What Is malaria?
• A mosquito-borne infectious disease caused by
  Protozoan parasites of the genus Plasmodium
What Is malaria?
• Transmitted only by Anopheles Mosquitoes
  (>60 species!)




                Seattle Biomedical Research Institute
Plasmodium species which
        infect humans

Plasmodium vivax
Plasmodium ovale
Plasmodium falciparum
Plasmodium malariae
Plasmodium knowlesi
Components of the Malaria Life Cycle
Sporogonic cycle



                 Infective Period

                                     Mosquito bites
                                     uninfected
                                     person                                            Mosquito Vector

                                                       Parasites visible                 Human Host
Mosquito bites
gametocytemic
                                    Prepatent Period                   Symptom onset
person
                                                                                         Recovery

                                       Incubation Period
                                                                  Clinical Illness
Malaria Life                                              Sporogony

Cycle                      Oocyst


Life Cycle                                            Sporozoites


                                                                     Mosquito Salivary
                           Zygote                                           Gland




                                                                                         Hypnozoites
                                                   Exo-                                  (for P. vivax
                                                                                         and P. ovale)
                                                   erythrocytic
                                                   (hepatic) cycle
             Gametocytes




                                    Erythrocytic
                                       Cycle


Schizogony
Acute Symptoms
        • Classical features include cyclic symptoms

              – Cold stage: chills and shaking

              – Hot stage:               fever, headache, vomiting, seizures in
                children

              – Sweating stage: weakness

              – Feel well for period of time, then cycle repeats itself




www.uhhg.org/mcrh/resources/video/malariappt.pdf
Clinical presentation

• Early symptoms
   –   Headache
   –   Malaise
   –   Fatigue
   –   Nausea
   –   Muscular pains
   –   Slight diarrhea
   –   Slight fever, usually not intermittent
• Could mistake for influenza or gastrointestinal
  infection
Clinical presentation

• Acute febrile illness, may have periodic febrile
  paroxysms every 48 – 72 hours with
• Afebrile asymptomatic intervals
• Tendency to recrudesce or relapse over months to
  years
• Anemia, thrombocytopenia, jaundice,
  hepatosplenomegaly, respiratory distress
  syndrome, renal dysfunction, hypoglycemia,
  mental status changes, tropical splenomegaly
  syndrome
Malarial Paroxysm

• Can get prodrome 2-3 days before
  – Malaise, fever,fatigue, muscle pains, nausea, anorexia
  – Can mistake for influenza or gastrointestinal infection
  – Slight fever may worsen just prior to paroxysm
• Paroxysm
  – Cold stage - rigors
  – Hot stage – Max temp can reach 40-41o C,
    splenomegaly easily palpable
  – Sweating stage
  – Lasts 8-12 hours, start between midnight and midday
Malarial Paroxysm

• Periodicity
  – Days 1 and 3 for P.v., P.o., (and P.f.) - tertian
  – Usually persistent fever or daily paroxyms for
    P.f.
  – Days 1 and 4 for P.m. - quartian
Each disease has a distinct course

   “Tertian Malaria”
   (P.falciparum, P.ovale and
   fever occurs every third da


     “Quartan Malaria”
     (P. malariae)
     fever occurs every fourth


www.uhhg.org/mcrh/resources/video/malariappt.pdf
Each disease also has a distinct geographical
                      distribution




www.columbia.edu/itc/hs/medical/pathophys/parasitology/2006/PAR-05Color .pdf
Each disease also has a distinct geographical
                      distribution




www.columbia.edu/itc/hs/medical/pathophys/parasitology/2006/PAR-05Color .pdf
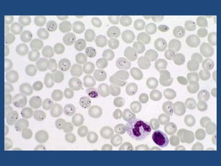
DIAGNOSIS
   Gold standard:
    Multiple thick and thin
    smears
Other tests
 Generally the complete blood counts and platelets
 counts are of little benefit in the diagnosis but aid in
   assessing the severity and complications of the
                    ongoing infection.

