Intrauterine GrowthIntrauterine Growth
RestrictionRestriction
(IUGR)(IUGR)
Dr. sadaf ijazDr. sadaf ijaz
Definition
• Fetuses of birth weight less than 10th percentile of those born at
same gestational age
or
two standard deviations below the population mean are
considered growth restricted.
« small for gestational age »(SGA) fetuses, all of which may
not necessarily growth restricted as many of these may be just
constitutionally small and not at risk of any adverse outcome.)
Rcog guidelines
• SGA is defined as EFW or AC less than
10th
centile and sever SGA when these are
less than 3rd
centile.
• 50 -70% of these may be just
constitutionally small and not at risk of any
adverse outcome.
Incidence
• 3 - 5 % of all pregnancies.
• 1/3 of infants with BW < 2800 grams are growth
retarded and not premature.
• 9 - 27 % have anatomic and/or genetic
abnormalities.
• Perinatal mortality is 6 - 10 times higher for
these fetuses.
• 30% of all stillborn infants are growth restricted.
• « Therefore the term IUGR
should more strictly refer to
fetuses that are small for
gestational age and display other
signs of chronic hypoxia or
failure to thrive. »
Normal Fetal Growth
• Fetal growth depends on two components:
– Genetic Potential
– Substrate supply
The genetic potential is derived from both
parents and is mediated through growth
factors such as insulin-like growth factor.
Adequate substrate supply is essential to
achieve genetic potential. This is derived from
placenta which is dependent upon the uterine
and placental vascularity
A comparision between normal and
IUGR babies.
Normal and IUGR placenta
Normal Fetal Growth
• Normal fetal growth is characterized
by
cellular hyperplasia followed by
hyperplasia and hypertrophy and
lastly by
hypertrophy alone.
Normal Intrauterine Growth
pattern
• Stage I (Hyperplasia)
- 4 to 20 weeks
- Rapid mitosis
- Increase of DNA content
• Stage II (Hyperplasia & Hypertrophy)
- 20 to 28 weeks
- Declining mitosis.
- Increase in cell size.
Normal Intrauterine Growth pattern
• Stage III ( Hypertrophy)
- 28 to 40 weeks
- Rapid increase in cell size.
- Rapid accumulation of fat, muscle and
connective tissue.
• 95% of fetal weight gain occurs during last 20
weeks of gestations.
Weight gain
• Fetal growth accelerates from about 5g
per day at 14 -15 wks of gestation to
• 10g per day at 20 wks
• Peaks at 30 -35g per day at 32-34wks
• After which growth rate decreases.
Fetal Growth indices
• Symphysiofundal height increases by
about 1cm per wk between 14 and
32 wks.
• Abdominal girth increases by 1 inch
per wk after 30 wks. It is about 30
inches at 30wks in an average built
woman.
Classification of Inrauterine
Growth Restriction
1. Type 1 or symmetrical or intrinsic
IUGR
2. Type 2 or assymetric IUGR
3. Intermediate IUGR
Classification
SymmetricSymmetricll AAsymmetricalsymmetrical
Baby's brain is abnormally large
when compared to the liver.
may occur when the fetus
experiences a problem during later
development .and is seen in
undernourished fetus who is
compensating by directing most of
its energy to maintaining vitals
organs,
The baby's head and body are
proportionately small.
may occur when the fetus
experiences a problem during
early development.
In a normal infant, the brain weighs about three times more than the liver.
In asymmetrical IUGR, the brain can weigh five or six times more than the
liver.
Types of IUGR
• Symmetric IUGR: weight,length and head
circumference are all below the 10th
percentile. (33 % of IUGR Infants)
• Asymmetric IUGR: weight is below the 10 th
percentile and head circumference and length
are preserved. (55 % of IUGR)
• Combined type IUGR: Infant may have
skeletal shortening, some reduction of soft
tissue mass.(12% of IUGR)
Ponderal Index
• Way of characterizing the relationship of height
to mass for an individual.
• PI = 100 x
• Typical values are 2.0 to 2.5
• PI is normal in symmetric IUGR.
• PI is low in asymmetric IUGR.
Mass (gm)
Height (cm)3
Classification of IUGR
• Type 1 or symmetrical IUGR- (20-30%)
Occurs as a result of growth inhibition early
in pregnancy i.e. the hyperplastic stage.
Any pathological insult at this phase leads
to reduced no. of cells in fetus and overall
decreased growth potential.
All parameters(head and abdo
circumference, length and weight)
are below 10th
percentile for
gestational age, hence normal
ponderal index (birth weight/ht3).
Type 2 or asymmetric IUGR (70-80%)
Occurs as a result of restriction of nutrient
supply in utero i.e. uteroplacental
insufficiency.
• The onset of growth restriction occurs usually after
28 wks of gestation i.e. in the stage of hypertrophy.
The fetus has near normal total no. of cells but cell
size is reduced.
• There is brain sparing effect so that the head
growth remains normal but the abdominal girth
slows down.
• The Ponderal index is low.
• This asymmetry results from redistribution of
fetal cardiac output with increased flow to brain
and heart at the expense of reduced splanchnic
circulation.
• Liver size is reduced because of
diminished glycogen stores.
• In case of severe placental insufficiency
the head growth may also be affected.
This type of growth restriction leads to
decreased amniotic fluid, chronic
hypoxia and may result in fetal death.
Intermediate IUGR (5-10% of all growth
restricted fetuses)
• It is a combination of type 1 and type 2.
• Fetal growth restriction occurs during intermediate
phase of growth affecting both hyperplasia and
hypertrophy, resulting in decrease in cell no. as well
as size.
