PHYSICAL THERAPY IN
MULTIPLE SCLEROSIS
SHEETAL MALHAN
ASSOCIATE PROFESSOR
HISTORICAL PERSPECTIVE
Jean-Martin Charcot (1825–1893)
described features of MS
MS-related central nervous system
pathology—Jean Cruveilhier, 1841
MS EPIDEMIOLOGY
WHAT CAUSES MS?
Genetic
Predisposition
Environmental
Trigger
Autoimmunity
Loss of myelin
& nerve fiber
THE GENETIC FACTOR
 The risk of getting MS is approximately:
 1/750 for the general population (0.1%)
 1/40 for person with a close relative with MS (3%)
 1/4 for an identical twin (25%)
 20% of people with MS have a blood relative with MS
The risk is higher in any family in which there are several family
members with the disease (multiplex families)
PATHOPHYSIOLOGY
...cross the blood-brain barrier…
…launch attack on myelin & nerve fibers...
“Activated”T cells...
…to obstruct nerve signals.
myelinated nerve
fiber
myelinated nerve fiber
Source: National Multiple Sclerosis Society & NIH estimates
Clinical Forms of MS
Four internationally recognized general categories
Relapsing-
remitting
(RRMS): 55%
Secondary
Progressive
(SPMS): 35%
Primary
Progressive
(PPMS) 9%
Progressive
Relapsing
(PRMS): 1%
• Clearly defined flare-ups &
remissions; inflammatory
lesions developing constantly
• Early 20s & 30s; women 2:1
• Initial disease activity in brain
(cognitive)
• Better prognosis: supporting
equipment
avg. 20 yrs
• Majority of RRMS pts will
develop SPMS
(90% in 25-30 years)
• Relapse frequency
decreases but disability
increases
• Less remyelination &
more plaques, resulting in
steadily progressive
disability with less
recovery
• Could represent
different, advanced
stage of RRMS
• At onset, steady worsening
without relapses or remissions
• Variations in rates of
progression; occasional
plateaus or temporary minor
improvements
• Late 30s/early 40s; men as
likely as women
• Initial disease activity in spinal
cord (physical disability)
• Worse prognosis: supporting
equipment avg. 6-7 yrs
• From onset steadily
worsening disease with
clear acute relapses with or
without recovery
• Unlike RRMS, remission
periods contain clinically
observable continuing
disease progression
Disease Overview
Disease course:
MS is an ongoing process of demyelination,
remyelination, and eventual neuron loss
Relapses & Remissions: Most MS
sufferers experience periods of acute
exacerbations (flares, relapses) varying in
number and severity, followed by periods of
remission, where all symptoms
spontaneously cease: inflammation
damage to CNS is continuous, occurring
during flares AND remissions
Results: Repeated attacks on the axon, the
surrounding myelin sheath eventually causes
scarring or plaques that interrupt or even
block nerve impulses, causing progressive
cognitive/physical disability
Heterogeneity:
Symptoms, severity,
and course vary per
person and disease
seems to follow a
distinct progression in
each individual pt
MS Symptoms
Develop during acute exacerbations or as the cumulative result of multiple
lesions in the CNS
Cerebrum &
Cerebellum
Lesion Location
• Not all symptoms affect all MS patients
• No two persons have identical complaints
• No one person develops all of the symptoms
Signs/Symptoms
Balance problems, depression, speech problems,
coordination, tremors, neuritis
Spinal Cord/Motor
nerve tracts
Muscle weakness, spasticity paralysis, vision problems,
bladder and/or bowel problems
Spinal Cord/
Sensory nerve tract
Altered sensation, numbness, prickling,
burning sensation
Symptoms can include: Fatigue (most common), sensory complaints,
tremors, balance/coordination, depression, spasticity, bladder, bowel,
vision loss, cognitive and emotional dysfunction, and sexual difficulties
CNS Lesion Location and Possible Associated Symptoms of MS:
PROGRESSIVE CHANGES
DIFFERENTIAL DIAGNOSIS
 Spinal Cord Neoplasm
 Spinal Cord AVM
 Cryptogenic Stroke
 Subacute Combined Degeneration
 Amyotrophic Lateral Sclerosis
UPON DIAGNOSIS OF MS:
 Pt. Should be counselled of the nature of the disease
 Understand the patient’s concerns
 Stress the importance of overall wellness
• STOP SMOKING
• Weight Control
• Healthy diet
MEDICAL MANAGEMENT
PHYSIOTHERAPY ASSESSMENT
 Strength
 Tone
 Range of motion
 Balance
 Coordination
 Cardiovascular and respiratory
status
 Bed mobility and transfer
 Bowel and bladder impairment
 Swallowing
 Speech and communication
impairment
 Visual status
 Sensory impairment
 Activities of daily living
 Cognition
 Physical environment
 Medical stability
The main areas of difficulty for someone with MS can include:
 Poor exercise tolerance on a background of high levels of fatigue.
