Laura Scelsi Divisione di Cardiologia Fondazione IRCCS Policlinico San Matteo  Pavia 20-21 Maggio 2011, Pavia Corso di aggiornamento  sull’Ipertensione polmonare Cateterismo destro: davvero così facile?
N. Galiè et al.  Guidelines for the diagnosis and treatment of pulmonary hypertension.  ESC/ERS Guidelines. EHJ 2009
 
La diagnosi eziologica deve essere corretta  perché ad eziologie diverse corrispondono diversi approcci terapeutici
 
N. Galiè et al.  Guidelines for the diagnosis and treatment of pulmonary hypertension.  ESC/ERS Guidelines.  EHJ 2009
RHC is required  to confirm the DIAGNOSIS of PAH,  to ASSESS the severity of the haemodynamic impairment,  and to TEST the VASOREACTIVITY  of the pulmonary circulation
RHC is required  to confirm the DIAGNOSIS of PAH ,  to ASSESS the severity of the haemodynamic impairment,  and to TEST the VASOREACTIVITY  of the pulmonary circulation
 
Ipertensione  p olmonare  associata a patologie del connettivo
RAP (mmHg) sPAP (mmHg) mPAP (mmHg) PVR (WU) PWP (mmHg) CO (l/min) 18 66 38 4.2 RAP (mmHg) sPAP (mmHg) mPAP (mmHg) PVR (WU) PWP (mmHg) CO (l/min/m 2 ) 18 66 38 4.2 donna, nata nel 1964 Sclerosi sistemica donna, nata nel 1944 Sclerosi sistemica
RAP (mmHg) sPAP (mmHg) mPAP (mmHg) PVR (WU) PWP (mmHg) CO (l/min) 18 66 38 6.2 12 4.2 RAP (mmHg) sPAP (mmHg) mPAP (mmHg) PVR (WU) PWP (mmHg) CO (l/min/m 2 ) 18 66 38 3.3 24 4.2 donna, nata nel 1964 Sclerosi sistemica donna, nata nel 1944 Sclerosi sistemica Ipertensione arteriosa polmonare (gruppo 1) Ipertensione venosa polmonare (gruppo 2)
Ipertensione  p olmonare  associata  ad ipertensione portale
Ipertensione  p olmonare nelle  epatopatie croniche/cirrosi epatica Sindrome epato-polmonare Ipertensione port o -polmonare alta portata cardiaca vasodilatazione vascolare polmonare severa ipossimia basso rischio chirurgico Tx soluzione trapianto di fegato vasocostrizione arteriolare polmonare vasculopatia ipertensiva polmonare sovraccarico ventricolare destro  alto rischio chirurgico Tx trapianto di fegato non risolve
Ipertensione polmonare in cirrotico con ipertensione portale RAP (mmHg) sPAP (mmHg) mPAP (mmHg) PVR (WU) PWP (mmHg) CO (l/min) 10 66 38 RAP (mmHg) sPAP (mmHg) mPAP (mmHg) PVR (WU) PWP (mmHg) CO (l/min) 10 66 38 Ipertensione polmonare in cirrotico con ipertensione portale
Ipertensione polmonare in cirrotico con ipertensione portale RAP (mmHg) sPAP (mmHg) mPAP (mmHg) PVR (WU) PWP (mmHg) CO (l/min) 10 66 38 1.95 20 9.2 RAP (mmHg) sPAP (mmHg) mPAP (mmHg) PVR (WU) PWP (mmHg) CO (l/min) 10 66 38 6.2 12 4.2 Ipertensione polmonare in cirrotico con ipertensione portale Ipertensione porto-polmonare Sindrome epato-polmonare
RHC is required  to confirm the DIAGNOSIS of PAH,  to ASSESS the severity of the haemodynamic impairment,  and  to TEST the VASOREACTIVITY  of the pulmonary circulation
N. Galiè et al.  Guidelines for the diagnosis and treatment of pulmonary hypertension.  ESC/ERS Guidelines.  EHJ 2009
 