• Causes include
Chronic HT
Lupus nephritis
Maternal vascular diseases that are severe and
have onset in early 2nd
trimester
• IUGR may also be classified simply
as
 Early onset (onset before 32 weeks)
 Late onset (onset after 32 weeks)
Etiology
• IUGR is a manifestation of fetal,
maternal and placental disorders that
affect fetal growth.
Maternal Fetal Placental
Constitutional Cong anomalies Abn Trophoblast
Nutritional Chromosomal Velamentous cord
Genetic Infections Circumvallate p
Collagen vascular ds Multiple preg Pl Praevia
Autoimmune disease Pl infarction
HTN, Diabetes Tumors
Renal disease
Environmental
Drugs ,anemia
cadiac,smoking
cocaine,chemotheraputic agnts
genetic
Complications of IUGR
Perinatal mortality and morbidity of IUGR infants
is 10 times greater than normal infants.
• Antepartum period- increased incidence of-
-still births
-oligohydramnios
IUGR is found in 30% of unexplained stillbirths.
• During labour- higher incidence of-
-meconium aspiration
-fetal distress
-intrapartum fetal death
Complications of IUGR contd..
• Neonatal period- increased incidence
of-
Hypoxic ischemic encephalopathy
Persistent fetal circulation insufficiency
They have difficulty in temperature regulation
because of absent brown fat and small body
mass relative to surface area.
Lack of glycogen stores may
predispose to hypoglycemia
Chronic intrauterine hypoxia may
lead to polycythemia, necrotizing
enterocolitis, other metabolic
abnormalities.
Complications cont..
• Childhood- increases mortality from-
Infectious diseases
Congenital anomalies
Incidence of cerebral palsy are 4-6 times
higher.
Subtle impairment of cognitive
performance and educational
underachievement.
Long term complications-
• Increased risk of coronary heart
disease
• Hypertension,
• Type II diabetes mellitus,
• Dyslipidaemia and stroke.
Diagnosis of IUGR
Identifying mothers at risk:
Poor maternal nutrition
Poor BMI at conception
Pre-eclampsia
Renal disorders
Diseases causes vascular
insufficiency
Infections (TORCH)
Poor maternal wt. gain during
pregnancy
Determination of gestational age is utmost
importance-
– Can be calculated from the date of LMP-
not reliable.uncertain in 20-40% of cases.
– Ultrasound dating before 21 wks of
pregnancy provides more accurate
estimate.
Diagnosis of IUGR
1. Clinically- Serial measurement of fundal height
and abdominal girth.
 Symphysio-fundal height normally increases
by 1cm per wk b/w 14 and 32 wks.
 A lag in fundal ht. of 4wks is suggestive
of moderate IUGR.
 A lag of >6 wks is suggestive of severe
IUGR.
 Sensitivity 60-85% & PPV 20-80%
 Poor screening tool
2. Sonographic evaluation-
 most useful tool for diagnosis of IUGR
 To differentiate between symmetrical and
asymmetrical IUGR
 To monitor the fetal condition.
Fetal biometry:
i. BPD(Biparietal Diameter)- determines gestational
age and type of IUGR.
When growth rate of BPD is below 5th
percentile,
82% of births are below 10th
percentile(i.e. IUGR).
ii. Head circumference.
iii. Transverse cerebellar
diameter(TCD)
iv. Abdominal circumference(AC).
An increase in fetal AC of less than 10 mm in 14
days has sensitivity of 85% and specificity of
74% for identification of IUGR.
iv. Measurement ratios- there are some age
independent ratios to detect IUGR.
HC/AC: HC/AC >2 SD above mean is predictive
of IUGR.
 Placental Morphology: Acceleration of
placental maturation may occur with IUGR
and PIH.
(Placenta is graded from grade 0 to grade III)
 Amniotic fluid volume: type 2 IUGR is
usually associated with oligohydramnios.
Amniotic fluid index(AFI) between 8 and 25
is normal.
• Placental grading (Grannum classification) refers to a
ultrasound grading system of the placenta based on its
maturity. This primarily affects the extent of
calcifications. In some countries the use of placental
grading has fallen out of obstetric practice.
• The grading system is as follows:
• grade 0: <18 weeks
– uniform echogenicity
– smooth chorionic plate
• grade I: 18-29 weeks
– occasional parenchymal calcification/hyperechoic
areas
– subtle indentations of chorionic plate
• grade II: >30 weeks
– occasional basal calcification/hyperechoic areas
– deeper indentations of chorionic plate (does not reach
up to basal plate)
• seen as comma type densities at the chorionic
plate
• grade III: >39 weeks
– significant basal calcification
– chorionic plate interrupted by indentations (frequently
calcified) that reach up to basal plate: cotyledons
– an early progression to a grade III placenta
is concerning and is sometimes associated
with placental insufficiency
3. Doppler Ultrasonography: doppler flow studies are
important adjuncts to fetal biometry in identifying
the IUGR fetuses at risk of adverse outcome.
Most widely used arterial indices are :
Pulsatility index (PI): Systolic and diastolic peak
velocity / time averaged maximum velocity
Resistance Index(RI): Systolic and diastolic peak
velocity/ systolic peak velocity
Systolic to diastolic ratio(S/D): Systolic peak velocity /
diastolic peak velocity
Umblical Artery doppler- In IUGR there is
increased umblical artery resistance (increased
S/D ratio), absent end diastolic flow and finally
reversed end diastolic flow.
Perinatal mortality rate increases significantly in
fetuses with absent end diastolic flow (9-41%)
and reversed end diastolic flow (33-73%) in
umblical artery.
Middle cerebral artery Doppler- in a
normal fetus has relatively little flow
during diastole. Increased resistance to
blood flow in placenta results in
redistribution of cardiac output to
favour cardiac and cerebral
circulations leading to increased flow
in the diastolic phase with decreased
S/D ratio.
