WILCKODONTICS
PRESENTED BY –
DR. SHRADDHA KODE
INTRODUCTION
– Search for improvements in orthodontic therapy is
shared by several dental specialities especially
periodontics.
– Rapid orthodontic treatment procedures can be achieved
by performing Alveolar Corticotomies (ACS) shortly
before the application of orthodontic forces.
– This method has been suggested to enhance tooth
movement and reduce orthodontic treatment time.
HISTORY
– Described in 1893 by L.C.BRYAN in textbook called
ORTHODONTIA – MALPOSITION OF HUMAN TEETH, ITS
PREVENTION AND REMEDY
– KOLE in 1959 – First to introduce rapid tooth movement
by alveolar corticotomy
“Bony Block Movement”
– DUKER in 1975 - Investigated the effect of rapid tooth
movement using corticotomy technique on the vitality of
the teeth and the marginal periodontium.
– SUYA in 1991 - Tooth movement was made by moving
blocks of bone using crowns of teeth as handles.
Completion of movement takes within 3-4 months.
– WICKO BROTHERS (THOMAS WILCKO AND WILLIAM
WILCKO) in 2001 – Introduced PERIODONTALLY
ACCELERATED OSTEOGENIC ORTHODONTICS (PAOO)
SELECTIVE CORTICOTOMY + ALVEOLAR GRAFTING
They patented this technique
RATIONALE
– Orthopedist HERALD FROST – Surgical wounding of
osseous tissues causes tissue reorganisation adjacent to
the site of injury
– This cascade of physiologic healing events is REGIONAL
ACCELERATORY PHENOMENON (RAP)
INDICATIONS
– Dehiscence and fenestrations over prominent root surfaces
– Anterior open bites and deviated midlines
– Cross bites and tooth size discrepancies
– Conservative alternative to orthognathic surgery
– Moderate to severe malocclusions in both adolescents and adults
– Accelerate canine retraction after premolar extraction
– Enhance post- orthodontic stability
– Facilitate eruption of impacted teeth
CONTRAINDICATIONS
– Patients with severe active periodontal disease.
– Patients with inadequately treated endodontic problems.
– Patients on long term medications which will slow down
bone metabolism, such as bisphosphanate and NSAIDs.
– Patients on long term steroid therapy
CASE SELECTION
– Patients of any age (as young as 11yrs to 70 yrs) as long
as they have healthy periodontium
– Used in most cases where traditional fixed orthodontic
therapy is used
– Effective in Class I malocclusion with moderate to severe
crowding and Class II malocclusion requiring expansion
or extraction
– Orthodontist – Ortho tooth movement plan, arch
segment to contract or expand and anchorage units
– Periodontist – Periodontal status, mucogingival
conditions and esthetic needs of the patient
– Orthodontic brackets and arch wire activation done 1
week before
– Within 2 weeks of surgery, active orthodontic treatment
to be initiated
SURGICAL TECHNIQUE
– STEP 1 – FLAP DESIGN
– Full thickness flap (most coronal aspect) + split thickness
flap(apical portion)
– Periosteal layer is removed – Access to alveolar bone
– Mesial and distal extension
– STEP 2 – DECORTICATION
– Under LA using low speed no.2 carbide bur Vertical
cortical incisions performed interproximally and
extending well beyond dental apices
– Subapical horizontal corticotomy given connecting
interdental cuts
– Done on both labial and lingual/palatal aspect of alveolar
bone
– STEP 3 – PARTICULATE BONE GRAFTING
– Material – Deproteinised bovine bone, autogenous bone,
DFDBA
– Use of Platelet Rich Plasma/Calcium sulfate - Increases
stability of graft
– 0.25 to 0.5ml of graft material required per tooth
– STEP 4 – CLOSURE OF FLAP
– Sutures in the midline at interproximal areas followed by
other areas by interrupted sutures
– STEP 5 – PATIENT MANAGEMENT
– Post surgical complications – Pain, edema and
ecchymosis
– Antibiotics and analgesics and ice packs – For patient
comfort and clinical healing enhancement
ADVANTAGES
– 3 to 4 times faster orthodontic tooth movement
– 1/3rd to 1/4th conventional treatment time
– Less likelihood of root resorption and devitalisation
– Low chances of relapse
– Alveolar reshaping enhances patient’s profile
DISADVANTAGES
– Expensive procedure
– Mildly invasive procedure and like all surgeries it has risk
of some pain, swelling, and the possibility of infection.
