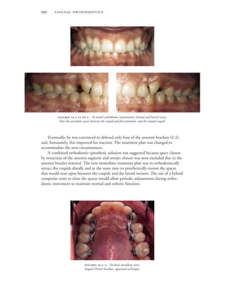
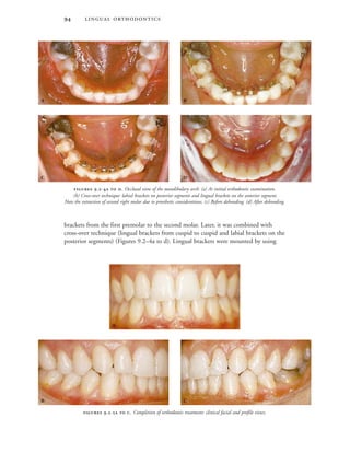
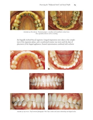

LINGUAL
ORTHODONTICS

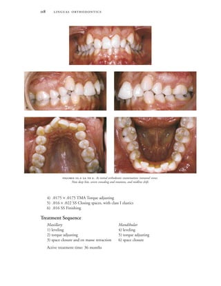
LINGUAL
ORTHODONTICS
LINGUAL
ORTHODONTICS
R A F I RO M A N O, D M D, M S c
   
 .  .      
Hamilton • London
B.C. Decker Inc.
4 Hughson Street South
P.O. Box 620, L.C.D. 1
Hamilton, Ontario L8N 3K7
Tel: 905-522-7017
Fax: 905-522-7839
e-mail: info@bcdecker.com
website: http://www.bcdecker.com
© 1998 Rafi Romano
All rights reserved. No part of this publication may be reproduced, stored in a retrieval system, or trans-
mitted, in any form or by any means, electronic, mechanical, photocopying, recording, or otherwise, with-
out prior written permission from the publisher.
98 99 00 01 / BP / 9 8 7 6 5 4 3 2 1
ISBN 1-55009-040-2
Printed in Canada
SALES AND DISTRIBUTION
United States U.K., Europe, Scandinavia, Middle East
B.C. Decker Inc. Harcourt-Brace & Company Ltd.
P.O. Box 785 24–28 Oval Road
Lewiston, NY 14092-0785 London, NW1 7DX
United Kingdom
Tel: 71-267-4466
Fax: 71-482-2291
Canada Korea
B.C. Decker Inc. Jee Sung Publishing Company
4 Hughson Street South 236-15, Neung-Dong
P.O. Box 620, L.C.D. 1 Seung Dong-Ku, Seoul
Hamilton, Ontario L8N 3K7 Korea
Tel: 905-522-7017 Tel: 02 424-5463
Fax: 905-522-7839 Fax: 02 456-5058
Japan India
Ishiyaku Publishers Inc. Jaypee Brothers Medical Publishers Ltd.
7–10, Honkomagome 1-Chome B-3, EMCA House,
Bunkyo-ku, Tokyo 113 23/23B Ansari Road, Daryaganj,
Japan P.B. 7193, New Delhi-110002, India
Tel: 03 5395-7604 Tel: 11 3272143
Fax: 03 5395-7606 Fax: 11 3276490
Notice: The authors and publisher have made every effort to ensure that the patient care recommended
herein, including choice of drugs and drug dosages, is in accord with the accepted standard and practice
at the time of publication. However, since research and regulation constantly change clinical standards, the
reader is urged to check the product information sheet included in the package of each drug, which
includes recommended doses, warnings, and contraindications. This is particularly important with new or
infrequently used drugs.
Robert W. Baker Jr., DMD
Lingual Appliance Course Director
University of Rochester Eastman Dental Center
Private Practice, Limited to Orthodontics
New York, USA
Nitzan Bichacho, DMD
Private Practice, Limited to Prosthodontics
Tel Aviv, Israel
Paul-Georg Jost Brinkman, DMD, PhD
Associate Professor, Department of
Orthodontics of the Free University
Berlin, Dental School
Berlin, Germany
Vittorio Cacciafesta, DDS
Postgraduate Orthodontic Residence
Department of Orthodontics
Royal Dental College
Arhus University, Denmark
Maurizio Cannavo, MD
Visiting Professor in Lingual Orthodontics
Specialization School of Orthodontics
University of Ferrara, Italy
Christian Demange, DCD, SQODE, CECSMO
Orthodontiste Spécialiste Qualifié
Docteur en Chirurgie Dentaire
Docteur de l’Université Claude Bernard
Maître de Conférences des Universités
Practicien Hospitalier—Faculté de Lyon
Lyon, France
Pablo A. Echarri, DDS
Private Practice, Limited to Orthodontics
Barcelona, Spain
Lorenzo Favero, MD, DDS, MSc
Professor, Pediatric Dentistry Department
University of Padua
Padua, Italy
Didier Fillion, DDS
Private Practice, Limited to Lingual
Orthodontics
Paris, France
J. Courtney Gorman, DDS, MS
Private Practice, Limited to Orthodontics
Marion, Indiana, USA
Chiori Hashiba, DDS, PhD
Private Practice, Limited to Orthodontics
Tokyo, Japan
Scott A. Huge
Owner and President, Specialty Appliances Inc.
Orthodontic Laboratory
Norcross, Georgia, USA
Craven Kurz, DDS, PhD
President Emeritus of the American Lingual
Orthodontic Association
Private Practice, Marina del Rey
California, USA
Stuart McCrostie, DDS
Specialist Orthodontist
Waitara NSW, Australia
Mario E. Paz, DDS, MS
Course Director, Lingual Orthodontic Program
University of California Los Angeles
California, USA
Friedrich Riemeier
Manager, Bending Art Company
Berlin, Germany
Rafi Romano, DMD, MSc
Private Practice, Limited to Orthodontics,
Emphasizing Adult and Lingual Orthodontics
Tel Aviv, Israel
Massimo Ronchin, MD, DDS
Assistant Professor in Orthodontics
Cagliari University
Visiting Professor
University of Ferrara, Italy
Guiseppe Scuzzo, MD, DDS
Visiting Professor in Lingual Orthodontics
Specialization School of Orthodontics
University of Ferrara, Italy
Alessandro Silvestri, MD, DDS, ENT
Chief, Pre- and Postsurgical Orthodontic Service
Department of Maxillo-Facial Surgery
University of Rome “La Sapienza”
Rome, Italy
Kyoto Takemoto, DDS
Private Practice, Limited to Lingual Orthodontics
Chiba-ken, Japan
Contributors
Contents
Preface . . . . . . . . . . . . . . . . . . . . 
SECTION 1
Introduction
 Lingual Orthodontics:
Historical Perspective . . . . . . . . . . 
Craven Kurz, DDS, PhD,
Rafi Romano, DMD, MSc
 Present Clinical Reality . . . . . . . . 
Massimo Ronchin, MD, DDS
 Lingual Orthodontics in a
Labial Orthodontics Office . . . . . 
J. Courtney Gorman, DDS, MS
SECTION 2
Basic Principles
 Enhanced Facial Esthetics using
Kurz Lingual Appliance. . . . . . . . 
Craven Kurz, DDS, PhD
 Advanced Lingual Prescription:
Technique and Design . . . . . . . . 
Robert Baker Jr., DMD
. Shape Memory Wires in
Lingual Orthodontics . . . . . . . . . 
Christian Demange, DCD, SQODE,
CECSMO
. Wire Sequencing in Lingual
Orthodontics . . . . . . . . . . . . . . . 
H. Stuart McCrostie, DDS
 Instruments Used in Lingual
Appliance. . . . . . . . . . . . . . . . . . 
Craven Kurz, DDS, PhD
SECTION 3
Treatment Approaches
and Mechanics
 Anchorage Control in Lingual
Orthodontics . . . . . . . . . . . . . . . 
Kyoto Takemoto, DDS
. Preserving the “Hollywood Smile”
and Facial Profile . . . . . . . . . . . . 
Mario E. Paz, DDS, MS
. Distalization of Molars in
Nonextraction Cases . . . . . . . . . . 
Guiseppe Scuzzo, MD, DDS,
Maurizio Cannavo, MD
. Interproximal Enamel Reduction
in Lingual Orthodontics . . . . . . . 
Didier Fillion, DDS
. Sliding Mechanics versus Loop
Mechanics During En Masse
Retraction in Extraction Cases. . 
Kyoto Takemoto, DDS
. Case Presentation:
Loop Mechanics . . . . . . . . . . . . 
Guiseppe Scuzzo, MD, DDS
. Case Presentation:
Sliding Mechanics . . . . . . . . . . . 
J. Courtney Gorman, DDS, MS
 Lingual Orthodontics in
Pediatric Patients. . . . . . . . . . . . 
Lorenzo Favero, MD, DDS, MSc
. The Lingual Technique in
Orthognathic Surgery . . . . . . . . 
Alessandro Silvestri, MD, DDS, ENT
. Orthodontic-Surgical RPE
Camouflage on an Orthognathic
Case . . . . . . . . . . . . . . . . . . . . . 
Mario E. Paz, DDS, MS
. Segmental Lingual Orthodontics
in Multidisciplinary Cases . . . . . 
Pablo A. Echarri, DDS
. Combined Orthodontic-Prosthetic
Treatment of Malpositioned
Anterior Teeth. . . . . . . . . . . . . . 
Rafi Romano, DMD, MSc,
Nitzan Bichacho, DMD
 Lingual Orthodontics:
Esthetics and Function. . . . . . . . 
Chiori Hashiba, DDS, PhD
SECTION 4
Laboratory Procedures
 The Customized Lingual
Appliance Set-Up Service
(CLASS) System . . . . . . . . . . . . . 
Scott A. Huge
 The Thickness Measurement
System with the DALI Program . . . 
Didier Fillion, DDS
 Lingual Treatment with the
Bending Art System . . . . . . . . . . . 
Paul-Georg Jost-Brinkmann, DMD, PhD,
Vittorio Cacciafesta, DDS,
Friedrich Riemeier
SECTION 5
Appendix
Bibliography . . . . . . . . . . . . . . . . 
Index. . . . . . . . . . . . . . . . . . . . . . 

The Preface to Lingual Orthodontics (LO) should have been actually called: “A short
explanation why Lingual Orthodontics is the first complete English textbook ever pub-
lished on LO.”
The idea to edit Lingual Orthodontics arose in October 1995, at the Italian
Association of Lingual Orthodontics (AIOL) meeting in Rome, where many of the
best clinicians who practice LO were in attendance.
When surveying the literature published on LO, it is surprising to discover that
most of it was written from 1982–1985, immediately after Dr. Kurz from USA and
Dr. Fujita from Japan developed the prototype lingual system and ORMCO founded
the original Task Force. These years saw the very first steps with the new system,
observed with the critical eyes of the orthodontic community and with exaggerated
expectations from the public and media. While most orthodontists found interest in
the new system, it was still undeveloped, without any finished cases, any protocol, and
presented many technical problems. More than 12 years have passed since “silence”
concerning LO was declared in the scientific journals, in all of the important ortho-
dontic meetings, and in orthodontic offices. The media had completely stopped men-
tioning the subject and because of the small number of orthodontists who continued
to treat patients with LO during this period, we are now again in a situation charac-
terized by a lack of knowledge in the dental community and among the public. The
technique of lingual orthodontics, which is the only option we can give to those patients
who want their orthodontic treatment to be done behind closed curtains, was really
left with the curtains closed.
The fault is partly due to the rapid decline in the number of orthodontists who
offer LO as a treatment option in their office and partly due to the small efforts that
were made by those who did practice LO to teach, to write, to do research, or to con-
tribute from their knowledge to all of their colleagues.
Excellent work is done all over the world with LO. Some clinicians have even
decided to devote their practice exclusively to LO and can now present excellent clinical
results with a long follow-up. Much new material that has not yet been published exists
as well as tremendous experience that was gained in the field in the last 15 years. Much
of this is known only to a small group of orthodontists who come to LO meetings all
over the world. This book is published to change this situation because we believe that
lingual orthodontics is the ultimate esthetic solution in orthodontics today.
Many of the best clinicians who practice LO contributed to this book. They come
from all over the world—from the USA, Australia, Japan, France, Italy, Spain, Germany,
and Denmark. I would like to thank each one of them personally for the tremendous
help, good will, and patience they have exhibited in the long process of creating an
international book. They have all agreed to share their knowledge and experience with
our readers. Many clinical tips and experience were gathered and are now disseminated
Preface
 
for the first time. Almost every possible aspect of LO is covered, including history,
mechanics, extraction cases, nonextraction cases, pediatric patients, interdisciplinary
cases, orthognathic surgery, practice management, laboratory procedures, and more. All
of them are described in full detail and enhanced with color figures.
This is not a recipe book, and it is not intended to teach LO. One should take
accredited courses, come to LO meetings, and gain experience before adopting the
system completely into his or her practice. Once a thorough knowledge and clinical
experience are obtained, one will gain excellent clinical results, not less than he or she
was used to with labial orthodontics, and with all the mechanical and esthetic advan-
tages that are unique to LO. I have included all of the references I could find on LO
to help the clinicians find their way in this new system. I do apologize to any author
whose article I did not mention here.
The advantages of LO over labial orthodontics are many. While better esthetics
during treatment is the most obvious, some advantages are purely mechanical, like
more efficient distal movement, much easier intrusion, increased expansion, and the
built-in capability in the bracket design to reposition the mandible and tempero-
mandibular jaw when needed.
Some clinicians still claim that LO is not a legitimate option and that lingual
orthodontic results are inferior to those achieved with labial orthodontics. In fact, the
opposite is frequently true. We do believe that the advantages of LO as a treatment
option are greater than the disadvantages, and it should be considered as a legitimate,
equally good option to every other treatment modality.
Still, there is much more to be done in the field of LO other than publishing
more textbooks. Some disadvantages still to be overcome are:
• Further improvement of the design of the brackets to make them smaller, more
easily ligated, and smoother to the tongue.
• Reduction in speech distortion during the early stages of treatment, which can
be distressing to the patient.
• The addition of training in lingual orthodontics to the graduate or postgrad-
uate orthodontic programs in the universities around the world.
• Reduction of the high fees by improvements in design and technique which
will, in turn, reduce the chairtime of the orthodontist.
I do hope this book will have a uniting influence on the clinicians using LO. The
world has become a very small place since people began traveling extensively. Some of
my patients come from Japan, USA, and Europe, and they expect each orthodontist
to have the same knowledge and skills as his or her colleagues. Easy, rapid communi-
cation tools exist and should be used to teach, to inform, and to unite. Teaching other
orthodontists the “secrets” of our technique will, in the long run, bring us more accep-
tance and more work. When more orthodontists use LO in their offices, patients will
become more aware of it and ask for it. This phenomenon occurred in general den-
tistry with porcelain veneers and bonding. When it became more popular, the dentists
who were the first to do it became the leaders in esthetic dentistry all over the world.
I hope that Lingual Orthodontics will become towards the year 2000 an essential
part of orthodontic offices and university libraries, to be used by doctors and patients,
and to be a part of the esthetic dentistry postgraduate studies.
Preface 
I again thank all my colleagues who participated in writing this book, especially
Dr. Didier Fillion, a friend and one of the best clinicians in LO in the world today;
my Israeli colleague, Dr. Sylvia Geron, who helped me and supported me all the way;
Prof. Adrian Becker, one of the most talented orthodontists I know, who inspired me
tremendously; Dr. Linda Hallman, who helped review the material; Dr. Nitzan Bichacho,
Dr. Paul Miara, and Dr. Bernard Touati who helped me enter the fascinating world of
esthetic dentistry; and my wife, who warmly supported me. The book is dedicated to
my father, Dr. Albert Romano.
Rafi Romano, DMD, MSc
 Lingual Orthodontics:
Historical Perspective. . . . . . . . . . 
Craven Kurz and Rafi Romano
 Present Clinical Reality. . . . . . . . 
Massimo Ronchin
 Lingual Orthodontics in a
Labial Orthodontics Office. . . . . 
Courtney Gorman
SECTION 1
Introduction

 
Lingual Orthodontics:
Historical Perspective
CRAVEN KURZ, DDS, PhD, AND RAFI ROMANO, DMD, MSc
The 1970s was an exciting decade for orthodontics. The straight wire appliance was
developed, treatment demands had increased, and adults were seeking treatment in
greater numbers. This increasing demand for adult treatment brought unique con-
cerns to the profession. Esthetics was then and continues to be a primary concern of
patients. To address these esthetic concerns, manufacturers introduced clear plastic
brackets; unfortunately, however, staining of the bracket and the tooth presented a
significant problem. The search for improved esthetic alternatives to metal or clear
plastic brackets continued.
During the early 1970s, Dr. Craven Kurz, an orthodontist, then assistant professor
of occlusion and gnathology at the UCLA School of Dentistry, found his private
orthodontic practice to be increasingly dominated by adult patients. As many of his
patients were public figures, esthetics became a major concern. A particular patient,
who was an employee of the Playboy Bunny Club, presented to his practice requesting
treatment. Because of her public position she refused metal or plastic labial appliances
on esthetic grounds. From her demand for an appliance that did not show, the con-
cept of a lingually bonded appliance was born.
After much advice and consultation from orthodontic colleagues, particularly
Dr. Jim Mulick, also at the UCLA School of Dentistry, Dr. Kurz developed the first
true lingual appliance. The appliance consisted of plastic Lee Fisher brackets bonded
to the lingual aspect of the anterior dentition and metal brackets bonded to the
lingual aspect of the posterior dentition (Figures 1–1a and b). The plastic anterior
brackets were selected because of the ease of recontouring and reshaping them to
avoid direct contact with the opposing teeth. Treatment progress was closely moni-
tored during this initial attempt at lingual treatment. Not surprisingly, Dr. Kurz
found that occlusal forces produced a shearing force on the maxillary incisor brackets,
creating a high bond failure rate. Additionally, the brackets were uncomfortable and
irritating to the patient’s tongue. By the mid-1970s, Dr. Kurz found that by smooth-
ing the exposed surface of the brackets using a heatless stone, patient comfort and
acceptance increased.
Not surprisingly, commercial interest was rapidly developing for this new appliance
and approach to orthodontic treatment. Many clinicians and commercial companies
were in the process of developing some version of a lingual appliance. During these
early stages, Ormco, a company in California, created a product development team
consisting of Mr. Frank Miller and Mr. Craig Andreiko to work with Dr. Kurz and his
new appliance. Historically, Ormco’s interest in the concept of lingual orthodontic
treatment was well established. In the early 1970s, in conjunction with Dr. Jim
 
Wildman, they attempted to develop a system to align the dentition using the lingual
approach. This system consisted of a Pedicle positioner, rather than a multibracketed
system. Although innovative, inherent limitations in this system prevented it from
gaining widespread popularity in the orthodontic community.
With the new product development team now in place, prototypes of lingual
brackets were developed to attempt to improve on the design of the original appliance.
The prototypes were initially carved from wooden blocks at a scale of 40:1 and then
recreated in appropriate materials in scaled-down versions to fit the mouth. It was
quickly found that the problems that plagued all previous attempts at developing a
usable appliance remained—namely, a high bond failure rate due the shearing forces,
and patient discomfort from the roughness against the tongue. The turning point in
the development of the appliance was the addition of an anterior inclined plane as an
integral part of the maxillary anterior brackets (Figure 1–2). This inclined plane con-
verted the shearing forces produced by the mandibular incisors to compressive forces
applied in an intrusive and labial direction. These forces also produced a natural
physiological bone resorption in the maxillary and mandibular incisor area, allowing
the teeth to intrude at generally less than 100 milligrams in force each time the
patient swallowed (approximately 2000 times per day).
 
 -  . Dr. Kurz 1973–1975 labial appliance modified for lingual application.
 -. The incline plane.
Lingual Orthodontics: Historical Perspective 
Bond failures decreased dramatically. Redirecting the forces by the use of an ante-
rior inclined plane appeared to be the missing link in the development of a viable lin-
gual appliance. It was with this design that Dr. Kurz applied for a patent for the Kurz
Lingual Appliance on November 15, 1976. Product development began in earnest in
1978, and Ormco manufactured a usable metal bracket by 1979. Initial clinical test-
ing began in Dr. Kurz’s private office, with approximately 100 cases tested over a three-
year period. All appliances were direct bonded, and a treatment protocol was estab-
lished. From the initial testing, the appliance appeared to be viable and showed much
promise in providing the profession with an esthetic alternative to labial appliances.
The next logical step in product development and improvement was to establish
beta test sites. Fifty selected orthodontists were invited to attend an Ormco-sponsored
 -. Dr. Craven Kurz
 -. Dr. Jack Gorman  -. Dr. J.R. Bob Smith
 
symposium on lingual orthodontic therapy. Here, Dr. Kurz presented the concept of
lingual treatment, the appliance, and his treatment results from the initial 100 cases
tested to the professional community. From this group, the original Lingual Task
Force was developed. This group was under the administrative guidance of Mr. Floyd
Pickrel, Mr. Ernie Strauch, and Dr. Michael Scwartz, all from Ormco. Their charge was
to guide and administrate the research and development team while a commercially
viable lingual appliance was being developed. They appointed, in addition to Dr. Craven
Kurz of Beverly Hills, California (Figure 1–3), the late Dr. Jack Gorman of Marion,
Indiana (Figure 1–4), Dr. Bob Smith of Stanford, Florida (Figure 1–5), Dr. Richard
(Wick) Alexander (Figure 1–6) and Dr. Moody Alexander (Figure 1–7), both from
Dallas, Texas, Dr. James Hilgers of Mission Viejo, California (Figure 1–8), and Dr. Bob
Scholz of Alemeda, California (Figure 1–9) to provide beta test sites for the appliance.
 -. Dr. James Hilgers  -. Dr. Bob Scholtz
 -. Dr. Wick Alexander  -. Dr. Moody Alexander
Lingual Orthodontics: Historical Perspective 
Excitement about an esthetic alternative to traditional orthodontic treatment was
growing within the dental profession. This plus public demands for this alternative
treatment forced an urgency on the research and development team to provide the
appliance for wide-scale use as quickly as possible. By the early fall of 1981, the task
force was presenting regular seminars on the lingual appliance in Newport Beach,
California. That same year, Dr. K. Fujita of Japan, published an article on lingual
therapy in the American Journal of Orthodontics. Commercial interest was spreading.
Unitek supported a Lingual Clinical Project under the direction of Dr. Vince Kelly of
Oklahoma. Dr. Steve Paige of Florida began giving courses using a Begg appliance
lingually. Forestodent, and American Orthodontics all began to market lingual brackets
and accessories.
Public interest continued to grow. The news media reported the development of
the new “invisible braces” in major magazines and broadcasts on both television and
radio (Figure 1–10). The Ormco task force conducted a news conference at the
Waldorf Astoria in New York, touting the benefits of this new type of orthodontic
therapy. The interest of the public was heightened even more, and they demanded the
appliance from the profession.
Commercial companies were competing to be at the forefront of this “lingual
fever.” Even Unitek now had a lingual appliance. Dentists were demanding more
information and training in the lingual technique. The courses presented by the
Lingual Task Force continued to grow in size, with over 1000 orthodontists in atten-
dance at each lecture (Figure 1–11). By 1983, the task force was giving courses and
news conferences in most major cities in America. In 1982, Ormco organized a task
force of two doctors from every country in Europe. In 1983, this group introduced
the appliance to Europe at a meeting in Geneva, Switzerland, followed by courses in
Japan. Several well-known European orthodontists, Dr. Klaus Gerkhardt of Germany,
Dr. Lennart Lagerstrom of Sweden, and Dr. Jorn Perregaard of Denmark were added
to the European task force. The European doctors insisted on seeing finished cases. In
1983, the task force conducted seminars for 300 doctors. All the finished cases were
 -. Various magazines exalting the virtues of
the lingual appliance.
 
presented with a full treatment protocol; their results were therefore more acceptable
than those presented earlier to the American doctors. In 1983, Ormco sold 5000
lingual cases, and by 1986 they had sold 18,000 lingual cases!
At this time, thousands of orthodontists worldwide were attending courses and
beginning treatment using the lingual technique. The technique and appliance were
still in their infancies, and, in fact, beta testing had not yet been completed. Public
demand and commercial interest rushed the product to the market, perhaps prema-
turely. In 1986 the French Orthodontic Society founded the Société Français
Orthodontie Linguale (SFOL, or French Orthodontic Society for Lingual Orthodontics).
In 1987, at the American Association of Orthodontists’ annual meeting in
Montreal, Canada, Dr. Kurz was on the program to discuss lingual orthodontic therapy.
The lecture topic was timely in that many orthodontists had now tried the appliance
and lingual therapy without much success. There seemed to be widespread problems
with appliance placement through direct bonding techniques and manipulation of
archwires on open buccal segments with no occlusion because of the bite plane effect
of the anterior inclined plane. Many clinicians had experienced a loss of control in
cases treated with the lingual approach. Dr. Kurz’s lecture was well attended because
many clinicians were looking for solutions to the problems that were preventing
them from finishing cases to the same standard of excellence they had come to expect
from labial appliances. At this same meeting, an alternative esthetic solution was pro-
vided to the clinicians. A truly clear, stain-resistant labial bracket was introduced by
A Company. This bracket, called Starfire, provided a reasonable alternative for patients
who were concerned with the poor esthetics of conventional metal labial brackets.
A sigh of relief was heard throughout the orthodontic community. Orthodontists
could now offer to patients an option that provided improved esthetics over metal
brackets with efficient and high-quality treatment.
Enthusiasm for lingual therapy waned in the profession, and commercial interest
also declined. The original Ormco Task Force was reduced to just three members by
1988, Drs. Kurz, Gorman, and Smith. They restructured the group and were renamed
KGS Ormco Task Force Number Two. Their new charge was to define the problems
that plagued the current status of lingual therapy and develop solutions to these prob-
lems. These were the problems they identified:
 -. Classes in a Newport beach hotel.
Lingual Orthodontics: Historical Perspective 
1. The lingual appliance had been made available to the public before testing was
complete.
2. Orthodontists inadequately trained with lingual therapy were treating patients
in record numbers.
3. The public had high expectations from this treatment and demanded it from
the profession immediately.
A solution was to have smaller classes taught by more experienced lingual practi-
tioners. Longer courses were developed with a typodont (hands-on) component, and
continuing education was stressed, with support provided by study clubs, journals,
and professional meetings.
The American Lingual Orthodontic Association (ALOA) was established on
November 14, 1987, by a core group of six hundred American orthodontists. Member-
ship quickly grew to over 800 members in 17 countries. The ALOA provided quarterly
journals, study club assistance, patient brochures, yearly conventions, and professional
lectures. The first annual meeting of ALOA was held in Washington in 1987, and in
Palm Springs the following year. Additionally, a Dental Lingual Assistant Association
was formed to provided support for staff members employed by lingual orthodontic
practitioners. The new professional associations were smaller than the original groups
but remained active in their support of lingual therapy. Continuing educational pro-
grams were now offered in Europe and Japan by the KGS group. Enthusiasm for lin-
gual therapy was still strong in these professional communities. Some European and
Japanese university programs offered training in lingual therapy and these were soon
followed by courses in Korea, South America, Mexico, and Denmark.
The European Society of Lingual Orthodontics (ESLO) was founded in 1992, in
Venice, Italy, and hundreds of people participated in the first European lingual asso-
ciation congress in Venice. In the same year, an Italian society was founded; the
Associazione Italiana Ortodonzia Linguale (AIOL) or the Italian Association of
Lingual Orthodontics has been one of the most active ever since. The Asian lingual asso-
ciation is also very active. Dr. Lorenzo Favero, Italy, was the first to treat children and
adolescents with LO, and now it is a legitimate treatment option for all.
Today, lingual orthodontics has a small but strong following in the United States,
Europe, and Asia. The ALOA is active again, after few years of silence, with annual
conventions, availability of patient educational materials, and the publication of a
professional quarterly, the JALOA. The French Lingual Orthodontic Society and the
Italian Lingual Orthodontic Society currently hold annual meetings. The ESLO
sponsored the last international meeting in Monaco, Monte Carlo in 1996 and the
next meeting is scheduled for June, 1998 in Rome. Many courses are given in various
locations throughout the world, mainly by Drs. Didier Fillion (France), Courtney
Gorman (USA), Giuseppe Scuzzo (Italy), Kyoto Takemoto (Japan), Echarri Pablo
Lobiondo (Spain), Bob Baker (USA), Mario Paz (USA), and John Napolitano (USA).
The following is a summary listing of some of the difficulties encountered during
the development of lingual orthodontic therapy and the current solutions:
1. Tissue Irritation and Speech Difficulties
The earlier brackets placed on the lingual surface of the teeth were irritating to the
tongue and impeded normal speech. The current generation of brackets has been
 -. Initially, anterior brackets had long
gingival hooks responsible for calculus build-up.
 
redesigned with smooth exterior surfaces and a low profile. The increased comfort
allows normal tongue activity, hence speech is not affected significantly.
2. Gingival Impingement
Earlier generations of the lingual appliance had a broad bonding base extending
towards the gingival margin (Figure 1–12). Access for adequate oral hygiene and the
self-cleansing nature of the oral cavity were compromised. Brackets have been
redesigned to be more self-cleansing. The base now extends incisally and mesiodistally,
providing adequate bond strength, yet retaining hygienic qualities. The mandibular
anterior teeth are particularly vulnerable to calculus accumulation due to their close
proximity to the submandibular salivary glands. These brackets have 1.5 to 2 mm
clearance between the base and the gingival margin. Additionally, the bracket hooks
have been redesigned with a lower profile and are located several millimeters from the
gingival margin (Figures 1–13a and b).
3. Occlusal Interference
A predominant problem with the original appliance was the effect of the shearing
forces on the brackets, particularly in the maxillary anterior dentition. (In the absence
of a cross-bite, the lingual aspect of the mandibular dentition is generally not in direct
contact with the maxillary dentition; therefore, the shearing forces were not a problem
(Figure 1–14). Likewise, the relatively high maxillary crown height and low mandibular
cusp height in the posterior segments allow adequate clearance to avoid the severe
shearing forces seen in the maxillary anterior region.) The bracket was redesigned with
an inclined or bite plane strategically placed to redirect the vertical shearing forces to a
horizontal seating force (Figure 1–15). The location of the inclined plane is such that
when a 1 mm overjet and overbite relationship is obtained, all mandibular anterior
contact with the inclined plane is eliminated. To avoid deleterious effects caused by
tooth contact with the archwire, the inclined plane is located incisal to the slot.
Patient tolerance of the bite plane effect of the inclined plane has been favorable.
Lingual Orthodontics: Historical Perspective 
4. Appliance Control
Since the introduction of lingual therapy, control has been a concern. To allow better
control of tooth movements, the appliance was fabricated in high tensile metal which
provides a greater degree of accuracy. First and second molar bands were manufactured,
allowing control from both the buccal and lingual sides of the posterior segments.
An initial treatment approach joined the buccal and lingual attachment when the wire
was engaged. This coupling was thought to prevent vertical and horizontal rotation
of the buccal segments (Figure 1–16). Clinically, however, this coupling proved to be
unnecessary because one full arch wire from 7-7 was able to offer much more stability.
Currently, transpalatal bars are used for additional stability. They can be attached to
either the first or second molar.
5. Base Pad Adaptation
As with all appliances, accurate contour of base pads improves not only retentive
capabilities but also the accuracy of bracket placement and therefore the quality of
 -. Cast illustration of the mandibular teeth showing
no problem with occlusal interference.
 
 -  . Photo of Kurz #7 bracket bonded on typodont, with close-up of mandibular and maxillary incisors.
 
treatment. Topographic maps were constructed for each tooth and individual bracket
base curvatures were calculated (Figure 1–17).
6. Appliance Placement and Bonding
The original appliances were direct bonded. With the variability of lingual tooth con-
tours, accurate bracket placement was difficult. This approach produced unpredictable
tooth alignment with tremendous variations in tip, torque, and tooth height. Initially,
the Torque Angulation Referencing Guide (TARG) system was used. The TARG
instrument was designed to place brackets on the lingual surfaces using conventional
landmarks as references. Although substantial improvements were made in the accuracy
and efficiency of bonding, the system was still inadequate. A more sophisticated sys-
tem, using a diagnostic set-up constructed from articulated models was developed and
has met with considerable success. This method, the Custom Lingual Appliance
Set-Up Service (CLASS), involves indirect bonding set-up on a diagnostic or ideal
model of the teeth. The brackets are then transferred back to the original malocclusion,
and transfer trays prepared. These methods will be explained in detail in Chapter 15.
7. Appliance Prescription
In the early 1970s, Dr. Lawrence Andrews developed and patented a fully programmed
orthodontic appliance, which he introduced as the Straight Wire Appliance. This
philosophy involves programming all the elements necessary to achieve an optimal
occlusion into each bracket.
 -. The incline plane. The red arrows
represent the primary force applied, and the broken
black lines represent the secondary/resultant
forces exerted.
Lingual Orthodontics: Historical Perspective 
The initial lingual appliance used a custom-modified labial appliance bonded to
the lingual surface. Tip and torque angulations were not ideal. A similar philosophy
was used to design the Kurz Lingual Appliance. A site was selected on the lingual
surface of each tooth. It was consecutively transferred from the lingual first molar, as
high as it could go, without missing the rounded lingual anatomy. Reciprocal tip and
torque values to Andrew’s published values were used to establish the prescription.
There was no grand procedure used in obtaining the reciprocal lingual reference of
angles with regard to Andrew’s published values. It was a simple matter of mathemati-
cally milling a hundred molds to a constant labial vertical.
 -. Locking of the molars to the lingual attachment was
thought to give greater appliance control.
 -. Topographical illustration used to study the
lingual dental anatomy for the purpose of construction of
lingual appliance bases.
 
 -. Frontal view of the lingual bracket designed for
the maxillary anteriors.
The in-out values varied dramatically between the anterior and posterior segments.
To adjust for this with bracket design alone would make the anterior brackets thicker
than is reasonable, so a true straight wire was not feasible. A first order bend was
placed at the junctions of the canine and premolar, and the premolar and molar.
These wires could be prefabricated in the laboratory.
8. Wire Placement
Access for the placement of wires in the molar tubes from the lingual was limited. The
tubes were redesigned by widening the mesial aperture of the slot of the first molar
bracket, creating a funnel effect (Figure 1–18).
 -. Widening of the mesial aperture to provide ease
of wire insertion.
Lingual Orthodontics: Historical Perspective 
9. Ligation
To permit stable ligation with ligature wires or A elastics, ligature locking grooves that
are both deep set and easy to hook have been designed. When teeth are crowded and
slot engagement is especially difficult, a vertical slot is provided so the archwire can
be attached to the bracket even through the initial stages of leveling and aligning
(Figure 1–19). A double over-tie with metal is used when a tooth is to be an attach-
ment for anchorage or rotation of the other teeth.
10. Attachments
A gingival hook is an integral part of the bracket and provides rotational control. The
original hook was large and in close proximity to the gingival margin, impeding access
for hygiene. This hook was redesigned with a lower profile and moved away from the
gingival margin.
From Generation #1 to Generation #7—A Summary of Progress
GENERATION #1—1976
The first Kurz Lingual Appliance was manufactured by Ormco. This appliance had a
flat maxillary occlusal bite plane from canine to canine (Figure 1–20). The lower incisor
and premolar brackets were low profile and half-round (Figure 1–21), and there were
no hooks on any brackets.
GENERATION #2—1980
Hooks were added to all canine brackets (Figure 1–22).
GENERATION #3—1981
Hooks were added to all anterior and premolar brackets. The first molar had a bracket
with an internal hook. The second molar had a terminal sheath without a hook but
had a terminal recess for elastic traction (Figure 1–23).
 -. Generation #1—1976.
Flat maxillary occlusal bite plane from canine to canine.
 
GENERATION #4—1982–84
This generation saw the addition of a low profile anterior inclined plane on the cen-
tral and lateral incisor brackets. Hooks were optional, based upon individual treat-
ment needs and hygiene concerns (Figure 1–24 and 25).
GENERATION #5—1985–86
The anterior inclined plane became more pronounced, with an increase in labial torque
in the maxillary anterior region. The canine also had an inclined plane; however, it
was bibeveled to allow intercuspation of the maxillary cusp with the embrasure between
the mandibular canine and the first premolar. Hooks were optional. A transpalatal bar
attachment was now available for the first molar bracket (Figure 1–26 to 28).
 -. Generation #1—1976.
The lower anteriors and premolars had low profile, half-round brackets.
There were no hooks on any brackets.
 -. Generation #3—1981. Hooks were
added to all anterior and premolar brackets.
 -. Generation #2—1980.
Hooks were added to all canine brackets.
Lingual Orthodontics: Historical Perspective 
GENERATION #6—1987–90
The inclined plane on the maxillary anteriors become more square in shape (Figures
1–29 and 30). Hooks on the anteriors and premolars were elongated. Hooks were
now available for all the brackets. The transpalatal bar attachment for the first molar
band was optional. A hinge cap, allowing ease of archwire manipulation, was now
available for molar brackets.
 -  . Generation #4—1982–84. Additional of a low profile anterior inclined plane
on the central and lateral incisors. Hooks were optional.
 -  . Generation #5—1985–86. The anterior inclined plane was more pronounced,
Upper Central
Torque: +68°
Angulation: +5°
Rotation: 0
In–Out: 0
Slot size: .018
Pad: Special lingual design
Upper Cuspid
Torque: +55°
Angulation: +12°
Rotation: 0
In–Out: .010
Slot size: .018
Pad: Special lingual design
 
GENERATION #7—1990 TO PRESENT
The maxillary anterior inclined plane is now heart-shaped with short hooks. The
lower anterior brackets have a larger inclined plane with short hooks. All hooks have
a greater recess/access for ligation. The premolar brackets were widened mesiodistally
and the hooks were shortened. The increased width of the premolar bracket allows
better angulation and rotation control. The molar brackets now come with either a
hinge cap or a terminal sheath (Figures 1–31 and 32).
 -. Generation #5—1985–86. A transpalatal bar attachment
was now available for the first molar bracket.
 -  . Generation #6—1987–90. The inclined plane on the maxillary anteriors became more square in shape.
Hooks were elongated and were available for all the brackets.
Ball hook
Ball hook
Bracket slot
for archwire
Bracket
slot for
archwireBracket
Bracket
Lingual Orthodontics: Historical Perspective 
Bibliography
Alexander RG. Lingual orthodontics. In: The Alexander Discipline. Ormco Corporation, 1986;
13:371–430.
Andrews LF. The straight wire appliance: syllabus of physiology and techniques. 2nd Ed., USA,
1975.
Fillion D. Orthodontie linguale et Mini-Plaques, esthetique et confort dans les traitments chirur-
gio-orthodontiques. L`Information Dentaire n 20 du 17 mai 1990.
Gorman JC. Treatment with lingual appliance: the alternative for adult patients. Int J Adult
Orthod Orthognath Surg 1987;2:131–149.
Gorman JC, Kurz C, Smith JR. Lingual orthodontics, cases, principals and practice. 3-hr.
Videotape produced by Ormco Corporation, Glendora, California.
Gorman JC, Kurz C, Smith JR. Lingual case reports. J Clin Orthod 1983;17:5.
Gorman JC, Kurz C, Smith JR. Lingual mechanotherapy. J Clin Orthod 1983;17:2.
Gorman JC, Kurz C, Smith JR, Dunn RM. Keys to success in lingual therapy. J Clin Orthod
1986;20:4–5.
Gorman JC, Smith JR, et al. Lingual orthodontics, a status report. J Clin Orthod 1982;16:4.
Kurz C. Lingual orthodontics. In: Marks M, Corn H, eds. Atlas of adult orthodontics.
Philadelphia, London: Lea & Febiger, 1989.
Kurz C, Bennett R. Scientific report. J Am Ling Orthod 1988;1:3.
Smith JR. Twelve key principles for lingual orthodontic therapy. J Am Ling Orthod 1988;1:2.
 -  . Generation #7—1990–present. The maxillary anterior inclined plane is
heart-shaped with short hooks. The lower anterior brackets have a larger inclined plane with short hooks
and all hooks have a greater recess/access for ligation.
Ball hook
Bracket slot
Bracket
Ball hook
Bracket
slot for
archwire
Bracket

During the evolution of lingual appliance therapy, the technique has moved in and
out of public and professional favor. Over the years, the appliance and the techniques
have been improved dramatically and, as a result, a reliable system has emerged. It has
now undergone many years of clinical experience and has been shown to consistently
produce satisfactory results.
Esthetic concerns were initially responsible for the development of the appliance
system and they continue to remain at the forefront for a significant segment of
patients seeking orthodontic treatment. Appearance is undoubtedly the most impor-
tant motivating factor for adults whether it is termed “facial appearance,” “dental
appearance,” or “straight teeth.”
Research has shown that physically attractive people achieve higher levels of
success in many aspects of life than unattractive people.3
This advantage starts at birth
and continues into adulthood. The added positive attention given to attractive indi-
viduals by teachers and peers, for example, can have profound effects on personality
development and self-image. Improvement in one’s physical appearance, as is common
with orthodontic treatment, can positively affect social and professional interactions.1–9
At the same time, deterioration in one’s physical appearance, as with the use of unat-
tractive labial orthodontic appliances, can negatively affect one’s self-esteem. This is
particularly true during the formative years of adolescence and young adulthood.
Many patients, if given the choice, would opt for an appliance that was not visible,
provided the course of treatment and the quality of the results were the same as with a
conventional treatment. This service offered in the private orthodontic office allows
the patient several treatment options, and provides the orthodontist with a competitive
advantage over colleagues not offering the option of lingual appliances.
Advantages and Disadvantages of Lingual Therapy
One of the most significant drawbacks to lingual therapy appears to be the discomfort
to the tongue, and with it, difficulty in speech, both of which usually improve after 2
to 3 weeks of appliance placement. Also, the sensitivity of the laboratory techniques
and the extended chairtime needed for appliance placement and adjustments have
made the treatment prohibitively expensive for many patients.
However, lingual treatment has obvious advantages over labial treatment. The
labial enamel surface of the anterior teeth plays an important esthetic role. By placing
labial appliances, the susceptibility of this enamel surface to chemical insults from
etchant materials and to environmental influences from plaque accumulation in
patients with poor oral hygiene is increased. Permanent and unsightly decalcification
marks can result. Lingual appliances allow easy access for routine oral hygiene proce-
dures on these labial surfaces. Additionally, the self-cleansing nature of the stomatog-
 
Present Clinical Reality
MASSIMO RONCHIN, MD, DDS
 
nathic system is maintained. Clinical judgment of treatment progress can be
enhanced. Evaluation of individual tooth positions can be easily accomplished by hav-
ing the labial surfaces free of distracting metal or plastic brackets. Soft tissue responses
of the lips and cheeks to treatment can be judged accurately because there is no distor-
tion of shape or irritation caused by a labial appliance.
Four distinct situations exist where lingual appliances may be more effective than
labial appliances because of their unique mechanical characteristics. These include:
1. Intrusion of anterior teeth.
2. Maxillary arch expansion.
3. Combining mandibular repositioning therapy with orthodontic movements.
4. Distalization of maxillary molars.
1. Intrusion of Anterior Teeth
The biomechanics of lingual techniques differ considerably from labial biomechanics.
Both arch circumference and interbracket distance are reduced, requiring lighter force
application for tooth movement.5–9
Lingual bracket position, which is dictated by the morphology of the lingual surface
of the tooth, places the bracket closer to the center of resistance of the tooth than is
found with labial bracket placement (Figure 2–1).10
An important clinical implication
of this unique bracket position and design is that the intrusive force vector is directed
 -. The center of resistance of the tooth is
located closer to the lingual bracket.
Present Clinical Reality 
through the center of resistance of the tooth. As the mandibular anterior dentition
occludes with the anterior horizontal plane of the maxillary anterior brackets, a bite
plane effect results. Since the appliance is bonded, the bite plane is always present.
The net effect appears to be a light, continuous, intrusive force. In addition to these
active intrusive forces on the anterior dentition, a passive extrusion occurs in the pos-
terior segments. Deep-bite correction through this passive increase in posterior vertical
dimension and active decrease in anterior vertical dimension occurs quickly and easily.
Malocclusions requiring open-bite correction obviously would not benefit from this
technique. To prevent the passive extrusion of the posterior segments in these patients,
acrylic posterior overlays are used.
Figure 2–2 shows the intrusive effect of the appliance in correcting a severe dento-
alveolar deep bite in a 38-year-old female. This patient had a class II occlusion with a
skeletal and dental deep-bite pattern and severe crowding in both arches. The maxil-
lary dental midline looked deviated towards the left-hand side because of the extreme
Class II relationship on that side (Figure 2–2a). Partial lingual appliances were placed
in both arches (Figures 2–2b and c). As with labial bracket placement, ideal placement
 -. The very severe deep-bite occlusion of the patient,
before treatment.
 -. Occlusal view of the mandibular arch, just after
the partial lingual bonding; the molars were banded afterwards.
 -. The upper arch, just after the initial partial
lingual bonding.
 -. Frontal intraoral view, three months after
starting lingual mechanics.
 
is not always possible at initial bonding due to the severity of the malocclusion, so
appliances should be repositioned during treatment when it becomes possible. Figure
2–2d shows the treatment progress three months after appliance placement, and
Figure 2–2e shows the final occlusion. Total treatment time was 15 months.
Deep-bite correction was facilitated by the active anterior intrusive forces and the
passive posterior extrusive forces. The correction was stabilized by prosthetic restora-
tions in the posterior segments.
2. Maxillary Arch Expansion
With some kinds of malocclusions we are occasionally faced with the need to expand
the upper arch both transversally and sagittally. It is not yet totally clear why but, clin-
ically, we obtain more remarkable dentoalveolar expansions through lingual mechanics
than through labial mechanics.11–12
 -. The occlusal situation six months after the end
of the treatment.
 -. Profile view of the patient,
before treatment.
Present Clinical Reality 
Some possible reasons are:
1. The force which is developed is of a centrifugal type, from the inside towards
the outside of the arch. The same occurs with the Quad-Helix and the Rapid
Palatal Expansion (RPE) devices.
2. Some authors point out that the thickness of the brackets, which interpose
themselves between the tongue and the lingual wall of the teeth, can con-
tribute to this expansive effect.7–9
3. It is even likely that the shorter interbracket distance may play a significant
role in this effect.5
In fact, by using this method, not only is the expansive effect so evident but also
the teeth do not become too labially tipped.10
The tooth movement probably takes
place without incurring a significant labial inclination because the application point of
 -  . Lower and upper occlusal photographs, before treatment.
 
 -‒. Right and left intraoral views, during the initial phases of mechanics, after the extraction of the first lower molars.
 
 
the force is more palatal than the center of resistance of the tooth.
The following case shows a 30-year-old female who had a Class III occlusal rela-
tionship with a prognathic profile and a protruding lower lip (Figure 2–3a), an anterior
cross-bite of several mandibular teeth, upper arch contraction, and a total lack of
space for the lower left central incisor which was lingually placed and completely hid-
den by the adjacent incisors (Figures 2–3b and c).
Since it was a Class III malocclusion, the upper arch underwent a nonextraction
treatment. The lower arch was treated with extraction of the first molars to gain more
space to solve the crowding and to achieve more successful intercuspation. The upper
third molars would subsequently be extracted (Figures 2–3d and e). Lingual braces
were bonded to the upper arch with an initial Twist-Flex type archwire (Figure 2–4a).
Four months later, the extent of the dentoalveolar expansion obtained is quite
 -. The upper arch (occlusal view), just after placing
the first superelastic Twist-Flex type archwire.
 -. The upper arch (four months after Figure 2–4a),
with a rectangular wire. Notice the amount of the transverse
and sagittal expansion.
 -. The patient’s profile after treatment.
Present Clinical Reality 
remarkable, both transversally and anteriorly (Figure 2–4b). Further expansion was
achieved with a rectangular archwire. The results show substantial improvement in the
patient profile and occlusion (Figures 2–4c and d).
3. Combining Mandibular Repositioning Therapy with
Orthodontic Movements
When patients have temporomandibular dysfunction (TMD), it is often necessary to
treat in two distinct clinical phases. The initial phase of treatment addresses the TMD
and associated pain symptoms. It is often accomplished with splint therapy until the
muscle and joint symptoms resolve. Depending on the practitioner, the patient is then
maintained, symptom free for a period of time from several months to more than a
year. The second clinical phase of treatment addresses changes in the occlusion as a
result of the new mandibular position. It generally involves orthodontics, prosthodon-
tics, and/or orthognatic surgery.
The orthodontic phase of treatment is often tedious and time consuming. Often,
labial appliances are placed on one arch, and a positioning splint is kept on the oppos-
ing arch to maintain the maxillomandibular relationship. This is then reversed with
appliances placed on the opposite arch and a splint fabricated for the opposing arch.
Obviously, treatment times can be significantly extended.
 -. Frontal intraoral view at the end of treatment.
 -. Left intraoral view during the last phases of the
Class II mechanics.
 
The lingual appliance system allows both arches to be treated simultaneously,
while maintaining the effects of the splint. The anterior occlusally oriented inclined
plane functions as a bite plane. As seen previously, this device has an active intrusive
effect, while allowing passive eruption of the posterior segments. Many patients with
TMD require stability with anterior and posterior contacts on their splint. For these
patients to remain comfortable, this relationship must be maintained during orthodon-
tic treatment. Flat acrylic minisupports can be added to the first and/or second molars,
producing a tripod effect. This combination of anterior bite plane and posterior
acrylic supports can simulate the action of the conventional splint, thereby allowing
treatment to progress simultaneously in both arches. The supports can be flat, thereby
helping the Class II elastics (Figure 2–5), or they can be fabricated with some occlusal
indentations which can guide the mandible into the desired position.12–14
Figures 2–6


 -  . Frontal, right, and left intraoral photos, before treatment.

 -. Frontal view of the occlusion, with the upper splint.
The midlines are centered, and the mandible is slightly advanced.
Present Clinical Reality 
and 7 demonstrate the use of the lingual appliance in treating patients with TMD.
This 18-year-old patient presented some TMD signs and symptoms and a history of
past orthodontic extraction treatment. She had an early reciprocal clicking in the left
TMJ and also suffered from muscular hyperactivity. Both the right and the left masseter
muscles and the anterior belly of the left temporal muscle felt tender to palpation. She
had mild to moderate anterior crowding, a Class I canine and molar relationship on
the right, an end-on Class II canine and molar relationship on the left, normal overjet,
and an increased overbite (Figures 2–6a to c). A mandibular repositioner was fabricated
and worn until her TMD symptoms disappeared (Figure 2–6d) and she was main-
tained symptom free for four months before orthodontic treatment was initiated. The
lower arch was then bonded (Figure 2–6e). Two months later the upper splint was
 -. The patient, wearing the splint, is maintained
in the same therapeutic position. The lower arch is fully bonded.
 -. The upper arch, after the expansion, with a full size
rectangular archwire. The acrylic repositioning build-ups on the
first molars are visible.


 -  . Frontal, right, and left intraoral views, a few weeks after treatment is completed.

 
removed, the maxillary arch bonded, and flat acrylic supports were placed (Figure
2–6f). These two posterior elevations, combined with the bite plane effect of the ante-
rior brackets and the Class II elastics allow mandibular repositioning while also allow-
ing orthodontic treatment to progress. Figures 2–7a to c show the finished case several
 -. The center of resistance of the second
upper molar is located in correspondence with the palatal root
(see the yellow dot), close to the lingual wall.
 -. During the second stage, the distal movement
of the buccal roots takes place very easily.
 -. The distal movement takes place quite bodily; only
later can a slight buccal rotation be observed.
 -. For the second stage, a buccal sectional
archwire can be used.
 -. A doubled Class II elastic (lingual and buccal)
is very effective for the retracting mechanics.
Present Clinical Reality 
months after debonding. The patient remained symptom free. This is an interesting
aspect of lingual appliance therapy that warrants consideration.
4. Distalization of Maxillary Molars
Lingual brackets are placed closer to the center of rotation (CR) of the tooth than
labial brackets. It is possible that molar distalization through lingual techniques pro-
 -. Profile view before treatment.
 -. Frontal view of the malocclusion before treatment.  -. A round archwire is initially used in the upper arch.
 -  . The anterior bite effect of the lingual braces and the acrylic posterior minisupports.
 
 
duce more bodily movement of the tooth and less distal tipping. Because of the angu-
lation of the multiple roots of maxillary molars, the center of resistance is found just
lingual to the average long axis of the roots (Figure 2–8a). In this example of a second
molar being distalized with the use of an open coil spring, lingual and labial tech-
niques are sequentially employed. Figure 2–8b shows the force being applied from the
lingual surface; here the CR is found in the palatal root. In fact, a rather bodily distal
migration takes place. Afterwards, a labial force (Figure 2–8c) can very easily correct
the rotation. Bodily movement is the most efficient form of tooth movement.
Clinically, this can be accomplished by placing an open coil spring between the first
and second molars. To counteract the mesial displacement of the first molars, a verti-
cal loop is placed against the lingual twin bracket (Figure 2–9a). For derotating the
second molar and continuing to distalize the tooth, two buccal brackets and a section-
al archwire can be placed. This will allow Class II elastics to be used on both the buc-
cal and lingual aspects (Figure 2–9b). The balance of these forces counteracts the rota-
tional forces.
As an additional case, we present the 20-year-old female in Figures 2–10 to 13 who
presents a rather retrusive chin (Figure 2–10a). We are faced with a Class II deep bite
 -. An Australian archwire (.016 inches),
producing a 20-toe-in, and two horizontal round
loops is used during the last stage.
 -. Profile of the patient at the end
of treatment.
 -. The Class II mechanics at the final phase of
the treatment.
Present Clinical Reality 
malocclusion with a slight anterior crowding (Figure 2–10b). At first, only the maxil-
lary arch was lingually bonded, with the purposes of alleviating the crowding, intrud-
ing the anterior group, and expanding the maxillary arch (Figure 2–10c). Some poste-
rior acrylic minisupports are noticeable in the intraoral lateral photographs (Figures
2–10d and e). As previously described, these supports tripodize the occlusion through
an anterior contact on the brackets and through posterior contacts on the flat elevations
and produce an anterior mandibular displacement during the use of Class II elastics.
In addition, this distribution of the occlusal load is comfortable for the patient. After
having banded the lower arch, Class II mechanics was applied (Figure 2–10f). In the
upper arch, a lingual archwire can be used (Figure 2–11). In Figure 2–12 we see a
remarkable improvement in the patient’s profile at the end of treatment. Her chin
looks more advanced and her lips are more harmonious. We successfully obtained a
full Class I occlusal relationship and the anterior deep bite was corrected (Figure 2–13).
In today’s clinical orthodontic practice, the lingual appliance can offer many
advantages over the labial appliance to both the patient and the practitioner. Enamel
surfaces are protected, some treatments (such as deep bite correction) can occur faster,
molar distalization appears to take place more efficiently, and TMD patients can pro-
ceed with orthodontic treatment in a timely manner.
References
1. Alexander CM, Alexander RG, Gorman JR. Lingual orthodontics: a status report, part 1.
J Clin Orthod 1982;16:255–262.
2. Alexander CM, Alexander RG, Sinclair PM. Lingual orthodontics: a status report, part 6:
patient and practice management. J Clin Orthod 1983;17:240–246.
3. Breece G, Nieberg L. Motivations for adult orthodontic treatment. J Clin Orthod 1986;
3:166–171.
4. Bercheid E, Walster E, Bohrnstedt G. Body image. Psychol Today 1973;7:119–131.
5. Fujita K. New orthodontic treatment with lingual brackets and mushroom arch wire appli-
ance. Am J Orthod 1979;76:657–675.
6. Genone B, Siciliani G. Trattamenti ortodontici a collocazione linguale. Mondo Ortodontico
1984;3:14–27.
7. Gorman JR, Hilgers JJ, Smith JR. Lingual orthodontics: a status report, part 4: diagnosis and
treatment planning. J Clin Orthod 1983;17:26–35.
 -. The occlusal result.
 
8. Kelly VM. Interviews on lingual orthodontics. J Clin Orthod 1982;16:461–476.
9. Kurz C, Gorman JR. Lingual orthodontics: a status report, part 7: case report. J Clin Orthod
1983;17:310–331.
10. Nidoli G. Lingual technique under the biomechanical and aesthetical point of view.
Proceedings and abstracts: I. Congress of the European Society of Lingual Orthodontics,
Lido di Venezia, June 18–20, 1993.
11. Ronchin M, Oddini Carboni S, Dessi S. Nuovi Orizzonti terapeutici con la biomeccanica lin-
guale. Proceedings of the V Giornate Mediterranee di Odontoiatria, Naples, February 26–28,
1983.
12. Ronchin M. Present horizons and a future outlook on lingual approach. Proceedings and
Abstracts: First Congress of the European Society of Lingual Orthodontics, Lido di Venezia,
June 18–20, 1993.
13. Ronchin M. Aesthetics with lingual orthodontics: resolving class II malocclusions with molar
distalisation. Pract Perio Aesthet Dent 1994;6:51–58.
14. Siciliani G. Ortodonzia Linguale. Milano, Italy: Masson. 1992.

Lingual orthodontics is a viable option in a modern orthodontic practice. In 1979,
when Drs. Kurz and Fujita first began experimenting, appliances and techniques were
in their infancy. Today, modern, well-developed appliances, laboratory procedures, and
treatment mechanics are available. Doctors have the ability to include lingual appli-
ances in the treatment plans of their patients, and assure exceptional results with con-
fidence. Problems like prolonged treatment times and compromised results are similar
to those with treatment with labial appliances by an experienced practitioner and, as
with any technique, can be overcome with an accumulation of experience.
Today’s practitioner must find a way to treat his lingual patients without disrupt-
ing his practice. In fact, these lingual patients should enhance an already thriving
practice and revive a dwindling one. The article will provide a clear and precise expla-
nation of how we practice lingual orthodontics in our office, how lingual patients
affect the practice of labial orthodontics, and what one can do to avoid problems dur-
ing his early lingual experience.
The Clinical Experience
All patients are treated the same way during their initial examination. After viewing
a video tape which has been mailed to them prior to the first appointment, patients
arrive at the office with some of their questions already answered and a familiarity
with our office and procedures. The appropriate forms are then completed, a high-
quality panoramic radiograph is taken and developed, and intraoral and extraoral
video images are captured. The patient is then invited to the consultation room.
Meanwhile, a preliminary diagnosis is made using the radiograph, and the video
images. Different treatment options are considered including extractions, orthosurgery,
and labial or lingual treatment. All the mechanical advantages of lingual treatment (in
treating deep-bites, cross-bites, and expansion), and disadvantages (in treating open-
bites or high angle cases) are carefully evaluated for that specific clinical case.
After the preliminary diagnosis is made, the clinician enters the consultation room
where all the clinical, radiographic, and visual aids are prepared. If lingual appliance
treatment is one of the options and the patient wants to be treated this way, a separate
appointment is made to complete the records. An extra set of impressions is made and
poured immediately in a pink stone. A face bow transfer is also made so the models
can be properly mounted. Using all records, the diagnosis and treatment plan are
finalized. The proper laboratory prescription for the appliances is prepared, and two
weeks later the patient is scheduled for the initial bonding. During the two weeks fol-
lowing the impressions, it is critical that no tooth movement takes place as this would
 
Lingual Orthodontics in a
Labial Orthodontics Office
J. COURTNEY GORMAN, DDS, MS
 
ruin the accuracy of the indirect bonding. This means no separators, no extractions, and
no heavy cleaning. The last item should have been accomplished prior to the impres-
sions, and the first two items should be completed after the initial bracket placement.
Appliance Placement
The bonding procedure for the initial bracket placement is as follows:
1. Paint all of the brackets with the bracket-side portion of the bonding adhesive.
2. Microetch the lingual surface of all teeth to be bonded.
3. Isolate one-third of the dental arch. (Some clinicians may prefer to bond the
entire arch simultaneously.)
4. Acid etch the teeth for 20 to 30 seconds.
5. Rinse each tooth for 20 seconds.
6. Dry the teeth with an air syringe. At the same time use a hair dryer to displace
the moisture from the breath.
7. Paint the teeth with the tooth-side portion of the adhesive.
8. Reapply the bracket-side portion of the adhesive.
9. Fully and firmly seat the bonding tray and hold in place for one minute.
10. Repeat procedures 3 to 9 for the remaining segments.
11. Remove the hard shells of the bonding trays.
12. Using a sharp scaler, remove the soft undertrays.
After the bonding procedure is complete and before removal of the isolation, each
bracket is checked by pulling on it with an elastic. If there is a failure, cut the section
of the tray from which that bracket came into a single-tooth tray, discard the hard
shell and place the bracket back into the single-tooth soft tray, microetch the bracket
and tooth, reapply bracket side adhesive to the bracket, acid etch the tooth, rinse the
tooth, reapply tooth side adhesive, reapply the bracket side adhesive, seat the tray,
hold for two minutes and then remove the tray. It is advisable to retain the soft trays
for any future repairs. In cases with a porcelain jacket crown, the crown should be
conditioned with a porcelain etchant for four minutes and then rinsed. Apply some
normal etchant to the crown and blow off the excess followed by the silane primer
(it is important not to skip the etch as the acid activates the silane). Now apply the
adhesive bond to the bracket and bond it to the crown.
Before placing the initial archwires, the clinician must first determine which teeth
are to be engaged. Elastic chains are placed over the brackets on each of those teeth.
The chain is precut into two- or three-unit sections. Then, using a hemostat, it is
stretched over the brackets with the extra lumen pointing towards the gingiva. The
initial wires are then bent using a 1:1 photograph of the original malocclusion as a
guide. In most cases this wire will be a .0175 Respond wire (Ormco). When the proper
shape and length have been achieved, the distal ends are slid into the hinge caps or
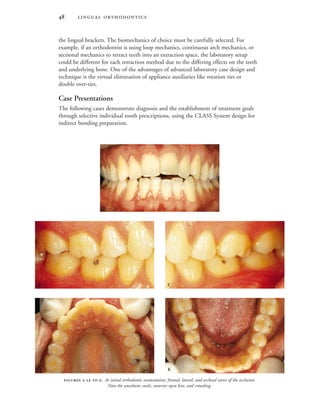
tubes. The wire is then engaged into one of the anterior brackets, and the chain is
pulled back over the bracket so that a single lumen now encircles the archwire, form-
ing the double over-tie. Now with the wire stabilized, the rest of the brackets can be
engaged and the distal ends trimmed.
The patient is instructed how to care for their appliances and instructed on the
use of wax to prevent ulceration of the tongue. At this time it is important to encourage
the patient and assure him or her that the function and speech will return to normal.
Lingual Orthodontics in a Labial Orthodontics Office 
The patient is then reappointed for a 40-minute visit approximately eight weeks later.
If there are teeth to be banded, wire separators are placed before the patient is dis-
missed and is reappointed one week later for the banding.
Forty-minute appointments are scheduled during the course of treatment for wire
changes, adjustments, or single-tooth bonding or banding. Changes of power products
or checks of elastic wear are scheduled for 20-minute appointments. At each appoint-
ment the assistant first checks the patient for any loose or broken appliances. If there
are none, she proceeds with the removal of the archwire to be adjusted or replaced.
This information should be noted in the chart and the doctor can now examine and
confirm the treatment noted in the chart. If any changes are to be made they can be
initiated now. Any adjustments to the wire can also be made at this time. The assistant
then reinserts the archwire (usually only one wire is adjusted during a single appoint-
ment) and applies any necessary power products.
Treatment Sequences (Extraction and Nonextraction)
After the appliances have been placed, the initial archwires are added. These are typi-
cally .0175 Respond (Ormco) arches. In nonextraction cases, the wire will engage all
the posterior teeth; in extraction treatment, it will form a sectional arch engaging only
those brackets anterior to the extraction sight. Minimal movement is expected from
these first wires. Their main purpose is to fill the space while the patient becomes
accustomed to the new appliances.
In nonextraction cases with crowding, the second arch is .016 TMA (Ormco)
wires with advancement loops (U-shaped loops which are compressed when fully
engaged) anterior to the first or second molars. These wires use the energy stored in
the compressed loops to expand the arch in an anterior direction. Full engagement of
the teeth can take place after sufficient space has been created. At this point rotations
can be corrected. After initial leveling and correction of rotations, a square or rectan-
gular wire is used to continue the leveling process and to torque any teeth in need.
The wire of choice is usually a .0175 × .0175 TMA (Ormco). This wire enables full
engagement of all brackets to complete the leveling and establish necessary torque.
In simple nonextraction treatment in which the patient maintains a Class I buccal
segment, this wire can be the final archwire. In cases requiring elastics, the square
TMA archwire should be followed by a .017 × .025 stainless steel archwire with
tiebacks in the mandible to ensure arch stability during elastic use. In the maxilla, a
.016 × .022 stainless steel archwire with a Curve of Spee is usually adequate to main-
tain arch integrity. After a Class I occlusion has been achieved, the patient is ready for
final detailing which can be done with a .016 stainless steel archwire.
In extraction treatment, the second arch is also a .016 TMA but without advance-
ment loops. Once again, only those teeth readily engaged are ligated. After initial
alignment, the TMA wire is removed, and a .016 × .022 stainless steel wire is bent
and placed in the mouth, engaging as many brackets as possible. The posterior seg-
ments are figure-eighted together using a steel ligature. Wire ligations are used on the
cuspids, and a power tube is tied in a figure-eight from the cuspids to the second
bicuspids. The cuspids are retracted until adequate space is available to completely
align the anterior segment. At this time, it is important to avoid complete retraction
of the cuspids as this will interfere with en masse retraction of the anterior segment.
After initial cuspid retraction, the original .016 TMA arch is replaced, and all brackets
 
are fully engaged. This wire is used in conjunction with rotation ties until all rotations
have been corrected. To develop torque and to continue leveling, a .0175 × .0175
TMA is placed. In the maxilla, it is common to follow this wire with a .017 × .025
TMA to achieve adequate torque.
When the dentition is fully leveled and aligned space closure is begun, .016 × .022
stainless steel archwires with a Curve of Spee in the maxilla arch and a reverse curve in
the mandibular arch are used. The anterior segments are figure-eighted together using
a steel ligature. Power tubes and power chains are then placed from cuspid to second
bicuspid to supply the necessary force for space closure (sliding mechanics). It is
important to figure-eight the segments so the power products can be used over the
shortest possible distance. Failure to do so can result in unwanted bowing of the dental
arches in both the vertical and horizontal planes. Once all of the space has been closed,
the patient can be prepared for elastics by placing a .017 × .025 stainless steel archwire
with omega tiebacks in the mandible. In the maxillary arch, figure-eight and power
products can be removed and brass electrodes soldered to the wire to act as tiebacks.
When a Class I occlusion has been achieved, .016 stainless steel finishing arches
can be placed. These wires should also have some type of tieback to ensure that no
spaces reopen. If the buccal segments do not have maximum interdigitation at this
point, a tooth positioner can be utilized. While a tooth positioner is very effective for
“socking in” an occlusion, they are inadequate to complete space closure or for correc-
tions of anterior positions. Four weeks after the delivery of the positioner, impressions
for retainers are made. Clear overlay retainers are used. They are excellent for retaining
alignment and provide exceptional esthetics.
Practice Promotion
Lingual appliances give the orthodontist a distinct competitive advantage. There are
many individuals who need and desire orthodontic treatment but are not willing to
wear conventional appliances. Many of these patients have gone for years hiding their
smiles and neglecting their oral health. By offering them treatment with lingual appli-
ances, the orthodontist provides a valuable and unique service. Many lingual patients
are high-profile individuals. While they are willing to pay a premium for their lingual
braces that others cannot see, they also openly discuss their treatment with their
friends, colleagues, relatives, and sometimes even strangers. They can become great
referral sources and goodwill emissaries for your practice. Referring dentists will also
appreciate that you are able to provide their patients with a service that the other
orthodontists cannot. They will be more likely to refer more of their patients to a full
service orthodontist.
Before the practice benefits from these and other advantages that lingual ortho-
dontics brings, it is important that the staff and the orthodontist feel confident and
comfortable with the lingual technique. The first step is to attend a complete
typodont course during which a step-by-step method to treat lingual cases is taught.
Once the orthodontist and his staff have achieved a high level of clinical proficiency,
the lingual patients can be incorporated into the normal schedule. They can be treated
side by side with the labial patients. Other than allowing adequate time, there are no
other special requirements for these patients.
Lingual Orthodontics in a Labial Orthodontics Office 
Conclusion
Lingual braces have been and are a viable treatment option. With these appliances the
practitioner can achieve excellent results while providing his or her patients with a
unique and valuable service. To successfully incorporate lingual patients into a labial
practice the doctor and staff must develop the skills to successfully treat these patients.
Then the treatment must be presented in such a way that the prospective patient will
be receptive. This includes having models with lingual braces, having a treatment
coordinator who believes in the treatment, and encouraging patients when lingual
appliances are the better option. Having appropriate fees is also important to your
practice. Lingual patients require approximately 25% more chairtime for the same
treatment. Thus, a premium should be added to the usual fee. We add approximately
27% for the first arch and an additional 20% for the second arch. In this way both
the additional laboratory expense and chairtime are covered. If the practitioner will
make the commitment to make lingual orthodontics a part of his or her practice, the
practice will grow.
 Enhanced Facial Esthetics
using Kurz Lingual Appliance . . 
Craven Kurz
 Advanced Lingual Prescription:
Technique and Design . . . . . . . 
Robert Baker Jr.
. Shape Memory Wires in
Lingual Orthodontics . . . . . . . . 
Christian Demange
. Wire Sequencing in
Lingual Orthodontics . . . . . . . . . 
H. Stuart McCrostie
 Instruments Used in
Lingual Orthodontics . . . . . . . . . 
Craven Kurz
SECTION 2
Basic Principles

A primary reason a patient seeks orthodontic treatment is to improve facial esthetics
(Figure 4–1). A lingual appliance and bite plane may be used specifically to achieve
this goal. The success of the orthodontic treatment is directly related to how attractive
the patients find themselves after treatment, especially since the vast majority of lingual
orthodontic patients are in careers that involve a public image. The traditional cephalo-
metric models leave much to be desired as a direction to follow to obtain facial beauty.
Studies of contemporary fashion models, movie stars, and beauty contest winners indi-
cate that a much fuller profile than the conventional 1900s ideals is more popular
with today’s public. Face studies made by Sassouni indicate that facial beauty is related
to protrusive faces with a straight line relationship between the maxilla and mandible
in well-balanced faces. Articles by Liddle, Luzi, Eirew, McNamara, and Moyers
demonstrate that the maxilla is usually in the proper A-P position in the skull and in
harmony with its biological environment. It rarely protrudes in any malocclusion,
regardless of how much the dental overjet is. Thus, the use of backward-pulling head-
gear of Class II elastics and/or bicuspid extractions would result in poor esthetics if
used to try to fit a normal maxilla to a retruded mandible.
Bite Plane
An upfront, full smile always attracts attention. Dr. Grant Bowbeer had found that
a bite plane in combination with labial orthodontic appliances helps to expand the
 
Enhanced Facial Esthetics
using Kurz Lingual Appliance
CRAVEN KURZ, DDS, PhD
 -. Michelangelo’s faces in balance with today’s contemporary
beauty analysis.
 
maxilla and consequently, to achieve an esthetic occlusion. The inclined plane in the
upper incisor lingual brackets was designed for the purpose of avoiding shearing forces
and subsequent debonding of the maxillary brackets. However, if used properly, it can
also achieve correct positioning of anterior teeth in the optimal esthetic A-P and lateral
positions.
The esthetic advantages of the bite plane are:
1. It can be used as a functional appliance to facilitate the unlocking of a retruded
mandible.
2. It can help expand the arch. This is a clinical observation and the possible
explanations are elimination of posterior contacts or decrease in the lateral
space in the palatal vault (Figures 4–2a to c).
3. It helps extrusion of posterior segments and intrusion of lower incisors in deep
bite cases, giving the lower lip better support from the lower incisor and bal-
ance with the maxillary lip in closure (Figures 4–3a and b).
4. Easier translation of teeth around the arch when the midline is off centered
due to the smooth contact with the flat metal plate on the incisor brackets.
 -  . Maxillary arch expansion: occlusal view before, during, and after lingual treatment.
Note wide horseshoe arch.

