Mukocēle
Problēmas literatūras apskats un
klīniskais gadījums
Karīna Jelagova
MF VI, 9.grupa
RSU, 2016
Mukocēle
Ar epitēliju (EP) klāts gļotu aizpildīts labdabīgas
dabas cistisks veidojums, kas pilnīgi aizpilda vienu
vai vairākus deguna blakusdobumus
Saturs ir dzidrs!
Visbiežāk sastopama frontālajā dobumā un
etmoidālājās šūnās (>90%)
Maksillārais dobums (5-10%)
Sfenoidāls dobums (ļoti retos gadījumos)
Mukocēle I
Cēlonis ir osteomeatāla kompleksa bloks
(nenotiek ventilācija un klīrenss)
Veicinošie faktori
• Iekaisums, alerģija
• Trauma
• Audu masas, audzēji
• Pēc ķirurģiskās iejaukšanas (rētaudi)
Mukocēle II
Frontāla dobuma drenāžas ceļš
Mukocēle III
Frontāla dobuma drenāžas ceļš
Anatomiskās variācijas:
• A Recessus frontalis drenējas uz vidējo deguna
eju
• B1; B2 - Recessus frontalis drenējas uz
infundibulum ethmoidale
• Svarīga arī priekšējo etmoidālo šunu
anatomija
A variants B 1 variants
B 2 variants Intersinus septal cell drenējas uz
kreiso pusi
Mukocēle IV
Klīniskā aina
EP nepārtraukti producē gļotas, mukocēle palielinās
izmēros  kompresija uz dobuma sienām
dobuma izplēšanās izmēros
Pie augsta spiediena notiek kaulu devaskularizācija
un osteolīze
2 veidi:
• Iekšējā: izspiešanās zemgļotādas audos, kas klāj
dobuma sienu
• Arējā: izspiešanas caur kaulu zemādas audos vai
galvaskausa dobumos
Mukocēle V
Simptomātika
Atkarīga no lokalizācijas
Rinoloģiskie simptomi
• Sāpes lokalizētas virs skartā dobuma
• Rinoreja, deguna obstrukcija
• Tūska vai sejas deformācija
Oftalmoloģiskie
• Proptoze, enoftalms, diplopia, redzes zudums, pēkšņs
aklums
• Periorbitāla tūska
Neiroloģiskie
• Optiskā neiropātija
• Var skart arī 3., 4., 5., un 6. nervu
Process ir hronisks, visi simptomi attīstās pakāpeniski
Mukocēle VI
Simptomātika I
Ja mukocele tiek inficēta  mucopyocele
Klīniska prezentācija līdzīga akūtam sinusītam
Var komplicēties ar:
• Subdurālu empiēmu, smadzeņu abscesu,
meningītu
• Subperiosteāls abscess orbitā
• Pott puffy tumour
MukocēleVII
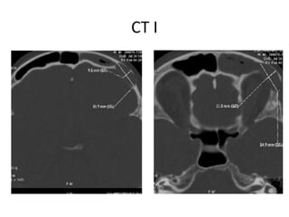
Diagnostika
Klīnika + radioloģija + histoloģija
Radioloģija
CT
• Plānas dobuma sienas; paplašināti dobumi
• Kaula erozijas
• Dobuma saturs homogēns, gaisu nesaturošs;
izskats atkarīgs no hidratācijas pakāpes
Frontāla dobuma mukocēle
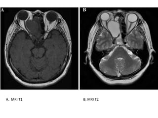
MukocēleVII
Diagnostika I
MR (izmanto, lai precizētu mukocēles diagnozi un
precīzi noteiktu izplatību)
Signāla intensitāte ir atkarīga no ūdens, gļotu un
proteīnu proporcijas
T1
•  ūdens: hipointenss
•  proteīni: hiperintenss
T2
•  ūdens: hiperintenss
•  proteīni: hipointenss
A. MRI T1 B. MRI T2
Ārstēšana
Drenāža vai ķirurģiskā mukocēles evakuācija, lai
izvairītos no intrakraniālām komplikācijām
Ķirurģiskās pieejas:
• Ārējā (parasti pie orbitālās vai intrakraniālās
iesaistes)
• Endoskopiskā
• Kombinēta
Endoskopiskā pieeja
(Draf I; Draf II; Draf III)
Visos gadījumos, kad nav i/c vai i/o
komplikācijas, izņemot, ja mukocele lokalizējas
frontāla dobuma laterālajā apvidū
45o vai 70o teleskops
Nav jāevakuē viss cistas maiss
Recidīvu skaits tuvs 0%
Endoskopiskās pieejas veidi
Sinus frontalis ieejas atveres pārbaude
Ārējā pieeja
Indikācijas
• Hipertrofisks kauls recessus frontalis apvidū
• Laterāli novietota mukocēle