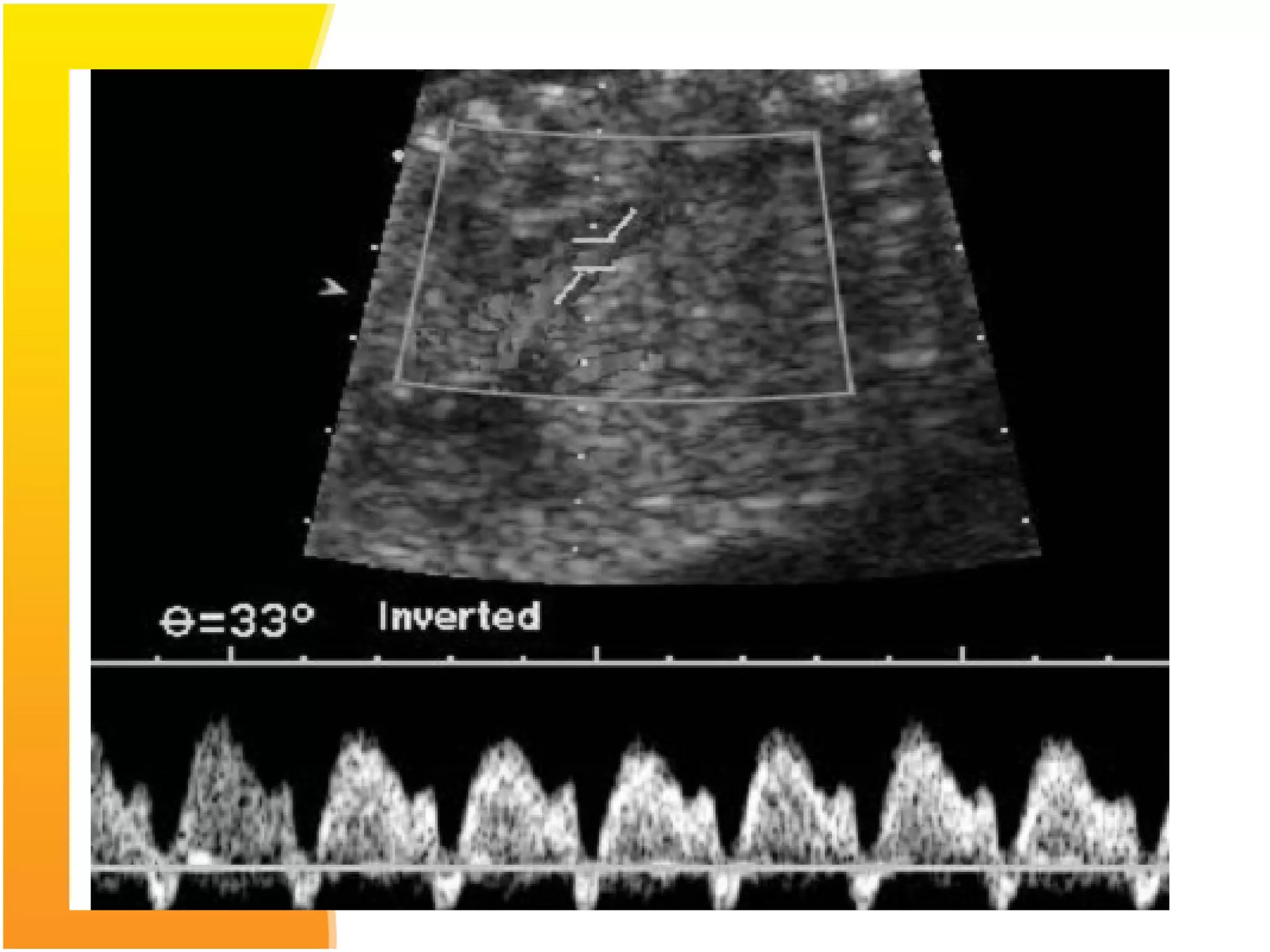
Normal Flow velocity waveforms of middle Cerebral Artery
Doppler
Cerebral artery doppler
 Cerebral/Placental ratio: ratio between MCA PI
and umblical artery PI is more sensiive predictor
than either MCA and umblical artery velocimetry
alone to detect redistribution of blood flow.
Cut off values below 1.0 to 1.1 are considered to be
diagnostic of brain spairing effect.
• MCA peak systolic velocimetry: is good indicator
of fetal anaemia and is less useful in IUGR.
Ductus venosus doppler:
Perinatal mortality in growth restricted
fetuses has been found to be
significantly worse when
abnormalities in fetal venous
circulation are detected.
In the normal fetus, flow in the ductus
venosus is forwards , moving
towards the heart during entire
cardiac cycle.
Triphasic waveform
• Abnormal waveforms in fetal ductus venosus flow
assessment can occur in a number of situations which include
• aneuploidic anomalies
– Down syndrome:
• congenital cardiac anomalies
– fetal pulmonary arterial anomalies
• congenital pulmonary stenosis
• pulmonary atresia
• fetal arteriovenous malformations l
• fetal tumours that lead to arterio-venous shunting
– sacrococcygeal teratoma
• twin to twin transfusion syndrome: recipient twin
• maternal diabetes:
• Abnormal waveforms include
• reduction flow in ductus venosus A wave
• absent flow in ductus venosus A wave
• reversal of flow in ductus venosus A wave
• abnormal indices
• Growth restricted fetuses with abnormal ductus
venous flow have worse perinatal outcome
compared to those where flow abnormality is
confined to the umbilical or middle cerebral artery .
When circulatory compensation of the fetus fails,
the ductus venosus waveform shows absent or
reverse blood flow during atrial conraction.