 
Enhanced Facial Esthetics using Kurz Lingual Appliance 
Bibliography
Bowbeer GRN. The five keys to facial beauty and TMJ health. The Functional Orthodontist 1985;
2:12–29.
Eirew HL. An orthodontic challenge. Int J Orthod 1976;14:21–25.
Liddle DW. Second molar extraction in orthodontic treatment. Am J Orthod 1977;72:599–616.
Luzi V. The CV value (combines variation) in the analysis of sagittal malocclusions. Am J Orthod
1982;81:478–480.
McNamara JC. Components of Class II malocclusion in children 8–10 years of age. Angle
Orthodontists, 1981;51:177–202.
Moyers et al. Differential diagnosis of Class II malocclusions. Am J Orthod 1980;78:477–494.
 -  . Extrusion of posterior segments and intrusion of lower incisors in deep bite case:
occlusal view before and during lingual treatment.
 

Lingual orthodontics in the 21st century will involve several new innovations, includ-
ing new players in the treatment field, new appliances and auxiliaries, and enhanced
laboratory techniques, design, and communication. Still, the most important aspect of
any labial, lingual removable or functional orthodontic treatment system is, of course,
the thought process of the orthodontist. As all well-trained orthodontists know, any
single orthodontic treatment system can work to move teeth, manage growth, or gain
space; however, even the best system that is poorly thought out and does not use
sound scientific principles can face failure.
In the 20 years since the original lingual appliance was invented, we have been
through seven generations of the original Ormco bracket and approximately a dozen
other bracket designs from other companies. By necessity, treatment mechanics have
been tailored to the available bracket systems. Many treatment philosophies are influ-
enced by edgewise mechanics, Begg and Bioprogressive systems, and the straight wire
system, after which the original bracket was designed. The individual orthodontist must
take responsibility for his or her treatment.
One of the main problems that lingual orthodontists have to overcome is to not
overstandardize treatment plans. Although standardization sometimes can be of some
advantage in streamlining a practice and allowing orthodontists to keep supplies, staff,
and treatment well-coordinated, treatments should stay very case specific with an indi-
vidual treatment modality for each patient. “Cookbook” orthodontics, especially for
lingual treatment, has never worked. A thorough, individual treatment plan must be
formulated, and the type of mechanics to be used must be selected from the very
beginning of treatment. This involves a tooth-by-tooth, individual prescription that
anticipates all positive and negative reactions to the type of biomechanics that the
orthodontist will be using. To achieve such accuracy, a lingual orthodontist must have
intimate knowledge of individual bracket positions over the center of resistance of
each specific tooth and the knowledge of how that will either expedite or impede
treatment goals. This will enhance treatment planning and case progress. Eventually,
treatment time and chairtime can be significantly reduced, and patient comfort and
satisfaction can be greatly increased.
Anchorage must be carefully prepared and developed, using the Tweed method or
others. Parisi (1989) proved that anchorage was enhanced from the lingual aspect when
compared to the use of standard direct-bonded labial edgewise appliances without the
use of extra anchorage auxiliaries.
Factors like anatomical variation of teeth and functional habits like mastication
and swallowing should be taken into account while planning the correct placement of
 
Advanced Lingual Prescription:
Technique and Design
ROBERT BAKER JR., DMD
 
the lingual brackets. The biomechanics of choice must be carefully selected. For
example, if an orthodontist is using loop mechanics, continuous arch mechanics, or
sectional mechanics to retract teeth into an extraction space, the laboratory setup
could be different for each retraction method due to the differing effects on the teeth
and underlying bone. One of the advantages of advanced laboratory case design and
technique is the virtual elimination of appliance auxiliaries like rotation ties or
double over-ties.
Case Presentations
The following cases demonstrate diagnosis and the establishment of treatment goals
through selective individual tooth prescriptions, using the CLASS System design for
indirect bonding preparation.
 -  . At initial orthodontic examination: frontal, lateral, and occlusal views of the occlusion.
Note the unesthetic smile, anterior open bite, and crowding.

 
 
Advanced Lingual Prescription: Technique and Design 
CASE 1: D.P.
A 31-year-old male presented with a Class I malocclusion, anterior open bite, and mild
upper and lower crowding (Figures 5–1a to e). The cephalometric and panoramic x-ray
revealed no unusual findings. The treatment plan consisted of placing upper and lower
lingual appliances to level and align the occlusion. The crowding was to be resolved
using a nonextraction approach with air rotor stripping on the upper and lower first
premolars. The prescription for the laboratory (specialty appliance) was made as follows:
Patient Name DP
Case description Air Rotor Stripping (ARS) on upper and lower premolars
Appliance Upper and lower .018 Ormco lingual brackets
Prescription Upper arch: (right=RT; left=LT)
RT 1 2 deg. distolingual rotation, 10 deg lingual crown torque
LT 1 3 deg. mesiolingual rotation, 10 deg lingual crown torque
RT & LT 2 8 deg. lingual crown torque
RT & LT 4 –0.75 mm ARS mesial & distal
RT 6 3 deg. distobuccal rotation
LT 6 5 deg. distobuccal rotation
RT & LT 7 5 deg. mesial crown tip, Hinge Cap attachments
Lower arch: (right=RT; left=LT)
RT & LT 2 2 deg. mesiolingual rotation
RT & LT 3 3 deg. mesiolingual rotation
RT & LT 4 –0.75 mm ARS mesial & distal
 -  . Frontal and lateral views during treatment.

 
 
Upper and lower lingual appliances were bonded (Ormco, generation #7, .018
slot) (Figures 5–2a and b). Treatment time was only 12 months, with 14 visits to the
Eastman Dental Center. No auxiliaries were used. The results show a balanced and
esthetic occlusion (Figures 5–3a to e).
 -  . At completion of orthodontic treatment: frontal, lateral, and occlusal views of the occlusion.
Note the balanced and esthetic occlusion.

 
 
 -  . During treatment: upper and lower occlusal view of lingual appliance.
 
Advanced Lingual Prescription: Technique and Design 
CASE 2: A.M.C.
A 31-year-old female presented with a Class I malocclusion, mild upper and lower
crowding, and upper right dental midline shift. The upper right lateral incisor was
severely rotated distobuccally. (Figures 5–4a to e). The cephalometric and panoramic
x-ray revealed no unusual findings. The treatment plan consisted of extracting the
maxillary right first premolar to alleviate crowding and aid in the midline correction.
The occlusal plane was to be leveled. Continuous arch mechanics were to be used for
extraction space closure. The prescription for the laboratory (specialty appliance) was
made as follows:
Patient Name AMC
Case description Extraction upper right 4. Retraction with continuous arch mechanics
Appliance Upper .018 Ormco lingual brackets, lower .022 Ormco labial brackets
Prescription Upper arch: (right=RT; left=LT)
RT 7 Add 14 deg. mesial root tip, add 6 deg. buccal root torque
RT 6 18 deg. mesiobuccal rotation, 6 deg. buccal root torque,
add 18 deg. mesial root tip
 -  . At initial orthodontic examination: frontal, lateral, and occlusal views of the occlusion.
Note the unesthetic smile, rotated upper right lateral incisor, and midline shift.

 
 
 
RT 5 4 deg. mesiobuccal rotation, 15 deg. mesial root tip
RT 3 8 deg. mesiolingual rotation, add 12 deg. distal root tip
RT 2 12 deg. lingual root torque, 5 deg. distal root tip
RT 1 Add 2 deg. distal root tip, 11 deg. lingual root torque
LT 1 11 deg. lingual root torque, 8 deg. mesial root tip, intrude 1 mm
LT 2 6 deg. mesiobuccal rotation, 10 deg. lingual root torque
LT 3 6 deg. mesiobuccal rotation
LT 5 9 deg. mesiobuccal rotation
LT 6 12 deg. mesiobuccal rotation
RT & LT 7 Please use Hinge Caps.
The appliances chosen consisted of maxillary lingual brackets (Ormco, .018) and
mandibular labial appliances (Ormco, .018 Spirit) (Figures 5–5a to b). Treatment time
 -  . During treatment: occlusal views of the upper lingual appliance and lower transparent labial appliance.
 
 -  . Frontal and lateral views during treatment.

 
Advanced Lingual Prescription: Technique and Design 
 -  . At completion of orthodontic treatment: frontal, lateral, and occlusal views of the occlusion.
Note the balanced and esthetic occlusion.

 
 
was 18 months, with 18 visits. No auxiliaries or wire bending was needed during the
treatment and chairtime was the same as with a full labial appliance. The end results
show a balanced and esthetic occlusion (Figures 5–6a to e).
These cases demonstrate the use of goal-oriented diagnosis, individualized bracket
prescriptions, and specific mechanics to provide more efficient treatment with the lin-
gual appliance. Of course, lingual treatment can be affected by the same factors as in
labial treatment, such as inadequate patient cooperation, bracket failures, etc. Wire
bending and the use of auxiliaries can be eliminated with the judicious selection of the
appliance prescription. Studies are ongoing to improve appliance prescriptions and
custom laboratory-fabricated archwires. These and continued studies will advance the
art and science of lingual orthodontics and will continue to make it more user- and
patient-friendly.

The term Shape Memory Alloys (SMA) is applied to the group of metallic materials
which demonstrate the ability to return to some previously defined shape or size when
subjected to the appropriate thermal procedure.1
Generally, these materials can be
plastically deformed at some relatively low temperature and, upon exposure to higher
temperature, will return to their shape prior to the deformation (Figure 6.1–1). Shape
memory alloys, such as nickel titanium, undergo a transformation in their crystal
structure when cooled from the stronger, high temperature form (austenite) to the
weaker, low temperature form (martensite) (Figure 6.1–2). This inherent phase trans-
formation is the basis for the unique properties of these alloys: shape memory and
superelasticity.
Shape Memory
When a shape memory alloy is in its martensite form, it is easily deformed to a new
shape. However, when the alloy is heated through its transformation temperature, it
reverts to austenite and recovers its previous shape with a net force delivered (Figure
6.1–3). This process can be repeated millions of times. A typical transformation versus
temperature curve under constant load is shown in Figure 6.1–4.1
Most of the trans-
formation occurs over a relatively narrow temperature range, although the beginning
and end of the transformation during heating or cooling actually extends over a much
larger temperature range. The transformation also exhibits hysteresis (shown as T1) in
that the transformations on heating and on cooling do not overlap. This transforma-
 .
Shape Memory Wires in
Lingual Orthodontics
CHRISTIAN DEMANGE, DCD, SQODE, CECSMO
 .-. The shape memory effect.  .-. Transformation of alloy crystals of shape memory
alloys from hot to cold phase.
Heating Cooling
Cold turns to Hot
Face centered
Body centered
 
tion hysteresis (T1) varies with the alloy system. The most common SMA wires used
are NeoSentalloy or Bioforce (GAC) and Copper Ni-Ti 35°C (Ormco).
Superelasticity
These unique alloys also show a superelastic behavior if they are deformed at a tem-
perature which is slightly above their transformation temperature. This effect is caused
by stress, inducing the formation of some martensite. Because it has been formed
above its normal temperature, the martensite reverts immediately to undeformed
austenite as soon as the stress is removed. This process provides a very springy, rubber-
like elasticity in these alloys (Figure 6.1–5).
SMA Wires in Lingual Orthodontics
The main problem in the biomechanics of lingual orthodontics is the short interbracket
distances (Figure 6.1–6). Orthodontists ideally want to accomplish biological tooth
movement with a low and continuous force and a constant moment/force ratio in
order to maintain a low stress/strain ratio. Two different ways exist to obtain this goal:
 .-. The two phases of shape memory alloys with
temperature: martensite and austenite.
 .-. Typical loading and unloading behavior
of superelastic Ni-Ti.
 .-. Typical transformation versus temperature
curve for a specimen under constant load (stress) as it is cooled
and heated. T1: transformation hysteresis; Ms: martensite start;
Mf: martensite finish; As: austenite start, Af: austenite finish.
Austenite
Martensite
Shape Memory Wires in Lingual Orthodontics 
A. INCREASE WIRE LENGTH
This can be done using loops (which are difficult to do, time consuming, demonstrate
poor reproducibility, and do not conform to the straight wire appliance philosophy
used in lingual appliances), or increase the interbracket distances (which is almost
impossible since the brackets are quite large and arch form is narrow).
B. USE ELASTIC WIRES
Reduce the cross-section of the wire (which reduces control), or change the physical
properties of the wire (yielding a low Young’s modulus).
Shape memory alloys are ideal materials because they have low Young’s modulus,
present a very small stress/strain ratio, and have a large cross-section of wire to achieve
a maximum of control. The mechanical properties of SMA wires are different in the
austenite and martensite forms. Young’s modulus is highly nonlinear with temperature.
The approximate elastic modulus is about 80 GPa at high temperature (austenite), and
30 GPa at low temperature (martensite). (Figure 6.1–7). The Young’s modulus of shape
memory alloys is difficult to define between the martensite and the austenite transforma-
 .-. Short interbracket distances with lingual appliance.
 .-. Young’s modulus of SMA wires are different in
austenite and martensite.
 
tion temperatures because at these temperatures the alloys exhibit nonlinear elasticity,
and the Young’s modulus is both temperature and strain dependent.
In lingual orthodontics, bends should be made to obtain a mushroom shape in
the archwire (Figure 6.1–8). The wires must be bent to a strain greater than 8% in
elongation to achieve a permanent deformation in a superelastic material (Figure
6.1–9).2
The elongation at failure is about 15%. This allows wires to be bent without
any clinical fracturing. The yield strength is about 600 MPa in austenite and 100 MPa
in martensite (Figure 6.1–10). The bend can be performed either when the wire is hot
or cold. However, it is much easier to bend it when it is cold. Some of the bend
straightens when the wire returns to room temperature; therefore, the wire should be
overbent (approximately twice). In this way, no thermal machine (like Archmate®
) is
used to bend SMA wires. The mushroom shape is a little smoother but is still possible
to obtain (Figure 6.1–8). The wire near the bend will be stiffer and more brittle after
bending; however, the area of the bend falls between the canine and premolar and is
not significant. To allow easy placement into bracket slots, the wire is refreshed with
–40° spray to obtain martensite.
 .-. Yield strength of SMA. .-. Percentage of elongation to permanent
deformation and failure in SMA.
 .-. Mushroom shape of an archwire in
shape memory alloys.
Shape Memory Wires in Lingual Orthodontics 
Alignment with SMA
Shape memory alloy wires are the optimal wires for first stage alignment. The Bioforce®
wire delivers 100g in the middle area of the arch (even if the wire is deformed to engage
all slots) and 300g in the distal area. Rectangular wires are preferable over round wires
 .-. One month in treatment (2nd appointment):
Double over-ties to reactivate the wire.
 .-. Two months in treatment (3rd appointment).
Note almost full alignment.
 .-. 16 months in treatment: .019 × .025 SMA is
placed immediately after bonding of second molars.
 .-. 020 × .020 Bioforce is placed immediately after
bonding of lingual brackets.
 
because they can immediately control root inclination and angulation. The superelas-
ticity properties of the wire is used to reactivate the wire (production of martensite
under strain) by placing double over-ties on all teeth.
CLINICAL CASE
A 25-year-old female presented with a Class I malocclusion and upper anterior
crowding. A lingual appliance (Ormco, generation #7, slot .022) was bonded and
.020 × .020 Bioforce was used (Figure 6.1–11a). One month later, reactivation was
done with double over-ties. (Figure 6.1–11b). Two months after the beginning of
treatment, almost full alignment was achieved (Figure 6.1–11c).
Bonding Second Molars
Another use of SMA wires is when a second molar (or any other tooth) is bonded
in a later stage of treatment. Shape memory alloy wires enable usage of nearly full-size
 .-. Occlusal view of maxillary arch before
debonding. Space closure was done with .019 × .025 SMA wire.
 .-. Before treatment. Note anterior crowding.
 .-. Occlusal view of maxillary arch: Two months in
treatment: .019 × .025 SMA wire is used for space closure.
 .-. Occlusal view of maxillary arch: Immediately
after bonding: .016 Ni.-Ti.
Shape Memory Wires in Lingual Orthodontics 
wires immediately after bonding even when treatment has considerably progressed
(Figure 6.1–12).
SMA Wire for Space Closure
Space closure can be easily done with .018 × .025 Bioforce. The force is 300g on the
molars and with a horizontal and vertical antibowing effect curve, one can prevent
expansion, tipping, and rotation of the upper molars when en masse retraction and
sliding mechanics are used (Figures 6.1–13a and b, Figures 6.1–14a to d).
Conclusion
Shape memory alloys used in lingual orthodontics at an early stage of treatment can
reduce the archwire sequence and obtain more rapid alignment, leveling and, in some
cases, space closure—using the same wire. Root control is maintained from the very
beginning of treatment. Treatment time is shorter, and so is chairtime.
References
1. Hodgson DE, Wu Ming H, Biermann RJ. Shape memory alloys. Shape Memory Applications,
Inc., 1995.
2. O’Brien WJ. Dental materials: properties and selection. Quintessence Publishing, 1989;58.
 .-. Occlusal view of maxillary arch after debonding
of brackets and bonding of fixed retainer.
 .-. Occlusal view of maxillary arch: 20 months in
treatment: the same wire (.019 × .025 SMA) is still used.

 .
Wire Sequencing in
Lingual Orthodontics
H. STUART McCROSTIE, DDS
 .-. A schematic representation of sequence of wires used in
lingual orthodontics.
Defensive Archwire Sequencing
Successful lingual orthodontic treatment, more than any other orthodontic treatment
modalities, requires the rigid adherence to a series of protocols of both intellectual and
mechanical nature. Among all the protocols, the most important one is defensive
archwire sequencing. This archwire sequencing program uses very few wires, each
selected to perform specific tasks during treatment. The following protocols maximize
the potential of each wire and reduce archwire changes to a minimum, at the same
time effecting high quality results.
• First initial archwires: .016 Ni-Ti (Rarely an 0.0155 or .0175 Respond)
• Second initial archwire: .016 Special-Plus Wilcocks (Australian) heat-treated
stainless steel
• Intermediate wires: .017 × .025 TMA
• Finishing wires: .017 × .025 or .016 × .022 SS
• Detailing wires: Wilcocks (Australian) .016 or .018 Special-Plus
This sequence is followed for all cases: Class I, II, or III malocclusions, and
extraction or nonextraction cases (Figure 6.2–1).
INITIAL ARCHWIRES
Initial archwires are the most important in the sequence and their application can
often be time consuming. The goals to be achieved at this stage are initial levelling,
EXTRACTION AND NON-EXTRACTION
1) 0.016 NiTi with increased 0.016 Wilcocks
crowding Special +
minimal crowding BOND—all teeth a) advancement loops
all teeth bracketed initially unbracketed 6 6
b) stops at 6 6
2) 0.017 X 0.025 TMA
if all teeth were
initially bracketed
3) 0.017 X 0.025 S/S a) .016 X 0.022 s/s
b) 0.018 Wilcocks Special Plus
4) 0.016 Wilcocks Special +
Finishing arch if necessary
®
©
©
®
®
®
®
®®®®
 
 .-. Wilcocks (Australian) .016 Special-Plus wire
with advancement loops in a nonextraction case. Note steel ligation
in molar and first premolar.
alignment, derotations and tip control, to allow maximum bracket slot engagement.
When crowding is severe, a second initial wire is required to ensure full bracket slot
engagement. The Wilcocks (Australian) .016 Special-Plus wire is employed here with
advancement loops or stops mesial to the first molars (Figure 2a).
It is essential that steel ligation be used for bicuspid and molar attachments when-
ever advancement loops or molar stops are required (Figures 6.2–3a and b). Anterior
bite opening is remarkably enhanced by the use of Wilcocks (Australian) .016 Special-
Plus wire, especially with an additional reverse Curve of Spee. Where the anterior
teeth are moderately rotated, a steel double over-tie maybe employed to a Ni-Ti wire
(Figures 6.2–4a to c). Double over-ties are also used for ligation of anterior teeth.
INTERMEDIATE WIRES
Intermediate wires like .017 × .025 TMA may occasionally be used as finishing wires as
well, especially in nonextraction cases. In extraction cases, the arch form in the initial
wires should be modified to ensure that the cuspid-bicuspid offset is placed just distal to
the canine bracket to allow space closure (Figure 6.2–5). The buccolingual compensatory
curve is reduced in the intermediate wire since it is relatively stiffer than the initial wire.
 .-  . Molar steel ligation.
 
Wire Sequencing in Lingual Orthodontics 
Elastic forces may be applied at this stage of treatment to initiate A-P control. However,
TMA wires are not suitable for prolonged or heavy elastic forces, either intra- or interar-
ch. If Class II elastics are required, an extra buccal compensatory bend should be
made to negate the rotational effect of the elastic forces on the lower second molars.
The anterior segment must be “figure-eighted” to prevent space opening during the
use of elastic force. With rectangular archwires, steel ligation is essential to ensure full
bracket slot engagement and full expression of appliance prescription. Steel ligation also
prevents rerotation of lateral incisors and canines during the application of elastic force.
FINISHING AND DETAILING WIRES
Stainless steel archwires are used to complete arch recontouring and space closure, and
to eliminate any side effects noticed earlier in the procedure. Providing original treat-
ment prescription and compensatory archwire modifications are adequate. Treatment
should be be completed with .017 × .025 upper arch and .016 × .022 lower stainless
steel archwires, except in Class III cases where the upper and lower archwires are reversed.
Rarely, an .018 × .025 SS archwire is used, especially where maxillary anterior torque
control is difficult to achieve, and lengthy Class II elastics are to be employed. The
archform of stainless steel wires is the same as the intermediate archwire, with subtle
 .-  . Double over-tie steel ligation of anterior teeth.

 
 
adjustments to the canine or molar offsets, if required, and compensatory bends to
facilitate completion of space and interarch adjustment (Figure 6.2–6). If necessary,
individual torque may also be added at this time. With stainless steel archwires the
buccal compensatory bends bring the wire across the mesiolingual cusp of the distal
molar (see Figure 6.2–6). Occasionally, more flexible wires are required for final detail-
ing, or for individual tooth overcompensation. These archwires could be Wilcocks
(Australian) .016 or .018 Special-Plus.
Conclusion
The success of defensive archwire sequencing depends on the following:
1. Correct treatment planning and well-planned goals.
2. Allowing sufficient time for each archwire to do its work completely.
3. Steel ligation is required with all rectangular archwires.
These measures help to reduce stress to the patient, doctor and the materials used,
increase patient comfort and satisfaction, cut costs and enhance efficiency, predictabil-
ity, standard of results, and profitability.
 .-. TMA archwires with compensatory bends.
 .-. Stainless steel archwires with compensatory bends.

Lingual orthodontics presents a challenge in using traditional orthodontic instrumen-
tation. Instrument requirements differ dramatically due to the difficult access of the
lingual surface of the teeth, both anterior and posterior. Many years of research and
development have resulted in a specialized series of instruments designed specifically
for the needs of the lingual orthodontist. Most instruments have a 45° and 90° angle
to facilitate access to the lingual surface. The majority of the original instruments were
manufactured by the ETM Corp.
The following is a list of the historical instrumentation that was available 15 years
ago. Only few are still manufactured today due to lack of demand. Further increase in
the prevalence of lingual orthodontics will force the companies to make at least some
of these instruments again.
1. ETM–8007 LINGUAL LIGATURE CUTTER (ANGULATED 45°)
This is the standard cutter used in lingual orthodontics. The 45° angle provides easy
access for cutting ligature wires. Also, the unique design allows tucking of the ligature
wire ends with the same cutting instrument (Figure 7–1).
2. ETM–8006 KURZ LIGATURE WIRE CUTTER (ANGULATED 90°)
This ligature cutter works much like the 45° cutter, but provides easier access to some
areas (Figures 7–2a and b).
 
Instruments Used in
Lingual Orthodontics
CRAVEN KURZ, DDS, PhD
 -. ETM–8007.
 
3. ETM–8011 KURZ UTILITY PLIER
This plier is designed much like the traditional Weingart utility plier with the added
advantage of a 45° angle to facilitate access to the lingual brackets (Figures 7–3a and b).
4. ETM–8010 KURZ ARCHWIRE CUTTER
This plier functions as a distal-end cutting plier. It was designed with a long body so it
can reach back into the depth of the mouth (Figures 7–4a and b).
 -  . ETM–8006.
 -  . ETM–8011.
 -  . ETM–8010.
 
 
 
Instruments Used in Lingual Orthodontics 
5. ETM–8003 KURZ MOSQUITO FORCEPS (CURVED)
This mosquito forceps has 45° angle at its end and that facilitates the placement of
elastics and elastic chains (Figures 7–5a and b).
6. ETM–8014 LIGHT LIGATURE PLIER, MATHIEU STYLE PLIER
(The same as the mosquito but Mathieu Style [Figure 7–6].)
7. LINGUAL HINGE CAP OPENING TOOL (Figures 7–7a and b)
 -  . Lingual hinge cap opening tool.
 -  . ETM–8003.
 -. ETM–8014.
 
 
 
8. DIRECT BOND REMOVING PLIER (LINGUAL)
Due to the unique shape of the KURZ-Ormco brackets, the plier was designed to fit
the brackets under the lingual hooks, putting no torque pain on the tooth while the
bracket is removed (Figures 7–8a and b).
9. ETM–8004L KURZ TONGUE RETRACTOR AND SALIVA EJECTOR
It provides the practitioner a dry working field, keeps the tongue away from the lingual
surfaces of the teeth and isolates them from saliva contamination. Still, it allows the
practitioner enough space and access to place the indirect bonding material (Figures
7–9a and b).
10. ETM–8201 KURZ FIRST ORDER BENDING FORK
This tool allows the practitioner to place first order bends on the wire while it is still
in the mouth. Although the braces are indirectly bonded, sometimes there is a need to
make first and second order bends due to misplacement of the bracket in the laboratory,
direct rebonding, or some esthetic needs. This tools allows the practitioner to bend
the wire in the mouth without the need to replace all the modules or metal ligatures
(Figures 7–10a and b).
11. ETM–8202L – SILVER, KURZ SECOND ORDER BENDING FORK
 -  . Direct bond removing plier (lingual).
 
 -  . ETM–8004L.
 
Instruments Used in Lingual Orthodontics 
 -  . ETM–8201.
 
 -  . ETM–8202L.
 
 -  . ETM–2108.
 
This instrument allows both second order intraoral bends and right-angled bends at
the distal sheath (Figures 7–11a and b).
12. ETM–2108 – MODULE REMOVER (Figures 7–12a and b)
Reference
ETM Lingual Plier Co., Monrovia, CA.
. Case Presentation:
Loop Mechanics. . . . . . . . . . . . 
Giuseppe Scuzzo
. Case Presentation:
Sliding Mechanics . . . . . . . . . . 
J. Courtney Gorman
 Lingual Orthodontics in
Pediatric Patients . . . . . . . . . . . 
Lorenzo Favero
. The Lingual Technique in
Orthognathic Surgery . . . . . . . . 
Alessandro Silvestri
. Orthodontic-Surgical RPE
Camouflage on an
Orthognathic Case. . . . . . . . . . 
Mario E. Paz
. Segmental Lingual Orthodontics
in Multidisciplinary Cases . . . . 
Pablo A. Echarri
. Combined Orthodontic-Prosthetic
Treatment of Malpositioned
Anterior Teeth . . . . . . . . . . . . . 
Rafi Romano and Nitzan Bichacho
 Lingual Orthodontics:
Esthetics and Function . . . . . . . 
Chiori Hashiba
 Anchorage Control in
Lingual Orthodontics. . . . . . . . . 
Kyoto Takemoto
. Preserving the “Hollywood
Smile” and Facial Profile. . . . . . . 
Mario E. Paz
. Distalization of Molars in
Nonextraction Cases. . . . . . . . . . 
Giuseppe Scuzzo and
Maurizio Cannavo
. Interproximal Enamel Reduction
in Lingual Orthodontics . . . . . . . 
Didier Fillion
. Sliding Mechanics versus Loop
Mechanics During En Masse
Retraction in Extraction Cases. . 
Kyoto Takemoto
SECTION 3
Treatment
Approaches
and Mechanics

Vertical and Horizontal Anchorage
Horizontal anchorage in orthodontics is traditionally considered as the resistance of
the molars to anterior or posterior movement. In addition, orthodontists are concerned
with the concept of vertical anchorage, or maintaining the molar position in the verti-
cal dimension.
When the vertical molar position changes, as is seen with molar elongation, a
clockwise rotation of the mandible can occur, creating a Class II molar relationship
and an anterior open bite. In both labial and lingual treatments, it is often desirable
to minimize the amount of molar elongation. Lingual orthodontics has the advantage
of minimizing maxillary first molar elongation, as will be explained in detail later.
Elongation of the molars can occur due to the presence of the anterior bite plane, and
it can be avoided with posterior acrylic supports.
In lingual as well as labial orthodontics, maintaining anchorage during treatment
can be challenging. Many treatment modalities are demanding on the molar anchor-
age. For example, extraction spaces are often closed using en masse retraction of the
anterior teeth. This retraction method, while being sensitive to esthetic concerns,
demands maximum anchorage control to minimize molar anchorage loss. Other tech-
niques used in lingual orthodontics to close spaces, such as the use of different types
of loops, demands moderate to minimum anchorage. The differences between the two
techniques are explained in Chapter 10.1.
Differences in Anchorage Value: Lingual versus Labial Orthodontics
The anchorage value of the posterior teeth in the anterior-posterior and vertical direc-
tions appear to be higher in lingual orthodontics than in labial orthodontics (Takemoto,
unpublished data, 1997). In a randomized study of 44 adult Class II, division 1 mal-
occlusions or bimaxillary protrusion malocclusions, the anchorage value was signifi-
cantly higher in lingually treated case than in those treated with labial techniques.
Labial Orthodontics Lingual Orthodontics
24 cases: 20 cases:
2-extraction of teeth 14,24 (4–4) 3-extraction of teeth 14,24 (4–4)
15-extraction of teeth 14,24,34,44 10-extraction of teeth 14,24,34,44
7-extraction of teeth 14,24,35,45 7-extraction of teeth 14,24,35,45
Treated with straight wire appliance Treated by en masse retraction
Canine retraction with sliding mechanics Retraction with loop mechanics
Anterior segment retraction with loop Mostly with T-loop mechanics
mechanics
 
Anchorage Control in
Lingual Orthodontics
KYOTO TAKEMOTO, DDS
(4

4
)5 5 (4

4
)5 5
(4

4
)4 4 (4

4
)4 4
 
Figure 8–1 shows an example of the lingual appliance. Rickets cephalometric
analysis (Rocky Mountain Data System Inc. Spring 1969) was used to determine the
amount of retraction of the upper and lower incisors, the amount of intrusion, and the
value of the anchorage loss of the upper and lower first molars (Figures 8–2a and b).
Statistical analysis showed that in the upper arch the anchorage value of the first molar
as well as the anterior retraction and intrusion were significantly greater in the lingual
group as compared to the labial group (Table 8–1). In the lower arch, the anchorage
value of the first molar was the same as that in the upper arch (Table 8–2).
 -. Lingual appliance: extraction of first premolars,
T Loops with transpalatal arch and buccal segment 6-7.
 -. Pretreatment (green) and post-treatment (yellow)
superimposition of the maxilla on the palatal plane at point ANS
and of the mandible on the mandibular plane at point Menton:
incisor and 1st molar horizontal changes measured at the
incisal edges and the distal end of the first molars.
 -. Pretreatment (green) and post-treatment (yellow)
superimposition of the maxilla on the palatal plane at point ANS
and of the mandible on the mandibular plane at point Menton:
incisor vertical changes measured at the center of resistance.
Palatal pl. at ANS
Mand pl. at Me
Palatal pl. at ANS
Mand pl. at Me
U1 Int. = L1–L2
L1 Int. = L3–L4
Anchorage Control in Lingual Orthodontics 
Mechanics Used to Control Anchorage in the Upper Arch
Mechanical advantages gained from lingual treatment are buccal root torque and distal
rotation of the molars, especially due to the easily established cortical bone anchorage
(Figures 8–3a and b). Also, an intrusive force is applied to the functional or lingual
cusps of the upper molars because the appliance is placed near these cusps. Therefore,
the CO-CR discrepancy caused by the primarily initial contact and the mandibular
clockwise rotation caused by the elongation of molars are reduced.
Combinations of loops, elastics, transpalatal arches, and headgear have been used
to successfully control both the horizontal and vertical anchorage in both the upper
and lower arches.
 -. Applied intrusion force to the upper molars
resulting in cortical bone anchorage.
 -. Distal rotation can be easily established with the
posterior teeth by retraction forces.
Table 8–1. Results: Upper
Labial Lingual
U6 anchorage 2.0 ± 0.9 0.1 ± 0.5†
U1 retraction 5.0 ± 1.6 7.9 ± 2.0†
U1 intrusion 0.9 ± 0.9 1.8 ± 1.6*
Facial axis –0.1 ± 0.8 0.1 ± 0.3
Head gear 16.3 ± 6.1 11.3 ± 7.3
Class II elastics 7.5 ± 6.2 5.3 ± 4.8
mean ± S.D.
* = P < 0.05; †
= P < 0.01
Statistical analysis shows that in the upper arch the anchorage value of the
first molar, and the anterior retraction and intrusion were significantly
greater in the lingual group as compared to the labial group. Headgear and
Class II elastics were used for shorter period of time in the lingual group
than in the labial group.
Table 8–2. Results: Lower
Labial Lingual
L1 retraction 3.6 ± 1.9 4.1 ± 1.4
1.4 ± 1.9 3.6 ± 1.3*
U6 anchorage 2.0 ± 1.3 0.9 ± 0.7*
2.1 ± 1.8 1.8 ± 0.8
L1 intrusion 2.4 ± 1.3 3.1 ± 1.0
2.2 ± 1.4 2.1 ± 0.3
Class II elastics 6.1 ± 6.1 5.6 ± 5.0
10.8 ± 6.8 7.6 ± 4.0
mean ± S.D.
* = P < 0.05
Statistical analysis shows that in the lower arch the anchorage value of the
first molar and the anterior retraction and intrusion were significantly greater
in the lingual group as compared to the labial group. Class II elastics were
used for shorter period of time in the lingual group (both in first and second
premolar extractions) than in the labial group.
 
MAXIMUM ANCHORAGE (UPPER ARCH)
Helical loop (Figure 8–4a) and T-loop mechanics (Figure 8–4b) (.017 × .025 TMA) are
combined with a transpalatal arch and a buccal sectional arch from first to second
upper molars for stabilization. Also, high-pull headgear and Class II elastics are used.
MODERATE ANCHORAGE (UPPER ARCH)
L-loop mechanics are combined with a transpalatal arch to prevent a transverse bowing
effect. The anterior segment (3|3) and the posterior segment (7–5|5–7) are “figure-
eighted” with ligature wire (Figure 8–5a). When a transpalatal arch cannot be used,
sliding mechanics are used by placing a power chain from the lingual of the canine to
the lingual of the second premolar in first premolar extraction cases (Figure 8–5b).
The sliding mechanics are used with a .016 × .022 stainless steel archwire. If the
transverse bowing occurs, a power chain can be used from the lingual of the canine to
the buccal of the first molar to rotate the first molars mesially (Figure 8–5c).
MINIMUM ANCHORAGE (UPPER ARCH)
Extraction spaces are closed by a reciprocal elastic force, with a power chain placed on
both the buccal and lingual of the canine and first molar (Figure 8–6). The anterior
segment (usually 4|4) is “figure-eighted” with ligature wire. Frequently, cases requiring
minimum anchorage control are those in which second premolars have been extracted
and mesial molar movement is encouraged. Sometimes Class III elastics are used to
enhance mesial movement of the molars.
Mechanics Used to Control Anchorage in the Lower Arch
The anchorage value of the lower arch is higher than that of the upper arch because
the mandible has a thicker cortical layer and thinner cancellous layer of bone. Because
of this difference in anchorage value, a buccal sectional arch is usually placed on the
posterior teeth to control the functional or buccal cusp. Sliding mechanics using a
.016 × .022 stainless steel archwire are used most frequently for space closure. Sliding
mechanics minimize the bowing effect and avoid tongue irritation from loops. When
sliding mechanics are not the optimum choice for space closure, loop mechanics may
 -. Anchorage preparation for a maximum anchorage
case with helical loop mechanics in the upper arch, using a
.017 .025 TMA with a transpalatal arch and buccal sectional arch
from 6-7. High-pull headgear and Class II elastics are also used.
 -. Anchorage preparation for a maximum anchorage
case with T-loop mechanics in the upper arch.
Anchorage Control in Lingual Orthodontics 
be used. This includes Class III malocclusions treated nonsurgically, where dental
compensations by tipping the anteriors lingually may be needed, when the right and
left extraction spaces are not symmetric, or when the space closure cannot be accom-
plished with sliding mechanics because of root contact with the cortical bone. In these
latter cases, the lower six anterior teeth are tipped lingually with loop mechanics.
MAXIMUM ANCHORAGE (LOWER ARCH)
An elastic power chain is used on the lingual, with a buccal sectional arch for stabi-
lization (.017 × .025 TMA or .016 × .022 SS). The anterior segment (3|3) and the
posterior segment (7–5|5–7) is “figure-eighted” with ligature wire. Class III elastics
are used both buccally and lingually for reinforced anchorage (Figure 8–7).
 -. Anchorage preparation for a moderate anchorage case
with L-loop mechanics in the upper arch. A transpalatal arch is added
to prevent a transverse bowing effect. The anterior segment (3-3) and
the posterior segment (5-7) is “figure-eighted” with ligature wire.
 -. Anchorage preparation for a moderate anchorage
case with sliding mechanics in the upper arch. To eliminate the
transverse bowing effect, a power chain is used from the lingual of the
canine to the buccal of the first molar, to rotate the first molars mesially.
 -. Anchorage preparation for a moderate anchorage case
with sliding mechanics in the upper arch. To eliminate the transverse
bowing effect a power chain is used from the lingual of the canine to
the buccal of the first molar, to rotate the first molars mesially.
 
MODERATE ANCHORAGE (LOWER ARCH)
Sliding mechanics are used with reciprocal elastic forces (power chains from 3-5 on
both sides). The anterior segment (3|3) and the posterior segment (7–5|5–7) are
“figure-eighted” with ligature wire. However, buccal segmental wires are not needed
(Figure 8–8).
MINIMUM ANCHORAGE (LOWER ARCH)
Most cases requiring minimum anchorage are those in which second premolars have
been extracted. An elastic power chain is placed circularly from the lingual of the first
molar, encircling the canine, and attaching to the buccal of the first molar. Class II
elastics are used to facilitate mesial movement of the molars. The anterior segment
(4|4) is “figure-eighted” with ligature wire. As the molars move mesially, gingival
recession over the mesial root of the first molar should be prevented (Figure 8–9).
 -. Anchorage preparation for a minimum anchorage case with
sliding mechanics in the upper arch. Reciprocal elastic force, with a power
chain placed on both the buccal and lingual of the canine and first molar
is used. The anterior segment is “figure-eighted” with ligature wire.
 -. Anchorage preparation for a maximum anchorage case
with sliding mechanics in the lower arch. An elastic power chain is used on
.017 × .025 TMA or .016 × .022 SS archwires. A buccal sectional arch is
used for stabilization and the anterior segment (3-3) and the posterior
segment (5-7) is “figure-eighted” with ligature wire. Class III elastics are
used both buccally and lingually usually with extra oral force traction
for reinforced anchorage.
Anchorage Control in Lingual Orthodontics 
Anterior and Lateral Concerns
Patients with severe anterior tongue thrust often present a challenge when attempting
to retract the anterior dentition. The lingual appliance, due to the discomfort associated
with tongue contact, redirects the tongue tip to the palatal vault in speech and swal-
lowing. Therefore, the anterior thrust component is eliminated, and normal muscle
balance is restored. The excessive pressure from the tongue against the anteriors is
minimized while retraction is facilitated. A similar effect is seen with the use of lingual
elastics. This has been termed the “fence effect,” in that the lingual appliance or the
elastics create a fencing of the tongue musculature from the dentition. It is believed
that the fence effect contributes to the increase in anchorage values seen with lingual
appliances as opposed to labial appliances.
 -. Anchorage preparation for a minimum anchorage case
with sliding mechanics in lower arch. An elastic power chain is placed
circularly from the lingual of the first molar, encircling the canine and
attaching to the buccal of the first molar. Class II elastics are used to
facilitate mesial movement of the molars. The anterior segment is
“figure-eighted” with ligature wire.
 -. Anchorage preparation for a moderate anchorage case
with sliding mechanics in the lower arch. Reciprocal elastic forces are
used and buccal segmental wires are not needed.
 
Another factor contributing to anchorage control is the lateral occlusal function.
The lateral occlusion prevents the transverse bowing effect which is often seen during
lingual treatment. The anterior-posterior forces used for retraction should be light,
minimizing anchorage loss while maintaining lateral occlusal function.

Without a doubt, the debate between the extraction and nonextraction orthodontic
treatment approaches has been, and will continue to be, the subject of a great deal of
controversy. The literature on this topic is simultaneously abundant and controversial.
The gap between extraction and nonextraction treatment decisions seems to widen
more among cases in which there is no clear cut distinction between the two treat-
ment modalities. There are important diagnostic considerations that can help ortho-
dontists make treatment decisions although they are not always defined as we would
like them to be defined. Among some of these considerations are: cephalometric mea-
surements, skeletal discrepancies, tooth to basal bone relationship, severity of dental
crowding, and facial and profile considerations.
The cosmetic changes that result with a nonextraction approach can be quite
favorable; however, this does not underestimate the functional and cosmetic value of
extraction therapy. Nonextraction treatment, in many cases, is more difficult to exe-
cute than extraction therapy; particularly in cases where space limitation is consider-
able and growth has been completed.
Historical Perspective
Appreciation for facial esthetics is not new to the orthodontic profession. The face of
Apollo Belvedere was considered by Angle1
as an ideal standard of facial beauty for the
orthodontic profession. Peck and Peck made a beautiful recollection of the different
concepts of beauty from a historical perspective.2
For example, the facial esthetic
concept of an ideal profile has undergone changes through history from a mild
Class II, retrognathic, flat, and often concave profile during the time of ancient Greece
to severe Class II profiles during the Renaissance period. Contemporary standards of
facial esthetics tend toward profiles with slightly more fullness (Figures 9.1–1a to d).
The desire for a fuller profile has made the nonextraction treatment approach
more attractive to prospective orthodontic patients. In some carefully selected cases,
ideal cosmetic treatment may dictate opening previously closed extraction spaces in
order to decrease an existing concave profile (Figures 9.1–2a and b). The available
nonextraction treatment methods that can be used independently or in combination
to achieve satisfactory expansion results are:
 .
Preserving the “Hollywood
Smile” and Facial Profile
MARIO E. PAZ, DDS, MS
 
1. Crozat expansion
2. Enamel reproximation
3. Archwire expansion
4. Molar distalization
5. Surgical rapid palatal expansion (RPE)
Expansion Techniques
Although many methods exist to expand the dental arches, a particularly effective
method is with the use of the Crozat appliance. A modified basic and effective version
of the Crozat appliance (personal communication and design by Duane Grummons,
Marina Del Rey, CA) is used (Figure 9.1–3). Some of the advantages of using the
Crozat appliance prior to lingual treatment are:
• patient’s first introduction to lingual treatment with an esthetic removable
appliance
 .-  . Series of views demonstrating a range of facial profiles from full to concave.
 
 
Preserving the “Hollywood Smile” and Facial Profile 
• expansion more efficient than with archwires
• effective molar distalization and rotation when desired
• incisor proclination when needed
• little if any speech interference
• decreases treatment time with fixed appliances
Clinicians should also be aware of the limitations of the Crozat appliance:
• careful case selection is needed
• full-time wear is indicated, except while eating
• activations every 3 weeks for 4 to 5 months
• too much activation can lead to tissue impingement resulting in pain and more
tipping forces
• early-release enamel reproximation may be needed
Appliance activation with the use of a three-pronged plier is relatively simple as
shown in Figures 9.1–4a to c.
After the desired arch length increase has been achieved (Figures 9.1–5a and b), the
appliance is removed and lingual impressions taken. A clear 1 mm vacuform type of
retainer is used until the placement of the lingual appliance. Retention prior to bond-
ing is critical, otherwise, the lingual bonding trays from the laboratory will not fit
accurately. Arch length increase is continued or maintained after the bonding of the
appliance by archwire expansion and/or enamel reproximation.
Another nonextraction technique is enamel reproximation. This technique is also
known as interproximal reduction or air rotor stripping. The technique, once rarely
used, seemed to resurface with the increased number of adults seeking lingual ortho-
dontic therapy. Adult orthodontics often eliminates treatment options that require
cooperation and are not cosmetically acceptable. Adult patients generally have
demanding life schedules; therefore, treatment plans should be designed to place fewer
additional demands on regular activities and should require minimal cooperation.
 .-. Patient profile view depicting a
concave profile due to previous orthodontic treatment
with bicuspid extractions.
 .-. Patient profile shows improvement
and a moderate increase in lip support as a result of
extraction spaces being opened orthodontically.
 
Although enamel reproximation has had both negative3,4
and positive5–7
reviews in
the orthodontic literature, it remains an effective way to increase arch length and maxi-
mize the cosmetic result. Some important factors to take into consideration when
doing enamel reproximation are:
1. Age: Younger patients are likely to be more sensitive to enamel reduction than
older patients. Large pulp chambers and dentinal tubules are contributing fac-
tors to this sensitivity. Radiographs should be evaluated to determine adequate
enamel width and dentinal proximity before enamel reduction is performed
(Figure 9.1–6).
2. Hygiene: Rough interproximal areas will increase plaque accumulation and,
therefore, caries susceptibility in patients with poor oral hygiene. Enamel
reproximation should only be used in patients demonstrating good oral
hygiene and in areas with adequate access for hygiene.
3. Enamel sensitivity: Enamel reduction in patients with a low threshold of sensi-
tivity may be uncomfortable. The use of desensitizing agents should be consid-
ered with this patient population.
4. Size of teeth and amount of crowding: Enamel reproximation should be avoid-
ed in patients with small teeth and severe crowding. Also, the shape of the
tooth should be considered. Triangular crowns are more amenable to enamel
reduction than narrow, rectangular crowns. Presence of porcelain crowns,
porcelain veneers, and root proximity should also be taken into consideration.
The enamel reproximation technique is described in detail in Chapter 9.3.
Case Report
The following case demonstrates the use of a combination of techniques used to
achieve a non-extraction treatment in a crowded malocclusion. A 35-year-old female
patient presented with the chief complaint of “I would like a broader smile and my
teeth are too crowded.”
Clinical examination revealed a mesognathic profile with a narrow and restricted
smile line (Figures 9.1–7a and b), a Class I malocclusion with 4 to 5 mm of upper
crowding and moderate-to-severe (7 to 9 mm) lower crowding (Figures 9.1–7c and d).
 .-. Occlusal view of modified Crozat appliance. Lingual
anterior sweeps are added only if incisor proclination is desired.
Preserving the “Hollywood Smile” and Facial Profile 
Cephalometric measurements were within normal standards except for some moderate
incisor proclination. Narrow dental arches and an accentuated Curve of Wilson made
this an excellent case for Crozat expansion. Large-size teeth, substantial radiographic
enamel width, and good oral hygiene also made this patient a candidate for the enamel
reproximation technique. Archwire expansion can be an effective method to reduce
the existing shadowed premolar regions upon smiling. Treatment decisions were based
upon the use of a combination of these techniques.
The primary treatment goal was to increase arch length. A modified Crozat
appliance was worn for four months to rotate first molars mesiobuccally and upright
 .-  . Crozat activation: (a) mesiobuccal rotation, (b) bicuspid arms moved away
to allow molar rotation, (c) appliance fully activated.
 .-  . Occlusal views during Crozat expansion just before lingual appliance bonding.



 
 
 .-  . Initial facial photographs. Note restricted smile.
 
 .-  . Initial occlusal photographs.
Note minimal upper crowding and moderate-to-severe lower crowding.
 
 .-. Radiographic views of incisor teeth of 15-year-old.
Notice broad pulp chamber size, and relatively narrow dentin and
enamel width.
 .-  . Final intraoral photographs. Note Class I molar and canine relationship and aligned arches.
Preserving the “Hollywood Smile” and Facial Profile 
the lingually inclined buccal segments. Lingual impressions were taken at the comple-
tion of the expansion phase, and a vacuformed retainer was worn until the date of
placement of the lingual appliances. Enamel reproximation combined with archwire
 .-  . Treatment progress—maxillary and mandibular occlusal views.
Note expanded archwires with no crowding.
 
 



 
expansion completed the expansion necessary to achieve the desired arch length
(Figures 9.1–8a and b).
Total treatment time was 20 months, four months of Crozat wear and 16 months
of lingual appliances. The Class I molar and canine relationship was maintained, the
crowding was relieved, and the arches were aligned (Figures 9.1–9a to e). The incisor
relationship to the denture base was normalized. Tooth morphology, facial profile, and
lip position were maintained. A broad, unrestricted, and happy “Hollywood” smile
was achieved (Figures 9.1–9f and g).
References
1. Angle EH. Treatment of malocclusion of the teeth. 7th Ed. Philadelphia: SS White Dental
Manufacturing, 1907.
2. Peck S, Peck L. Selected aspects of the Art and Science of Facial Esthetics Seminar in
Orthodontics, 1995;105–126.
3. Radlanski RJ, Ralph R, Jager A, Zimmer B. Plaque accumulation caused by interdental strip-
ping. Am J Orthod Dentofac Orthop 1988;94:416–420.
4. Twesme DA, et al. Air rotor stripping and enamel demineralization in vitro. Am J Orthod
1994;105:142–152.
5. Radlanski RJ, Jager A, Zimmer B. Morphology of interdentally stripped enamel one year after
treatment. J Clin Orthod 1989;23:748–750.
6. El-Mangoury NH, Moussa MM, Mostafa YA. In vitro remineralization after air rotor strip-
ping. J Clin Orthod 1991;25:75–78.
7. Thordasson A, Zachrisson BU, Mjor IA. Remodeling of canines to the shape of lateral incisors
by grinding: a long-term clinical and radiographic evaluation. Am J Orthod Dentofac Orthop
1991;100:123–132.
 .-  . Final facial photographs. Note nice, progressive, round and broad “Hollywood” smile.
 

In the adult patient there is no clinically significant growth in the bone structure;
therefore, alternative solutions must be found to obtain space in which to move the
teeth to correct the malocclusion. Treatment options may differ depending on the
amount of crowding, and whether the crowding has occurred in the maxilla or mandible.
Most commonly, teeth are extracted to create the space needed to relieve crowding.
Arch expansion or reproximation of anterior and posterior teeth are alternative methods
used to create adequate space. Less frequently, the posterior teeth are distalized to create
more space anteriorly.
Distalization Treatment
Several different treatment modalities may be employed to distalize the posterior
dentition. Possibilities include fixed appliances with coil springs or Nitinol wires, and
removable appliances such as a modified Cetlin appliance. This type of appliance has
a high acceptance among adult patients because it facilitates good oral hygiene and
allows adaptation to lingual appliance during the initial phase.
The removable Cetlin appliance is constructed from 2 Adams clasps on the first
premolars, distalizing springs on the second premolars and on the first molars, distaliz-
ing screws between the first and second premolars, and an anterior bite plane. The
appliance does not include any metal clasps from cuspid to cuspid due to esthetic
considerations (Figures 9.2–1a and b). Other effective methods for distalizing molars
are described in detail in Chapter 2.
 .
Distalization of Molars
in Nonextraction Cases
GIUSEPPE SCUZZO, MD, DDS, AND MAURIZIO CANNAVO, MD
 .-. Modified Cetlin appliance.
Note the distalization screws.
 
The following case presents the use of this modified Cetlin appliance for gaining
space by distalizing the molars. A 24-year-old female presented with the chief com-
plaint of unesthetic smile and crowded teeth. She had a Class II Division II deep bite
malocclusion with great crowding on the upper arch, a retained deciduous upper cus-
pid, palatally erupted upper cuspids, in cross-bite with the lower cuspids, and crowd-
ing on the lower arch (Figures 9.2–2a to c, 3a, 4a). The treatment plan included
upper and lower lingual orthodontic appliances. No extractions were indicated (except
for removal of the deciduous cuspid). The treatment began with a distalizing therapy
on the upper molars by applying a modified Cetlin appliance. The appliance was
 .-  . At initial orthodontic examination: intraoral views.

 
 .-. Clinical view: upper modified Cetlin
appliance and lower cross-over technique. Note the esthetic
anterior appearance without any visible appliance.
Distalization of Molars in Nonextraction Cases 
 
 
 
 .-  . Occlusal views of the maxillary arch: (a) At initial orthodontic examination.
(b) After six months with modified Cetlin appliance. Note spaces between the molars, second bicuspids, and
first bicuspids. (c) Bonding of lingual appliance (Ormco-Kurz generation 7). .016 SS archwire with transpalatal
arch. Only the central incisors were bonded in the anterior region due to the crowding and rotations of the lateral
incisors and cuspids. (d) Bicuspid retraction and alignment of the left lateral incisor and cuspid. (e) Before debonding:
.016 × .022 SS archwire for en mass retraction with Class II elastics and loops mechanics. (f) After debonding.
Note the broad and harmonious arch.
worn for six months until the upper molars and premolars had moved and enough
space was created. A fixed upper lingual appliance (Ormco, 7th generation) replaced
the modified Cetlin appliance to finish the distalization and alignment of the teeth
(Figures 9.2–3a to d). On the lower arch, a segmental technique was used with labial
 
brackets from the first premolar to the second molar. Later, it was combined with
cross-over technique (lingual brackets from cuspid to cuspid and labial brackets on the
posterior segments) (Figures 9.2–4a to d). Lingual brackets were mounted by using
 .-  . Completion of orthodontic treatment: clinical facial and profile views.
 

 
 
 .-  . Occlusal view of the mandibulary arch: (a) At initial orthodontic examination.
(b) Cross-over technique: labial brackets on posterior segments and lingual brackets on the anterior segment.
Note the extraction of second right molar due to prosthetic considerations. (c) Before debonding. (d) After debonding.
Distalization of Molars in Nonextraction Cases 
 .-. Cephalometric superimposition tracing:
before and after the treatment.
the CLASS laboratory method. Twenty-four months after the treatment had started, a
Class I relationship (molars and cuspids), a functional occlusion, and an esthetic smile
had been established (Figures 9.2–5a to c). Superimposition of the cephalometric trac-
ings before and after the treatment shows almost no change in the incisors and distal-
ization of the molars. (Figure 9.2–5d).

Interproximal enamel reduction has long been a forbidden procedure in orthodontics;
however, many practitioners were doing it without acknowledging it. Interproximal
enamel reduction is a very simple technique to use in orthodontics, contrary to other
space-gaining systems. However, while the procedure itself can be performed rather
quickly, it is mandatory to thoroughly know its effects on the enamel layer. Studies on
the effects of cutting instruments on the enamel layer have convinced us that this
reduction cannot be done in an uncontrolled manner or at any time.
Principles
The principles discussed here have been inspired by the publications of Sheridan on
air-rotor stripping. They have also been largely influenced by the desire to maintain
the cosmetic aspect of the orthodontic treatment.
1. NEVER REDUCE BEFORE APPLIANCE PLACEMENT
The position of the teeth should not be changed in order to allow a perfect fit to the
dental arches during indirect bonding; we must be sure that the patient can tolerate
the appliance before doing any enamel reduction. Any space gained runs the risk of
being lost if the enamel reduction is done before archwire placement. Space opening by
enamel reduction must also be avoided before the teeth have started to move because the
amount of enamel to be removed cannot be precisely evaluated before treatment starts.
2. CALCULATE THE AMOUNT OF ENAMEL TO BE REDUCED
The width of the teeth should be recorded. While it is quite difficult to measure the
width of teeth that are in contact or crowded, accuracy in the anterior measurement
is very important. A variation of 2 to 4 mm is crucial when calculating the sum of the
widths of the six anterior teeth. The amount of crowding is also dependent upon the
arch form. This amount will be more pronounced on cinched arches. The available
space can be increased by rounding the arch form in the bicuspid area and the position
of the anterior teeth can be in a more protrusive position in an adult. The use of
Ormco lingual brackets with a bite plane will provide a slight sagittal shift of the upper
and lower arches (Figure 9.3–1). The effect of this possible forward movement is a
reduction of the crowding and, therefore, in the amount of enamel to be removed.
Again, the amount of enamel to be removed cannot be known precisely before the
placement of the initial archwires.
 .
Interproximal Enamel
Reduction in Lingual
Orthodontics
DIDIER FILLION, DDS
 
3. DO NOT REDUCE ROTATED TEETH
Normal interproximal zones of contact may be damaged and the physiological contact
point should be maintained. The best evaluation of the necessary reduction is achieved
after derotation of the teeth.
4. REDUCE MOLARS AND BICUSPIDS FIRST
The enamel thickness and the inter-radicular space is the greatest in these teeth. These
teeth also usually present the most restorations in adults (Figures 9.3–2a to c). By first
 .-. Anterior bite plane of the Ormco’s lingual brackets.
 .-  . Reduction of temporary prosthetic crowns and fillings in the posterior segments of the arch.
 

Interproximal Enamel Reduction in Lingual Orthodontics 
maximally reducing the posterior teeth, the natural and esthetic morphology of the
anterior teeth is maintained, especially that of the lower incisors, which may be thin
and malpositioned. Interproximal reduction of these teeth can result in dentin expo-
sure, sensitivity, increased caries potential, and improper tooth proportions. Oral
hygiene should be maintained due to the embrasure changes in the molar area.
5. USE THE APPROPRIATE INSTRUMENTS
Always use burs with a known thickness and a known reducing effect on the enamel
layer. Do not use abrasive strips because they can create deep grooves which cannot be
eliminated.
6. DO NOT REDUCE WITHOUT GINGIVAL AND LABIAL PROTECTION
This protection allows the instrument to go below the contact point without causing
damage to the gingiva and helps the clinician to avoid the formation of an enamel over-
hang. It permits a painless reduction without gingival bleeding (Figures 9.3–3a and b).
7. RESPECT THE LIMITS OF THE REDUCTION
Boese recommends not to reduce beyond one half of the thickness of the enamel layer
of the lower incisors without giving any precision on the thicknesses used for reference.
Barrer advocates a maximum of 4 mm total reduction of the lower incisors, that is
0.5 mm from each proximal tooth surface. Paskow mentions a reduction of 0.25 mm
to 0.37 mm. Hudson proposes 0.20 mm on the proximals of the centrals, 0.25 mm
for the laterals and 0.35 mm for the cuspids, that is, a total reduction of 3 mm in the
anterior zone. Tuverson (1980) suggests the reduction of 0.3 mm without any danger
on the proximals of the four mandibular incisors and 0.4 mm on the cuspids, which
allows a total of 4 mm in the anterior zone. Alexander limits himself to 0.25 mm on
each tooth. Finally, Sheridan reduces up to 0.8 mm for the lateral zones and 0.25 mm
for the anterior teeth, that is a total gain of 8.9 mm.
Enamel is a highly mineralized tissue, which explains its protective function for
the underlying tissues, but this mineralization is most important at the surface. By
eliminating the highly mineralized external layer, we run the risk of slightly weakening
the enamel resistance to caries. The general tendency is to consider that the maximum
amount of enamel that can be removed corresponds to half of the enamel thickness.
This idea seems reasonable to us in order to ensure sufficient protection of the tooth.
 .-  . Brass wire used under the contact point for gingival protection.
 
