A case presentation on IVP
Speaker - Dr.Sachin
Guide- Dr.Kirti Rana Chaturvedi
•A patient Bheraram 10 year male child
presented to pediatric emergency with c/o
Abdominal pain since 9 days which increases
day by day.
•No h/o fever and vomiting.
•No significant past history and family history.
Patient is referred to Radiology department
for USG Abdomen.
USG FINDINGS
•Right pyonephrosis with ureteritis
•Right ureteric calculus (~ 19mm in mid part of ureter)
•Left renal calculi (~10 mm )
•Left hydro nephrosis
•Other findings are - Mild hepatomegaly and multiple enlarged
mesenteric lymph nodes.
For confirmation of USG abdomen report IVP has been
done.
IVP REPORT
•Normally excreting both kidney.
• Right ureteric calculus
• B/l renal calculi
• Left ureter holds contrast in 30 min film with abrupt cut off
and in 2 hr film contrast wash away s/o
?left ureteric stricture ? Aberrant vascular structure
-Left mild hydroureteronephrosis.
Intra venous pyelography (IVP)
An intravenous pyelogram (IVP) is a special x-ray
examination of the kidneys, bladder, and ureters.
It is also called Intravenous Urogram.
An Intravenous Pyelogram can show the size, shape, and
position of the urinary tract, and it can evaluate the
collecting system inside the kidneys.
Intravenous Pyelogram can be done as a emergency
Procedure without any preparation.
Indications of IVP
An abdominal injury.
ureteric fistulas and strictures
Bladder and kidney infections.
Blood in the urine.
Flank pain (possibly due to kidney stones).
Tumors.
•Advantages of IVP
•-Detailed anatomy of the collecting systems
•-Demonstration of major calcification
•-Sensitive for acute obstruction
•-Low cost
Limitations of IVP
• -It depends on kidney function
• -Do not differentiate solid or cystic lesion
• -Requires contrast medium and radiation.
• -Missing small stones.
• -Quality of study may be limited by inadequate bowel
preparation, bowel ileus, swallowed air and technician
variability.
• -Inconvenience of a long filming sequence.
Contraindications
•-Contrast allergy
•-Hepato-renal syndrome
•-Thyrotoxicosis
•-Pregnancy
•-Raised serum creatinine
how is it performed ?
During Intravenous Pyelogram, a dye called contrast material is
injected into a vein into the patients arm. A series of X-ray pictures is
then taken at timed intervals.
The test should be done in a X Ray Department where a doctor is
available as on occasions the contrast can cause severe reactions
which may lead to medical emergencies.
What is the Preparation Required for the
Procedure ?
The patient may need to be fasting for 8 to 12 hours before the
Intravenous Pyelogram.
The Patient also may need to take a laxative the evening before the
test and possibly have an enema the morning of the test to make sure
that the bowels are empty.
The standard plain radiographic imaging of the
urinary tract is the
KUB (kidneys, ureters and bladder), which
consists of
I. a full length abdominal film and
II. an upper abdominal (cross-kidney) film
•taken with the patient supine using a low
voltage technique (60-65 kV) to maximise
soft-tissue contrast.
1. The full length film
o in inspiration
o a 35 x 43 cm cassette
o positioned with the lower border at the symphysis pubis to ensure
the urethra (particularly the prostatic urethra)
2. The cross-kidney film
o in expiration
o a 24 x 30 cm cassette
o with the lower border 2.5 cm below the iliac crests
“The study typically includes that portion of the anatomy from the level
of the diaphragm to the inferior pubic symphysis
(A) Full length and (B) cross kidney films
The outline of several anatomical structures can be seen
on the KUB
orenal,
opsoas and
obladder outlines,
1. the KUB is a relatively unreliable diagnostic tool
2. principal use is in the assessment of urinary tract
calculi.
3. It is, however, extremely unreliable in the diagnosis
of ureteric calculi, with an accuracy of only around
50%.