Indicazione terapeutica : test vasoreattività “ Responder”     ↓ PAPm di almeno 10 mmHg (> 20%)   fino a raggiungere PAPm ≤ 40 mmHg   in assenza di una riduzione dell’indice    cardiaco ( ↑ o ↔) Solo i pazienti  responders  sono candidati  alla terapia con Calcio- antagonisti
Acute vasodilator challenge should only be performed with short-acting, safe and easy administer drugs with no or limited systemic effects
 
RHC is required  to confirm the DIAGNOSIS of PAH,  to  ASSESS the severity of the haemodynamic impairment ,  and to TEST the VASOREACTIVITY  of the pulmonary circulation
P(t) = H(t) A(PAPm, RAPm, CI) Sopravvivenza Registro NIH: 1y 2y 3y 68% 57% 48% H(t) = 0.88 - 0.14 t + 0.01 t 2 A(PAPm, RAPm, CI) = e (0.007325 PAPm + 0.0526 RAPm - 0.3275 CI) t = time in years 5y 34% formula predittiva di sopravvivenza:  D’Alonzo GE, Ann Intern Med 1991 Equazione validata da: J Sandoval et al: Circulation 1994; 89:1733 Registro NIH Prospettico multicentrico 32 Centri USA; 194 IPAH 1981-1985 Stratificazione prognostica
Gravità della malattia : PAPm/IC/PAD/PVR
 
 
 
 
Cateterismo destro: davvero così facile?
 
…  la determinazione della PWP d.d. forme pre-capillari vs post-capillari  valore soglia PWP 15 mmHg -  calibrazione corretta del sistema allineamento del trasduttore con l’atrio destro interpretazione della curva pressoria e scelta del valore corretto
P ressione di incuneamento polmonare
P ressione di incuneamento polmonare ESPIRO INSPIRO
P ressione di incuneamento polmonare ESPIRO INSPIRO Qual’è il valore medio corretto ?
P ressione di incuneamento polmonare ESPIRO INSPIRO Qual’è il valore medio corretto ?
Pulmonary capillary wedge pressure  not the pressure in the pulmonary capillaries. Weed HG, Chest 1991; 100: 1138 La pressione che il catetere occludente misura non è la pressione immediatamente a valle del palloncino, ma è la pressione alla fine della colonna statica di sangue, laddove la colonna entra in comunicazione con flusso proveniente da altri capillari.
Pulmonary capillary wedge pressure  not the pressure in the pulmonary capillaries. Weed HG, Chest 1991; 100: 1138
Cateterismo destro va fatto solo al termine del percorso diagnostico.  Se la diagnosi preliminare è di un sospetto shunt sistemico-polmonare l’esame deve essere condotto …
Sospetto shunt sistemico-polmonare Determinazioni ossimetriche Calcolo della portata cardiaca con metodo di Fick Quantificazione quota shunt con misura Qp/Qs Calcolo della portata cardiaca:  accuratezza dei metodi
Ipertensione  p olmonare  associata  a cardiopatie congenite
Determinazione della pressione polmonare media: accuratezza delle curve
RHC is required to confirm the diagnosis of PAH, to assess the severity of the haemodynamic impairment, and to test the vasoreactivity of the pulmonary circulation
 