 
Based on the lowest values recommended by Hudson, we have adopted the fol-
lowing recommendations:
Upper arch: Up to 0.6 mm per proximal surface from the mesial face of the first
molar to the distal face of the cuspids and 0.3 mm per proximal face of the anterior
teeth, which allows us to obtain about 10 mm of available space.
Lower arch: 0.6 mm from molar to bicuspid and 0.3 mm on the cuspids which
allows us to obtain about 7 mm of available space.
When all the principles are observed and considered, enamel reduction presents
certain advantages: it can help avoid extractions, and so no extra efforts are necessary
to close in the extraction site, there is no risk of space reopening, the reduction corre-
sponds exactly to the crowding, and the length of treatment time is reduced by 30 to
50%, which is important in decreasing the potential of root resorption.
Periodontists typically dread enamel reduction for fear of a reduction of the
embrasure width and the creation of root proximity. In fact, in the case of an anterior
crowding, there often already exist root proximities. Even if the reduction is done on
the lower anterior teeth, the amount of enamel reduced never exceeds the amount of
crowding. Thus, the root proximity is never worsened. On the contrary, the septum
ends up being enlarged. In the lateral zones, the reduction should always be done so as
to allow the use of interproximal tooth brushes.
Operative Protocol
1. ARCHFORM SELECTION AND LINGUAL ARCHWIRE TRACING
The final archforms are determined from the initial forms, which are either maintained
or modified. The lingual archwire tracings are obtained by computer, after using a
specific laboratory procedure which allows us to measure the thicknesses of the tooth
with its brackets, that is, the distance between the labial face and the bottom of the
slot. These tracings serve as a guide for all the treatment steps (Figure 9.3–4).
2. BONDING OF THE LINGUAL APPLIANCES
Bonding is done by an indirect method. All the teeth are bonded except those present-
ing an excessively severe rotation. At this point, we act differently from Sheridan who
initially bonds only the lateral and posterior zones. We prefer to work with a continuous
archwire in order to correctly lock the first molars and to allow arch-form modification
from the beginning of treatment.
 .-. Tracing of the final lingual
archwire obtained by computer (D.A.L.I. program).
Interproximal Enamel Reduction in Lingual Orthodontics 
3. ALIGNMENT PHASE
Only the teeth that are going to be reduced will be aligned, principally the bicuspids.
The rotation of the upper molars will be corrected, if necessary (Figures 9.3–5a to c).
In the anterior segment, the initial crowding can be decreased by arch-form modifica-
tion and by labial tipping, if this was excepted in the treatment plan. The archwire is
fabricated with small expansion loops mesial to the first molars that will allow a slight
labial tipping of the anterior teeth.
4. INTERPROXIMAL ENAMEL REDUCTION BETWEEN FIRST MOLAR AND SECOND BICUSPID
The reduction is carried out with a tungsten carbide bur, type 699 L (Figure 9.3–6),
and the polishing is done with a bur with tungsten carbide blades (Komet) (Figure
9.3–7). After a brass wire is placed to protect the gingiva and to keep the lips away,
the bur is vertically positioned (perpendicular to the occlusal plane), and the move-
ment takes place labiolingually with progressive “nibbling” at the enamel with succes-
sive movements (Figure 9.3–8). The same movement can be done in a lingual–labial
direction. In the vertical plane, the movement is limited by the brass wire. Some
authors have recommended doing the reduction with vertical movements from bottom
to top, placing the bur under the contact point and moving occlusally. On young
adults, there is, danger of compressing the papilla with the protecting wire and render-
ing it a painful procedure. Moreover, the “nibbling” movement cannot be done verti-
cally, and there is the risk of overheating the bur and tooth by the continuous action.
Polishing is done by horizontal and vertical movements in order to eliminate any
overhanging enamel which could be formed under the contact point during the reduc-
 .-  . Correction of the rotated teeth which have to be reduced: (a) At the beginning of treatment.
(b) After derotation of rotated teeth. (c) After reproximation procedure.

 
 
ing procedure. The periphery of the reduction zone is rounded to have a better tooth
morphology. The reduction between the first molar and the second bicuspid is between
the minimum value of 0.7 mm and maximum value of 1 mm, taking into account the
fact that polishing with multibladed burs create a further reduction of at least 0.1 mm.
The use of calibrated thickness gauges allows us to control the reduction.
5. DISTALIZATION OF THE SECOND BICUSPID
The movement to be done has a maximum distance of 1.2 mm, which seems insignif-
icant, but it is of the utmost importance not to lose any of the space gained. A figure-
eight ligature is tied around the brackets of the first and second molars. The archwire
is ligated with stainless steel ligatures on the molar and bicuspid brackets to prevent
any rotation. An elastic chain is hooked from the first molar to the second bicuspid
for distalization of the biscuspid (Figure 9.3–9).
 .-. Carbide bur recommended for
reduction (Komet 699 L).
 .-. Carbide polishing burs.
 .-. Reduction between the first molar and second
bicuspid with a 699 L carbide bur.
Interproximal Enamel Reduction in Lingual Orthodontics 
6. ENAMEL REDUCTION BETWEEN THE FIRST AND SECOND BICUSPIDS
About 1 mm of space is created between the first and second bicuspids following the
distalization of the second bicuspid. The reduction of the mesial surface of the second
bicuspid and of the distal surface of the first bicuspid is then carried out in the same
manner as in step 4 (Figure 9.3–10). The reduction will be easier to do because the
two bicuspids will no longer be in contact, but it will be more difficult to precisely
limit the amount of reduction on each surface. At this stage, the reduction is done by
nibbling as before, or by placing the bur on the brass wire under the contact point
and then directing the bur occlusally.
7. DISTALIZATION OF THE FIRST BICUSPID
This time, a figure-eight ligature is placed around the brackets of the second bicuspid
and the two molars. An elastic chain is hooked from the first to second bicuspid
(Figure 9.3–11). The distance of the movement can be more than 2 mm.
8. ENAMEL REDUCTION BETWEEN CUSPID AND FIRST BICUSPID
The same procedure is done on the mesial surface of the first bicuspid and on the
distal surface of the cuspid, if the amount of crowding demands a reduction greater
than 4.8 mm (2.4 mm on each side) (Figure 9.3–12).
 .-. Reduction between the first and second bicuspids.
 .-. Use of a figure-eight metal ligature around
the brackets of the first and second molars and an elastic chain to
retract the second bicuspid.
 .-. Use of a figure-eight metal ligature around
the brackets of the second bicuspid and molars and an elastic chain
to retract the first bicuspid.
 
9. CUSPID DISTALIZATION
A steel ligature is placed around the brackets of the two bicuspids and the two molars.
The distance of the distal movement of the cuspid can reach 3.5 mm (Figure 9.3–13).
10. ENAMEL REDUCTION OF THE UPPER INCISORS
If necessary, this reduction is done with a diamond disk on the labial side of the
mesial surfaces and on the lingual side of the distal surfaces. (Evident-Paris: EV 400–100,
400–101, 400–102) (Figure 9.3–14). The double gingival and labial protection pre-
vents accidents due to slipping of the disk caused by the rotation of the contra-angle
(Figure 9.3–15). Enamel sculpting of the lower incisors should be avoided, if possible.
If necessary, it is done in the same way as for the upper incisors.
11. ALIGNMENT OF THE ANTERIOR ZONE
An aligning archwire is engaged this time into all the brackets. Rotational elastomeric
chains are tied to rapidly correct any malposition of the incisors.
Case History
Figures 9.3–16a to m demonstrate the use of interproximal reduction in a case, with
crowded teeth and multidisciplinary problems.
A 45-year-old male had severe crowding in both arches, missing teeth (17,31,36,
37,47), and gingival recession on 33.
 .-. Reduction between the first bicuspid and cuspid.  .-. Retraction of the cuspid.
 .-. Diamond disk used for reproximation in the
upper incisor region. (Evident-Paris)
 .-. Lip and gingiva protection during
anterior reduction.
Interproximal Enamel Reduction in Lingual Orthodontics 
 .-  . Consecutive sequences of reduction in a crowded case: (a) Front view of the occlusion
before treatment. (b) Occlusal view of the maxillary arch before treatment. (c) Occlusal view of the maxillary arch
after bicuspid reduction and retraction. (d) Occlusal view of the maxillary arch after alignment of all of the teeth.
(e) Occlusal view of the maxillary arch after bracket-debonding and fixed retainer bonding.
(f) Occlusal view of the mandibulary-arch before treatment.
 
 
 
The treatment plan included periodontal treatment (Dr. Kadiri, Casablanca,
Morocco) interproximal enamel reduction on both arches after bonding the lingual
appliance (Ormco, generation 7 brackets), implants in the lower arch (Dr. P. Khayat,
Paris, France), and porcelain laminates (Dr. P. Miara, Paris, France). Total treatment
time was 18 months, much shorter than usually expected in such cases due to the very
clear and simple interproximal reduction protocol.
DISCUSSION
The recommended reduction protocol is long and the alignment of the anterior zone
can only start after several months of treatment, but it is progressive and the enamel
 
layer in the anterior region, where it is thinnest, is preserved. Unless contraindicated
for anatomical or periodontal reasons, the maximum amounts to be reduced on the
molars and bicuspids is 1.2 mm, using the 699 L and finishing burs. The decision
whether to do the interproximal reduction procedure in the anterior zone is clinical
 .-  . Consecutive sequences of reduction in a crowded case: (g) Occlusal view of the
mandibulary-arch with Ormco lingual brackets. (h) Occlusal view of the maxillary arch after alignment of all of
the teeth. (i) Occlusal view of the mandibular arch after bracket-debonding and fixed retainer bonding. Note the
posterior implants. (j–l) Front and profile views of the occlusion at the end of treatment. (m) Porcelain laminates.
(Dr. P. Miara, Paris, France)

 
 
 
Interproximal Enamel Reduction in Lingual Orthodontics 
and is contemplated during the distalization of the bicuspids. Contrary to Sheridan’s
method, springs are not used either to open spaces between the teeth before reduction
or for distalizing the bicuspids. Taking into consideration the small amplitude of the
movement of the bicuspids, the molars form a strong anchorage unit, using a continu-
ous archwire on which stops will be placed mesial to the first molars. If the anchorage
is limited to only one molar, it can be reinforced by the use of auxiliaries like a lip
bumper or a labial archwire associated with Class II elastics. After distalization of the
second bicuspid, the anchorage is reinforced by this second bicuspid.
In spite of the unproven common idea that flattening of the contact points allows
a better stabilization of the anterior teeth, a fixed retainer (cuspid to cuspid) is bonded
on all our patients and is kept in the mouth as long as possible. No space reopening in
the reduced zones is observed. Office application of fluoride followed by 2 to 3 weeks
of home use of a concentrated fluoride gel is highly recommended during the reduc-
tion period to enhance remineralization.
Bibliography
Alexander RG. The Alexander discipline, contemporary concepts and philosophies. Angel GA, ed.
1986.
Barrer HG. Protecting the integrity of mandibular incisor position through keystoning procedure
and spring retainer appliance. J Clin Orthod 1975;9:486–494.
Boese LR. Fiberotomy and reproximation without lower retention, nine years in retrospect, Part I.
Angle Orthod 1980;50:88–97.
Boese LR. Fiberotomy and reproximation without lower retention, nine years in retrospect, Part II.
Angle Orthod 1980;50:169–178.
Fillion D. Orthodontie linguale Réflexions cliniques. Rev Orthop Faciale 1990;24:475–498.
Fillion D. Apport de la sculpture amélaire interproximale à l’orthodontie de l’adulte (première partie).
Rev Orthop Dento Faciale 1992;26:279–293.
Fillion D. Apport de la sculpture amélaire interproximale à l’orthodontie de l’adulte (deuxième partie).
Rev Orthop Dento Faciale 1993;27:189–214.
Fillion D. Apport de la sculpture amélaire interproximale à l’orthodontie de l’adulte (troisième partie).
Rev Orthop Dento Faciale 1993;27:353–367.
Gillings B, Buonocore M. An investigation of enamel thickness in human lower incisor teeth.
J Dent Res 1961;40:105–118.
Hudson AL. A study of the effects of mesiodistal reduction of mandibular anterior teeth. Am J
Orthod 1956;42:615–624.
Paskow H. Self-alignment following interproximal stripping. Am J Orthod 1970;58:240–249.
Philippe J. L’orthodontie de l’adulte. S.D.I. éd., Paris, 1989.
Sheridan JJ. Air-rotor stripping. J Clin Orthod 1985;19:43–59.
Sheridan JJ. Air-rotor stripping update. J Clin Orthod 1987;21:781–788.
Sinclair PM. The reader’s corner. J Clin Orthod 1989;23:110–111.
Tuverson DL. Anterior interocclusal relations: part I. Am J Orthod 1980;78:361–370.

Since Dr. Kinya Fujita, associate professor at Kanagawa Dental College, developed his
lingual mechanics in 1970, the number of the lingual orthodontics patients has con-
stantly risen in Japan (Figure 10.1–1). Eighty-one percent of adult cases in Japan are
extraction cases (Figure 10.1–2). Therefore, a lot of attention must be given to the
mechanics used to close spaces. In labial orthodontics, the mechanics usually described
in the literature involves canine retraction, and once it is accomplished, upper and
lower incisors are retracted. Lingual patients, however, strongly demand that esthetics
will be maintained throughout the treatment, which means, in addition to the invisi-
ble braces, avoiding opening spaces between the lateral incisors and canines during
treatment. Therefore, the anterior segment is retracted as one unit.
En masse retraction can cause many mechanical problems such as bowing effect
(vertical and transverse) and anchorage control. The vertical bowing effect is the most
serious problem, since it cannot be avoided with simple auxiliaries like transpalatal
arches. When a strong retraction force is used in an anterior–posterior direction
(Figure 10.1–3), the upper anterior segment (3-3) may tip lingually. The bite plane
effect of the upper lingual brackets can cause posterior disclusion and consequently
 .
Sliding Mechanics versus
Loop Mechanics During
En Masse Retraction in
Extraction Cases
KYOTO TAKEMOTO, DDS
 .-. The number of lingual orthodontists in Japan
in the years 1988–1994.
’88 ’89 ’90 ’91 ’92 ’93 ’94
140
340
420
520
920
960
1000
 
loss of lateral occlusal function. As a result, bowing effect occurs. When the same
amount of force is applied in both systems (labial and lingual) and the intrusion force
(FI) equals the retraction force (FR), the net force vector is pointed directly towards
the center of resistance (CR) in a labial system (Figure 10.1–4a) but not in a lingual
system. The net force vector in lingual orthodontics will produce a lingual tipping
force and vertical bowing effect (Figure 10.1–4b). Thus, the retraction force should be
minimized during en masse retraction, and more intrusion and torquing force is need-
ed to retract the anteriors in lingual orthodontics than in a labial system.
Sliding Mechanics and Loop Mechanics
En masse retraction is performed with sliding mechanics or loop mechanics. Three
different kinds of loops are commonly used: closed helical loop (Figure 10.1–5a), L-loop
(Figure 10.1–5b), and T-loop (Figure 10.1–5c). Wire friction and uncontrolled retrac-
tion force are the main disadvantages of sliding mechanics. As a result, anchorage loss
is apt to occur. Other disadvantages are increased depression of lower anteriors due to the
force applied by the anterior bite plane while retracting the upper incisors, the difficulty
 .-. Comparison of extraction vs. nonextraction cases
in the Takemoto orthodontic office.
 .-. Vertical bowing effect.
Non-Ext
19%
Ext
81%
Posterior disclusion
A-P retraction
Sliding Mechanics versus Loop Mechanics During En Masse Retraction in Extraction Cases 
in applying the technique to unusual extraction cases where different teeth are extracted
on the right and left sides, and increased retraction time and consequently increased
treatment time. The technique of sliding mechanics has the advantage of being simple
and effective for preventing transverse bowing effects without using a transpalatal arch.
 .-. Momentum analysis of anterior retraction
in labial mechanics.
 .-. Momentum analysis of anterior retraction
in lingual mechanics.
 .-. Archwires used for en masse
retraction: Closed helical loops mechanics.
 .-. Archwires used for en masse
retraction: L-loops mechanics.
 .-. Archwires used for en masse
retraction: T-loops mechanics.
Labial Appliance
O: center of resistance
FR: retraction force
FI: intrusion force
M1: moment
D0: Distance to FR
D1: Distance to FI
M1 = D0 • FR – D1 • FI = 0
Intrusion force in Labial
Appliance will affect the
bodily movement of teeth.
Lingual Appliance
O: center of resistance
FR: retraction force
FI: intrusion force
M2: moment
D0: Distance to FR
D2: Distance to FI
M2 = D0 • FR – D2 • FI > 0
However, it may also
react as tipping force in
Lingual Appliance due to
the differences in force
direction.
O O
M1
M2
FR
FR
FI
FI
D1
D2
D0
D0
 
Loops mechanics are very effective for closing space without wire friction. In addi-
tion, the mechanics allow us to incorporate a bigger tipping bend into the archwire.
However, it is quite complicated to bend the wires with the different loops, and it
requires a lot of skill from the orthodontist. The mechanical and cephalometric fea-
tures of sliding and loop mechanics were compared in a study.
Material and Methods
Fourteen extraction cases were treated with sliding mechanics: 7 cases with maximum
anchorage and 7 cases with minimum anchorage.
Thirty extraction cases were treated with loop mechanics: 10 cases with closed
helical loops, 10 cases with L-loops, and 10 cases with T-loops.
Ricket’s cephalometric analysis was used, and 11 different factors were examined:
facial axis, facial depth, mandibular plane angle, lower facial height, mandibular arc,
lower lip to E-line, total facial height, maxillary convexity, lower incisor to A-pogo-
nion (mm), lower incisor to A-pogonion (deg.), and upper molar to PTV.
Anterior incisor torque control, the amount of anterior retraction, anterior intru-
sion, and anchorage loss of the upper molars were measured. In addition, treatment
 .-. Superimposition of cephalometric tracings to analyze
the amount of intrusion.
Table 10.1–1. Results of the Comparison between Sliding Mechanics
and Loop Mechanics
Sliding Loop
U1 to FH 11.7 ± 4.9 (max) 6.1 ± 7.1* (T-loop)
21.3 ± 8.1†
(closed helical)
U anchorage 1.3 ± 0.7 (max) 0.5 ± 0.8*
L1 to mand. pl. 2.6 ± 1.3 (max) 1.4 ± 0.8* (T-loop)
FX 0.1 ± 0.8 –0.2 ± 0.4
Ret. term 12.6 ± 3.7 9.2 ± 3.7*
* = P < 0.05; †
= P < 0.01
Sliding Mechanics versus Loop Mechanics During En Masse Retraction in Extraction Cases 
time for en masse retraction was measured. The differences in the amount of anterior
intrusion toward the center of resistance was measured before and after treatment
(Figure 10.1–6). Statistical t-tests were used to compare the incremental changes
between sliding and loop mechanics. The significance level for statistical comparisons
was predetermined at P < 0.05 and P < 0.01.
Results
The results are summarized in Table 10.1–1.
Discussion
There was no significant difference in the skeletal pattern between sliding and loop
mechanics. Upper anterior torque (U1 to FH) was maintained better with T-loop
mechanics compared to sliding mechanics (P < 0.05) and worse with closed helical
loops (P < 0.01). Anchorage (U6 anchorage) was controlled better with all loop
mechanics (P < 0.05). Lower anterior intrusion (lower incisor to mandibular plane)
was significantly smaller with T-loop mechanics (P < 0.05). There were no significant
differences in facial axis (FX) between both mechanics which means that there is no
 .-. Sliding mechanics for upper arch.
 .-. Anchorage control in the upper arch in a mini-
mum anchorage case with sliding mechanics.
cl III el cl III el
 
opening of the mandible with any of the mechanics. Retraction was accomplished in
a shorter time with loop mechanics than with sliding mechanics (P = 0.05).
Based on these results, the following protocol for the use of sliding and loop
mechanics is recommended:
SLIDING MECHANICS (FIGURE 10.1–7)
Archwire: .016 × .022 SS
Indications: 1. Minimum or moderate anchorage cases with upper second bicuspid
extraction (Figure 10.1–8); 2. nervous patients who do not want auxiliaries like loops;
and 3. lower arch extraction cases.
CLOSED HELICAL LOOP OR L-LOOP MECHANICS (FIGURE 10.1–9)
Archwire: .016 X .022 SS or .017 × .025 TMA
Indications: 1. Open bite cases with little need for upper anterior torque control or
active tipping of anteriors; and 2. closure of small spaces.
T-LOOP MECHANICS (FIGURE 10.1–10)
Archwire: .017 X .025 TMA
Indications: 1. When maximum anterior retraction is needed while maintaining ante-
rior torque; 2. when active intrusion of anteriors is indicated (Figure 10.1–11); and
3. in seventy percent of total extraction cases.
 .-. Closing mechanics (closed helical loops)
for upper arch.
 .-. Closing mechanics (T-loops) for upper arch.
 .-. Anchorage control in the upper arch in a maxi-
mum anchorage case with T-loop mechanics.
cl II el cl II el
Sliding Mechanics versus Loop Mechanics During En Masse Retraction in Extraction Cases 
Use of TMA Archwires
The wire stiffness of TMA archwire is in the middle of SS and Ni-Ti archwires
(Figure 10.1–12). By incorporating T-loops into TMA archwire, the retraction force is
reduced to less than half of that of SS and light continuous retraction force is applied.
Therefore, the TMA minimizes the reaction on molars when cinching back at the end
of the T-loops for activation. When a bigger bowing arch form and a transpalatal arch
are added into the T-loop TMA, the occurrence of the transverse bowing effect is mini-
mized, and the occlusal function in the molars is not lost.
In addition, a TMA archwire has greater resilience and more gable bends, or com-
pensative curves can be incorporated into the T-loops to provide anterior intrusion
force. Therefore, when accomplishing bite opening, the anteriors are retracted by the
intrusion force while maintaining the dental axis, and there is no need to rely on the
bite plane effect of the lingual brackets. As a result, the occurrence of vertical bowing
effect is also minimized while maintaining lateral occlusal function.
 .-. The force/deflection graph of different archwires:
SS, TMA, and Ni-Ti.
10 20 30 40 50 60 70 80 90
300
250
200
150
100
50
Deflection (degrees)
SS
TMA
Ni-Ti
Approximateforce(grams)

A 30-year-old female presented with skeletal Class I and dental Class II malocclusion,
high mandibular plane angle, deep overbite (5 mm), rotated left upper central, ectopic
erupted upper cuspids, and mild to severe anterior upper and lower crowding. The
treatment plan included upper and lower lingual orthodontic appliance (Ormco gen-
eration #7) with upper first bicuspid and lower second bicuspid extractions.
Maxillary Archwire Sequence
1) .014 Ni-Ti Leveling
2) .016 TMA Eliminating rotations
3) .016 SS Partial cuspid retraction
4) .0175 × .0175 TMA Torque adjusting
5) .016 × .022 SS; .017 × .025 TMA En masse retraction with class II elastics
6) .016 TMA Finishing
Mandibular Archwire Sequence
1) .014 Ni-Ti Leveling
2) .016 TMA Eliminating rotations
3) .016 SS Partial cuspid retraction
 .
Case Presentation:
Loop Mechanics
GIUSEPPE SCUZZO, MD, DDS
 .-  . At initial orthodontic examination: Facial and profile views. Note unesthetic smile.
 
 
4) .0175 × .0175 TMA Torque adjusting
5) .016 × .022 SS Closing spaces, with class I elastics
6) .016 SS Finishing
Treatment Sequence
Maxillary Mandibular
1) leveling 4) leveling
2) torque adjusting 5) torque adjusting
3) space closure and en masse retraction 6) space closure
Active treatment time: 36 months

 
 
 .-  . At initial orthodontic examination: intraoral views.
Note deep bite, severe crowding and rotations, and midline shift.
Case Presentation: Loop Mechanics 
 .-. Partial cuspid retraction: .016 SS archwire,
transpalatal arch, labial transparent button, elastic power chain from
cuspids to molars, partial engagement of the wire in the anterior region.
 .-. .016 × .022 SS archwire for en masse retraction.
L-loop mechanics with class II elastics. Posterior and anterior
segments are figure-eighted with SS ligature wire.
 .-. .016 SS archwire. Cuspids partially retracted,
anterior alignment.
 .-  .-. Treatment sequence in the maxillary arch.
 
 .-. .016 SS archwire fully engaged.
Retraction is continued.
 .-. .016 SS archwire. Note power chain from
lingual hook of the right cuspid to the buccal metal button of the
right molar for retraction and rotation.
 .-  . At the end of orthodontic treatment: facial and profile views.
Note the pleasant and esthetic smile.
 
 .-. .014 Ni-Ti archwire for leveling. Partial engage-
ment of the wire in the anterior region. Power chain from premolars
to molars for partial retraction.
 .-  .-. Treatment sequence in the mandibular arch.
Case Presentation: Loop Mechanics 

 
 
 .-  . At the end of orthodontic treatment: intraoral views.
Note cuspid and molar Class I occlusion, arch integrity and correct midline. Lower fixed retainer
(3-3) was bonded and clear vacuum retainer was provided for the upper arch.
 .-. Cephalometric superimposition tracing: before
and after the treatment. Note the minimal change in the molars,
retraction of the upper centrals, and intrusion of the lower centrals.

A 53-year-old female presented with slight crowding in both dental arches, Class II
Division I malocclusion with excessive overjet and extensive dental restorations.
The treatment plan included placement of maxillary and mandibulary lingual
appliances (Ormco, generation #7). In the maxilla, the left first bicuspid and right sec-
ond bicuspid were to be extracted. The decision to extract the right second bicuspid
was based on the condition of the crown; although it had recently been placed it was
determined that the long-term prognosis would be improved with its removal. No
teeth were to be extracted in the mandible. The patient was treated to a Class II molar
and Class I cuspid relationship.
Fourteen days after the records and face bow transfer were taken, all brackets were
bonded. Upper and lower .0175 Respond sectional archwires were placed in the upper
arch from 3-3 and in the lower arch from 5-5. Upper extractions were completed
immediately afterwards.
One month after the initial bonding, separators were placed for banding of both
maxillary first molars and left second molar. In the mandible, the corresponding teeth
were also banded. (All banded molars had been crowned.)
Upper and lower .016 TMA wires were placed to begin leveling and alignment
(Figures 10.3–1a to e). Four weeks later, an upper .016 × .022 SS archwire was
placed. In the maxilla, the wire was not fully engaged to the anterior rotated teeth
(Figures 10.3–2a and b). The SS rectangular wire allows controlled and complete
retraction of the right first bicuspid and preliminary retraction of the left cuspid. The
upper buccal molar segments were ligated together to act as anchorage units. Power
tubes and power chains were placed to provide force (sliding mechanics). The patient
was seen every 3 to 4 weeks for the next 3 months to replace the power products.
Once adequate space had been gained to correct the alignment of the upper incisors,
the original .016 TMA was replaced, and all rotations were corrected (Figures 10.3–3a
and b).
Three month later, the upper .016 × .022 SS archwire was replaced and a trans-
parent labial button bracket was bonded to the right first bicuspid. A power chain was
added from this button to the labial molar tubes. This enabled dual force mechanics
without rotation of the tooth during the retraction (Figure 10.3–4).
After another 3 months, the bicuspid was completely retracted. The right buccal
segment was figure-eighted to include the bicuspid in the posterior anchorage unit
and the anterior segment was also figure-eighted with stainless steel ligature wire.
Power tube and power chain were placed from bicuspid to cuspid to supply the force
for the en masse retraction of the anterior segment (Figure 10.3–5a and b).
 .
Case Presentation:
Sliding Mechanics
J. COURTNEY GORMAN, DDS, MS
 
 .-  . One month after the initial bonding; .016 TMA wire was placed in both arches:
(a) Frontal occlusal view. (b) Left buccal view. Note the enlarged overjet and asymmetric extraction sites.
(c) Right buccal view. (d) Occlusal view of the mandibular arch, .016 TMA wire was placed on both arches.
(e) Occlusal view of the maxillary arch.

 

 

 .-  . Two months in treatment.
Note upper .016 × .022 SS archwire is not fully engaged in the anterior rotated teeth.
Case Presentation: Sliding Mechanics 
 
 .-  . Eleven months in treatment. The right upper buccal segment was figure-eighted
to include the bicuspid in the posterior anchorage unit. The anterior segment was figure-eighted as well.
A lower .016 × .022 SS archwire was placed.
 
 .-  . Five months in treatment. The upper original .016 TMA was replaced to
correct all rotations. Lower alignment continues with .016 TMA.
 .-. Eight months in treatment. The upper
.016 × .022 SS archwire was replaced and a transparent labial but-
ton bracket was bonded to the right first bicuspid for retraction.
 
It took another 14 months to complete the space closure and final detailing of the
teeth. During this time, the process was interrupted two times for repair of loose
brackets. During the last 5 months, the patient wore a 6 oz 1/4'' Class II elastic on the
left side, from the lingual bracket of the left upper lateral incisor to the labial hook of
the lower second molar. All appliances were removed after 26 months of treatment,
2 months ahead of the pretreatment estimate (Figures 10.3–6a to c). Clear overlay
retainers were delivered on the same day of debonding, and the patient was instructed
to wear them full-time for 2 months and then nights only. The patient was very
pleased with the results. She stated on many occasions that the lingual appliance was
the only reason she was willing to undergo treatment.
 
 .-  . Eleven months in treatment (before debonding).
(a) Frontal occlusal view. (b) Occlusal view of the maxillary arch. (c) Occlusal view of the mandibular arch.


Lingual orthodontics has developed as a result of the ever-increasing demand for an
orthodontic therapy with acceptable esthetics. Even though at the beginning the lin-
gual technique was addressed almost exclusively to adult patients to avoid discomfort
and the embarrassment of wearing a labial appliance, it is also applicable in mixed
dentition malocclusions. Not every patient is a suitable candidate for such a treatment,
and the following criteria are recommended:
1. Age: Children who have at least concluded the first period of secondary dentition,
which means full eruption of the four permanent incisors (about 8 to 9 years).
Patients in late mixed dentition are extremely sensitive about their appearance.
2. Responsibility or motivation: The sense of responsibility and motivation must be
very high, as this technique requires a stricter regimen and more constant collaboration
compared to classic labial techniques. An initial interview with the child and his/her
parents will help the patient selection.
3. Oral hygiene: A motivation towards good oral hygiene is fundamental. Poor
oral hygiene is an absolute contraindication to any orthodontic therapy, especially lingual
orthodontic therapy which requires much more effort from the patient. Since the
“critical” zone is located exclusively at the upper incisors, a few simple devices and
auxiliaries are indicated.
4. Phonetics: Some authors deem that such appliances can give rise to problems
in speaking. Our clinical observation after many years of treating children with lingual
orthodontics is that after the expected initial discomfort period, the speech returns to
the same as it was prior to bonding. Patients with severe problems of dyslalia are not
recommended to be treated with lingual appliances.
5. Esthetics: The concept of self-image plays an important role in adolescence, and
the esthetic needs of the young patient has an effect on his or her personality and
behavior. In this respect, some extremely positive data has emerged from unpublished
research carried out by the author on young patients treated with lingual appliances.
Tests were given, including drawings and questionnaires, concerning esthetic appear-
ance, oral hygiene, and phonetics. The youngest patients were happy to have an invisi-
ble appliance but did not keep it a secret from their friends like adults usually do. On
the contrary, they were proud to belong to a “brace” group of friends, even if in a
more exclusive way. In adolescence, on the other hand, when a psychological relation-
ship with the opposite sex begins, the lingual appliance is kept secret. It helps to avoid
the embarrassment which arises when smiling with a traditional appliance. This is the
period during which young people continually look at themselves in the mirror, and it
is satisfying for them to be able to see an improvement taking place day by day, with-
 
Lingual Orthodontics
in Pediatric Patients
LORENZO FAVERO, MD, DDS, MSc
 
out having to go through an “ugly duckling” period. In the illustrations made by the
youngest patients, the patient’s face was drawn without any visible appliance, and hap-
piness and appreciation are symbolized.
Therapeutic Indications
There are some malocclusions in mixed dentition that are suitable for early treatment
with a lingual appliance:
Skeletal Class I with dentoalveolar open bite (caused by atypical deglutition,
thumb sucking, and tongue thrusting); skeletal Class I with dentoalveolar deep bite;
moderate occlusal Class II Division I with dentoalveolar deep bite; Class II Division II
with dentoalveolar deep bite; pseudo Class III with functional anterior shift (i.e., skeletal
Class I and dental Class III); and skeletal Class III with hypomaxilla.
Other malocclusions can also be resolved with lingual appliances without any
limits. Particular care and practice are necessary in more difficult cases like Class I with
serious crowding, Class II Division I open bite caused from mandibular divergence,
or skeletal Class III with a mandibular component.
Anatomical and Biomechanical Evaluations
All the known advantages of lingual orthodontics are more evident in young patients.
From the biomechanical point of view, the center of resistance (CR) of the tooth is
nearer the point of application of the force compared to adults, as demonstrated by
the work of Pederson et al. (EJO 1991; 13:65–74); as a result, the moments are
diminished, and the bodily movement of the dental elements is much easier and more
immediate.
Operative Protocol
Lingual orthodontics in young patients is frequently used in the upper arch and seldom
in the lower arch. The upper molars and the central and lateral incisors are usually
bonded as would be done in an adult patient. A buccal tube on the molars is necessary in
case of extraoral traction or the use of auxiliary superstructures. Bonding of the primary
 -. Pendulum “F” (Favero).  -. Molar bands provided with a double tube for later
placement of transpalatal bar, after distalization with Pendulum “F”.
Lingual Orthodontics in Pediatric Patients 
second molars is highly recommended since these teeth will be present in the arch for
a long time, have good clinical crowns and anatomical dimensions, and have high
anchorage value.
Bonding of the first primary molars and primary cuspids must be avoided as they
are small and often exfoliate during the treatment. In the course of therapy, the first
permanent premolars can be utilized while they are erupting. Their insufficient clinical
crowns can be visualized with retraction cord inserted in their eruptive pseudopocket
while taking the impression. This method is also used when the upper lateral incisors
are partially erupted or have anomalous inclinations.
One must also consider the interbracket distance between the upper lateral incisors
and primary second molars. This space is not wide because the deciduous canine and
the first primary molar present smaller mesiodistal dimensions compared to their
permanent successors. The wire offset between the primary cuspid and the primary molar
is very small because of the anatomical arrangement of deciduous teeth in the arch and
the absence of the canine protuberance, and because the contraction loops that are used
 -. Pendulum “F.” The acrylic part is larger than
usual to give support for the TMA archwire section which is used to
align the front teeth.
 -. Pendulum “F.” Contraction TMA loops in an
open-bite case.
 -. Pendulum “F.” The anterior bite effect of the
anterior lingual brackets facilitates molar distalization. Sagittal
screw to activate the appliance.
 -. Pendulum “F.” A tongue crib is inserted into the
acrylic button in cases of open-bite and tongue-thrust habits.
 
mesially to the primary second molars to increase the resilience in this area and to apply
more gradual strength at a distance also occupy some of the interbracket space.
Pendulum “F” Mechanics
One of the advantages of early treatment is reduced treatment time due to the use of
specific mechanics from the early phases of the therapy. The Pendulum appliance that
was described by Hilghers was adapted and modified by the author for the lingual
technique and called Pendulum F (Figure 11–1). The lingual part of the bands are
provided with a double tube (Figure 11–2). The larger tube is used for stabilizing the
molars after distalization by means of a transpalatal bar. The acrylic part is larger than
usual to give support for a TMA archwire section which is used to align the front
teeth, through the lingual brackets, which have been bonded since the beginning of
treatment (Figure 11–3). This type of archwire can be bent in various ways according
to its use, with expansion or contraction loops and intrusion or extrusion forces
(Figure 11–4). It permits immediate, decisive alignment and increases the anchorage
to the appliance. Thanks to the bite effect of the anterior lingual brackets, the arch is set
free, allowing a greater molar distalization (Figure 11–5). A tongue crib can be inserted
into the acrylic button in cases of open-bite and tongue-thrust habits (Figure 11–6).
Pendulum F can be also used as an orthopedic maxillary expander (Figure 11–7).
Laboratory Procedures
Specific instructions to the laboratory should be given for young patients with decidu-
ous teeth:
1. The diagnostic program of each patient should be described since we are deal-
ing with an interceptive treatment.
2. The deciduous dental elements that will be extracted or reduced in size should
be taken into consideration while preparing the set-up, such as the deciduous
canines that may be extracted or stripped mesially to obtain a correct position-
ing of the incisors at the midline.
3. The use of the retraction cord in partially erupted, crowded, or rotated teeth
 -. Pendulum F used as an orthopedic maxillary
expander.
Lingual Orthodontics in Pediatric Patients 
(Figures 11–8a and b) is not always possible, and a new impression should be
taken at a later stage.
4. Late erupting teeth like the first permanent premolars should be bonded
separately.
CASE REPORT
A 10-year-old girl presented with Class I malocclusion, anterior cross-bite (2|2)
and midline deviation (Figures 11–9a and b). The maxillary arch (Figure 11–10) was
aligned with a lingual appliance (Ormco, generation #7) bonded on the upper central
and lateral incisors, second primary molars and first molars (Figure 11–11). The
mandibular arch (Figure 11–12) was treated with the same appliance bonded with the
CLASS technique on the incisors, cuspids, and first molars, combined with a lip
bumper (Figures 11–13a and b). Cervical traction and Class II elastics were added
(Figure 11–14). Harmonic and balanced occlusion was achieved, and the midline was
corrected (Figures 11–15a and b).
 -  . Facial and lateral clinical views before treatment:
Note Class I malocclusion, anterior cross-bite and midline deviation.
 -  . Retraction cord is used in partially erupted, crowded, or rotated teeth:
(a) Before insertion of the retraction cord. (b) After insertion.
 
 
 
 -. Pretreatment view of the maxillary arch.
 -. Pretreatment view of the mandibular arch.
 -. Lingual appliance (Ormco, generation #7)
bonded on the upper central and lateral incisors, second primary
molars, and first molars.
 -. CLASS technique used for indirect bonding of
mandibular arch with lip bumper. Stripping of the second deciduous
molar to gain leeway space.
 -. Lingual appliance (Ormco, generation #7)
bonded on the incisors, cuspids, and first molars.
Lingual Orthodontics in Pediatric Patients 
Conclusion
Lingual therapy in the pediatric patient shows simple, modern, and diversified use.
The numerous advantages are represented by a remarkable psychological acceptability,
smaller interferences with removable appliances, a shorter treatment time, biomechan-
ical advantages (such as increase of sagittal and transverse expansive effects), a greater
effectiveness of superstructures such as elastic bands, and a greater consideration for
esthetics that translates into a greater acceptance of orthodontic therapy.
Bibliography
Alexander CM, Alexander RG, Gorman JC, et al. Lingual orthodontics: a status report. J Clin
Orthod 1982;16:255.
Favero L. L’ortodonzia linguale nel paziente giovane. Atti del 3° Congresso Nazionale del “Collegio
dei Docenti di Odontoiatria” Roma 1996.
Favero L. Proper mechanics in pediatric lingual orthodontics. 2nd Symposium European Society of
Lingual Orthodontics Principaut de Monaco 1996.
Favero L, Tagliapietra S. Lingual orthodontics in paediatric patient. The First ESLO Congress.
Proceedings and abstracts. Venice 1993.
Fujita K. Multilingual-bracket and mushroom archwire technique. Am J Orthod 1982;
82(2):120–140.
 -. Cervical traction and Class II elastics were added.
 -  . Facial and lateral clinical views after treatment:
Note harmonic and balanced occlusion with a corrected midline.
 
 
Nidoli G, Macchi A, Lazzati M. Migliora l’estetica con l’incollaggio linguale dei brackets. Attualità
dent. 1988;4(18).
Pedersen E, Andersen K, Melsen B. Tooth displacement analysed on human autopsy material by
means of a strain gauge technique. Euro J Orthod 1991;13:65–74.
Ronchin M. Tecnica individuale di montaggio indiretto degli attacchi linguali. Ediz. Audiovisive
Medical Video. Milano 1991.
Siciliani G. Apparecchiature ortodontiche linguali esperienze cliniche. Dental Cadmos, 1988;
18:17–41.
Siciliani G, Fassetta F, Mula L. “Problematiche fonetiche nelle apparecchiature ortodontiche ad
approccio linguale.” Quaderni di Odontostomatologia, Anno IV:1, 1987.
Velo S, Dal Broi G, Piubelli. Lingual technique silent and invisible orthodontics. The First ESLO
Congress. Venice 1993.

The existing close relationship between maxillofacial surgery and orthodontics allows a
precise and complete resolution of most dental and maxillofacial deformities and the
overall restoration of a harmonious structural and functional stomathognatic apparatus.
In the last few years, the close collaboration of these two disciplines has been further
enhanced by the mutual evolutions of the Rigid Internal Fixation (RIF) technique
of the maxillofacial surgeon and the lingual technique of orthodontics. By using RIF
as a means of surgical retention of the skeletal segments which are mobilized in the
treatment of the maxillomandibular malformation, it is not necessary, as in the past,
to provide intermaxillary fixation at the end of a surgical operation. This allows the
orthodontist to use the lingual technique in the pre- and postoperative treatments of
such pathologies.
The esthetic requirements of many adult patients are definitively met by such a
combined therapy. These esthetic needs are important and should be taken into con-
sideration by the doctors involved in their treatment. In the case of presurgical ortho-
dontics, such needs can be met by employing the lingual technique in a traditionally
rigid method.
The lingual brackets are indirectly applied by the employment of transfering
masks constructed by means of articulated mounting casts, surgical–orthodontic
VTO, and set-up of dental casts (CLASS Method), and then indirectly bonded.
The purpose of the presurgical orthodontic therapy with the lingual technique are
the same as those using a labial technique—to prepare the dental arches prior to
manipulation of the skeletal bases. Therefore, it is necessary to first eliminate as many
of the dental–alveolar components of the malocclusion as possible, leaving only the
malformed skeletal components to be corrected by the maxillofacial surgery.
Orthodontic Operative Protocol
The alignment and leveling of the arches will be carried out by initially proceeding
with light wild-cat type or .016 TMA, following by stronger archwires (rectangular
.016 × .022 SS or .018 × .025 SS). In cases of crowding, the dental extractions will
proceed as usual only in cases of real dental–skeletal discrepancy. We should try to
position the upper and lower incisors in correct axial relation to the respective skeletal
bases (bispinal level and mandibular level) so that at the end of the presurgical prepa-
ration, the sagittal discrepancy at the interincisor level corresponds to the sagittal dis-
crepancy on the skeletal bases (points A and B). Therefore, the occlusal set-up of the
dental casts and the preparation of the transferring masks are of primary importance,
both for efficient presurgical orthodontics and for a valid structural and esthetic result.
 .
The Lingual Technique
in Orthognathic Surgery
ALESSANDRO SILVESTRI, MD, DDS, ENT
 
When expansion of the maxillary arch is needed as part of the presurgical lingual
technique, there are two treatment options:
1. If the traverse expansion is accomplished in the presurgical orthodontic phase
with a Quad-Helix (QH) or a Rapid Palatal Expansion (RPE) appliance, the
 .-  . Frontal and lateral facial views at the beginning of treatment.
Note the small esthetic anomalies (midline shift of the chin and long face syndrome).
 
 .-  . Pre-treatment front and laterals views of the occlusion. Note the Class III malocclusion
with an anterior open bite and posterior cross-bite caused by a real contraction of the upper arch.
 

The Lingual Technique in Orthognathic Surgery 
impression for the lingual appliance is taken only after this first expansion
phase is completed.
2. Surgical expansion can be accomplished together with the repositioning of the
maxillary components with an intermaxillary disjunction LeFort I osteotomy
technique. In this case, the initial set-up of the dental casts will be for the
presurgical, nonexpansion orthodontic phase, and once the orthodontic prepa-
ration is completed, a second presurgical set-up will be constructed with which
the intermaxillary corrections will be planned. On this set-up, a surgical splint
will then be constructed, and this will serve as the guide for the correct reposi-
tioning of the skeletal maxillary segments.
Surgical Operative Protocol
The orthodontist should apply vestibular buttons with an esthetic material (like poly-
carbonate, glass, or ceramic) just prior to the surgery to offer the surgeon an anchor
during the operation. They should be symmetrically positioned on both sides of the
arch on the canines, first premolars and central incisors. As well as offering the neces-
 .-. Lower lingual appliance (Ormco, generation #7).
.016 TMA archwire with vertical loop to obtain the rotation of
the right lower cuspid.
 .-. Quad-Helix in the maxillary arch for bilateral
expansion.
 .-. Upper lingual appliance (Ormco, generation #7)
.016 TMA archwire.
 
sary intermaxillary anchorage in the operating room, it will also allow, in the postsur-
gical phase, the possibility of applying intermaxillary elastics, which are normally used
for the neuromuscular rehabilitation, to optimize the dental intercuspation. In case of
maxillary surgical expansion as with labial orthodontics, the lingual orthodontic
patient will be surgically treated via two upper sectional arches to facilitate the inter-
maxillary disjunction and the repositioning of the two skeletal segments so that it is
not necessary for the surgeon to section the orthodontic arch. The occlusal splint can
be removed quickly after the operation or, at the latest, 7 to 10 days postsurgically. At
this time, a continuous archwire should be applied in the place of two upper sectional
arches to stabilize the maxillary arch. Rigid internal fixation with the use of plates and
screws eliminates the need for postsurgical intermaxillary blockage.
 .-. Facebow registration before
the surgery.
 .-. Set-up VTO cast models before the surgery.
The Lingual Technique in Orthognathic Surgery 
Some surgeons still use postsurgical intermaxillary blockage, which does not allow
postoperative examination of the site nor the proper hygiene of the lingual orthodon-
tic appliance, causing great inconvenience to the patient who is already inconvenienced
by the blockage itself. Therefore, the lingual orthodontic technique is indicated only
in cases when the surgeon uses rigid internal fixation.
Case Presentation
A 28-year-old female presented with very slight esthetic problems including profile
alterations (Figures 12.1–1a and b). Her occlusal and radiographic findings revealed a
Class III malocclusion, an anterior open bite, upper dental crowding, and a posterior
bilateral cross-bite (Figures 12.1–2a to c).
The presurgical orthodontic lingual treatment plan included alignment of the
lower arch with a lingual appliance (Figure 12.1–3). The upper arch was expanded
with Quad-Helix (Figure 12.1–4). Alignment and leveling of the arch were completed
with the lingual appliance (Figure 12.1–5). Facebow registration and set-up VTO
models were prepared before the surgery (Figures 12.1–6a and b). Ceramic brackets
 .-. Front view of the occlusion before surgery with
the esthetic labial brackets.
 .-. Lateral cephalometric radiograph.
Plates and screws for the RIF are visible.
 
were bonded two days before the surgery (Figure 12.1–7). The maxillofacial surgery
has anticipated in the maxilla a LeFort-I osteotomy with impaction of 4 mm in the
posterior region and 1.5 mm in the anterior region. In the mandible, a bilateral sagit-
tal osteotomy was performed with a counterclockwise rotation of the mandible.
Surgical retention was gained by RIF (Figure 12.1–8).
The surgery was followed by an orthodontic phase of neuromuscular rehabilita-
tion and the perfection of the occlusion (Figures 12.1–9a to d).
 .-  . Post-treatment views of the occlusion.
Note the Class I occlusion, correct sagittal and vertical relationships, and nice smile line.
 
 .-  . Front and lateral facial views at the end of treatment.
Note the shorter face and pleasant profile.
 

Surgical Rapid Maxillary Expansion (RPE) is a procedure relatively well known to
orthodontists and oral surgeons alike. Its purpose is to help achieve maxillary expansion
in adult cases. Some of the advantages of this technique are less morbidity than in
complete LeFort procedures; it can be done as an outpatient procedure; a midpalatal
incision is avoided; and a fixed expansion appliance (Hyrax) can be placed prior to
surgery. Surgical RPE is also less costly, and patient recuperation time is reduced. In
lingual orthodontic treatments, a different protocol should be used since both the
RPE and the orthodontic appliance are bonded on the same side of the teeth.
Case Report
A 27-year-old male presented with dental and skeletal Class III malocclusion with
anterior open bite, maxillary transverse and antero-posterior deficiency, bilateral poste-
rior and anterior cross-bite and mandibular crowding (Figure 12.2–1). Since the
mandibular position was good and did not reflect the severity of the Class III dental
occlusion, a more conservative approach which involved surgical RPE was considered.
Impressions for lingual appliances were taken, and immediately after bonding of the
lingual brackets another impression was taken and the Hyrax RPE appliance was
bonded (Figure 12.2–2). After adequate consultation, the patient was referred to the
oral surgeon (Dr. Stephen Nahigian) and the surgery was performed under light anes-
 .
Orthodontic-Surgical
RPE Camouflage on an
Orthognathic Case
MARIO E. PAZ, DDS, MS
 .-. Frontal view before treatment:
Note the open bite and anterior and bilateral posterior cross-bites.
 
thesia supplemented by a local anesthetic nerve block. An incision was made in the
height of the buccal vestibule from the mesial aspect of the first molar to the distal
aspect of the canine (Figure 12.2–3). The lateral maxillary wall was exposed by
mucoperiosteal elevation from the piriform anteriorly across the zygomatic maxillary
buttress, then posterior to the pterygomaxillary fissure via a subperiosteal tunneling
technique. A fissure bur was used to effect an osteotomy approximately 5 mm above
the apices of the teeth from the piriform rim to the zygomatic maxillary buttress, end-
ing just anterior to the pterygoid fissure. Special care should be taken at the anterior
aspect of the osteotomy to avoid tearing of the nasal mucoperiosteum by using a freer
elevator as a tissue guard. Prophylactic antibiotics, nasal decongestants, and analgesics
were prescribed.
The appliance was activated four turns (1 mm) at the time of surgery to absorb
some of the elastic properties of the appliance. On the third postoperative day, the
patient was instructed to activate one turn in the morning and then one turn in the
 .-. Occlusal view during treatment: the lingual appli-
ance from cuspid to cuspid, and Hyrax is attached to the first bicuspids
and molars along with the posterior segmental labial appliance.
 .-. Initial laser dissection with exposure of
maxillary wall.
 .-  . One week postoperative
expansion: clinical and radiographic view.


Orthodontic-Surgical RPE Camouflage on an Orthognathic Case 
evening, until adequate expansion had been achieved (Figures 12.2–4a and b). The
appliance was left in place for 12 weeks in a passive position. At this time routine
orthodontic procedures can be initiated or continued. If needed, extraction of the
bicuspids can be made at the same time as the surgical RPE.
Results showed a marked cosmetic and functional improvement in the dental
occlusion and smile line (Figure 12.2–5). The cross-bites, open bite, and crowding
were improved, and the profile was maintained. (The cosmetic restorative treatment
was done by Dr. Soheil Goel.)
A double jaw orthognathic surgical procedure could have achieved a similar, or
better, result but would have also increased morbidity and financial costs. Surgical
RPE can be considered a safe, simple, and reliable procedure for achieving a perma-
nent increase in skeletal maxillary width in adult patients.
Bibliography
Basdra EK, Zoller JE, Komposch G. Surgically assisted rapid palatal expansion. JCO 1995;
29:762–766.
Glassman AS, Nahigian SJ, et al. Conservative surgical orthodontic rapid palatal expansion: sixteen
cases. Am J Orthod 1984;86:207–213.
Isaacson RJ, Murphy TD. Some effects of rapid maxillary expansion in cleft lip and palate patients.
Angle Orthod 1964;34:143–154.
Isaacson RJ, et al. Forces produced by rapid maxillary expansion. Angle Orthod 1969;34:256–269.
 .-. Frontal view after treatment.
Note the harmonic and esthetic occlusion.

Prosthetic orthodontics, orthodontic treatment that is usually done in prosthetic cases,
has many advantages. Treatment is usually very short, retention is permanent via the
fixed prosthesis, and it is another important source of patients. The lingual appliance
has an advantage in prosthetic patients because they are usually adults who do not
wish to have any visible labial appliances. However, the high cost of the treatment and
the speech difficulties that arise in certain stages of the lingual treatment are some-
times crucial disadvantages of the lingual appliance therapy in those patients.
Segmental lingual preprosthetic orthodontics can overcome these disadvantages.
Good esthetics is achieved with the lingual brackets, the cost of a segmental treatment
is lower compared to a full treatment, and it is more comfortable for the patient with
fewer speech problems. Small orthodontic problems can be solved easily and quickly
with the segmental technique. Some of the most frequent problems that the prostho-
dontists ask the orthodontists to treat, and which can be easily solved with segmented
lingual appliance are:
1. Uprighting of molars with space closure (Figure 13.1–1) or with space opening
(Figure 13.1–2).
2. Forced eruption (Figures 13.1–3a and b).
3. Lingual or buccal cross-bites (Figure 13.1–4).
4. Teeth rotations (Figure 13.1–5).
 .
Segmental Lingual
Orthodontics in
Multidisciplinary Cases
PABLO A. ECHARRI, DDS
 .-. Uprighting of a mesially tipped molar
with space closure.
 .-. Uprighting of a mesially tipped molar
with space opening.
1'' ARCO
 
Transpalatal bars and temporary bridges are used to enhance anchorage. When a
forced eruption of an upper anterior incisor is done, a temporary crown will improve
the appearance during the treatment. Composite coverage of exposed metal will do
the same (Figures 13.1–6a and b). Small indirect bonding transfers are made the same
way as in full arch bonding (Figure 13.1–7). A small vacuform retainer is made at the
end of the minor teeth movement, on the day of debonding, to facilitate the subse-
quent prosthetic treatment (Figure 13.1–8). The design of the fixed retainer is made
by all the experts that are involved in the case, including the orthodontist, perio-
dontist, and prosthodontist. Lingual bonded retainers, fixed bridges, and implants are
used to retain the orthodontic results. Bonded porcelain veneers can also be used
when deep-bite malocclusions are treated (Figures 13.1–9a and b).
The keys for a successful segmental lingual preprosthetic treatment are:
1. the anomaly affecting only a single tooth or a small, isolated group of teeth
2. only simple tooth movements required
3. the use of indirect bonding of brackets to the teeth
4. immediate retention with a clear vacuform retainer.
 .-  . Anterior incisor forced eruption. Note the temporary crown to enhance esthetics.
 
 .-. Molar cross-bite treated with
transpalatal bar and segmental lingual brackets
for anchorage.
 .-. Rotation of cuspids. Anchorage is
gained by posterior temporary bridges.
Segmental Lingual Orthodontics in Multidisciplinary Cases 
The short treatment time, good esthetics, and low cost make the segmental lingual
preprosthetic treatment an excellent option for the lingual orthodontist.
 .-  . Esthetic coverage of metal band with composite material.
 .-. Indirect bonding transfer tray.  .-. Vacuform retainer used on the
day of debonding.
 
 .-  . Bonded porcelain veneers used to retain deep bite malocclusion treatment.
 
 
Bibliography
Burgos G, Moreu J. Ignacio Garcia Espona Alargamiento coronario vs. erupcion forzada. Archivos
de Odonto Estomatologia 1995;11:509–515.
Echarri LP. Syllabus de ortodoncia: Biomecnica 2, Aparatologa Fija. 4th Ed. Badalona, Espana: Ed.
Ladent SL, 1995:9–21,30–35,47–49.
Gollner P, Bantleon H-P, Ingervall B. Force delivery from a transpalatal arch for the correction of
unilateral first molar cross bite. European J Orthod 1993;15:411–420.
Marcotte MR. Biomechanics in orthodontics, Spanish version. Burlington, Ontario: BC Decker,
1992:1–44,127–152.
Proffit WR, Fields HW Jr., Ackerman JL, et al. Contemporary orthodontics. St. Louis, Missouri:
CV Mosby, 1986:472–518.

Most lingual orthodontic patients have greater demands and expectations than do labial
orthodontic patients since they are usually adults, esthetics is sometimes a crucial factor
in their profession (models, TV performers, etc.), very few orthodontists practice lingual
orthodontics, and the price is much higher. Even those who can easily afford it, want
to receive more than the usual patient. Good esthetics and normal function are two
goals to consider, not only at the end of treatment but also during the treatment
course, especially in type A personality patients (Sinclair, 1986). Esthetic demands
during treatment include preservation of arch integrity, no opening of space, and no
unesthetic auxiliaries. Normal function during the treatment includes minimal speech
disturbances and elimination of pain.
Many of these aspects have been previously discussed, and the protocol of treat-
ment has been accepted worldwide. Still, on occasion, improvisations and changes
need to be made to the usual protocol because of unexpected patient reactions. Speech
problems are of primary concern, especially during the first month or two. Support of
the patients during this uneasy initial period is imperative to encourage them and to
evaluate the adaptation and adjustment period.
Case Presentation
The following case presents an alternative orthodontic–prosthodontic treatment. A
26-year-old male TV performer and singer presented with skeletal and dental Class I
malocclusion with deep bite and increased overjet. He was complaining of an unes-
thetic appearance due to rotated upper cuspids and to spaces that were left after the
previous extraction of retained deciduous upper cuspids (Figures 13.2–1a to c).
The initial treatment plan consisted of opening the bite, rotating the cuspids, and
retracting the anterior segment en masse. The treatment included an upper lingual
appliance, Ormco Kurz (generation #7), bonded to teeth 7-7 in the upper arch only.
The patient was sent to a myofunctional therapist before and immediately after plac-
ing the appliance to help him adjust to the appliance and attempt to compensate for
his anticipated speech difficulties.
Although most of his speech disturbances completely disappeared, only 4 weeks
after the appliance bonding and after several meetings, the patient insisted on stop-
ping the treatment and debonding the appliance because he could not perform on
stage as before.
 .
Combined Orthodontic-
Prosthetic Treatment of
Malpositioned Anterior Teeth
RAFI ROMANO, DMD, MSc, AND NITZAN BICHACHO, DMD
 
Eventually, he was convinced to debond only four of the anterior brackets (2-2),
and, fortunately, this improved his reaction. The treatment plan was changed to
accommodate the new circumstances.
A combined orthodontic–prosthetic solution was suggested because space closure
by retraction of the anterior segment and overjet closure was now excluded due to the
anterior bracket removal. The new immediate treatment plan was to orthodontically
retract the cuspids distally and at the same time to prosthetically restore the spaces
that would now open between the cuspids and the lateral incisors. The use of a hybrid
composite resin to close the spaces would allow periodic adjustments during ortho-
dontic movement to maintain normal and esthetic function.
 .-  . At initial orthodontic examination: frontal and lateral views.
Note the unesthetic space between the cuspid and first premolar, and the rotated cuspid.

 
 .-. Occlusal maxillary view:
lingual Ormco brackets, segmental technique.
Combined Orthodontic-Prosthetic Treatment of Malpositioned Anterior Teeth 
The final treatment plan was to bring the cuspids to their optimal position with
no rotation and with minimal spaces from them to the lateral incisors and to the
premolars. Porcelain laminates would then be made for the cuspids and first premolars
to fill the proximal spaces. Porcelain laminates were chosen because they would pro-
vide a stable and long lasting esthetic solution while conserving tooth structure.
A segmental technique was used to retract the cuspids, and the lingual buttons
that were bonded on the cuspids were replaced with Kurz-Ormco lingual brackets as
soon as enough retraction was accomplished to enable single-tooth indirect bonding
(Figure 13.2–2). Because the retraction of the cuspids caused an unesthetic appearance
after 3 months of treatment (Figures 13.2–3a and b), the patient was referred to the
prosthodontist to close the spaces temporarily. Since the tooth rotation was not yet
fully corrected, large spaces were evident in the interdental papillae areas. Using a
hybrid composite resin (Prodigy, Kerr, Glendora, CA), the distocervical surfaces of the
lateral incisors were widened (Figures 13.2–4a and b). The mesial surfaces of the cus-
pids were augmented with the resin to create rotation illusion in a distobuccal direc-
tion and to close the existing spaces, allowing the formation of a healthy interdental
papillae. Since most natural cuspids are asymmetrical, this discrepancy between the
homological teeth was used to create a natural and balanced asymmetry. Four months
later, when the cuspids were orthodontically brought to their final positions, the
patient was referred again to the prosthodontist for completion of the treatment.
 
 .-  . Lateral views during treatment. Note the space opening during the cuspid retraction.
 
 .-  . Temporary composite resin restorations: Hybrid composite resin bonded incrementally
to the distocervical surfaces of the lateral incisors, and mesial aspects of the canine.
 
Upon completion of the orthodontic treatment, spaces existed between the first
premolars and the cuspids and between the cuspids and lateral incisors. It was decided
to close these spaces permanently, by changing the contours of the first premolars and
cuspids. The treatment of choice was bonding of porcelain laminate veneers, in order
to conserve tooth structure and obtain excellent long-term stability (Figures 13.2–5a
to e). A 1-mm-thick vacuformed retainer was provided for retention at night.
The overall treatment time was 8 months, a comparatively short time. The patient’s
main problem was fully solved, and his appearance was maintained during all stages of
the treatment.
 .-  . Porcelain laminate veneers fabrication stages: (a) Diagnostic wax-up on plaster model.
(b) Provisional composite resin laminates. (c-e) At the end of treatment: single porcelain veneers, frontal and
lateral views. Note the harmonic and esthetic occlusion.
 
 


A functional and esthetic occlusion is the ultimate goal of every orthodontic treatment.
There are many methods used by orthodontists and prosthodontists to evaluate the
functional occlusion during and after orthodontic treatment. An evaluation is usually
based on the mandibular position and the border jaw movements. Functions to be
evaluated are chewing, swallowing, speech, and facial expressions. These functions do
not use border jaw movements. In order to examine the real functional movement,
the mandibular movement is recorded during chewing and speech by using the
Sirognathograph Analyzing System (SGG/AS), a device developed by Prof. Takao
Maruyama of Osaka University in Japan, which tracks and analyzes the jaw movements
(Figure 14–1).
Sirognathograph Analyzing System
A magnet is attached to the patient’s lower central incisors (Figure 14–2), and an
antenna is placed on the patient’s head (Figure 14–3). When the patient chews gum,
the movements of the magnet are displayed on a computer screen.
Figure 14–4 shows normal chewing patterns which appear in the SGG/AS when
chewing on the left side. The blue line indicates the opening path and the red line
indicates the closing path, and both paths are convex. The peak of velocity is generally
within the first one-third of the opening path and the first one-third of the closing path.
 
Lingual Orthodontics:
Esthetics and Function
CHIORI HASHIBA, DDS, PhD
 -. The Sirognathograph Analyzing System (SGG/AS).
 
Each species of mammal has a distinct, inherent chewing movement (Figure 14–5).
Humans have two chewing patterns; chopping and grinding (Figure 14–6). These
chewing movements are controlled by the “pattern generator,” a grouping of cells
believed to exist in the brainstem and controlled by the central nervous system (CNS).
On the other hand, the factors that control chewing movement exist in the peripheral
nervous system and are influenced by occlusal guidance, TMJ guidance, and mastica-
tory muscle guidance. The occlusal guidance may be classified as anteroposterior,
lateral, and vertical guidance (Figure 14–7).
Case Report
A 19-year-old female presented with skeletal Class II malocclusion with severe overjet
(Figures 14–8a to c). The patient refused to have orthognathic treatment. A com-
promise orthodontic treatment was suggested, and two upper first bicuspids were
 -. A magnet is attached to the patient’s lower
central incisors.
 -. The antenna is placed on the patient’s head.
 -. Optimum chewing movement as registered on a computer screen
recorded by SGG/AS (by Maruyama). The blue line indicates the opening path
and the red line indicates the closing path.
Lingual Orthodontics: Esthetics and Function 
extracted. The post-treatment occlusal results show significant esthetic improvement
(Figures 14–9a to c). A close-up view of the lips before and after the treatment
(Figures 14–10a and b) and at the serial changes of her overjet (Figures 14–11a to c)
show that a balanced profile and corrected morphology were achieved.
The sirognathograph analyzing system was used to analyze her chewing patterns
when gum was chewed (Figure 14–12). Both chewing patterns, opening and closing,
were abnormal in this case, without rhythm and with low velocity. This is a typically
poor functional case, even though the occlusion looked good morphologically and
border movements were good. In such cases, patients sometimes complain of their
poor chewing function and suffer from TMJ pain disorders (TMD).
Another successful orthodontic treatment is shown in Figures 14–13a and b.
Abnormal chewing patterns were observed here as well (Figure 14–14). Ignoring such
abnormal chewing patterns could result in muscle and joint pains.
 -. Human chewing patterns (by Maruyama).
 -. Chewing patterns of different mammals (by Maruyama).
Cat2
Treeshrew3
Camel10
Rat9
Goat11
2P A
6 3
4
1
5
5
2
3
4 1
6 Giant
forest hog8
Rhesus
monkey6
Man
Spider
monkey3
Little
brown bat4
Squirrel
monkey3
Galago3
Pig7
Opossum1
 -  . At initial orthodontic examination: frontal and lateral views.
Note the open bite, crowding, and enlarged overjet.