Calcification on IVP---
Urinary tract
• Renal: calculi, renal cell carcinoma, tuberculosis,
• Ureter: calculi, tuberculosis, schistosomiasis
• Bladder: calculi, schistosomiasis, transitional cell carcinoma
Outside the urinary tract
• Musculoskeletal: costal cartilage calcification
• Hepatobiliary: gallstones, hepatic granuloma
• Pancreas: chronic pancreatitis
• Adrenal: tuberculosis, Addison's disease
• Spleen: granuloma
• Aorta: atheroma, aneurysm
• Venous: phlebolith
• Uterine: fibroid
• Lymphatic: calcified lymph nodes (presumed postinfective)
Contrast
LOCM 370 (LOCM = Low osmolar contrast material)
Adult dose = 50 – 100 ml
Pediatric dose = 1ml for each kg
Post contrast IVP films
•(A) Immediate(Nephrogram phase)
•(B) 5 min (Secretory phase)
•(C) 15 min film with compression
producing calyceal distension;
•(D)30 min film (Ureterogram phase)
•(E) 45 min film (Cystogram phase)
•(F) Post voiding film
Preliminary film
(control film)
Immediate film (Nephrogram phase)
•A.P. view of the renal areas to show the nephrogram, i.e.
the renal parenchyma opacified by the contrast medium
in the renal tubules.
• (taking it after injection equals about 10 to 14 seconds
which is the approximate arm-to-kidney time).
Immediate film (Nephrogram phase)
•5-15 minutes film (Secretory phase)
•-Both Kidney contour
•-Contrast is filling both the Pyelum or not,
•-is there any delayed filling?
5-15 minutes film (Secretory phase)
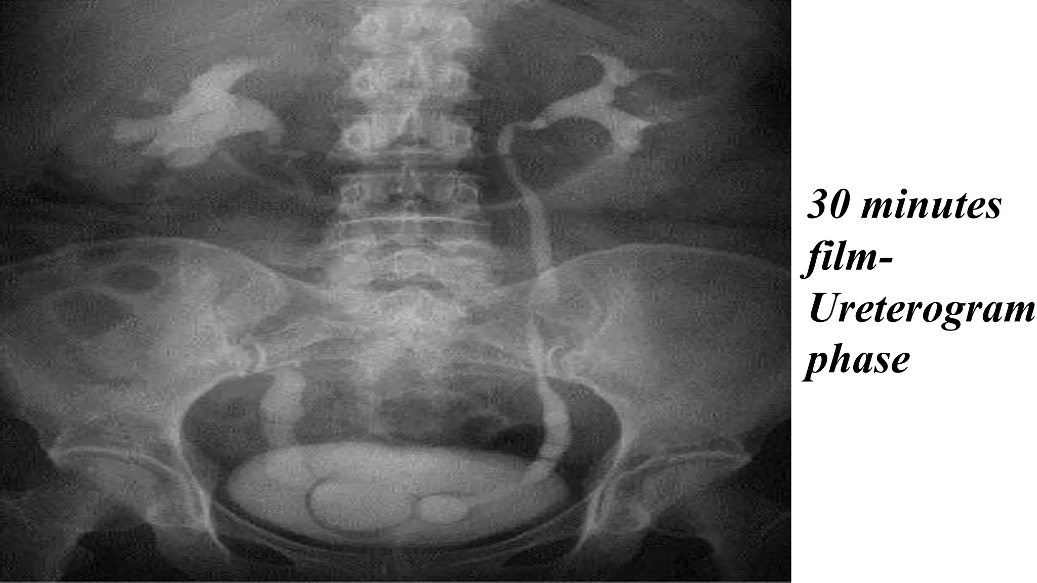
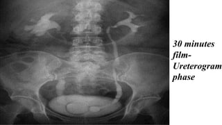
30 minutes film (Ureterogram
phase) :
Is there any collecting systems and ureters dilatation or
filling defect? (normal ureter filling is rarely demonstrate
the whole ureter from proximal to distal as there is a
peristaltic wave )
30 minutes
film-
Ureterogram
phase
•45 minutes film (Cystogram phase) :
•-Bladder size and shape
•-Contrast is filling the bladder or not
•-Bladder surface is smooth or rough
•-Is there any diverticlula, filling defect or prostate
indentation?