 Altered gait pattern, often with the dragging of one foot and poor
floor clearance.
 Decreased balance and risk of falls, as a result of a combination of
factors including muscle weakness/stiffness, spasms, altered
sensation.
 Difficulty with bed mobility secondary to spasms and pain
FATIGUE: MANAGEMENT
 Energy conservative techniques: adoption of strategies that
reduce overall energy requirements of task & overall level of
fatigue.
 Activity pacing: balancing of activity with rest periods
 General exercises
 Breathing exercises
 Stretching
 Adaptive equipments
BALANCE AND COORDINATION
BALANCE & COORDINATION
 Promote static postural control: holding in weight bearing,
antigravity positions like quadruped, plantigrade, standing,
sitting.
 Varying wide base to narrow base
 Raising COG low to high.
 Rhythmic stabilization, slow reversals.
 Weight shifts/ reaching
 Frenkel’s exercises
SPASTICITY : REHABILITATION
 Cryotherapy
 Hydrotherapy
 Positioning
 ROM exs.
 Stretching
 PNF
SENSORY DEFICIT: REHABILITATION
 Increase awareness of deficits
 Compensating for the loss: use of vision to compensate for
proprioceptive loss; verbal cuing or biofeedback;
proprioceptive loading through exercise, resistance bands
 Visual deficit: use of eye patch for double vision; maintenance
of adequate lighting; adding contrast between items in
environment
 Routine safety instructions
 Wheelchair cushioning, pressure relieving devices
 Pressure relief techniques.
PAIN : REHABILITATION
 Regular strecthing or exercise
 Massage
 UST/ TENS
 Postural retraining
 Correction of faulty movement patterns
 Soft collar to relieve Lhermitte’s sign pain
 Pressure stockings or gloves
AMBULATION AND MOBILITY
 Supported body weight treadmill training
 Orthosis: AFOs, KAFOs, canes, crutches, walkers
 Wheelchair mobility training.
 Electric wheelchair.
SPEECH
SWALLOWING
SPEECH & SWALLOWING: REHABILITATION
 Respiratory muscle training
 Incentive spirometry
 Upright posture with slightly forward head position & chin
parallel to table or slightly tucked for swallowing
 Oral motor exs
 Stimulate swallowing reflexes by use of icy beverages
 Resistive sucking
 Power swallow: inhale then hold the breath, thereby closing the
airway, then swallow, exhale and swallow again
EXERCISES IN MS
BENEFITS OF EXERCISE
 Improved strength and mobility
 Improved balance and endurance
 Improved lung function
 Improved bowel and bladder function
 Decreased fatigue and spasticity
 Improved function and quality of life, and sense of well-being
 Decreased depression
 Decreased risk of heart disease
EXERCISE GUIDELINES
 Sessions scheduled on alternate days & during optimal times
 Submaximal exercise intensities
 Resistance training modes
 Circuit training
 Balance ex with adequate rest periods
 Monitor the effects of fatigue
 Manage core body temp & prevent overheating
STRETCHING PROGRAM:
 Should be performed daily, and helps manage spasticity and
reduce risk of contractures
 AROM & PROM
 T’ai Chi, yoga, and pilates have also been shown to improve range
of motion
STRENGTHENING:
 Should be performed 3-5 times per week, 1-3 sets of
repetitions for each muscle group exercise
 Focus on specific muscle groups that are the weakest and
contribute to decreased function
CARDIOVASCULAR CONDITIONING
•Pts may show autonomic
cardiovascular dysfunction in
advanced stages of the
disease.