 
 
Muscles and the TMJ will both be affected when a dysfunctional occlusion is not
properly treated. Every masticatory muscle comprises a closing muscle and an opening
muscle and each of them has two functions, yielding protrusive and retrusive forces.
An abnormal protrusive shift will cause pain and spasm in the lateral pterygoid muscle;
if this continues, the articular disk may be dislocated and cause TMJ dysfunction.
 -. Occlusal guidance of chewing movement
(by Maruyama).
Anteroposterior guidance
Lateral guidance
Vertical guidance
Lingual Orthodontics: Esthetics and Function 
An articulator called a Palculator is used for checking movements when poor
occlusion exists (Figure 14–15). Dental casts can be moved freely without limitation
on the Palculator and chewing movement can be simulated. In many cases, abnormal
 -  . At completion of orthodontic treatment: frontal and lateral views. Note the Class II occlusion.

 
 
 -  . Close-up view of the lips: (a) Before treatment. (b) After treatment.
Note the significant changes in lips closure.
 
 -. Chewing patterns using sirognathograph
analyzing system when gum is chewed.
 

 -  . Serial close-up views of the overjet during treatment.
concave opening paths can be caused by premature contact on the nonworking side
between the upper and lower second molars (Figure 14–16). When closing paths
Lingual Orthodontics: Esthetics and Function 
show a concave closing pattern instead of a convex pattern, by using the Palculator,
one can recognize the abnormal contact on the nonworking side (Figure 14–17a). If
an abnormal nonworking side contact on the second molars exists during opening,
opening chewing patterns will be concave to avoid premature contact. This is due to
the sensitivity of the periodontium to the abnormal direction of chewing pressure.
When chewing on the working side, the opening path is normal, but the closing path
is concave (Figure 14–17b). It is caused by the interference of the nonworking side
in closing.
Function should be examined for every patient with the sirognathograph analyzing
system before removing the braces to avoid TMJ and occlusal interference symptoms.
 -. Abnormal chewing patterns: the red line is the opening path
and the blue line is the closing path.
 -  . (a) At initial orthodontic examination. (b) At completion of orthodontic treatment.
Note the successful treatment.
 
 
 -. The Palculator articulator.  -. Chewing movements can be simulated with
the Palculator.
 -  . Nonworking side interference:
a) Interference side. (b) Normal side. (by Maruyama)


UPPER: Buccally inclined
LOWER: Lingualy inclined
UPPER: Buccally inclined
LOWER: Lingualy inclined
Steep
Normal
Normal
Flat
Concave opening
Concave closingWorking side Nonworking side
 The Customized Lingual
Appliance Set-Up Service
(CLASS) System. . . . . . . . . . . . 
Scott A. Huge
 The Thickness Measurement
System with the DALI
Program. . . . . . . . . . . . . . . . . . 
Didier Fillion
 Lingual Treatment with the
Bending Art System . . . . . . . . . 
Paul-Georg Jost-Brinkmann,
Vittorio Cacciafesta, and
Friedrich Riemeier
SECTION 4
Laboratory
Procedures

The CLASS technique offers a method of lingual bracket placement that takes into
account the anatomical discrepancies in the lingual surfaces of the teeth. This is
accomplished by first constructing an ideal diagnostic set-up from a duplicate set-up
model of the patient’s original malocclusion. This ideal set-up or template is then used
as a physical guide to place the lingual brackets in an ideal configuration. The brackets
are placed on the diagnostic set-up using composite adhesive, which acts as a spacer
between the metal mesh pad and the individual dental surfaces. After the brackets are
placed on the ideal diagnostic set-up, they are next transferred back to the malocclusion
cast. At this point, transfer trays are fabricated so the brackets can be delivered clinically
via the indirect bonding method.
Technique
1. Accurate models must be obtained from the patient using a high quality algi-
nate or rubber base impression material (Figure 15–1). The models should
next be poured in a hard model material such as die stone (Figure 15–2). The
models must be extremely accurate for optimum clinical bonding and treat-
ment results. Once accurate models are obtained, the clinician completes the
prescription sheet which is the specific diagnostic instructions to the laboratory
 
The Customized Lingual
Appliance Set-Up Service
(CLASS) System
SCOTT A. HUGE
 -. Accurate models are obtained from the patient
using a high quality alginate or rubber based impression material.
 -. The models poured in a hard model material
such as die stone.
 
(Figures 15–3 and 4). Included in this information is a detailed prescription
of how the teeth should be reset and what the eventual treatment goals are.
Additional information such as overcorrection of individual tooth rotations or
post-treatment procedures that are anticipated should also be communicated
 -  . The clinician completes the prescription
sheet which is the specific diagnostic instructions to the laboratory.


The Customized Lingual Appliance Set-Up Service (CLASS) System 
to the laboratory. The more complete the information provided from the clin-
ician to the laboratory technician, the better the results will be.
2. In the laboratory, the doctor’s original models are duplicated. This process is
completed using hydrocolloid duplicating material, which provides the most
accurate duplicate for the set-up models. The set-up models are poured in
orthodontic stone (Figure 15–5) and then dried in the oven (Figure 15–6).
3. The duplicate casts are identified by each individual tooth and sectioned, as
illustrated, to fabricate the diagnostic set-up (Figure 15–7). Depending upon
the equipment available to the laboratory technician, a combination of hand
saws and grinding wheels can be used to section and trim the teeth.
4. The individual teeth are placed on a preformed set-up base which facilitates
the overall set-up process (Figure 15–8). The technician then arranges and
resets the teeth according to the doctor’s prescription. The technician must
coordinate overall arch form, occlusal plane dimensions, anterior tip and
torque, spacing considerations, overbite and overjet, and individual dental
alignment and rotation (Figure 15–9).
 -. The original models are duplicated.
 -. The duplicate casts are identified by each individ-
ual tooth and sectioned to fabricate the diagnostic set-up.
 -. The duplicates are dried in the oven.
 
5. Once the set-up is completed, it is given a final check by the senior laboratory
technician who re-evaluates the doctor’s prescription and the progress set-up
(Figure 15–10).
6. A final wax restoration of the gingiva is then completed. The lingual surfaces
must then be completely cleaned using a wax solvent to insure the surfaces
will adequately reflect the exact dental anatomy of the original models
(Figure 15–11).
7. A model release is applied directly to the set-up, and the set-up is dried in an
oven at approximately 100 degrees F for 1 hour (Figure 15–12). The applica-
tion of this release coat will ensure that the brackets placed with composite
will easily separate from the set-up model.
8. The next step is the placement of the lingual brackets on the ideal set-up
model. The model is placed in a model holder as illustrated and set with the
occlusal plane parallel to a fixed horizontal reference (Figure 15–13). The goal
is to establish an ideal vertical plane to which all brackets can be placed and
coordinated. Sample lingual brackets are next trial-fitted to individual teeth in
sections to ensure that proper heights are established from the anterior, posterior,
 -. The final set-up is checked.  -. The lingual surfaces must be completely cleaned
using a wax solvent.
 -  . Individual teeth are placed on a preformed set-up base. The technician must coordinate overall arch form
according to the doctor’s prescription.
The Customized Lingual Appliance Set-Up Service (CLASS) System 
and right and left sides. Slight adjustments may be necessary in the overall
leveling of the model to ensure a level and coordinated plane for all brackets.
9. The brackets are bonded to the set-up model using a two-part heavy body
paste, such as Phase II from Reliance Orthodontic Products or Concise from
3M Dental (Figures 15–14 and 15). Both of these materials provide an excel-
lent medium, allowing the technician to seat the brackets in small groups of
2 or 3 with sufficient working time to place and fine tune the final position of
the brackets. The brackets are set to the model using an ideal template blade
made of .018 or .022 stainless steel (Figure 15–16). With this system, the
brackets fit in the blade which simulates the final archwire. Since the blade is
fabricated in an ideal anterior arc, the technician can move the brackets along
the arc to center them perfectly on each tooth in the set-up.
10. Once the anterior brackets are placed (Figure 15–17), the posterior brackets
are set using the same overall technique (Figure 15–18). Straight-line blades
are used in the bicuspids and molars to place the brackets and ensure a straight
alignment in these sections while maintaining the uniform vertical plane of
all the brackets. As each bracket position is finalized, the excess adhesive is
 -. Phase II from Reliance Orthodontic Products.  -. The adhesion is applied to the mesh pads
on each bracket.
 -. The set-up is dried in an oven at approximately
100 degrees F. for 1 hour.
 -. The model is placed in a model holder and set
with the occlusal plane parallel to a fixed horizontal reference.
 
trimmed from the edges using a dental explorer as shown (Figure 15–19).
Care taken with this step will save considerable time later in the process in
cleaning the excessive adhesive from the bracket edges.
11. A one-to-one photographic copy is made using a camera or a copying machine
(Figure 15–20). This occlusal recorder will serve as a guide to fabricate the
 -. An ideal template blade is made of .018
or .022 stainless steel.
 -. The anterior brackets are placed.
 -. A photocopy is made using a camera or
a copying machine.
 -. Acrylic caps are constructed.
 -. The posterior brackets are set.  -. Excess adhesive is trimmed from the edges using
a dental explorer.
The Customized Lingual Appliance Set-Up Service (CLASS) System 
ideal arch template. This template will provide the clinician a way to measure
and bend the archwires.
12. The next laboratory step in the sequence is to transfer the brackets from the
ideal set-up back to the malocclusion. There are several methods to accom-
plish this goal. The system used here employs acrylic caps on each tooth
(Figure 15–21). A small strip of light-cured acrylic is cut and laid over the top
of each bracket and indexed to the incisal or occlusal surface of each tooth
(Figures 15–22 and 23). These caps are easily cured using a hand-held bond-
ing light or light chamber. This can be done quickly with great accuracy. Each
bracket is then easily removed from the set-up tooth and transferred to its
individual duplicate on the malocclusion model (Figures 15–24 and 25). The
custom composite base formed in the bracket-placing stage serves as the guide
to ensure the bracket orientation back on the malocclusion model. At this
point the brackets are secured to the malocclusion model using a water soluble
adhesive (Figures 15–26 and 27).
13. The cast is then placed in a warm oven for approximately 1 hour to make sure
the transfer adhesive has fully set. At this point the acrylic caps can easily be
removed by first holding the bracket in place with a spatula and lightly prying
the transferring caps away.
 -  . Each bracket is easily removed from the set-up tooth and transferred to
its individual duplicate on the malocclusion model.
 -  . A small strip of light-cured acrylic is cut and laid over the top of each bracket.
 
14. The malocclusion models with the transferred brackets are next placed back
on the copying machine for a second occlusal record (Figure 15–28). This
copy will act as the initial guide to help the clinician fabricate the first series
of lingual archwires.
15. Transfer trays are now made on the malocclusion cast. At the present time
the recommended transfer tray technique is a two-tray system processed on
the Biostar machine. The inner tray is a 1.5 mm Bioplast and the outer tray is
a 1.0 Biocryl. This combination gives the best overall clinical results. The clin-
ician should first seat the Bioplast tray and bend it as needed to gain initial
placement (Figure 15–29). Once each flexible section is seated, the hard
acrylic tray is immediately placed over it and pressure is applied to bring the
adhesive and dental surfaces into complete contact. In addition, the trays are
sectioned in two or three pieces per arch to allow the clinician complete control
over the clinical bonding process (Figures 15–30 and 31). The specific fabrica-
tion technique is detailed in the next several steps.
16. The first step in tray fabrication is model preparation. Any deep interproximal
areas or potential defects in the model must be blocked out. An ideal material
is a light-cured gel applied with a wax spatula. This material is easily moldable
and quickly cured with the light to minimize the laboratory time required.
17. The lingual ball hooks must then be blocked out. In this technique, an
injectable silicone is used in a plastic syringe (Figure 15–32). This allows the
 -  . Brackets are secured to the malocclusion model using a water soluble adhesive.
 -. The clinician can bend the Bioplast tray as
needed to gain initial placement.
 -. A copying machine is used to make a second
occlusal record.
The Customized Lingual Appliance Set-Up Service (CLASS) System 
technician to easily control the flow of the material so as to not block out too
much of the bracket undercut and at the same time to ensure that the brackets
will release from the bonding trays.
18. Overall model release is then painted on the surfaces of the cast. This will ensure
that the Biostar trim releases from the construction model (Figure 15–33).
19. The model is then placed in a Biostar unit where the first 1.5 mm Bioplast
tray is formed. The technician should follow the general use instructions
supplied by Great Lakes Products in using the Biostar (Figure 15–34).
20. The cast is removed from the Biostar and the excess peripheral Bioplast material
trimmed using scissors. The tray is not removed from the laboratory model at
this stage; just the excess material is removed in preparation for the hard tray
process.
21. The 1.5 mm Biocryl tray is next formed after the cast is reseated in the Biostar
unit. A light coat of spray silicone must be applied prior to forming the outer
tray so the two trays will release. The Biocryl tray is formed again using stan-
dard Biostar procedures.
22. The trays are then removed from the model by first soaking the cast in warm
water for approximately 30 minutes. This will help release the brackets from
the construction cast (Figure 15–35).
 -. Injectable silicone is used in a plastic syringe.
 -  . Trays are sectioned in two or three pieces per arch.
 
23. The trays are then cut and sectioned using a high-speed handpiece. A small
diamond wheel is the ideal tool to trim the edges of the trays. A sharp knife
can also be heated over a laboratory flame and used to section the soft
Bioplast inner trays.
24. With the tray fabrication now completed, the trays are placed in the ultrasonic
with warm soapy water to remove any excess residue from the material and
composite bases. After this initial cleaning, the composite bases should be
lightly abraded using a microedger (Figure 15–36). This will remove any stone
residue from the composite as well as prepare the adhesive for optimum bond-
ing. The trays are returned to the ultrasonic where they are cleaned in plain
water for 1 to 2 minutes.
25. The trays should be labeled and placed in a clean, sealed, plastic bag where
they will remain until the patient’s bonding appointment.
26. Depending upon the clinicians preference, an optional laboratory step is fabri-
cation of the lingual archwires. This utilizes the templates made from the ideal
set-up and malocclusion photographs (Figures 15–37 and 38).
 -. Model release is painted on the surfaces of the cast.  -. Biostar machine.
 -. The trays are removed from the model by soaking
the cast in warm water for approximately 30 minutes.
 -. The bracket braces are abraded using
a microetcher.
The Customized Lingual Appliance Set-Up Service (CLASS) System 
An acetate sheet is placed over these templates and an ideal arch template traced
from the record of the brackets on the ideal diagnostic set-up. This template is then
compared to the bracket position on the malocclusion model which will show the
exact position of the offsets that are necessary, distal to the canines. The technician
can then estimate the amount of wire required in the anterior arch from the beginning
wire, such as a .0175 Respond, up through the stages of treatment where heavier wires
will be required (Figure 15–39). The final heavy finishing wire should approximate
the ideal arch template made from the diagnostic set-up template, as this record
reflects the brackets in their final ideal alignment.
Summary
The overall CLASS lingual technique demands maximum accuracy from the original
models and instructions provided by the clinician. In addition, the laboratory techni-
cian must have a complete understanding of dental anatomy, set-up techniques and
goals, and overall bracketing positioning. Tremendous attention to detail must be
exercised at all steps to avoid inaccuracies in bracket placement and consequent less-
than-ideal clinical results.
 -  . Templates are made from the ideal set-up and malocclusion photographs.
 -. Wires required from the beginning wire through
the successive stages of treatment.

Considering the difficulty of access and the irregularity and variability of lingual tooth
morphology, lingual orthodontics could only develop with the indirect bonding tech-
nique, which allows us to control bracket placement at the laboratory. Nevertheless, this
indirect technique requires a precise transfer procedure of the brackets in order to clin-
ically bond them in the exact position which has been set at the laboratory stage. Here,
we will show an indirect bonding technique that we have been using for the last 10 years
with great success. We have been able to take many different kinds of malocclusions
and achieve the same excellent results as those obtained with labial orthodontics.
This technique has been developed by taking into account the advantages and pit-
falls of the TARG (Torque Angulation Reference Guide), an apparatus developed by
Ormco in 1984 for lingual bracket bonding (Figure 16–1).
1. The TARG
The TARG, despite the anatomic variations of the lingual tooth surfaces, permits us to
bond brackets in the laboratory at an accurate distance from the occlusal edge of each
tooth with respect to a horizontal occlusal plane. The tooth orientation is made with a
gauge or torque blade. The model is tipped on the swivel base until the long axis of
the labial face of the tooth aligns with the specific gauge curvature at the middle third
of the tooth (Figures 16–2a and b).
This orientation allows us to preprogram torque and angulation (tip) before start-
ing the treatment.
 
The Thickness Measurement
System with the DALI Program
DIDIER FILLION, DDS
 -. The TARG developed by Ormco.
 
After the TARG horizontal blade is engaged into the bracket slot, it is moved
toward the varnished plaster at the bonding level determined by the laboratory tech-
nician with respect to the function of the teeth and the anatomy of the periodontium
(Figure 16–3). The bracket is bonded to the plaster with a filled resin, which allows
the gap between the lingual tooth surface and the metal base of the bracket to be
completely filled (Figures 16–4a to c). A new resin base which accurately follows the
lingual anatomy of each tooth is therefore integrated to each bracket.
Once all the brackets are bonded to the model, a transfer tray is fabricated. Using
only one unique malocclusion model, the TARG permits achieving a virtual set-up
without the need to cut the teeth and mount them on wax. It is an accurate and
quantified two-dimensional system. The torque, angulation (tip), and height
measurements are registered by the technician. Nevertheless, we have found that a
correct alignment can only be obtained by adding a great number of first-order bends,
because the TARG does not take into account the labiolingual thickness of the teeth.
In Figure 16–5, one can note that not only does distance B (the distance between the
bottom of the bracket slot and the labial tooth surface) vary for each tooth according to
the height level of bonding but also that it varies according to the tooth type despite
the fact that all the brackets are manufactured with specific, variable thicknesses.
 -. The long axis of the labial face aligns with
the curvature of the specific gauge.
 -. The gauge or torque blade orientates the tooth
in its final position.
 -. The technician determines the ideal bonding level.
The Thickness Measurement System with the DALI Program 
2. Fillion’s Lingual Indirect Bonding System
The system that we developed in 1987 is essentially composed of two elements—a
Thickness Measurement System (adapted for the TARG) and the DALI program
(Figure 16–6).
 -. The bracket is moved toward the plaster.  -. The gap is filled with macrofilled resin.
 -. The prebonded bracket with its resin pad.
 -. Distance B varies according to the level of bonding
(distance A) and tooth type.
 -. The TARG with the Thickness Measurement
System.
 
A. THICKNESS MEASUREMENT SYSTEM
Since the TARG is unable to compensate for the unequal distances between the bracket
slots and the labial tooth surface, we added a caliper (MITUTOYO) to the TARG
central axis and modified it to present two horizontal blades. One is engaged into the
bracket slot, and the other one is applied to the labial tooth surface (Figures 16–7a and
b). For a selected height bonding level, the Thickness Measurement System records
the thickness B (the width of the teeth with bracket) of the six anterior teeth. The
greatest thickness is chosen as the standard thickness. The macrofilled resin is applied
to the bracket base; then the bracket, placed on the blade, is moved toward the plaster
until the selected thickness measurement appears on the screen. The resin excesses,
even on the gingival margins, are removed before polymerization (Figures 16–8a and
b). By this technique, we achieve a thickness standardization while the brackets are
each supported on resin pads of different thicknesses. For bicuspids and molars, the
thicknesses are standardized in the same way (Figure 16–9).
The concept is simple because it eliminates the necessity to prepare a set-up, and the
bonding is performed directly on the malocclusion model. The technique is accurate
since there is neither duplication nor transfer from one model to another.
 -. The two blades of the Thickness Measurement
System.
 -. The selected thickness appears on the screen.
 -. The gap is filled with resin.  -. The resin excesses are removed before
polymerization.
The Thickness Measurement System with the DALI Program 
Because of the standardization of thickness, this system permits us to avoid all
first-order bends, except the ones between the cuspids and bicuspids and between the
bicuspids and molars. This considerably reduces chairtime during archwire bending.
Because the brackets are directly bonded to the malocclusion model, a copy of the
arch form with the brackets on it can be made to help the clinician bend the first
archwires of the treatment.
Everything is measured and registered: height, angulation (tip), torque, and thick-
ness. The concept allows us to quantify all the information and obtain custom-made
brackets accurately positioned in the three dimensions of space.
The Transfer System
The transfer tray allows us to transfer the brackets which have been bonded on the
malocclusion model to the patient’s mouth. This tray can be made of different materials,
but we use a low-viscosity silicone that does not apply any pressure on the brackets
and can guarantee a bracket’s total stability during this stage (Figure 16–10). The low-
viscosity silicone is then covered with a high-viscosity silicone. This material with a
strength of 90 degrees shore-A because of its great stability, allows us to bond the
entire arch at one time without the need to make sections of the tray. This saves a
great amount of time during bonding (Figure 16–11).
The Bonding Procedure
The bonding is performed very rapidly because of the precision and reliability of the
laboratory procedure (Figure 16–12), and with unfilled resins only. It is very impor-
tant in lingual orthodontics to know that the bonding height is reduced by 13% and
that the brackets are placed close to the gingival margin. The unfilled resin excess can
be easily removed with dental floss when it is impossible to do so with filled resins in
crowding cases. In the mouth, the set-up looks the same as it did at the laboratory
stage. The resin pads, perfectly defined in the laboratory, do not present any bonding
material excess; therefore, we avoid any deleterious iatrogenic effect on the gingiva
(Figures 16–13a and b).
Rebonding can be done in two ways:
1. By again using the initial transfer tray. The clinician can reposition the bracket
into the transfer tray after sectioning and separating the specific tooth area.
 -. Thickness standardization is accomplished by
varying the thickness of the resin pad.
 -. The brackets are covered by low-viscosity silicone.
 
2. By redoing an individual bonding tray in the laboratory with the same protocol
and information determined at the beginning of the treatment (height, torque,
angulation, and thickness). A small silicone unitary tray unit is then used.
Bracket Placement on Crowded Teeth
In a crowding case, the correction of rotations can be obtained in three ways:
1. Centering the bracket on the labiolingual axis of the tooth (Figure 16–14).
 -. The transfer tray.  -. The rigidity of the transfer tray allows bonding
of the entire arch at one time.
 -. Difficulty in engaging the wire in the bracket of
a crowded tooth when the bracket is centered on the tooth.
 -. In case of crowding, the bracket is decentered
or rotated.
 -  . After bonding on teeth, we can find back the same resin pads as on the plaster.
 
The Thickness Measurement System with the DALI Program 
2. Overcorrecting the bracket position by moving it mesially or distally, with the
bracket slot left parallel to the labial tooth surface or by rotating it with respect
to the labial tooth surface of the amount equal to the rotation (Figure 16–15).
3. If the dental crowding and the closeness of the adjacent brackets do not allow
us to ideally position the bracket at the beginning of the treatment, initially
position the bracket at the best fit, and once the rotation is partially corrected,
change the position of the bracket. A unitary bonding at the laboratory is
therefore needed after the part of the adjacent tooth causing the interference
has been removed (Figures 16–16a and b).
 -. On the right incisor, the bracket is moved
distally for overcorrecting. On the lateral, the bracket is bonded
mesially to begin correction of the rotation.
 -. Once the rotation is partially
corrected, the bracket is centered after the adjacent
tooth has been adjusted.
 
The versatility of this system, allowing us to work directly on the malocclusion
model, along with an experienced laboratory technician, permits the selection and the
use of the most appropriate procedure leading to a fast and efficient tooth realignment.
 -  . DALI program: Example of an extraction case:
(a) Copy of brackets bonded on the model. (b) Ideal archwire. (c and d) First wire bent with the copy for
location and length of the first-order bends and with DALI program for the form of the arch.
 -. The ideal (final) archwire shape is
obtained by the DALI program.
 
 
The Thickness Measurement System with the DALI Program 
B. THE DALI PROGRAM (DESSIN DEL’ ARC LINGUAL INFORMATISÉ OR
COMPUTERIZED DRAWING OF THE LINGUAL ARCHWIRE)
From the thickness measurements performed at the laboratory by the technician, from
the measurements of the tooth widths, and with the help of a computer, it is possible
to obtain a detailed drawing of the ideal lingual archwire, with all the teeth perfectly
aligned. The clinician can choose an arch form in function for the initial arch form
and a final one that is more ideal for the end of the treatment. On the arch form, the
teeth and their brackets take their individual positions from the midpoint of a triangle,
which represents the width of the bracket, the width of the tooth, and the distance
between the bracket slot and the labial tooth surface. Once all the teeth are represented,
the program traces a “best-fit” archwire to the triangles, creating the ideal archwire
which will allow a perfect tooth alignment (Figure 16–17).
Why is the DALI program irreplaceable and essential?
1. It permits us to obtain an extremely accurate tracing of the finishing archwire,
at a 1:1 ratio.
2. It allows us to know with a very high accuracy (with 0.1 mm) the width of the
 - ()   . (e and f) Retraction stainless steel wire bent on ideal archwire form.
(g and h) Finishing wire. All the wires are bent extraorally.
 
 
 
first-order bends placed between the cuspids and bicuspids, and between the
bicuspids and molars.
3. During treatment, it allows us to know the ideal arch shape needed to achieve
a good occlusion, especially in asymmetric cases.
4. It permits us to preform all archwires with great precision, except for the first
ones which are bent from the copy of the bonded brackets on the initial model.
5. It is not necessary to coordinate the archwires during treatment because the
drawing of the upper and lower archwires are made from the same labial arch
curves (Figures 16–18a to h).
The DALI program cannot work without the Thickness Measurement System,
since it is essential to know the distance between the bracket slot and the labial tooth
surface.
The TARG, the Thickness Measurement System, and the DALI program form a
coherent and interdependent system, with the following advantages:
1) Easy and accurate
Use of one single model, no transfer, no set-up, no duplicate; bonding with
unfilled resin; no iatrogenic effect on the gingiva; and accurate rebonding with
a unitary transfer tray.
2) Reduces chairtime, increases clinical efficiency
Equal thickness (teeth and brackets) for the six anterior teeth, bicuspids and
molars; decreases first order bends except between cuspid–bicuspid and bicuspid–
molar; very accurate measurement of first-order bends; gives the ideal (final)
archwire shape; and provides a copy of the model with bonded brackets to
bend first archwires.
Conclusion
We were seeking a simple and efficient laboratory bracket-positioning system. The sys-
tem that we have developed answers this need by giving us, with the help of computer
science, the essential information needed to treat orthodontic patients more easily,
accurately, and successfully, using the lingual technique.
To this day, within our exclusive lingual practice, lingual appliances have been
placed on more than 4000 arches with this protocol, using one of the European
Lingual Orthodontic Service laboratories which use our system. The quality of the
obtained results, comparable to the ones achieved with labial orthodontics, shows its
reliability for any kind of malocclusions.

The Bending Art System (BAS) was designed by the Bending Art Medizintechnik in
cooperation with the University of Kiel. It is the first CAD/CAM device for ortho-
dontic treatment planning and bending of individual archwires. It consists of three
components: an intraoral stereoscopic camera, a computer program, and a wire bend-
ing unit (Figure 17–1). Thus, it allows individual archwires to be manufactured with
first-, second- and third-order bends, which have proven to be very accurate.1
The BAS
can be universally used with all edgewise brackets on the buccal or lingual side, irre-
spective of their slot-sizes (0.018'' × 0.025'' or 0.022'' × 0.028'').
The wire bending unit (Figure 17–2) is able to produce individual archwires auto-
matically from straight segments of stainless steel, TMA, and Ni-Ti wires of various
dimensions.
Treatment planning is carried out directly on the computer monitor. According to
the instructions from the orthodontist, the system computes the arch geometry. The
required three-dimensional data are supplied by the intraoral stereoscopic CCD camera
(Figure 17–3) at the beginning of treatment. To program any wire with the BAS, one
must take occlusal scans of the right and left sides of the patient’s jaws with the stereo-
scopic camera. These partial scans are later merged by the computer program so that
only one occlusal photograph is displayed on the monitor.
Before taking the occlusal scans, stainless steel measuring plates, available for 0.018''
or 0.022'' slot size bracket systems, must be inserted into the bracket slots as a precon-
 
Lingual Treatment with
the Bending Art System
PAUL-GEORG JOST-BRINKMANN, DMD, PhD, VITTORIO CACCIAFESTA, DDS,
AND FRIEDRICH RIEMEIER
 -. View of the complete Bending Art System.
 
dition to calculate the three-dimensional position of each individual bracket. This
becomes feasible by four reference punch marks, which are identified by a pattern
recognition program during the registration process.
After exact registration of the bracket position and its confirmation by the user,
the occlusal scans of the maxillary and mandibular dental arches are stored by the
computer and displayed on the screen to assist treatment planning. The orthodontist
then determines, tooth by tooth, the desired three-dimensional tooth position which,
in turn, produces the appropriate wire design.2
Therapeutic Concept
A characteristic feature of the Bending Art System is that, after registration of all the
initial data, the planned result of therapy (treatment target) is designed. Consequently,
the treatment is performed in individual steps. Two methods for specification of the
treatment target are offered: the ideal arch method and the set-up procedure.
 -. The wire bending unit.
 -. The intraoral stereoscopic CCD camera.
Lingual Treatment with the Bending Art System 
The Ideal Arch Method
The ideal arch method was adapted to lingual orthodontics from the labial technique.
The user selects the basic ideal arch shape which afterwards is automatically adapted
to the size of the patient’s dentition and displayed on the monitor in the occlusal view.
This arch shape is named “ideal arch” in the computer program. The values for all
parameters, including torque, angulation, and rotation, can either come from a select-
ed treatment technique (Andrews, Ricketts, Roth, etc.) or be specified individually.
Often, the ideal arch does not produce an optimal occlusion. Consequently, additional
three-dimensional individualization has to be performed for ideal finishing. This indi-
vidualized final archwire is called the target arch.
Due to the great variability of the tooth lingual surfaces, this method is not directly
applicable to the lingual arch shape. Because of this, a supplementary software, which
uses a labial reference arch, has been developed in cooperation with Dr. Didier Fillion.
Using the mesiodistal tooth widths and the measured individual labiolingual
distances from the lingual bracket slots to the labial surfaces (including bracket base
and thickness of adhesive), the system computes reference points on the labial surface
of each tooth. These reference points, which correspond to the slot positions of the
hypothetical labial brackets, determine the shape of the ideal arch (Figures 17–4 and 5).
Designing and bending of all the archwires takes into consideration the thickness of
the adhesive layer between the bracket base and the tooth surface. Therefore, the
adhesive layer thickness does not play a significant role, in contrast to other techniques
like the slot-machine that is based on the Straight Wire technique.3
If the brackets are not bonded according to the Straight Wire concept, specifica-
tion of corrective values for torque, angulation, and rotation are required to avoid
undesired tooth movements. Consequently, all these compensatory bends are created
automatically. For every single tooth, the computer allows editing of its position in the
three dimensions of space. Furthermore, since it is very easy to keep the original arch
size while changing the position of each individual tooth three-dimensionally, where
required, the most immediate advantage of the BAS becomes obvious when used for
detailing during the finishing phase of treatment. If further movements are necessary
 -. Occlusal view of the passive lingual arch on the
monitor of the BAS.
 -. Occlusal view of the target arch on the monitor
of the BAS.
 
at a subsequent appointment, all previous wire characteristics are precisely reproduced
with the new ones added.
The Set-Up Method
For this method, an ideal set-up of the patient’s models is required as a first step.
Next, brackets are bonded on the set-up model and the position of the bracket slots is
determined with the BAS. An archwire that fits passively into the brackets on the set-
up model is then designed. If this wire is inserted into the patient’s mouth as a final
archwire, it will produce the same tooth position as on the set-up.
The bonding position of each bracket can be deliberately chosen, thus minimizing
the patient’s discomfort. Subsequently, the brackets are transferred, one by one, to the
working models (representing the original malocclusion) using individual templates.
Then, the bracket position is measured again, and the transfer tray for indirect bond-
ing is produced. The difference in bracket position between the original and the set-
up model represents the amount of movement for each tooth.
Although this method is much more time consuming as compared with the ideal
arch procedure, it offers considerable advantages such as the exact determination of
the situation at the end of treatment (not considering corrective values for bracket
placement). Additionally, this work can be more or less completely delegated to the
laboratory staff. The arch sequence for every treatment is produced automatically by
splitting the difference between the initial and final positions into a number of
steps/arches, according to the patient’s needs. During treatment, chairtime is therefore
 -  . Intraoral frontal and lateral views of the occlusion before treatment. Note the Class I
malocclusion with a large upper central diastema.

 
Lingual Treatment with the Bending Art System 
limited to controlling the patient’s progress and insertion of the archwires, which have
been already bent by the system.
Treatment Planning
There is no difference between the labial and the lingual approach in planning the
orthodontic treatment. This is determined by the following factors:
1. Number of archwires. The number of archwires to be used is defined by the
orthodontist. However, it can be modified during treatment, as needed.
2. Distribution of tooth movement among the archwires. The required tooth
movements can either be distributed proportionally by the system among all the
planned archwires, or be modified during treatment according to the patient’s
needs. Specifically, that means the orthodontist can program tooth movements
from 0% (no movement), if an entirely passive segment is required as anchorage,
to 100% (full movement). The system automatically calculates the required
mesiodistal sliding distances in order to perform such movements.
3. Wire material. The bending unit works with straight segments of stainless
steel, TMA, and Ni-Ti wires of various dimensions. Every wire is exactly
shaped as series of consecutive bends according to the geometric data calculat-
ed by the computer program. After the bending process, superelastic wires
must be heat-treated to keep the bends and torquing permanently as otherwise
the archwire will return to its original shape due to the memory effect.
4. Design of the archwires. The BAS is able to produce wires in a great variety
of arch shapes. A very valuable feature is the ability of the system to bend
completely passive segments and archwires, which are necessary for anchorage
purposes when using a segmented arch approach and for patients before they
undergo orthognathic surgery. The system enables the orthodontist to correct
also the sweep and width of a patient’s arch, when needed. It allows a couple of
brackets to be bypassed, for example, to bend utility arches. Another feature of
the BAS is the fabrication of loops, which are prebent by the bending unit and
need only to be finished by hand.
 -  . Occlusal views of the maxilla and the mandible. Note the rotated upper central incisors and spacing in both jaws.
 
 
Case Report
As the first case lingually treated with the BAS in our department, a female patient
presented with a Class I malocclusion with a large upper central diastema was selected
(Figures 17–6a to c). The upper and lower first premolars had been previously extract-
ed and the postextraction spaces were still present. The upper central incisors were
rotated mesiobucally (Figures 17–7a to b). The set-up BAS method was used to pre-
pare lingual bonded brackets. First, an ideal set-up was produced and measuring plates
and template-caps were placed for transferring the brackets to the working model
(Figure 17–8a). The position of each bracket on the set-up model was measured with
the BAS. Next, the brackets were transformed to the malocclusion model (Figure
17–8b). Due to the rotations of teeth 21 and 22, interferences were observed between
their measuring plates. BAS scannings were made separately for each tooth. When
tooth 21 was scanned, the bracket on tooth 22 was left out. Subsequently, the bracket
 -. Maxillary set-up model with bonded brackets,
measuring plates, and template-caps for transferring the brackets to
the working model.
 -. A working model. Brackets were transferred from
the set-up with BAS measuring plates.
 -. A transfer tray for indirect bonding was prepared,
after removing the measuring plates from the bracket slots.
Lingual Treatment with the Bending Art System 
for 21 was temporarily removed whereas the one for 22 was set, allowing the measure-
ment of this tooth in relation to the other brackets already scanned by the BAS.
After removing the measuring plates from the bracket slots, a transfer tray for
indirect bonding was produced (Figure 17–8c). The template-caps of the brackets
were covered with silicone (Memosil, Heraeus Kulzer, Dormagen, FRG). A total of
four wires for each jaw were bent for treating this case: two 0.016'' round wires and
two 0.016'' stainless steel wires. Each wire was designed by the BAS to carry the teeth
25% further towards their final position, as defined by the set-up. Every 4 weeks, the
subsequent archwire was put in (Figures 17–9a to c). The treatment progress was very
rapid, as one can see in the sequential views at 2 months (Figures 17–10a and b),
4 months (Figures 17–11a and b), and at the end of treatment, after 5 months
(Figures 17–12a and b). Satisfactory final results were achieved within 5 months
(Figure 17–13a to c).
 -. The upper 0.016 × 0.016 SS archwire,
completely passive in relation to the bracket slots on the set-up
model, as designed with the BAS.
 -  . Occlusal views of the maxillary arch and the mandibular arch: immediately after placing the wires.
 
 
 -  . Occlusal views of the upper and lower arches: 2 months in treatment.
 
 -  . Occlusal views of the upper and lower arches: 4 months in treatment.
 
 -  . Occlusal views of the upper and lower arches: 5 months in treatment (end of treatment).
 
Lingual Treatment with the Bending Art System 
 -  . Intraoral frontal and lateral views of the occlusion at the end of treatment (after 5 months).

 
References
1. Fischer-Brandies H, Orthuber W, Pohle L, Sellenrieck D. Biege-und Torsionsgenauigkeit des
“Bending Art System” (BAS). Fortschr Kieferorthop 1996;57:16–23.
2. Cacciafesta V, Miethke R-R, Jost-Brinkmann, P-G. Bending Art System: state of the art and
first impressions. Kieferorthop 1995;9:247–254.
3. Creekmore T. Lingual orthodontics—its renaissance. Am J Orthod Dentofac Orthop 1989;
96:120–137.
Bibliography (1970–1997) . . . . 
SECTION 5
Appendix

A
Aguirre MJ, King GJ, Waldron JM. Assessment of bracket placement and bond
strength when comparing direct bonding and indirect bonding techniques. Am J
Orthod 1982;82:269–276.
Aguirre MJ. Indirect bonding for lingual cases. J Clin Orthod 1984;18:565–569.
Aknin JJ. Arch forms and D.D.M. Proceedings and Abstracts: First Congress of the
European Society of Lingual Orthodontics, Lido di Venezia, June 18–20, 1993.
Alexander RG. The Alexander discipline, contemporary concepts and philosophies. In:
Angel GA, ed. 1986.
Alexander CM, Alexander RG, Gorman JC, et al. Lingual orthodontics: a status
report, No. 5, lingual mechanotherapy. J Clin Orthod 1983;17:99–115.
Alexander CM, Alexander RG, Sinclair PM. Lingual orthodontics: a status report,
part 6, patient and practice management. J Clin Orthod 1983;17:240–246.
Alexander CM, et al. Lingual orthodontics: a status report, part 1, J Clin Orthod
1982;16:255–262.
Altoinian G. About the set up. Proceedings and Abstracts: First Congress of the
European Society of Lingual Orthodontics, Lido di Venezia, June 18–20, 1993.
Altounian G. La therapeutique a attaches linguales: une autre approche de l’orthodon-
tie. Rev Ortho Dento Facial 1986;29:319–362.
Altounian G. Les attaches linguales a insertion horizontale. In: Philippe J, ed.
L’or-thodontie de l’adulte. S.I.D. Vanves, 1989:115–180.
Artun J. A post treatment evaluation of multibonded lingual appliances in orthodontics.
European J Orthod 1987;9:204–210.
B
Baker RW. The eastman program—a comprehensive approach. Clinical Impressions
1994;3:2–7, 19.
Baker RW Jr. The lingual appliance: molar eruption vs incisor depression (Masters
thesis). Rochester: Eastman Dental Center, 1987.
Behrents RG, Wendt SL, Fox DM, et al. A transillumination technique for lingual
bonding. J Clin Orthod 1987;91:324–325.
Bibliography (1970–1997)
 
Bennet RK. A study of deep overbite correction with lingual orthodontics, (masters
thesis). Loma Linda: Loma Linda University, 1988.
Berke JB. Lingual orthodontics treatment. J Am Dent Assoc 1989;118:150.
Berruto G. Nozioni di linguistica generale linguistici. Ligouri Editore, Napoli, 1987.
Bobic R. Case report of the lingual appliance. Clinical Impressions (Orange) 1986;
7:14.
Boisseau S, Dhumeaux-Boesles E, Skinaizi G. L’edgewise du futur Orthodontie
Francaise 1990;61:T2.
Bounoure GM, Salvadori A. Lingual orthodontics—prosthetics. Orthod-Fr 57 pt.
1986;1:51–72, 123–144, 195–216.
Breece GL, Nieberg LG. Motivations for adult orthodontic treatment. J Clin Orthod
1986;20:166–171.
Burstone CJ. The precision lingual arch: hinge cap attachment. J Clin Orthod 1994;
105:151–158.
Burstone CJ. Precision lingual arches. Active applications. J Clin Orthod 1989;
23:101–109.
C
Cantor RJ. The periodontal effect of the lingual appliance (masters thesis). Rochester:
Eastman Dental Center, 1984.
Carano A. Lingual orthodontics in patients with TMJ dysfunction. Proceedings and
Abstracts: First Congress of the European Society of Lingual Orthodontics, Lido
di Venezia, June 18–20, 1993.
Chaconas SJ, Caputo AA, Brunetto AR. Force transmission characteristics of lingual
appliances. J Clin Orthod 1990;97:36–43.
Chumak L, Galil KA, Way DC, et al. An in vitro investigation of lingual bonding.
Am J Orthod Dentofac Orthop 1989;95:20–28.
Creekmore TD. Precision placement of lingual and labial brackets. J.A.L.O.A. 1988;
1:2,6–8.
Creekmore TD. Straightwire limitations: compensations for conceal with the slot
machine. Proceedings and Abstracts: First Congress of the European Society of
Lingual Orthodontics, Lido di Venezia, June 18–20, 1993.
Creekmore T. Lingual orthodontics—its renaissance. Am J Orthod Dentofac Orthop
1989;96:120–137.
D
Darmon JC. Orthodontie Linguale: Pour ou contre? Inf Dent 1992;74:427–429.
Bibliography 
Demange C, Francois B. Measuring and charting interproximal enamel removal.
J Clin Orthod 1990;24:408–412.
Diamond M. Critical aspects of lingual bracket placement. J Clin Orthod 1983;
17:688–691.
Diamond M. Improved vision and isolation for direct lingual bonding of the upper
arch. J Clin Orthod 1984;18:814–815.
Diamond M. Lingual orthodontics. NYJ Dent 1988;58:11–15.
F
Favero L, Tagliapietra S. Lingual orthodontics in pediatric patient. Proceedings and
Abstracts: First Congress of the European Society of Lingual Orthodontics, Lido
di Venezia, June 18–20, 1993.
Fillion D. Orthodontie linguale : réflexions cliniques. Rev Ortho Faciale 1990;
24:475–498.
Fillion D. A la recherech de la precision en technique a attaches linguales. Rev Orthop
Dento Faciale 1986;20:401–413.
Fillion D. The viewpoint of the French Lingual Orthodontics Society. Orthod-Fr,
1992;63:562.
Fillion D, Leclerc JF. Lingual orthodontics: why is it progressing? Orthod-Fr, 1991;
62:793–801.
Fillion D. Orthodontie linguale: systeme de positionnement des attaches au laboratoire.
Orthodontie Francaise 1989;60.
Fillion D, Leclerc JF. L’orthodontie invisible: l’orthodontie linguale. Rev Odontostomatol
1989;18:133–152.
Fillion D. Orthodontie linguale et mini-plaques: esthetique et confort dans les traitments
chirurgico-orthodontiques. Inf Dent 1990;20:1757–1766.
Fillion D. Apport de la sculpture amélaire interproximale a l’orthodontie de l’adulte
(deuxieme partie). Rev Orthop Dento Faciale 1993;27:189–214.
Fillion D. Apport de la sculpture amélaire interproximale a l’orthodontie de l’adulte
(premiere partie). Rev Orthop Dento Faciale 1992;26:279–293.
Fillion D. Apport de la scuplture amélaire interproximale à l’orthodontie de l’adulte
(troisième partie). Rev Orthop Dento Faciale 1993;27:353–367.
Fillion D. Lingual orthodontics and miniplates. Esthetics and comfort in surgical
orthodontic treatment. Inf Dent 1990;72:1757–1767.
Fillion D. Orthodontie linguale: reflexions cliniques. Rev d’ODF 1990;24(4).
Fontenelle A. Orthodontie a attaches linguales: une autre approche. Orthod Fr 1986;
57:541–557.
 
Fujita K. Brushing method for the lingual-bracket technique with Fujita. J Jpn Orthod
Soc 1978;37:41–46.
Fujita K. Development of lingual-bracket technique (esthetic and hygienic approach
to orthodontic treatment). Journal of the Japan Society for Dental Apparatus and
Materials 1978;19:81–94.
Fujita K. Development of lingual-bracket technique. J Jpn Orthod Soc 1978; 37:36–39.
Fujita K. Multi lingual bracket and mushroom arch wire technique. Am J Orthod
1982;82:120–140.
Fujita K. New orthodontic treatment with lingual bracket and mushroom arch wire
appliance. Am J Orthod 1979;76:657–675.
Fulmer DT, Kuftinec MM. Cephalometric appraisal of patients treated with fixed lin-
gual orthodontic appliances: historical review and analysis of cases. Am J Orthod
Dentofac Orthop 1989;95:514–520.
G
Garber S, Speidel M, Seigel G, Miller E. The effects of presentation of noise and den-
tal appliances on speech. J Speech Hear Res 1980;23:838–852.
Garino GB. Surgical orthodontic treatment with lingual technique on skeletal class III
with TMJ dysfunction. Proceedings and Abstracts: First Congress of the European
Society of Lingual Orthodontics, Lido di Venezia, June 18–20, 1993.
Garland-Parker L. Patient education: an important key to lingual orthodontic treat-
ment. J.A.L.O.A. 1988;1:2,13.
Garland-Parker L. The complete Lingual Orthodontic Training Manual Professional
Orthodontic Consulting, 1991.
Garland-Parker L. The lingual challenge. An opportunity for growth and excitement.
J.A.L.O.A. 1988;1:3,8.
Geiger AM, Gorelick L, Gwinnett A. Bond failure rates of facial and lingual attach-
ments. J Clin Orthod 1983;83:165–169.
Genone B, Siciliani G. Trattamenti ortodontici a collocazione linguale. Mondo
Ortodontico 1984;3:14–27.
Genone B. Clinical aspects of the lingual edgewise orthodontic appliances. Proceedings
and Abstracts: First Congress of the European Society of Lingual Orthodontics,
Lido di Venezia, June 18–20, 1993.
Giorgio N. Lingual technique under the biomechanic and aesthetical point of view.
Proceedings and Abstracts: First Congress of the European Society of Lingual
Orthodontics, Lido di Venezia, June 18–20, 1993.
Gorman JC, Kurz C, Dunn RM. Les cles du succes en therapeutique a attaches
linguales. Rev D’O.D.F. 1986;20:3.
Bibliography 
Gorman JC. L’appareil lingual. Orthod-Fr 1988;59:915–921.
Gorman JC. Treatment with lingual appliances: the alternative for adult patients. Int J
Adult Orthod Orthognath Surg 1987;2:131–149.
Gorman JC, Kurz C, Smith JR, Dunn RM. Keys to success in lingual therapy—Part 2.
J Clin Orthod 1986;89:330–340.
Gorman JC, Smith RJ. Comparison of treatment effects with labial and lingual fixed
appliances. Am J Orthod Dentofac Orthop 1991;99:202–209.
Gorman JC. Dispelling some myths about lingual orthodontics. Is it time you took
another look? Clinical Impressions 1993;2:2–5, 16–18.
Gorman JC, Hilgers JJ, Smith JR. Lingual orthodontics a status report, part 4: diag-
nosis and treatment planning. J Clin Orthod 1983;17:26–35.
Gorman JC. Treatment of adults with lingual appliances. Dent Clin North Am 1988;
32:589–620.
Gravier P. Orthodontie en technique linguale. Traitement d’une malocclision de classe
II division 1 d’ANGLE avec extractions. Th Chir Dent LYON 1992.
H
Hamlet S, Stone M. Compensatory alveolar consonant production induced by wear-
ing a dental prosthesis. J Phon 1978;6:227–248.
Hamlet SL. Speech adaptation to dental appliances: theoretical considerations.
J Baltimore Coll Dent Surg 1973;28:52–63.
Huet AP. Le plateau integre tridimensionnel (P.I.T.). Proceedings and Abstracts:
First Congress of the European Society of Lingual Orthodontics, Lido di Venezia,
June 18–20, 1993.
I
Incorvaty C, Spoon M. Post-retention cephalometric evaluation of orthodontic
correction after treatment with fixed lingual appliance. Proceedings and Abstracts:
First Congress of the European Society of Lingual Orthodontics, Lido di Venezia,
June 18–20, 1993.
Isaacson RJ, Lindauer SJ, Rubenstein LK. Moments with the edgewise appliance:
incisor torque control. Am J Orthod Dentofacial Orthop 1993;103:428–438.
J
Jyen PK. A lingual Begg lightwire technique. J Clin Orthod 1986;90:786–791.
K
Kaley J, Philips C. Factors related to root resorption in edgewise practice. Angle
Orthod 1991;61:125–132.
 
Kazley SM. The effects of lingual appliance treatment on the skeleton, dentition, and
TMJ (master thesis). Rochester: Eastman Dental Center, 1984.
Kelly VM. Interviews: on lingual orthodontics. J Clin Orthod 1982;17:461–476.
Kelly VM. Eclipsing the treatment a history. Proceedings and Abstracts: First Congress
of the European Society of Lingual Orthodontics, Lido di Venezia, June 18–20,
1993.
King L, Smith RT, Wendt SL, Behrents RG. Bond strengths of lingual orthodontic
brackets bonded with light-cured composite resins cured by transillumination.
Am J Orthod 1987;91:312–315.
Koyata H. Systematic approach for lingual orthodontics in adult. Proceedings and
Abstracts: First Congress of the European Society of Lingual Orthodontics, Lido
di Venezia, June 18–20, 1993.
Kulen O. Maxillary orthopedics by lingual orthodontics. Proceedings and Abstracts:
First Congress of the European Society of Lingual Orthodontics, Lido di Venezia,
June 18–20, 1993.
Kurz C, Bennet R. Scientific report. J Am Ling Orthod Assoc 1988:1(3).
Kurz C. Lingual orthodontics. In: Marks M, Corn H, eds. Atlas of adult orthodontics.
Philadelphia, London: Lea & Febiger, 1989.
Kurz C, Gorman JC. Lingual orthodontics: a status report: part 7A case reports—
nonextraction. J Clin Orthod 1983;83:310–321.
Kurz C. Keys of treatment. Lingual orthodontics. Course Syllabus, Ormco
Corporation, 1989.
Kurz C, Swartz ML, Andreiko C. Lingual orthodontics: a status report: part 2:
research and development. J Clin Orthod 1982;16:735–740.
L
Leclerc JF. Story of three clinical cases: infant cases, a severe class I, a 60 year old class
III. Proceedings and Abstracts: First Congress of the European Society of Lingual
Orthodontics, Lido di Venezia, June 18–20, 1993.
Lew KK. Technique clinic customized template for prefabricating initial lingual arch-
wires. J Clin Orthod 1993;104:426.
Lew KK. Changes in lip contour following treatment maxillary protrusion with
esthetic orthodontic appliances. J Esthet Dent 1992;4:16–23.
Lew KK. Initial alignment with .008” pulse straightened supreme Wicock wire in
lingual orthodontics. Aust Orthod J 1991;12:53–54.
M
Macchi A. Biomechanic aspects in the upper cuspid retraction. Proceedings and
Abstracts: First Congress of the European Society of Lingual Orthodontics, Lido
di Venezia, June 18–20, 1993.
Bibliography 
Mariotti J, Subtelny JD, Baker R, Mariotti M. The speech effect of the lingual appli-
ance (unpublished report). Ormco, Glendora, CA, 1984.
Mariotti J. The speech effect of the lingual appliance (masters thesis). Rochester:
Eastman Dental Center, 1983.
Matsui M. Brushing method for lingual bracket technique. J.J.O.S. 1978;37:399–403.
Moran KL. Technique clinic: effective steel ligation for lingual appliances.
J Clin Orthod 1984;18:733.
Mori Y, Sakayori M. Severe Cl. II treatment with the lingual-multi system: case-report
of extraction treatment. Proceedings and Abstracts: First Congress of the
European Society of Lingual Orthodontics, Lido di Venezia, June 18–20, 1993.
Muir JC. Lingual orthodontic appliances: invisible braces. N Z Dent J 1991;87:57–59.
Muller G, Rossiwall B. Reading time and articulation under masking noise and altered
spatial conditions in the oral cavity. Folia Phoniatr 1977;29:233–239.
N
Navarro CF. Twelve service keys to a successful lingual practice. Dallas, U.S.A.
Proceedings and Abstracts: First Congress of the European Society of Lingual
Orthodontics, Lido di Venezia, June 18–20, 1993.
Newman G. A post-treatment survey of direct bonding of metal brackets. Am J
Orthod 1978;74:197–206.
Nidoli G, Macchi A, Lazzati M. Migliora l’estetica con l’incollaggio linguale dei
brackets. Acttualia Dent 1988;4:12.
P
Paige SF. A lingual light-wire technique. J Clin Orthod 1982;16:534–544.
Parisi BM. A three dimensional view of the lingual appliance (master thesis).
Rochester: Eastman Dental Center, 1989.
Paz, M.E. Multi-uses of the Ormco lingual appliance, Clinical Impressions 1992;
1(4):6–8, 15.
Philippe J, Altounian G, Chabre C. L’orthodontie de l’adulte. SID Ed., Paris, 1989.
Pierce JS. The periodontal effect of lingual appliance part II (masters thesis).
Rochester: Eastern Dental Center, 1985.
Proceedings and Abstracts: First Congress of the European Society of Lingual
Orthodontics, Lido di Venezia, June 18–20, 1993.
R
Ronchin M. Tecnica individuale di montaggio indiretto degli attacchi linguali. Ediz
Audiovisive Medical Video, Milano, 1991.
 
Ronchin M. Aesthetics with lingual orthodontics: resolving class II malocclusions with
molar distalisation. Pract Perio Aesthet Dent 1994;6:51–58.
Ronchin M, Oddini Carboni S, Dessi S. Nuovi Orizzonti terapeutici con la
biomeccanica linguale. Proceedings of the V Giornate Mediterranee di Odontoiatria,
Naples, February 26–28, 1983.
Ronchin M. Present horizons and a future outlook on lingual approach: the four-
wheel-drive biomechanics. Proceedings and Abstracts: First Congress of the
European Society of Lingual Orthodontics, Lido di Venezia, June 18–20, 1993.
S
Scholz RP, Swartz ML. Lingual orthodontics: a status report, part 3: indirect bond-
ing—laboratory and clinical procedures. J Clin Orthod 1982;16:812–820.
Siciliani G. Perspective on direct bonding in lingual technique. Proceedings and
Abstracts: First Congress of the European Society of Lingual Orthodontics, Lido
di Venezia, June 18–20, 1993.
Siciliani G. Ortodonzia linguale. Milano, Italy: Masson, 1992.
Siciliani G, Fassetta F, Mula L. Problematiche fonetiche nelle apparecchiature
orthodontiche ad approccio linguale, Quaderni di odntostomatologia, Anno, IV,
N. 1, 1987.
Siciliani G. Apparecchiature orthodontiche linguali esperienze cliniche. Dent Cadoms
1988;18:17–41.
Sinclair PM, Cannito MF, Goates LJ, et al. Patient responses to lingual appliances.
1986;20:396–404.
Sirianni AA, Graziano JP, Epstein MB. Invisible lingual orthodontic appliance. NY
State Dent J 1985;51:480–481.
Smith JR, Dunn RM. Retention of the lingual patient. J.A.L.O.A. 1987;1:1,4–7.
Smith JR, Gorman JC, Kurz C, Dunn RM. Keys to success in lingual therapy—part 1.
J Clin Orthod 1986;89:252–261.
Smith JR. Lingual orthodontics: a status report: part 7B case reports—extraction.
J Clin Orthod 1983;84:464–473.
Smith JR. Twelve key principles of lingual orthodontic therapy. J Am Ling Orthod
Assoc 1988:1(2).
Swarz ML. Orthodontic archwire. A contemporary view: personal communication,
1992.
T
Takemoto K. Textbook and syllabus—a lingual orthodontics: clinical problems and
solutions of lingual orthodontics.
Bibliography 
Takemoto K. Extraction mechanics in lingual orthodontics. Proceedings and
Abstracts: First Congress of the European Society of Lingual Orthodontics, Lido
di Venezia, June 18–20, 1993.
Takemoto K. Lingual orthodontics extractions therapy, Clinical Impressions 1995;
2–7, 18–21.
Tanne K, Lu YC, Sakuda K. Biomechanical responses of tooth to orthodontic forces
applied at the lingual bracket positions. J Osaka Univ Dent Sch 1992;32:6–13.
Thomas RG. Indirect bonding: simplicity in action. J Clin Orthod 1979;13:93–106.
Trucer AV, Erturk N. The treatment of cross bites in the angle class I cases with mod-
ular 3-D lingual appliances. Turk Orthodonti Derg 1990;3:129–134.
V
Velo S, Dal Bori G, Piubelli C. Lingual technique: silent and invisible orthodontics.
Veneziani A. The Pacon system: a new technical method for the placement of
the brackets on the set-up for lingual technique. Proceedings and Abstracts:
First Congress of the European Society of Lingual Orthodontics, Lido di Venezia,
June 18–20, 1993.
W
Wildman AJ. The future of lingual orthodontics. Orthodontics: evaluation and future.
Moorrees and Van der Linden, Ed. 1988:261–281.
Z
Zachrisson BU, Brobakken BO. Clinical comparison of direct versus indirect bonding
with different bracket types and adhesives. Am J Orthod 1978;74:62–78.