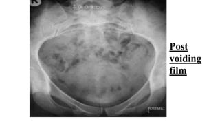
•Post voiding film :
•-Residual urine
•-Contrast left on upper tract? (normally there is
no contrast left on upper urinary tract on post
voiding film)
Post
voiding
film
IVP REPORTING FORMAT
• Indication
• Technique : an IVP was performed following the intravenous administration
of contrast.
• Comparison
• The scout films demonstrates—
• Bony shadowing
• Bowel gas pattern-adequates or inadequates bowel preparation.
• Renal shadowing
• Psoas shadowing
• Any evidences of masses or organomegaly.
Conti….
• Any radiopaque calculi visible in the kidney or along the ureteral tracts.
• Following the uneventful administration of …….cc”s of omnipaque 300
intravenously, the nephrograms and pyelograms are prompt and
bilateral. Kidneys are normal in size, shape and axis. There are no
masses evident.
• There is no dilatation or filling defects of the renal calyces or pelvis
bilaterally. The ureter are normal in course or calibre, without any
filling defects.
• The bladder is normal in size, shape and contour. No filling defects are
evident.
• There is no significant post void residual.
• Impression- normal IVP.
Pyelo-
ureteric
Junction
Obstruction
Shows as
Dilation of
Right Renal
Pelvis and
Calyces.
• Dilation of Left
Renal Pelvis and
Calyces Above the
Obstructing
Calculus
Renal collecting
system and ureters
Crossed Renal
Ectopia on the
Left Kidney and
Absent Right
Kidney.
• Renal
collecting
system and
ureters Stab
wound of
right ureter
shows
extravasati
on (at
arrow) on
intravenous
pyelogram.
IVP demonstrating
a horseshoe
kidney.
“Flower vase
appearance “
IVP
demonstrating
the characteristic
stretching of
calyces by cysts in
polycystic
kidneys.
Spider leg
appearance
• a Non-opacified partly obstructing ureterocele surrounded by opacified urine in the bladder
• A later full length film shows opacification of the distended upper moiety ureter running
down to the opacified ureterocele
Duplex ureters on
IVP: complete bilateral
Left
megaureter on
IVP showing
dilatation of
the entire
length of the
ureter with
secondary
pelvi
calyectasis
Benign prostatic hyperplasia. White = bladder. Dark = benign
enlargement of prostate, pushing down on inferior bladder
Intravenous pyelogram
showed no obstructive
uropathy, but symmetric
diverticula could be seen
near both ureteral
orifices (arrows). These
lesions, known as Hutch
diverticula, are usually
congenital rather than
occurring as a result of a
neurogenic bladder or an
infection or obstruction
Nodular squamous
cell carcinoma of
the urinary bladder.
Dilated left lower
ureter probably
secondary to
obstruction by
tumor.
Nonvisualization of
the right ureter
caused by complete
IVP Best presnetation

IVP Best presnetation

  • 1.
    A case presentationon IVP Speaker - Dr.Sachin Guide- Dr.Kirti Rana Chaturvedi
  • 2.
    •A patient Bheraram10 year male child presented to pediatric emergency with c/o Abdominal pain since 9 days which increases day by day. •No h/o fever and vomiting. •No significant past history and family history.
  • 3.
    Patient is referredto Radiology department for USG Abdomen. USG FINDINGS •Right pyonephrosis with ureteritis •Right ureteric calculus (~ 19mm in mid part of ureter) •Left renal calculi (~10 mm ) •Left hydro nephrosis •Other findings are - Mild hepatomegaly and multiple enlarged mesenteric lymph nodes.