Perinatal mortality being 63-100%.
Therefore it is recommended that fetus should be
delivered before the development of absent of
reversed blood flow of DV.
: Representation of fetal umbilical and hepatic
venous system. The arrows indicate the direction
of flow.
FO, foramen ovale; RA, right atrium; DV, ductus
venous; UV, umbilical vein; HV, hepatic veins; IVC, inferior vena
cava; PS, portal sinus; LPV, left portal vein; RPV, right portal
vein; EPV, extrahepatic portal vein; GB, gallbladder
MANAGEMENT
 Principles:
1. Identify the cause of growth restriction.
2. Treat the cause if found.
3. General management
MANAGEMENT
 First step is to identify the aetiology of IUGR:-
Maternal history pertaining to the risk factors of
IUGR.
Clinical examination- maternal habitus, height,
weight, BP etc.
Laboratory investigations- Hb, blood sugar, renal
function tests, serology for TORCH
Specific investigations for thrombophilias in pts with
history suggestive of early onset growth restriction.
MANAGEMENT
Fetal evaluation: thorough ultrasound for
growth restriction, amniotic fluid, congenital
anomalies and doppler evaluation
Management cont..
 Treatment of underlying cause: such as
hypertension, cessation of smoking, protein
energy supplementation in poorly nourished
and underweight women.
 General Management:
 Bed rest in left lateral position to increase
uteroplacental blood flow
 Maternal nutritional supplementation with high
caloric and protein diets, antioxidents.
 Maternal oxygen therapy
Management cont..
Pharmacological therapy:
Aspirin in low doses(1-2 mg/kg body wt.),
betamimetics etc
Thus there is no form of therapy currently available
which can reverse IUGR, the only intervention
possible in most cases is delivery.
• Delivery: Since IUGR fetus is at increased risk of
intrauterine hypoxia and intrauterine demise, the
decision needs to delicately balance the risk to the
fetus in utero with continuation of pregnancy and
that of prematurity if delivered before term.
RISK OF PREMATURITY
DIFFICULT EXTRA
UTERINE
EXISTENCE
RISK OF IUD
• HOSTILE INTRA
UTERINE
ENVIRONMENT
Judge Optimum Time Of DeliveryJudge Optimum Time Of Delivery
• The optimum timing of delivery is determined
by gestational age, underlying aetiology,
possibility of extrauterine survival and fetal
condition.
• Strict fetal surveillance is needed to monitor
fetal well being and to detect signs of fetal
compromise
Fetal Surveillance
1. Daily fetal movement score
2. Non stress test(NST)
3. Biophysical profile(BPP)
4. Amniotic fluid index(AFI)
5. Growth parameters
6. Doppler studies
Sonography is usually repeated every 2 wks.
Fetal biophysical profile
Management cont..
• Role of steroids:
Antenatal glucocorticoid administration reduces
the incidence of respiratory distress syndrome,
intraventricular hemorrhage and death in IUGR
fetusus weighing less than 1500gm.
Mode of Delivery
 Fetuses with significant IUGR should be preferably
delivered in well equiped centres which can provide
intrapartum continuous fetal heart monitoring , fetal
blood sampling and expert neonatal care.
 Vaginal delivery: can be allowed as long as
there is no obstetric indication for caesarian
section and fetal heart rate is normal.
• Fetuses with major anomaly incompatible with
life should also be delivered vaginally.
Caesarian section: In all cases of IUGR with
features of acidosis caesarian section should be
done without trial of labour. These include:
Repetitive late decelerations
poor biophysical profile
reversal of end diastolic flow in umblical artery
abnormal venous doppler
blood gas analysis showing acidic pH on
cordocentesis.
Conclusion
One of the primary aims of antenatal care is to
identify fetuses which show a significant growth
lag, since they are at a high risk of hypoxic
complications in the perinatal period.
Management options are limited to close fetal
monitoring and termination of pregnancy
balancing the risk of prematurity and that of
intrauterine demise.
GREEN TOP GUIDELINES
• All women should be assessed at booking for risk
factors for a SGA fetus/neonate to identify those
who require increased surveillance
• measurement of fetal size and assessment of
wellbeing with umbilical artery Doppler from 26–28
weeks of pregnancy.
• Women who have three or more minor risk factors
should be referred for uterine artery Doppler at 20–
24 weeks of gestation
• A low level (< 0.415 MoM) of the first trimester marker
PAPP–A should be considered a major risk factor for
delivery of a SGA neonate.
• In high risk populations uterine artery Doppler at 20–24
weeks of pregnancy has a moderate predictive value for
a severely SGA neonate.
• In women with an abnormal uterine artery Doppler at 20–
24 weeks of pregnancy, subsequent normalisation of
flow velocity indices is still associated with an increased
risk of a SGA neonate.
• Women with an abnormal uterine artery Doppler at 20–
24 weeks and/or notching should be referred for serial
ultrasound measurement of fetal size and assessment of
wellbeing with umbilical artery Doppler commencing at
26–28 weeks of pregnancy.
• Women with a normal uterine artery Doppler do not
require serial measurement of fetal size and serial
assessment of wellbeing with umbilical artery Doppler
unless they develop specific pregnancy complications,
for example antepartum haemorrhage or hypertension.
• Serial ultrasound measurement of fetal size and
assessment of wellbeing with umbilical artery
Doppler should be offered in cases of fetal
echogenic bowel.
• Abdominal palpation has limited accuracy for the
prediction of a SGA neonate
• Serial measurement of symphysis fundal height
(SFH) is recommended at each antenatal
appointment from 24 weeks of pregnancy as this
improves prediction of a SGA neonate.
• SFH should be plotted on a customised chart .