• Revīzija (pēc ārējas pieejas)
• Intrakraniālās vai intraorbitālās komplikācijas
• Aizdomas par malignitāti
• Lynch-Howarth
• Lothrop
• Riedel (priekšējās
un apakšējās sīnusa
sienas izņemšana,
visas gļotādas
izņemšana)
• Bitemporāla koronāla incīzija
• Atslāņo ādu un aponeirozi līdz uzacu līmenim
! N.supraorbitalis
• Osteotomija  noņem kaula vāku
• Gļotādas evakuācija; dobuma atveres obliterācija ar fasciju
• Dobuma obliterācija ar taukiem
Klīniskā gadījuma apraksts
Paciente, 37 gadus veca
Vēršas vienā no Rīgas privātklīnikām, lai veiktu
estētisko blefaroplastiku ( plākstiņu noslīdēšana,
izteiktāk kreisajā pusē)
Citas sūdzības:
• Periodiska deguna obstrukcija
• Elpošanas grūtības caur degunu
• Izdalījumi no deguna
• Spiedošas sāpes kreisajā sejas pusē (īpaši
izteiktas supraorbitāli, frontāla dobuma
projekcijas vietā)
 CT
 MRI
CT
CT I
CT II
MRI
Ārstēšanas plāns
1. Pieres dobumam  osteoplastic flap
procedure; Micromash sietiņa ievietošana;
fascia temporalis ievietošana kaula defekta
apvidū; dobuma obliterācija ar taukaudiem
2. Augšžokļa dobums, priekšējās un mugurējās
etmoidālās šūnas  FESS
Operācijas gaita
Pēc operācijas
Uzsējums – mikroflora nav augusi
Stacionēta uz 3 dienām
Th:
• Ceftriaksons 2 g, 1 x dienā, i/v
• Deksametazons 8 mg, 1 x dienā, i/v
• Dicynon 4 ml, 3 x dienā, i/v
• Profenac 3 ml, 2 x dienā, i/m
Rekomendācijas:
• Mājas režīms 2 nedēļas
• Ciprinols 500 mg x 2 p/o
• Dicloberl 100mg x 1 p/o
• Skalot degunu ar HuMer 4 x dienā
• Eļļaini deguna pilieni 4 x dienā
Kontrolē pēc 3 dienām paciente jūtas labi, sūdzību nav
Informācijas avoti
1. Daniel Simmen, Nick Jones, “Manual of endoscopic sinus surgery”
2. https://radiopaedia.org/articles/paranasal-sinus-mucocoele
3. http://beckerent.com/nose-sinus-allergy/sinus-faqs/
4. http://www.slideshare.net/drvaibhavlah/frontal-sinus-surgical-
approaches-ppt
5. http://slideplayer.com/slide/1527775/
6. https://www.utmb.edu/otoref/grnds/paranasal-sinus-2010-11-
22/paranasal-sinus-slides-2010-11-22.pdf
7. http://www.ajnr.org/content/10/3/607.full.pdf
8. https://www-clinicalkey-com.db.rsu.lv/#!/content/book/3-s2.0-
B9781455746965000518?scrollTo=%23hl0000465
9. https://www.researchgate.net/publication/287533873_Paranasal
_sinus_mucoceles_Our_clinical_experiments
10. https://www.ncbi.nlm.nih.gov/pmc/articles/PMC3422585/
Paldies!
Paldies!

Mukocēle

  • 1.
    Mukocēle Problēmas literatūras apskatsun klīniskais gadījums Karīna Jelagova MF VI, 9.grupa RSU, 2016
  • 2.
    Mukocēle Ar epitēliju (EP)klāts gļotu aizpildīts labdabīgas dabas cistisks veidojums, kas pilnīgi aizpilda vienu vai vairākus deguna blakusdobumus Saturs ir dzidrs! Visbiežāk sastopama frontālajā dobumā un etmoidālājās šūnās (>90%) Maksillārais dobums (5-10%) Sfenoidāls dobums (ļoti retos gadījumos)
  • 3.
    Mukocēle I Cēlonis irosteomeatāla kompleksa bloks (nenotiek ventilācija un klīrenss) Veicinošie faktori • Iekaisums, alerģija • Trauma • Audu masas, audzēji • Pēc ķirurģiskās iejaukšanas (rētaudi)
  • 4.
  • 5.
  • 6.
    Anatomiskās variācijas: • ARecessus frontalis drenējas uz vidējo deguna eju • B1; B2 - Recessus frontalis drenējas uz infundibulum ethmoidale • Svarīga arī priekšējo etmoidālo šunu anatomija
  • 7.
