THE DIGESTIVE
SYSTEM

Dr. Samar Asker
The oral cavity
represent a
common
entrance for
respiratory
&digestive
tracts
The oral cavity is
bounded anterioly by
lip, posterioly by
pharynx, superioly by
palate inferioly by
tongue, and laterally by
cheeks.
The lip
The main bulk is
formed of bundles of
skeletal muscles
(orbicularis oris
muscle)
Arranged in different
directions.
THE LIP
The lip is formed of:
a) Outer surface.
b) Inner surface.
c) Middle layer.
d) Red margin.
(A)

Outer surface:

Thin skin
Epidermis: keratinized
stratified squamous
epithelium.

Dermis: C.T. rich in hair
follicles, sweat glands
and sebaceous glands.
(B) Inner surface:
Lined by Thick,
transparent and wet
mucous membrane
formed of :

1- Epithelium: It is
non kretanized stratified
squamous & C.T. Corium
which contains mucous
glands called labial gland
which are accessory
gland .
(D) Red margin:
Covered by modified
skin which has no hair
follicles, no sweat
glands & no sebaceous
glands.
The CT. dermis forms deep
papillae that contain
numerous blood capillaries
& receptors. The skin is
thin , transparent & highly
sensitive.
Red margin

Thin skin
Skeletal ms.
Lipial glands
Mucus membrane
THE TONGUE
A bag of
mucous
membrane full
of sckletal
muscle.
Macroscopic appearance:

formed of dorsal surface &
ventral surface
•The dorsal surface is rough &
adherent
mucous
membrane
divided by V- shaped line called
sulcus terminalis into:
1.Posterior1/3:
Where lingual tonsil are
present.
1.Anterior 2/3:
The ventral surface: non
adherent mucous membrane
(A) Skeletal muscle
bundles:
•
•
•

•

run in vertical, horizontal and
longitudinal directions.
Covered by stratified
squamous epithelium & a CT
corium.
The ventral surface covered
by non keratinized. The CT
corium
has
lingual
glands( mucous )
The dorsal surface is
covered by partially
keratinized & rough due to
lingual papillae
Lingual papillae:
Numerous projections of the
mucous membrane on the
dorsal surface of the tongue .
Each papilla is formed of:
Central core of C.T covered
with stratified squamous
epithelium.
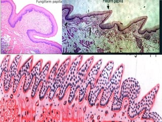
Filiform papillae
(conical papillae):
Site: anterior 2/3 of
the dorsum of the
tongue
Shape: conical
Number: most
numerous.
Taste buds: not
present
Fungiform papillae:
Site: anterior2/3
particularly on the tip and
lateral sides scattered
between conical papillae.
Shape: basal narrow neck
and rounded top.
Number : less numerous
than conical papillae.
Taste buds: few.
Circumvallate
papillae
Site: on the Vshaped line.
Number: 8 -12 in
number (few)
Shape: rounded
with constricted
base which is
surrounded by a
groove .VonEbner’s glands
(serous) underneath
this papillae
Taste buds:
numerous
Foliate papillae

Site: lateral margin of the
dorsal surface the tongue
of rabbit.
Shape: parallel broad
projections of CT covered
by epithelium.
Number: well developed in
rabbit tongue but not in
human
Taste buds: numerous
Filiform

Fungiforn

Circumvillate

Site: Ant 2/3 of
At tip & lateral On V shaped
dorsal surface sides
line

Shape: Conical &
long .(broad
base &
pointed tip)
No: Numerous
Taste Abscent
buds:

Fungus shape Constricted
narrow base & base & broad
rounded top
top

Less in No

numerous

Lateral margin
of dorsal
surface of
tongue of
rabbit
Parallel ridges

8-12 in number

+ ve few

Foliata

numerous
Taste buds
Neuroepithelium
responsible for taste
sensation.
Sites: on mucous
membranes of:
Soft palate.
Pharynx.
Epiglottis.

Professor Kikunae Ikeda
• Structure:
• It appears as flask
shaped bodies
scattered among
the stratified
squamous
epithelium covering
some lingual
papillae
• It is formed of an
upper opening
called gustatory
pore & contain 3
types of cells:
•

•
•
•
•

(1)

Gustatory cells
(haircells)
Central in position.
Shape: modified
columnar.
Their free ends show
short microvilli
Their basal ends
surrounded by free
nerve endings which
carry the taste
sensation.
• 2) Sustentacular
cells:
• Peripheral in
position &
supporting cells
• (3) Basal cells:
• Basally located &
act as stem cells.
The free red margin of the lip
contains :
–Hair follicles.
–Sweat glands.
–Sebaceous glands.
–Numerous receptors.
The mucous membrane covering the inner
surface of the lip :
– Is formed of stratified squamous
keratinized epithelium.
– Contains sebaceous glands.
– Contains sweat glands.
– Is thicker than the skin of the outer
surface of the lip.
– Has no glands.
The lip:
a.Its inner surface is covered by mucous
membrane.
b.Its outer surface is covered by thick
skin.
c.Smooth muscles run in different
directions.
d.Labial glands are mainly serous.
Taste buds are :
a.Neuroepithelial structures.
b.Formed of 3 types of cells.
c.Situated between the cells of stratified
squamous epithelium.
d.In contact with fine nerve fibres that
carry taste sensations.
e.All of the above.
•
The skin covering the outer surface of the lip
:
a.Contains no hair follicles or sebaceous
glands.
b.Contains no sweat glands.
c.Is thicker than the inner surface of the lip.
d.All of the above.
e.None of the above.
Lip & Tongue

