises due to mutations in the TB bacteria,
making it harder to cure and requiring longer, more complex
treatment regimens with second-line drugs.
• DR-TB poses a significant global health challenge and
demands specialized care and monitoring to prevent its spread.
Can BCG Vaccine prevent TB in adults?
• BCG (Bacillus Calmette-Guérin) vaccination is primarily used to
prevent severe forms of tuberculosis (TB) in children and is less
effective at preventing TB in adults.
• While it can provide some protection against childhood TB, it does
not reliably prevent TB infection or disease in adults.
• TB prevention in adults typically involves other strategies, such as
early detection, treatment, and infection control measures.
What is Latent TB Infection? (LTBI)
• Latent TB infection (LTBI) is a condition where a person is infected
with the tuberculosis bacteria but does not show any symptoms of
active TB disease.
• Individuals with LTBI are not contagious, and the bacteria are in an
inactive state in their bodies.
• However, they are at risk of developing active TB in the future if their
immune system becomes compromised, making early detection and
treatment important for TB prevention.
What is acid fast bacteria?
• Acid-fast bacteria are a group of bacteria characterized by their
unique cell wall structure, which makes them resistant to the
decolorization by acid during certain laboratory staining procedures.
What is gene Xpert?
• GeneXpert is a molecular diagnostic test used to detect the presence
of Mycobacterium tuberculosis (the bacterium that causes
tuberculosis, TB) and identify resistance to the antibiotic rifampicin.
• It utilizes a highly sensitive DNA amplification technique to provide
rapid and accurate TB diagnosis within hours
References
• https://www.nptccd.health.gov.lk/
• Lippincott manual of nursing 11th edition
Nursing care for TUBERCULOSIS.pptx

Nursing care for TUBERCULOSIS.pptx

  • 1.
  • 2.
  • 3.
    What Is Tuberculosis(TB) • Tuberculosis is a specific infectious disease caused by Mycobacterium tuberculosis which is an Acid fast, aerobic bacilli • On March 24 1882,Dr.Robert Koch announced the discovery of Micobacterium tuberculosis • So it is also known as Koch’s disease. Consumtion, phthisis and white plague are other names used in history to refer Tuberculosis • The disease primarily affects lungs and causes pulmonary tuberculosis It can also affect intestine, meninges, kidneys, bones and joints, lymph nodes, skin and other tissues of the body.
  • 4.
    What Is Tuberculosis(TB) • The disease is usually chronic with varying clinical manifestations. • The disease also affects animals like cattle; this is known as “Bovine tuberculosis", which may sometimes be communicated to man. • Pulmonary tuberculosis, the most important form of tuberculosis which affects man, will be considered here. • Tuberculosis (TB) is one of the most prevalent infections of human beings It contributes considerably to illness and death around the world
  • 5.
    Incidence prevalence • Therewere around 12000 tuberculosis patients reported each year in Sri Lanka • Around 2 Billion TB patients are in worldwide. • 4 millions of them are unidentified
  • 6.
    Types of tuberculosis 1.Pulmonary tuberculosis (affected lungs) 2. Avian tuberculosis ( microbacterium avium - birds) 3. Bovine tuberculosis (mycobacterium bovis - cattle) 4. Miliary tuberculosis / disseminated tuberculosis (affected whole body)
  • 7.
    Etiology • Bacteria -Mycobacterium tuberculosis • Mode of transmission - Droplet nuclei by • coughing, • sneezing, • laughing, • talking.
  • 8.
    Risk factors • Closecontact with some one who have active TB • Immune compromised status (elderly, cancer) • Drug abuse and alcoholism • People lacking adequate health care • pre existing medical conditions (diabetes mellitus, chronic renal failure) • Immigrants from countries with higher incidence of TB. • Institutionalization (long term care facilities) • health care workers
  • 9.
    Pathophysiology • Initial infectionor primary infection • Entry of micro organism through droplet nuclei • Bacteria is transmitted to alveoli through airways • Deposition and multiplication of bacteria • Bacilli are also transported to other parts of the body through blood stream. • Phagocytosis by neutrophils and macrophages • Accumulation of exudate in alveoli causing Broncho pneumonia
  • 10.
    Pathophysiology • New tissuemasses of live and dead bacilli are surrounded by macrophages- Granuloma • Macrophages form a protective mass around granulomas • Granulomas then transforms to fibrous tissue mass and central portion of which is called ghon tubercle. • The material (bacteria and macrophages) becomes necrotic forming cheesy mass. • Mass becomes calcified and becomes colagenous scar
  • 12.
    Pathophysiology • Bacteria becomedormant and no further progression of active disease (active disease or re infection) • Inadequate immune response Activation of dormant bacteria • Ghon tubercle ulcerates and releasing cheesy material into bronchi. • Bacteria then become airborne resulting in further spread of infection • Ulcerated tubercle heals and becomes scar tissue • Infected lung become inflamed • Further development of pneumonia and tubercle formation Unless the process is arrested it spreads downwards to the hilum of lungs and later extends to adjascent lobes.