•Respiratory muscle
dysfunction may also result in
reduced ex tolerance
•Training frequency is 3
sessions/week, on alternate
days
•Training intensity limited to
60-75% peak HR or 50-65%
peak VO2
•Circuit training
•Non weight bearing activities
in balance problems or
sensory loss
•Duration 30 min/ session or
three 10 min sessions/day
AQUATIC EXERCISE
- Cool water exercise
COMBATING HEAT SENSITIVITY
WHILE EXERCISING
COMBATING HEAT SENSITIVITY
WHILE EXERCISING
 Keeping hydrated with cool water/iced drinks
 Using cooling garments such as cooling vests or neck wraps
 Using a fan or misting fan during exercise
 Using ice packs
 Exercising in an air conditioned environment
 Avoid outdoor exercise during warm parts of the day
 Wear proper lightweight clothing and shoes
 Taking a cold shower or running hands under cold water post
exercise
MULTIPLE SCLEROSIS a neurologist condition

MULTIPLE SCLEROSIS a neurologist condition

  • 1.
    PHYSICAL THERAPY IN MULTIPLESCLEROSIS SHEETAL MALHAN ASSOCIATE PROFESSOR
  • 3.
    HISTORICAL PERSPECTIVE Jean-Martin Charcot(1825–1893) described features of MS MS-related central nervous system pathology—Jean Cruveilhier, 1841
  • 4.
  • 6.
  • 7.
    THE GENETIC FACTOR The risk of getting MS is approximately:  1/750 for the general population (0.1%)  1/40 for person with a close relative with MS (3%)  1/4 for an identical twin (25%)  20% of people with MS have a blood relative with MS The risk is higher in any family in which there are several family members with the disease (multiplex families)
  • 9.
    PATHOPHYSIOLOGY ...cross the blood-brainbarrier… …launch attack on myelin & nerve fibers... “Activated”T cells... …to obstruct nerve signals. myelinated nerve fiber myelinated nerve fiber
  • 12.
    Source: National MultipleSclerosis Society & NIH estimates Clinical Forms of MS Four internationally recognized general categories Relapsing- remitting (RRMS): 55% Secondary Progressive (SPMS): 35% Primary Progressive (PPMS) 9% Progressive Relapsing (PRMS): 1% • Clearly defined flare-ups & remissions; inflammatory lesions developing constantly • Early 20s & 30s; women 2:1 • Initial disease activity in brain (cognitive) • Better prognosis: supporting equipment avg. 20 yrs • Majority of RRMS pts will develop SPMS (90% in 25-30 years) • Relapse frequency decreases but disability increases • Less remyelination & more plaques, resulting in steadily progressive disability with less recovery • Could represent different, advanced stage of RRMS • At onset, steady worsening without relapses or remissions • Variations in rates of progression; occasional plateaus or temporary minor improvements • Late 30s/early 40s; men as likely as women • Initial disease activity in spinal cord (physical disability) • Worse prognosis: supporting equipment avg. 6-7 yrs • From onset steadily worsening disease with clear acute relapses with or without recovery • Unlike RRMS, remission periods contain clinically observable continuing disease progression
  • 13.
    Disease Overview Disease course: MSis an ongoing process of demyelination, remyelination, and eventual neuron loss Relapses & Remissions: Most MS sufferers experience periods of acute exacerbations (flares, relapses) varying in number and severity, followed by periods of remission, where all symptoms spontaneously cease: inflammation damage to CNS is continuous, occurring during flares AND remissions Results: Repeated attacks on the axon, the surrounding myelin sheath eventually causes scarring or plaques that interrupt or even block nerve impulses, causing progressive cognitive/physical disability Heterogeneity: Symptoms, severity, and course vary per person and disease seems to follow a distinct progression in each individual pt
  • 14.