Ipertensione Polmonare : Cateterismo Destro

  • 1.
    Laura Scelsi Divisionedi Cardiologia Fondazione IRCCS Policlinico San Matteo Pavia 20-21 Maggio 2011, Pavia Corso di aggiornamento sull’Ipertensione polmonare Cateterismo destro: davvero così facile?
  • 2.
    N. Galiè etal. Guidelines for the diagnosis and treatment of pulmonary hypertension. ESC/ERS Guidelines. EHJ 2009
  • 3.
  • 4.
    La diagnosi eziologicadeve essere corretta perché ad eziologie diverse corrispondono diversi approcci terapeutici
  • 5.
  • 6.
    N. Galiè etal. Guidelines for the diagnosis and treatment of pulmonary hypertension. ESC/ERS Guidelines. EHJ 2009
  • 7.
    RHC is required to confirm the DIAGNOSIS of PAH, to ASSESS the severity of the haemodynamic impairment, and to TEST the VASOREACTIVITY of the pulmonary circulation
  • 8.
    RHC is required to confirm the DIAGNOSIS of PAH , to ASSESS the severity of the haemodynamic impairment, and to TEST the VASOREACTIVITY of the pulmonary circulation
  • 9.
  • 10.
    Ipertensione polmonare associata a patologie del connettivo
  • 11.
    RAP (mmHg) sPAP(mmHg) mPAP (mmHg) PVR (WU) PWP (mmHg) CO (l/min) 18 66 38 4.2 RAP (mmHg) sPAP (mmHg) mPAP (mmHg) PVR (WU) PWP (mmHg) CO (l/min/m 2 ) 18 66 38 4.2 donna, nata nel 1964 Sclerosi sistemica donna, nata nel 1944 Sclerosi sistemica
  • 12.
    RAP (mmHg) sPAP(mmHg) mPAP (mmHg) PVR (WU) PWP (mmHg) CO (l/min) 18 66 38 6.2 12 4.2 RAP (mmHg) sPAP (mmHg) mPAP (mmHg) PVR (WU) PWP (mmHg) CO (l/min/m 2 ) 18 66 38 3.3 24 4.2 donna, nata nel 1964 Sclerosi sistemica donna, nata nel 1944 Sclerosi sistemica Ipertensione arteriosa polmonare (gruppo 1) Ipertensione venosa polmonare (gruppo 2)
  • 13.
    Ipertensione polmonare associata ad ipertensione portale
  • 14.
    Ipertensione polmonare nelle epatopatie croniche/cirrosi epatica Sindrome epato-polmonare Ipertensione port o -polmonare alta portata cardiaca vasodilatazione vascolare polmonare severa ipossimia basso rischio chirurgico Tx soluzione trapianto di fegato vasocostrizione arteriolare polmonare vasculopatia ipertensiva polmonare sovraccarico ventricolare destro alto rischio chirurgico Tx trapianto di fegato non risolve
  • 15.
    Ipertensione polmonare incirrotico con ipertensione portale RAP (mmHg) sPAP (mmHg) mPAP (mmHg) PVR (WU) PWP (mmHg) CO (l/min) 10 66 38 RAP (mmHg) sPAP (mmHg) mPAP (mmHg) PVR (WU) PWP (mmHg) CO (l/min) 10 66 38 Ipertensione polmonare in cirrotico con ipertensione portale
  • 16.
    Ipertensione polmonare incirrotico con ipertensione portale RAP (mmHg) sPAP (mmHg) mPAP (mmHg) PVR (WU) PWP (mmHg) CO (l/min) 10 66 38 1.95 20 9.2 RAP (mmHg) sPAP (mmHg) mPAP (mmHg) PVR (WU) PWP (mmHg) CO (l/min) 10 66 38 6.2 12 4.2 Ipertensione polmonare in cirrotico con ipertensione portale Ipertensione porto-polmonare Sindrome epato-polmonare
  • 17.
    RHC is required to confirm the DIAGNOSIS of PAH, to ASSESS the severity of the haemodynamic impairment, and to TEST the VASOREACTIVITY of the pulmonary circulation
  • 18.