  • 4.
    For confirmation ofUSG abdomen report IVP has been done. IVP REPORT •Normally excreting both kidney. • Right ureteric calculus • B/l renal calculi • Left ureter holds contrast in 30 min film with abrupt cut off and in 2 hr film contrast wash away s/o ?left ureteric stricture ? Aberrant vascular structure -Left mild hydroureteronephrosis.
  • 5.
  • 6.
    An intravenous pyelogram(IVP) is a special x-ray examination of the kidneys, bladder, and ureters. It is also called Intravenous Urogram. An Intravenous Pyelogram can show the size, shape, and position of the urinary tract, and it can evaluate the collecting system inside the kidneys. Intravenous Pyelogram can be done as a emergency Procedure without any preparation.
  • 7.
    Indications of IVP Anabdominal injury. ureteric fistulas and strictures Bladder and kidney infections. Blood in the urine. Flank pain (possibly due to kidney stones). Tumors.
  • 8.
    •Advantages of IVP •-Detailedanatomy of the collecting systems •-Demonstration of major calcification •-Sensitive for acute obstruction •-Low cost
  • 9.
    Limitations of IVP •-It depends on kidney function • -Do not differentiate solid or cystic lesion • -Requires contrast medium and radiation. • -Missing small stones. • -Quality of study may be limited by inadequate bowel preparation, bowel ileus, swallowed air and technician variability. • -Inconvenience of a long filming sequence.
  • 10.
  • 11.
    how is itperformed ? During Intravenous Pyelogram, a dye called contrast material is injected into a vein into the patients arm. A series of X-ray pictures is then taken at timed intervals. The test should be done in a X Ray Department where a doctor is available as on occasions the contrast can cause severe reactions which may lead to medical emergencies.
  • 12.
    What is thePreparation Required for the Procedure ? The patient may need to be fasting for 8 to 12 hours before the Intravenous Pyelogram. The Patient also may need to take a laxative the evening before the test and possibly have an enema the morning of the test to make sure that the bowels are empty.
  • 13.
    The standard plainradiographic imaging of the urinary tract is the KUB (kidneys, ureters and bladder), which consists of I. a full length abdominal film and II. an upper abdominal (cross-kidney) film •taken with the patient supine using a low voltage technique (60-65 kV) to maximise soft-tissue contrast.
  • 14.
    1. The fulllength film o in inspiration o a 35 x 43 cm cassette o positioned with the lower border at the symphysis pubis to ensure the urethra (particularly the prostatic urethra) 2. The cross-kidney film o in expiration o a 24 x 30 cm cassette o with the lower border 2.5 cm below the iliac crests “The study typically includes that portion of the anatomy from the level of the diaphragm to the inferior pubic symphysis
  • 15.
    (A) Full lengthand (B) cross kidney films
  • 16.
    The outline ofseveral anatomical structures can be seen on the KUB orenal, opsoas and obladder outlines, 1. the KUB is a relatively unreliable diagnostic tool 2. principal use is in the assessment of urinary tract calculi. 3. It is, however, extremely unreliable in the diagnosis of ureteric calculi, with an accuracy of only around 50%.
  • 17.
    Calcification on IVP--- Urinarytract • Renal: calculi, renal cell carcinoma, tuberculosis, • Ureter: calculi, tuberculosis, schistosomiasis • Bladder: calculi, schistosomiasis, transitional cell carcinoma Outside the urinary tract • Musculoskeletal: costal cartilage calcification • Hepatobiliary: gallstones, hepatic granuloma • Pancreas: chronic pancreatitis • Adrenal: tuberculosis, Addison's disease • Spleen: granuloma • Aorta: atheroma, aneurysm • Venous: phlebolith • Uterine: fibroid • Lymphatic: calcified lymph nodes (presumed postinfective)
  • 18.
    Contrast LOCM 370 (LOCM= Low osmolar contrast material) Adult dose = 50 – 100 ml Pediatric dose = 1ml for each kg
  • 19.