  • 13.
    Phases of tuberculosisdisease • Exposure phase • Latent phase • Active phase • After two weeks of treatment TB is no longer communicable. • After 6 months of continuous treatment the disease will be completely cured.
  • 14.
  • 15.
    Clinical manifestations • Anorexia •Low grade fever • Night sweats • Fatigue • Weight loss • Cough more than two weeks
  • 16.
    Pulmonary symptoms • Dyspnea. •Non resolving bronchopneumonia. • Chest tightness. • Non productive cough. • Mucopurulent sputum with hemoptysis. • Chest pain.
  • 17.
    Approach to diagnosis •The diagnosis should be based on: 1. A detailed history (including a contact history of TB and symptoms consistent with TB) 2. Clinical examination (including growth assessment) 3. Investigations Tuberculin skin testing ( Mantoux) 4. Chest X-ray and other relevant radiological investigations 5. Bacteriological confirmation including Xpert MTB/RIF (whenever possible) 6. Investigations for extra-pulmonary TB 7. HIV testing
  • 18.
    Assessment and diagnosticfindings 1. History taking (contact history, Immune history) 2. Physical examination 1. Clubbing of fingers or toe (in advanced disease) 2. Swollen or tender lymph nodes in the neck or other areas 3. Pleural effusion 4. Unusual breath sounds (crackles) In miliary TB • During physical examination, Swollen liver Swollen lymph nodes Swollen spleen
  • 19.
    Investigation tests • ChestX ray • Sputum culture for Acid Fast Bacilli (AFB) • Sputum smear microscopy • Tuberculin skin test (Purified Protein Derived test) • CT – chest (High resolution CT) • Rapid diagnostic test-Xpert MTB/RIF(Gene expert)
  • 23.
    Sputum smear microscopy •Sputum will be collected from the suspected patients. • The most accurate way is to collect three consecutive sputum samples 8 to 24 hours apart with one being early morning specimen. • Collected sputum should evaluated under microscopy looking for AFB • For patients with diagnosed TB, Discontinuation of isolation precautions should based on sputum smear and other clinical criteria(e.g:- Three consecutive negative smears)
  • 24.
    How to producea good sputum sample? • Patient should be advised to collect sputum but not saliva by vigorous coughing following a deep inspiration. • Rinse mouth with water • Inhale deeply 2-3 times with mouth open • Cough out deeply from the chest • Open the container and bring it closer to the mouth • Split out the sputum into it and close the container • If patient is Unable to produce sputum Induction with hypertonic saline should be attempted
  • 25.
    Mantoux test (PurifiedProtein Derivatives) • 0.1 ml of PPD is injected to anterior aspect of the nondominent forearm (Intradermal) • After 72 hrs. check for induration at the site • An induration of 5 or more Millimeters is considered positive in in HIV infected patients • In HIV negative individuals • 0-9 mm negative • 10-14mm positive • 15mm or more strongly positive
  • 28.
    Tuberculin test canbe positive in the absence of active TB in the following conditions • Past TB disease • BCG vaccination • Latent TB infection • Incorrect interpretation of test • Primary TB infection • Exposure / Infection with non-tuberculous mycobacteria
  • 29.
    Complications • Bones-Spinal painand joint destruction may result from TB that infects the bones (TB spine or pott’s spine) • Brain (meningitis) • Liver or kidney damage/ altered functions • Heart (cardiac tamponade) • Lungs Pleural effusion and Tb pneumonia • Serious reactions to drug therapy(hepato toxicity, hypersentivity)
  • 30.
  • 31.
    Drug name DoseSide effect Management of SE Rifampicin Isoniazid Pyrazinamide Anorexia Nausea Abdominal pain Give drugs with small meals or last thing at night. If patient dosen’t get better exclude hepatitis Pyrazinamide 30-40mg/kg/day Joint pain Paracetamol Aspirin Isoniazid 7-15mg/kg/day Burning Numbness or tingling sensation in the hands or feet Pyridoxine 50- 75mg daily Rifampicin 10-20mg/kg/day Orange/ Red Urine Reassure Ethambutol 15-25mg/kg/day Optic neuritis Be aware of visual alterations
  • 32.
    DOT – DirectlyObserved Therapy • A component of DOTS This ensures a TB patient has taken his treatment as prescribed • DOT is a supportive mechanism that ensures the best possible results in treatment of TB. • With the right drugs • In the right doses • At the right intervals • For the correct duration
  • 33.