    N. Galiè etal. Guidelines for the diagnosis and treatment of pulmonary hypertension. ESC/ERS Guidelines. EHJ 2009
  • 19.
  • 20.
    Indicazione terapeutica :test vasoreattività “ Responder” ↓ PAPm di almeno 10 mmHg (> 20%) fino a raggiungere PAPm ≤ 40 mmHg in assenza di una riduzione dell’indice cardiaco ( ↑ o ↔) Solo i pazienti responders sono candidati alla terapia con Calcio- antagonisti
  • 21.
    Acute vasodilator challengeshould only be performed with short-acting, safe and easy administer drugs with no or limited systemic effects
  • 22.
  • 23.
    RHC is required to confirm the DIAGNOSIS of PAH, to ASSESS the severity of the haemodynamic impairment , and to TEST the VASOREACTIVITY of the pulmonary circulation
  • 24.
    P(t) = H(t)A(PAPm, RAPm, CI) Sopravvivenza Registro NIH: 1y 2y 3y 68% 57% 48% H(t) = 0.88 - 0.14 t + 0.01 t 2 A(PAPm, RAPm, CI) = e (0.007325 PAPm + 0.0526 RAPm - 0.3275 CI) t = time in years 5y 34% formula predittiva di sopravvivenza: D’Alonzo GE, Ann Intern Med 1991 Equazione validata da: J Sandoval et al: Circulation 1994; 89:1733 Registro NIH Prospettico multicentrico 32 Centri USA; 194 IPAH 1981-1985 Stratificazione prognostica
  • 25.
    Gravità della malattia: PAPm/IC/PAD/PVR
  • 26.
  • 27.
  • 28.
  • 29.
  • 30.
  • 31.
  • 32.
    … ladeterminazione della PWP d.d. forme pre-capillari vs post-capillari valore soglia PWP 15 mmHg - calibrazione corretta del sistema allineamento del trasduttore con l’atrio destro interpretazione della curva pressoria e scelta del valore corretto
  • 33.
    P ressione diincuneamento polmonare
  • 34.
    P ressione diincuneamento polmonare ESPIRO INSPIRO
  • 35.
    P ressione diincuneamento polmonare ESPIRO INSPIRO Qual’è il valore medio corretto ?
  • 36.
    P ressione diincuneamento polmonare ESPIRO INSPIRO Qual’è il valore medio corretto ?
  • 37.
    Pulmonary capillary wedgepressure not the pressure in the pulmonary capillaries. Weed HG, Chest 1991; 100: 1138 La pressione che il catetere occludente misura non è la pressione immediatamente a valle del palloncino, ma è la pressione alla fine della colonna statica di sangue, laddove la colonna entra in comunicazione con flusso proveniente da altri capillari.
  • 38.
    Pulmonary capillary wedgepressure not the pressure in the pulmonary capillaries. Weed HG, Chest 1991; 100: 1138
  • 39.
    Cateterismo destro vafatto solo al termine del percorso diagnostico. Se la diagnosi preliminare è di un sospetto shunt sistemico-polmonare l’esame deve essere condotto …
  • 40.
    Sospetto shunt sistemico-polmonareDeterminazioni ossimetriche Calcolo della portata cardiaca con metodo di Fick Quantificazione quota shunt con misura Qp/Qs Calcolo della portata cardiaca: accuratezza dei metodi
  • 41.
    Ipertensione polmonare associata a cardiopatie congenite
  • 42.
    Determinazione della pressionepolmonare media: accuratezza delle curve
  • 43.
    RHC is requiredto confirm the diagnosis of PAH, to assess the severity of the haemodynamic impairment, and to test the vasoreactivity of the pulmonary circulation
  • 44.