    MS Symptoms Develop duringacute exacerbations or as the cumulative result of multiple lesions in the CNS Cerebrum & Cerebellum Lesion Location • Not all symptoms affect all MS patients • No two persons have identical complaints • No one person develops all of the symptoms Signs/Symptoms Balance problems, depression, speech problems, coordination, tremors, neuritis Spinal Cord/Motor nerve tracts Muscle weakness, spasticity paralysis, vision problems, bladder and/or bowel problems Spinal Cord/ Sensory nerve tract Altered sensation, numbness, prickling, burning sensation Symptoms can include: Fatigue (most common), sensory complaints, tremors, balance/coordination, depression, spasticity, bladder, bowel, vision loss, cognitive and emotional dysfunction, and sexual difficulties CNS Lesion Location and Possible Associated Symptoms of MS:
  • 21.
  • 22.
    DIFFERENTIAL DIAGNOSIS  SpinalCord Neoplasm  Spinal Cord AVM  Cryptogenic Stroke  Subacute Combined Degeneration  Amyotrophic Lateral Sclerosis
  • 23.
    UPON DIAGNOSIS OFMS:  Pt. Should be counselled of the nature of the disease  Understand the patient’s concerns  Stress the importance of overall wellness • STOP SMOKING • Weight Control • Healthy diet
  • 24.
  • 25.
    PHYSIOTHERAPY ASSESSMENT  Strength Tone  Range of motion  Balance  Coordination  Cardiovascular and respiratory status  Bed mobility and transfer  Bowel and bladder impairment  Swallowing  Speech and communication impairment  Visual status  Sensory impairment  Activities of daily living  Cognition  Physical environment  Medical stability
  • 26.
    The main areasof difficulty for someone with MS can include:  Poor exercise tolerance on a background of high levels of fatigue.  Altered gait pattern, often with the dragging of one foot and poor floor clearance.  Decreased balance and risk of falls, as a result of a combination of factors including muscle weakness/stiffness, spasms, altered sensation.  Difficulty with bed mobility secondary to spasms and pain
  • 32.
    FATIGUE: MANAGEMENT  Energyconservative techniques: adoption of strategies that reduce overall energy requirements of task & overall level of fatigue.  Activity pacing: balancing of activity with rest periods  General exercises  Breathing exercises  Stretching  Adaptive equipments
  • 33.
  • 34.
    BALANCE & COORDINATION Promote static postural control: holding in weight bearing, antigravity positions like quadruped, plantigrade, standing, sitting.  Varying wide base to narrow base  Raising COG low to high.  Rhythmic stabilization, slow reversals.  Weight shifts/ reaching  Frenkel’s exercises
  • 37.
    SPASTICITY : REHABILITATION Cryotherapy  Hydrotherapy  Positioning  ROM exs.  Stretching  PNF
  • 40.
    SENSORY DEFICIT: REHABILITATION Increase awareness of deficits  Compensating for the loss: use of vision to compensate for proprioceptive loss; verbal cuing or biofeedback; proprioceptive loading through exercise, resistance bands  Visual deficit: use of eye patch for double vision; maintenance of adequate lighting; adding contrast between items in environment  Routine safety instructions  Wheelchair cushioning, pressure relieving devices  Pressure relief techniques.
  • 43.
    PAIN : REHABILITATION Regular strecthing or exercise  Massage  UST/ TENS  Postural retraining  Correction of faulty movement patterns  Soft collar to relieve Lhermitte’s sign pain  Pressure stockings or gloves
  • 46.
    AMBULATION AND MOBILITY Supported body weight treadmill training  Orthosis: AFOs, KAFOs, canes, crutches, walkers  Wheelchair mobility training.  Electric wheelchair.
  • 47.
  • 48.
  • 49.