• Women with a single SFH which plots below the
10th centile or serial measurements which
demonstrate slow or static growth by crossing
centiles should be referred for ultrasound
measurement of fetal size.
• Women in whom measurement of SFH is
inaccurate (for example: BMI > 35, large fibroids,
hydramnios) should be referred for serial
assessment of fetal size using ultrasound.
Optimum method of diagnosing a
SGA fetus and FGR
• Fetal abdominal circumference (AC) or estimated
fetal weight (EFW) < 10th centile can be used to
diagnose a SGA fetus.
• Routine measurement of fetal AC or EFW in the third
trimester does not reduce the incidence of a SGA
neonate nor does it improve perinatal outcome.
• Where the fetal AC or EFW is < 10th centile or there is
evidence of reduced growth velocity, women should
be offered serial assessment of fetal size and
umbilical artery Doppler.
Investigations that are indicated in SGA
fetuses
• Referral for a detailed fetal anatomical survey
and uterine artery Doppler by a fetal medicine
specialist if severe SGA is identified at the 18–
20 week scan.
• Karyotyping should be offered in severely SGA
fetuses with structural anomalies and in those
detected before 23 weeks of gestation,
especially if uterine artery Doppler is normal.
• Serological screening for congenital
cytomegalovirus (CMV) and toxoplasmosis
infection should be offered in severely SGA
fetuses.
• Testing for syphilis and malaria should be
considered in high risk populations.
• Uterine artery Doppler has limited accuracy .

Intrauterinegrowthrestriction 130120060505-phpapp02 - copy

  • 1.
  • 2.
    Definition • Fetuses ofbirth weight less than 10th percentile of those born at same gestational age or two standard deviations below the population mean are considered growth restricted. « small for gestational age »(SGA) fetuses, all of which may not necessarily growth restricted as many of these may be just constitutionally small and not at risk of any adverse outcome.)
  • 3.
    Rcog guidelines • SGAis defined as EFW or AC less than 10th centile and sever SGA when these are less than 3rd centile. • 50 -70% of these may be just constitutionally small and not at risk of any adverse outcome.
  • 4.
    Incidence • 3 -5 % of all pregnancies. • 1/3 of infants with BW < 2800 grams are growth retarded and not premature. • 9 - 27 % have anatomic and/or genetic abnormalities. • Perinatal mortality is 6 - 10 times higher for these fetuses. • 30% of all stillborn infants are growth restricted.
  • 5.
    • « Thereforethe term IUGR should more strictly refer to fetuses that are small for gestational age and display other signs of chronic hypoxia or failure to thrive. »
  • 6.
    Normal Fetal Growth •Fetal growth depends on two components: – Genetic Potential – Substrate supply The genetic potential is derived from both parents and is mediated through growth factors such as insulin-like growth factor. Adequate substrate supply is essential to achieve genetic potential. This is derived from placenta which is dependent upon the uterine and placental vascularity
  • 7.
    A comparision betweennormal and IUGR babies.
  • 8.
  • 9.
    Normal Fetal Growth •Normal fetal growth is characterized by cellular hyperplasia followed by hyperplasia and hypertrophy and lastly by hypertrophy alone.
  • 10.
    Normal Intrauterine Growth pattern •Stage I (Hyperplasia) - 4 to 20 weeks - Rapid mitosis - Increase of DNA content • Stage II (Hyperplasia & Hypertrophy) - 20 to 28 weeks - Declining mitosis. - Increase in cell size.
  • 11.
    Normal Intrauterine Growthpattern • Stage III ( Hypertrophy) - 28 to 40 weeks - Rapid increase in cell size. - Rapid accumulation of fat, muscle and connective tissue. • 95% of fetal weight gain occurs during last 20 weeks of gestations.
  • 12.
    Weight gain • Fetalgrowth accelerates from about 5g per day at 14 -15 wks of gestation to • 10g per day at 20 wks • Peaks at 30 -35g per day at 32-34wks • After which growth rate decreases. Fetal Growth indices
  • 13.
    • Symphysiofundal heightincreases by about 1cm per wk between 14 and 32 wks. • Abdominal girth increases by 1 inch per wk after 30 wks. It is about 30 inches at 30wks in an average built woman.
  • 14.
    Classification of Inrauterine GrowthRestriction 1. Type 1 or symmetrical or intrinsic IUGR 2. Type 2 or assymetric IUGR 3. Intermediate IUGR
  • 15.
    Classification SymmetricSymmetricll AAsymmetricalsymmetrical Baby's brainis abnormally large when compared to the liver. may occur when the fetus experiences a problem during later development .and is seen in undernourished fetus who is compensating by directing most of its energy to maintaining vitals organs, The baby's head and body are proportionately small. may occur when the fetus experiences a problem during early development. In a normal infant, the brain weighs about three times more than the liver. In asymmetrical IUGR, the brain can weigh five or six times more than the liver.
  • 16.
    Types of IUGR •Symmetric IUGR: weight,length and head circumference are all below the 10th percentile. (33 % of IUGR Infants) • Asymmetric IUGR: weight is below the 10 th percentile and head circumference and length are preserved. (55 % of IUGR) • Combined type IUGR: Infant may have skeletal shortening, some reduction of soft tissue mass.(12% of IUGR)
  • 17.
    Ponderal Index • Wayof characterizing the relationship of height to mass for an individual. • PI = 100 x • Typical values are 2.0 to 2.5 • PI is normal in symmetric IUGR. • PI is low in asymmetric IUGR. Mass (gm) Height (cm)3
  • 18.
    Classification of IUGR •Type 1 or symmetrical IUGR- (20-30%) Occurs as a result of growth inhibition early in pregnancy i.e. the hyperplastic stage. Any pathological insult at this phase leads to reduced no. of cells in fetus and overall decreased growth potential.