MODIFICATIONS
– COMPRESSION OSTEOGENESIS – Required in cases of
molar intrusion
– CO similar to CAO except corticotectomy
– Corticotectomy + Anchor plates & elastic traction
– CAO – Movement of teeth in weakened alveolar bone
CO – Movement of bony block along with teeth
– PIEZOELECTRIC VERICAL CORTICOTOMIES + TUNNEL
APPROACH (To place bone graft)
NOVEL APPROACH
– LASER
– Flapless laser assisted corticotomy
– Decreases treatment time and damage to the
periodontium
– Er.Cr : YSGG laser irradiation
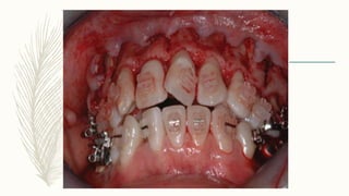
CASE REPORT
(Journal of Interdisciplinary Dentistry / Sep-Dec 2012 / Vol-2 / Issue-3)
– A 38-year-old female patient had a complaint of forwardly
placed upper and lower front teeth with spacing between the
teeth
– DIAGNOSIS - Angles Class I malocclusion with proclination
and spacing of upper and lower anterior teeth
– The patient consented to the PAOO
– Prior to surgical and orthodontic treatment, periodontal
health of the patient was restored by phase I periodontal
therapy including plaque control measures and scaling and
root planing.
CONCLUSION
– PAOO has expanded the realm of traditional orthodontic
tooth movement (OTM) protocols.
– The spirit of interdisciplinary collaboration in
orthodontics incorporates periodontal tissue engineering
and regenerative surgery to expedite orthodontic tooth
movement
– This technique can be a "WIN situation” with an
increasing number of adults considering orthodontic
treatment.
REFRENCES
– WilliamWilckoetal;RapidOrthodonticswithAlveolarReshaping:TwoCaseReportsof
Decrowding;TheInternationalJournalofPeriodontics&RestorativeDentistry;Volume21,
Number1,2001
– Neethaetal;Periodontallyassistedosteogenicorthodontics:Areview;IAIM,2015;2(2):165-168
– Satinderetal;Wilckodontics-BridgingOrthodonticsandPeriodontics;Volume-4,Issue-7,July-
2015;ISSNNo2277–8160
– Swyetaetal;WILCKODONTICS:ANINNOVATIVEACCELERATEDAPPROACHING
INTERDISCIPLINARYTREATMENTSTRATEGY;ejpmr,2016,3(9),534-539
– Sirishaetal;Wilckodontics- ANovelSynergyinTimetoSaveTime;JournalofClinicaland
DiagnosticResearch.2014Jan,Vol-8(1):322-325
– Sharathetal;Periodontallyacceleratedosteogenicorthodontics:Reviewonasurgicaltechnique
andacasereport;JournalofInterdisciplinaryDentistry/Sep-Dec2012/Vol-2/Issue-3
Wilckodontics

Wilckodontics

  • 1.
  • 2.
    INTRODUCTION – Search forimprovements in orthodontic therapy is shared by several dental specialities especially periodontics. – Rapid orthodontic treatment procedures can be achieved by performing Alveolar Corticotomies (ACS) shortly before the application of orthodontic forces. – This method has been suggested to enhance tooth movement and reduce orthodontic treatment time.
  • 3.
    HISTORY – Described in1893 by L.C.BRYAN in textbook called ORTHODONTIA – MALPOSITION OF HUMAN TEETH, ITS PREVENTION AND REMEDY – KOLE in 1959 – First to introduce rapid tooth movement by alveolar corticotomy “Bony Block Movement” – DUKER in 1975 - Investigated the effect of rapid tooth movement using corticotomy technique on the vitality of the teeth and the marginal periodontium.
  • 4.
    – SUYA in1991 - Tooth movement was made by moving blocks of bone using crowns of teeth as handles. Completion of movement takes within 3-4 months. – WICKO BROTHERS (THOMAS WILCKO AND WILLIAM WILCKO) in 2001 – Introduced PERIODONTALLY ACCELERATED OSTEOGENIC ORTHODONTICS (PAOO) SELECTIVE CORTICOTOMY + ALVEOLAR GRAFTING They patented this technique
  • 5.
    RATIONALE – Orthopedist HERALDFROST – Surgical wounding of osseous tissues causes tissue reorganisation adjacent to the site of injury – This cascade of physiologic healing events is REGIONAL ACCELERATORY PHENOMENON (RAP)
  • 6.
    INDICATIONS – Dehiscence andfenestrations over prominent root surfaces – Anterior open bites and deviated midlines – Cross bites and tooth size discrepancies – Conservative alternative to orthognathic surgery – Moderate to severe malocclusions in both adolescents and adults – Accelerate canine retraction after premolar extraction – Enhance post- orthodontic stability – Facilitate eruption of impacted teeth
  • 7.
    CONTRAINDICATIONS – Patients withsevere active periodontal disease. – Patients with inadequately treated endodontic problems. – Patients on long term medications which will slow down bone metabolism, such as bisphosphanate and NSAIDs. – Patients on long term steroid therapy
  • 8.