Abrasive strips, 99
Acrylic caps, 169
Air rotor stripping, 85
Alexander, Dr. Moody, 6
Alexander, Dr. Richard (Wick), 6
Alignment, 63
enamel reduction and, 104
ideal, 173
American Lingual Orthodontic Association,
9
American Orthodontics, 7
Anatomy, lingual dental, 13
Anchorage, 47
bridges, 146
control, 76–81, 109
horizontal, 75
lower arch, 78–80
transpalatal bars, 146
upper arch, 77–78
vertical, 75
Anchorage value, 75
Andrews, Dr. Lawrence, 13
Andriko, Craig, 3
Appliances
labial, 21, 43
lingual, 21, 29, 43
placement, 36–37
Arch, expanding the, 44
recontouring, 65
sagittal shift, 97
target, 187
template, 169
Arch geometry, 185
Archwire
BAS, 185–193
bending, 185–193
“best fit”, 183
Class III cases, 65
computerized drawing of, 183
design, 189
detailing, 65–66
fabrication of, 172–173
final, 183
finishing, 64, 65–66, 173
ideal, 183
initial, 63–64, 170, 183
intermediate, 64–65
sequencing, 63–66, 117–118
target arch, 187
TMA, 115, 123–125
tracing, 100
Attachments, 15
Austenite, 55, 57–58
yield strength, 58
Baker, Dr. Bob, 9
Base pad
adaptation, 11
Bending art system, 185–193
advantages, 189
case report, 190–193
ideal arch method, 187–188
set-up method, 188–189
therapeutic concept, 186
treatment planning, 189
Biocryl tray, 170
Biomechanics, 47–48
Bioplast, 171
Bioplast tray, 170
Bite, anterior open, 49, 64, 139, 141
Bite plane, 43–45
Bonding procedure, 36, 179
enamel reduction and, 100
in pediatric patients, 128–130
indirect, 175
molars, 60
Bowbeer, Dr. Grant, 43
Bowing
transverse bowing, 78, 79, 81
vertical and transverse, 109
Bracket
failure, 36
initial placement, 36
interbracket distance, 22, 25, 56, 129
Kurz #7, 11
Lee Fisher, 3
molar, 17, 18
placement, 180
Index
 
placement on model, 176
position, 22–23
Starfire, 8
Buccolingual compensatory curve, 64
Bur, 101–102
CAD/CAM, 185
Canine/molar relationship
Class I, 29
Class II, 29
Case history
interproximal reduction, 104–107
Case presentations
loop mechanics, 117–121
orthodontics-prosthodontics treatment,
149–152
orthognathic surgery, 139–140
sliding mechanics, 123–126
treatment goals, 48–53
Case report
bending art system, 190–193
Class I malocclusion 190–193
nonextraction techniques, 86–90
pediatric, 131–133
Sirognathograph, 154–159
Center of resistance, 22, 47
Cephalometric analysis, 76, 112
Cephalometric models, 43
Cetlin appliance, 91–93
Chewing patterns, 153–159
abnormal, 159
case report, 154–159
Palculator, 157–159
Class I occlusion, achieving, 37–38
Clinical experience, the, 35–36
CO-CR discrepancy, 77
Composite base, 169
Concise body paste, 167
Control, appliance, 11
anchorage, 75–82, 109
Crossbite, 139, 141, 145
Crowding
anterior, 33
bracket placement, 180–182
enamel reproximation and, 86
interproximal reduction, 104–107
mandibular, 141
severe, 64
severity of, 83
upper and lower, 49, 117
upper anterior, 60
upper arch, 92
Crown, porcelain, 36
Crozat appliance, 84, 87–90
Custom Lingual Appliance Set-Up Service
(CLASS), 12, 48, 94–95, 131
technique, 163–173
Cutter
archwire, 68
ligature, 67
ligature wire, 67
DALI program, 183–184
advantages, 184
Deformities, 135
Dental Lingual Assistant Association, 9
Derotating, 32
Derotation, 63
Dessin del’ arc lingual informatisé (DALI),
183 See DALI
Diastema, 188, 190
Displacement,
anterior mandibular, 33
counteracting mesial, 32
Distalization
bicuspid, 102, 103, 107
cuspid, 104
En masse retraction, 109–115
Enamel, 99
Enamel reproximation, 85–86
Eruption, forced, 145
Esthetics, 83
Esthetics and function, 153–159
ETM Corp., 67–71
European Society of Lingual Orthodontics,
9
Examination, initial, 35
Expansion techniques, 84–90
Extraction vs nonextraction, 83
Favero, Dr. Lorenzo, 9
“Fence effect”, 81
Fillion, Dr. Didier, 9, 187
Fillion’s indirect bonding system, 177–182
Force, shearing, 4, 10, 44
anterior-posterior, 82
elastic, 65, 80
intrusion, 110
protrusive, 156
retraction, 111
retrusive, 156
Forceps, mosquito, 69
Index 
Forestodent, 7
Fork
first order bending, 70
second order bending, 71
French Lingual Orthodontic Society, 9
Fujita, Dr. Kinya, 7, 109
Gerkhardt, Dr. Klaus, 7
Gingival impingement, 10
Gorman, Dr. Courtney, 9
Gorman, Dr. Jack, 5, 6
Helical loop, 78, 110
protocol, 114
Hilgers, Dr. James, 6
Hinge cap opening tool, 69
Hooks, 15–18
ball, 19
gingival, 15
Hydrocolloid, 165
Hyrax RPE appliance, 141–143
“Ideal arch”, 187
Ideal arch method, 187–188
Ideal arch template, 173
Implants, 146
Interarch adjustment, 66
Interference, occlusal, 158
Interproximal reduction, 85, 97–107
alignment, 101
appliance bonding, 100
bicuspid/bicuspid, 103
cuspid/bicuspid, 103
incisors, 104
limits, 99
lower arch, 100
molar/bicuspid, 101
operative protocol, 100–104
principles, 97–100
protection, 99
upper arch, 100
Intrusion, anterior teeth, 22
Irritation, tissue, 9–10
Italian Association of Lingual Orthodontics,
9
Jaw movements, 153
Kelly, Dr. Vince, 7
KGS Ormco Task Force Number Two, 8–9
Kurz, Dr. Craven, 3–6, 8
Kurz lingual appliance, the, 13, 14, 15
L-loop, 78, 110
protocol, 114
Labiolingual distances, 187
Labiolingual thickness, 176
Laboratory technician, 165–173
Lagerstrom, Dr. Lennart, 7
Lateral occlusal function, 81
LeFort I osteotomy, 137, 140
Levelling, 63
Ligation, 15
Lingual Task Force, 6
Lingual therapy
advantages, 21–22, 133
disadvantages, 21–22
Lobiondo, Dr. Echarri P., 10
Loop mechanics, 109–115
protocol, 114
Loops, advancement, 37
Malocclusion, 23, 32–33
Class I, 49–53, 60, 86–90, 188, 190
Class II, 92, 117, 123
Class III, 79, 139, 141
skeletal Class I, 117
skeletal Class II, 154
Mandible, retruded, 44
Martensite, 55, 57–58
yield strength, 58
Maruyama, Prof. Takao, 153
Maxillary arch
expansion, 24–27, 33, 130, 136,
141–143
Measuring plates, 190, 191
Mechanics, treatment, 47
anchorage, 77–80
Mesiodistal tooth widths, 187
Mesognathic profile, 86–90
Microetch, 36
Midline shift, 51
Miller, Frank, 3
Model, set-up, 166
die stone, 163
impression material, 163
lingual brackets, placement of, 166
removal of excess adhesive, 167
Molars, distalization of, 31–33
mesial movement of, 80
Movement, orthodontic, 27
Mulick, Dr. Jim, 3
Multidisciplinary cases, 145–148
 
Napolitano, Dr. John, 9
Occlusal interference, 10
Occlusal plane dimensions, 165
Occlusal record, 168, 170
Occlusal scans, 186
Occlusion
Class II, 23, 32–33
Class III, 26
deep bite, 23–24, 32–33, 44
Ormco, 3–8, 15
Ormco Task Force, 8
Orthodontic-prosthetic treatment combined,
149–152
Orthognathic surgery, 135–140
case presentation, 139–140
orthodontic operative protocol, 135–137
surgical operative protocol, 137
Overjet, 123, 149, 154
Paige, Dr. Steve, 7
Palculator, 157–159
“Pattern generator”, 154
Paz, Dr. Mario, 9
Pediatrics, 127–134
candidate criteria, 127
case report, 131–133
evaluations, 128
laboratory procedures, 130–131
protocol, 128–130
therapeutic indications, 128
Pendulum “F”, 128–130
mechanics, 130
Perregaard, Dr. Jorn, 7
Phase II body paste, 167
Pickrel, Floyd, 6
Placement, appliance, 12, 36–37
problems, 9–15
planning, 47–48
Placement, wire, 14
Plane
anterior inclined, 16–18
inclined in brackets, 44
maxillary, 18–19
Plier
bond removing, 70
Mathieu style, 69
utility, 68
Porcelain crowns, 86
Positioner, pedicle, 4
Practice promotion, 38
Preprosthetic treatment, 146–147
Prescription, appliance, 12–14
Prescription sheet, 164
Prosthetic orthodontics, 145
Protrusive shift, 156
Quad-Helix device, 25, 136
Radiograph, panoramic, 35
Rapid palatal expansion device, 25, 136
Rebonding, 179–180
Remover, module, 71
Repositioning, mandibular, 27, 30
Rerotation
preventing, 65
Resin, 150, 176, 179
Retractor, tongue, and saliva ejector, 70
Rigid internal fixation technique, 135
Rotation, 145
correction, 32
crowding, 180
overcorrecting bracket, 181
Scholz, Dr. Bob, 6
Scuzzo, Dr. Guiseppe, 9
Scwartz, Dr. Michael, 6
Segmental technique, 151
Set-up method, 188–189
advantages, 188
Shape memory wires, 55–61
alignment with, 59–60
alloys, 55, 57
elastic modulus, 57
superelasticity, 56
Silane, 36
Silicone, 179
Sirognathograph, 153–154, 158
Sliding mechanics, 38, 61, 78
advantages, 111
case presentation, 123–126
disadvantages, 110
during en masse retraction, 109–115
protocol, 114
Smith, Dr. Bob, 5, 6
Space closure, 38, 51–53, 60–61, 64, 65, 78
en masse retraction, 109–115
extraction, 78
hybrid composite resin, 150–151
porcelain laminate veneers, 152
uprighting of molars, 145
Speech difficulties, 9, 10, 149
Index 
Torque and angulation, 175, 176
Torque angulation referencing guide
(TARG) system, 12, 175–177
advantages 184
Transfer system, 179
Transfer trays, 170
cutting, 172
fabrication, 170–171, 176
model preparation, 170
sectioning, 172
Transpalatal bar, 16–17
Treatment planning, 185
archwire design, 189
distribution of tooth movement, 189
number of archwires, 189
wire material, 189
Treatment sequence, 37–38
Treatment target, 186
ideal arch method, 187–188
set-up method, 188–189
Ulceration
preventing, 36
Unitek, 7
Wildman, Dr. Jim, 3–4
Young’s modulus, 57
Splint, 28
Stability, 179
Stabilization, 78
Stereoscopic camera, 185
Straight wire appliance, 13, 47
Straight wire concept, 187
Strauch, Ernie, 6
Support, posterior acrylic, 28, 75
Surgical rapid maxillary expansion, 141–143
T-loop, 78, 110
protocol, 114
Takemoto, Dr. Kyoto, 10
TARG. See Torque angulation referencing
guide
Template, 163
Template caps, 190, 191
Temporomandibular dysfunction, 27
Thickness measurement system, 177–182,
184
advantages, 184
bonding procedure, 179
rebonding, 179–180
standardization, 178
transfer system, 179
Tip, 175, 176
Tip control, 63
Tongue thrust, 81
Torque, 66, 175

Lingual (2)

