Neonatal surgical
Emergencies
Dr Prashant Jain
Sr Consultant
Ped. Surgery & Ped Urology
Dr BLKSS Hospital
 Gastro-Intestinal
 Abdominal wall defects
 Respiratory distress
Intestinal Obstruction
 Bilious Vomiting
 Abdominal distension
 Failure to pass meconium
Neonatal Intestinal Obstruction
Bilious Vomiting
+/- fail to pass meconium
Abdominal Distension
+/- Bilious vomiting
+/- fail to pass meconium
Upper GI Obstruction
 Duodenal Atresia
 Malrotation
 Jejunal/ileal/colonic atresia
 Meconium ileus
 Anorectal malformation
 Hirschsprung’s Disease
Small or large bowel
PASSAGE OF MECONIUM
• CANNOT RULE OUT OBSTRUCTION
• CAN PASS EVEN IN CASES OF ATRESIA
Causes
 Intestinal atresia
 Malrotation with or without Midgut volvulus
 Meconium ileus
 Meconium Peritonitis
 Ano-Rectal Malformation
 Hirschsprung’s Disease
CASE
 Term male child 2.7 Kg
discharged after delivery
 Passed meconium
 Antenatal history normal
 Presented at day 5 with
yellowish vomiting
 Admitted and managed
conservatively
 Again presented after 8 days with bilious vomiting
MALROTATION WITH MID GUT VOLVULUS
Exploratory Laparotomy
Malrotation is a TRUE SURGICAL EMERGENCY
• X-Ray
• Upper GI study
• USG
Normal
 Acute Intestinal Obstruction
 Recurrent abdominal pain and vomiting
Malrotation Volvulus
CASE
 Bilious vomiting
 Antenatal scan:
Polyhydramnios
 Down’s Syndrome
Duodenal Atresia
Double Bubble
 Bilious vomiting/aspirates
 Mild upper abdominal
distension
 Antenatal H/O of
Polyhydramnios
 D/D: Jejunal Atresia
Triple Bubble
CASE
• Bilious vomiting/aspirates
• Progressive abdominal
distension
Multiple air fluid level
Ileal Atresia
• Ileal atresia
• NEC
• Total colonic
aganglionosis
• Meconium Ileus
D/D
CASE
Colonic Atresia
CASE
Intestinal Atresia
CASE
• Abdominal distension
from birth
• Antenatal scan: Echogenic
and dilated bowel
• X-ray
Abdominal distension since birth
 Meconium ileus
 Meconium peritonitis/ascites
 Abdominal lump
 Ascites
Meconium Ileus
• Gastrograffin enema
Exploration
CASE
 Term male Newborn
 Antenatal scan s/o
echogenic bowel
 Bilious aspirates &
not passed meconium
 Abdominal distension
since birth
Meconium Peritonitis
Ano-Rectal Malformation
Vestibular Fistula
Anteriorly placed anus
Bucket Handle deformity
Anocutaneous Fistula
Ano-Rectal Malformation
Perineal Examination
Fistula
Anoplasty or
Pull through after
3mths
No Fistula
24 hrs
Cross table Xray
Colostomy
Pull through after 3 months
Aganglionosis can extend to variable distance
• Short segment – Classical
Rectosigmoid (60-70%)
• Long Segment (15-20%)
• Total colonic
aganglionosis (5-10%)
• Ultrashort segment
Hirschsprung’s Disease
Presentation
• Characteristically disease of full term newborn
• History of constipation dating back to newborn
period
• 95% of newborns defecate in first 24 hrs
of life
• Abdominal distension
• Poor feeding
• Failure to thrive
Investigations
• Barium Enema
• Rectal Biopsy
Definitive Pull through
for Hirschsprung’s Disease
• Single stage at age 3-6 months
• Two stage at 6-12 months after
colostomy
Primary Laparoscopic Assisted
Pull through
Respiratory Distress
• Day 1, Term 39 wks,
delivered in Sonepat
• Antenatal scan:
Polyhydramnios
• Respiratory distress
• Intubated and transferred
in BLK
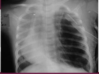
A new born with
respiratory distress
CONGENITAL DIAPHRAGMATIC HERNIA
Congenital Diaphragmatic Hernia
Minimal Barotrauma
• Conventional Ventilation
• High frequency ventilation
• ECMO
Cardio-Pulmonary Stabilisation
(Pulmonary Hypoplasia + Hypertension)
Invasive & Noninvasive
monitoring
Day 1
• Respiraory acidosis
(Ph 7.26/PO2 118/Pco2 47/Hco3 20.1)
• Assisted control ventilation
– Fio2 100%
– PIP/PEEP: 15/5
• Dopamine and Adrenaline (Mean 50mm Hg)
• Cardiac Echo: Mild Pulmonary Hypertension
Day 2
• One episode of desaturation
• Respiratory acidosis
• Shifted on HFO
MAP 14
Fio2 100%
Delta P 30
• Stable
Day 3
• Desaturated
• Rt Pneumothorax- Drained
• Stable
Day 4(CDH Repair)
Post Operative Course
• Stable on ventilator (PSV)
• Had collpase/ consolidation of Rt
Lung….managed conservatively
• Extubated on POD 9
• Discharged on POD 13
• Asymptomatic now at 3 months
A new born with
respiratory distress
Cystic adenomatoid malformation
Air filled cystic spaces:
Congenital Cystic Adenomatoid Malformation
Respiratory distress
CONGENITAL LOBAR EMPHYSEMA
CDH CCAM Pneumatocoel
pneumothorax
CLE CLE
Newborn surgical-emergencies

Newborn surgical-emergencies