Lip & Tongue

  • 2.
  • 3.
    The oral cavity representa common entrance for respiratory &digestive tracts
  • 4.
    The oral cavityis bounded anterioly by lip, posterioly by pharynx, superioly by palate inferioly by tongue, and laterally by cheeks.
  • 5.
    The lip The mainbulk is formed of bundles of skeletal muscles (orbicularis oris muscle) Arranged in different directions.
  • 6.
    THE LIP The lipis formed of: a) Outer surface. b) Inner surface. c) Middle layer. d) Red margin.
  • 7.
    (A) Outer surface: Thin skin Epidermis:keratinized stratified squamous epithelium. Dermis: C.T. rich in hair follicles, sweat glands and sebaceous glands.
  • 8.
    (B) Inner surface: Linedby Thick, transparent and wet mucous membrane formed of : 1- Epithelium: It is non kretanized stratified squamous & C.T. Corium which contains mucous glands called labial gland which are accessory gland .
  • 9.
    (D) Red margin: Coveredby modified skin which has no hair follicles, no sweat glands & no sebaceous glands. The CT. dermis forms deep papillae that contain numerous blood capillaries & receptors. The skin is thin , transparent & highly sensitive.
  • 10.
    Red margin Thin skin Skeletalms. Lipial glands Mucus membrane
  • 11.
  • 12.
    A bag of mucous membranefull of sckletal muscle.
  • 13.
    Macroscopic appearance: formed ofdorsal surface & ventral surface •The dorsal surface is rough & adherent mucous membrane divided by V- shaped line called sulcus terminalis into: 1.Posterior1/3: Where lingual tonsil are present. 1.Anterior 2/3: The ventral surface: non adherent mucous membrane
  • 16.
    (A) Skeletal muscle bundles: • • • • runin vertical, horizontal and longitudinal directions. Covered by stratified squamous epithelium & a CT corium. The ventral surface covered by non keratinized. The CT corium has lingual glands( mucous ) The dorsal surface is covered by partially keratinized & rough due to lingual papillae
  • 17.
    Lingual papillae: Numerous projectionsof the mucous membrane on the dorsal surface of the tongue . Each papilla is formed of: Central core of C.T covered with stratified squamous epithelium.
  • 18.
    Filiform papillae (conical papillae): Site:anterior 2/3 of the dorsum of the tongue Shape: conical Number: most numerous. Taste buds: not present
  • 19.
    Fungiform papillae: Site: anterior2/3 particularlyon the tip and lateral sides scattered between conical papillae. Shape: basal narrow neck and rounded top. Number : less numerous than conical papillae. Taste buds: few.
  • 21.
    Circumvallate papillae Site: on theVshaped line. Number: 8 -12 in number (few)
  • 22.
    Shape: rounded with constricted basewhich is surrounded by a groove .VonEbner’s glands (serous) underneath this papillae Taste buds: numerous
  • 23.
    Foliate papillae Site: lateralmargin of the dorsal surface the tongue of rabbit. Shape: parallel broad projections of CT covered by epithelium. Number: well developed in rabbit tongue but not in human Taste buds: numerous
  • 24.
    Filiform Fungiforn Circumvillate Site: Ant 2/3of At tip & lateral On V shaped dorsal surface sides line Shape: Conical & long .(broad base & pointed tip) No: Numerous Taste Abscent buds: Fungus shape Constricted narrow base & base & broad rounded top top Less in No numerous Lateral margin of dorsal surface of tongue of rabbit Parallel ridges 8-12 in number + ve few Foliata numerous
  • 25.
    Taste buds Neuroepithelium responsible fortaste sensation. Sites: on mucous membranes of: Soft palate. Pharynx. Epiglottis. Professor Kikunae Ikeda
  • 26.
    • Structure: • Itappears as flask shaped bodies scattered among the stratified squamous epithelium covering some lingual papillae • It is formed of an upper opening called gustatory pore & contain 3 types of cells:
  • 27.
    • • • • • (1) Gustatory cells (haircells) Central inposition. Shape: modified columnar. Their free ends show short microvilli Their basal ends surrounded by free nerve endings which carry the taste sensation.
  • 28.
    • 2) Sustentacular cells: •Peripheral in position & supporting cells • (3) Basal cells: • Basally located & act as stem cells.
  • 29.
    The free redmargin of the lip contains : –Hair follicles. –Sweat glands. –Sebaceous glands. –Numerous receptors.
  • 30.
    The mucous membranecovering the inner surface of the lip : – Is formed of stratified squamous keratinized epithelium. – Contains sebaceous glands. – Contains sweat glands. – Is thicker than the skin of the outer surface of the lip. – Has no glands.
  • 31.
    The lip: a.Its innersurface is covered by mucous membrane. b.Its outer surface is covered by thick skin. c.Smooth muscles run in different directions. d.Labial glands are mainly serous.
  • 32.
    Taste buds are: a.Neuroepithelial structures. b.Formed of 3 types of cells. c.Situated between the cells of stratified squamous epithelium. d.In contact with fine nerve fibres that carry taste sensations. e.All of the above. •
  • 33.
    The skin coveringthe outer surface of the lip : a.Contains no hair follicles or sebaceous glands. b.Contains no sweat glands. c.Is thicker than the inner surface of the lip. d.All of the above. e.None of the above.