    Who could bea DOT provider? • Health care workers – curative, preventive in both state and private sector • Religious Leaders • Community Leaders • Heads of Institutions • NGOs • Cured TB patients • Any person of responsibility • Family member – usually not recommended . But, “A responsible family member” in certain instances
  • 34.
    Why do weprovide DOT? • More than one third of the patients (39%) receiving self-administered treatment do not adhere to treatment vs 10% if the patient was on DOT. • Impossible to predict which patients will take medicines. • DOT is necessary at least in the initial phase of treatment to ensure adherence and achieve sputum smear conversion. • A TB patient missing one attendance can be traced immediately and counselled. • Helps patients finish TB therapy as quickly as possible, without unnecessary gaps. • Helps prevent TB from spreading to others; decreases the risk of drug- resistance resulting from erratic or incomplete treatment; decreases the chances of treatment failure and relapse.
  • 35.
    Nursing care fortuberculosis
  • 36.
    Nursing Assessment • Obtainhistory of exposure to TB. • Assess for symptoms of active disease. • Auscultate lungs for crackles. • During drug therapy assess for liver function.
  • 37.
    Nursing diagnosis andrelevant Nursing interventions
  • 38.
    An ineffective breathingpattern related to pulmonary infection and potential for long term scarring with decreased lung capacity 1. Administer and teach self administration of medications ordered 2. Encourage rest and avoidance of exertion if actually ill. 3. Monitor breath sounds respiratory rates, sputum production and dyspnoea 4. Provide supplimental oxygen as ordered. 5. Encourage increased fluid intake. 6. Instruct about best position to facilitate drainage.
  • 39.
    Risk for spreadinginfection related to nature of disease and patients symptoms 1. Be aware that TB is transmitted by respiratory droplets. Limit contact with others while infectious. 2. Use high efficiency masks(N-95) for high risk procedures including endoscopy. 3. Educate patient to control the spread of infection by covering mouth and nose while coughing and sneezing. used tissues should be discarded properly. 4. Use standered precautions for additional protection. Gowns and gloveses for direct contact with patient. 5. Instruct about risk of drug resistance if drug regimen is not strictly and continuosly followed 6. Carefully monitor vital signs and observe for temperature changes
  • 40.
    Imbalanced nutrition lessthan body requirement related to poor appetite ,fatigue and productive cough 1. Explain the importance of eating nutritious diet to promote healing and defense against infection. 2. Provide small frequent meals and liquid suppliments during symptomatic period. 3. Monitor weight of the patient. 4. Administer vitamin supplements as ordered. particularly pyridoxine (Vitamin B6) to prevent peripheral nuropathy in patients taking Isoniazid
  • 42.
    Non compliance relatedto lack of motivation particularly in LTBI and long term treatment associated with health risk to patient, close contacts and public health. 1. Educate patient about etiology transmission and effects of TB. 2. Review adverse effects of drug therapy. 3. Participate in observation of medicine taking, weekly pill counts or programs designed to increase compliance with the treatment for TB. 4. Explain that TB is a communicable disease and that taking medications is most effective way of preventing transmission. 5. Instruct about medications schedule and side effects.
  • 43.
  • 44.
    What is Drugresistance TB? • Drug-resistant tuberculosis (DR-TB) is a form of tuberculosis caused by bacteria that are resistant to the standard antibiotics used to treat TB. • This resistance arises due to mutations in the TB bacteria, making it harder to cure and requiring longer, more complex treatment regimens with second-line drugs. • DR-TB poses a significant global health challenge and demands specialized care and monitoring to prevent its spread.
  • 45.
    Can BCG Vaccineprevent TB in adults? • BCG (Bacillus Calmette-Guérin) vaccination is primarily used to prevent severe forms of tuberculosis (TB) in children and is less effective at preventing TB in adults. • While it can provide some protection against childhood TB, it does not reliably prevent TB infection or disease in adults. • TB prevention in adults typically involves other strategies, such as early detection, treatment, and infection control measures.
  • 46.
    What is LatentTB Infection? (LTBI) • Latent TB infection (LTBI) is a condition where a person is infected with the tuberculosis bacteria but does not show any symptoms of active TB disease. • Individuals with LTBI are not contagious, and the bacteria are in an inactive state in their bodies. • However, they are at risk of developing active TB in the future if their immune system becomes compromised, making early detection and treatment important for TB prevention.
  • 47.
    What is acidfast bacteria? • Acid-fast bacteria are a group of bacteria characterized by their unique cell wall structure, which makes them resistant to the decolorization by acid during certain laboratory staining procedures.
  • 48.
    What is geneXpert? • GeneXpert is a molecular diagnostic test used to detect the presence of Mycobacterium tuberculosis (the bacterium that causes tuberculosis, TB) and identify resistance to the antibiotic rifampicin. • It utilizes a highly sensitive DNA amplification technique to provide rapid and accurate TB diagnosis within hours
  • 49.