Editor's Notes

  • #3 Due concetti: 1) necessario cat dx per diagnosi; 2) non si parla di RVP, ma di PAPm perché nell’IPP il calcolo delle RVP può essere scorretto (motivo per cui nella definizione di vasoreattività è riportata la PAPm e non le RVP). Infatti il calcolo delle resistenze polmonari deriva dagli studi fatti da Poiseille (R = 8ηl/πr 4 ); si applica correttamente solo a fluidi newtoniani, per flussi continui, laminari, attraverso tubi circolari rigidi
  • #4 Due concetti: 1) necessario cat dx per diagnosi; 2) non si parla di RVP, ma di PAPm perché nell’IPP il calcolo delle RVP può essere scorretto (motivo per cui nella definizione di vasoreattività è riportata la PAPm e non le RVP). Infatti il calcolo delle resistenze polmonari deriva dagli studi fatti da Poiseille (R = 8ηl/πr 4 ); si applica correttamente solo a fluidi newtoniani, per flussi continui, laminari, attraverso tubi circolari rigidi
  • #5 Due cose vanno sottolineate: 1 …
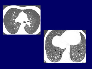
  • #20 Edema dei setti interlobulari, dilatazione dei vasi linfatici spetti Aspetti clinici che la caratterizzano: ippocratismo digitale e crepitazioni bibasliare; edema interstiziale cronico dovuto all’occlsuione venulare; peggio Dlco, ipossiemia più severa. OPACITà NODULARI A VETRO SMERIGLIATO CENTROLOBULARI, IPESSIMENTO DEI SETTI INERTLOBULARI E LINFOADENOPATIE MEDIASTINICHE, MICROEMORRAGIE POLMONARI ALVEOLARI: AL BAL MCROFAGI COLMI DI EMOSIDERINA (TUTTO CIO’ NON C’Eè NELL’IPP) VENGONO INTERESSATE LE VENE PRE-SEPTALI E SEPTALI CON LESIONI FIBROTICHE OCCLUDENTI, MUSCOLAREIZZAZIONE DELLE VENULE, EDEMA, EMORRAGIE INTRALVEOLARI, DILATAZIONE LINFATICA, INFILTRATI INFIAMMATORI; COINVOLGIMENTO ANCHE DELLE ARTERIOLE DISTALI
  • #21 IP pre-capillare o post-capillare? Nella malattia veno-occlusiva l’aumento della PCWP può non essere uniforme ma presente solo in alcuni lobi polmonari.
  • #22 IP pre-capillare o post-capillare? Nella malattia veno-occlusiva l’aumento della PCWP può non essere uniforme ma presente solo in alcuni lobi polmonari.
  • #23 Un primo messaggio forte delle LG, che però richiede un piccolo chiarimento, è il riferimento al centro esperto, dicono le LG per fare il cath dx ed il test all’NO. In realtà il cath dx lo possono fare in molti, ma il c.e. deve fare una cosa ancora più importante del cath dx
  • #26 Poiché la prognosi non è facile da definire, mentre i sintomi sono chiari, si dà per buona che ci sia una diretta correlazione tra: deterioramento clinico e peggioramento della prognosi. Ma possiamo fidarci dei soli sintomi per definire la prognosi? La scelta del farmaco (ERA, PDE5i o epoprostenolo) dipende dalla severità dei sintomi (meno sintomi: terapia p.o, più sintomi: terapia parenterale). Il che è una semplificazione per la gravità della malattia.
  • #27 Quando una terapia di combinazione? E quale? Quando mettere i pz in lista di trapianto o pensare alla settostomia? < When the pts “deteriorate”>. This is vague. Better should be: when the risk increases
  • #32 Due concetti: 1) necessario cat dx per diagnosi; 2) non si parla di RVP, ma di PAPm perché nell’IPP il calcolo delle RVP può essere scorretto (motivo per cui nella definizione di vasoreattività è riportata la PAPm e non le RVP). Infatti il calcolo delle resistenze polmonari deriva dagli studi fatti da Poiseille (R = 8ηl/πr 4 ); si applica correttamente solo a fluidi newtoniani, per flussi continui, laminari, attraverso tubi circolari rigidi
  • #33 Calibrazione sistema: fare lo ZERO per assicurare la linea flebostatica, cioè eliminare differenze di pressione idrostatica tra il trasduttore e la punta del catetere Trasduttore di pressione a livello atrio destro (se in alto bassa PWP, se in basso rispetto all’atrio destro PWP maggiore)
  • #41 IP pre-capillare o post-capillare? Nella malattia veno-occlusiva l’aumento della PCWP può non essere uniforme ma presente solo in alcuni lobi polmonari.
  • #44 IP pre-capillare o post-capillare? Nella malattia veno-occlusiva l’aumento della PCWP può non essere uniforme ma presente solo in alcuni lobi polmonari.