  • 19.
    All parameters(head andabdo circumference, length and weight) are below 10th percentile for gestational age, hence normal ponderal index (birth weight/ht3).
  • 20.
    Type 2 orasymmetric IUGR (70-80%) Occurs as a result of restriction of nutrient supply in utero i.e. uteroplacental insufficiency.
  • 21.
    • The onsetof growth restriction occurs usually after 28 wks of gestation i.e. in the stage of hypertrophy. The fetus has near normal total no. of cells but cell size is reduced. • There is brain sparing effect so that the head growth remains normal but the abdominal girth slows down.
  • 22.
    • The Ponderalindex is low. • This asymmetry results from redistribution of fetal cardiac output with increased flow to brain and heart at the expense of reduced splanchnic circulation.
  • 23.
    • Liver sizeis reduced because of diminished glycogen stores. • In case of severe placental insufficiency the head growth may also be affected. This type of growth restriction leads to decreased amniotic fluid, chronic hypoxia and may result in fetal death.
  • 24.
    Intermediate IUGR (5-10%of all growth restricted fetuses) • It is a combination of type 1 and type 2. • Fetal growth restriction occurs during intermediate phase of growth affecting both hyperplasia and hypertrophy, resulting in decrease in cell no. as well as size. • Causes include Chronic HT Lupus nephritis Maternal vascular diseases that are severe and have onset in early 2nd trimester
  • 25.
    • IUGR mayalso be classified simply as  Early onset (onset before 32 weeks)  Late onset (onset after 32 weeks)
  • 26.
    Etiology • IUGR isa manifestation of fetal, maternal and placental disorders that affect fetal growth.
  • 27.
    Maternal Fetal Placental ConstitutionalCong anomalies Abn Trophoblast Nutritional Chromosomal Velamentous cord Genetic Infections Circumvallate p Collagen vascular ds Multiple preg Pl Praevia Autoimmune disease Pl infarction HTN, Diabetes Tumors Renal disease Environmental Drugs ,anemia cadiac,smoking cocaine,chemotheraputic agnts genetic
  • 28.
    Complications of IUGR Perinatalmortality and morbidity of IUGR infants is 10 times greater than normal infants. • Antepartum period- increased incidence of- -still births -oligohydramnios IUGR is found in 30% of unexplained stillbirths. • During labour- higher incidence of- -meconium aspiration -fetal distress -intrapartum fetal death
  • 29.
    Complications of IUGRcontd.. • Neonatal period- increased incidence of- Hypoxic ischemic encephalopathy Persistent fetal circulation insufficiency They have difficulty in temperature regulation because of absent brown fat and small body mass relative to surface area.
  • 30.
    Lack of glycogenstores may predispose to hypoglycemia Chronic intrauterine hypoxia may lead to polycythemia, necrotizing enterocolitis, other metabolic abnormalities.
  • 31.
    Complications cont.. • Childhood-increases mortality from- Infectious diseases Congenital anomalies Incidence of cerebral palsy are 4-6 times higher. Subtle impairment of cognitive performance and educational underachievement.
  • 32.
    Long term complications- •Increased risk of coronary heart disease • Hypertension, • Type II diabetes mellitus, • Dyslipidaemia and stroke.
  • 33.
    Diagnosis of IUGR Identifyingmothers at risk: Poor maternal nutrition Poor BMI at conception Pre-eclampsia Renal disorders Diseases causes vascular insufficiency Infections (TORCH) Poor maternal wt. gain during pregnancy
  • 34.
    Determination of gestationalage is utmost importance- – Can be calculated from the date of LMP- not reliable.uncertain in 20-40% of cases. – Ultrasound dating before 21 wks of pregnancy provides more accurate estimate.
  • 35.
    Diagnosis of IUGR 1.Clinically- Serial measurement of fundal height and abdominal girth.  Symphysio-fundal height normally increases by 1cm per wk b/w 14 and 32 wks.  A lag in fundal ht. of 4wks is suggestive of moderate IUGR.  A lag of >6 wks is suggestive of severe IUGR.  Sensitivity 60-85% & PPV 20-80%  Poor screening tool
  • 36.
    2. Sonographic evaluation- most useful tool for diagnosis of IUGR  To differentiate between symmetrical and asymmetrical IUGR  To monitor the fetal condition. Fetal biometry: i. BPD(Biparietal Diameter)- determines gestational age and type of IUGR. When growth rate of BPD is below 5th percentile, 82% of births are below 10th percentile(i.e. IUGR).
  • 37.
    ii. Head circumference. iii.Transverse cerebellar diameter(TCD) iv. Abdominal circumference(AC).
  • 38.
    An increase infetal AC of less than 10 mm in 14 days has sensitivity of 85% and specificity of 74% for identification of IUGR. iv. Measurement ratios- there are some age independent ratios to detect IUGR. HC/AC: HC/AC >2 SD above mean is predictive of IUGR.
  • 39.
     Placental Morphology:Acceleration of placental maturation may occur with IUGR and PIH. (Placenta is graded from grade 0 to grade III)  Amniotic fluid volume: type 2 IUGR is usually associated with oligohydramnios. Amniotic fluid index(AFI) between 8 and 25 is normal.
  • 40.
    • Placental grading(Grannum classification) refers to a ultrasound grading system of the placenta based on its maturity. This primarily affects the extent of calcifications. In some countries the use of placental grading has fallen out of obstetric practice. • The grading system is as follows: • grade 0: <18 weeks – uniform echogenicity – smooth chorionic plate • grade I: 18-29 weeks – occasional parenchymal calcification/hyperechoic areas – subtle indentations of chorionic plate
  • 41.