    SPEECH & SWALLOWING:REHABILITATION  Respiratory muscle training  Incentive spirometry  Upright posture with slightly forward head position & chin parallel to table or slightly tucked for swallowing  Oral motor exs  Stimulate swallowing reflexes by use of icy beverages  Resistive sucking  Power swallow: inhale then hold the breath, thereby closing the airway, then swallow, exhale and swallow again
  • 50.
  • 51.
    BENEFITS OF EXERCISE Improved strength and mobility  Improved balance and endurance  Improved lung function  Improved bowel and bladder function  Decreased fatigue and spasticity  Improved function and quality of life, and sense of well-being  Decreased depression  Decreased risk of heart disease
  • 52.
    EXERCISE GUIDELINES  Sessionsscheduled on alternate days & during optimal times  Submaximal exercise intensities  Resistance training modes  Circuit training  Balance ex with adequate rest periods  Monitor the effects of fatigue  Manage core body temp & prevent overheating
  • 53.
    STRETCHING PROGRAM:  Shouldbe performed daily, and helps manage spasticity and reduce risk of contractures  AROM & PROM  T’ai Chi, yoga, and pilates have also been shown to improve range of motion
  • 55.
    STRENGTHENING:  Should beperformed 3-5 times per week, 1-3 sets of repetitions for each muscle group exercise  Focus on specific muscle groups that are the weakest and contribute to decreased function
  • 56.
    CARDIOVASCULAR CONDITIONING •Pts mayshow autonomic cardiovascular dysfunction in advanced stages of the disease. •Respiratory muscle dysfunction may also result in reduced ex tolerance •Training frequency is 3 sessions/week, on alternate days •Training intensity limited to 60-75% peak HR or 50-65% peak VO2 •Circuit training •Non weight bearing activities in balance problems or sensory loss •Duration 30 min/ session or three 10 min sessions/day
  • 57.
  • 58.
  • 60.
    COMBATING HEAT SENSITIVITY WHILEEXERCISING  Keeping hydrated with cool water/iced drinks  Using cooling garments such as cooling vests or neck wraps  Using a fan or misting fan during exercise  Using ice packs  Exercising in an air conditioned environment  Avoid outdoor exercise during warm parts of the day  Wear proper lightweight clothing and shoes  Taking a cold shower or running hands under cold water post exercise

