Embed presentation
Downloaded 18 times






















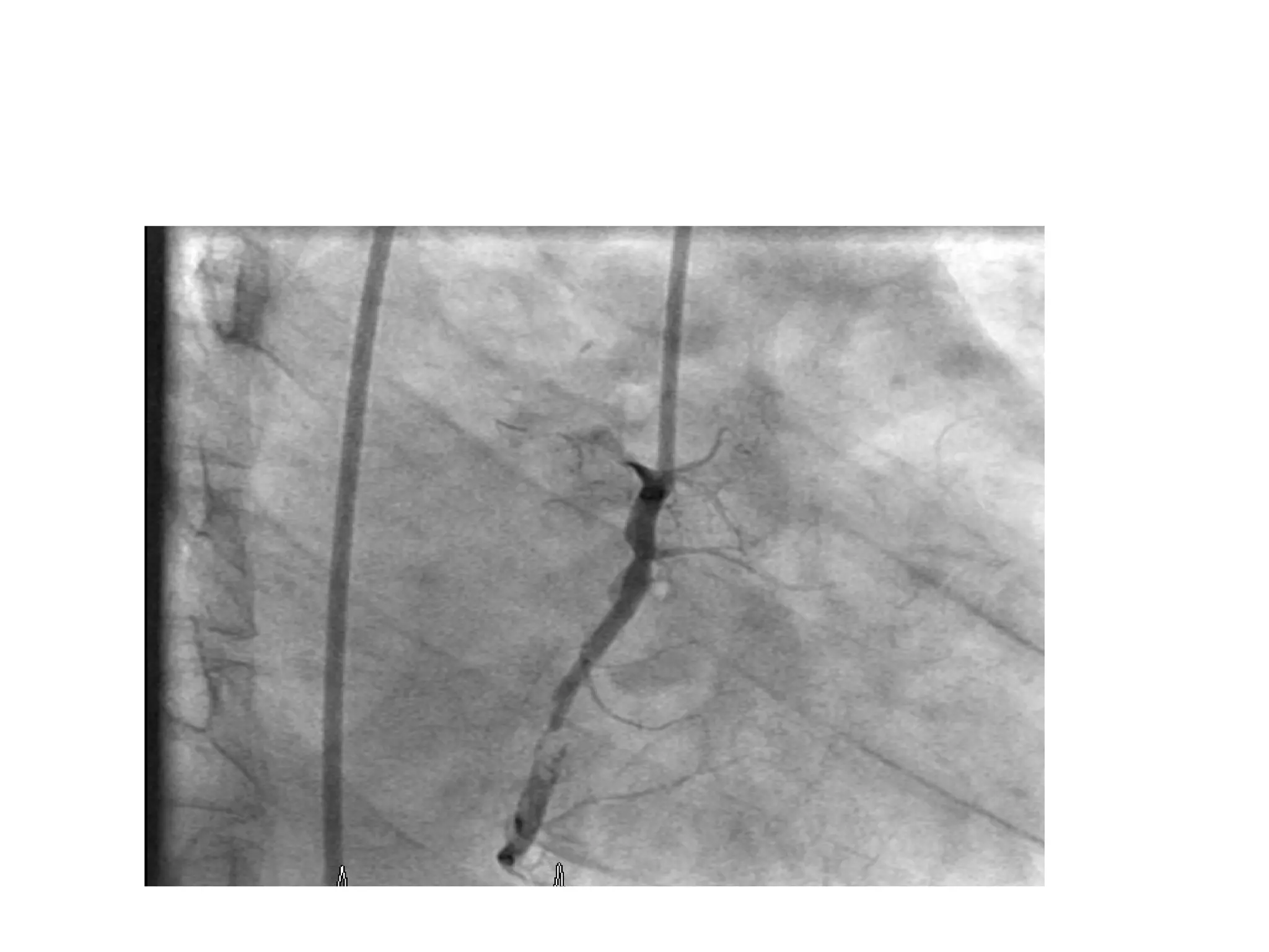
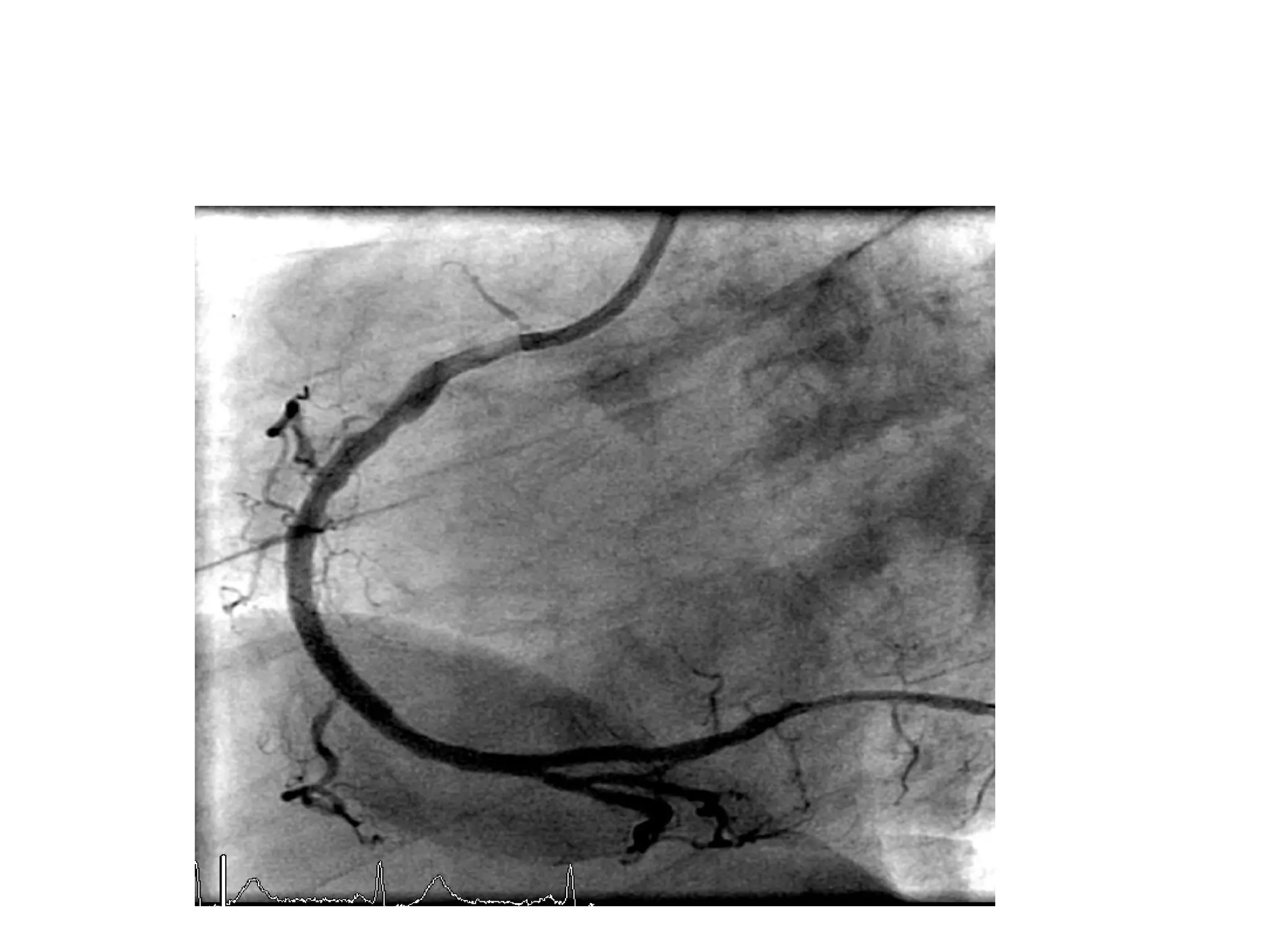
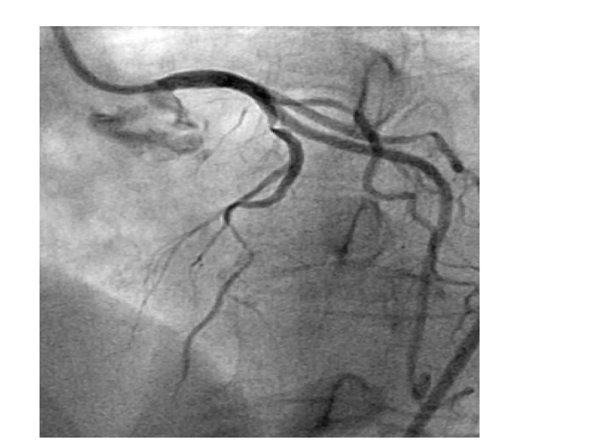
A 43-year-old man presented with chest pain and was diagnosed with an acute inferior ST elevation myocardial infarction with evidence of right coronary artery occlusion but no right ventricular involvement; he underwent primary percutaneous coronary intervention of the mid right coronary artery, which had a clot. The same patient had a complex lesion in the left anterior descending artery and its diagonals requiring staged percutaneous coronary intervention. A 55-year-old woman with diabetes and chest pain was found to have severe reversible ischemia in the territories of the left anterior descending artery and right coronary artery on nuclear stress testing, with normal circumflex artery area; coronary angiography revealed a critical proximal lesion in the left anterior descending artery.




