    • grade II:>30 weeks – occasional basal calcification/hyperechoic areas – deeper indentations of chorionic plate (does not reach up to basal plate) • seen as comma type densities at the chorionic plate • grade III: >39 weeks – significant basal calcification – chorionic plate interrupted by indentations (frequently calcified) that reach up to basal plate: cotyledons – an early progression to a grade III placenta is concerning and is sometimes associated with placental insufficiency
  • 42.
    3. Doppler Ultrasonography:doppler flow studies are important adjuncts to fetal biometry in identifying the IUGR fetuses at risk of adverse outcome. Most widely used arterial indices are : Pulsatility index (PI): Systolic and diastolic peak velocity / time averaged maximum velocity Resistance Index(RI): Systolic and diastolic peak velocity/ systolic peak velocity Systolic to diastolic ratio(S/D): Systolic peak velocity / diastolic peak velocity
  • 43.
    Umblical Artery doppler-In IUGR there is increased umblical artery resistance (increased S/D ratio), absent end diastolic flow and finally reversed end diastolic flow. Perinatal mortality rate increases significantly in fetuses with absent end diastolic flow (9-41%) and reversed end diastolic flow (33-73%) in umblical artery.
  • 48.
    Middle cerebral arteryDoppler- in a normal fetus has relatively little flow during diastole. Increased resistance to blood flow in placenta results in redistribution of cardiac output to favour cardiac and cerebral circulations leading to increased flow in the diastolic phase with decreased S/D ratio.
  • 50.
    Normal Flow velocitywaveforms of middle Cerebral Artery Doppler
  • 51.
  • 52.
     Cerebral/Placental ratio:ratio between MCA PI and umblical artery PI is more sensiive predictor than either MCA and umblical artery velocimetry alone to detect redistribution of blood flow. Cut off values below 1.0 to 1.1 are considered to be diagnostic of brain spairing effect. • MCA peak systolic velocimetry: is good indicator of fetal anaemia and is less useful in IUGR.
  • 53.
    Ductus venosus doppler: Perinatalmortality in growth restricted fetuses has been found to be significantly worse when abnormalities in fetal venous circulation are detected. In the normal fetus, flow in the ductus venosus is forwards , moving towards the heart during entire cardiac cycle.
  • 54.
  • 55.
    • Abnormal waveformsin fetal ductus venosus flow assessment can occur in a number of situations which include • aneuploidic anomalies – Down syndrome: • congenital cardiac anomalies – fetal pulmonary arterial anomalies • congenital pulmonary stenosis • pulmonary atresia • fetal arteriovenous malformations l • fetal tumours that lead to arterio-venous shunting – sacrococcygeal teratoma • twin to twin transfusion syndrome: recipient twin • maternal diabetes:
  • 56.
    • Abnormal waveformsinclude • reduction flow in ductus venosus A wave • absent flow in ductus venosus A wave • reversal of flow in ductus venosus A wave • abnormal indices • Growth restricted fetuses with abnormal ductus venous flow have worse perinatal outcome compared to those where flow abnormality is confined to the umbilical or middle cerebral artery .
  • 57.
    When circulatory compensationof the fetus fails, the ductus venosus waveform shows absent or reverse blood flow during atrial conraction. Perinatal mortality being 63-100%. Therefore it is recommended that fetus should be delivered before the development of absent of reversed blood flow of DV.
  • 58.
    : Representation offetal umbilical and hepatic venous system. The arrows indicate the direction of flow. FO, foramen ovale; RA, right atrium; DV, ductus venous; UV, umbilical vein; HV, hepatic veins; IVC, inferior vena cava; PS, portal sinus; LPV, left portal vein; RPV, right portal vein; EPV, extrahepatic portal vein; GB, gallbladder
  • 63.
    MANAGEMENT  Principles: 1. Identifythe cause of growth restriction. 2. Treat the cause if found. 3. General management
  • 64.
    MANAGEMENT  First stepis to identify the aetiology of IUGR:- Maternal history pertaining to the risk factors of IUGR. Clinical examination- maternal habitus, height, weight, BP etc. Laboratory investigations- Hb, blood sugar, renal function tests, serology for TORCH Specific investigations for thrombophilias in pts with history suggestive of early onset growth restriction.
  • 65.
    MANAGEMENT Fetal evaluation: thoroughultrasound for growth restriction, amniotic fluid, congenital anomalies and doppler evaluation
  • 66.
    Management cont..  Treatmentof underlying cause: such as hypertension, cessation of smoking, protein energy supplementation in poorly nourished and underweight women.
  • 67.
     General Management: Bed rest in left lateral position to increase uteroplacental blood flow  Maternal nutritional supplementation with high caloric and protein diets, antioxidents.  Maternal oxygen therapy
  • 68.
    Management cont.. Pharmacological therapy: Aspirinin low doses(1-2 mg/kg body wt.), betamimetics etc Thus there is no form of therapy currently available which can reverse IUGR, the only intervention possible in most cases is delivery.
  • 69.
    • Delivery: SinceIUGR fetus is at increased risk of intrauterine hypoxia and intrauterine demise, the decision needs to delicately balance the risk to the fetus in utero with continuation of pregnancy and that of prematurity if delivered before term. RISK OF PREMATURITY DIFFICULT EXTRA UTERINE EXISTENCE RISK OF IUD • HOSTILE INTRA UTERINE ENVIRONMENT Judge Optimum Time Of DeliveryJudge Optimum Time Of Delivery
  • 70.
    • The optimumtiming of delivery is determined by gestational age, underlying aetiology, possibility of extrauterine survival and fetal condition. • Strict fetal surveillance is needed to monitor fetal well being and to detect signs of fetal compromise
  • 71.