    A variants B1 variants
  • 8.
    B 2 variantsIntersinus septal cell drenējas uz kreiso pusi
  • 9.
    Mukocēle IV Klīniskā aina EPnepārtraukti producē gļotas, mukocēle palielinās izmēros  kompresija uz dobuma sienām dobuma izplēšanās izmēros Pie augsta spiediena notiek kaulu devaskularizācija un osteolīze 2 veidi: • Iekšējā: izspiešanās zemgļotādas audos, kas klāj dobuma sienu • Arējā: izspiešanas caur kaulu zemādas audos vai galvaskausa dobumos
  • 10.
    Mukocēle V Simptomātika Atkarīga nolokalizācijas Rinoloģiskie simptomi • Sāpes lokalizētas virs skartā dobuma • Rinoreja, deguna obstrukcija • Tūska vai sejas deformācija Oftalmoloģiskie • Proptoze, enoftalms, diplopia, redzes zudums, pēkšņs aklums • Periorbitāla tūska Neiroloģiskie • Optiskā neiropātija • Var skart arī 3., 4., 5., un 6. nervu Process ir hronisks, visi simptomi attīstās pakāpeniski
  • 11.
    Mukocēle VI Simptomātika I Jamukocele tiek inficēta  mucopyocele Klīniska prezentācija līdzīga akūtam sinusītam Var komplicēties ar: • Subdurālu empiēmu, smadzeņu abscesu, meningītu • Subperiosteāls abscess orbitā • Pott puffy tumour
  • 12.
    MukocēleVII Diagnostika Klīnika + radioloģija+ histoloģija Radioloģija CT • Plānas dobuma sienas; paplašināti dobumi • Kaula erozijas • Dobuma saturs homogēns, gaisu nesaturošs; izskats atkarīgs no hidratācijas pakāpes
  • 13.
  • 14.
    MukocēleVII Diagnostika I MR (izmanto,lai precizētu mukocēles diagnozi un precīzi noteiktu izplatību) Signāla intensitāte ir atkarīga no ūdens, gļotu un proteīnu proporcijas T1 •  ūdens: hipointenss •  proteīni: hiperintenss T2 •  ūdens: hiperintenss •  proteīni: hipointenss
  • 16.
    A. MRI T1B. MRI T2
  • 17.
    Ārstēšana Drenāža vai ķirurģiskāmukocēles evakuācija, lai izvairītos no intrakraniālām komplikācijām Ķirurģiskās pieejas: • Ārējā (parasti pie orbitālās vai intrakraniālās iesaistes) • Endoskopiskā • Kombinēta
  • 18.
    Endoskopiskā pieeja (Draf I;Draf II; Draf III) Visos gadījumos, kad nav i/c vai i/o komplikācijas, izņemot, ja mukocele lokalizējas frontāla dobuma laterālajā apvidū 45o vai 70o teleskops Nav jāevakuē viss cistas maiss Recidīvu skaits tuvs 0%
  • 19.
  • 20.
    Sinus frontalis ieejasatveres pārbaude
  • 21.
    Ārējā pieeja Indikācijas • Hipertrofiskskauls recessus frontalis apvidū • Laterāli novietota mukocēle • Revīzija (pēc ārējas pieejas) • Intrakraniālās vai intraorbitālās komplikācijas • Aizdomas par malignitāti
  • 22.
    • Lynch-Howarth • Lothrop •Riedel (priekšējās un apakšējās sīnusa sienas izņemšana, visas gļotādas izņemšana)
  • 23.
    • Bitemporāla koronālaincīzija • Atslāņo ādu un aponeirozi līdz uzacu līmenim ! N.supraorbitalis • Osteotomija  noņem kaula vāku • Gļotādas evakuācija; dobuma atveres obliterācija ar fasciju • Dobuma obliterācija ar taukiem
  • 24.
  • 25.
    Paciente, 37 gadusveca Vēršas vienā no Rīgas privātklīnikām, lai veiktu estētisko blefaroplastiku ( plākstiņu noslīdēšana, izteiktāk kreisajā pusē)
  • 26.
    Citas sūdzības: • Periodiskadeguna obstrukcija • Elpošanas grūtības caur degunu • Izdalījumi no deguna • Spiedošas sāpes kreisajā sejas pusē (īpaši izteiktas supraorbitāli, frontāla dobuma projekcijas vietā)  CT  MRI
  • 27.
  • 28.
  • 29.
  • 30.
  • 31.
    Ārstēšanas plāns 1. Pieresdobumam  osteoplastic flap procedure; Micromash sietiņa ievietošana; fascia temporalis ievietošana kaula defekta apvidū; dobuma obliterācija ar taukaudiem 2. Augšžokļa dobums, priekšējās un mugurējās etmoidālās šūnas  FESS
  • 32.