    CASE SELECTION – Patientsof any age (as young as 11yrs to 70 yrs) as long as they have healthy periodontium – Used in most cases where traditional fixed orthodontic therapy is used – Effective in Class I malocclusion with moderate to severe crowding and Class II malocclusion requiring expansion or extraction
  • 9.
    – Orthodontist –Ortho tooth movement plan, arch segment to contract or expand and anchorage units – Periodontist – Periodontal status, mucogingival conditions and esthetic needs of the patient – Orthodontic brackets and arch wire activation done 1 week before – Within 2 weeks of surgery, active orthodontic treatment to be initiated
  • 10.
    SURGICAL TECHNIQUE – STEP1 – FLAP DESIGN – Full thickness flap (most coronal aspect) + split thickness flap(apical portion) – Periosteal layer is removed – Access to alveolar bone – Mesial and distal extension
  • 12.
    – STEP 2– DECORTICATION – Under LA using low speed no.2 carbide bur Vertical cortical incisions performed interproximally and extending well beyond dental apices – Subapical horizontal corticotomy given connecting interdental cuts – Done on both labial and lingual/palatal aspect of alveolar bone
  • 14.
    – STEP 3– PARTICULATE BONE GRAFTING – Material – Deproteinised bovine bone, autogenous bone, DFDBA – Use of Platelet Rich Plasma/Calcium sulfate - Increases stability of graft – 0.25 to 0.5ml of graft material required per tooth
  • 16.
    – STEP 4– CLOSURE OF FLAP – Sutures in the midline at interproximal areas followed by other areas by interrupted sutures
  • 18.
    – STEP 5– PATIENT MANAGEMENT – Post surgical complications – Pain, edema and ecchymosis – Antibiotics and analgesics and ice packs – For patient comfort and clinical healing enhancement
  • 19.
    ADVANTAGES – 3 to4 times faster orthodontic tooth movement – 1/3rd to 1/4th conventional treatment time – Less likelihood of root resorption and devitalisation – Low chances of relapse – Alveolar reshaping enhances patient’s profile
  • 20.
    DISADVANTAGES – Expensive procedure –Mildly invasive procedure and like all surgeries it has risk of some pain, swelling, and the possibility of infection.
  • 21.
    MODIFICATIONS – COMPRESSION OSTEOGENESIS– Required in cases of molar intrusion – CO similar to CAO except corticotectomy – Corticotectomy + Anchor plates & elastic traction – CAO – Movement of teeth in weakened alveolar bone CO – Movement of bony block along with teeth
  • 22.
    – PIEZOELECTRIC VERICALCORTICOTOMIES + TUNNEL APPROACH (To place bone graft)
  • 23.
    NOVEL APPROACH – LASER –Flapless laser assisted corticotomy – Decreases treatment time and damage to the periodontium – Er.Cr : YSGG laser irradiation
  • 24.
    CASE REPORT (Journal ofInterdisciplinary Dentistry / Sep-Dec 2012 / Vol-2 / Issue-3) – A 38-year-old female patient had a complaint of forwardly placed upper and lower front teeth with spacing between the teeth – DIAGNOSIS - Angles Class I malocclusion with proclination and spacing of upper and lower anterior teeth – The patient consented to the PAOO – Prior to surgical and orthodontic treatment, periodontal health of the patient was restored by phase I periodontal therapy including plaque control measures and scaling and root planing.
  • 28.
    CONCLUSION – PAOO hasexpanded the realm of traditional orthodontic tooth movement (OTM) protocols. – The spirit of interdisciplinary collaboration in orthodontics incorporates periodontal tissue engineering and regenerative surgery to expedite orthodontic tooth movement – This technique can be a "WIN situation” with an increasing number of adults considering orthodontic treatment.
  • 29.
    REFRENCES – WilliamWilckoetal;RapidOrthodonticswithAlveolarReshaping:TwoCaseReportsof Decrowding;TheInternationalJournalofPeriodontics&RestorativeDentistry;Volume21, Number1,2001 – Neethaetal;Periodontallyassistedosteogenicorthodontics:Areview;IAIM,2015;2(2):165-168 –Satinderetal;Wilckodontics-BridgingOrthodonticsandPeriodontics;Volume-4,Issue-7,July- 2015;ISSNNo2277–8160 – Swyetaetal;WILCKODONTICS:ANINNOVATIVEACCELERATEDAPPROACHING INTERDISCIPLINARYTREATMENTSTRATEGY;ejpmr,2016,3(9),534-539 – Sirishaetal;Wilckodontics- ANovelSynergyinTimetoSaveTime;JournalofClinicaland DiagnosticResearch.2014Jan,Vol-8(1):322-325 – Sharathetal;Periodontallyacceleratedosteogenicorthodontics:Reviewonasurgicaltechnique andacasereport;JournalofInterdisciplinaryDentistry/Sep-Dec2012/Vol-2/Issue-3