    Fetal Surveillance 1. Dailyfetal movement score 2. Non stress test(NST) 3. Biophysical profile(BPP) 4. Amniotic fluid index(AFI) 5. Growth parameters 6. Doppler studies Sonography is usually repeated every 2 wks.
  • 72.
  • 73.
    Management cont.. • Roleof steroids: Antenatal glucocorticoid administration reduces the incidence of respiratory distress syndrome, intraventricular hemorrhage and death in IUGR fetusus weighing less than 1500gm.
  • 74.
    Mode of Delivery Fetuses with significant IUGR should be preferably delivered in well equiped centres which can provide intrapartum continuous fetal heart monitoring , fetal blood sampling and expert neonatal care.  Vaginal delivery: can be allowed as long as there is no obstetric indication for caesarian section and fetal heart rate is normal. • Fetuses with major anomaly incompatible with life should also be delivered vaginally.
  • 75.
    Caesarian section: Inall cases of IUGR with features of acidosis caesarian section should be done without trial of labour. These include: Repetitive late decelerations poor biophysical profile reversal of end diastolic flow in umblical artery abnormal venous doppler blood gas analysis showing acidic pH on cordocentesis.
  • 76.
    Conclusion One of theprimary aims of antenatal care is to identify fetuses which show a significant growth lag, since they are at a high risk of hypoxic complications in the perinatal period. Management options are limited to close fetal monitoring and termination of pregnancy balancing the risk of prematurity and that of intrauterine demise.
  • 79.
    GREEN TOP GUIDELINES •All women should be assessed at booking for risk factors for a SGA fetus/neonate to identify those who require increased surveillance • measurement of fetal size and assessment of wellbeing with umbilical artery Doppler from 26–28 weeks of pregnancy. • Women who have three or more minor risk factors should be referred for uterine artery Doppler at 20– 24 weeks of gestation
  • 80.
    • A lowlevel (< 0.415 MoM) of the first trimester marker PAPP–A should be considered a major risk factor for delivery of a SGA neonate. • In high risk populations uterine artery Doppler at 20–24 weeks of pregnancy has a moderate predictive value for a severely SGA neonate. • In women with an abnormal uterine artery Doppler at 20– 24 weeks of pregnancy, subsequent normalisation of flow velocity indices is still associated with an increased risk of a SGA neonate.
  • 81.
    • Women withan abnormal uterine artery Doppler at 20– 24 weeks and/or notching should be referred for serial ultrasound measurement of fetal size and assessment of wellbeing with umbilical artery Doppler commencing at 26–28 weeks of pregnancy. • Women with a normal uterine artery Doppler do not require serial measurement of fetal size and serial assessment of wellbeing with umbilical artery Doppler unless they develop specific pregnancy complications, for example antepartum haemorrhage or hypertension.
  • 82.
    • Serial ultrasoundmeasurement of fetal size and assessment of wellbeing with umbilical artery Doppler should be offered in cases of fetal echogenic bowel. • Abdominal palpation has limited accuracy for the prediction of a SGA neonate • Serial measurement of symphysis fundal height (SFH) is recommended at each antenatal appointment from 24 weeks of pregnancy as this improves prediction of a SGA neonate.
  • 83.
    • SFH shouldbe plotted on a customised chart . • Women with a single SFH which plots below the 10th centile or serial measurements which demonstrate slow or static growth by crossing centiles should be referred for ultrasound measurement of fetal size. • Women in whom measurement of SFH is inaccurate (for example: BMI > 35, large fibroids, hydramnios) should be referred for serial assessment of fetal size using ultrasound.
  • 84.
    Optimum method ofdiagnosing a SGA fetus and FGR • Fetal abdominal circumference (AC) or estimated fetal weight (EFW) < 10th centile can be used to diagnose a SGA fetus.
  • 85.
    • Routine measurementof fetal AC or EFW in the third trimester does not reduce the incidence of a SGA neonate nor does it improve perinatal outcome. • Where the fetal AC or EFW is < 10th centile or there is evidence of reduced growth velocity, women should be offered serial assessment of fetal size and umbilical artery Doppler.
  • 86.
    Investigations that areindicated in SGA fetuses • Referral for a detailed fetal anatomical survey and uterine artery Doppler by a fetal medicine specialist if severe SGA is identified at the 18– 20 week scan. • Karyotyping should be offered in severely SGA fetuses with structural anomalies and in those detected before 23 weeks of gestation, especially if uterine artery Doppler is normal.
  • 87.
    • Serological screeningfor congenital cytomegalovirus (CMV) and toxoplasmosis infection should be offered in severely SGA fetuses. • Testing for syphilis and malaria should be considered in high risk populations. • Uterine artery Doppler has limited accuracy .

Editor's Notes

  • #16 Application of the international foetal growth reference curve will vary according to its specific clinical and public health uses or purposes. Criteria for diagnosis of foetal growth restriction (e.g., SGA) should be related to evidence of increased risk for perinatal mortality and/or other indices of adverse outcomes. The new reference should provide percentiles [(e.g., 3rd, 5th, 10th, 15th, 25th, 50th (median), 75th, 85th, 90th, 95th, and 97th)] as well as z-scores [(e.g., -3, -2, -1, 0 (mean), 1, 2, and 3 SD)], so that health planners and practitioners can use the most appropriate cut off based on local circumstances. Proportionality at birth may be related to adverse outcomes. Thus there is a need to develop reference data for birth length and head circumference in relation to GA, and for birth weight in relation to birth length. Because the concepts of &amp;apos;wasting&amp;apos; and &amp;apos;stunting&amp;apos; have proven useful for categorizing undernourished infants and older children, an attempt should be made to quantify the mortality and morbidity risks associated with &amp;apos;wasted&amp;apos; and &amp;apos;stunted&amp;apos; newborns and to develop indicators for their classification.