  • 1.
  • 2.
  • 3.
    LINGUAL ORTHODONTICS R A FI RO M A N O, D M D, M S c      .  .       Hamilton • London
  • 4.
    B.C. Decker Inc. 4Hughson Street South P.O. Box 620, L.C.D. 1 Hamilton, Ontario L8N 3K7 Tel: 905-522-7017 Fax: 905-522-7839 e-mail: info@bcdecker.com website: http://www.bcdecker.com © 1998 Rafi Romano All rights reserved. No part of this publication may be reproduced, stored in a retrieval system, or trans- mitted, in any form or by any means, electronic, mechanical, photocopying, recording, or otherwise, with- out prior written permission from the publisher. 98 99 00 01 / BP / 9 8 7 6 5 4 3 2 1 ISBN 1-55009-040-2 Printed in Canada SALES AND DISTRIBUTION United States U.K., Europe, Scandinavia, Middle East B.C. Decker Inc. Harcourt-Brace & Company Ltd. P.O. Box 785 24–28 Oval Road Lewiston, NY 14092-0785 London, NW1 7DX United Kingdom Tel: 71-267-4466 Fax: 71-482-2291 Canada Korea B.C. Decker Inc. Jee Sung Publishing Company 4 Hughson Street South 236-15, Neung-Dong P.O. Box 620, L.C.D. 1 Seung Dong-Ku, Seoul Hamilton, Ontario L8N 3K7 Korea Tel: 905-522-7017 Tel: 02 424-5463 Fax: 905-522-7839 Fax: 02 456-5058 Japan India Ishiyaku Publishers Inc. Jaypee Brothers Medical Publishers Ltd. 7–10, Honkomagome 1-Chome B-3, EMCA House, Bunkyo-ku, Tokyo 113 23/23B Ansari Road, Daryaganj, Japan P.B. 7193, New Delhi-110002, India Tel: 03 5395-7604 Tel: 11 3272143 Fax: 03 5395-7606 Fax: 11 3276490 Notice: The authors and publisher have made every effort to ensure that the patient care recommended herein, including choice of drugs and drug dosages, is in accord with the accepted standard and practice at the time of publication. However, since research and regulation constantly change clinical standards, the reader is urged to check the product information sheet included in the package of each drug, which includes recommended doses, warnings, and contraindications. This is particularly important with new or infrequently used drugs.
  • 5.
    Robert W. BakerJr., DMD Lingual Appliance Course Director University of Rochester Eastman Dental Center Private Practice, Limited to Orthodontics New York, USA Nitzan Bichacho, DMD Private Practice, Limited to Prosthodontics Tel Aviv, Israel Paul-Georg Jost Brinkman, DMD, PhD Associate Professor, Department of Orthodontics of the Free University Berlin, Dental School Berlin, Germany Vittorio Cacciafesta, DDS Postgraduate Orthodontic Residence Department of Orthodontics Royal Dental College Arhus University, Denmark Maurizio Cannavo, MD Visiting Professor in Lingual Orthodontics Specialization School of Orthodontics University of Ferrara, Italy Christian Demange, DCD, SQODE, CECSMO Orthodontiste Spécialiste Qualifié Docteur en Chirurgie Dentaire Docteur de l’Université Claude Bernard Maître de Conférences des Universités Practicien Hospitalier—Faculté de Lyon Lyon, France Pablo A. Echarri, DDS Private Practice, Limited to Orthodontics Barcelona, Spain Lorenzo Favero, MD, DDS, MSc Professor, Pediatric Dentistry Department University of Padua Padua, Italy Didier Fillion, DDS Private Practice, Limited to Lingual Orthodontics Paris, France J. Courtney Gorman, DDS, MS Private Practice, Limited to Orthodontics Marion, Indiana, USA Chiori Hashiba, DDS, PhD Private Practice, Limited to Orthodontics Tokyo, Japan Scott A. Huge Owner and President, Specialty Appliances Inc. Orthodontic Laboratory Norcross, Georgia, USA Craven Kurz, DDS, PhD President Emeritus of the American Lingual Orthodontic Association Private Practice, Marina del Rey California, USA Stuart McCrostie, DDS Specialist Orthodontist Waitara NSW, Australia Mario E. Paz, DDS, MS Course Director, Lingual Orthodontic Program University of California Los Angeles California, USA Friedrich Riemeier Manager, Bending Art Company Berlin, Germany Rafi Romano, DMD, MSc Private Practice, Limited to Orthodontics, Emphasizing Adult and Lingual Orthodontics Tel Aviv, Israel Massimo Ronchin, MD, DDS Assistant Professor in Orthodontics Cagliari University Visiting Professor University of Ferrara, Italy Guiseppe Scuzzo, MD, DDS Visiting Professor in Lingual Orthodontics Specialization School of Orthodontics University of Ferrara, Italy Alessandro Silvestri, MD, DDS, ENT Chief, Pre- and Postsurgical Orthodontic Service Department of Maxillo-Facial Surgery University of Rome “La Sapienza” Rome, Italy Kyoto Takemoto, DDS Private Practice, Limited to Lingual Orthodontics Chiba-ken, Japan Contributors
  • 6.
    Contents Preface . .. . . . . . . . . . . . . . . . . .  SECTION 1 Introduction  Lingual Orthodontics: Historical Perspective . . . . . . . . . .  Craven Kurz, DDS, PhD, Rafi Romano, DMD, MSc  Present Clinical Reality . . . . . . . .  Massimo Ronchin, MD, DDS  Lingual Orthodontics in a Labial Orthodontics Office . . . . .  J. Courtney Gorman, DDS, MS SECTION 2 Basic Principles  Enhanced Facial Esthetics using Kurz Lingual Appliance. . . . . . . .  Craven Kurz, DDS, PhD  Advanced Lingual Prescription: Technique and Design . . . . . . . .  Robert Baker Jr., DMD . Shape Memory Wires in Lingual Orthodontics . . . . . . . . .  Christian Demange, DCD, SQODE, CECSMO . Wire Sequencing in Lingual Orthodontics . . . . . . . . . . . . . . .  H. Stuart McCrostie, DDS  Instruments Used in Lingual Appliance. . . . . . . . . . . . . . . . . .  Craven Kurz, DDS, PhD SECTION 3 Treatment Approaches and Mechanics  Anchorage Control in Lingual Orthodontics . . . . . . . . . . . . . . .  Kyoto Takemoto, DDS . Preserving the “Hollywood Smile” and Facial Profile . . . . . . . . . . . .  Mario E. Paz, DDS, MS . Distalization of Molars in Nonextraction Cases . . . . . . . . . .  Guiseppe Scuzzo, MD, DDS, Maurizio Cannavo, MD . Interproximal Enamel Reduction in Lingual Orthodontics . . . . . . .  Didier Fillion, DDS . Sliding Mechanics versus Loop Mechanics During En Masse Retraction in Extraction Cases. .  Kyoto Takemoto, DDS . Case Presentation: Loop Mechanics . . . . . . . . . . . .  Guiseppe Scuzzo, MD, DDS . Case Presentation: Sliding Mechanics . . . . . . . . . . .  J. Courtney Gorman, DDS, MS  Lingual Orthodontics in Pediatric Patients. . . . . . . . . . . .  Lorenzo Favero, MD, DDS, MSc
  • 7.
    . The LingualTechnique in Orthognathic Surgery . . . . . . . .  Alessandro Silvestri, MD, DDS, ENT . Orthodontic-Surgical RPE Camouflage on an Orthognathic Case . . . . . . . . . . . . . . . . . . . . .  Mario E. Paz, DDS, MS . Segmental Lingual Orthodontics in Multidisciplinary Cases . . . . .  Pablo A. Echarri, DDS . Combined Orthodontic-Prosthetic Treatment of Malpositioned Anterior Teeth. . . . . . . . . . . . . .  Rafi Romano, DMD, MSc, Nitzan Bichacho, DMD  Lingual Orthodontics: Esthetics and Function. . . . . . . .  Chiori Hashiba, DDS, PhD SECTION 4 Laboratory Procedures  The Customized Lingual Appliance Set-Up Service (CLASS) System . . . . . . . . . . . . .  Scott A. Huge  The Thickness Measurement System with the DALI Program . . .  Didier Fillion, DDS  Lingual Treatment with the Bending Art System . . . . . . . . . . .  Paul-Georg Jost-Brinkmann, DMD, PhD, Vittorio Cacciafesta, DDS, Friedrich Riemeier SECTION 5 Appendix Bibliography . . . . . . . . . . . . . . . .  Index. . . . . . . . . . . . . . . . . . . . . . 
  • 8.
     The Preface toLingual Orthodontics (LO) should have been actually called: “A short explanation why Lingual Orthodontics is the first complete English textbook ever pub- lished on LO.” The idea to edit Lingual Orthodontics arose in October 1995, at the Italian Association of Lingual Orthodontics (AIOL) meeting in Rome, where many of the best clinicians who practice LO were in attendance. When surveying the literature published on LO, it is surprising to discover that most of it was written from 1982–1985, immediately after Dr. Kurz from USA and Dr. Fujita from Japan developed the prototype lingual system and ORMCO founded the original Task Force. These years saw the very first steps with the new system, observed with the critical eyes of the orthodontic community and with exaggerated expectations from the public and media. While most orthodontists found interest in the new system, it was still undeveloped, without any finished cases, any protocol, and presented many technical problems. More than 12 years have passed since “silence” concerning LO was declared in the scientific journals, in all of the important ortho- dontic meetings, and in orthodontic offices. The media had completely stopped men- tioning the subject and because of the small number of orthodontists who continued to treat patients with LO during this period, we are now again in a situation charac- terized by a lack of knowledge in the dental community and among the public. The technique of lingual orthodontics, which is the only option we can give to those patients who want their orthodontic treatment to be done behind closed curtains, was really left with the curtains closed. The fault is partly due to the rapid decline in the number of orthodontists who offer LO as a treatment option in their office and partly due to the small efforts that were made by those who did practice LO to teach, to write, to do research, or to con- tribute from their knowledge to all of their colleagues. Excellent work is done all over the world with LO. Some clinicians have even decided to devote their practice exclusively to LO and can now present excellent clinical results with a long follow-up. Much new material that has not yet been published exists as well as tremendous experience that was gained in the field in the last 15 years. Much of this is known only to a small group of orthodontists who come to LO meetings all over the world. This book is published to change this situation because we believe that lingual orthodontics is the ultimate esthetic solution in orthodontics today. Many of the best clinicians who practice LO contributed to this book. They come from all over the world—from the USA, Australia, Japan, France, Italy, Spain, Germany, and Denmark. I would like to thank each one of them personally for the tremendous help, good will, and patience they have exhibited in the long process of creating an international book. They have all agreed to share their knowledge and experience with our readers. Many clinical tips and experience were gathered and are now disseminated Preface
  • 9.
      for thefirst time. Almost every possible aspect of LO is covered, including history, mechanics, extraction cases, nonextraction cases, pediatric patients, interdisciplinary cases, orthognathic surgery, practice management, laboratory procedures, and more. All of them are described in full detail and enhanced with color figures. This is not a recipe book, and it is not intended to teach LO. One should take accredited courses, come to LO meetings, and gain experience before adopting the system completely into his or her practice. Once a thorough knowledge and clinical experience are obtained, one will gain excellent clinical results, not less than he or she was used to with labial orthodontics, and with all the mechanical and esthetic advan- tages that are unique to LO. I have included all of the references I could find on LO to help the clinicians find their way in this new system. I do apologize to any author whose article I did not mention here. The advantages of LO over labial orthodontics are many. While better esthetics during treatment is the most obvious, some advantages are purely mechanical, like more efficient distal movement, much easier intrusion, increased expansion, and the built-in capability in the bracket design to reposition the mandible and tempero- mandibular jaw when needed. Some clinicians still claim that LO is not a legitimate option and that lingual orthodontic results are inferior to those achieved with labial orthodontics. In fact, the opposite is frequently true. We do believe that the advantages of LO as a treatment option are greater than the disadvantages, and it should be considered as a legitimate, equally good option to every other treatment modality. Still, there is much more to be done in the field of LO other than publishing more textbooks. Some disadvantages still to be overcome are: • Further improvement of the design of the brackets to make them smaller, more easily ligated, and smoother to the tongue. • Reduction in speech distortion during the early stages of treatment, which can be distressing to the patient. • The addition of training in lingual orthodontics to the graduate or postgrad- uate orthodontic programs in the universities around the world. • Reduction of the high fees by improvements in design and technique which will, in turn, reduce the chairtime of the orthodontist. I do hope this book will have a uniting influence on the clinicians using LO. The world has become a very small place since people began traveling extensively. Some of my patients come from Japan, USA, and Europe, and they expect each orthodontist to have the same knowledge and skills as his or her colleagues. Easy, rapid communi- cation tools exist and should be used to teach, to inform, and to unite. Teaching other orthodontists the “secrets” of our technique will, in the long run, bring us more accep- tance and more work. When more orthodontists use LO in their offices, patients will become more aware of it and ask for it. This phenomenon occurred in general den- tistry with porcelain veneers and bonding. When it became more popular, the dentists who were the first to do it became the leaders in esthetic dentistry all over the world. I hope that Lingual Orthodontics will become towards the year 2000 an essential part of orthodontic offices and university libraries, to be used by doctors and patients, and to be a part of the esthetic dentistry postgraduate studies.
  • 10.
    Preface  I againthank all my colleagues who participated in writing this book, especially Dr. Didier Fillion, a friend and one of the best clinicians in LO in the world today; my Israeli colleague, Dr. Sylvia Geron, who helped me and supported me all the way; Prof. Adrian Becker, one of the most talented orthodontists I know, who inspired me tremendously; Dr. Linda Hallman, who helped review the material; Dr. Nitzan Bichacho, Dr. Paul Miara, and Dr. Bernard Touati who helped me enter the fascinating world of esthetic dentistry; and my wife, who warmly supported me. The book is dedicated to my father, Dr. Albert Romano. Rafi Romano, DMD, MSc
  • 11.
     Lingual Orthodontics: HistoricalPerspective. . . . . . . . . .  Craven Kurz and Rafi Romano  Present Clinical Reality. . . . . . . .  Massimo Ronchin  Lingual Orthodontics in a Labial Orthodontics Office. . . . .  Courtney Gorman SECTION 1 Introduction
  • 12.
       Lingual Orthodontics: HistoricalPerspective CRAVEN KURZ, DDS, PhD, AND RAFI ROMANO, DMD, MSc The 1970s was an exciting decade for orthodontics. The straight wire appliance was developed, treatment demands had increased, and adults were seeking treatment in greater numbers. This increasing demand for adult treatment brought unique con- cerns to the profession. Esthetics was then and continues to be a primary concern of patients. To address these esthetic concerns, manufacturers introduced clear plastic brackets; unfortunately, however, staining of the bracket and the tooth presented a significant problem. The search for improved esthetic alternatives to metal or clear plastic brackets continued. During the early 1970s, Dr. Craven Kurz, an orthodontist, then assistant professor of occlusion and gnathology at the UCLA School of Dentistry, found his private orthodontic practice to be increasingly dominated by adult patients. As many of his patients were public figures, esthetics became a major concern. A particular patient, who was an employee of the Playboy Bunny Club, presented to his practice requesting treatment. Because of her public position she refused metal or plastic labial appliances on esthetic grounds. From her demand for an appliance that did not show, the con- cept of a lingually bonded appliance was born. After much advice and consultation from orthodontic colleagues, particularly Dr. Jim Mulick, also at the UCLA School of Dentistry, Dr. Kurz developed the first true lingual appliance. The appliance consisted of plastic Lee Fisher brackets bonded to the lingual aspect of the anterior dentition and metal brackets bonded to the lingual aspect of the posterior dentition (Figures 1–1a and b). The plastic anterior brackets were selected because of the ease of recontouring and reshaping them to avoid direct contact with the opposing teeth. Treatment progress was closely moni- tored during this initial attempt at lingual treatment. Not surprisingly, Dr. Kurz found that occlusal forces produced a shearing force on the maxillary incisor brackets, creating a high bond failure rate. Additionally, the brackets were uncomfortable and irritating to the patient’s tongue. By the mid-1970s, Dr. Kurz found that by smooth- ing the exposed surface of the brackets using a heatless stone, patient comfort and acceptance increased. Not surprisingly, commercial interest was rapidly developing for this new appliance and approach to orthodontic treatment. Many clinicians and commercial companies were in the process of developing some version of a lingual appliance. During these early stages, Ormco, a company in California, created a product development team consisting of Mr. Frank Miller and Mr. Craig Andreiko to work with Dr. Kurz and his new appliance. Historically, Ormco’s interest in the concept of lingual orthodontic treatment was well established. In the early 1970s, in conjunction with Dr. Jim
  • 13.
      Wildman, theyattempted to develop a system to align the dentition using the lingual approach. This system consisted of a Pedicle positioner, rather than a multibracketed system. Although innovative, inherent limitations in this system prevented it from gaining widespread popularity in the orthodontic community. With the new product development team now in place, prototypes of lingual brackets were developed to attempt to improve on the design of the original appliance. The prototypes were initially carved from wooden blocks at a scale of 40:1 and then recreated in appropriate materials in scaled-down versions to fit the mouth. It was quickly found that the problems that plagued all previous attempts at developing a usable appliance remained—namely, a high bond failure rate due the shearing forces, and patient discomfort from the roughness against the tongue. The turning point in the development of the appliance was the addition of an anterior inclined plane as an integral part of the maxillary anterior brackets (Figure 1–2). This inclined plane con- verted the shearing forces produced by the mandibular incisors to compressive forces applied in an intrusive and labial direction. These forces also produced a natural physiological bone resorption in the maxillary and mandibular incisor area, allowing the teeth to intrude at generally less than 100 milligrams in force each time the patient swallowed (approximately 2000 times per day).    -  . Dr. Kurz 1973–1975 labial appliance modified for lingual application.  -. The incline plane.
  • 14.
    Lingual Orthodontics: HistoricalPerspective  Bond failures decreased dramatically. Redirecting the forces by the use of an ante- rior inclined plane appeared to be the missing link in the development of a viable lin- gual appliance. It was with this design that Dr. Kurz applied for a patent for the Kurz Lingual Appliance on November 15, 1976. Product development began in earnest in 1978, and Ormco manufactured a usable metal bracket by 1979. Initial clinical test- ing began in Dr. Kurz’s private office, with approximately 100 cases tested over a three- year period. All appliances were direct bonded, and a treatment protocol was estab- lished. From the initial testing, the appliance appeared to be viable and showed much promise in providing the profession with an esthetic alternative to labial appliances. The next logical step in product development and improvement was to establish beta test sites. Fifty selected orthodontists were invited to attend an Ormco-sponsored  -. Dr. Craven Kurz  -. Dr. Jack Gorman  -. Dr. J.R. Bob Smith
  • 15.
      symposium onlingual orthodontic therapy. Here, Dr. Kurz presented the concept of lingual treatment, the appliance, and his treatment results from the initial 100 cases tested to the professional community. From this group, the original Lingual Task Force was developed. This group was under the administrative guidance of Mr. Floyd Pickrel, Mr. Ernie Strauch, and Dr. Michael Scwartz, all from Ormco. Their charge was to guide and administrate the research and development team while a commercially viable lingual appliance was being developed. They appointed, in addition to Dr. Craven Kurz of Beverly Hills, California (Figure 1–3), the late Dr. Jack Gorman of Marion, Indiana (Figure 1–4), Dr. Bob Smith of Stanford, Florida (Figure 1–5), Dr. Richard (Wick) Alexander (Figure 1–6) and Dr. Moody Alexander (Figure 1–7), both from Dallas, Texas, Dr. James Hilgers of Mission Viejo, California (Figure 1–8), and Dr. Bob Scholz of Alemeda, California (Figure 1–9) to provide beta test sites for the appliance.  -. Dr. James Hilgers  -. Dr. Bob Scholtz  -. Dr. Wick Alexander  -. Dr. Moody Alexander
  • 16.
    Lingual Orthodontics: HistoricalPerspective  Excitement about an esthetic alternative to traditional orthodontic treatment was growing within the dental profession. This plus public demands for this alternative treatment forced an urgency on the research and development team to provide the appliance for wide-scale use as quickly as possible. By the early fall of 1981, the task force was presenting regular seminars on the lingual appliance in Newport Beach, California. That same year, Dr. K. Fujita of Japan, published an article on lingual therapy in the American Journal of Orthodontics. Commercial interest was spreading. Unitek supported a Lingual Clinical Project under the direction of Dr. Vince Kelly of Oklahoma. Dr. Steve Paige of Florida began giving courses using a Begg appliance lingually. Forestodent, and American Orthodontics all began to market lingual brackets and accessories. Public interest continued to grow. The news media reported the development of the new “invisible braces” in major magazines and broadcasts on both television and radio (Figure 1–10). The Ormco task force conducted a news conference at the Waldorf Astoria in New York, touting the benefits of this new type of orthodontic therapy. The interest of the public was heightened even more, and they demanded the appliance from the profession. Commercial companies were competing to be at the forefront of this “lingual fever.” Even Unitek now had a lingual appliance. Dentists were demanding more information and training in the lingual technique. The courses presented by the Lingual Task Force continued to grow in size, with over 1000 orthodontists in atten- dance at each lecture (Figure 1–11). By 1983, the task force was giving courses and news conferences in most major cities in America. In 1982, Ormco organized a task force of two doctors from every country in Europe. In 1983, this group introduced the appliance to Europe at a meeting in Geneva, Switzerland, followed by courses in Japan. Several well-known European orthodontists, Dr. Klaus Gerkhardt of Germany, Dr. Lennart Lagerstrom of Sweden, and Dr. Jorn Perregaard of Denmark were added to the European task force. The European doctors insisted on seeing finished cases. In 1983, the task force conducted seminars for 300 doctors. All the finished cases were  -. Various magazines exalting the virtues of the lingual appliance.
  • 17.
      presented witha full treatment protocol; their results were therefore more acceptable than those presented earlier to the American doctors. In 1983, Ormco sold 5000 lingual cases, and by 1986 they had sold 18,000 lingual cases! At this time, thousands of orthodontists worldwide were attending courses and beginning treatment using the lingual technique. The technique and appliance were still in their infancies, and, in fact, beta testing had not yet been completed. Public demand and commercial interest rushed the product to the market, perhaps prema- turely. In 1986 the French Orthodontic Society founded the Société Français Orthodontie Linguale (SFOL, or French Orthodontic Society for Lingual Orthodontics). In 1987, at the American Association of Orthodontists’ annual meeting in Montreal, Canada, Dr. Kurz was on the program to discuss lingual orthodontic therapy. The lecture topic was timely in that many orthodontists had now tried the appliance and lingual therapy without much success. There seemed to be widespread problems with appliance placement through direct bonding techniques and manipulation of archwires on open buccal segments with no occlusion because of the bite plane effect of the anterior inclined plane. Many clinicians had experienced a loss of control in cases treated with the lingual approach. Dr. Kurz’s lecture was well attended because many clinicians were looking for solutions to the problems that were preventing them from finishing cases to the same standard of excellence they had come to expect from labial appliances. At this same meeting, an alternative esthetic solution was pro- vided to the clinicians. A truly clear, stain-resistant labial bracket was introduced by A Company. This bracket, called Starfire, provided a reasonable alternative for patients who were concerned with the poor esthetics of conventional metal labial brackets. A sigh of relief was heard throughout the orthodontic community. Orthodontists could now offer to patients an option that provided improved esthetics over metal brackets with efficient and high-quality treatment. Enthusiasm for lingual therapy waned in the profession, and commercial interest also declined. The original Ormco Task Force was reduced to just three members by 1988, Drs. Kurz, Gorman, and Smith. They restructured the group and were renamed KGS Ormco Task Force Number Two. Their new charge was to define the problems that plagued the current status of lingual therapy and develop solutions to these prob- lems. These were the problems they identified:  -. Classes in a Newport beach hotel.
  • 18.
    Lingual Orthodontics: HistoricalPerspective  1. The lingual appliance had been made available to the public before testing was complete. 2. Orthodontists inadequately trained with lingual therapy were treating patients in record numbers. 3. The public had high expectations from this treatment and demanded it from the profession immediately. A solution was to have smaller classes taught by more experienced lingual practi- tioners. Longer courses were developed with a typodont (hands-on) component, and continuing education was stressed, with support provided by study clubs, journals, and professional meetings. The American Lingual Orthodontic Association (ALOA) was established on November 14, 1987, by a core group of six hundred American orthodontists. Member- ship quickly grew to over 800 members in 17 countries. The ALOA provided quarterly journals, study club assistance, patient brochures, yearly conventions, and professional lectures. The first annual meeting of ALOA was held in Washington in 1987, and in Palm Springs the following year. Additionally, a Dental Lingual Assistant Association was formed to provided support for staff members employed by lingual orthodontic practitioners. The new professional associations were smaller than the original groups but remained active in their support of lingual therapy. Continuing educational pro- grams were now offered in Europe and Japan by the KGS group. Enthusiasm for lin- gual therapy was still strong in these professional communities. Some European and Japanese university programs offered training in lingual therapy and these were soon followed by courses in Korea, South America, Mexico, and Denmark. The European Society of Lingual Orthodontics (ESLO) was founded in 1992, in Venice, Italy, and hundreds of people participated in the first European lingual asso- ciation congress in Venice. In the same year, an Italian society was founded; the Associazione Italiana Ortodonzia Linguale (AIOL) or the Italian Association of Lingual Orthodontics has been one of the most active ever since. The Asian lingual asso- ciation is also very active. Dr. Lorenzo Favero, Italy, was the first to treat children and adolescents with LO, and now it is a legitimate treatment option for all. Today, lingual orthodontics has a small but strong following in the United States, Europe, and Asia. The ALOA is active again, after few years of silence, with annual conventions, availability of patient educational materials, and the publication of a professional quarterly, the JALOA. The French Lingual Orthodontic Society and the Italian Lingual Orthodontic Society currently hold annual meetings. The ESLO sponsored the last international meeting in Monaco, Monte Carlo in 1996 and the next meeting is scheduled for June, 1998 in Rome. Many courses are given in various locations throughout the world, mainly by Drs. Didier Fillion (France), Courtney Gorman (USA), Giuseppe Scuzzo (Italy), Kyoto Takemoto (Japan), Echarri Pablo Lobiondo (Spain), Bob Baker (USA), Mario Paz (USA), and John Napolitano (USA). The following is a summary listing of some of the difficulties encountered during the development of lingual orthodontic therapy and the current solutions: 1. Tissue Irritation and Speech Difficulties The earlier brackets placed on the lingual surface of the teeth were irritating to the tongue and impeded normal speech. The current generation of brackets has been
  • 19.
     -. Initially,anterior brackets had long gingival hooks responsible for calculus build-up.   redesigned with smooth exterior surfaces and a low profile. The increased comfort allows normal tongue activity, hence speech is not affected significantly. 2. Gingival Impingement Earlier generations of the lingual appliance had a broad bonding base extending towards the gingival margin (Figure 1–12). Access for adequate oral hygiene and the self-cleansing nature of the oral cavity were compromised. Brackets have been redesigned to be more self-cleansing. The base now extends incisally and mesiodistally, providing adequate bond strength, yet retaining hygienic qualities. The mandibular anterior teeth are particularly vulnerable to calculus accumulation due to their close proximity to the submandibular salivary glands. These brackets have 1.5 to 2 mm clearance between the base and the gingival margin. Additionally, the bracket hooks have been redesigned with a lower profile and are located several millimeters from the gingival margin (Figures 1–13a and b). 3. Occlusal Interference A predominant problem with the original appliance was the effect of the shearing forces on the brackets, particularly in the maxillary anterior dentition. (In the absence of a cross-bite, the lingual aspect of the mandibular dentition is generally not in direct contact with the maxillary dentition; therefore, the shearing forces were not a problem (Figure 1–14). Likewise, the relatively high maxillary crown height and low mandibular cusp height in the posterior segments allow adequate clearance to avoid the severe shearing forces seen in the maxillary anterior region.) The bracket was redesigned with an inclined or bite plane strategically placed to redirect the vertical shearing forces to a horizontal seating force (Figure 1–15). The location of the inclined plane is such that when a 1 mm overjet and overbite relationship is obtained, all mandibular anterior contact with the inclined plane is eliminated. To avoid deleterious effects caused by tooth contact with the archwire, the inclined plane is located incisal to the slot. Patient tolerance of the bite plane effect of the inclined plane has been favorable.
  • 20.
    Lingual Orthodontics: HistoricalPerspective  4. Appliance Control Since the introduction of lingual therapy, control has been a concern. To allow better control of tooth movements, the appliance was fabricated in high tensile metal which provides a greater degree of accuracy. First and second molar bands were manufactured, allowing control from both the buccal and lingual sides of the posterior segments. An initial treatment approach joined the buccal and lingual attachment when the wire was engaged. This coupling was thought to prevent vertical and horizontal rotation of the buccal segments (Figure 1–16). Clinically, however, this coupling proved to be unnecessary because one full arch wire from 7-7 was able to offer much more stability. Currently, transpalatal bars are used for additional stability. They can be attached to either the first or second molar. 5. Base Pad Adaptation As with all appliances, accurate contour of base pads improves not only retentive capabilities but also the accuracy of bracket placement and therefore the quality of  -. Cast illustration of the mandibular teeth showing no problem with occlusal interference.    -  . Photo of Kurz #7 bracket bonded on typodont, with close-up of mandibular and maxillary incisors.
  • 21.
      treatment. Topographicmaps were constructed for each tooth and individual bracket base curvatures were calculated (Figure 1–17). 6. Appliance Placement and Bonding The original appliances were direct bonded. With the variability of lingual tooth con- tours, accurate bracket placement was difficult. This approach produced unpredictable tooth alignment with tremendous variations in tip, torque, and tooth height. Initially, the Torque Angulation Referencing Guide (TARG) system was used. The TARG instrument was designed to place brackets on the lingual surfaces using conventional landmarks as references. Although substantial improvements were made in the accuracy and efficiency of bonding, the system was still inadequate. A more sophisticated sys- tem, using a diagnostic set-up constructed from articulated models was developed and has met with considerable success. This method, the Custom Lingual Appliance Set-Up Service (CLASS), involves indirect bonding set-up on a diagnostic or ideal model of the teeth. The brackets are then transferred back to the original malocclusion, and transfer trays prepared. These methods will be explained in detail in Chapter 15. 7. Appliance Prescription In the early 1970s, Dr. Lawrence Andrews developed and patented a fully programmed orthodontic appliance, which he introduced as the Straight Wire Appliance. This philosophy involves programming all the elements necessary to achieve an optimal occlusion into each bracket.  -. The incline plane. The red arrows represent the primary force applied, and the broken black lines represent the secondary/resultant forces exerted.
  • 22.
    Lingual Orthodontics: HistoricalPerspective  The initial lingual appliance used a custom-modified labial appliance bonded to the lingual surface. Tip and torque angulations were not ideal. A similar philosophy was used to design the Kurz Lingual Appliance. A site was selected on the lingual surface of each tooth. It was consecutively transferred from the lingual first molar, as high as it could go, without missing the rounded lingual anatomy. Reciprocal tip and torque values to Andrew’s published values were used to establish the prescription. There was no grand procedure used in obtaining the reciprocal lingual reference of angles with regard to Andrew’s published values. It was a simple matter of mathemati- cally milling a hundred molds to a constant labial vertical.  -. Locking of the molars to the lingual attachment was thought to give greater appliance control.  -. Topographical illustration used to study the lingual dental anatomy for the purpose of construction of lingual appliance bases.
  • 23.
       -.Frontal view of the lingual bracket designed for the maxillary anteriors. The in-out values varied dramatically between the anterior and posterior segments. To adjust for this with bracket design alone would make the anterior brackets thicker than is reasonable, so a true straight wire was not feasible. A first order bend was placed at the junctions of the canine and premolar, and the premolar and molar. These wires could be prefabricated in the laboratory. 8. Wire Placement Access for the placement of wires in the molar tubes from the lingual was limited. The tubes were redesigned by widening the mesial aperture of the slot of the first molar bracket, creating a funnel effect (Figure 1–18).  -. Widening of the mesial aperture to provide ease of wire insertion.
  • 24.
    Lingual Orthodontics: HistoricalPerspective  9. Ligation To permit stable ligation with ligature wires or A elastics, ligature locking grooves that are both deep set and easy to hook have been designed. When teeth are crowded and slot engagement is especially difficult, a vertical slot is provided so the archwire can be attached to the bracket even through the initial stages of leveling and aligning (Figure 1–19). A double over-tie with metal is used when a tooth is to be an attach- ment for anchorage or rotation of the other teeth. 10. Attachments A gingival hook is an integral part of the bracket and provides rotational control. The original hook was large and in close proximity to the gingival margin, impeding access for hygiene. This hook was redesigned with a lower profile and moved away from the gingival margin. From Generation #1 to Generation #7—A Summary of Progress GENERATION #1—1976 The first Kurz Lingual Appliance was manufactured by Ormco. This appliance had a flat maxillary occlusal bite plane from canine to canine (Figure 1–20). The lower incisor and premolar brackets were low profile and half-round (Figure 1–21), and there were no hooks on any brackets. GENERATION #2—1980 Hooks were added to all canine brackets (Figure 1–22). GENERATION #3—1981 Hooks were added to all anterior and premolar brackets. The first molar had a bracket with an internal hook. The second molar had a terminal sheath without a hook but had a terminal recess for elastic traction (Figure 1–23).  -. Generation #1—1976. Flat maxillary occlusal bite plane from canine to canine.
  • 25.
      GENERATION #4—1982–84 Thisgeneration saw the addition of a low profile anterior inclined plane on the cen- tral and lateral incisor brackets. Hooks were optional, based upon individual treat- ment needs and hygiene concerns (Figure 1–24 and 25). GENERATION #5—1985–86 The anterior inclined plane became more pronounced, with an increase in labial torque in the maxillary anterior region. The canine also had an inclined plane; however, it was bibeveled to allow intercuspation of the maxillary cusp with the embrasure between the mandibular canine and the first premolar. Hooks were optional. A transpalatal bar attachment was now available for the first molar bracket (Figure 1–26 to 28).  -. Generation #1—1976. The lower anteriors and premolars had low profile, half-round brackets. There were no hooks on any brackets.  -. Generation #3—1981. Hooks were added to all anterior and premolar brackets.  -. Generation #2—1980. Hooks were added to all canine brackets.
  • 26.
    Lingual Orthodontics: HistoricalPerspective  GENERATION #6—1987–90 The inclined plane on the maxillary anteriors become more square in shape (Figures 1–29 and 30). Hooks on the anteriors and premolars were elongated. Hooks were now available for all the brackets. The transpalatal bar attachment for the first molar band was optional. A hinge cap, allowing ease of archwire manipulation, was now available for molar brackets.  -  . Generation #4—1982–84. Additional of a low profile anterior inclined plane on the central and lateral incisors. Hooks were optional.  -  . Generation #5—1985–86. The anterior inclined plane was more pronounced, Upper Central Torque: +68° Angulation: +5° Rotation: 0 In–Out: 0 Slot size: .018 Pad: Special lingual design Upper Cuspid Torque: +55° Angulation: +12° Rotation: 0 In–Out: .010 Slot size: .018 Pad: Special lingual design
  • 27.
      GENERATION #7—1990TO PRESENT The maxillary anterior inclined plane is now heart-shaped with short hooks. The lower anterior brackets have a larger inclined plane with short hooks. All hooks have a greater recess/access for ligation. The premolar brackets were widened mesiodistally and the hooks were shortened. The increased width of the premolar bracket allows better angulation and rotation control. The molar brackets now come with either a hinge cap or a terminal sheath (Figures 1–31 and 32).  -. Generation #5—1985–86. A transpalatal bar attachment was now available for the first molar bracket.  -  . Generation #6—1987–90. The inclined plane on the maxillary anteriors became more square in shape. Hooks were elongated and were available for all the brackets. Ball hook Ball hook Bracket slot for archwire Bracket slot for archwireBracket Bracket
  • 28.
    Lingual Orthodontics: HistoricalPerspective  Bibliography Alexander RG. Lingual orthodontics. In: The Alexander Discipline. Ormco Corporation, 1986; 13:371–430. Andrews LF. The straight wire appliance: syllabus of physiology and techniques. 2nd Ed., USA, 1975. Fillion D. Orthodontie linguale et Mini-Plaques, esthetique et confort dans les traitments chirur- gio-orthodontiques. L`Information Dentaire n 20 du 17 mai 1990. Gorman JC. Treatment with lingual appliance: the alternative for adult patients. Int J Adult Orthod Orthognath Surg 1987;2:131–149. Gorman JC, Kurz C, Smith JR. Lingual orthodontics, cases, principals and practice. 3-hr. Videotape produced by Ormco Corporation, Glendora, California. Gorman JC, Kurz C, Smith JR. Lingual case reports. J Clin Orthod 1983;17:5. Gorman JC, Kurz C, Smith JR. Lingual mechanotherapy. J Clin Orthod 1983;17:2. Gorman JC, Kurz C, Smith JR, Dunn RM. Keys to success in lingual therapy. J Clin Orthod 1986;20:4–5. Gorman JC, Smith JR, et al. Lingual orthodontics, a status report. J Clin Orthod 1982;16:4. Kurz C. Lingual orthodontics. In: Marks M, Corn H, eds. Atlas of adult orthodontics. Philadelphia, London: Lea & Febiger, 1989. Kurz C, Bennett R. Scientific report. J Am Ling Orthod 1988;1:3. Smith JR. Twelve key principles for lingual orthodontic therapy. J Am Ling Orthod 1988;1:2.  -  . Generation #7—1990–present. The maxillary anterior inclined plane is heart-shaped with short hooks. The lower anterior brackets have a larger inclined plane with short hooks and all hooks have a greater recess/access for ligation. Ball hook Bracket slot Bracket Ball hook Bracket slot for archwire Bracket
  • 29.
     During the evolutionof lingual appliance therapy, the technique has moved in and out of public and professional favor. Over the years, the appliance and the techniques have been improved dramatically and, as a result, a reliable system has emerged. It has now undergone many years of clinical experience and has been shown to consistently produce satisfactory results. Esthetic concerns were initially responsible for the development of the appliance system and they continue to remain at the forefront for a significant segment of patients seeking orthodontic treatment. Appearance is undoubtedly the most impor- tant motivating factor for adults whether it is termed “facial appearance,” “dental appearance,” or “straight teeth.” Research has shown that physically attractive people achieve higher levels of success in many aspects of life than unattractive people.3 This advantage starts at birth and continues into adulthood. The added positive attention given to attractive indi- viduals by teachers and peers, for example, can have profound effects on personality development and self-image. Improvement in one’s physical appearance, as is common with orthodontic treatment, can positively affect social and professional interactions.1–9 At the same time, deterioration in one’s physical appearance, as with the use of unat- tractive labial orthodontic appliances, can negatively affect one’s self-esteem. This is particularly true during the formative years of adolescence and young adulthood. Many patients, if given the choice, would opt for an appliance that was not visible, provided the course of treatment and the quality of the results were the same as with a conventional treatment. This service offered in the private orthodontic office allows the patient several treatment options, and provides the orthodontist with a competitive advantage over colleagues not offering the option of lingual appliances. Advantages and Disadvantages of Lingual Therapy One of the most significant drawbacks to lingual therapy appears to be the discomfort to the tongue, and with it, difficulty in speech, both of which usually improve after 2 to 3 weeks of appliance placement. Also, the sensitivity of the laboratory techniques and the extended chairtime needed for appliance placement and adjustments have made the treatment prohibitively expensive for many patients. However, lingual treatment has obvious advantages over labial treatment. The labial enamel surface of the anterior teeth plays an important esthetic role. By placing labial appliances, the susceptibility of this enamel surface to chemical insults from etchant materials and to environmental influences from plaque accumulation in patients with poor oral hygiene is increased. Permanent and unsightly decalcification marks can result. Lingual appliances allow easy access for routine oral hygiene proce- dures on these labial surfaces. Additionally, the self-cleansing nature of the stomatog-   Present Clinical Reality MASSIMO RONCHIN, MD, DDS
  • 30.
      nathic systemis maintained. Clinical judgment of treatment progress can be enhanced. Evaluation of individual tooth positions can be easily accomplished by hav- ing the labial surfaces free of distracting metal or plastic brackets. Soft tissue responses of the lips and cheeks to treatment can be judged accurately because there is no distor- tion of shape or irritation caused by a labial appliance. Four distinct situations exist where lingual appliances may be more effective than labial appliances because of their unique mechanical characteristics. These include: 1. Intrusion of anterior teeth. 2. Maxillary arch expansion. 3. Combining mandibular repositioning therapy with orthodontic movements. 4. Distalization of maxillary molars. 1. Intrusion of Anterior Teeth The biomechanics of lingual techniques differ considerably from labial biomechanics. Both arch circumference and interbracket distance are reduced, requiring lighter force application for tooth movement.5–9 Lingual bracket position, which is dictated by the morphology of the lingual surface of the tooth, places the bracket closer to the center of resistance of the tooth than is found with labial bracket placement (Figure 2–1).10 An important clinical implication of this unique bracket position and design is that the intrusive force vector is directed  -. The center of resistance of the tooth is located closer to the lingual bracket.
  • 31.
    Present Clinical Reality through the center of resistance of the tooth. As the mandibular anterior dentition occludes with the anterior horizontal plane of the maxillary anterior brackets, a bite plane effect results. Since the appliance is bonded, the bite plane is always present. The net effect appears to be a light, continuous, intrusive force. In addition to these active intrusive forces on the anterior dentition, a passive extrusion occurs in the pos- terior segments. Deep-bite correction through this passive increase in posterior vertical dimension and active decrease in anterior vertical dimension occurs quickly and easily. Malocclusions requiring open-bite correction obviously would not benefit from this technique. To prevent the passive extrusion of the posterior segments in these patients, acrylic posterior overlays are used. Figure 2–2 shows the intrusive effect of the appliance in correcting a severe dento- alveolar deep bite in a 38-year-old female. This patient had a class II occlusion with a skeletal and dental deep-bite pattern and severe crowding in both arches. The maxil- lary dental midline looked deviated towards the left-hand side because of the extreme Class II relationship on that side (Figure 2–2a). Partial lingual appliances were placed in both arches (Figures 2–2b and c). As with labial bracket placement, ideal placement  -. The very severe deep-bite occlusion of the patient, before treatment.  -. Occlusal view of the mandibular arch, just after the partial lingual bonding; the molars were banded afterwards.  -. The upper arch, just after the initial partial lingual bonding.  -. Frontal intraoral view, three months after starting lingual mechanics.
  • 32.
      is notalways possible at initial bonding due to the severity of the malocclusion, so appliances should be repositioned during treatment when it becomes possible. Figure 2–2d shows the treatment progress three months after appliance placement, and Figure 2–2e shows the final occlusion. Total treatment time was 15 months. Deep-bite correction was facilitated by the active anterior intrusive forces and the passive posterior extrusive forces. The correction was stabilized by prosthetic restora- tions in the posterior segments. 2. Maxillary Arch Expansion With some kinds of malocclusions we are occasionally faced with the need to expand the upper arch both transversally and sagittally. It is not yet totally clear why but, clin- ically, we obtain more remarkable dentoalveolar expansions through lingual mechanics than through labial mechanics.11–12  -. The occlusal situation six months after the end of the treatment.  -. Profile view of the patient, before treatment.
  • 33.
    Present Clinical Reality Some possible reasons are: 1. The force which is developed is of a centrifugal type, from the inside towards the outside of the arch. The same occurs with the Quad-Helix and the Rapid Palatal Expansion (RPE) devices. 2. Some authors point out that the thickness of the brackets, which interpose themselves between the tongue and the lingual wall of the teeth, can con- tribute to this expansive effect.7–9 3. It is even likely that the shorter interbracket distance may play a significant role in this effect.5 In fact, by using this method, not only is the expansive effect so evident but also the teeth do not become too labially tipped.10 The tooth movement probably takes place without incurring a significant labial inclination because the application point of  -  . Lower and upper occlusal photographs, before treatment.    -‒. Right and left intraoral views, during the initial phases of mechanics, after the extraction of the first lower molars.  
  • 34.
      the forceis more palatal than the center of resistance of the tooth. The following case shows a 30-year-old female who had a Class III occlusal rela- tionship with a prognathic profile and a protruding lower lip (Figure 2–3a), an anterior cross-bite of several mandibular teeth, upper arch contraction, and a total lack of space for the lower left central incisor which was lingually placed and completely hid- den by the adjacent incisors (Figures 2–3b and c). Since it was a Class III malocclusion, the upper arch underwent a nonextraction treatment. The lower arch was treated with extraction of the first molars to gain more space to solve the crowding and to achieve more successful intercuspation. The upper third molars would subsequently be extracted (Figures 2–3d and e). Lingual braces were bonded to the upper arch with an initial Twist-Flex type archwire (Figure 2–4a). Four months later, the extent of the dentoalveolar expansion obtained is quite  -. The upper arch (occlusal view), just after placing the first superelastic Twist-Flex type archwire.  -. The upper arch (four months after Figure 2–4a), with a rectangular wire. Notice the amount of the transverse and sagittal expansion.  -. The patient’s profile after treatment.
  • 35.
    Present Clinical Reality remarkable, both transversally and anteriorly (Figure 2–4b). Further expansion was achieved with a rectangular archwire. The results show substantial improvement in the patient profile and occlusion (Figures 2–4c and d). 3. Combining Mandibular Repositioning Therapy with Orthodontic Movements When patients have temporomandibular dysfunction (TMD), it is often necessary to treat in two distinct clinical phases. The initial phase of treatment addresses the TMD and associated pain symptoms. It is often accomplished with splint therapy until the muscle and joint symptoms resolve. Depending on the practitioner, the patient is then maintained, symptom free for a period of time from several months to more than a year. The second clinical phase of treatment addresses changes in the occlusion as a result of the new mandibular position. It generally involves orthodontics, prosthodon- tics, and/or orthognatic surgery. The orthodontic phase of treatment is often tedious and time consuming. Often, labial appliances are placed on one arch, and a positioning splint is kept on the oppos- ing arch to maintain the maxillomandibular relationship. This is then reversed with appliances placed on the opposite arch and a splint fabricated for the opposing arch. Obviously, treatment times can be significantly extended.  -. Frontal intraoral view at the end of treatment.  -. Left intraoral view during the last phases of the Class II mechanics.
  • 36.
      The lingualappliance system allows both arches to be treated simultaneously, while maintaining the effects of the splint. The anterior occlusally oriented inclined plane functions as a bite plane. As seen previously, this device has an active intrusive effect, while allowing passive eruption of the posterior segments. Many patients with TMD require stability with anterior and posterior contacts on their splint. For these patients to remain comfortable, this relationship must be maintained during orthodon- tic treatment. Flat acrylic minisupports can be added to the first and/or second molars, producing a tripod effect. This combination of anterior bite plane and posterior acrylic supports can simulate the action of the conventional splint, thereby allowing treatment to progress simultaneously in both arches. The supports can be flat, thereby helping the Class II elastics (Figure 2–5), or they can be fabricated with some occlusal indentations which can guide the mandible into the desired position.12–14 Figures 2–6    -  . Frontal, right, and left intraoral photos, before treatment.   -. Frontal view of the occlusion, with the upper splint. The midlines are centered, and the mandible is slightly advanced.
  • 37.
    Present Clinical Reality and 7 demonstrate the use of the lingual appliance in treating patients with TMD. This 18-year-old patient presented some TMD signs and symptoms and a history of past orthodontic extraction treatment. She had an early reciprocal clicking in the left TMJ and also suffered from muscular hyperactivity. Both the right and the left masseter muscles and the anterior belly of the left temporal muscle felt tender to palpation. She had mild to moderate anterior crowding, a Class I canine and molar relationship on the right, an end-on Class II canine and molar relationship on the left, normal overjet, and an increased overbite (Figures 2–6a to c). A mandibular repositioner was fabricated and worn until her TMD symptoms disappeared (Figure 2–6d) and she was main- tained symptom free for four months before orthodontic treatment was initiated. The lower arch was then bonded (Figure 2–6e). Two months later the upper splint was  -. The patient, wearing the splint, is maintained in the same therapeutic position. The lower arch is fully bonded.  -. The upper arch, after the expansion, with a full size rectangular archwire. The acrylic repositioning build-ups on the first molars are visible.    -  . Frontal, right, and left intraoral views, a few weeks after treatment is completed. 
  • 38.
      removed, themaxillary arch bonded, and flat acrylic supports were placed (Figure 2–6f). These two posterior elevations, combined with the bite plane effect of the ante- rior brackets and the Class II elastics allow mandibular repositioning while also allow- ing orthodontic treatment to progress. Figures 2–7a to c show the finished case several  -. The center of resistance of the second upper molar is located in correspondence with the palatal root (see the yellow dot), close to the lingual wall.  -. During the second stage, the distal movement of the buccal roots takes place very easily.  -. The distal movement takes place quite bodily; only later can a slight buccal rotation be observed.  -. For the second stage, a buccal sectional archwire can be used.  -. A doubled Class II elastic (lingual and buccal) is very effective for the retracting mechanics.
  • 39.
    Present Clinical Reality months after debonding. The patient remained symptom free. This is an interesting aspect of lingual appliance therapy that warrants consideration. 4. Distalization of Maxillary Molars Lingual brackets are placed closer to the center of rotation (CR) of the tooth than labial brackets. It is possible that molar distalization through lingual techniques pro-  -. Profile view before treatment.  -. Frontal view of the malocclusion before treatment.  -. A round archwire is initially used in the upper arch.  -  . The anterior bite effect of the lingual braces and the acrylic posterior minisupports.  
  • 40.
      duce morebodily movement of the tooth and less distal tipping. Because of the angu- lation of the multiple roots of maxillary molars, the center of resistance is found just lingual to the average long axis of the roots (Figure 2–8a). In this example of a second molar being distalized with the use of an open coil spring, lingual and labial tech- niques are sequentially employed. Figure 2–8b shows the force being applied from the lingual surface; here the CR is found in the palatal root. In fact, a rather bodily distal migration takes place. Afterwards, a labial force (Figure 2–8c) can very easily correct the rotation. Bodily movement is the most efficient form of tooth movement. Clinically, this can be accomplished by placing an open coil spring between the first and second molars. To counteract the mesial displacement of the first molars, a verti- cal loop is placed against the lingual twin bracket (Figure 2–9a). For derotating the second molar and continuing to distalize the tooth, two buccal brackets and a section- al archwire can be placed. This will allow Class II elastics to be used on both the buc- cal and lingual aspects (Figure 2–9b). The balance of these forces counteracts the rota- tional forces. As an additional case, we present the 20-year-old female in Figures 2–10 to 13 who presents a rather retrusive chin (Figure 2–10a). We are faced with a Class II deep bite  -. An Australian archwire (.016 inches), producing a 20-toe-in, and two horizontal round loops is used during the last stage.  -. Profile of the patient at the end of treatment.  -. The Class II mechanics at the final phase of the treatment.
  • 41.
    Present Clinical Reality malocclusion with a slight anterior crowding (Figure 2–10b). At first, only the maxil- lary arch was lingually bonded, with the purposes of alleviating the crowding, intrud- ing the anterior group, and expanding the maxillary arch (Figure 2–10c). Some poste- rior acrylic minisupports are noticeable in the intraoral lateral photographs (Figures 2–10d and e). As previously described, these supports tripodize the occlusion through an anterior contact on the brackets and through posterior contacts on the flat elevations and produce an anterior mandibular displacement during the use of Class II elastics. In addition, this distribution of the occlusal load is comfortable for the patient. After having banded the lower arch, Class II mechanics was applied (Figure 2–10f). In the upper arch, a lingual archwire can be used (Figure 2–11). In Figure 2–12 we see a remarkable improvement in the patient’s profile at the end of treatment. Her chin looks more advanced and her lips are more harmonious. We successfully obtained a full Class I occlusal relationship and the anterior deep bite was corrected (Figure 2–13). In today’s clinical orthodontic practice, the lingual appliance can offer many advantages over the labial appliance to both the patient and the practitioner. Enamel surfaces are protected, some treatments (such as deep bite correction) can occur faster, molar distalization appears to take place more efficiently, and TMD patients can pro- ceed with orthodontic treatment in a timely manner. References 1. Alexander CM, Alexander RG, Gorman JR. Lingual orthodontics: a status report, part 1. J Clin Orthod 1982;16:255–262. 2. Alexander CM, Alexander RG, Sinclair PM. Lingual orthodontics: a status report, part 6: patient and practice management. J Clin Orthod 1983;17:240–246. 3. Breece G, Nieberg L. Motivations for adult orthodontic treatment. J Clin Orthod 1986; 3:166–171. 4. Bercheid E, Walster E, Bohrnstedt G. Body image. Psychol Today 1973;7:119–131. 5. Fujita K. New orthodontic treatment with lingual brackets and mushroom arch wire appli- ance. Am J Orthod 1979;76:657–675. 6. Genone B, Siciliani G. Trattamenti ortodontici a collocazione linguale. Mondo Ortodontico 1984;3:14–27. 7. Gorman JR, Hilgers JJ, Smith JR. Lingual orthodontics: a status report, part 4: diagnosis and treatment planning. J Clin Orthod 1983;17:26–35.  -. The occlusal result.
  • 42.
      8. KellyVM. Interviews on lingual orthodontics. J Clin Orthod 1982;16:461–476. 9. Kurz C, Gorman JR. Lingual orthodontics: a status report, part 7: case report. J Clin Orthod 1983;17:310–331. 10. Nidoli G. Lingual technique under the biomechanical and aesthetical point of view. Proceedings and abstracts: I. Congress of the European Society of Lingual Orthodontics, Lido di Venezia, June 18–20, 1993. 11. Ronchin M, Oddini Carboni S, Dessi S. Nuovi Orizzonti terapeutici con la biomeccanica lin- guale. Proceedings of the V Giornate Mediterranee di Odontoiatria, Naples, February 26–28, 1983. 12. Ronchin M. Present horizons and a future outlook on lingual approach. Proceedings and Abstracts: First Congress of the European Society of Lingual Orthodontics, Lido di Venezia, June 18–20, 1993. 13. Ronchin M. Aesthetics with lingual orthodontics: resolving class II malocclusions with molar distalisation. Pract Perio Aesthet Dent 1994;6:51–58. 14. Siciliani G. Ortodonzia Linguale. Milano, Italy: Masson. 1992.
  • 43.
     Lingual orthodontics isa viable option in a modern orthodontic practice. In 1979, when Drs. Kurz and Fujita first began experimenting, appliances and techniques were in their infancy. Today, modern, well-developed appliances, laboratory procedures, and treatment mechanics are available. Doctors have the ability to include lingual appli- ances in the treatment plans of their patients, and assure exceptional results with con- fidence. Problems like prolonged treatment times and compromised results are similar to those with treatment with labial appliances by an experienced practitioner and, as with any technique, can be overcome with an accumulation of experience. Today’s practitioner must find a way to treat his lingual patients without disrupt- ing his practice. In fact, these lingual patients should enhance an already thriving practice and revive a dwindling one. The article will provide a clear and precise expla- nation of how we practice lingual orthodontics in our office, how lingual patients affect the practice of labial orthodontics, and what one can do to avoid problems dur- ing his early lingual experience. The Clinical Experience All patients are treated the same way during their initial examination. After viewing a video tape which has been mailed to them prior to the first appointment, patients arrive at the office with some of their questions already answered and a familiarity with our office and procedures. The appropriate forms are then completed, a high- quality panoramic radiograph is taken and developed, and intraoral and extraoral video images are captured. The patient is then invited to the consultation room. Meanwhile, a preliminary diagnosis is made using the radiograph, and the video images. Different treatment options are considered including extractions, orthosurgery, and labial or lingual treatment. All the mechanical advantages of lingual treatment (in treating deep-bites, cross-bites, and expansion), and disadvantages (in treating open- bites or high angle cases) are carefully evaluated for that specific clinical case. After the preliminary diagnosis is made, the clinician enters the consultation room where all the clinical, radiographic, and visual aids are prepared. If lingual appliance treatment is one of the options and the patient wants to be treated this way, a separate appointment is made to complete the records. An extra set of impressions is made and poured immediately in a pink stone. A face bow transfer is also made so the models can be properly mounted. Using all records, the diagnosis and treatment plan are finalized. The proper laboratory prescription for the appliances is prepared, and two weeks later the patient is scheduled for the initial bonding. During the two weeks fol- lowing the impressions, it is critical that no tooth movement takes place as this would   Lingual Orthodontics in a Labial Orthodontics Office J. COURTNEY GORMAN, DDS, MS
  • 44.
      ruin theaccuracy of the indirect bonding. This means no separators, no extractions, and no heavy cleaning. The last item should have been accomplished prior to the impres- sions, and the first two items should be completed after the initial bracket placement. Appliance Placement The bonding procedure for the initial bracket placement is as follows: 1. Paint all of the brackets with the bracket-side portion of the bonding adhesive. 2. Microetch the lingual surface of all teeth to be bonded. 3. Isolate one-third of the dental arch. (Some clinicians may prefer to bond the entire arch simultaneously.) 4. Acid etch the teeth for 20 to 30 seconds. 5. Rinse each tooth for 20 seconds. 6. Dry the teeth with an air syringe. At the same time use a hair dryer to displace the moisture from the breath. 7. Paint the teeth with the tooth-side portion of the adhesive. 8. Reapply the bracket-side portion of the adhesive. 9. Fully and firmly seat the bonding tray and hold in place for one minute. 10. Repeat procedures 3 to 9 for the remaining segments. 11. Remove the hard shells of the bonding trays. 12. Using a sharp scaler, remove the soft undertrays. After the bonding procedure is complete and before removal of the isolation, each bracket is checked by pulling on it with an elastic. If there is a failure, cut the section of the tray from which that bracket came into a single-tooth tray, discard the hard shell and place the bracket back into the single-tooth soft tray, microetch the bracket and tooth, reapply bracket side adhesive to the bracket, acid etch the tooth, rinse the tooth, reapply tooth side adhesive, reapply the bracket side adhesive, seat the tray, hold for two minutes and then remove the tray. It is advisable to retain the soft trays for any future repairs. In cases with a porcelain jacket crown, the crown should be conditioned with a porcelain etchant for four minutes and then rinsed. Apply some normal etchant to the crown and blow off the excess followed by the silane primer (it is important not to skip the etch as the acid activates the silane). Now apply the adhesive bond to the bracket and bond it to the crown. Before placing the initial archwires, the clinician must first determine which teeth are to be engaged. Elastic chains are placed over the brackets on each of those teeth. The chain is precut into two- or three-unit sections. Then, using a hemostat, it is stretched over the brackets with the extra lumen pointing towards the gingiva. The initial wires are then bent using a 1:1 photograph of the original malocclusion as a guide. In most cases this wire will be a .0175 Respond wire (Ormco). When the proper shape and length have been achieved, the distal ends are slid into the hinge caps or tubes. The wire is then engaged into one of the anterior brackets, and the chain is pulled back over the bracket so that a single lumen now encircles the archwire, form- ing the double over-tie. Now with the wire stabilized, the rest of the brackets can be engaged and the distal ends trimmed. The patient is instructed how to care for their appliances and instructed on the use of wax to prevent ulceration of the tongue. At this time it is important to encourage the patient and assure him or her that the function and speech will return to normal.
  • 45.
    Lingual Orthodontics ina Labial Orthodontics Office  The patient is then reappointed for a 40-minute visit approximately eight weeks later. If there are teeth to be banded, wire separators are placed before the patient is dis- missed and is reappointed one week later for the banding. Forty-minute appointments are scheduled during the course of treatment for wire changes, adjustments, or single-tooth bonding or banding. Changes of power products or checks of elastic wear are scheduled for 20-minute appointments. At each appoint- ment the assistant first checks the patient for any loose or broken appliances. If there are none, she proceeds with the removal of the archwire to be adjusted or replaced. This information should be noted in the chart and the doctor can now examine and confirm the treatment noted in the chart. If any changes are to be made they can be initiated now. Any adjustments to the wire can also be made at this time. The assistant then reinserts the archwire (usually only one wire is adjusted during a single appoint- ment) and applies any necessary power products. Treatment Sequences (Extraction and Nonextraction) After the appliances have been placed, the initial archwires are added. These are typi- cally .0175 Respond (Ormco) arches. In nonextraction cases, the wire will engage all the posterior teeth; in extraction treatment, it will form a sectional arch engaging only those brackets anterior to the extraction sight. Minimal movement is expected from these first wires. Their main purpose is to fill the space while the patient becomes accustomed to the new appliances. In nonextraction cases with crowding, the second arch is .016 TMA (Ormco) wires with advancement loops (U-shaped loops which are compressed when fully engaged) anterior to the first or second molars. These wires use the energy stored in the compressed loops to expand the arch in an anterior direction. Full engagement of the teeth can take place after sufficient space has been created. At this point rotations can be corrected. After initial leveling and correction of rotations, a square or rectan- gular wire is used to continue the leveling process and to torque any teeth in need. The wire of choice is usually a .0175 × .0175 TMA (Ormco). This wire enables full engagement of all brackets to complete the leveling and establish necessary torque. In simple nonextraction treatment in which the patient maintains a Class I buccal segment, this wire can be the final archwire. In cases requiring elastics, the square TMA archwire should be followed by a .017 × .025 stainless steel archwire with tiebacks in the mandible to ensure arch stability during elastic use. In the maxilla, a .016 × .022 stainless steel archwire with a Curve of Spee is usually adequate to main- tain arch integrity. After a Class I occlusion has been achieved, the patient is ready for final detailing which can be done with a .016 stainless steel archwire. In extraction treatment, the second arch is also a .016 TMA but without advance- ment loops. Once again, only those teeth readily engaged are ligated. After initial alignment, the TMA wire is removed, and a .016 × .022 stainless steel wire is bent and placed in the mouth, engaging as many brackets as possible. The posterior seg- ments are figure-eighted together using a steel ligature. Wire ligations are used on the cuspids, and a power tube is tied in a figure-eight from the cuspids to the second bicuspids. The cuspids are retracted until adequate space is available to completely align the anterior segment. At this time, it is important to avoid complete retraction of the cuspids as this will interfere with en masse retraction of the anterior segment. After initial cuspid retraction, the original .016 TMA arch is replaced, and all brackets
  • 46.
      are fullyengaged. This wire is used in conjunction with rotation ties until all rotations have been corrected. To develop torque and to continue leveling, a .0175 × .0175 TMA is placed. In the maxilla, it is common to follow this wire with a .017 × .025 TMA to achieve adequate torque. When the dentition is fully leveled and aligned space closure is begun, .016 × .022 stainless steel archwires with a Curve of Spee in the maxilla arch and a reverse curve in the mandibular arch are used. The anterior segments are figure-eighted together using a steel ligature. Power tubes and power chains are then placed from cuspid to second bicuspid to supply the necessary force for space closure (sliding mechanics). It is important to figure-eight the segments so the power products can be used over the shortest possible distance. Failure to do so can result in unwanted bowing of the dental arches in both the vertical and horizontal planes. Once all of the space has been closed, the patient can be prepared for elastics by placing a .017 × .025 stainless steel archwire with omega tiebacks in the mandible. In the maxillary arch, figure-eight and power products can be removed and brass electrodes soldered to the wire to act as tiebacks. When a Class I occlusion has been achieved, .016 stainless steel finishing arches can be placed. These wires should also have some type of tieback to ensure that no spaces reopen. If the buccal segments do not have maximum interdigitation at this point, a tooth positioner can be utilized. While a tooth positioner is very effective for “socking in” an occlusion, they are inadequate to complete space closure or for correc- tions of anterior positions. Four weeks after the delivery of the positioner, impressions for retainers are made. Clear overlay retainers are used. They are excellent for retaining alignment and provide exceptional esthetics. Practice Promotion Lingual appliances give the orthodontist a distinct competitive advantage. There are many individuals who need and desire orthodontic treatment but are not willing to wear conventional appliances. Many of these patients have gone for years hiding their smiles and neglecting their oral health. By offering them treatment with lingual appli- ances, the orthodontist provides a valuable and unique service. Many lingual patients are high-profile individuals. While they are willing to pay a premium for their lingual braces that others cannot see, they also openly discuss their treatment with their friends, colleagues, relatives, and sometimes even strangers. They can become great referral sources and goodwill emissaries for your practice. Referring dentists will also appreciate that you are able to provide their patients with a service that the other orthodontists cannot. They will be more likely to refer more of their patients to a full service orthodontist. Before the practice benefits from these and other advantages that lingual ortho- dontics brings, it is important that the staff and the orthodontist feel confident and comfortable with the lingual technique. The first step is to attend a complete typodont course during which a step-by-step method to treat lingual cases is taught. Once the orthodontist and his staff have achieved a high level of clinical proficiency, the lingual patients can be incorporated into the normal schedule. They can be treated side by side with the labial patients. Other than allowing adequate time, there are no other special requirements for these patients.
  • 47.
    Lingual Orthodontics ina Labial Orthodontics Office  Conclusion Lingual braces have been and are a viable treatment option. With these appliances the practitioner can achieve excellent results while providing his or her patients with a unique and valuable service. To successfully incorporate lingual patients into a labial practice the doctor and staff must develop the skills to successfully treat these patients. Then the treatment must be presented in such a way that the prospective patient will be receptive. This includes having models with lingual braces, having a treatment coordinator who believes in the treatment, and encouraging patients when lingual appliances are the better option. Having appropriate fees is also important to your practice. Lingual patients require approximately 25% more chairtime for the same treatment. Thus, a premium should be added to the usual fee. We add approximately 27% for the first arch and an additional 20% for the second arch. In this way both the additional laboratory expense and chairtime are covered. If the practitioner will make the commitment to make lingual orthodontics a part of his or her practice, the practice will grow.
  • 48.
     Enhanced FacialEsthetics using Kurz Lingual Appliance . .  Craven Kurz  Advanced Lingual Prescription: Technique and Design . . . . . . .  Robert Baker Jr. . Shape Memory Wires in Lingual Orthodontics . . . . . . . .  Christian Demange . Wire Sequencing in Lingual Orthodontics . . . . . . . . .  H. Stuart McCrostie  Instruments Used in Lingual Orthodontics . . . . . . . . .  Craven Kurz SECTION 2 Basic Principles
  • 49.
     A primary reasona patient seeks orthodontic treatment is to improve facial esthetics (Figure 4–1). A lingual appliance and bite plane may be used specifically to achieve this goal. The success of the orthodontic treatment is directly related to how attractive the patients find themselves after treatment, especially since the vast majority of lingual orthodontic patients are in careers that involve a public image. The traditional cephalo- metric models leave much to be desired as a direction to follow to obtain facial beauty. Studies of contemporary fashion models, movie stars, and beauty contest winners indi- cate that a much fuller profile than the conventional 1900s ideals is more popular with today’s public. Face studies made by Sassouni indicate that facial beauty is related to protrusive faces with a straight line relationship between the maxilla and mandible in well-balanced faces. Articles by Liddle, Luzi, Eirew, McNamara, and Moyers demonstrate that the maxilla is usually in the proper A-P position in the skull and in harmony with its biological environment. It rarely protrudes in any malocclusion, regardless of how much the dental overjet is. Thus, the use of backward-pulling head- gear of Class II elastics and/or bicuspid extractions would result in poor esthetics if used to try to fit a normal maxilla to a retruded mandible. Bite Plane An upfront, full smile always attracts attention. Dr. Grant Bowbeer had found that a bite plane in combination with labial orthodontic appliances helps to expand the   Enhanced Facial Esthetics using Kurz Lingual Appliance CRAVEN KURZ, DDS, PhD  -. Michelangelo’s faces in balance with today’s contemporary beauty analysis.
  • 50.
      maxilla andconsequently, to achieve an esthetic occlusion. The inclined plane in the upper incisor lingual brackets was designed for the purpose of avoiding shearing forces and subsequent debonding of the maxillary brackets. However, if used properly, it can also achieve correct positioning of anterior teeth in the optimal esthetic A-P and lateral positions. The esthetic advantages of the bite plane are: 1. It can be used as a functional appliance to facilitate the unlocking of a retruded mandible. 2. It can help expand the arch. This is a clinical observation and the possible explanations are elimination of posterior contacts or decrease in the lateral space in the palatal vault (Figures 4–2a to c). 3. It helps extrusion of posterior segments and intrusion of lower incisors in deep bite cases, giving the lower lip better support from the lower incisor and bal- ance with the maxillary lip in closure (Figures 4–3a and b). 4. Easier translation of teeth around the arch when the midline is off centered due to the smooth contact with the flat metal plate on the incisor brackets.  -  . Maxillary arch expansion: occlusal view before, during, and after lingual treatment. Note wide horseshoe arch.   
  • 51.
    Enhanced Facial Estheticsusing Kurz Lingual Appliance  Bibliography Bowbeer GRN. The five keys to facial beauty and TMJ health. The Functional Orthodontist 1985; 2:12–29. Eirew HL. An orthodontic challenge. Int J Orthod 1976;14:21–25. Liddle DW. Second molar extraction in orthodontic treatment. Am J Orthod 1977;72:599–616. Luzi V. The CV value (combines variation) in the analysis of sagittal malocclusions. Am J Orthod 1982;81:478–480. McNamara JC. Components of Class II malocclusion in children 8–10 years of age. Angle Orthodontists, 1981;51:177–202. Moyers et al. Differential diagnosis of Class II malocclusions. Am J Orthod 1980;78:477–494.  -  . Extrusion of posterior segments and intrusion of lower incisors in deep bite case: occlusal view before and during lingual treatment.  
  • 52.
     Lingual orthodontics inthe 21st century will involve several new innovations, includ- ing new players in the treatment field, new appliances and auxiliaries, and enhanced laboratory techniques, design, and communication. Still, the most important aspect of any labial, lingual removable or functional orthodontic treatment system is, of course, the thought process of the orthodontist. As all well-trained orthodontists know, any single orthodontic treatment system can work to move teeth, manage growth, or gain space; however, even the best system that is poorly thought out and does not use sound scientific principles can face failure. In the 20 years since the original lingual appliance was invented, we have been through seven generations of the original Ormco bracket and approximately a dozen other bracket designs from other companies. By necessity, treatment mechanics have been tailored to the available bracket systems. Many treatment philosophies are influ- enced by edgewise mechanics, Begg and Bioprogressive systems, and the straight wire system, after which the original bracket was designed. The individual orthodontist must take responsibility for his or her treatment. One of the main problems that lingual orthodontists have to overcome is to not overstandardize treatment plans. Although standardization sometimes can be of some advantage in streamlining a practice and allowing orthodontists to keep supplies, staff, and treatment well-coordinated, treatments should stay very case specific with an indi- vidual treatment modality for each patient. “Cookbook” orthodontics, especially for lingual treatment, has never worked. A thorough, individual treatment plan must be formulated, and the type of mechanics to be used must be selected from the very beginning of treatment. This involves a tooth-by-tooth, individual prescription that anticipates all positive and negative reactions to the type of biomechanics that the orthodontist will be using. To achieve such accuracy, a lingual orthodontist must have intimate knowledge of individual bracket positions over the center of resistance of each specific tooth and the knowledge of how that will either expedite or impede treatment goals. This will enhance treatment planning and case progress. Eventually, treatment time and chairtime can be significantly reduced, and patient comfort and satisfaction can be greatly increased. Anchorage must be carefully prepared and developed, using the Tweed method or others. Parisi (1989) proved that anchorage was enhanced from the lingual aspect when compared to the use of standard direct-bonded labial edgewise appliances without the use of extra anchorage auxiliaries. Factors like anatomical variation of teeth and functional habits like mastication and swallowing should be taken into account while planning the correct placement of   Advanced Lingual Prescription: Technique and Design ROBERT BAKER JR., DMD
  • 53.
      the lingualbrackets. The biomechanics of choice must be carefully selected. For example, if an orthodontist is using loop mechanics, continuous arch mechanics, or sectional mechanics to retract teeth into an extraction space, the laboratory setup could be different for each retraction method due to the differing effects on the teeth and underlying bone. One of the advantages of advanced laboratory case design and technique is the virtual elimination of appliance auxiliaries like rotation ties or double over-ties. Case Presentations The following cases demonstrate diagnosis and the establishment of treatment goals through selective individual tooth prescriptions, using the CLASS System design for indirect bonding preparation.  -  . At initial orthodontic examination: frontal, lateral, and occlusal views of the occlusion. Note the unesthetic smile, anterior open bite, and crowding.     
  • 54.
    Advanced Lingual Prescription:Technique and Design  CASE 1: D.P. A 31-year-old male presented with a Class I malocclusion, anterior open bite, and mild upper and lower crowding (Figures 5–1a to e). The cephalometric and panoramic x-ray revealed no unusual findings. The treatment plan consisted of placing upper and lower lingual appliances to level and align the occlusion. The crowding was to be resolved using a nonextraction approach with air rotor stripping on the upper and lower first premolars. The prescription for the laboratory (specialty appliance) was made as follows: Patient Name DP Case description Air Rotor Stripping (ARS) on upper and lower premolars Appliance Upper and lower .018 Ormco lingual brackets Prescription Upper arch: (right=RT; left=LT) RT 1 2 deg. distolingual rotation, 10 deg lingual crown torque LT 1 3 deg. mesiolingual rotation, 10 deg lingual crown torque RT & LT 2 8 deg. lingual crown torque RT & LT 4 –0.75 mm ARS mesial & distal RT 6 3 deg. distobuccal rotation LT 6 5 deg. distobuccal rotation RT & LT 7 5 deg. mesial crown tip, Hinge Cap attachments Lower arch: (right=RT; left=LT) RT & LT 2 2 deg. mesiolingual rotation RT & LT 3 3 deg. mesiolingual rotation RT & LT 4 –0.75 mm ARS mesial & distal  -  . Frontal and lateral views during treatment.   
  • 55.
      Upper andlower lingual appliances were bonded (Ormco, generation #7, .018 slot) (Figures 5–2a and b). Treatment time was only 12 months, with 14 visits to the Eastman Dental Center. No auxiliaries were used. The results show a balanced and esthetic occlusion (Figures 5–3a to e).  -  . At completion of orthodontic treatment: frontal, lateral, and occlusal views of the occlusion. Note the balanced and esthetic occlusion.       -  . During treatment: upper and lower occlusal view of lingual appliance.  
  • 56.
    Advanced Lingual Prescription:Technique and Design  CASE 2: A.M.C. A 31-year-old female presented with a Class I malocclusion, mild upper and lower crowding, and upper right dental midline shift. The upper right lateral incisor was severely rotated distobuccally. (Figures 5–4a to e). The cephalometric and panoramic x-ray revealed no unusual findings. The treatment plan consisted of extracting the maxillary right first premolar to alleviate crowding and aid in the midline correction. The occlusal plane was to be leveled. Continuous arch mechanics were to be used for extraction space closure. The prescription for the laboratory (specialty appliance) was made as follows: Patient Name AMC Case description Extraction upper right 4. Retraction with continuous arch mechanics Appliance Upper .018 Ormco lingual brackets, lower .022 Ormco labial brackets Prescription Upper arch: (right=RT; left=LT) RT 7 Add 14 deg. mesial root tip, add 6 deg. buccal root torque RT 6 18 deg. mesiobuccal rotation, 6 deg. buccal root torque, add 18 deg. mesial root tip  -  . At initial orthodontic examination: frontal, lateral, and occlusal views of the occlusion. Note the unesthetic smile, rotated upper right lateral incisor, and midline shift.     
  • 57.
      RT 54 deg. mesiobuccal rotation, 15 deg. mesial root tip RT 3 8 deg. mesiolingual rotation, add 12 deg. distal root tip RT 2 12 deg. lingual root torque, 5 deg. distal root tip RT 1 Add 2 deg. distal root tip, 11 deg. lingual root torque LT 1 11 deg. lingual root torque, 8 deg. mesial root tip, intrude 1 mm LT 2 6 deg. mesiobuccal rotation, 10 deg. lingual root torque LT 3 6 deg. mesiobuccal rotation LT 5 9 deg. mesiobuccal rotation LT 6 12 deg. mesiobuccal rotation RT & LT 7 Please use Hinge Caps. The appliances chosen consisted of maxillary lingual brackets (Ormco, .018) and mandibular labial appliances (Ormco, .018 Spirit) (Figures 5–5a to b). Treatment time  -  . During treatment: occlusal views of the upper lingual appliance and lower transparent labial appliance.    -  . Frontal and lateral views during treatment.   
  • 58.
    Advanced Lingual Prescription:Technique and Design   -  . At completion of orthodontic treatment: frontal, lateral, and occlusal views of the occlusion. Note the balanced and esthetic occlusion.      was 18 months, with 18 visits. No auxiliaries or wire bending was needed during the treatment and chairtime was the same as with a full labial appliance. The end results show a balanced and esthetic occlusion (Figures 5–6a to e). These cases demonstrate the use of goal-oriented diagnosis, individualized bracket prescriptions, and specific mechanics to provide more efficient treatment with the lin- gual appliance. Of course, lingual treatment can be affected by the same factors as in labial treatment, such as inadequate patient cooperation, bracket failures, etc. Wire bending and the use of auxiliaries can be eliminated with the judicious selection of the appliance prescription. Studies are ongoing to improve appliance prescriptions and custom laboratory-fabricated archwires. These and continued studies will advance the art and science of lingual orthodontics and will continue to make it more user- and patient-friendly.
  • 59.
     The term ShapeMemory Alloys (SMA) is applied to the group of metallic materials which demonstrate the ability to return to some previously defined shape or size when subjected to the appropriate thermal procedure.1 Generally, these materials can be plastically deformed at some relatively low temperature and, upon exposure to higher temperature, will return to their shape prior to the deformation (Figure 6.1–1). Shape memory alloys, such as nickel titanium, undergo a transformation in their crystal structure when cooled from the stronger, high temperature form (austenite) to the weaker, low temperature form (martensite) (Figure 6.1–2). This inherent phase trans- formation is the basis for the unique properties of these alloys: shape memory and superelasticity. Shape Memory When a shape memory alloy is in its martensite form, it is easily deformed to a new shape. However, when the alloy is heated through its transformation temperature, it reverts to austenite and recovers its previous shape with a net force delivered (Figure 6.1–3). This process can be repeated millions of times. A typical transformation versus temperature curve under constant load is shown in Figure 6.1–4.1 Most of the trans- formation occurs over a relatively narrow temperature range, although the beginning and end of the transformation during heating or cooling actually extends over a much larger temperature range. The transformation also exhibits hysteresis (shown as T1) in that the transformations on heating and on cooling do not overlap. This transforma-  . Shape Memory Wires in Lingual Orthodontics CHRISTIAN DEMANGE, DCD, SQODE, CECSMO  .-. The shape memory effect.  .-. Transformation of alloy crystals of shape memory alloys from hot to cold phase. Heating Cooling Cold turns to Hot Face centered Body centered
  • 60.
      tion hysteresis(T1) varies with the alloy system. The most common SMA wires used are NeoSentalloy or Bioforce (GAC) and Copper Ni-Ti 35°C (Ormco). Superelasticity These unique alloys also show a superelastic behavior if they are deformed at a tem- perature which is slightly above their transformation temperature. This effect is caused by stress, inducing the formation of some martensite. Because it has been formed above its normal temperature, the martensite reverts immediately to undeformed austenite as soon as the stress is removed. This process provides a very springy, rubber- like elasticity in these alloys (Figure 6.1–5). SMA Wires in Lingual Orthodontics The main problem in the biomechanics of lingual orthodontics is the short interbracket distances (Figure 6.1–6). Orthodontists ideally want to accomplish biological tooth movement with a low and continuous force and a constant moment/force ratio in order to maintain a low stress/strain ratio. Two different ways exist to obtain this goal:  .-. The two phases of shape memory alloys with temperature: martensite and austenite.  .-. Typical loading and unloading behavior of superelastic Ni-Ti.  .-. Typical transformation versus temperature curve for a specimen under constant load (stress) as it is cooled and heated. T1: transformation hysteresis; Ms: martensite start; Mf: martensite finish; As: austenite start, Af: austenite finish. Austenite Martensite
  • 61.
    Shape Memory Wiresin Lingual Orthodontics  A. INCREASE WIRE LENGTH This can be done using loops (which are difficult to do, time consuming, demonstrate poor reproducibility, and do not conform to the straight wire appliance philosophy used in lingual appliances), or increase the interbracket distances (which is almost impossible since the brackets are quite large and arch form is narrow). B. USE ELASTIC WIRES Reduce the cross-section of the wire (which reduces control), or change the physical properties of the wire (yielding a low Young’s modulus). Shape memory alloys are ideal materials because they have low Young’s modulus, present a very small stress/strain ratio, and have a large cross-section of wire to achieve a maximum of control. The mechanical properties of SMA wires are different in the austenite and martensite forms. Young’s modulus is highly nonlinear with temperature. The approximate elastic modulus is about 80 GPa at high temperature (austenite), and 30 GPa at low temperature (martensite). (Figure 6.1–7). The Young’s modulus of shape memory alloys is difficult to define between the martensite and the austenite transforma-  .-. Short interbracket distances with lingual appliance.  .-. Young’s modulus of SMA wires are different in austenite and martensite.
  • 62.
      tion temperaturesbecause at these temperatures the alloys exhibit nonlinear elasticity, and the Young’s modulus is both temperature and strain dependent. In lingual orthodontics, bends should be made to obtain a mushroom shape in the archwire (Figure 6.1–8). The wires must be bent to a strain greater than 8% in elongation to achieve a permanent deformation in a superelastic material (Figure 6.1–9).2 The elongation at failure is about 15%. This allows wires to be bent without any clinical fracturing. The yield strength is about 600 MPa in austenite and 100 MPa in martensite (Figure 6.1–10). The bend can be performed either when the wire is hot or cold. However, it is much easier to bend it when it is cold. Some of the bend straightens when the wire returns to room temperature; therefore, the wire should be overbent (approximately twice). In this way, no thermal machine (like Archmate® ) is used to bend SMA wires. The mushroom shape is a little smoother but is still possible to obtain (Figure 6.1–8). The wire near the bend will be stiffer and more brittle after bending; however, the area of the bend falls between the canine and premolar and is not significant. To allow easy placement into bracket slots, the wire is refreshed with –40° spray to obtain martensite.  .-. Yield strength of SMA. .-. Percentage of elongation to permanent deformation and failure in SMA.  .-. Mushroom shape of an archwire in shape memory alloys.
  • 63.