Editor's Notes

  • #6 This diagram illustrates that when a person who is genetically susceptible encounters the (as yet unknown) environmental trigger, the autoimmune response is initiated, causing damage in the central nervous system.
  • #7 MS is not directly inherited like hair or eye color. If heredity were the only factor, the risk for an identical twin would be 1/1 instead of 1/4. A close – or first degree – relative is a parent, child, or sibling.
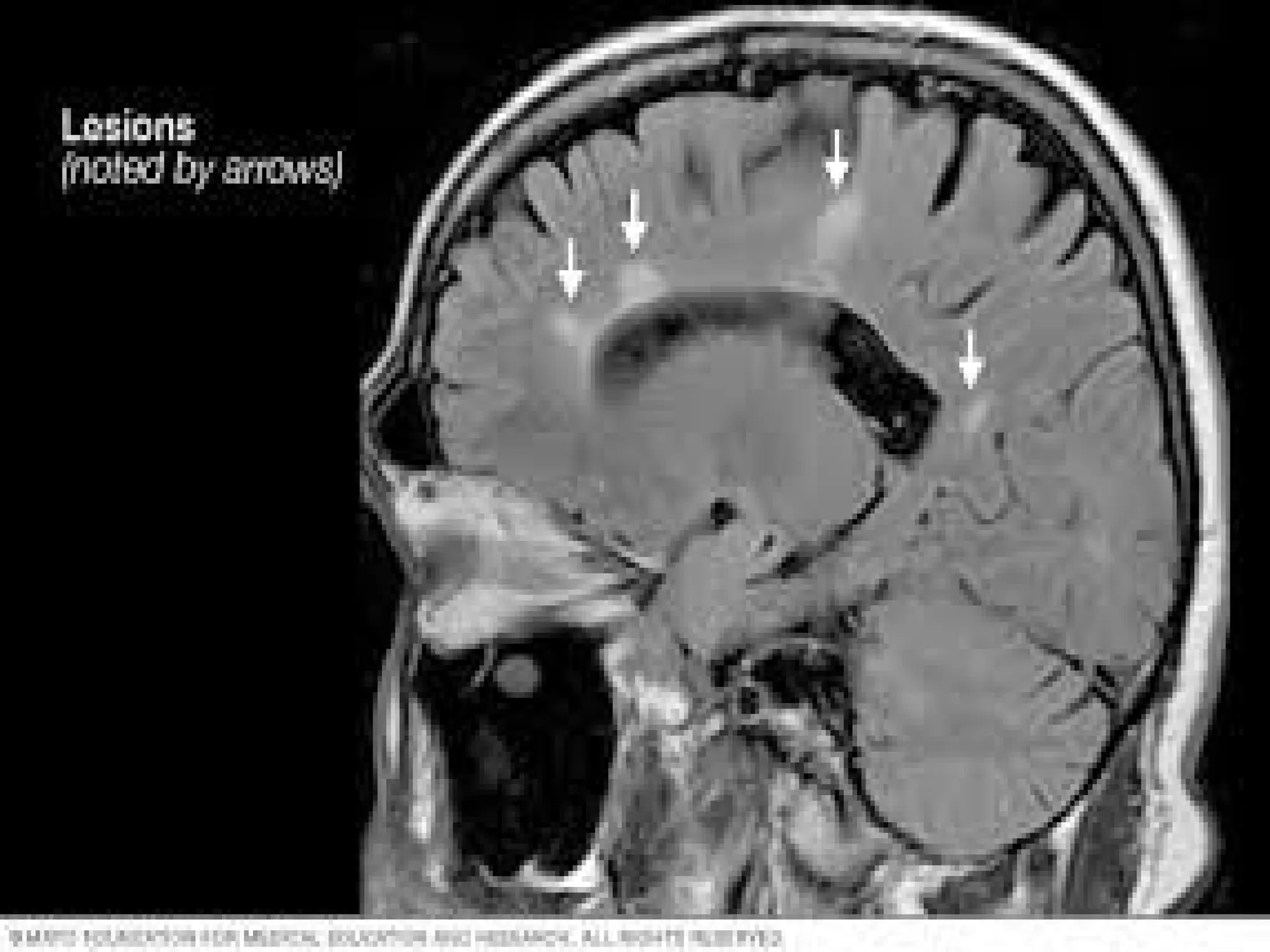
  • #9 Although scientists are still working out the details of the immune attack in MS, the basic steps involved appear to be as follows: Misguided immune cells—called T cells—cross the blood-brain barrier (BBB) into the CNS. The BBB, which is thought to consist of walls of capillaries in the CNS, usually prevents or slows the passage of undesirable substances (e.g., disease-causing organisms) from the blood into the CNS. These T cells release chemicals that rally other immune system forces that attack the myelin coating around the nerve cells, as well as the cells that manufacture myelin. This attack causes inflammation and then destruction. The nerve fibers themselves also come under attack. Once the myelin and nerve fibers have been damaged, nerve signals are slowed or stopped. MS lesions (damaged areas as seen on MRI) form, with hardened scars or plaques that may impair normal myelin repair processes.
  • #12 Familiar with these forms, graphs visually depict disease and disability progression over time – become more meaningful when you take a closer look RR well defined acute attacks with full recovery, residual neurological deficit est over time – at this stage little or no progression between attacks 3. SP Relapses decline 4. PP we see progression PP progressively increasing disiability from the start w/o relapses, 5. SP a hybrid of these two disease forms (hence the two colors), pts exhibiting periods of intense symptoms, with only MINOR remission in between Somewhat controversial, 1%
  • #13 Damage starts immediately upon inception, damage is continuous Disease is hetegeneous: each person’s progression to disability is different
  • #14 Symptoms vary from patient to patient Lesion location determines symptoms