    Post contrast IVPfilms •(A) Immediate(Nephrogram phase) •(B) 5 min (Secretory phase) •(C) 15 min film with compression producing calyceal distension; •(D)30 min film (Ureterogram phase) •(E) 45 min film (Cystogram phase) •(F) Post voiding film
  • 20.
  • 21.
    Immediate film (Nephrogramphase) •A.P. view of the renal areas to show the nephrogram, i.e. the renal parenchyma opacified by the contrast medium in the renal tubules. • (taking it after injection equals about 10 to 14 seconds which is the approximate arm-to-kidney time).
  • 22.
  • 23.
    •5-15 minutes film(Secretory phase) •-Both Kidney contour •-Contrast is filling both the Pyelum or not, •-is there any delayed filling?
  • 24.
    5-15 minutes film(Secretory phase)
  • 25.
    30 minutes film(Ureterogram phase) : Is there any collecting systems and ureters dilatation or filling defect? (normal ureter filling is rarely demonstrate the whole ureter from proximal to distal as there is a peristaltic wave )
  • 26.
  • 27.
    •45 minutes film(Cystogram phase) : •-Bladder size and shape •-Contrast is filling the bladder or not •-Bladder surface is smooth or rough •-Is there any diverticlula, filling defect or prostate indentation?
  • 29.
    •Post voiding film: •-Residual urine •-Contrast left on upper tract? (normally there is no contrast left on upper urinary tract on post voiding film)
  • 30.
  • 31.
    IVP REPORTING FORMAT •Indication • Technique : an IVP was performed following the intravenous administration of contrast. • Comparison • The scout films demonstrates— • Bony shadowing • Bowel gas pattern-adequates or inadequates bowel preparation. • Renal shadowing • Psoas shadowing • Any evidences of masses or organomegaly.
  • 32.
    Conti…. • Any radiopaquecalculi visible in the kidney or along the ureteral tracts. • Following the uneventful administration of …….cc”s of omnipaque 300 intravenously, the nephrograms and pyelograms are prompt and bilateral. Kidneys are normal in size, shape and axis. There are no masses evident. • There is no dilatation or filling defects of the renal calyces or pelvis bilaterally. The ureter are normal in course or calibre, without any filling defects. • The bladder is normal in size, shape and contour. No filling defects are evident. • There is no significant post void residual. • Impression- normal IVP.
  • 33.
  • 34.
    • Dilation ofLeft Renal Pelvis and Calyces Above the Obstructing Calculus
  • 35.
    Renal collecting system andureters Crossed Renal Ectopia on the Left Kidney and Absent Right Kidney.
  • 36.
    • Renal collecting system and uretersStab wound of right ureter shows extravasati on (at arrow) on intravenous pyelogram.
  • 37.
  • 38.
    IVP demonstrating the characteristic stretching of calycesby cysts in polycystic kidneys. Spider leg appearance
  • 39.
    • a Non-opacifiedpartly obstructing ureterocele surrounded by opacified urine in the bladder • A later full length film shows opacification of the distended upper moiety ureter running down to the opacified ureterocele
  • 40.
    Duplex ureters on IVP:complete bilateral
  • 41.
    Left megaureter on IVP showing dilatationof the entire length of the ureter with secondary pelvi calyectasis
  • 42.
    Benign prostatic hyperplasia.White = bladder. Dark = benign enlargement of prostate, pushing down on inferior bladder
  • 43.
    Intravenous pyelogram showed noobstructive uropathy, but symmetric diverticula could be seen near both ureteral orifices (arrows). These lesions, known as Hutch diverticula, are usually congenital rather than occurring as a result of a neurogenic bladder or an infection or obstruction
  • 44.
    Nodular squamous cell carcinomaof the urinary bladder. Dilated left lower ureter probably secondary to obstruction by tumor. Nonvisualization of the right ureter caused by complete