    Shape Memory Wiresin Lingual Orthodontics  Alignment with SMA Shape memory alloy wires are the optimal wires for first stage alignment. The Bioforce® wire delivers 100g in the middle area of the arch (even if the wire is deformed to engage all slots) and 300g in the distal area. Rectangular wires are preferable over round wires  .-. One month in treatment (2nd appointment): Double over-ties to reactivate the wire.  .-. Two months in treatment (3rd appointment). Note almost full alignment.  .-. 16 months in treatment: .019 × .025 SMA is placed immediately after bonding of second molars.  .-. 020 × .020 Bioforce is placed immediately after bonding of lingual brackets.
  • 64.
      because theycan immediately control root inclination and angulation. The superelas- ticity properties of the wire is used to reactivate the wire (production of martensite under strain) by placing double over-ties on all teeth. CLINICAL CASE A 25-year-old female presented with a Class I malocclusion and upper anterior crowding. A lingual appliance (Ormco, generation #7, slot .022) was bonded and .020 × .020 Bioforce was used (Figure 6.1–11a). One month later, reactivation was done with double over-ties. (Figure 6.1–11b). Two months after the beginning of treatment, almost full alignment was achieved (Figure 6.1–11c). Bonding Second Molars Another use of SMA wires is when a second molar (or any other tooth) is bonded in a later stage of treatment. Shape memory alloy wires enable usage of nearly full-size  .-. Occlusal view of maxillary arch before debonding. Space closure was done with .019 × .025 SMA wire.  .-. Before treatment. Note anterior crowding.  .-. Occlusal view of maxillary arch: Two months in treatment: .019 × .025 SMA wire is used for space closure.  .-. Occlusal view of maxillary arch: Immediately after bonding: .016 Ni.-Ti.
  • 65.
    Shape Memory Wiresin Lingual Orthodontics  wires immediately after bonding even when treatment has considerably progressed (Figure 6.1–12). SMA Wire for Space Closure Space closure can be easily done with .018 × .025 Bioforce. The force is 300g on the molars and with a horizontal and vertical antibowing effect curve, one can prevent expansion, tipping, and rotation of the upper molars when en masse retraction and sliding mechanics are used (Figures 6.1–13a and b, Figures 6.1–14a to d). Conclusion Shape memory alloys used in lingual orthodontics at an early stage of treatment can reduce the archwire sequence and obtain more rapid alignment, leveling and, in some cases, space closure—using the same wire. Root control is maintained from the very beginning of treatment. Treatment time is shorter, and so is chairtime. References 1. Hodgson DE, Wu Ming H, Biermann RJ. Shape memory alloys. Shape Memory Applications, Inc., 1995. 2. O’Brien WJ. Dental materials: properties and selection. Quintessence Publishing, 1989;58.  .-. Occlusal view of maxillary arch after debonding of brackets and bonding of fixed retainer.  .-. Occlusal view of maxillary arch: 20 months in treatment: the same wire (.019 × .025 SMA) is still used.
  • 66.
      . Wire Sequencingin Lingual Orthodontics H. STUART McCROSTIE, DDS  .-. A schematic representation of sequence of wires used in lingual orthodontics. Defensive Archwire Sequencing Successful lingual orthodontic treatment, more than any other orthodontic treatment modalities, requires the rigid adherence to a series of protocols of both intellectual and mechanical nature. Among all the protocols, the most important one is defensive archwire sequencing. This archwire sequencing program uses very few wires, each selected to perform specific tasks during treatment. The following protocols maximize the potential of each wire and reduce archwire changes to a minimum, at the same time effecting high quality results. • First initial archwires: .016 Ni-Ti (Rarely an 0.0155 or .0175 Respond) • Second initial archwire: .016 Special-Plus Wilcocks (Australian) heat-treated stainless steel • Intermediate wires: .017 × .025 TMA • Finishing wires: .017 × .025 or .016 × .022 SS • Detailing wires: Wilcocks (Australian) .016 or .018 Special-Plus This sequence is followed for all cases: Class I, II, or III malocclusions, and extraction or nonextraction cases (Figure 6.2–1). INITIAL ARCHWIRES Initial archwires are the most important in the sequence and their application can often be time consuming. The goals to be achieved at this stage are initial levelling, EXTRACTION AND NON-EXTRACTION 1) 0.016 NiTi with increased 0.016 Wilcocks crowding Special + minimal crowding BOND—all teeth a) advancement loops all teeth bracketed initially unbracketed 6 6 b) stops at 6 6 2) 0.017 X 0.025 TMA if all teeth were initially bracketed 3) 0.017 X 0.025 S/S a) .016 X 0.022 s/s b) 0.018 Wilcocks Special Plus 4) 0.016 Wilcocks Special + Finishing arch if necessary ® © © ® ® ® ® ®®®®
  • 67.
       .-.Wilcocks (Australian) .016 Special-Plus wire with advancement loops in a nonextraction case. Note steel ligation in molar and first premolar. alignment, derotations and tip control, to allow maximum bracket slot engagement. When crowding is severe, a second initial wire is required to ensure full bracket slot engagement. The Wilcocks (Australian) .016 Special-Plus wire is employed here with advancement loops or stops mesial to the first molars (Figure 2a). It is essential that steel ligation be used for bicuspid and molar attachments when- ever advancement loops or molar stops are required (Figures 6.2–3a and b). Anterior bite opening is remarkably enhanced by the use of Wilcocks (Australian) .016 Special- Plus wire, especially with an additional reverse Curve of Spee. Where the anterior teeth are moderately rotated, a steel double over-tie maybe employed to a Ni-Ti wire (Figures 6.2–4a to c). Double over-ties are also used for ligation of anterior teeth. INTERMEDIATE WIRES Intermediate wires like .017 × .025 TMA may occasionally be used as finishing wires as well, especially in nonextraction cases. In extraction cases, the arch form in the initial wires should be modified to ensure that the cuspid-bicuspid offset is placed just distal to the canine bracket to allow space closure (Figure 6.2–5). The buccolingual compensatory curve is reduced in the intermediate wire since it is relatively stiffer than the initial wire.  .-  . Molar steel ligation.  
  • 68.
    Wire Sequencing inLingual Orthodontics  Elastic forces may be applied at this stage of treatment to initiate A-P control. However, TMA wires are not suitable for prolonged or heavy elastic forces, either intra- or interar- ch. If Class II elastics are required, an extra buccal compensatory bend should be made to negate the rotational effect of the elastic forces on the lower second molars. The anterior segment must be “figure-eighted” to prevent space opening during the use of elastic force. With rectangular archwires, steel ligation is essential to ensure full bracket slot engagement and full expression of appliance prescription. Steel ligation also prevents rerotation of lateral incisors and canines during the application of elastic force. FINISHING AND DETAILING WIRES Stainless steel archwires are used to complete arch recontouring and space closure, and to eliminate any side effects noticed earlier in the procedure. Providing original treat- ment prescription and compensatory archwire modifications are adequate. Treatment should be be completed with .017 × .025 upper arch and .016 × .022 lower stainless steel archwires, except in Class III cases where the upper and lower archwires are reversed. Rarely, an .018 × .025 SS archwire is used, especially where maxillary anterior torque control is difficult to achieve, and lengthy Class II elastics are to be employed. The archform of stainless steel wires is the same as the intermediate archwire, with subtle  .-  . Double over-tie steel ligation of anterior teeth.   
  • 69.
      adjustments tothe canine or molar offsets, if required, and compensatory bends to facilitate completion of space and interarch adjustment (Figure 6.2–6). If necessary, individual torque may also be added at this time. With stainless steel archwires the buccal compensatory bends bring the wire across the mesiolingual cusp of the distal molar (see Figure 6.2–6). Occasionally, more flexible wires are required for final detail- ing, or for individual tooth overcompensation. These archwires could be Wilcocks (Australian) .016 or .018 Special-Plus. Conclusion The success of defensive archwire sequencing depends on the following: 1. Correct treatment planning and well-planned goals. 2. Allowing sufficient time for each archwire to do its work completely. 3. Steel ligation is required with all rectangular archwires. These measures help to reduce stress to the patient, doctor and the materials used, increase patient comfort and satisfaction, cut costs and enhance efficiency, predictabil- ity, standard of results, and profitability.  .-. TMA archwires with compensatory bends.  .-. Stainless steel archwires with compensatory bends.
  • 70.
     Lingual orthodontics presentsa challenge in using traditional orthodontic instrumen- tation. Instrument requirements differ dramatically due to the difficult access of the lingual surface of the teeth, both anterior and posterior. Many years of research and development have resulted in a specialized series of instruments designed specifically for the needs of the lingual orthodontist. Most instruments have a 45° and 90° angle to facilitate access to the lingual surface. The majority of the original instruments were manufactured by the ETM Corp. The following is a list of the historical instrumentation that was available 15 years ago. Only few are still manufactured today due to lack of demand. Further increase in the prevalence of lingual orthodontics will force the companies to make at least some of these instruments again. 1. ETM–8007 LINGUAL LIGATURE CUTTER (ANGULATED 45°) This is the standard cutter used in lingual orthodontics. The 45° angle provides easy access for cutting ligature wires. Also, the unique design allows tucking of the ligature wire ends with the same cutting instrument (Figure 7–1). 2. ETM–8006 KURZ LIGATURE WIRE CUTTER (ANGULATED 90°) This ligature cutter works much like the 45° cutter, but provides easier access to some areas (Figures 7–2a and b).   Instruments Used in Lingual Orthodontics CRAVEN KURZ, DDS, PhD  -. ETM–8007.
  • 71.
      3. ETM–8011KURZ UTILITY PLIER This plier is designed much like the traditional Weingart utility plier with the added advantage of a 45° angle to facilitate access to the lingual brackets (Figures 7–3a and b). 4. ETM–8010 KURZ ARCHWIRE CUTTER This plier functions as a distal-end cutting plier. It was designed with a long body so it can reach back into the depth of the mouth (Figures 7–4a and b).  -  . ETM–8006.  -  . ETM–8011.  -  . ETM–8010.      
  • 72.
    Instruments Used inLingual Orthodontics  5. ETM–8003 KURZ MOSQUITO FORCEPS (CURVED) This mosquito forceps has 45° angle at its end and that facilitates the placement of elastics and elastic chains (Figures 7–5a and b). 6. ETM–8014 LIGHT LIGATURE PLIER, MATHIEU STYLE PLIER (The same as the mosquito but Mathieu Style [Figure 7–6].) 7. LINGUAL HINGE CAP OPENING TOOL (Figures 7–7a and b)  -  . Lingual hinge cap opening tool.  -  . ETM–8003.  -. ETM–8014.    
  • 73.
      8. DIRECTBOND REMOVING PLIER (LINGUAL) Due to the unique shape of the KURZ-Ormco brackets, the plier was designed to fit the brackets under the lingual hooks, putting no torque pain on the tooth while the bracket is removed (Figures 7–8a and b). 9. ETM–8004L KURZ TONGUE RETRACTOR AND SALIVA EJECTOR It provides the practitioner a dry working field, keeps the tongue away from the lingual surfaces of the teeth and isolates them from saliva contamination. Still, it allows the practitioner enough space and access to place the indirect bonding material (Figures 7–9a and b). 10. ETM–8201 KURZ FIRST ORDER BENDING FORK This tool allows the practitioner to place first order bends on the wire while it is still in the mouth. Although the braces are indirectly bonded, sometimes there is a need to make first and second order bends due to misplacement of the bracket in the laboratory, direct rebonding, or some esthetic needs. This tools allows the practitioner to bend the wire in the mouth without the need to replace all the modules or metal ligatures (Figures 7–10a and b). 11. ETM–8202L – SILVER, KURZ SECOND ORDER BENDING FORK  -  . Direct bond removing plier (lingual).    -  . ETM–8004L.  
  • 74.
    Instruments Used inLingual Orthodontics   -  . ETM–8201.    -  . ETM–8202L.    -  . ETM–2108.   This instrument allows both second order intraoral bends and right-angled bends at the distal sheath (Figures 7–11a and b). 12. ETM–2108 – MODULE REMOVER (Figures 7–12a and b) Reference ETM Lingual Plier Co., Monrovia, CA.
  • 75.
    . Case Presentation: LoopMechanics. . . . . . . . . . . .  Giuseppe Scuzzo . Case Presentation: Sliding Mechanics . . . . . . . . . .  J. Courtney Gorman  Lingual Orthodontics in Pediatric Patients . . . . . . . . . . .  Lorenzo Favero . The Lingual Technique in Orthognathic Surgery . . . . . . . .  Alessandro Silvestri . Orthodontic-Surgical RPE Camouflage on an Orthognathic Case. . . . . . . . . .  Mario E. Paz . Segmental Lingual Orthodontics in Multidisciplinary Cases . . . .  Pablo A. Echarri . Combined Orthodontic-Prosthetic Treatment of Malpositioned Anterior Teeth . . . . . . . . . . . . .  Rafi Romano and Nitzan Bichacho  Lingual Orthodontics: Esthetics and Function . . . . . . .  Chiori Hashiba  Anchorage Control in Lingual Orthodontics. . . . . . . . .  Kyoto Takemoto . Preserving the “Hollywood Smile” and Facial Profile. . . . . . .  Mario E. Paz . Distalization of Molars in Nonextraction Cases. . . . . . . . . .  Giuseppe Scuzzo and Maurizio Cannavo . Interproximal Enamel Reduction in Lingual Orthodontics . . . . . . .  Didier Fillion . Sliding Mechanics versus Loop Mechanics During En Masse Retraction in Extraction Cases. .  Kyoto Takemoto SECTION 3 Treatment Approaches and Mechanics
  • 76.
     Vertical and HorizontalAnchorage Horizontal anchorage in orthodontics is traditionally considered as the resistance of the molars to anterior or posterior movement. In addition, orthodontists are concerned with the concept of vertical anchorage, or maintaining the molar position in the verti- cal dimension. When the vertical molar position changes, as is seen with molar elongation, a clockwise rotation of the mandible can occur, creating a Class II molar relationship and an anterior open bite. In both labial and lingual treatments, it is often desirable to minimize the amount of molar elongation. Lingual orthodontics has the advantage of minimizing maxillary first molar elongation, as will be explained in detail later. Elongation of the molars can occur due to the presence of the anterior bite plane, and it can be avoided with posterior acrylic supports. In lingual as well as labial orthodontics, maintaining anchorage during treatment can be challenging. Many treatment modalities are demanding on the molar anchor- age. For example, extraction spaces are often closed using en masse retraction of the anterior teeth. This retraction method, while being sensitive to esthetic concerns, demands maximum anchorage control to minimize molar anchorage loss. Other tech- niques used in lingual orthodontics to close spaces, such as the use of different types of loops, demands moderate to minimum anchorage. The differences between the two techniques are explained in Chapter 10.1. Differences in Anchorage Value: Lingual versus Labial Orthodontics The anchorage value of the posterior teeth in the anterior-posterior and vertical direc- tions appear to be higher in lingual orthodontics than in labial orthodontics (Takemoto, unpublished data, 1997). In a randomized study of 44 adult Class II, division 1 mal- occlusions or bimaxillary protrusion malocclusions, the anchorage value was signifi- cantly higher in lingually treated case than in those treated with labial techniques. Labial Orthodontics Lingual Orthodontics 24 cases: 20 cases: 2-extraction of teeth 14,24 (4–4) 3-extraction of teeth 14,24 (4–4) 15-extraction of teeth 14,24,34,44 10-extraction of teeth 14,24,34,44 7-extraction of teeth 14,24,35,45 7-extraction of teeth 14,24,35,45 Treated with straight wire appliance Treated by en masse retraction Canine retraction with sliding mechanics Retraction with loop mechanics Anterior segment retraction with loop Mostly with T-loop mechanics mechanics   Anchorage Control in Lingual Orthodontics KYOTO TAKEMOTO, DDS (4  4 )5 5 (4  4 )5 5 (4  4 )4 4 (4  4 )4 4
  • 77.
      Figure 8–1shows an example of the lingual appliance. Rickets cephalometric analysis (Rocky Mountain Data System Inc. Spring 1969) was used to determine the amount of retraction of the upper and lower incisors, the amount of intrusion, and the value of the anchorage loss of the upper and lower first molars (Figures 8–2a and b). Statistical analysis showed that in the upper arch the anchorage value of the first molar as well as the anterior retraction and intrusion were significantly greater in the lingual group as compared to the labial group (Table 8–1). In the lower arch, the anchorage value of the first molar was the same as that in the upper arch (Table 8–2).  -. Lingual appliance: extraction of first premolars, T Loops with transpalatal arch and buccal segment 6-7.  -. Pretreatment (green) and post-treatment (yellow) superimposition of the maxilla on the palatal plane at point ANS and of the mandible on the mandibular plane at point Menton: incisor and 1st molar horizontal changes measured at the incisal edges and the distal end of the first molars.  -. Pretreatment (green) and post-treatment (yellow) superimposition of the maxilla on the palatal plane at point ANS and of the mandible on the mandibular plane at point Menton: incisor vertical changes measured at the center of resistance. Palatal pl. at ANS Mand pl. at Me Palatal pl. at ANS Mand pl. at Me U1 Int. = L1–L2 L1 Int. = L3–L4
  • 78.
    Anchorage Control inLingual Orthodontics  Mechanics Used to Control Anchorage in the Upper Arch Mechanical advantages gained from lingual treatment are buccal root torque and distal rotation of the molars, especially due to the easily established cortical bone anchorage (Figures 8–3a and b). Also, an intrusive force is applied to the functional or lingual cusps of the upper molars because the appliance is placed near these cusps. Therefore, the CO-CR discrepancy caused by the primarily initial contact and the mandibular clockwise rotation caused by the elongation of molars are reduced. Combinations of loops, elastics, transpalatal arches, and headgear have been used to successfully control both the horizontal and vertical anchorage in both the upper and lower arches.  -. Applied intrusion force to the upper molars resulting in cortical bone anchorage.  -. Distal rotation can be easily established with the posterior teeth by retraction forces. Table 8–1. Results: Upper Labial Lingual U6 anchorage 2.0 ± 0.9 0.1 ± 0.5† U1 retraction 5.0 ± 1.6 7.9 ± 2.0† U1 intrusion 0.9 ± 0.9 1.8 ± 1.6* Facial axis –0.1 ± 0.8 0.1 ± 0.3 Head gear 16.3 ± 6.1 11.3 ± 7.3 Class II elastics 7.5 ± 6.2 5.3 ± 4.8 mean ± S.D. * = P < 0.05; † = P < 0.01 Statistical analysis shows that in the upper arch the anchorage value of the first molar, and the anterior retraction and intrusion were significantly greater in the lingual group as compared to the labial group. Headgear and Class II elastics were used for shorter period of time in the lingual group than in the labial group. Table 8–2. Results: Lower Labial Lingual L1 retraction 3.6 ± 1.9 4.1 ± 1.4 1.4 ± 1.9 3.6 ± 1.3* U6 anchorage 2.0 ± 1.3 0.9 ± 0.7* 2.1 ± 1.8 1.8 ± 0.8 L1 intrusion 2.4 ± 1.3 3.1 ± 1.0 2.2 ± 1.4 2.1 ± 0.3 Class II elastics 6.1 ± 6.1 5.6 ± 5.0 10.8 ± 6.8 7.6 ± 4.0 mean ± S.D. * = P < 0.05 Statistical analysis shows that in the lower arch the anchorage value of the first molar and the anterior retraction and intrusion were significantly greater in the lingual group as compared to the labial group. Class II elastics were used for shorter period of time in the lingual group (both in first and second premolar extractions) than in the labial group.
  • 79.
      MAXIMUM ANCHORAGE(UPPER ARCH) Helical loop (Figure 8–4a) and T-loop mechanics (Figure 8–4b) (.017 × .025 TMA) are combined with a transpalatal arch and a buccal sectional arch from first to second upper molars for stabilization. Also, high-pull headgear and Class II elastics are used. MODERATE ANCHORAGE (UPPER ARCH) L-loop mechanics are combined with a transpalatal arch to prevent a transverse bowing effect. The anterior segment (3|3) and the posterior segment (7–5|5–7) are “figure- eighted” with ligature wire (Figure 8–5a). When a transpalatal arch cannot be used, sliding mechanics are used by placing a power chain from the lingual of the canine to the lingual of the second premolar in first premolar extraction cases (Figure 8–5b). The sliding mechanics are used with a .016 × .022 stainless steel archwire. If the transverse bowing occurs, a power chain can be used from the lingual of the canine to the buccal of the first molar to rotate the first molars mesially (Figure 8–5c). MINIMUM ANCHORAGE (UPPER ARCH) Extraction spaces are closed by a reciprocal elastic force, with a power chain placed on both the buccal and lingual of the canine and first molar (Figure 8–6). The anterior segment (usually 4|4) is “figure-eighted” with ligature wire. Frequently, cases requiring minimum anchorage control are those in which second premolars have been extracted and mesial molar movement is encouraged. Sometimes Class III elastics are used to enhance mesial movement of the molars. Mechanics Used to Control Anchorage in the Lower Arch The anchorage value of the lower arch is higher than that of the upper arch because the mandible has a thicker cortical layer and thinner cancellous layer of bone. Because of this difference in anchorage value, a buccal sectional arch is usually placed on the posterior teeth to control the functional or buccal cusp. Sliding mechanics using a .016 × .022 stainless steel archwire are used most frequently for space closure. Sliding mechanics minimize the bowing effect and avoid tongue irritation from loops. When sliding mechanics are not the optimum choice for space closure, loop mechanics may  -. Anchorage preparation for a maximum anchorage case with helical loop mechanics in the upper arch, using a .017 .025 TMA with a transpalatal arch and buccal sectional arch from 6-7. High-pull headgear and Class II elastics are also used.  -. Anchorage preparation for a maximum anchorage case with T-loop mechanics in the upper arch.
  • 80.
    Anchorage Control inLingual Orthodontics  be used. This includes Class III malocclusions treated nonsurgically, where dental compensations by tipping the anteriors lingually may be needed, when the right and left extraction spaces are not symmetric, or when the space closure cannot be accom- plished with sliding mechanics because of root contact with the cortical bone. In these latter cases, the lower six anterior teeth are tipped lingually with loop mechanics. MAXIMUM ANCHORAGE (LOWER ARCH) An elastic power chain is used on the lingual, with a buccal sectional arch for stabi- lization (.017 × .025 TMA or .016 × .022 SS). The anterior segment (3|3) and the posterior segment (7–5|5–7) is “figure-eighted” with ligature wire. Class III elastics are used both buccally and lingually for reinforced anchorage (Figure 8–7).  -. Anchorage preparation for a moderate anchorage case with L-loop mechanics in the upper arch. A transpalatal arch is added to prevent a transverse bowing effect. The anterior segment (3-3) and the posterior segment (5-7) is “figure-eighted” with ligature wire.  -. Anchorage preparation for a moderate anchorage case with sliding mechanics in the upper arch. To eliminate the transverse bowing effect, a power chain is used from the lingual of the canine to the buccal of the first molar, to rotate the first molars mesially.  -. Anchorage preparation for a moderate anchorage case with sliding mechanics in the upper arch. To eliminate the transverse bowing effect a power chain is used from the lingual of the canine to the buccal of the first molar, to rotate the first molars mesially.
  • 81.
      MODERATE ANCHORAGE(LOWER ARCH) Sliding mechanics are used with reciprocal elastic forces (power chains from 3-5 on both sides). The anterior segment (3|3) and the posterior segment (7–5|5–7) are “figure-eighted” with ligature wire. However, buccal segmental wires are not needed (Figure 8–8). MINIMUM ANCHORAGE (LOWER ARCH) Most cases requiring minimum anchorage are those in which second premolars have been extracted. An elastic power chain is placed circularly from the lingual of the first molar, encircling the canine, and attaching to the buccal of the first molar. Class II elastics are used to facilitate mesial movement of the molars. The anterior segment (4|4) is “figure-eighted” with ligature wire. As the molars move mesially, gingival recession over the mesial root of the first molar should be prevented (Figure 8–9).  -. Anchorage preparation for a minimum anchorage case with sliding mechanics in the upper arch. Reciprocal elastic force, with a power chain placed on both the buccal and lingual of the canine and first molar is used. The anterior segment is “figure-eighted” with ligature wire.  -. Anchorage preparation for a maximum anchorage case with sliding mechanics in the lower arch. An elastic power chain is used on .017 × .025 TMA or .016 × .022 SS archwires. A buccal sectional arch is used for stabilization and the anterior segment (3-3) and the posterior segment (5-7) is “figure-eighted” with ligature wire. Class III elastics are used both buccally and lingually usually with extra oral force traction for reinforced anchorage.
  • 82.
    Anchorage Control inLingual Orthodontics  Anterior and Lateral Concerns Patients with severe anterior tongue thrust often present a challenge when attempting to retract the anterior dentition. The lingual appliance, due to the discomfort associated with tongue contact, redirects the tongue tip to the palatal vault in speech and swal- lowing. Therefore, the anterior thrust component is eliminated, and normal muscle balance is restored. The excessive pressure from the tongue against the anteriors is minimized while retraction is facilitated. A similar effect is seen with the use of lingual elastics. This has been termed the “fence effect,” in that the lingual appliance or the elastics create a fencing of the tongue musculature from the dentition. It is believed that the fence effect contributes to the increase in anchorage values seen with lingual appliances as opposed to labial appliances.  -. Anchorage preparation for a minimum anchorage case with sliding mechanics in lower arch. An elastic power chain is placed circularly from the lingual of the first molar, encircling the canine and attaching to the buccal of the first molar. Class II elastics are used to facilitate mesial movement of the molars. The anterior segment is “figure-eighted” with ligature wire.  -. Anchorage preparation for a moderate anchorage case with sliding mechanics in the lower arch. Reciprocal elastic forces are used and buccal segmental wires are not needed.
  • 83.
      Another factorcontributing to anchorage control is the lateral occlusal function. The lateral occlusion prevents the transverse bowing effect which is often seen during lingual treatment. The anterior-posterior forces used for retraction should be light, minimizing anchorage loss while maintaining lateral occlusal function.
  • 84.
     Without a doubt,the debate between the extraction and nonextraction orthodontic treatment approaches has been, and will continue to be, the subject of a great deal of controversy. The literature on this topic is simultaneously abundant and controversial. The gap between extraction and nonextraction treatment decisions seems to widen more among cases in which there is no clear cut distinction between the two treat- ment modalities. There are important diagnostic considerations that can help ortho- dontists make treatment decisions although they are not always defined as we would like them to be defined. Among some of these considerations are: cephalometric mea- surements, skeletal discrepancies, tooth to basal bone relationship, severity of dental crowding, and facial and profile considerations. The cosmetic changes that result with a nonextraction approach can be quite favorable; however, this does not underestimate the functional and cosmetic value of extraction therapy. Nonextraction treatment, in many cases, is more difficult to exe- cute than extraction therapy; particularly in cases where space limitation is consider- able and growth has been completed. Historical Perspective Appreciation for facial esthetics is not new to the orthodontic profession. The face of Apollo Belvedere was considered by Angle1 as an ideal standard of facial beauty for the orthodontic profession. Peck and Peck made a beautiful recollection of the different concepts of beauty from a historical perspective.2 For example, the facial esthetic concept of an ideal profile has undergone changes through history from a mild Class II, retrognathic, flat, and often concave profile during the time of ancient Greece to severe Class II profiles during the Renaissance period. Contemporary standards of facial esthetics tend toward profiles with slightly more fullness (Figures 9.1–1a to d). The desire for a fuller profile has made the nonextraction treatment approach more attractive to prospective orthodontic patients. In some carefully selected cases, ideal cosmetic treatment may dictate opening previously closed extraction spaces in order to decrease an existing concave profile (Figures 9.1–2a and b). The available nonextraction treatment methods that can be used independently or in combination to achieve satisfactory expansion results are:  . Preserving the “Hollywood Smile” and Facial Profile MARIO E. PAZ, DDS, MS
  • 85.
      1. Crozatexpansion 2. Enamel reproximation 3. Archwire expansion 4. Molar distalization 5. Surgical rapid palatal expansion (RPE) Expansion Techniques Although many methods exist to expand the dental arches, a particularly effective method is with the use of the Crozat appliance. A modified basic and effective version of the Crozat appliance (personal communication and design by Duane Grummons, Marina Del Rey, CA) is used (Figure 9.1–3). Some of the advantages of using the Crozat appliance prior to lingual treatment are: • patient’s first introduction to lingual treatment with an esthetic removable appliance  .-  . Series of views demonstrating a range of facial profiles from full to concave.    
  • 86.
    Preserving the “HollywoodSmile” and Facial Profile  • expansion more efficient than with archwires • effective molar distalization and rotation when desired • incisor proclination when needed • little if any speech interference • decreases treatment time with fixed appliances Clinicians should also be aware of the limitations of the Crozat appliance: • careful case selection is needed • full-time wear is indicated, except while eating • activations every 3 weeks for 4 to 5 months • too much activation can lead to tissue impingement resulting in pain and more tipping forces • early-release enamel reproximation may be needed Appliance activation with the use of a three-pronged plier is relatively simple as shown in Figures 9.1–4a to c. After the desired arch length increase has been achieved (Figures 9.1–5a and b), the appliance is removed and lingual impressions taken. A clear 1 mm vacuform type of retainer is used until the placement of the lingual appliance. Retention prior to bond- ing is critical, otherwise, the lingual bonding trays from the laboratory will not fit accurately. Arch length increase is continued or maintained after the bonding of the appliance by archwire expansion and/or enamel reproximation. Another nonextraction technique is enamel reproximation. This technique is also known as interproximal reduction or air rotor stripping. The technique, once rarely used, seemed to resurface with the increased number of adults seeking lingual ortho- dontic therapy. Adult orthodontics often eliminates treatment options that require cooperation and are not cosmetically acceptable. Adult patients generally have demanding life schedules; therefore, treatment plans should be designed to place fewer additional demands on regular activities and should require minimal cooperation.  .-. Patient profile view depicting a concave profile due to previous orthodontic treatment with bicuspid extractions.  .-. Patient profile shows improvement and a moderate increase in lip support as a result of extraction spaces being opened orthodontically.
  • 87.
      Although enamelreproximation has had both negative3,4 and positive5–7 reviews in the orthodontic literature, it remains an effective way to increase arch length and maxi- mize the cosmetic result. Some important factors to take into consideration when doing enamel reproximation are: 1. Age: Younger patients are likely to be more sensitive to enamel reduction than older patients. Large pulp chambers and dentinal tubules are contributing fac- tors to this sensitivity. Radiographs should be evaluated to determine adequate enamel width and dentinal proximity before enamel reduction is performed (Figure 9.1–6). 2. Hygiene: Rough interproximal areas will increase plaque accumulation and, therefore, caries susceptibility in patients with poor oral hygiene. Enamel reproximation should only be used in patients demonstrating good oral hygiene and in areas with adequate access for hygiene. 3. Enamel sensitivity: Enamel reduction in patients with a low threshold of sensi- tivity may be uncomfortable. The use of desensitizing agents should be consid- ered with this patient population. 4. Size of teeth and amount of crowding: Enamel reproximation should be avoid- ed in patients with small teeth and severe crowding. Also, the shape of the tooth should be considered. Triangular crowns are more amenable to enamel reduction than narrow, rectangular crowns. Presence of porcelain crowns, porcelain veneers, and root proximity should also be taken into consideration. The enamel reproximation technique is described in detail in Chapter 9.3. Case Report The following case demonstrates the use of a combination of techniques used to achieve a non-extraction treatment in a crowded malocclusion. A 35-year-old female patient presented with the chief complaint of “I would like a broader smile and my teeth are too crowded.” Clinical examination revealed a mesognathic profile with a narrow and restricted smile line (Figures 9.1–7a and b), a Class I malocclusion with 4 to 5 mm of upper crowding and moderate-to-severe (7 to 9 mm) lower crowding (Figures 9.1–7c and d).  .-. Occlusal view of modified Crozat appliance. Lingual anterior sweeps are added only if incisor proclination is desired.
  • 88.
    Preserving the “HollywoodSmile” and Facial Profile  Cephalometric measurements were within normal standards except for some moderate incisor proclination. Narrow dental arches and an accentuated Curve of Wilson made this an excellent case for Crozat expansion. Large-size teeth, substantial radiographic enamel width, and good oral hygiene also made this patient a candidate for the enamel reproximation technique. Archwire expansion can be an effective method to reduce the existing shadowed premolar regions upon smiling. Treatment decisions were based upon the use of a combination of these techniques. The primary treatment goal was to increase arch length. A modified Crozat appliance was worn for four months to rotate first molars mesiobuccally and upright  .-  . Crozat activation: (a) mesiobuccal rotation, (b) bicuspid arms moved away to allow molar rotation, (c) appliance fully activated.  .-  . Occlusal views during Crozat expansion just before lingual appliance bonding.     
  • 89.
       .- . Initial facial photographs. Note restricted smile.    .-  . Initial occlusal photographs. Note minimal upper crowding and moderate-to-severe lower crowding.    .-. Radiographic views of incisor teeth of 15-year-old. Notice broad pulp chamber size, and relatively narrow dentin and enamel width.
  • 90.
     .- . Final intraoral photographs. Note Class I molar and canine relationship and aligned arches. Preserving the “Hollywood Smile” and Facial Profile  the lingually inclined buccal segments. Lingual impressions were taken at the comple- tion of the expansion phase, and a vacuformed retainer was worn until the date of placement of the lingual appliances. Enamel reproximation combined with archwire  .-  . Treatment progress—maxillary and mandibular occlusal views. Note expanded archwires with no crowding.       
  • 91.
      expansion completedthe expansion necessary to achieve the desired arch length (Figures 9.1–8a and b). Total treatment time was 20 months, four months of Crozat wear and 16 months of lingual appliances. The Class I molar and canine relationship was maintained, the crowding was relieved, and the arches were aligned (Figures 9.1–9a to e). The incisor relationship to the denture base was normalized. Tooth morphology, facial profile, and lip position were maintained. A broad, unrestricted, and happy “Hollywood” smile was achieved (Figures 9.1–9f and g). References 1. Angle EH. Treatment of malocclusion of the teeth. 7th Ed. Philadelphia: SS White Dental Manufacturing, 1907. 2. Peck S, Peck L. Selected aspects of the Art and Science of Facial Esthetics Seminar in Orthodontics, 1995;105–126. 3. Radlanski RJ, Ralph R, Jager A, Zimmer B. Plaque accumulation caused by interdental strip- ping. Am J Orthod Dentofac Orthop 1988;94:416–420. 4. Twesme DA, et al. Air rotor stripping and enamel demineralization in vitro. Am J Orthod 1994;105:142–152. 5. Radlanski RJ, Jager A, Zimmer B. Morphology of interdentally stripped enamel one year after treatment. J Clin Orthod 1989;23:748–750. 6. El-Mangoury NH, Moussa MM, Mostafa YA. In vitro remineralization after air rotor strip- ping. J Clin Orthod 1991;25:75–78. 7. Thordasson A, Zachrisson BU, Mjor IA. Remodeling of canines to the shape of lateral incisors by grinding: a long-term clinical and radiographic evaluation. Am J Orthod Dentofac Orthop 1991;100:123–132.  .-  . Final facial photographs. Note nice, progressive, round and broad “Hollywood” smile.  
  • 92.
     In the adultpatient there is no clinically significant growth in the bone structure; therefore, alternative solutions must be found to obtain space in which to move the teeth to correct the malocclusion. Treatment options may differ depending on the amount of crowding, and whether the crowding has occurred in the maxilla or mandible. Most commonly, teeth are extracted to create the space needed to relieve crowding. Arch expansion or reproximation of anterior and posterior teeth are alternative methods used to create adequate space. Less frequently, the posterior teeth are distalized to create more space anteriorly. Distalization Treatment Several different treatment modalities may be employed to distalize the posterior dentition. Possibilities include fixed appliances with coil springs or Nitinol wires, and removable appliances such as a modified Cetlin appliance. This type of appliance has a high acceptance among adult patients because it facilitates good oral hygiene and allows adaptation to lingual appliance during the initial phase. The removable Cetlin appliance is constructed from 2 Adams clasps on the first premolars, distalizing springs on the second premolars and on the first molars, distaliz- ing screws between the first and second premolars, and an anterior bite plane. The appliance does not include any metal clasps from cuspid to cuspid due to esthetic considerations (Figures 9.2–1a and b). Other effective methods for distalizing molars are described in detail in Chapter 2.  . Distalization of Molars in Nonextraction Cases GIUSEPPE SCUZZO, MD, DDS, AND MAURIZIO CANNAVO, MD  .-. Modified Cetlin appliance. Note the distalization screws.
  • 93.
      The followingcase presents the use of this modified Cetlin appliance for gaining space by distalizing the molars. A 24-year-old female presented with the chief com- plaint of unesthetic smile and crowded teeth. She had a Class II Division II deep bite malocclusion with great crowding on the upper arch, a retained deciduous upper cus- pid, palatally erupted upper cuspids, in cross-bite with the lower cuspids, and crowd- ing on the lower arch (Figures 9.2–2a to c, 3a, 4a). The treatment plan included upper and lower lingual orthodontic appliances. No extractions were indicated (except for removal of the deciduous cuspid). The treatment began with a distalizing therapy on the upper molars by applying a modified Cetlin appliance. The appliance was  .-  . At initial orthodontic examination: intraoral views.     .-. Clinical view: upper modified Cetlin appliance and lower cross-over technique. Note the esthetic anterior appearance without any visible appliance.
  • 94.
    Distalization of Molarsin Nonextraction Cases         .-  . Occlusal views of the maxillary arch: (a) At initial orthodontic examination. (b) After six months with modified Cetlin appliance. Note spaces between the molars, second bicuspids, and first bicuspids. (c) Bonding of lingual appliance (Ormco-Kurz generation 7). .016 SS archwire with transpalatal arch. Only the central incisors were bonded in the anterior region due to the crowding and rotations of the lateral incisors and cuspids. (d) Bicuspid retraction and alignment of the left lateral incisor and cuspid. (e) Before debonding: .016 × .022 SS archwire for en mass retraction with Class II elastics and loops mechanics. (f) After debonding. Note the broad and harmonious arch. worn for six months until the upper molars and premolars had moved and enough space was created. A fixed upper lingual appliance (Ormco, 7th generation) replaced the modified Cetlin appliance to finish the distalization and alignment of the teeth (Figures 9.2–3a to d). On the lower arch, a segmental technique was used with labial
  • 95.
      brackets fromthe first premolar to the second molar. Later, it was combined with cross-over technique (lingual brackets from cuspid to cuspid and labial brackets on the posterior segments) (Figures 9.2–4a to d). Lingual brackets were mounted by using  .-  . Completion of orthodontic treatment: clinical facial and profile views.         .-  . Occlusal view of the mandibulary arch: (a) At initial orthodontic examination. (b) Cross-over technique: labial brackets on posterior segments and lingual brackets on the anterior segment. Note the extraction of second right molar due to prosthetic considerations. (c) Before debonding. (d) After debonding.
  • 96.
    Distalization of Molarsin Nonextraction Cases   .-. Cephalometric superimposition tracing: before and after the treatment. the CLASS laboratory method. Twenty-four months after the treatment had started, a Class I relationship (molars and cuspids), a functional occlusion, and an esthetic smile had been established (Figures 9.2–5a to c). Superimposition of the cephalometric trac- ings before and after the treatment shows almost no change in the incisors and distal- ization of the molars. (Figure 9.2–5d).
  • 97.
     Interproximal enamel reductionhas long been a forbidden procedure in orthodontics; however, many practitioners were doing it without acknowledging it. Interproximal enamel reduction is a very simple technique to use in orthodontics, contrary to other space-gaining systems. However, while the procedure itself can be performed rather quickly, it is mandatory to thoroughly know its effects on the enamel layer. Studies on the effects of cutting instruments on the enamel layer have convinced us that this reduction cannot be done in an uncontrolled manner or at any time. Principles The principles discussed here have been inspired by the publications of Sheridan on air-rotor stripping. They have also been largely influenced by the desire to maintain the cosmetic aspect of the orthodontic treatment. 1. NEVER REDUCE BEFORE APPLIANCE PLACEMENT The position of the teeth should not be changed in order to allow a perfect fit to the dental arches during indirect bonding; we must be sure that the patient can tolerate the appliance before doing any enamel reduction. Any space gained runs the risk of being lost if the enamel reduction is done before archwire placement. Space opening by enamel reduction must also be avoided before the teeth have started to move because the amount of enamel to be removed cannot be precisely evaluated before treatment starts. 2. CALCULATE THE AMOUNT OF ENAMEL TO BE REDUCED The width of the teeth should be recorded. While it is quite difficult to measure the width of teeth that are in contact or crowded, accuracy in the anterior measurement is very important. A variation of 2 to 4 mm is crucial when calculating the sum of the widths of the six anterior teeth. The amount of crowding is also dependent upon the arch form. This amount will be more pronounced on cinched arches. The available space can be increased by rounding the arch form in the bicuspid area and the position of the anterior teeth can be in a more protrusive position in an adult. The use of Ormco lingual brackets with a bite plane will provide a slight sagittal shift of the upper and lower arches (Figure 9.3–1). The effect of this possible forward movement is a reduction of the crowding and, therefore, in the amount of enamel to be removed. Again, the amount of enamel to be removed cannot be known precisely before the placement of the initial archwires.  . Interproximal Enamel Reduction in Lingual Orthodontics DIDIER FILLION, DDS
  • 98.
      3. DONOT REDUCE ROTATED TEETH Normal interproximal zones of contact may be damaged and the physiological contact point should be maintained. The best evaluation of the necessary reduction is achieved after derotation of the teeth. 4. REDUCE MOLARS AND BICUSPIDS FIRST The enamel thickness and the inter-radicular space is the greatest in these teeth. These teeth also usually present the most restorations in adults (Figures 9.3–2a to c). By first  .-. Anterior bite plane of the Ormco’s lingual brackets.  .-  . Reduction of temporary prosthetic crowns and fillings in the posterior segments of the arch.   
  • 99.
    Interproximal Enamel Reductionin Lingual Orthodontics  maximally reducing the posterior teeth, the natural and esthetic morphology of the anterior teeth is maintained, especially that of the lower incisors, which may be thin and malpositioned. Interproximal reduction of these teeth can result in dentin expo- sure, sensitivity, increased caries potential, and improper tooth proportions. Oral hygiene should be maintained due to the embrasure changes in the molar area. 5. USE THE APPROPRIATE INSTRUMENTS Always use burs with a known thickness and a known reducing effect on the enamel layer. Do not use abrasive strips because they can create deep grooves which cannot be eliminated. 6. DO NOT REDUCE WITHOUT GINGIVAL AND LABIAL PROTECTION This protection allows the instrument to go below the contact point without causing damage to the gingiva and helps the clinician to avoid the formation of an enamel over- hang. It permits a painless reduction without gingival bleeding (Figures 9.3–3a and b). 7. RESPECT THE LIMITS OF THE REDUCTION Boese recommends not to reduce beyond one half of the thickness of the enamel layer of the lower incisors without giving any precision on the thicknesses used for reference. Barrer advocates a maximum of 4 mm total reduction of the lower incisors, that is 0.5 mm from each proximal tooth surface. Paskow mentions a reduction of 0.25 mm to 0.37 mm. Hudson proposes 0.20 mm on the proximals of the centrals, 0.25 mm for the laterals and 0.35 mm for the cuspids, that is, a total reduction of 3 mm in the anterior zone. Tuverson (1980) suggests the reduction of 0.3 mm without any danger on the proximals of the four mandibular incisors and 0.4 mm on the cuspids, which allows a total of 4 mm in the anterior zone. Alexander limits himself to 0.25 mm on each tooth. Finally, Sheridan reduces up to 0.8 mm for the lateral zones and 0.25 mm for the anterior teeth, that is a total gain of 8.9 mm. Enamel is a highly mineralized tissue, which explains its protective function for the underlying tissues, but this mineralization is most important at the surface. By eliminating the highly mineralized external layer, we run the risk of slightly weakening the enamel resistance to caries. The general tendency is to consider that the maximum amount of enamel that can be removed corresponds to half of the enamel thickness. This idea seems reasonable to us in order to ensure sufficient protection of the tooth.  .-  . Brass wire used under the contact point for gingival protection.  
  • 100.
      Based onthe lowest values recommended by Hudson, we have adopted the fol- lowing recommendations: Upper arch: Up to 0.6 mm per proximal surface from the mesial face of the first molar to the distal face of the cuspids and 0.3 mm per proximal face of the anterior teeth, which allows us to obtain about 10 mm of available space. Lower arch: 0.6 mm from molar to bicuspid and 0.3 mm on the cuspids which allows us to obtain about 7 mm of available space. When all the principles are observed and considered, enamel reduction presents certain advantages: it can help avoid extractions, and so no extra efforts are necessary to close in the extraction site, there is no risk of space reopening, the reduction corre- sponds exactly to the crowding, and the length of treatment time is reduced by 30 to 50%, which is important in decreasing the potential of root resorption. Periodontists typically dread enamel reduction for fear of a reduction of the embrasure width and the creation of root proximity. In fact, in the case of an anterior crowding, there often already exist root proximities. Even if the reduction is done on the lower anterior teeth, the amount of enamel reduced never exceeds the amount of crowding. Thus, the root proximity is never worsened. On the contrary, the septum ends up being enlarged. In the lateral zones, the reduction should always be done so as to allow the use of interproximal tooth brushes. Operative Protocol 1. ARCHFORM SELECTION AND LINGUAL ARCHWIRE TRACING The final archforms are determined from the initial forms, which are either maintained or modified. The lingual archwire tracings are obtained by computer, after using a specific laboratory procedure which allows us to measure the thicknesses of the tooth with its brackets, that is, the distance between the labial face and the bottom of the slot. These tracings serve as a guide for all the treatment steps (Figure 9.3–4). 2. BONDING OF THE LINGUAL APPLIANCES Bonding is done by an indirect method. All the teeth are bonded except those present- ing an excessively severe rotation. At this point, we act differently from Sheridan who initially bonds only the lateral and posterior zones. We prefer to work with a continuous archwire in order to correctly lock the first molars and to allow arch-form modification from the beginning of treatment.  .-. Tracing of the final lingual archwire obtained by computer (D.A.L.I. program).
  • 101.
    Interproximal Enamel Reductionin Lingual Orthodontics  3. ALIGNMENT PHASE Only the teeth that are going to be reduced will be aligned, principally the bicuspids. The rotation of the upper molars will be corrected, if necessary (Figures 9.3–5a to c). In the anterior segment, the initial crowding can be decreased by arch-form modifica- tion and by labial tipping, if this was excepted in the treatment plan. The archwire is fabricated with small expansion loops mesial to the first molars that will allow a slight labial tipping of the anterior teeth. 4. INTERPROXIMAL ENAMEL REDUCTION BETWEEN FIRST MOLAR AND SECOND BICUSPID The reduction is carried out with a tungsten carbide bur, type 699 L (Figure 9.3–6), and the polishing is done with a bur with tungsten carbide blades (Komet) (Figure 9.3–7). After a brass wire is placed to protect the gingiva and to keep the lips away, the bur is vertically positioned (perpendicular to the occlusal plane), and the move- ment takes place labiolingually with progressive “nibbling” at the enamel with succes- sive movements (Figure 9.3–8). The same movement can be done in a lingual–labial direction. In the vertical plane, the movement is limited by the brass wire. Some authors have recommended doing the reduction with vertical movements from bottom to top, placing the bur under the contact point and moving occlusally. On young adults, there is, danger of compressing the papilla with the protecting wire and render- ing it a painful procedure. Moreover, the “nibbling” movement cannot be done verti- cally, and there is the risk of overheating the bur and tooth by the continuous action. Polishing is done by horizontal and vertical movements in order to eliminate any overhanging enamel which could be formed under the contact point during the reduc-  .-  . Correction of the rotated teeth which have to be reduced: (a) At the beginning of treatment. (b) After derotation of rotated teeth. (c) After reproximation procedure.   
  • 102.
      ing procedure.The periphery of the reduction zone is rounded to have a better tooth morphology. The reduction between the first molar and the second bicuspid is between the minimum value of 0.7 mm and maximum value of 1 mm, taking into account the fact that polishing with multibladed burs create a further reduction of at least 0.1 mm. The use of calibrated thickness gauges allows us to control the reduction. 5. DISTALIZATION OF THE SECOND BICUSPID The movement to be done has a maximum distance of 1.2 mm, which seems insignif- icant, but it is of the utmost importance not to lose any of the space gained. A figure- eight ligature is tied around the brackets of the first and second molars. The archwire is ligated with stainless steel ligatures on the molar and bicuspid brackets to prevent any rotation. An elastic chain is hooked from the first molar to the second bicuspid for distalization of the biscuspid (Figure 9.3–9).  .-. Carbide bur recommended for reduction (Komet 699 L).  .-. Carbide polishing burs.  .-. Reduction between the first molar and second bicuspid with a 699 L carbide bur.
  • 103.
    Interproximal Enamel Reductionin Lingual Orthodontics  6. ENAMEL REDUCTION BETWEEN THE FIRST AND SECOND BICUSPIDS About 1 mm of space is created between the first and second bicuspids following the distalization of the second bicuspid. The reduction of the mesial surface of the second bicuspid and of the distal surface of the first bicuspid is then carried out in the same manner as in step 4 (Figure 9.3–10). The reduction will be easier to do because the two bicuspids will no longer be in contact, but it will be more difficult to precisely limit the amount of reduction on each surface. At this stage, the reduction is done by nibbling as before, or by placing the bur on the brass wire under the contact point and then directing the bur occlusally. 7. DISTALIZATION OF THE FIRST BICUSPID This time, a figure-eight ligature is placed around the brackets of the second bicuspid and the two molars. An elastic chain is hooked from the first to second bicuspid (Figure 9.3–11). The distance of the movement can be more than 2 mm. 8. ENAMEL REDUCTION BETWEEN CUSPID AND FIRST BICUSPID The same procedure is done on the mesial surface of the first bicuspid and on the distal surface of the cuspid, if the amount of crowding demands a reduction greater than 4.8 mm (2.4 mm on each side) (Figure 9.3–12).  .-. Reduction between the first and second bicuspids.  .-. Use of a figure-eight metal ligature around the brackets of the first and second molars and an elastic chain to retract the second bicuspid.  .-. Use of a figure-eight metal ligature around the brackets of the second bicuspid and molars and an elastic chain to retract the first bicuspid.
  • 104.
      9. CUSPIDDISTALIZATION A steel ligature is placed around the brackets of the two bicuspids and the two molars. The distance of the distal movement of the cuspid can reach 3.5 mm (Figure 9.3–13). 10. ENAMEL REDUCTION OF THE UPPER INCISORS If necessary, this reduction is done with a diamond disk on the labial side of the mesial surfaces and on the lingual side of the distal surfaces. (Evident-Paris: EV 400–100, 400–101, 400–102) (Figure 9.3–14). The double gingival and labial protection pre- vents accidents due to slipping of the disk caused by the rotation of the contra-angle (Figure 9.3–15). Enamel sculpting of the lower incisors should be avoided, if possible. If necessary, it is done in the same way as for the upper incisors. 11. ALIGNMENT OF THE ANTERIOR ZONE An aligning archwire is engaged this time into all the brackets. Rotational elastomeric chains are tied to rapidly correct any malposition of the incisors. Case History Figures 9.3–16a to m demonstrate the use of interproximal reduction in a case, with crowded teeth and multidisciplinary problems. A 45-year-old male had severe crowding in both arches, missing teeth (17,31,36, 37,47), and gingival recession on 33.  .-. Reduction between the first bicuspid and cuspid.  .-. Retraction of the cuspid.  .-. Diamond disk used for reproximation in the upper incisor region. (Evident-Paris)  .-. Lip and gingiva protection during anterior reduction.
  • 105.
    Interproximal Enamel Reductionin Lingual Orthodontics   .-  . Consecutive sequences of reduction in a crowded case: (a) Front view of the occlusion before treatment. (b) Occlusal view of the maxillary arch before treatment. (c) Occlusal view of the maxillary arch after bicuspid reduction and retraction. (d) Occlusal view of the maxillary arch after alignment of all of the teeth. (e) Occlusal view of the maxillary arch after bracket-debonding and fixed retainer bonding. (f) Occlusal view of the mandibulary-arch before treatment.       The treatment plan included periodontal treatment (Dr. Kadiri, Casablanca, Morocco) interproximal enamel reduction on both arches after bonding the lingual appliance (Ormco, generation 7 brackets), implants in the lower arch (Dr. P. Khayat, Paris, France), and porcelain laminates (Dr. P. Miara, Paris, France). Total treatment time was 18 months, much shorter than usually expected in such cases due to the very clear and simple interproximal reduction protocol. DISCUSSION The recommended reduction protocol is long and the alignment of the anterior zone can only start after several months of treatment, but it is progressive and the enamel
  • 106.
      layer inthe anterior region, where it is thinnest, is preserved. Unless contraindicated for anatomical or periodontal reasons, the maximum amounts to be reduced on the molars and bicuspids is 1.2 mm, using the 699 L and finishing burs. The decision whether to do the interproximal reduction procedure in the anterior zone is clinical  .-  . Consecutive sequences of reduction in a crowded case: (g) Occlusal view of the mandibulary-arch with Ormco lingual brackets. (h) Occlusal view of the maxillary arch after alignment of all of the teeth. (i) Occlusal view of the mandibular arch after bracket-debonding and fixed retainer bonding. Note the posterior implants. (j–l) Front and profile views of the occlusion at the end of treatment. (m) Porcelain laminates. (Dr. P. Miara, Paris, France)       
  • 107.
    Interproximal Enamel Reductionin Lingual Orthodontics  and is contemplated during the distalization of the bicuspids. Contrary to Sheridan’s method, springs are not used either to open spaces between the teeth before reduction or for distalizing the bicuspids. Taking into consideration the small amplitude of the movement of the bicuspids, the molars form a strong anchorage unit, using a continu- ous archwire on which stops will be placed mesial to the first molars. If the anchorage is limited to only one molar, it can be reinforced by the use of auxiliaries like a lip bumper or a labial archwire associated with Class II elastics. After distalization of the second bicuspid, the anchorage is reinforced by this second bicuspid. In spite of the unproven common idea that flattening of the contact points allows a better stabilization of the anterior teeth, a fixed retainer (cuspid to cuspid) is bonded on all our patients and is kept in the mouth as long as possible. No space reopening in the reduced zones is observed. Office application of fluoride followed by 2 to 3 weeks of home use of a concentrated fluoride gel is highly recommended during the reduc- tion period to enhance remineralization. Bibliography Alexander RG. The Alexander discipline, contemporary concepts and philosophies. Angel GA, ed. 1986. Barrer HG. Protecting the integrity of mandibular incisor position through keystoning procedure and spring retainer appliance. J Clin Orthod 1975;9:486–494. Boese LR. Fiberotomy and reproximation without lower retention, nine years in retrospect, Part I. Angle Orthod 1980;50:88–97. Boese LR. Fiberotomy and reproximation without lower retention, nine years in retrospect, Part II. Angle Orthod 1980;50:169–178. Fillion D. Orthodontie linguale Réflexions cliniques. Rev Orthop Faciale 1990;24:475–498. Fillion D. Apport de la sculpture amélaire interproximale à l’orthodontie de l’adulte (première partie). Rev Orthop Dento Faciale 1992;26:279–293. Fillion D. Apport de la sculpture amélaire interproximale à l’orthodontie de l’adulte (deuxième partie). Rev Orthop Dento Faciale 1993;27:189–214. Fillion D. Apport de la sculpture amélaire interproximale à l’orthodontie de l’adulte (troisième partie). Rev Orthop Dento Faciale 1993;27:353–367. Gillings B, Buonocore M. An investigation of enamel thickness in human lower incisor teeth. J Dent Res 1961;40:105–118. Hudson AL. A study of the effects of mesiodistal reduction of mandibular anterior teeth. Am J Orthod 1956;42:615–624. Paskow H. Self-alignment following interproximal stripping. Am J Orthod 1970;58:240–249. Philippe J. L’orthodontie de l’adulte. S.D.I. éd., Paris, 1989. Sheridan JJ. Air-rotor stripping. J Clin Orthod 1985;19:43–59. Sheridan JJ. Air-rotor stripping update. J Clin Orthod 1987;21:781–788. Sinclair PM. The reader’s corner. J Clin Orthod 1989;23:110–111. Tuverson DL. Anterior interocclusal relations: part I. Am J Orthod 1980;78:361–370.
  • 108.
     Since Dr. KinyaFujita, associate professor at Kanagawa Dental College, developed his lingual mechanics in 1970, the number of the lingual orthodontics patients has con- stantly risen in Japan (Figure 10.1–1). Eighty-one percent of adult cases in Japan are extraction cases (Figure 10.1–2). Therefore, a lot of attention must be given to the mechanics used to close spaces. In labial orthodontics, the mechanics usually described in the literature involves canine retraction, and once it is accomplished, upper and lower incisors are retracted. Lingual patients, however, strongly demand that esthetics will be maintained throughout the treatment, which means, in addition to the invisi- ble braces, avoiding opening spaces between the lateral incisors and canines during treatment. Therefore, the anterior segment is retracted as one unit. En masse retraction can cause many mechanical problems such as bowing effect (vertical and transverse) and anchorage control. The vertical bowing effect is the most serious problem, since it cannot be avoided with simple auxiliaries like transpalatal arches. When a strong retraction force is used in an anterior–posterior direction (Figure 10.1–3), the upper anterior segment (3-3) may tip lingually. The bite plane effect of the upper lingual brackets can cause posterior disclusion and consequently  . Sliding Mechanics versus Loop Mechanics During En Masse Retraction in Extraction Cases KYOTO TAKEMOTO, DDS  .-. The number of lingual orthodontists in Japan in the years 1988–1994. ’88 ’89 ’90 ’91 ’92 ’93 ’94 140 340 420 520 920 960 1000
  • 109.
      loss oflateral occlusal function. As a result, bowing effect occurs. When the same amount of force is applied in both systems (labial and lingual) and the intrusion force (FI) equals the retraction force (FR), the net force vector is pointed directly towards the center of resistance (CR) in a labial system (Figure 10.1–4a) but not in a lingual system. The net force vector in lingual orthodontics will produce a lingual tipping force and vertical bowing effect (Figure 10.1–4b). Thus, the retraction force should be minimized during en masse retraction, and more intrusion and torquing force is need- ed to retract the anteriors in lingual orthodontics than in a labial system. Sliding Mechanics and Loop Mechanics En masse retraction is performed with sliding mechanics or loop mechanics. Three different kinds of loops are commonly used: closed helical loop (Figure 10.1–5a), L-loop (Figure 10.1–5b), and T-loop (Figure 10.1–5c). Wire friction and uncontrolled retrac- tion force are the main disadvantages of sliding mechanics. As a result, anchorage loss is apt to occur. Other disadvantages are increased depression of lower anteriors due to the force applied by the anterior bite plane while retracting the upper incisors, the difficulty  .-. Comparison of extraction vs. nonextraction cases in the Takemoto orthodontic office.  .-. Vertical bowing effect. Non-Ext 19% Ext 81% Posterior disclusion A-P retraction
  • 110.
    Sliding Mechanics versusLoop Mechanics During En Masse Retraction in Extraction Cases  in applying the technique to unusual extraction cases where different teeth are extracted on the right and left sides, and increased retraction time and consequently increased treatment time. The technique of sliding mechanics has the advantage of being simple and effective for preventing transverse bowing effects without using a transpalatal arch.  .-. Momentum analysis of anterior retraction in labial mechanics.  .-. Momentum analysis of anterior retraction in lingual mechanics.  .-. Archwires used for en masse retraction: Closed helical loops mechanics.  .-. Archwires used for en masse retraction: L-loops mechanics.  .-. Archwires used for en masse retraction: T-loops mechanics. Labial Appliance O: center of resistance FR: retraction force FI: intrusion force M1: moment D0: Distance to FR D1: Distance to FI M1 = D0 • FR – D1 • FI = 0 Intrusion force in Labial Appliance will affect the bodily movement of teeth. Lingual Appliance O: center of resistance FR: retraction force FI: intrusion force M2: moment D0: Distance to FR D2: Distance to FI M2 = D0 • FR – D2 • FI > 0 However, it may also react as tipping force in Lingual Appliance due to the differences in force direction. O O M1 M2 FR FR FI FI D1 D2 D0 D0
  • 111.
      Loops mechanicsare very effective for closing space without wire friction. In addi- tion, the mechanics allow us to incorporate a bigger tipping bend into the archwire. However, it is quite complicated to bend the wires with the different loops, and it requires a lot of skill from the orthodontist. The mechanical and cephalometric fea- tures of sliding and loop mechanics were compared in a study. Material and Methods Fourteen extraction cases were treated with sliding mechanics: 7 cases with maximum anchorage and 7 cases with minimum anchorage. Thirty extraction cases were treated with loop mechanics: 10 cases with closed helical loops, 10 cases with L-loops, and 10 cases with T-loops. Ricket’s cephalometric analysis was used, and 11 different factors were examined: facial axis, facial depth, mandibular plane angle, lower facial height, mandibular arc, lower lip to E-line, total facial height, maxillary convexity, lower incisor to A-pogo- nion (mm), lower incisor to A-pogonion (deg.), and upper molar to PTV. Anterior incisor torque control, the amount of anterior retraction, anterior intru- sion, and anchorage loss of the upper molars were measured. In addition, treatment  .-. Superimposition of cephalometric tracings to analyze the amount of intrusion. Table 10.1–1. Results of the Comparison between Sliding Mechanics and Loop Mechanics Sliding Loop U1 to FH 11.7 ± 4.9 (max) 6.1 ± 7.1* (T-loop) 21.3 ± 8.1† (closed helical) U anchorage 1.3 ± 0.7 (max) 0.5 ± 0.8* L1 to mand. pl. 2.6 ± 1.3 (max) 1.4 ± 0.8* (T-loop) FX 0.1 ± 0.8 –0.2 ± 0.4 Ret. term 12.6 ± 3.7 9.2 ± 3.7* * = P < 0.05; † = P < 0.01
  • 112.
    Sliding Mechanics versusLoop Mechanics During En Masse Retraction in Extraction Cases  time for en masse retraction was measured. The differences in the amount of anterior intrusion toward the center of resistance was measured before and after treatment (Figure 10.1–6). Statistical t-tests were used to compare the incremental changes between sliding and loop mechanics. The significance level for statistical comparisons was predetermined at P < 0.05 and P < 0.01. Results The results are summarized in Table 10.1–1. Discussion There was no significant difference in the skeletal pattern between sliding and loop mechanics. Upper anterior torque (U1 to FH) was maintained better with T-loop mechanics compared to sliding mechanics (P < 0.05) and worse with closed helical loops (P < 0.01). Anchorage (U6 anchorage) was controlled better with all loop mechanics (P < 0.05). Lower anterior intrusion (lower incisor to mandibular plane) was significantly smaller with T-loop mechanics (P < 0.05). There were no significant differences in facial axis (FX) between both mechanics which means that there is no  .-. Sliding mechanics for upper arch.  .-. Anchorage control in the upper arch in a mini- mum anchorage case with sliding mechanics. cl III el cl III el
  • 113.
      opening ofthe mandible with any of the mechanics. Retraction was accomplished in a shorter time with loop mechanics than with sliding mechanics (P = 0.05). Based on these results, the following protocol for the use of sliding and loop mechanics is recommended: SLIDING MECHANICS (FIGURE 10.1–7) Archwire: .016 × .022 SS Indications: 1. Minimum or moderate anchorage cases with upper second bicuspid extraction (Figure 10.1–8); 2. nervous patients who do not want auxiliaries like loops; and 3. lower arch extraction cases. CLOSED HELICAL LOOP OR L-LOOP MECHANICS (FIGURE 10.1–9) Archwire: .016 X .022 SS or .017 × .025 TMA Indications: 1. Open bite cases with little need for upper anterior torque control or active tipping of anteriors; and 2. closure of small spaces. T-LOOP MECHANICS (FIGURE 10.1–10) Archwire: .017 X .025 TMA Indications: 1. When maximum anterior retraction is needed while maintaining ante- rior torque; 2. when active intrusion of anteriors is indicated (Figure 10.1–11); and 3. in seventy percent of total extraction cases.  .-. Closing mechanics (closed helical loops) for upper arch.  .-. Closing mechanics (T-loops) for upper arch.  .-. Anchorage control in the upper arch in a maxi- mum anchorage case with T-loop mechanics. cl II el cl II el
  • 114.
    Sliding Mechanics versusLoop Mechanics During En Masse Retraction in Extraction Cases  Use of TMA Archwires The wire stiffness of TMA archwire is in the middle of SS and Ni-Ti archwires (Figure 10.1–12). By incorporating T-loops into TMA archwire, the retraction force is reduced to less than half of that of SS and light continuous retraction force is applied. Therefore, the TMA minimizes the reaction on molars when cinching back at the end of the T-loops for activation. When a bigger bowing arch form and a transpalatal arch are added into the T-loop TMA, the occurrence of the transverse bowing effect is mini- mized, and the occlusal function in the molars is not lost. In addition, a TMA archwire has greater resilience and more gable bends, or com- pensative curves can be incorporated into the T-loops to provide anterior intrusion force. Therefore, when accomplishing bite opening, the anteriors are retracted by the intrusion force while maintaining the dental axis, and there is no need to rely on the bite plane effect of the lingual brackets. As a result, the occurrence of vertical bowing effect is also minimized while maintaining lateral occlusal function.  .-. The force/deflection graph of different archwires: SS, TMA, and Ni-Ti. 10 20 30 40 50 60 70 80 90 300 250 200 150 100 50 Deflection (degrees) SS TMA Ni-Ti Approximateforce(grams)
  • 115.
     A 30-year-old femalepresented with skeletal Class I and dental Class II malocclusion, high mandibular plane angle, deep overbite (5 mm), rotated left upper central, ectopic erupted upper cuspids, and mild to severe anterior upper and lower crowding. The treatment plan included upper and lower lingual orthodontic appliance (Ormco gen- eration #7) with upper first bicuspid and lower second bicuspid extractions. Maxillary Archwire Sequence 1) .014 Ni-Ti Leveling 2) .016 TMA Eliminating rotations 3) .016 SS Partial cuspid retraction 4) .0175 × .0175 TMA Torque adjusting 5) .016 × .022 SS; .017 × .025 TMA En masse retraction with class II elastics 6) .016 TMA Finishing Mandibular Archwire Sequence 1) .014 Ni-Ti Leveling 2) .016 TMA Eliminating rotations 3) .016 SS Partial cuspid retraction  . Case Presentation: Loop Mechanics GIUSEPPE SCUZZO, MD, DDS  .-  . At initial orthodontic examination: Facial and profile views. Note unesthetic smile.  
  • 116.
      4) .0175× .0175 TMA Torque adjusting 5) .016 × .022 SS Closing spaces, with class I elastics 6) .016 SS Finishing Treatment Sequence Maxillary Mandibular 1) leveling 4) leveling 2) torque adjusting 5) torque adjusting 3) space closure and en masse retraction 6) space closure Active treatment time: 36 months       .-  . At initial orthodontic examination: intraoral views. Note deep bite, severe crowding and rotations, and midline shift.
  • 117.
    Case Presentation: LoopMechanics   .-. Partial cuspid retraction: .016 SS archwire, transpalatal arch, labial transparent button, elastic power chain from cuspids to molars, partial engagement of the wire in the anterior region.  .-. .016 × .022 SS archwire for en masse retraction. L-loop mechanics with class II elastics. Posterior and anterior segments are figure-eighted with SS ligature wire.  .-. .016 SS archwire. Cuspids partially retracted, anterior alignment.  .-  .-. Treatment sequence in the maxillary arch.
  • 118.
       .-..016 SS archwire fully engaged. Retraction is continued.  .-. .016 SS archwire. Note power chain from lingual hook of the right cuspid to the buccal metal button of the right molar for retraction and rotation.  .-  . At the end of orthodontic treatment: facial and profile views. Note the pleasant and esthetic smile.    .-. .014 Ni-Ti archwire for leveling. Partial engage- ment of the wire in the anterior region. Power chain from premolars to molars for partial retraction.  .-  .-. Treatment sequence in the mandibular arch.
  • 119.
    Case Presentation: LoopMechanics        .-  . At the end of orthodontic treatment: intraoral views. Note cuspid and molar Class I occlusion, arch integrity and correct midline. Lower fixed retainer (3-3) was bonded and clear vacuum retainer was provided for the upper arch.  .-. Cephalometric superimposition tracing: before and after the treatment. Note the minimal change in the molars, retraction of the upper centrals, and intrusion of the lower centrals.
  • 120.
     A 53-year-old femalepresented with slight crowding in both dental arches, Class II Division I malocclusion with excessive overjet and extensive dental restorations. The treatment plan included placement of maxillary and mandibulary lingual appliances (Ormco, generation #7). In the maxilla, the left first bicuspid and right sec- ond bicuspid were to be extracted. The decision to extract the right second bicuspid was based on the condition of the crown; although it had recently been placed it was determined that the long-term prognosis would be improved with its removal. No teeth were to be extracted in the mandible. The patient was treated to a Class II molar and Class I cuspid relationship. Fourteen days after the records and face bow transfer were taken, all brackets were bonded. Upper and lower .0175 Respond sectional archwires were placed in the upper arch from 3-3 and in the lower arch from 5-5. Upper extractions were completed immediately afterwards. One month after the initial bonding, separators were placed for banding of both maxillary first molars and left second molar. In the mandible, the corresponding teeth were also banded. (All banded molars had been crowned.) Upper and lower .016 TMA wires were placed to begin leveling and alignment (Figures 10.3–1a to e). Four weeks later, an upper .016 × .022 SS archwire was placed. In the maxilla, the wire was not fully engaged to the anterior rotated teeth (Figures 10.3–2a and b). The SS rectangular wire allows controlled and complete retraction of the right first bicuspid and preliminary retraction of the left cuspid. The upper buccal molar segments were ligated together to act as anchorage units. Power tubes and power chains were placed to provide force (sliding mechanics). The patient was seen every 3 to 4 weeks for the next 3 months to replace the power products. Once adequate space had been gained to correct the alignment of the upper incisors, the original .016 TMA was replaced, and all rotations were corrected (Figures 10.3–3a and b). Three month later, the upper .016 × .022 SS archwire was replaced and a trans- parent labial button bracket was bonded to the right first bicuspid. A power chain was added from this button to the labial molar tubes. This enabled dual force mechanics without rotation of the tooth during the retraction (Figure 10.3–4). After another 3 months, the bicuspid was completely retracted. The right buccal segment was figure-eighted to include the bicuspid in the posterior anchorage unit and the anterior segment was also figure-eighted with stainless steel ligature wire. Power tube and power chain were placed from bicuspid to cuspid to supply the force for the en masse retraction of the anterior segment (Figure 10.3–5a and b).  . Case Presentation: Sliding Mechanics J. COURTNEY GORMAN, DDS, MS
  • 121.
       .- . One month after the initial bonding; .016 TMA wire was placed in both arches: (a) Frontal occlusal view. (b) Left buccal view. Note the enlarged overjet and asymmetric extraction sites. (c) Right buccal view. (d) Occlusal view of the mandibular arch, .016 TMA wire was placed on both arches. (e) Occlusal view of the maxillary arch.         .-  . Two months in treatment. Note upper .016 × .022 SS archwire is not fully engaged in the anterior rotated teeth.
  • 122.
    Case Presentation: SlidingMechanics     .-  . Eleven months in treatment. The right upper buccal segment was figure-eighted to include the bicuspid in the posterior anchorage unit. The anterior segment was figure-eighted as well. A lower .016 × .022 SS archwire was placed.    .-  . Five months in treatment. The upper original .016 TMA was replaced to correct all rotations. Lower alignment continues with .016 TMA.  .-. Eight months in treatment. The upper .016 × .022 SS archwire was replaced and a transparent labial but- ton bracket was bonded to the right first bicuspid for retraction.
  • 123.
      It tookanother 14 months to complete the space closure and final detailing of the teeth. During this time, the process was interrupted two times for repair of loose brackets. During the last 5 months, the patient wore a 6 oz 1/4'' Class II elastic on the left side, from the lingual bracket of the left upper lateral incisor to the labial hook of the lower second molar. All appliances were removed after 26 months of treatment, 2 months ahead of the pretreatment estimate (Figures 10.3–6a to c). Clear overlay retainers were delivered on the same day of debonding, and the patient was instructed to wear them full-time for 2 months and then nights only. The patient was very pleased with the results. She stated on many occasions that the lingual appliance was the only reason she was willing to undergo treatment.    .-  . Eleven months in treatment (before debonding). (a) Frontal occlusal view. (b) Occlusal view of the maxillary arch. (c) Occlusal view of the mandibular arch. 
  • 124.
     Lingual orthodontics hasdeveloped as a result of the ever-increasing demand for an orthodontic therapy with acceptable esthetics. Even though at the beginning the lin- gual technique was addressed almost exclusively to adult patients to avoid discomfort and the embarrassment of wearing a labial appliance, it is also applicable in mixed dentition malocclusions. Not every patient is a suitable candidate for such a treatment, and the following criteria are recommended: 1. Age: Children who have at least concluded the first period of secondary dentition, which means full eruption of the four permanent incisors (about 8 to 9 years). Patients in late mixed dentition are extremely sensitive about their appearance. 2. Responsibility or motivation: The sense of responsibility and motivation must be very high, as this technique requires a stricter regimen and more constant collaboration compared to classic labial techniques. An initial interview with the child and his/her parents will help the patient selection. 3. Oral hygiene: A motivation towards good oral hygiene is fundamental. Poor oral hygiene is an absolute contraindication to any orthodontic therapy, especially lingual orthodontic therapy which requires much more effort from the patient. Since the “critical” zone is located exclusively at the upper incisors, a few simple devices and auxiliaries are indicated. 4. Phonetics: Some authors deem that such appliances can give rise to problems in speaking. Our clinical observation after many years of treating children with lingual orthodontics is that after the expected initial discomfort period, the speech returns to the same as it was prior to bonding. Patients with severe problems of dyslalia are not recommended to be treated with lingual appliances. 5. Esthetics: The concept of self-image plays an important role in adolescence, and the esthetic needs of the young patient has an effect on his or her personality and behavior. In this respect, some extremely positive data has emerged from unpublished research carried out by the author on young patients treated with lingual appliances. Tests were given, including drawings and questionnaires, concerning esthetic appear- ance, oral hygiene, and phonetics. The youngest patients were happy to have an invisi- ble appliance but did not keep it a secret from their friends like adults usually do. On the contrary, they were proud to belong to a “brace” group of friends, even if in a more exclusive way. In adolescence, on the other hand, when a psychological relation- ship with the opposite sex begins, the lingual appliance is kept secret. It helps to avoid the embarrassment which arises when smiling with a traditional appliance. This is the period during which young people continually look at themselves in the mirror, and it is satisfying for them to be able to see an improvement taking place day by day, with-   Lingual Orthodontics in Pediatric Patients LORENZO FAVERO, MD, DDS, MSc
  • 125.
      out havingto go through an “ugly duckling” period. In the illustrations made by the youngest patients, the patient’s face was drawn without any visible appliance, and hap- piness and appreciation are symbolized. Therapeutic Indications There are some malocclusions in mixed dentition that are suitable for early treatment with a lingual appliance: Skeletal Class I with dentoalveolar open bite (caused by atypical deglutition, thumb sucking, and tongue thrusting); skeletal Class I with dentoalveolar deep bite; moderate occlusal Class II Division I with dentoalveolar deep bite; Class II Division II with dentoalveolar deep bite; pseudo Class III with functional anterior shift (i.e., skeletal Class I and dental Class III); and skeletal Class III with hypomaxilla. Other malocclusions can also be resolved with lingual appliances without any limits. Particular care and practice are necessary in more difficult cases like Class I with serious crowding, Class II Division I open bite caused from mandibular divergence, or skeletal Class III with a mandibular component. Anatomical and Biomechanical Evaluations All the known advantages of lingual orthodontics are more evident in young patients. From the biomechanical point of view, the center of resistance (CR) of the tooth is nearer the point of application of the force compared to adults, as demonstrated by the work of Pederson et al. (EJO 1991; 13:65–74); as a result, the moments are diminished, and the bodily movement of the dental elements is much easier and more immediate. Operative Protocol Lingual orthodontics in young patients is frequently used in the upper arch and seldom in the lower arch. The upper molars and the central and lateral incisors are usually bonded as would be done in an adult patient. A buccal tube on the molars is necessary in case of extraoral traction or the use of auxiliary superstructures. Bonding of the primary  -. Pendulum “F” (Favero).  -. Molar bands provided with a double tube for later placement of transpalatal bar, after distalization with Pendulum “F”.
  • 126.
    Lingual Orthodontics inPediatric Patients  second molars is highly recommended since these teeth will be present in the arch for a long time, have good clinical crowns and anatomical dimensions, and have high anchorage value. Bonding of the first primary molars and primary cuspids must be avoided as they are small and often exfoliate during the treatment. In the course of therapy, the first permanent premolars can be utilized while they are erupting. Their insufficient clinical crowns can be visualized with retraction cord inserted in their eruptive pseudopocket while taking the impression. This method is also used when the upper lateral incisors are partially erupted or have anomalous inclinations. One must also consider the interbracket distance between the upper lateral incisors and primary second molars. This space is not wide because the deciduous canine and the first primary molar present smaller mesiodistal dimensions compared to their permanent successors. The wire offset between the primary cuspid and the primary molar is very small because of the anatomical arrangement of deciduous teeth in the arch and the absence of the canine protuberance, and because the contraction loops that are used  -. Pendulum “F.” The acrylic part is larger than usual to give support for the TMA archwire section which is used to align the front teeth.  -. Pendulum “F.” Contraction TMA loops in an open-bite case.  -. Pendulum “F.” The anterior bite effect of the anterior lingual brackets facilitates molar distalization. Sagittal screw to activate the appliance.  -. Pendulum “F.” A tongue crib is inserted into the acrylic button in cases of open-bite and tongue-thrust habits.
  • 127.
      mesially tothe primary second molars to increase the resilience in this area and to apply more gradual strength at a distance also occupy some of the interbracket space. Pendulum “F” Mechanics One of the advantages of early treatment is reduced treatment time due to the use of specific mechanics from the early phases of the therapy. The Pendulum appliance that was described by Hilghers was adapted and modified by the author for the lingual technique and called Pendulum F (Figure 11–1). The lingual part of the bands are provided with a double tube (Figure 11–2). The larger tube is used for stabilizing the molars after distalization by means of a transpalatal bar. The acrylic part is larger than usual to give support for a TMA archwire section which is used to align the front teeth, through the lingual brackets, which have been bonded since the beginning of treatment (Figure 11–3). This type of archwire can be bent in various ways according to its use, with expansion or contraction loops and intrusion or extrusion forces (Figure 11–4). It permits immediate, decisive alignment and increases the anchorage to the appliance. Thanks to the bite effect of the anterior lingual brackets, the arch is set free, allowing a greater molar distalization (Figure 11–5). A tongue crib can be inserted into the acrylic button in cases of open-bite and tongue-thrust habits (Figure 11–6). Pendulum F can be also used as an orthopedic maxillary expander (Figure 11–7). Laboratory Procedures Specific instructions to the laboratory should be given for young patients with decidu- ous teeth: 1. The diagnostic program of each patient should be described since we are deal- ing with an interceptive treatment. 2. The deciduous dental elements that will be extracted or reduced in size should be taken into consideration while preparing the set-up, such as the deciduous canines that may be extracted or stripped mesially to obtain a correct position- ing of the incisors at the midline. 3. The use of the retraction cord in partially erupted, crowded, or rotated teeth  -. Pendulum F used as an orthopedic maxillary expander.
  • 128.
    Lingual Orthodontics inPediatric Patients  (Figures 11–8a and b) is not always possible, and a new impression should be taken at a later stage. 4. Late erupting teeth like the first permanent premolars should be bonded separately. CASE REPORT A 10-year-old girl presented with Class I malocclusion, anterior cross-bite (2|2) and midline deviation (Figures 11–9a and b). The maxillary arch (Figure 11–10) was aligned with a lingual appliance (Ormco, generation #7) bonded on the upper central and lateral incisors, second primary molars and first molars (Figure 11–11). The mandibular arch (Figure 11–12) was treated with the same appliance bonded with the CLASS technique on the incisors, cuspids, and first molars, combined with a lip bumper (Figures 11–13a and b). Cervical traction and Class II elastics were added (Figure 11–14). Harmonic and balanced occlusion was achieved, and the midline was corrected (Figures 11–15a and b).  -  . Facial and lateral clinical views before treatment: Note Class I malocclusion, anterior cross-bite and midline deviation.  -  . Retraction cord is used in partially erupted, crowded, or rotated teeth: (a) Before insertion of the retraction cord. (b) After insertion.    
  • 129.
       -.Pretreatment view of the maxillary arch.  -. Pretreatment view of the mandibular arch.  -. Lingual appliance (Ormco, generation #7) bonded on the upper central and lateral incisors, second primary molars, and first molars.  -. CLASS technique used for indirect bonding of mandibular arch with lip bumper. Stripping of the second deciduous molar to gain leeway space.  -. Lingual appliance (Ormco, generation #7) bonded on the incisors, cuspids, and first molars.
  • 130.
    Lingual Orthodontics inPediatric Patients  Conclusion Lingual therapy in the pediatric patient shows simple, modern, and diversified use. The numerous advantages are represented by a remarkable psychological acceptability, smaller interferences with removable appliances, a shorter treatment time, biomechan- ical advantages (such as increase of sagittal and transverse expansive effects), a greater effectiveness of superstructures such as elastic bands, and a greater consideration for esthetics that translates into a greater acceptance of orthodontic therapy. Bibliography Alexander CM, Alexander RG, Gorman JC, et al. Lingual orthodontics: a status report. J Clin Orthod 1982;16:255. Favero L. L’ortodonzia linguale nel paziente giovane. Atti del 3° Congresso Nazionale del “Collegio dei Docenti di Odontoiatria” Roma 1996. Favero L. Proper mechanics in pediatric lingual orthodontics. 2nd Symposium European Society of Lingual Orthodontics Principaut de Monaco 1996. Favero L, Tagliapietra S. Lingual orthodontics in paediatric patient. The First ESLO Congress. Proceedings and abstracts. Venice 1993. Fujita K. Multilingual-bracket and mushroom archwire technique. Am J Orthod 1982; 82(2):120–140.  -. Cervical traction and Class II elastics were added.  -  . Facial and lateral clinical views after treatment: Note harmonic and balanced occlusion with a corrected midline.  
  • 131.
      Nidoli G,Macchi A, Lazzati M. Migliora l’estetica con l’incollaggio linguale dei brackets. Attualità dent. 1988;4(18). Pedersen E, Andersen K, Melsen B. Tooth displacement analysed on human autopsy material by means of a strain gauge technique. Euro J Orthod 1991;13:65–74. Ronchin M. Tecnica individuale di montaggio indiretto degli attacchi linguali. Ediz. Audiovisive Medical Video. Milano 1991. Siciliani G. Apparecchiature ortodontiche linguali esperienze cliniche. Dental Cadmos, 1988; 18:17–41. Siciliani G, Fassetta F, Mula L. “Problematiche fonetiche nelle apparecchiature ortodontiche ad approccio linguale.” Quaderni di Odontostomatologia, Anno IV:1, 1987. Velo S, Dal Broi G, Piubelli. Lingual technique silent and invisible orthodontics. The First ESLO Congress. Venice 1993.
  • 132.
     The existing closerelationship between maxillofacial surgery and orthodontics allows a precise and complete resolution of most dental and maxillofacial deformities and the overall restoration of a harmonious structural and functional stomathognatic apparatus. In the last few years, the close collaboration of these two disciplines has been further enhanced by the mutual evolutions of the Rigid Internal Fixation (RIF) technique of the maxillofacial surgeon and the lingual technique of orthodontics. By using RIF as a means of surgical retention of the skeletal segments which are mobilized in the treatment of the maxillomandibular malformation, it is not necessary, as in the past, to provide intermaxillary fixation at the end of a surgical operation. This allows the orthodontist to use the lingual technique in the pre- and postoperative treatments of such pathologies. The esthetic requirements of many adult patients are definitively met by such a combined therapy. These esthetic needs are important and should be taken into con- sideration by the doctors involved in their treatment. In the case of presurgical ortho- dontics, such needs can be met by employing the lingual technique in a traditionally rigid method. The lingual brackets are indirectly applied by the employment of transfering masks constructed by means of articulated mounting casts, surgical–orthodontic VTO, and set-up of dental casts (CLASS Method), and then indirectly bonded. The purpose of the presurgical orthodontic therapy with the lingual technique are the same as those using a labial technique—to prepare the dental arches prior to manipulation of the skeletal bases. Therefore, it is necessary to first eliminate as many of the dental–alveolar components of the malocclusion as possible, leaving only the malformed skeletal components to be corrected by the maxillofacial surgery. Orthodontic Operative Protocol The alignment and leveling of the arches will be carried out by initially proceeding with light wild-cat type or .016 TMA, following by stronger archwires (rectangular .016 × .022 SS or .018 × .025 SS). In cases of crowding, the dental extractions will proceed as usual only in cases of real dental–skeletal discrepancy. We should try to position the upper and lower incisors in correct axial relation to the respective skeletal bases (bispinal level and mandibular level) so that at the end of the presurgical prepa- ration, the sagittal discrepancy at the interincisor level corresponds to the sagittal dis- crepancy on the skeletal bases (points A and B). Therefore, the occlusal set-up of the dental casts and the preparation of the transferring masks are of primary importance, both for efficient presurgical orthodontics and for a valid structural and esthetic result.  . The Lingual Technique in Orthognathic Surgery ALESSANDRO SILVESTRI, MD, DDS, ENT
  • 133.
      When expansionof the maxillary arch is needed as part of the presurgical lingual technique, there are two treatment options: 1. If the traverse expansion is accomplished in the presurgical orthodontic phase with a Quad-Helix (QH) or a Rapid Palatal Expansion (RPE) appliance, the  .-  . Frontal and lateral facial views at the beginning of treatment. Note the small esthetic anomalies (midline shift of the chin and long face syndrome).    .-  . Pre-treatment front and laterals views of the occlusion. Note the Class III malocclusion with an anterior open bite and posterior cross-bite caused by a real contraction of the upper arch.   
  • 134.