PfHRP2 dipstick or card test: monoclonal ab captures
  the parasite antigens. Only for falciparum malaria.
              LDH dipstick or card test
Drugs used to treat Malaria-First group
•   CHQ, Amiodaquine
•   Quinine, Quinidine
•   Mefloquine, Halofantrine
•   Lumefantrine
Drugs used to treat Malaria-others
•   Clindamycin
•   Azithromycin
•   Proguanil
•   Dapsone
•   Primaquine
How to select antimalarials
Type of malaria – vivax or falciparum?
Sensitive or resistant
Associated renal or liver damage
Associated metabolic-electrolyte imbalances
Pregnancy, weight
Drug reactions
Oral therapy possible?
Intravenous anti-malarial therapy-
             Indications
               Presence of vomiting
Inability to start oral therapy may also be due to
      altered mental alertness and seizures.
Patients who are intubated and on ventillators.
            Those who are critically ill.
Intra-venous therapy
Chloroquine: intravenous 10 mg/kg max 600mg
  over 6-8 hrs followed by 15mg/kg max 900mg
  over next 24 hrs as slow infusion.
Quinine : intravenous 20mg/kg over 4 hrs; then
  10mg/kg(max 600mg)three times a day.
Intra-venous therapy-severe f.malaria
Artesunate 2.4mg/kg stat; followed by 2.4mg/kg at 12
  hrs, 24hrs and then daily. OR
Artemether 3.2mg/kg stat im; then 1.6mg/kg od im.
                  PLUS
Add quinine 20mg salt/kg over 4 hrs; followed by
  10mg/kg over 2-8 hrs slow infusion thrice a day.
                  PLUS
Doxy 100mg bd / tetra 250mg (4mg/kg) qds
Multidrug resistant malaria- 2nd line
Doxy 100mg bd (3mg/kg x 7 days)
Artesunate 2mg/kg od or quinine 10mg/kg tds
               PLUS
1 drug of the following:
Tetra 250mg qds (4mg/kg qid x 7 days)
Clindamycin 10mg/kg bd x 7 days or
  atovoquone-proguanil 20/8 mg/kg od x 3 days
Other supportive therapy
•   Maintain acid-base balance
•   Maintain blood sugar
•   Add folvite for hemolysis
•   Blood transfusions
•   Exchange transfusion
chemoprophylaxis
• Chloroquine 5mg base/kg (max 300 mg) once a
  week. Begin 1-2 weeks before travel, during stay and
  continue till 4 weeks after returning from malarious
  area.
• Mefloquine 5mg salt/kg (max 250 mg) once a week.
  Regime same as above.
• Atovoquone/proguanil (250/100mg) 1 tab for travel
  to resistant malarious area beginning 1-2 days before
  travel and taken daily during stay and ctd till 1 week
  after return from malarious area.