  • 42.
    Pēc operācijas Uzsējums –mikroflora nav augusi Stacionēta uz 3 dienām Th: • Ceftriaksons 2 g, 1 x dienā, i/v • Deksametazons 8 mg, 1 x dienā, i/v • Dicynon 4 ml, 3 x dienā, i/v • Profenac 3 ml, 2 x dienā, i/m Rekomendācijas: • Mājas režīms 2 nedēļas • Ciprinols 500 mg x 2 p/o • Dicloberl 100mg x 1 p/o • Skalot degunu ar HuMer 4 x dienā • Eļļaini deguna pilieni 4 x dienā Kontrolē pēc 3 dienām paciente jūtas labi, sūdzību nav
  • 43.
    Informācijas avoti 1. DanielSimmen, Nick Jones, “Manual of endoscopic sinus surgery” 2. https://radiopaedia.org/articles/paranasal-sinus-mucocoele 3. http://beckerent.com/nose-sinus-allergy/sinus-faqs/ 4. http://www.slideshare.net/drvaibhavlah/frontal-sinus-surgical- approaches-ppt 5. http://slideplayer.com/slide/1527775/ 6. https://www.utmb.edu/otoref/grnds/paranasal-sinus-2010-11- 22/paranasal-sinus-slides-2010-11-22.pdf 7. http://www.ajnr.org/content/10/3/607.full.pdf 8. https://www-clinicalkey-com.db.rsu.lv/#!/content/book/3-s2.0- B9781455746965000518?scrollTo=%23hl0000465 9. https://www.researchgate.net/publication/287533873_Paranasal _sinus_mucoceles_Our_clinical_experiments 10. https://www.ncbi.nlm.nih.gov/pmc/articles/PMC3422585/
  • 44.

Editor's Notes

  • #3 Līdz pat 10-15 gadiem var būt asimptomātisks Paranasal sinus mucoceles most commonly occur in the third or fourth decades of life with a slight male predilection
  • #7 Lokalizācija recessus frontalis Priekšā- agger nasi (virs agger nasi var atrasties arī frontālas šūnas); aiz agger nasi var atrasties arī supraorbitāla šūna, kas kļūdaini var būt sajaukta ar frontālo sīnusu. Rezultatā tiek atvērta supraorbitāla šūna, bet sīnusa ostium paliek obturēts Mugurpusē – bulla ethmoidalis Laterāli – lamina papyracea, processus uncinatus Mediāli – vidējā gliemežnīca
  • #11 frontal mucocoele extending into the front of the orbit, presenting as a mass posterior ethmoidal mucocoele compressing the orbital apex sphenoidal mucocoele extending posteriorly impinging upon the pituitary and brainstem maxillary mucocoele may elevate the orbital floor and result in proptosis
  • #12 Pott puffy tumour is a non-neoplastic complication of acute sinusitis characterised by subperiosteal abscess and osteomyelitis, usually related to the frontal sinus but sometimes also related with the mastoid. Forehead swelling is seen, which explains the name of this pathology.
  • #13 The diagnosis of a paranasal sinus mucocele is a correlation between clinical, radiographic, and pathologic findings CT pietiek, lai noteiktu diagnozi
  • #15 It should be noted that colonisation with fungus can lead to very low signal on both T1 and T2 weighted sequences, mimicking a normal aerated sinus Lai atdiferencētu no audzēja: » Mucoceles have thin peripheral linear enhancement » Tumors have diffuse enhancement Es teiktu, ka KMR precizē, ka tā ir mukocele, nevis meningocele, piemēram. Reizēm DT nevar atšķirt no kurienies nāk un vai ir saistīts ar smadzeņu apvalkiem.
  • #17 On T2WI, mucoceles are hyperintense owing to their high water content. With time, the intensity may diminish due to chronic inspissations. In contrast, T1WIs have low signal intensity initially but, with water absorption and increased protein concentration over time, a more viscous mucocele changes from an isointense to hyperintense structure
  • #18 Ārējā – parasti pie orbitālās vai intrakraniālās iesaistes
  • #19 Marsupializācija Draf I – priekšējo etmoīdu un uncinatus izņemšana Draf II - + frontāla sīnusa apakšējās sienas izņemšana no lamina papyracea līdz vidējai gliemežņicai; vai no starpsienas ventrāli līdz fossa olfactoria Draf III – frontāla sīnusa starpsienas apakšējās daļas un deguna starpsienas augšējās daļas izņemšana; frontāla dobuma apakšējās sienas izņemšana
  • #43 Ko izdarījāt ar augšžokļa dobumu?