    The Lingual Techniquein Orthognathic Surgery  impression for the lingual appliance is taken only after this first expansion phase is completed. 2. Surgical expansion can be accomplished together with the repositioning of the maxillary components with an intermaxillary disjunction LeFort I osteotomy technique. In this case, the initial set-up of the dental casts will be for the presurgical, nonexpansion orthodontic phase, and once the orthodontic prepa- ration is completed, a second presurgical set-up will be constructed with which the intermaxillary corrections will be planned. On this set-up, a surgical splint will then be constructed, and this will serve as the guide for the correct reposi- tioning of the skeletal maxillary segments. Surgical Operative Protocol The orthodontist should apply vestibular buttons with an esthetic material (like poly- carbonate, glass, or ceramic) just prior to the surgery to offer the surgeon an anchor during the operation. They should be symmetrically positioned on both sides of the arch on the canines, first premolars and central incisors. As well as offering the neces-  .-. Lower lingual appliance (Ormco, generation #7). .016 TMA archwire with vertical loop to obtain the rotation of the right lower cuspid.  .-. Quad-Helix in the maxillary arch for bilateral expansion.  .-. Upper lingual appliance (Ormco, generation #7) .016 TMA archwire.
  • 135.
      sary intermaxillaryanchorage in the operating room, it will also allow, in the postsur- gical phase, the possibility of applying intermaxillary elastics, which are normally used for the neuromuscular rehabilitation, to optimize the dental intercuspation. In case of maxillary surgical expansion as with labial orthodontics, the lingual orthodontic patient will be surgically treated via two upper sectional arches to facilitate the inter- maxillary disjunction and the repositioning of the two skeletal segments so that it is not necessary for the surgeon to section the orthodontic arch. The occlusal splint can be removed quickly after the operation or, at the latest, 7 to 10 days postsurgically. At this time, a continuous archwire should be applied in the place of two upper sectional arches to stabilize the maxillary arch. Rigid internal fixation with the use of plates and screws eliminates the need for postsurgical intermaxillary blockage.  .-. Facebow registration before the surgery.  .-. Set-up VTO cast models before the surgery.
  • 136.
    The Lingual Techniquein Orthognathic Surgery  Some surgeons still use postsurgical intermaxillary blockage, which does not allow postoperative examination of the site nor the proper hygiene of the lingual orthodon- tic appliance, causing great inconvenience to the patient who is already inconvenienced by the blockage itself. Therefore, the lingual orthodontic technique is indicated only in cases when the surgeon uses rigid internal fixation. Case Presentation A 28-year-old female presented with very slight esthetic problems including profile alterations (Figures 12.1–1a and b). Her occlusal and radiographic findings revealed a Class III malocclusion, an anterior open bite, upper dental crowding, and a posterior bilateral cross-bite (Figures 12.1–2a to c). The presurgical orthodontic lingual treatment plan included alignment of the lower arch with a lingual appliance (Figure 12.1–3). The upper arch was expanded with Quad-Helix (Figure 12.1–4). Alignment and leveling of the arch were completed with the lingual appliance (Figure 12.1–5). Facebow registration and set-up VTO models were prepared before the surgery (Figures 12.1–6a and b). Ceramic brackets  .-. Front view of the occlusion before surgery with the esthetic labial brackets.  .-. Lateral cephalometric radiograph. Plates and screws for the RIF are visible.
  • 137.
      were bondedtwo days before the surgery (Figure 12.1–7). The maxillofacial surgery has anticipated in the maxilla a LeFort-I osteotomy with impaction of 4 mm in the posterior region and 1.5 mm in the anterior region. In the mandible, a bilateral sagit- tal osteotomy was performed with a counterclockwise rotation of the mandible. Surgical retention was gained by RIF (Figure 12.1–8). The surgery was followed by an orthodontic phase of neuromuscular rehabilita- tion and the perfection of the occlusion (Figures 12.1–9a to d).  .-  . Post-treatment views of the occlusion. Note the Class I occlusion, correct sagittal and vertical relationships, and nice smile line.    .-  . Front and lateral facial views at the end of treatment. Note the shorter face and pleasant profile.  
  • 138.
     Surgical Rapid MaxillaryExpansion (RPE) is a procedure relatively well known to orthodontists and oral surgeons alike. Its purpose is to help achieve maxillary expansion in adult cases. Some of the advantages of this technique are less morbidity than in complete LeFort procedures; it can be done as an outpatient procedure; a midpalatal incision is avoided; and a fixed expansion appliance (Hyrax) can be placed prior to surgery. Surgical RPE is also less costly, and patient recuperation time is reduced. In lingual orthodontic treatments, a different protocol should be used since both the RPE and the orthodontic appliance are bonded on the same side of the teeth. Case Report A 27-year-old male presented with dental and skeletal Class III malocclusion with anterior open bite, maxillary transverse and antero-posterior deficiency, bilateral poste- rior and anterior cross-bite and mandibular crowding (Figure 12.2–1). Since the mandibular position was good and did not reflect the severity of the Class III dental occlusion, a more conservative approach which involved surgical RPE was considered. Impressions for lingual appliances were taken, and immediately after bonding of the lingual brackets another impression was taken and the Hyrax RPE appliance was bonded (Figure 12.2–2). After adequate consultation, the patient was referred to the oral surgeon (Dr. Stephen Nahigian) and the surgery was performed under light anes-  . Orthodontic-Surgical RPE Camouflage on an Orthognathic Case MARIO E. PAZ, DDS, MS  .-. Frontal view before treatment: Note the open bite and anterior and bilateral posterior cross-bites.
  • 139.
      thesia supplementedby a local anesthetic nerve block. An incision was made in the height of the buccal vestibule from the mesial aspect of the first molar to the distal aspect of the canine (Figure 12.2–3). The lateral maxillary wall was exposed by mucoperiosteal elevation from the piriform anteriorly across the zygomatic maxillary buttress, then posterior to the pterygomaxillary fissure via a subperiosteal tunneling technique. A fissure bur was used to effect an osteotomy approximately 5 mm above the apices of the teeth from the piriform rim to the zygomatic maxillary buttress, end- ing just anterior to the pterygoid fissure. Special care should be taken at the anterior aspect of the osteotomy to avoid tearing of the nasal mucoperiosteum by using a freer elevator as a tissue guard. Prophylactic antibiotics, nasal decongestants, and analgesics were prescribed. The appliance was activated four turns (1 mm) at the time of surgery to absorb some of the elastic properties of the appliance. On the third postoperative day, the patient was instructed to activate one turn in the morning and then one turn in the  .-. Occlusal view during treatment: the lingual appli- ance from cuspid to cuspid, and Hyrax is attached to the first bicuspids and molars along with the posterior segmental labial appliance.  .-. Initial laser dissection with exposure of maxillary wall.  .-  . One week postoperative expansion: clinical and radiographic view.  
  • 140.
    Orthodontic-Surgical RPE Camouflageon an Orthognathic Case  evening, until adequate expansion had been achieved (Figures 12.2–4a and b). The appliance was left in place for 12 weeks in a passive position. At this time routine orthodontic procedures can be initiated or continued. If needed, extraction of the bicuspids can be made at the same time as the surgical RPE. Results showed a marked cosmetic and functional improvement in the dental occlusion and smile line (Figure 12.2–5). The cross-bites, open bite, and crowding were improved, and the profile was maintained. (The cosmetic restorative treatment was done by Dr. Soheil Goel.) A double jaw orthognathic surgical procedure could have achieved a similar, or better, result but would have also increased morbidity and financial costs. Surgical RPE can be considered a safe, simple, and reliable procedure for achieving a perma- nent increase in skeletal maxillary width in adult patients. Bibliography Basdra EK, Zoller JE, Komposch G. Surgically assisted rapid palatal expansion. JCO 1995; 29:762–766. Glassman AS, Nahigian SJ, et al. Conservative surgical orthodontic rapid palatal expansion: sixteen cases. Am J Orthod 1984;86:207–213. Isaacson RJ, Murphy TD. Some effects of rapid maxillary expansion in cleft lip and palate patients. Angle Orthod 1964;34:143–154. Isaacson RJ, et al. Forces produced by rapid maxillary expansion. Angle Orthod 1969;34:256–269.  .-. Frontal view after treatment. Note the harmonic and esthetic occlusion.
  • 141.
     Prosthetic orthodontics, orthodontictreatment that is usually done in prosthetic cases, has many advantages. Treatment is usually very short, retention is permanent via the fixed prosthesis, and it is another important source of patients. The lingual appliance has an advantage in prosthetic patients because they are usually adults who do not wish to have any visible labial appliances. However, the high cost of the treatment and the speech difficulties that arise in certain stages of the lingual treatment are some- times crucial disadvantages of the lingual appliance therapy in those patients. Segmental lingual preprosthetic orthodontics can overcome these disadvantages. Good esthetics is achieved with the lingual brackets, the cost of a segmental treatment is lower compared to a full treatment, and it is more comfortable for the patient with fewer speech problems. Small orthodontic problems can be solved easily and quickly with the segmental technique. Some of the most frequent problems that the prostho- dontists ask the orthodontists to treat, and which can be easily solved with segmented lingual appliance are: 1. Uprighting of molars with space closure (Figure 13.1–1) or with space opening (Figure 13.1–2). 2. Forced eruption (Figures 13.1–3a and b). 3. Lingual or buccal cross-bites (Figure 13.1–4). 4. Teeth rotations (Figure 13.1–5).  . Segmental Lingual Orthodontics in Multidisciplinary Cases PABLO A. ECHARRI, DDS  .-. Uprighting of a mesially tipped molar with space closure.  .-. Uprighting of a mesially tipped molar with space opening. 1'' ARCO
  • 142.
      Transpalatal barsand temporary bridges are used to enhance anchorage. When a forced eruption of an upper anterior incisor is done, a temporary crown will improve the appearance during the treatment. Composite coverage of exposed metal will do the same (Figures 13.1–6a and b). Small indirect bonding transfers are made the same way as in full arch bonding (Figure 13.1–7). A small vacuform retainer is made at the end of the minor teeth movement, on the day of debonding, to facilitate the subse- quent prosthetic treatment (Figure 13.1–8). The design of the fixed retainer is made by all the experts that are involved in the case, including the orthodontist, perio- dontist, and prosthodontist. Lingual bonded retainers, fixed bridges, and implants are used to retain the orthodontic results. Bonded porcelain veneers can also be used when deep-bite malocclusions are treated (Figures 13.1–9a and b). The keys for a successful segmental lingual preprosthetic treatment are: 1. the anomaly affecting only a single tooth or a small, isolated group of teeth 2. only simple tooth movements required 3. the use of indirect bonding of brackets to the teeth 4. immediate retention with a clear vacuform retainer.  .-  . Anterior incisor forced eruption. Note the temporary crown to enhance esthetics.    .-. Molar cross-bite treated with transpalatal bar and segmental lingual brackets for anchorage.  .-. Rotation of cuspids. Anchorage is gained by posterior temporary bridges.
  • 143.
    Segmental Lingual Orthodonticsin Multidisciplinary Cases  The short treatment time, good esthetics, and low cost make the segmental lingual preprosthetic treatment an excellent option for the lingual orthodontist.  .-  . Esthetic coverage of metal band with composite material.  .-. Indirect bonding transfer tray.  .-. Vacuform retainer used on the day of debonding.    .-  . Bonded porcelain veneers used to retain deep bite malocclusion treatment.  
  • 144.
      Bibliography Burgos G,Moreu J. Ignacio Garcia Espona Alargamiento coronario vs. erupcion forzada. Archivos de Odonto Estomatologia 1995;11:509–515. Echarri LP. Syllabus de ortodoncia: Biomecnica 2, Aparatologa Fija. 4th Ed. Badalona, Espana: Ed. Ladent SL, 1995:9–21,30–35,47–49. Gollner P, Bantleon H-P, Ingervall B. Force delivery from a transpalatal arch for the correction of unilateral first molar cross bite. European J Orthod 1993;15:411–420. Marcotte MR. Biomechanics in orthodontics, Spanish version. Burlington, Ontario: BC Decker, 1992:1–44,127–152. Proffit WR, Fields HW Jr., Ackerman JL, et al. Contemporary orthodontics. St. Louis, Missouri: CV Mosby, 1986:472–518.
  • 145.
     Most lingual orthodonticpatients have greater demands and expectations than do labial orthodontic patients since they are usually adults, esthetics is sometimes a crucial factor in their profession (models, TV performers, etc.), very few orthodontists practice lingual orthodontics, and the price is much higher. Even those who can easily afford it, want to receive more than the usual patient. Good esthetics and normal function are two goals to consider, not only at the end of treatment but also during the treatment course, especially in type A personality patients (Sinclair, 1986). Esthetic demands during treatment include preservation of arch integrity, no opening of space, and no unesthetic auxiliaries. Normal function during the treatment includes minimal speech disturbances and elimination of pain. Many of these aspects have been previously discussed, and the protocol of treat- ment has been accepted worldwide. Still, on occasion, improvisations and changes need to be made to the usual protocol because of unexpected patient reactions. Speech problems are of primary concern, especially during the first month or two. Support of the patients during this uneasy initial period is imperative to encourage them and to evaluate the adaptation and adjustment period. Case Presentation The following case presents an alternative orthodontic–prosthodontic treatment. A 26-year-old male TV performer and singer presented with skeletal and dental Class I malocclusion with deep bite and increased overjet. He was complaining of an unes- thetic appearance due to rotated upper cuspids and to spaces that were left after the previous extraction of retained deciduous upper cuspids (Figures 13.2–1a to c). The initial treatment plan consisted of opening the bite, rotating the cuspids, and retracting the anterior segment en masse. The treatment included an upper lingual appliance, Ormco Kurz (generation #7), bonded to teeth 7-7 in the upper arch only. The patient was sent to a myofunctional therapist before and immediately after plac- ing the appliance to help him adjust to the appliance and attempt to compensate for his anticipated speech difficulties. Although most of his speech disturbances completely disappeared, only 4 weeks after the appliance bonding and after several meetings, the patient insisted on stop- ping the treatment and debonding the appliance because he could not perform on stage as before.  . Combined Orthodontic- Prosthetic Treatment of Malpositioned Anterior Teeth RAFI ROMANO, DMD, MSc, AND NITZAN BICHACHO, DMD
  • 146.
      Eventually, hewas convinced to debond only four of the anterior brackets (2-2), and, fortunately, this improved his reaction. The treatment plan was changed to accommodate the new circumstances. A combined orthodontic–prosthetic solution was suggested because space closure by retraction of the anterior segment and overjet closure was now excluded due to the anterior bracket removal. The new immediate treatment plan was to orthodontically retract the cuspids distally and at the same time to prosthetically restore the spaces that would now open between the cuspids and the lateral incisors. The use of a hybrid composite resin to close the spaces would allow periodic adjustments during ortho- dontic movement to maintain normal and esthetic function.  .-  . At initial orthodontic examination: frontal and lateral views. Note the unesthetic space between the cuspid and first premolar, and the rotated cuspid.     .-. Occlusal maxillary view: lingual Ormco brackets, segmental technique.
  • 147.
    Combined Orthodontic-Prosthetic Treatmentof Malpositioned Anterior Teeth  The final treatment plan was to bring the cuspids to their optimal position with no rotation and with minimal spaces from them to the lateral incisors and to the premolars. Porcelain laminates would then be made for the cuspids and first premolars to fill the proximal spaces. Porcelain laminates were chosen because they would pro- vide a stable and long lasting esthetic solution while conserving tooth structure. A segmental technique was used to retract the cuspids, and the lingual buttons that were bonded on the cuspids were replaced with Kurz-Ormco lingual brackets as soon as enough retraction was accomplished to enable single-tooth indirect bonding (Figure 13.2–2). Because the retraction of the cuspids caused an unesthetic appearance after 3 months of treatment (Figures 13.2–3a and b), the patient was referred to the prosthodontist to close the spaces temporarily. Since the tooth rotation was not yet fully corrected, large spaces were evident in the interdental papillae areas. Using a hybrid composite resin (Prodigy, Kerr, Glendora, CA), the distocervical surfaces of the lateral incisors were widened (Figures 13.2–4a and b). The mesial surfaces of the cus- pids were augmented with the resin to create rotation illusion in a distobuccal direc- tion and to close the existing spaces, allowing the formation of a healthy interdental papillae. Since most natural cuspids are asymmetrical, this discrepancy between the homological teeth was used to create a natural and balanced asymmetry. Four months later, when the cuspids were orthodontically brought to their final positions, the patient was referred again to the prosthodontist for completion of the treatment.    .-  . Lateral views during treatment. Note the space opening during the cuspid retraction.    .-  . Temporary composite resin restorations: Hybrid composite resin bonded incrementally to the distocervical surfaces of the lateral incisors, and mesial aspects of the canine.
  • 148.
      Upon completionof the orthodontic treatment, spaces existed between the first premolars and the cuspids and between the cuspids and lateral incisors. It was decided to close these spaces permanently, by changing the contours of the first premolars and cuspids. The treatment of choice was bonding of porcelain laminate veneers, in order to conserve tooth structure and obtain excellent long-term stability (Figures 13.2–5a to e). A 1-mm-thick vacuformed retainer was provided for retention at night. The overall treatment time was 8 months, a comparatively short time. The patient’s main problem was fully solved, and his appearance was maintained during all stages of the treatment.  .-  . Porcelain laminate veneers fabrication stages: (a) Diagnostic wax-up on plaster model. (b) Provisional composite resin laminates. (c-e) At the end of treatment: single porcelain veneers, frontal and lateral views. Note the harmonic and esthetic occlusion.     
  • 149.
     A functional andesthetic occlusion is the ultimate goal of every orthodontic treatment. There are many methods used by orthodontists and prosthodontists to evaluate the functional occlusion during and after orthodontic treatment. An evaluation is usually based on the mandibular position and the border jaw movements. Functions to be evaluated are chewing, swallowing, speech, and facial expressions. These functions do not use border jaw movements. In order to examine the real functional movement, the mandibular movement is recorded during chewing and speech by using the Sirognathograph Analyzing System (SGG/AS), a device developed by Prof. Takao Maruyama of Osaka University in Japan, which tracks and analyzes the jaw movements (Figure 14–1). Sirognathograph Analyzing System A magnet is attached to the patient’s lower central incisors (Figure 14–2), and an antenna is placed on the patient’s head (Figure 14–3). When the patient chews gum, the movements of the magnet are displayed on a computer screen. Figure 14–4 shows normal chewing patterns which appear in the SGG/AS when chewing on the left side. The blue line indicates the opening path and the red line indicates the closing path, and both paths are convex. The peak of velocity is generally within the first one-third of the opening path and the first one-third of the closing path.   Lingual Orthodontics: Esthetics and Function CHIORI HASHIBA, DDS, PhD  -. The Sirognathograph Analyzing System (SGG/AS).
  • 150.
      Each speciesof mammal has a distinct, inherent chewing movement (Figure 14–5). Humans have two chewing patterns; chopping and grinding (Figure 14–6). These chewing movements are controlled by the “pattern generator,” a grouping of cells believed to exist in the brainstem and controlled by the central nervous system (CNS). On the other hand, the factors that control chewing movement exist in the peripheral nervous system and are influenced by occlusal guidance, TMJ guidance, and mastica- tory muscle guidance. The occlusal guidance may be classified as anteroposterior, lateral, and vertical guidance (Figure 14–7). Case Report A 19-year-old female presented with skeletal Class II malocclusion with severe overjet (Figures 14–8a to c). The patient refused to have orthognathic treatment. A com- promise orthodontic treatment was suggested, and two upper first bicuspids were  -. A magnet is attached to the patient’s lower central incisors.  -. The antenna is placed on the patient’s head.  -. Optimum chewing movement as registered on a computer screen recorded by SGG/AS (by Maruyama). The blue line indicates the opening path and the red line indicates the closing path.
  • 151.
    Lingual Orthodontics: Estheticsand Function  extracted. The post-treatment occlusal results show significant esthetic improvement (Figures 14–9a to c). A close-up view of the lips before and after the treatment (Figures 14–10a and b) and at the serial changes of her overjet (Figures 14–11a to c) show that a balanced profile and corrected morphology were achieved. The sirognathograph analyzing system was used to analyze her chewing patterns when gum was chewed (Figure 14–12). Both chewing patterns, opening and closing, were abnormal in this case, without rhythm and with low velocity. This is a typically poor functional case, even though the occlusion looked good morphologically and border movements were good. In such cases, patients sometimes complain of their poor chewing function and suffer from TMJ pain disorders (TMD). Another successful orthodontic treatment is shown in Figures 14–13a and b. Abnormal chewing patterns were observed here as well (Figure 14–14). Ignoring such abnormal chewing patterns could result in muscle and joint pains.  -. Human chewing patterns (by Maruyama).  -. Chewing patterns of different mammals (by Maruyama). Cat2 Treeshrew3 Camel10 Rat9 Goat11 2P A 6 3 4 1 5 5 2 3 4 1 6 Giant forest hog8 Rhesus monkey6 Man Spider monkey3 Little brown bat4 Squirrel monkey3 Galago3 Pig7 Opossum1
  • 152.
     - . At initial orthodontic examination: frontal and lateral views. Note the open bite, crowding, and enlarged overjet.      Muscles and the TMJ will both be affected when a dysfunctional occlusion is not properly treated. Every masticatory muscle comprises a closing muscle and an opening muscle and each of them has two functions, yielding protrusive and retrusive forces. An abnormal protrusive shift will cause pain and spasm in the lateral pterygoid muscle; if this continues, the articular disk may be dislocated and cause TMJ dysfunction.  -. Occlusal guidance of chewing movement (by Maruyama). Anteroposterior guidance Lateral guidance Vertical guidance
  • 153.
    Lingual Orthodontics: Estheticsand Function  An articulator called a Palculator is used for checking movements when poor occlusion exists (Figure 14–15). Dental casts can be moved freely without limitation on the Palculator and chewing movement can be simulated. In many cases, abnormal  -  . At completion of orthodontic treatment: frontal and lateral views. Note the Class II occlusion.       -  . Close-up view of the lips: (a) Before treatment. (b) After treatment. Note the significant changes in lips closure.
  • 154.
       -.Chewing patterns using sirognathograph analyzing system when gum is chewed.     -  . Serial close-up views of the overjet during treatment. concave opening paths can be caused by premature contact on the nonworking side between the upper and lower second molars (Figure 14–16). When closing paths
  • 155.
    Lingual Orthodontics: Estheticsand Function  show a concave closing pattern instead of a convex pattern, by using the Palculator, one can recognize the abnormal contact on the nonworking side (Figure 14–17a). If an abnormal nonworking side contact on the second molars exists during opening, opening chewing patterns will be concave to avoid premature contact. This is due to the sensitivity of the periodontium to the abnormal direction of chewing pressure. When chewing on the working side, the opening path is normal, but the closing path is concave (Figure 14–17b). It is caused by the interference of the nonworking side in closing. Function should be examined for every patient with the sirognathograph analyzing system before removing the braces to avoid TMJ and occlusal interference symptoms.  -. Abnormal chewing patterns: the red line is the opening path and the blue line is the closing path.  -  . (a) At initial orthodontic examination. (b) At completion of orthodontic treatment. Note the successful treatment.  
  • 156.
       -.The Palculator articulator.  -. Chewing movements can be simulated with the Palculator.  -  . Nonworking side interference: a) Interference side. (b) Normal side. (by Maruyama)   UPPER: Buccally inclined LOWER: Lingualy inclined UPPER: Buccally inclined LOWER: Lingualy inclined Steep Normal Normal Flat Concave opening Concave closingWorking side Nonworking side
  • 157.
     The CustomizedLingual Appliance Set-Up Service (CLASS) System. . . . . . . . . . . .  Scott A. Huge  The Thickness Measurement System with the DALI Program. . . . . . . . . . . . . . . . . .  Didier Fillion  Lingual Treatment with the Bending Art System . . . . . . . . .  Paul-Georg Jost-Brinkmann, Vittorio Cacciafesta, and Friedrich Riemeier SECTION 4 Laboratory Procedures
  • 158.
     The CLASS techniqueoffers a method of lingual bracket placement that takes into account the anatomical discrepancies in the lingual surfaces of the teeth. This is accomplished by first constructing an ideal diagnostic set-up from a duplicate set-up model of the patient’s original malocclusion. This ideal set-up or template is then used as a physical guide to place the lingual brackets in an ideal configuration. The brackets are placed on the diagnostic set-up using composite adhesive, which acts as a spacer between the metal mesh pad and the individual dental surfaces. After the brackets are placed on the ideal diagnostic set-up, they are next transferred back to the malocclusion cast. At this point, transfer trays are fabricated so the brackets can be delivered clinically via the indirect bonding method. Technique 1. Accurate models must be obtained from the patient using a high quality algi- nate or rubber base impression material (Figure 15–1). The models should next be poured in a hard model material such as die stone (Figure 15–2). The models must be extremely accurate for optimum clinical bonding and treat- ment results. Once accurate models are obtained, the clinician completes the prescription sheet which is the specific diagnostic instructions to the laboratory   The Customized Lingual Appliance Set-Up Service (CLASS) System SCOTT A. HUGE  -. Accurate models are obtained from the patient using a high quality alginate or rubber based impression material.  -. The models poured in a hard model material such as die stone.
  • 159.
      (Figures 15–3and 4). Included in this information is a detailed prescription of how the teeth should be reset and what the eventual treatment goals are. Additional information such as overcorrection of individual tooth rotations or post-treatment procedures that are anticipated should also be communicated  -  . The clinician completes the prescription sheet which is the specific diagnostic instructions to the laboratory.  
  • 160.
    The Customized LingualAppliance Set-Up Service (CLASS) System  to the laboratory. The more complete the information provided from the clin- ician to the laboratory technician, the better the results will be. 2. In the laboratory, the doctor’s original models are duplicated. This process is completed using hydrocolloid duplicating material, which provides the most accurate duplicate for the set-up models. The set-up models are poured in orthodontic stone (Figure 15–5) and then dried in the oven (Figure 15–6). 3. The duplicate casts are identified by each individual tooth and sectioned, as illustrated, to fabricate the diagnostic set-up (Figure 15–7). Depending upon the equipment available to the laboratory technician, a combination of hand saws and grinding wheels can be used to section and trim the teeth. 4. The individual teeth are placed on a preformed set-up base which facilitates the overall set-up process (Figure 15–8). The technician then arranges and resets the teeth according to the doctor’s prescription. The technician must coordinate overall arch form, occlusal plane dimensions, anterior tip and torque, spacing considerations, overbite and overjet, and individual dental alignment and rotation (Figure 15–9).  -. The original models are duplicated.  -. The duplicate casts are identified by each individ- ual tooth and sectioned to fabricate the diagnostic set-up.  -. The duplicates are dried in the oven.
  • 161.
      5. Oncethe set-up is completed, it is given a final check by the senior laboratory technician who re-evaluates the doctor’s prescription and the progress set-up (Figure 15–10). 6. A final wax restoration of the gingiva is then completed. The lingual surfaces must then be completely cleaned using a wax solvent to insure the surfaces will adequately reflect the exact dental anatomy of the original models (Figure 15–11). 7. A model release is applied directly to the set-up, and the set-up is dried in an oven at approximately 100 degrees F for 1 hour (Figure 15–12). The applica- tion of this release coat will ensure that the brackets placed with composite will easily separate from the set-up model. 8. The next step is the placement of the lingual brackets on the ideal set-up model. The model is placed in a model holder as illustrated and set with the occlusal plane parallel to a fixed horizontal reference (Figure 15–13). The goal is to establish an ideal vertical plane to which all brackets can be placed and coordinated. Sample lingual brackets are next trial-fitted to individual teeth in sections to ensure that proper heights are established from the anterior, posterior,  -. The final set-up is checked.  -. The lingual surfaces must be completely cleaned using a wax solvent.  -  . Individual teeth are placed on a preformed set-up base. The technician must coordinate overall arch form according to the doctor’s prescription.
  • 162.
    The Customized LingualAppliance Set-Up Service (CLASS) System  and right and left sides. Slight adjustments may be necessary in the overall leveling of the model to ensure a level and coordinated plane for all brackets. 9. The brackets are bonded to the set-up model using a two-part heavy body paste, such as Phase II from Reliance Orthodontic Products or Concise from 3M Dental (Figures 15–14 and 15). Both of these materials provide an excel- lent medium, allowing the technician to seat the brackets in small groups of 2 or 3 with sufficient working time to place and fine tune the final position of the brackets. The brackets are set to the model using an ideal template blade made of .018 or .022 stainless steel (Figure 15–16). With this system, the brackets fit in the blade which simulates the final archwire. Since the blade is fabricated in an ideal anterior arc, the technician can move the brackets along the arc to center them perfectly on each tooth in the set-up. 10. Once the anterior brackets are placed (Figure 15–17), the posterior brackets are set using the same overall technique (Figure 15–18). Straight-line blades are used in the bicuspids and molars to place the brackets and ensure a straight alignment in these sections while maintaining the uniform vertical plane of all the brackets. As each bracket position is finalized, the excess adhesive is  -. Phase II from Reliance Orthodontic Products.  -. The adhesion is applied to the mesh pads on each bracket.  -. The set-up is dried in an oven at approximately 100 degrees F. for 1 hour.  -. The model is placed in a model holder and set with the occlusal plane parallel to a fixed horizontal reference.
  • 163.
      trimmed fromthe edges using a dental explorer as shown (Figure 15–19). Care taken with this step will save considerable time later in the process in cleaning the excessive adhesive from the bracket edges. 11. A one-to-one photographic copy is made using a camera or a copying machine (Figure 15–20). This occlusal recorder will serve as a guide to fabricate the  -. An ideal template blade is made of .018 or .022 stainless steel.  -. The anterior brackets are placed.  -. A photocopy is made using a camera or a copying machine.  -. Acrylic caps are constructed.  -. The posterior brackets are set.  -. Excess adhesive is trimmed from the edges using a dental explorer.
  • 164.
    The Customized LingualAppliance Set-Up Service (CLASS) System  ideal arch template. This template will provide the clinician a way to measure and bend the archwires. 12. The next laboratory step in the sequence is to transfer the brackets from the ideal set-up back to the malocclusion. There are several methods to accom- plish this goal. The system used here employs acrylic caps on each tooth (Figure 15–21). A small strip of light-cured acrylic is cut and laid over the top of each bracket and indexed to the incisal or occlusal surface of each tooth (Figures 15–22 and 23). These caps are easily cured using a hand-held bond- ing light or light chamber. This can be done quickly with great accuracy. Each bracket is then easily removed from the set-up tooth and transferred to its individual duplicate on the malocclusion model (Figures 15–24 and 25). The custom composite base formed in the bracket-placing stage serves as the guide to ensure the bracket orientation back on the malocclusion model. At this point the brackets are secured to the malocclusion model using a water soluble adhesive (Figures 15–26 and 27). 13. The cast is then placed in a warm oven for approximately 1 hour to make sure the transfer adhesive has fully set. At this point the acrylic caps can easily be removed by first holding the bracket in place with a spatula and lightly prying the transferring caps away.  -  . Each bracket is easily removed from the set-up tooth and transferred to its individual duplicate on the malocclusion model.  -  . A small strip of light-cured acrylic is cut and laid over the top of each bracket.
  • 165.
      14. Themalocclusion models with the transferred brackets are next placed back on the copying machine for a second occlusal record (Figure 15–28). This copy will act as the initial guide to help the clinician fabricate the first series of lingual archwires. 15. Transfer trays are now made on the malocclusion cast. At the present time the recommended transfer tray technique is a two-tray system processed on the Biostar machine. The inner tray is a 1.5 mm Bioplast and the outer tray is a 1.0 Biocryl. This combination gives the best overall clinical results. The clin- ician should first seat the Bioplast tray and bend it as needed to gain initial placement (Figure 15–29). Once each flexible section is seated, the hard acrylic tray is immediately placed over it and pressure is applied to bring the adhesive and dental surfaces into complete contact. In addition, the trays are sectioned in two or three pieces per arch to allow the clinician complete control over the clinical bonding process (Figures 15–30 and 31). The specific fabrica- tion technique is detailed in the next several steps. 16. The first step in tray fabrication is model preparation. Any deep interproximal areas or potential defects in the model must be blocked out. An ideal material is a light-cured gel applied with a wax spatula. This material is easily moldable and quickly cured with the light to minimize the laboratory time required. 17. The lingual ball hooks must then be blocked out. In this technique, an injectable silicone is used in a plastic syringe (Figure 15–32). This allows the  -  . Brackets are secured to the malocclusion model using a water soluble adhesive.  -. The clinician can bend the Bioplast tray as needed to gain initial placement.  -. A copying machine is used to make a second occlusal record.
  • 166.
    The Customized LingualAppliance Set-Up Service (CLASS) System  technician to easily control the flow of the material so as to not block out too much of the bracket undercut and at the same time to ensure that the brackets will release from the bonding trays. 18. Overall model release is then painted on the surfaces of the cast. This will ensure that the Biostar trim releases from the construction model (Figure 15–33). 19. The model is then placed in a Biostar unit where the first 1.5 mm Bioplast tray is formed. The technician should follow the general use instructions supplied by Great Lakes Products in using the Biostar (Figure 15–34). 20. The cast is removed from the Biostar and the excess peripheral Bioplast material trimmed using scissors. The tray is not removed from the laboratory model at this stage; just the excess material is removed in preparation for the hard tray process. 21. The 1.5 mm Biocryl tray is next formed after the cast is reseated in the Biostar unit. A light coat of spray silicone must be applied prior to forming the outer tray so the two trays will release. The Biocryl tray is formed again using stan- dard Biostar procedures. 22. The trays are then removed from the model by first soaking the cast in warm water for approximately 30 minutes. This will help release the brackets from the construction cast (Figure 15–35).  -. Injectable silicone is used in a plastic syringe.  -  . Trays are sectioned in two or three pieces per arch.
  • 167.
      23. Thetrays are then cut and sectioned using a high-speed handpiece. A small diamond wheel is the ideal tool to trim the edges of the trays. A sharp knife can also be heated over a laboratory flame and used to section the soft Bioplast inner trays. 24. With the tray fabrication now completed, the trays are placed in the ultrasonic with warm soapy water to remove any excess residue from the material and composite bases. After this initial cleaning, the composite bases should be lightly abraded using a microedger (Figure 15–36). This will remove any stone residue from the composite as well as prepare the adhesive for optimum bond- ing. The trays are returned to the ultrasonic where they are cleaned in plain water for 1 to 2 minutes. 25. The trays should be labeled and placed in a clean, sealed, plastic bag where they will remain until the patient’s bonding appointment. 26. Depending upon the clinicians preference, an optional laboratory step is fabri- cation of the lingual archwires. This utilizes the templates made from the ideal set-up and malocclusion photographs (Figures 15–37 and 38).  -. Model release is painted on the surfaces of the cast.  -. Biostar machine.  -. The trays are removed from the model by soaking the cast in warm water for approximately 30 minutes.  -. The bracket braces are abraded using a microetcher.
  • 168.
    The Customized LingualAppliance Set-Up Service (CLASS) System  An acetate sheet is placed over these templates and an ideal arch template traced from the record of the brackets on the ideal diagnostic set-up. This template is then compared to the bracket position on the malocclusion model which will show the exact position of the offsets that are necessary, distal to the canines. The technician can then estimate the amount of wire required in the anterior arch from the beginning wire, such as a .0175 Respond, up through the stages of treatment where heavier wires will be required (Figure 15–39). The final heavy finishing wire should approximate the ideal arch template made from the diagnostic set-up template, as this record reflects the brackets in their final ideal alignment. Summary The overall CLASS lingual technique demands maximum accuracy from the original models and instructions provided by the clinician. In addition, the laboratory techni- cian must have a complete understanding of dental anatomy, set-up techniques and goals, and overall bracketing positioning. Tremendous attention to detail must be exercised at all steps to avoid inaccuracies in bracket placement and consequent less- than-ideal clinical results.  -  . Templates are made from the ideal set-up and malocclusion photographs.  -. Wires required from the beginning wire through the successive stages of treatment.
  • 169.
     Considering the difficultyof access and the irregularity and variability of lingual tooth morphology, lingual orthodontics could only develop with the indirect bonding tech- nique, which allows us to control bracket placement at the laboratory. Nevertheless, this indirect technique requires a precise transfer procedure of the brackets in order to clin- ically bond them in the exact position which has been set at the laboratory stage. Here, we will show an indirect bonding technique that we have been using for the last 10 years with great success. We have been able to take many different kinds of malocclusions and achieve the same excellent results as those obtained with labial orthodontics. This technique has been developed by taking into account the advantages and pit- falls of the TARG (Torque Angulation Reference Guide), an apparatus developed by Ormco in 1984 for lingual bracket bonding (Figure 16–1). 1. The TARG The TARG, despite the anatomic variations of the lingual tooth surfaces, permits us to bond brackets in the laboratory at an accurate distance from the occlusal edge of each tooth with respect to a horizontal occlusal plane. The tooth orientation is made with a gauge or torque blade. The model is tipped on the swivel base until the long axis of the labial face of the tooth aligns with the specific gauge curvature at the middle third of the tooth (Figures 16–2a and b). This orientation allows us to preprogram torque and angulation (tip) before start- ing the treatment.   The Thickness Measurement System with the DALI Program DIDIER FILLION, DDS  -. The TARG developed by Ormco.
  • 170.
      After theTARG horizontal blade is engaged into the bracket slot, it is moved toward the varnished plaster at the bonding level determined by the laboratory tech- nician with respect to the function of the teeth and the anatomy of the periodontium (Figure 16–3). The bracket is bonded to the plaster with a filled resin, which allows the gap between the lingual tooth surface and the metal base of the bracket to be completely filled (Figures 16–4a to c). A new resin base which accurately follows the lingual anatomy of each tooth is therefore integrated to each bracket. Once all the brackets are bonded to the model, a transfer tray is fabricated. Using only one unique malocclusion model, the TARG permits achieving a virtual set-up without the need to cut the teeth and mount them on wax. It is an accurate and quantified two-dimensional system. The torque, angulation (tip), and height measurements are registered by the technician. Nevertheless, we have found that a correct alignment can only be obtained by adding a great number of first-order bends, because the TARG does not take into account the labiolingual thickness of the teeth. In Figure 16–5, one can note that not only does distance B (the distance between the bottom of the bracket slot and the labial tooth surface) vary for each tooth according to the height level of bonding but also that it varies according to the tooth type despite the fact that all the brackets are manufactured with specific, variable thicknesses.  -. The long axis of the labial face aligns with the curvature of the specific gauge.  -. The gauge or torque blade orientates the tooth in its final position.  -. The technician determines the ideal bonding level.
  • 171.
    The Thickness MeasurementSystem with the DALI Program  2. Fillion’s Lingual Indirect Bonding System The system that we developed in 1987 is essentially composed of two elements—a Thickness Measurement System (adapted for the TARG) and the DALI program (Figure 16–6).  -. The bracket is moved toward the plaster.  -. The gap is filled with macrofilled resin.  -. The prebonded bracket with its resin pad.  -. Distance B varies according to the level of bonding (distance A) and tooth type.  -. The TARG with the Thickness Measurement System.
  • 172.
      A. THICKNESSMEASUREMENT SYSTEM Since the TARG is unable to compensate for the unequal distances between the bracket slots and the labial tooth surface, we added a caliper (MITUTOYO) to the TARG central axis and modified it to present two horizontal blades. One is engaged into the bracket slot, and the other one is applied to the labial tooth surface (Figures 16–7a and b). For a selected height bonding level, the Thickness Measurement System records the thickness B (the width of the teeth with bracket) of the six anterior teeth. The greatest thickness is chosen as the standard thickness. The macrofilled resin is applied to the bracket base; then the bracket, placed on the blade, is moved toward the plaster until the selected thickness measurement appears on the screen. The resin excesses, even on the gingival margins, are removed before polymerization (Figures 16–8a and b). By this technique, we achieve a thickness standardization while the brackets are each supported on resin pads of different thicknesses. For bicuspids and molars, the thicknesses are standardized in the same way (Figure 16–9). The concept is simple because it eliminates the necessity to prepare a set-up, and the bonding is performed directly on the malocclusion model. The technique is accurate since there is neither duplication nor transfer from one model to another.  -. The two blades of the Thickness Measurement System.  -. The selected thickness appears on the screen.  -. The gap is filled with resin.  -. The resin excesses are removed before polymerization.
  • 173.
    The Thickness MeasurementSystem with the DALI Program  Because of the standardization of thickness, this system permits us to avoid all first-order bends, except the ones between the cuspids and bicuspids and between the bicuspids and molars. This considerably reduces chairtime during archwire bending. Because the brackets are directly bonded to the malocclusion model, a copy of the arch form with the brackets on it can be made to help the clinician bend the first archwires of the treatment. Everything is measured and registered: height, angulation (tip), torque, and thick- ness. The concept allows us to quantify all the information and obtain custom-made brackets accurately positioned in the three dimensions of space. The Transfer System The transfer tray allows us to transfer the brackets which have been bonded on the malocclusion model to the patient’s mouth. This tray can be made of different materials, but we use a low-viscosity silicone that does not apply any pressure on the brackets and can guarantee a bracket’s total stability during this stage (Figure 16–10). The low- viscosity silicone is then covered with a high-viscosity silicone. This material with a strength of 90 degrees shore-A because of its great stability, allows us to bond the entire arch at one time without the need to make sections of the tray. This saves a great amount of time during bonding (Figure 16–11). The Bonding Procedure The bonding is performed very rapidly because of the precision and reliability of the laboratory procedure (Figure 16–12), and with unfilled resins only. It is very impor- tant in lingual orthodontics to know that the bonding height is reduced by 13% and that the brackets are placed close to the gingival margin. The unfilled resin excess can be easily removed with dental floss when it is impossible to do so with filled resins in crowding cases. In the mouth, the set-up looks the same as it did at the laboratory stage. The resin pads, perfectly defined in the laboratory, do not present any bonding material excess; therefore, we avoid any deleterious iatrogenic effect on the gingiva (Figures 16–13a and b). Rebonding can be done in two ways: 1. By again using the initial transfer tray. The clinician can reposition the bracket into the transfer tray after sectioning and separating the specific tooth area.  -. Thickness standardization is accomplished by varying the thickness of the resin pad.  -. The brackets are covered by low-viscosity silicone.
  • 174.
      2. Byredoing an individual bonding tray in the laboratory with the same protocol and information determined at the beginning of the treatment (height, torque, angulation, and thickness). A small silicone unitary tray unit is then used. Bracket Placement on Crowded Teeth In a crowding case, the correction of rotations can be obtained in three ways: 1. Centering the bracket on the labiolingual axis of the tooth (Figure 16–14).  -. The transfer tray.  -. The rigidity of the transfer tray allows bonding of the entire arch at one time.  -. Difficulty in engaging the wire in the bracket of a crowded tooth when the bracket is centered on the tooth.  -. In case of crowding, the bracket is decentered or rotated.  -  . After bonding on teeth, we can find back the same resin pads as on the plaster.  
  • 175.
    The Thickness MeasurementSystem with the DALI Program  2. Overcorrecting the bracket position by moving it mesially or distally, with the bracket slot left parallel to the labial tooth surface or by rotating it with respect to the labial tooth surface of the amount equal to the rotation (Figure 16–15). 3. If the dental crowding and the closeness of the adjacent brackets do not allow us to ideally position the bracket at the beginning of the treatment, initially position the bracket at the best fit, and once the rotation is partially corrected, change the position of the bracket. A unitary bonding at the laboratory is therefore needed after the part of the adjacent tooth causing the interference has been removed (Figures 16–16a and b).  -. On the right incisor, the bracket is moved distally for overcorrecting. On the lateral, the bracket is bonded mesially to begin correction of the rotation.  -. Once the rotation is partially corrected, the bracket is centered after the adjacent tooth has been adjusted.
  • 176.
      The versatilityof this system, allowing us to work directly on the malocclusion model, along with an experienced laboratory technician, permits the selection and the use of the most appropriate procedure leading to a fast and efficient tooth realignment.  -  . DALI program: Example of an extraction case: (a) Copy of brackets bonded on the model. (b) Ideal archwire. (c and d) First wire bent with the copy for location and length of the first-order bends and with DALI program for the form of the arch.  -. The ideal (final) archwire shape is obtained by the DALI program.    
  • 177.
    The Thickness MeasurementSystem with the DALI Program  B. THE DALI PROGRAM (DESSIN DEL’ ARC LINGUAL INFORMATISÉ OR COMPUTERIZED DRAWING OF THE LINGUAL ARCHWIRE) From the thickness measurements performed at the laboratory by the technician, from the measurements of the tooth widths, and with the help of a computer, it is possible to obtain a detailed drawing of the ideal lingual archwire, with all the teeth perfectly aligned. The clinician can choose an arch form in function for the initial arch form and a final one that is more ideal for the end of the treatment. On the arch form, the teeth and their brackets take their individual positions from the midpoint of a triangle, which represents the width of the bracket, the width of the tooth, and the distance between the bracket slot and the labial tooth surface. Once all the teeth are represented, the program traces a “best-fit” archwire to the triangles, creating the ideal archwire which will allow a perfect tooth alignment (Figure 16–17). Why is the DALI program irreplaceable and essential? 1. It permits us to obtain an extremely accurate tracing of the finishing archwire, at a 1:1 ratio. 2. It allows us to know with a very high accuracy (with 0.1 mm) the width of the  - ()   . (e and f) Retraction stainless steel wire bent on ideal archwire form. (g and h) Finishing wire. All the wires are bent extraorally.    
  • 178.
      first-order bendsplaced between the cuspids and bicuspids, and between the bicuspids and molars. 3. During treatment, it allows us to know the ideal arch shape needed to achieve a good occlusion, especially in asymmetric cases. 4. It permits us to preform all archwires with great precision, except for the first ones which are bent from the copy of the bonded brackets on the initial model. 5. It is not necessary to coordinate the archwires during treatment because the drawing of the upper and lower archwires are made from the same labial arch curves (Figures 16–18a to h). The DALI program cannot work without the Thickness Measurement System, since it is essential to know the distance between the bracket slot and the labial tooth surface. The TARG, the Thickness Measurement System, and the DALI program form a coherent and interdependent system, with the following advantages: 1) Easy and accurate Use of one single model, no transfer, no set-up, no duplicate; bonding with unfilled resin; no iatrogenic effect on the gingiva; and accurate rebonding with a unitary transfer tray. 2) Reduces chairtime, increases clinical efficiency Equal thickness (teeth and brackets) for the six anterior teeth, bicuspids and molars; decreases first order bends except between cuspid–bicuspid and bicuspid– molar; very accurate measurement of first-order bends; gives the ideal (final) archwire shape; and provides a copy of the model with bonded brackets to bend first archwires. Conclusion We were seeking a simple and efficient laboratory bracket-positioning system. The sys- tem that we have developed answers this need by giving us, with the help of computer science, the essential information needed to treat orthodontic patients more easily, accurately, and successfully, using the lingual technique. To this day, within our exclusive lingual practice, lingual appliances have been placed on more than 4000 arches with this protocol, using one of the European Lingual Orthodontic Service laboratories which use our system. The quality of the obtained results, comparable to the ones achieved with labial orthodontics, shows its reliability for any kind of malocclusions.
  • 179.
     The Bending ArtSystem (BAS) was designed by the Bending Art Medizintechnik in cooperation with the University of Kiel. It is the first CAD/CAM device for ortho- dontic treatment planning and bending of individual archwires. It consists of three components: an intraoral stereoscopic camera, a computer program, and a wire bend- ing unit (Figure 17–1). Thus, it allows individual archwires to be manufactured with first-, second- and third-order bends, which have proven to be very accurate.1 The BAS can be universally used with all edgewise brackets on the buccal or lingual side, irre- spective of their slot-sizes (0.018'' × 0.025'' or 0.022'' × 0.028''). The wire bending unit (Figure 17–2) is able to produce individual archwires auto- matically from straight segments of stainless steel, TMA, and Ni-Ti wires of various dimensions. Treatment planning is carried out directly on the computer monitor. According to the instructions from the orthodontist, the system computes the arch geometry. The required three-dimensional data are supplied by the intraoral stereoscopic CCD camera (Figure 17–3) at the beginning of treatment. To program any wire with the BAS, one must take occlusal scans of the right and left sides of the patient’s jaws with the stereo- scopic camera. These partial scans are later merged by the computer program so that only one occlusal photograph is displayed on the monitor. Before taking the occlusal scans, stainless steel measuring plates, available for 0.018'' or 0.022'' slot size bracket systems, must be inserted into the bracket slots as a precon-   Lingual Treatment with the Bending Art System PAUL-GEORG JOST-BRINKMANN, DMD, PhD, VITTORIO CACCIAFESTA, DDS, AND FRIEDRICH RIEMEIER  -. View of the complete Bending Art System.
  • 180.
      dition tocalculate the three-dimensional position of each individual bracket. This becomes feasible by four reference punch marks, which are identified by a pattern recognition program during the registration process. After exact registration of the bracket position and its confirmation by the user, the occlusal scans of the maxillary and mandibular dental arches are stored by the computer and displayed on the screen to assist treatment planning. The orthodontist then determines, tooth by tooth, the desired three-dimensional tooth position which, in turn, produces the appropriate wire design.2 Therapeutic Concept A characteristic feature of the Bending Art System is that, after registration of all the initial data, the planned result of therapy (treatment target) is designed. Consequently, the treatment is performed in individual steps. Two methods for specification of the treatment target are offered: the ideal arch method and the set-up procedure.  -. The wire bending unit.  -. The intraoral stereoscopic CCD camera.
  • 181.
    Lingual Treatment withthe Bending Art System  The Ideal Arch Method The ideal arch method was adapted to lingual orthodontics from the labial technique. The user selects the basic ideal arch shape which afterwards is automatically adapted to the size of the patient’s dentition and displayed on the monitor in the occlusal view. This arch shape is named “ideal arch” in the computer program. The values for all parameters, including torque, angulation, and rotation, can either come from a select- ed treatment technique (Andrews, Ricketts, Roth, etc.) or be specified individually. Often, the ideal arch does not produce an optimal occlusion. Consequently, additional three-dimensional individualization has to be performed for ideal finishing. This indi- vidualized final archwire is called the target arch. Due to the great variability of the tooth lingual surfaces, this method is not directly applicable to the lingual arch shape. Because of this, a supplementary software, which uses a labial reference arch, has been developed in cooperation with Dr. Didier Fillion. Using the mesiodistal tooth widths and the measured individual labiolingual distances from the lingual bracket slots to the labial surfaces (including bracket base and thickness of adhesive), the system computes reference points on the labial surface of each tooth. These reference points, which correspond to the slot positions of the hypothetical labial brackets, determine the shape of the ideal arch (Figures 17–4 and 5). Designing and bending of all the archwires takes into consideration the thickness of the adhesive layer between the bracket base and the tooth surface. Therefore, the adhesive layer thickness does not play a significant role, in contrast to other techniques like the slot-machine that is based on the Straight Wire technique.3 If the brackets are not bonded according to the Straight Wire concept, specifica- tion of corrective values for torque, angulation, and rotation are required to avoid undesired tooth movements. Consequently, all these compensatory bends are created automatically. For every single tooth, the computer allows editing of its position in the three dimensions of space. Furthermore, since it is very easy to keep the original arch size while changing the position of each individual tooth three-dimensionally, where required, the most immediate advantage of the BAS becomes obvious when used for detailing during the finishing phase of treatment. If further movements are necessary  -. Occlusal view of the passive lingual arch on the monitor of the BAS.  -. Occlusal view of the target arch on the monitor of the BAS.
  • 182.
      at asubsequent appointment, all previous wire characteristics are precisely reproduced with the new ones added. The Set-Up Method For this method, an ideal set-up of the patient’s models is required as a first step. Next, brackets are bonded on the set-up model and the position of the bracket slots is determined with the BAS. An archwire that fits passively into the brackets on the set- up model is then designed. If this wire is inserted into the patient’s mouth as a final archwire, it will produce the same tooth position as on the set-up. The bonding position of each bracket can be deliberately chosen, thus minimizing the patient’s discomfort. Subsequently, the brackets are transferred, one by one, to the working models (representing the original malocclusion) using individual templates. Then, the bracket position is measured again, and the transfer tray for indirect bond- ing is produced. The difference in bracket position between the original and the set- up model represents the amount of movement for each tooth. Although this method is much more time consuming as compared with the ideal arch procedure, it offers considerable advantages such as the exact determination of the situation at the end of treatment (not considering corrective values for bracket placement). Additionally, this work can be more or less completely delegated to the laboratory staff. The arch sequence for every treatment is produced automatically by splitting the difference between the initial and final positions into a number of steps/arches, according to the patient’s needs. During treatment, chairtime is therefore  -  . Intraoral frontal and lateral views of the occlusion before treatment. Note the Class I malocclusion with a large upper central diastema.   
  • 183.
    Lingual Treatment withthe Bending Art System  limited to controlling the patient’s progress and insertion of the archwires, which have been already bent by the system. Treatment Planning There is no difference between the labial and the lingual approach in planning the orthodontic treatment. This is determined by the following factors: 1. Number of archwires. The number of archwires to be used is defined by the orthodontist. However, it can be modified during treatment, as needed. 2. Distribution of tooth movement among the archwires. The required tooth movements can either be distributed proportionally by the system among all the planned archwires, or be modified during treatment according to the patient’s needs. Specifically, that means the orthodontist can program tooth movements from 0% (no movement), if an entirely passive segment is required as anchorage, to 100% (full movement). The system automatically calculates the required mesiodistal sliding distances in order to perform such movements. 3. Wire material. The bending unit works with straight segments of stainless steel, TMA, and Ni-Ti wires of various dimensions. Every wire is exactly shaped as series of consecutive bends according to the geometric data calculat- ed by the computer program. After the bending process, superelastic wires must be heat-treated to keep the bends and torquing permanently as otherwise the archwire will return to its original shape due to the memory effect. 4. Design of the archwires. The BAS is able to produce wires in a great variety of arch shapes. A very valuable feature is the ability of the system to bend completely passive segments and archwires, which are necessary for anchorage purposes when using a segmented arch approach and for patients before they undergo orthognathic surgery. The system enables the orthodontist to correct also the sweep and width of a patient’s arch, when needed. It allows a couple of brackets to be bypassed, for example, to bend utility arches. Another feature of the BAS is the fabrication of loops, which are prebent by the bending unit and need only to be finished by hand.  -  . Occlusal views of the maxilla and the mandible. Note the rotated upper central incisors and spacing in both jaws.  
  • 184.
      Case Report Asthe first case lingually treated with the BAS in our department, a female patient presented with a Class I malocclusion with a large upper central diastema was selected (Figures 17–6a to c). The upper and lower first premolars had been previously extract- ed and the postextraction spaces were still present. The upper central incisors were rotated mesiobucally (Figures 17–7a to b). The set-up BAS method was used to pre- pare lingual bonded brackets. First, an ideal set-up was produced and measuring plates and template-caps were placed for transferring the brackets to the working model (Figure 17–8a). The position of each bracket on the set-up model was measured with the BAS. Next, the brackets were transformed to the malocclusion model (Figure 17–8b). Due to the rotations of teeth 21 and 22, interferences were observed between their measuring plates. BAS scannings were made separately for each tooth. When tooth 21 was scanned, the bracket on tooth 22 was left out. Subsequently, the bracket  -. Maxillary set-up model with bonded brackets, measuring plates, and template-caps for transferring the brackets to the working model.  -. A working model. Brackets were transferred from the set-up with BAS measuring plates.  -. A transfer tray for indirect bonding was prepared, after removing the measuring plates from the bracket slots.
  • 185.
    Lingual Treatment withthe Bending Art System  for 21 was temporarily removed whereas the one for 22 was set, allowing the measure- ment of this tooth in relation to the other brackets already scanned by the BAS. After removing the measuring plates from the bracket slots, a transfer tray for indirect bonding was produced (Figure 17–8c). The template-caps of the brackets were covered with silicone (Memosil, Heraeus Kulzer, Dormagen, FRG). A total of four wires for each jaw were bent for treating this case: two 0.016'' round wires and two 0.016'' stainless steel wires. Each wire was designed by the BAS to carry the teeth 25% further towards their final position, as defined by the set-up. Every 4 weeks, the subsequent archwire was put in (Figures 17–9a to c). The treatment progress was very rapid, as one can see in the sequential views at 2 months (Figures 17–10a and b), 4 months (Figures 17–11a and b), and at the end of treatment, after 5 months (Figures 17–12a and b). Satisfactory final results were achieved within 5 months (Figure 17–13a to c).  -. The upper 0.016 × 0.016 SS archwire, completely passive in relation to the bracket slots on the set-up model, as designed with the BAS.  -  . Occlusal views of the maxillary arch and the mandibular arch: immediately after placing the wires.  
  • 186.
       - . Occlusal views of the upper and lower arches: 2 months in treatment.    -  . Occlusal views of the upper and lower arches: 4 months in treatment.    -  . Occlusal views of the upper and lower arches: 5 months in treatment (end of treatment).  
  • 187.
    Lingual Treatment withthe Bending Art System   -  . Intraoral frontal and lateral views of the occlusion at the end of treatment (after 5 months).    References 1. Fischer-Brandies H, Orthuber W, Pohle L, Sellenrieck D. Biege-und Torsionsgenauigkeit des “Bending Art System” (BAS). Fortschr Kieferorthop 1996;57:16–23. 2. Cacciafesta V, Miethke R-R, Jost-Brinkmann, P-G. Bending Art System: state of the art and first impressions. Kieferorthop 1995;9:247–254. 3. Creekmore T. Lingual orthodontics—its renaissance. Am J Orthod Dentofac Orthop 1989; 96:120–137.
  • 188.
    Bibliography (1970–1997) .. . .  SECTION 5 Appendix
  • 189.
     A Aguirre MJ, KingGJ, Waldron JM. Assessment of bracket placement and bond strength when comparing direct bonding and indirect bonding techniques. Am J Orthod 1982;82:269–276. Aguirre MJ. Indirect bonding for lingual cases. J Clin Orthod 1984;18:565–569. Aknin JJ. Arch forms and D.D.M. Proceedings and Abstracts: First Congress of the European Society of Lingual Orthodontics, Lido di Venezia, June 18–20, 1993. Alexander RG. The Alexander discipline, contemporary concepts and philosophies. In: Angel GA, ed. 1986. Alexander CM, Alexander RG, Gorman JC, et al. Lingual orthodontics: a status report, No. 5, lingual mechanotherapy. J Clin Orthod 1983;17:99–115. Alexander CM, Alexander RG, Sinclair PM. Lingual orthodontics: a status report, part 6, patient and practice management. J Clin Orthod 1983;17:240–246. Alexander CM, et al. Lingual orthodontics: a status report, part 1, J Clin Orthod 1982;16:255–262. Altoinian G. About the set up. Proceedings and Abstracts: First Congress of the European Society of Lingual Orthodontics, Lido di Venezia, June 18–20, 1993. Altounian G. La therapeutique a attaches linguales: une autre approche de l’orthodon- tie. Rev Ortho Dento Facial 1986;29:319–362. Altounian G. Les attaches linguales a insertion horizontale. In: Philippe J, ed. L’or-thodontie de l’adulte. S.I.D. Vanves, 1989:115–180. Artun J. A post treatment evaluation of multibonded lingual appliances in orthodontics. European J Orthod 1987;9:204–210. B Baker RW. The eastman program—a comprehensive approach. Clinical Impressions 1994;3:2–7, 19. Baker RW Jr. The lingual appliance: molar eruption vs incisor depression (Masters thesis). Rochester: Eastman Dental Center, 1987. Behrents RG, Wendt SL, Fox DM, et al. A transillumination technique for lingual bonding. J Clin Orthod 1987;91:324–325. Bibliography (1970–1997)
  • 190.
      Bennet RK.A study of deep overbite correction with lingual orthodontics, (masters thesis). Loma Linda: Loma Linda University, 1988. Berke JB. Lingual orthodontics treatment. J Am Dent Assoc 1989;118:150. Berruto G. Nozioni di linguistica generale linguistici. Ligouri Editore, Napoli, 1987. Bobic R. Case report of the lingual appliance. Clinical Impressions (Orange) 1986; 7:14. Boisseau S, Dhumeaux-Boesles E, Skinaizi G. L’edgewise du futur Orthodontie Francaise 1990;61:T2. Bounoure GM, Salvadori A. Lingual orthodontics—prosthetics. Orthod-Fr 57 pt. 1986;1:51–72, 123–144, 195–216. Breece GL, Nieberg LG. Motivations for adult orthodontic treatment. J Clin Orthod 1986;20:166–171. Burstone CJ. The precision lingual arch: hinge cap attachment. J Clin Orthod 1994; 105:151–158. Burstone CJ. Precision lingual arches. Active applications. J Clin Orthod 1989; 23:101–109. C Cantor RJ. The periodontal effect of the lingual appliance (masters thesis). Rochester: Eastman Dental Center, 1984. Carano A. Lingual orthodontics in patients with TMJ dysfunction. Proceedings and Abstracts: First Congress of the European Society of Lingual Orthodontics, Lido di Venezia, June 18–20, 1993. Chaconas SJ, Caputo AA, Brunetto AR. Force transmission characteristics of lingual appliances. J Clin Orthod 1990;97:36–43. Chumak L, Galil KA, Way DC, et al. An in vitro investigation of lingual bonding. Am J Orthod Dentofac Orthop 1989;95:20–28. Creekmore TD. Precision placement of lingual and labial brackets. J.A.L.O.A. 1988; 1:2,6–8. Creekmore TD. Straightwire limitations: compensations for conceal with the slot machine. Proceedings and Abstracts: First Congress of the European Society of Lingual Orthodontics, Lido di Venezia, June 18–20, 1993. Creekmore T. Lingual orthodontics—its renaissance. Am J Orthod Dentofac Orthop 1989;96:120–137. D Darmon JC. Orthodontie Linguale: Pour ou contre? Inf Dent 1992;74:427–429.
  • 191.
    Bibliography  Demange C,Francois B. Measuring and charting interproximal enamel removal. J Clin Orthod 1990;24:408–412. Diamond M. Critical aspects of lingual bracket placement. J Clin Orthod 1983; 17:688–691. Diamond M. Improved vision and isolation for direct lingual bonding of the upper arch. J Clin Orthod 1984;18:814–815. Diamond M. Lingual orthodontics. NYJ Dent 1988;58:11–15. F Favero L, Tagliapietra S. Lingual orthodontics in pediatric patient. Proceedings and Abstracts: First Congress of the European Society of Lingual Orthodontics, Lido di Venezia, June 18–20, 1993. Fillion D. Orthodontie linguale : réflexions cliniques. Rev Ortho Faciale 1990; 24:475–498. Fillion D. A la recherech de la precision en technique a attaches linguales. Rev Orthop Dento Faciale 1986;20:401–413. Fillion D. The viewpoint of the French Lingual Orthodontics Society. Orthod-Fr, 1992;63:562. Fillion D, Leclerc JF. Lingual orthodontics: why is it progressing? Orthod-Fr, 1991; 62:793–801. Fillion D. Orthodontie linguale: systeme de positionnement des attaches au laboratoire. Orthodontie Francaise 1989;60. Fillion D, Leclerc JF. L’orthodontie invisible: l’orthodontie linguale. Rev Odontostomatol 1989;18:133–152. Fillion D. Orthodontie linguale et mini-plaques: esthetique et confort dans les traitments chirurgico-orthodontiques. Inf Dent 1990;20:1757–1766. Fillion D. Apport de la sculpture amélaire interproximale a l’orthodontie de l’adulte (deuxieme partie). Rev Orthop Dento Faciale 1993;27:189–214. Fillion D. Apport de la sculpture amélaire interproximale a l’orthodontie de l’adulte (premiere partie). Rev Orthop Dento Faciale 1992;26:279–293. Fillion D. Apport de la scuplture amélaire interproximale à l’orthodontie de l’adulte (troisième partie). Rev Orthop Dento Faciale 1993;27:353–367. Fillion D. Lingual orthodontics and miniplates. Esthetics and comfort in surgical orthodontic treatment. Inf Dent 1990;72:1757–1767. Fillion D. Orthodontie linguale: reflexions cliniques. Rev d’ODF 1990;24(4). Fontenelle A. Orthodontie a attaches linguales: une autre approche. Orthod Fr 1986; 57:541–557.
  • 192.
      Fujita K.Brushing method for the lingual-bracket technique with Fujita. J Jpn Orthod Soc 1978;37:41–46. Fujita K. Development of lingual-bracket technique (esthetic and hygienic approach to orthodontic treatment). Journal of the Japan Society for Dental Apparatus and Materials 1978;19:81–94. Fujita K. Development of lingual-bracket technique. J Jpn Orthod Soc 1978; 37:36–39. Fujita K. Multi lingual bracket and mushroom arch wire technique. Am J Orthod 1982;82:120–140. Fujita K. New orthodontic treatment with lingual bracket and mushroom arch wire appliance. Am J Orthod 1979;76:657–675. Fulmer DT, Kuftinec MM. Cephalometric appraisal of patients treated with fixed lin- gual orthodontic appliances: historical review and analysis of cases. Am J Orthod Dentofac Orthop 1989;95:514–520. G Garber S, Speidel M, Seigel G, Miller E. The effects of presentation of noise and den- tal appliances on speech. J Speech Hear Res 1980;23:838–852. Garino GB. Surgical orthodontic treatment with lingual technique on skeletal class III with TMJ dysfunction. Proceedings and Abstracts: First Congress of the European Society of Lingual Orthodontics, Lido di Venezia, June 18–20, 1993. Garland-Parker L. Patient education: an important key to lingual orthodontic treat- ment. J.A.L.O.A. 1988;1:2,13. Garland-Parker L. The complete Lingual Orthodontic Training Manual Professional Orthodontic Consulting, 1991. Garland-Parker L. The lingual challenge. An opportunity for growth and excitement. J.A.L.O.A. 1988;1:3,8. Geiger AM, Gorelick L, Gwinnett A. Bond failure rates of facial and lingual attach- ments. J Clin Orthod 1983;83:165–169. Genone B, Siciliani G. Trattamenti ortodontici a collocazione linguale. Mondo Ortodontico 1984;3:14–27. Genone B. Clinical aspects of the lingual edgewise orthodontic appliances. Proceedings and Abstracts: First Congress of the European Society of Lingual Orthodontics, Lido di Venezia, June 18–20, 1993. Giorgio N. Lingual technique under the biomechanic and aesthetical point of view. Proceedings and Abstracts: First Congress of the European Society of Lingual Orthodontics, Lido di Venezia, June 18–20, 1993. Gorman JC, Kurz C, Dunn RM. Les cles du succes en therapeutique a attaches linguales. Rev D’O.D.F. 1986;20:3.
  • 193.
    Bibliography  Gorman JC.L’appareil lingual. Orthod-Fr 1988;59:915–921. Gorman JC. Treatment with lingual appliances: the alternative for adult patients. Int J Adult Orthod Orthognath Surg 1987;2:131–149. Gorman JC, Kurz C, Smith JR, Dunn RM. Keys to success in lingual therapy—Part 2. J Clin Orthod 1986;89:330–340. Gorman JC, Smith RJ. Comparison of treatment effects with labial and lingual fixed appliances. Am J Orthod Dentofac Orthop 1991;99:202–209. Gorman JC. Dispelling some myths about lingual orthodontics. Is it time you took another look? Clinical Impressions 1993;2:2–5, 16–18. Gorman JC, Hilgers JJ, Smith JR. Lingual orthodontics a status report, part 4: diag- nosis and treatment planning. J Clin Orthod 1983;17:26–35. Gorman JC. Treatment of adults with lingual appliances. Dent Clin North Am 1988; 32:589–620. Gravier P. Orthodontie en technique linguale. Traitement d’une malocclision de classe II division 1 d’ANGLE avec extractions. Th Chir Dent LYON 1992. H Hamlet S, Stone M. Compensatory alveolar consonant production induced by wear- ing a dental prosthesis. J Phon 1978;6:227–248. Hamlet SL. Speech adaptation to dental appliances: theoretical considerations. J Baltimore Coll Dent Surg 1973;28:52–63. Huet AP. Le plateau integre tridimensionnel (P.I.T.). Proceedings and Abstracts: First Congress of the European Society of Lingual Orthodontics, Lido di Venezia, June 18–20, 1993. I Incorvaty C, Spoon M. Post-retention cephalometric evaluation of orthodontic correction after treatment with fixed lingual appliance. Proceedings and Abstracts: First Congress of the European Society of Lingual Orthodontics, Lido di Venezia, June 18–20, 1993. Isaacson RJ, Lindauer SJ, Rubenstein LK. Moments with the edgewise appliance: incisor torque control. Am J Orthod Dentofacial Orthop 1993;103:428–438. J Jyen PK. A lingual Begg lightwire technique. J Clin Orthod 1986;90:786–791. K Kaley J, Philips C. Factors related to root resorption in edgewise practice. Angle Orthod 1991;61:125–132.
  • 194.
      Kazley SM.The effects of lingual appliance treatment on the skeleton, dentition, and TMJ (master thesis). Rochester: Eastman Dental Center, 1984. Kelly VM. Interviews: on lingual orthodontics. J Clin Orthod 1982;17:461–476. Kelly VM. Eclipsing the treatment a history. Proceedings and Abstracts: First Congress of the European Society of Lingual Orthodontics, Lido di Venezia, June 18–20, 1993. King L, Smith RT, Wendt SL, Behrents RG. Bond strengths of lingual orthodontic brackets bonded with light-cured composite resins cured by transillumination. Am J Orthod 1987;91:312–315. Koyata H. Systematic approach for lingual orthodontics in adult. Proceedings and Abstracts: First Congress of the European Society of Lingual Orthodontics, Lido di Venezia, June 18–20, 1993. Kulen O. Maxillary orthopedics by lingual orthodontics. Proceedings and Abstracts: First Congress of the European Society of Lingual Orthodontics, Lido di Venezia, June 18–20, 1993. Kurz C, Bennet R. Scientific report. J Am Ling Orthod Assoc 1988:1(3). Kurz C. Lingual orthodontics. In: Marks M, Corn H, eds. Atlas of adult orthodontics. Philadelphia, London: Lea & Febiger, 1989. Kurz C, Gorman JC. Lingual orthodontics: a status report: part 7A case reports— nonextraction. J Clin Orthod 1983;83:310–321. Kurz C. Keys of treatment. Lingual orthodontics. Course Syllabus, Ormco Corporation, 1989. Kurz C, Swartz ML, Andreiko C. Lingual orthodontics: a status report: part 2: research and development. J Clin Orthod 1982;16:735–740. L Leclerc JF. Story of three clinical cases: infant cases, a severe class I, a 60 year old class III. Proceedings and Abstracts: First Congress of the European Society of Lingual Orthodontics, Lido di Venezia, June 18–20, 1993. Lew KK. Technique clinic customized template for prefabricating initial lingual arch- wires. J Clin Orthod 1993;104:426. Lew KK. Changes in lip contour following treatment maxillary protrusion with esthetic orthodontic appliances. J Esthet Dent 1992;4:16–23. Lew KK. Initial alignment with .008” pulse straightened supreme Wicock wire in lingual orthodontics. Aust Orthod J 1991;12:53–54. M Macchi A. Biomechanic aspects in the upper cuspid retraction. Proceedings and Abstracts: First Congress of the European Society of Lingual Orthodontics, Lido di Venezia, June 18–20, 1993.
  • 195.
    Bibliography  Mariotti J,Subtelny JD, Baker R, Mariotti M. The speech effect of the lingual appli- ance (unpublished report). Ormco, Glendora, CA, 1984. Mariotti J. The speech effect of the lingual appliance (masters thesis). Rochester: Eastman Dental Center, 1983. Matsui M. Brushing method for lingual bracket technique. J.J.O.S. 1978;37:399–403. Moran KL. Technique clinic: effective steel ligation for lingual appliances. J Clin Orthod 1984;18:733. Mori Y, Sakayori M. Severe Cl. II treatment with the lingual-multi system: case-report of extraction treatment. Proceedings and Abstracts: First Congress of the European Society of Lingual Orthodontics, Lido di Venezia, June 18–20, 1993. Muir JC. Lingual orthodontic appliances: invisible braces. N Z Dent J 1991;87:57–59. Muller G, Rossiwall B. Reading time and articulation under masking noise and altered spatial conditions in the oral cavity. Folia Phoniatr 1977;29:233–239. N Navarro CF. Twelve service keys to a successful lingual practice. Dallas, U.S.A. Proceedings and Abstracts: First Congress of the European Society of Lingual Orthodontics, Lido di Venezia, June 18–20, 1993. Newman G. A post-treatment survey of direct bonding of metal brackets. Am J Orthod 1978;74:197–206. Nidoli G, Macchi A, Lazzati M. Migliora l’estetica con l’incollaggio linguale dei brackets. Acttualia Dent 1988;4:12. P Paige SF. A lingual light-wire technique. J Clin Orthod 1982;16:534–544. Parisi BM. A three dimensional view of the lingual appliance (master thesis). Rochester: Eastman Dental Center, 1989. Paz, M.E. Multi-uses of the Ormco lingual appliance, Clinical Impressions 1992; 1(4):6–8, 15. Philippe J, Altounian G, Chabre C. L’orthodontie de l’adulte. SID Ed., Paris, 1989. Pierce JS. The periodontal effect of lingual appliance part II (masters thesis). Rochester: Eastern Dental Center, 1985. Proceedings and Abstracts: First Congress of the European Society of Lingual Orthodontics, Lido di Venezia, June 18–20, 1993. R Ronchin M. Tecnica individuale di montaggio indiretto degli attacchi linguali. Ediz Audiovisive Medical Video, Milano, 1991.
  • 196.
      Ronchin M.Aesthetics with lingual orthodontics: resolving class II malocclusions with molar distalisation. Pract Perio Aesthet Dent 1994;6:51–58. Ronchin M, Oddini Carboni S, Dessi S. Nuovi Orizzonti terapeutici con la biomeccanica linguale. Proceedings of the V Giornate Mediterranee di Odontoiatria, Naples, February 26–28, 1983. Ronchin M. Present horizons and a future outlook on lingual approach: the four- wheel-drive biomechanics. Proceedings and Abstracts: First Congress of the European Society of Lingual Orthodontics, Lido di Venezia, June 18–20, 1993. S Scholz RP, Swartz ML. Lingual orthodontics: a status report, part 3: indirect bond- ing—laboratory and clinical procedures. J Clin Orthod 1982;16:812–820. Siciliani G. Perspective on direct bonding in lingual technique. Proceedings and Abstracts: First Congress of the European Society of Lingual Orthodontics, Lido di Venezia, June 18–20, 1993. Siciliani G. Ortodonzia linguale. Milano, Italy: Masson, 1992. Siciliani G, Fassetta F, Mula L. Problematiche fonetiche nelle apparecchiature orthodontiche ad approccio linguale, Quaderni di odntostomatologia, Anno, IV, N. 1, 1987. Siciliani G. Apparecchiature orthodontiche linguali esperienze cliniche. Dent Cadoms 1988;18:17–41. Sinclair PM, Cannito MF, Goates LJ, et al. Patient responses to lingual appliances. 1986;20:396–404. Sirianni AA, Graziano JP, Epstein MB. Invisible lingual orthodontic appliance. NY State Dent J 1985;51:480–481. Smith JR, Dunn RM. Retention of the lingual patient. J.A.L.O.A. 1987;1:1,4–7. Smith JR, Gorman JC, Kurz C, Dunn RM. Keys to success in lingual therapy—part 1. J Clin Orthod 1986;89:252–261. Smith JR. Lingual orthodontics: a status report: part 7B case reports—extraction. J Clin Orthod 1983;84:464–473. Smith JR. Twelve key principles of lingual orthodontic therapy. J Am Ling Orthod Assoc 1988:1(2). Swarz ML. Orthodontic archwire. A contemporary view: personal communication, 1992. T Takemoto K. Textbook and syllabus—a lingual orthodontics: clinical problems and solutions of lingual orthodontics.
  • 197.
    Bibliography  Takemoto K.Extraction mechanics in lingual orthodontics. Proceedings and Abstracts: First Congress of the European Society of Lingual Orthodontics, Lido di Venezia, June 18–20, 1993. Takemoto K. Lingual orthodontics extractions therapy, Clinical Impressions 1995; 2–7, 18–21. Tanne K, Lu YC, Sakuda K. Biomechanical responses of tooth to orthodontic forces applied at the lingual bracket positions. J Osaka Univ Dent Sch 1992;32:6–13. Thomas RG. Indirect bonding: simplicity in action. J Clin Orthod 1979;13:93–106. Trucer AV, Erturk N. The treatment of cross bites in the angle class I cases with mod- ular 3-D lingual appliances. Turk Orthodonti Derg 1990;3:129–134. V Velo S, Dal Bori G, Piubelli C. Lingual technique: silent and invisible orthodontics. Veneziani A. The Pacon system: a new technical method for the placement of the brackets on the set-up for lingual technique. Proceedings and Abstracts: First Congress of the European Society of Lingual Orthodontics, Lido di Venezia, June 18–20, 1993. W Wildman AJ. The future of lingual orthodontics. Orthodontics: evaluation and future. Moorrees and Van der Linden, Ed. 1988:261–281. Z Zachrisson BU, Brobakken BO. Clinical comparison of direct versus indirect bonding with different bracket types and adhesives. Am J Orthod 1978;74:62–78.
  • 198.
     Abrasive strips, 99 Acryliccaps, 169 Air rotor stripping, 85 Alexander, Dr. Moody, 6 Alexander, Dr. Richard (Wick), 6 Alignment, 63 enamel reduction and, 104 ideal, 173 American Lingual Orthodontic Association, 9 American Orthodontics, 7 Anatomy, lingual dental, 13 Anchorage, 47 bridges, 146 control, 76–81, 109 horizontal, 75 lower arch, 78–80 transpalatal bars, 146 upper arch, 77–78 vertical, 75 Anchorage value, 75 Andrews, Dr. Lawrence, 13 Andriko, Craig, 3 Appliances labial, 21, 43 lingual, 21, 29, 43 placement, 36–37 Arch, expanding the, 44 recontouring, 65 sagittal shift, 97 target, 187 template, 169 Arch geometry, 185 Archwire BAS, 185–193 bending, 185–193 “best fit”, 183 Class III cases, 65 computerized drawing of, 183 design, 189 detailing, 65–66 fabrication of, 172–173 final, 183 finishing, 64, 65–66, 173 ideal, 183 initial, 63–64, 170, 183 intermediate, 64–65 sequencing, 63–66, 117–118 target arch, 187 TMA, 115, 123–125 tracing, 100 Attachments, 15 Austenite, 55, 57–58 yield strength, 58 Baker, Dr. Bob, 9 Base pad adaptation, 11 Bending art system, 185–193 advantages, 189 case report, 190–193 ideal arch method, 187–188 set-up method, 188–189 therapeutic concept, 186 treatment planning, 189 Biocryl tray, 170 Biomechanics, 47–48 Bioplast, 171 Bioplast tray, 170 Bite, anterior open, 49, 64, 139, 141 Bite plane, 43–45 Bonding procedure, 36, 179 enamel reduction and, 100 in pediatric patients, 128–130 indirect, 175 molars, 60 Bowbeer, Dr. Grant, 43 Bowing transverse bowing, 78, 79, 81 vertical and transverse, 109 Bracket failure, 36 initial placement, 36 interbracket distance, 22, 25, 56, 129 Kurz #7, 11 Lee Fisher, 3 molar, 17, 18 placement, 180 Index
  • 199.
      placement onmodel, 176 position, 22–23 Starfire, 8 Buccolingual compensatory curve, 64 Bur, 101–102 CAD/CAM, 185 Canine/molar relationship Class I, 29 Class II, 29 Case history interproximal reduction, 104–107 Case presentations loop mechanics, 117–121 orthodontics-prosthodontics treatment, 149–152 orthognathic surgery, 139–140 sliding mechanics, 123–126 treatment goals, 48–53 Case report bending art system, 190–193 Class I malocclusion 190–193 nonextraction techniques, 86–90 pediatric, 131–133 Sirognathograph, 154–159 Center of resistance, 22, 47 Cephalometric analysis, 76, 112 Cephalometric models, 43 Cetlin appliance, 91–93 Chewing patterns, 153–159 abnormal, 159 case report, 154–159 Palculator, 157–159 Class I occlusion, achieving, 37–38 Clinical experience, the, 35–36 CO-CR discrepancy, 77 Composite base, 169 Concise body paste, 167 Control, appliance, 11 anchorage, 75–82, 109 Crossbite, 139, 141, 145 Crowding anterior, 33 bracket placement, 180–182 enamel reproximation and, 86 interproximal reduction, 104–107 mandibular, 141 severe, 64 severity of, 83 upper and lower, 49, 117 upper anterior, 60 upper arch, 92 Crown, porcelain, 36 Crozat appliance, 84, 87–90 Custom Lingual Appliance Set-Up Service (CLASS), 12, 48, 94–95, 131 technique, 163–173 Cutter archwire, 68 ligature, 67 ligature wire, 67 DALI program, 183–184 advantages, 184 Deformities, 135 Dental Lingual Assistant Association, 9 Derotating, 32 Derotation, 63 Dessin del’ arc lingual informatisé (DALI), 183 See DALI Diastema, 188, 190 Displacement, anterior mandibular, 33 counteracting mesial, 32 Distalization bicuspid, 102, 103, 107 cuspid, 104 En masse retraction, 109–115 Enamel, 99 Enamel reproximation, 85–86 Eruption, forced, 145 Esthetics, 83 Esthetics and function, 153–159 ETM Corp., 67–71 European Society of Lingual Orthodontics, 9 Examination, initial, 35 Expansion techniques, 84–90 Extraction vs nonextraction, 83 Favero, Dr. Lorenzo, 9 “Fence effect”, 81 Fillion, Dr. Didier, 9, 187 Fillion’s indirect bonding system, 177–182 Force, shearing, 4, 10, 44 anterior-posterior, 82 elastic, 65, 80 intrusion, 110 protrusive, 156 retraction, 111 retrusive, 156 Forceps, mosquito, 69
  • 200.
    Index  Forestodent, 7 Fork firstorder bending, 70 second order bending, 71 French Lingual Orthodontic Society, 9 Fujita, Dr. Kinya, 7, 109 Gerkhardt, Dr. Klaus, 7 Gingival impingement, 10 Gorman, Dr. Courtney, 9 Gorman, Dr. Jack, 5, 6 Helical loop, 78, 110 protocol, 114 Hilgers, Dr. James, 6 Hinge cap opening tool, 69 Hooks, 15–18 ball, 19 gingival, 15 Hydrocolloid, 165 Hyrax RPE appliance, 141–143 “Ideal arch”, 187 Ideal arch method, 187–188 Ideal arch template, 173 Implants, 146 Interarch adjustment, 66 Interference, occlusal, 158 Interproximal reduction, 85, 97–107 alignment, 101 appliance bonding, 100 bicuspid/bicuspid, 103 cuspid/bicuspid, 103 incisors, 104 limits, 99 lower arch, 100 molar/bicuspid, 101 operative protocol, 100–104 principles, 97–100 protection, 99 upper arch, 100 Intrusion, anterior teeth, 22 Irritation, tissue, 9–10 Italian Association of Lingual Orthodontics, 9 Jaw movements, 153 Kelly, Dr. Vince, 7 KGS Ormco Task Force Number Two, 8–9 Kurz, Dr. Craven, 3–6, 8 Kurz lingual appliance, the, 13, 14, 15 L-loop, 78, 110 protocol, 114 Labiolingual distances, 187 Labiolingual thickness, 176 Laboratory technician, 165–173 Lagerstrom, Dr. Lennart, 7 Lateral occlusal function, 81 LeFort I osteotomy, 137, 140 Levelling, 63 Ligation, 15 Lingual Task Force, 6 Lingual therapy advantages, 21–22, 133 disadvantages, 21–22 Lobiondo, Dr. Echarri P., 10 Loop mechanics, 109–115 protocol, 114 Loops, advancement, 37 Malocclusion, 23, 32–33 Class I, 49–53, 60, 86–90, 188, 190 Class II, 92, 117, 123 Class III, 79, 139, 141 skeletal Class I, 117 skeletal Class II, 154 Mandible, retruded, 44 Martensite, 55, 57–58 yield strength, 58 Maruyama, Prof. Takao, 153 Maxillary arch expansion, 24–27, 33, 130, 136, 141–143 Measuring plates, 190, 191 Mechanics, treatment, 47 anchorage, 77–80 Mesiodistal tooth widths, 187 Mesognathic profile, 86–90 Microetch, 36 Midline shift, 51 Miller, Frank, 3 Model, set-up, 166 die stone, 163 impression material, 163 lingual brackets, placement of, 166 removal of excess adhesive, 167 Molars, distalization of, 31–33 mesial movement of, 80 Movement, orthodontic, 27 Mulick, Dr. Jim, 3 Multidisciplinary cases, 145–148
  • 201.
      Napolitano, Dr.John, 9 Occlusal interference, 10 Occlusal plane dimensions, 165 Occlusal record, 168, 170 Occlusal scans, 186 Occlusion Class II, 23, 32–33 Class III, 26 deep bite, 23–24, 32–33, 44 Ormco, 3–8, 15 Ormco Task Force, 8 Orthodontic-prosthetic treatment combined, 149–152 Orthognathic surgery, 135–140 case presentation, 139–140 orthodontic operative protocol, 135–137 surgical operative protocol, 137 Overjet, 123, 149, 154 Paige, Dr. Steve, 7 Palculator, 157–159 “Pattern generator”, 154 Paz, Dr. Mario, 9 Pediatrics, 127–134 candidate criteria, 127 case report, 131–133 evaluations, 128 laboratory procedures, 130–131 protocol, 128–130 therapeutic indications, 128 Pendulum “F”, 128–130 mechanics, 130 Perregaard, Dr. Jorn, 7 Phase II body paste, 167 Pickrel, Floyd, 6 Placement, appliance, 12, 36–37 problems, 9–15 planning, 47–48 Placement, wire, 14 Plane anterior inclined, 16–18 inclined in brackets, 44 maxillary, 18–19 Plier bond removing, 70 Mathieu style, 69 utility, 68 Porcelain crowns, 86 Positioner, pedicle, 4 Practice promotion, 38 Preprosthetic treatment, 146–147 Prescription, appliance, 12–14 Prescription sheet, 164 Prosthetic orthodontics, 145 Protrusive shift, 156 Quad-Helix device, 25, 136 Radiograph, panoramic, 35 Rapid palatal expansion device, 25, 136 Rebonding, 179–180 Remover, module, 71 Repositioning, mandibular, 27, 30 Rerotation preventing, 65 Resin, 150, 176, 179 Retractor, tongue, and saliva ejector, 70 Rigid internal fixation technique, 135 Rotation, 145 correction, 32 crowding, 180 overcorrecting bracket, 181 Scholz, Dr. Bob, 6 Scuzzo, Dr. Guiseppe, 9 Scwartz, Dr. Michael, 6 Segmental technique, 151 Set-up method, 188–189 advantages, 188 Shape memory wires, 55–61 alignment with, 59–60 alloys, 55, 57 elastic modulus, 57 superelasticity, 56 Silane, 36 Silicone, 179 Sirognathograph, 153–154, 158 Sliding mechanics, 38, 61, 78 advantages, 111 case presentation, 123–126 disadvantages, 110 during en masse retraction, 109–115 protocol, 114 Smith, Dr. Bob, 5, 6 Space closure, 38, 51–53, 60–61, 64, 65, 78 en masse retraction, 109–115 extraction, 78 hybrid composite resin, 150–151 porcelain laminate veneers, 152 uprighting of molars, 145 Speech difficulties, 9, 10, 149
  • 202.
    Index  Torque andangulation, 175, 176 Torque angulation referencing guide (TARG) system, 12, 175–177 advantages 184 Transfer system, 179 Transfer trays, 170 cutting, 172 fabrication, 170–171, 176 model preparation, 170 sectioning, 172 Transpalatal bar, 16–17 Treatment planning, 185 archwire design, 189 distribution of tooth movement, 189 number of archwires, 189 wire material, 189 Treatment sequence, 37–38 Treatment target, 186 ideal arch method, 187–188 set-up method, 188–189 Ulceration preventing, 36 Unitek, 7 Wildman, Dr. Jim, 3–4 Young’s modulus, 57 Splint, 28 Stability, 179 Stabilization, 78 Stereoscopic camera, 185 Straight wire appliance, 13, 47 Straight wire concept, 187 Strauch, Ernie, 6 Support, posterior acrylic, 28, 75 Surgical rapid maxillary expansion, 141–143 T-loop, 78, 110 protocol, 114 Takemoto, Dr. Kyoto, 10 TARG. See Torque angulation referencing guide Template, 163 Template caps, 190, 191 Temporomandibular dysfunction, 27 Thickness measurement system, 177–182, 184 advantages, 184 bonding procedure, 179 rebonding, 179–180 standardization, 178 transfer system, 179 Tip, 175, 176 Tip control, 63 Tongue thrust, 81 Torque, 66, 175