Malaria

  • 1.
    What Is malaria? •A mosquito-borne infectious disease caused by Protozoan parasites of the genus Plasmodium
  • 2.
    What Is malaria? •Transmitted only by Anopheles Mosquitoes (>60 species!) Seattle Biomedical Research Institute
  • 3.
    Plasmodium species which infect humans Plasmodium vivax Plasmodium ovale Plasmodium falciparum Plasmodium malariae Plasmodium knowlesi
  • 4.
    Components of theMalaria Life Cycle Sporogonic cycle Infective Period Mosquito bites uninfected person Mosquito Vector Parasites visible Human Host Mosquito bites gametocytemic Prepatent Period Symptom onset person Recovery Incubation Period Clinical Illness
  • 5.
    Malaria Life Sporogony Cycle Oocyst Life Cycle Sporozoites Mosquito Salivary Zygote Gland Hypnozoites Exo- (for P. vivax and P. ovale) erythrocytic (hepatic) cycle Gametocytes Erythrocytic Cycle Schizogony
  • 7.
    Acute Symptoms • Classical features include cyclic symptoms – Cold stage: chills and shaking – Hot stage: fever, headache, vomiting, seizures in children – Sweating stage: weakness – Feel well for period of time, then cycle repeats itself www.uhhg.org/mcrh/resources/video/malariappt.pdf
  • 8.
    Clinical presentation • Earlysymptoms – Headache – Malaise – Fatigue – Nausea – Muscular pains – Slight diarrhea – Slight fever, usually not intermittent • Could mistake for influenza or gastrointestinal infection
  • 9.
    Clinical presentation • Acutefebrile illness, may have periodic febrile paroxysms every 48 – 72 hours with • Afebrile asymptomatic intervals • Tendency to recrudesce or relapse over months to years • Anemia, thrombocytopenia, jaundice, hepatosplenomegaly, respiratory distress syndrome, renal dysfunction, hypoglycemia, mental status changes, tropical splenomegaly syndrome
  • 10.
    Malarial Paroxysm • Canget prodrome 2-3 days before – Malaise, fever,fatigue, muscle pains, nausea, anorexia – Can mistake for influenza or gastrointestinal infection – Slight fever may worsen just prior to paroxysm • Paroxysm – Cold stage - rigors – Hot stage – Max temp can reach 40-41o C, splenomegaly easily palpable – Sweating stage – Lasts 8-12 hours, start between midnight and midday
  • 11.
    Malarial Paroxysm • Periodicity – Days 1 and 3 for P.v., P.o., (and P.f.) - tertian – Usually persistent fever or daily paroxyms for P.f. – Days 1 and 4 for P.m. - quartian
  • 12.
    Each disease hasa distinct course “Tertian Malaria” (P.falciparum, P.ovale and fever occurs every third da “Quartan Malaria” (P. malariae) fever occurs every fourth www.uhhg.org/mcrh/resources/video/malariappt.pdf
  • 13.
    Each disease alsohas a distinct geographical distribution www.columbia.edu/itc/hs/medical/pathophys/parasitology/2006/PAR-05Color .pdf
  • 14.
    Each disease alsohas a distinct geographical distribution www.columbia.edu/itc/hs/medical/pathophys/parasitology/2006/PAR-05Color .pdf
  • 15.
    DIAGNOSIS  Gold standard: Multiple thick and thin smears
  • 16.
    Other tests Generallythe complete blood counts and platelets counts are of little benefit in the diagnosis but aid in assessing the severity and complications of the ongoing infection. PfHRP2 dipstick or card test: monoclonal ab captures the parasite antigens. Only for falciparum malaria. LDH dipstick or card test
  • 18.
    Drugs used totreat Malaria-First group • CHQ, Amiodaquine • Quinine, Quinidine • Mefloquine, Halofantrine • Lumefantrine
  • 19.
    Drugs used totreat Malaria-others • Clindamycin • Azithromycin • Proguanil • Dapsone • Primaquine
  • 20.
    How to selectantimalarials Type of malaria – vivax or falciparum? Sensitive or resistant Associated renal or liver damage Associated metabolic-electrolyte imbalances Pregnancy, weight Drug reactions Oral therapy possible?
  • 21.
    Intravenous anti-malarial therapy- Indications Presence of vomiting Inability to start oral therapy may also be due to altered mental alertness and seizures. Patients who are intubated and on ventillators. Those who are critically ill.
  • 22.
    Intra-venous therapy Chloroquine: intravenous10 mg/kg max 600mg over 6-8 hrs followed by 15mg/kg max 900mg over next 24 hrs as slow infusion. Quinine : intravenous 20mg/kg over 4 hrs; then 10mg/kg(max 600mg)three times a day.
  • 23.
    Intra-venous therapy-severe f.malaria Artesunate2.4mg/kg stat; followed by 2.4mg/kg at 12 hrs, 24hrs and then daily. OR Artemether 3.2mg/kg stat im; then 1.6mg/kg od im. PLUS Add quinine 20mg salt/kg over 4 hrs; followed by 10mg/kg over 2-8 hrs slow infusion thrice a day. PLUS Doxy 100mg bd / tetra 250mg (4mg/kg) qds
  • 24.
    Multidrug resistant malaria-2nd line Doxy 100mg bd (3mg/kg x 7 days) Artesunate 2mg/kg od or quinine 10mg/kg tds PLUS 1 drug of the following: Tetra 250mg qds (4mg/kg qid x 7 days) Clindamycin 10mg/kg bd x 7 days or atovoquone-proguanil 20/8 mg/kg od x 3 days
  • 25.
    Other supportive therapy • Maintain acid-base balance • Maintain blood sugar • Add folvite for hemolysis • Blood transfusions • Exchange transfusion
  • 26.
    chemoprophylaxis • Chloroquine 5mgbase/kg (max 300 mg) once a week. Begin 1-2 weeks before travel, during stay and continue till 4 weeks after returning from malarious area. • Mefloquine 5mg salt/kg (max 250 mg) once a week. Regime same as above. • Atovoquone/proguanil (250/100mg) 1 tab for travel to resistant malarious area beginning 1-2 days before travel and taken daily during stay and ctd till 1 week after return from malarious area.