INTRA-AORTIC BALLOON PUMP
Dr Chetan Bhole
SR Cardiology
IABP
Date : 28 April 2017
INTRA-AORTIC BALLOON PUMP
Points for discussion :
1. History
2. Principles of IABP function
3. Anatomy of device
4. Physiology and Pathophysiology of IABP
5. Indications and Contraindications
6. Evidence
History :
In 1952 Adrian Kantrowitz :
“coronary blood flow can be
increased by retardation of
the arterial pressure pulse in
animal models.”
In 1958, Harken :
“Removal of some of the blood
volume via the femoral artery
during systole and replacing it
rapidly in diastole, so called
diastolic augmentation as a
treatment for left ventricular (LV)
Adrian kantrowitz
(1998-2008)
 Four years later,
Moulopoulos and
colleagues
developed an
experimental
prototype of an
IABP whose
inflation and
deflation were timed
to the cardiac cycle.
(15 F catheter, latex
balloon & CO2)
 In 1968 Kantrowitz reported improved
systemic arterial pressure and urine output
with the use of an IABP in two subjects with
cardiogenic shock, one of who survived to
hospital discharge.
 Percutaneous IABPs in sizes 8.5-9.5 French
were introduced in 1979, and shortly after this,
Bergman and colleagues described the first
percutaneous insertion of IABP.
Basic Principles of
Counterpulsation:
 Counterpulsation :
pulsatile movement of arterial blood which
was "counter" to the normal pulsatile flow, a
reversal of the ordinary dynamic.
 balloon inflation in diastole and deflation in
early systole.
Balloon inflation causes 'volume displacement' of blood within
the aorta, both proximally and distally. increase in coronary
blood flow and improve systemic perfusion by augmentation
of the intrinsic 'Windkessel effect.
Structure of the IABP:
Balloon catheters:
 30-60 ml displacement volume
 have concentric central lumen inside the
helium channel which allows use of guide wire
to introduce catheter and also allows recording
of central arterial pressure.
Size of balloon :
Height BSA Ballon size
147-162cm < 1.8m2 30 cm3
162-182cm >1.8 m2 40 cm3
>182cm OR
aortic diometer
>20mm
>1.8 m2 50 cm3
 Balloon size > 50 cm3 is not available.
 40 cm³ balloon is most commonly used
 Paediatric balloons also available : sizes 2.5,
5.0, 12.0 and 20 cm³
Insertion of IABP :
 percutaneous Seldinger technique or surgical
 with or without sheath
 Pass balloon through sheath over guidewire
and insert estimated distance – measure from
sternal angle to umbilicus then to femoral
artery.
 Must be inserted to at least the level of the
manufacturer’s mark (usually double line) to
ensure that entire balloon has emerged from
sheath
 Balloon should be positioned so that the tip is
about 1-2 cm distal to the origin of the left
subclavian artery
 watch for loss of right radial pulse (too high)
 Remove wire — return of blood via central
lumen confirms that the tip is not sub-intimal
and has not caused a dissection
Confirmation of position
 arterial balloon waveform and pressures shown
on monitor
check for normal morphology and appropriate
timing of inflation and deflation in 1:2
augmentation ratio
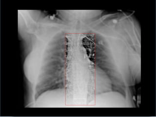
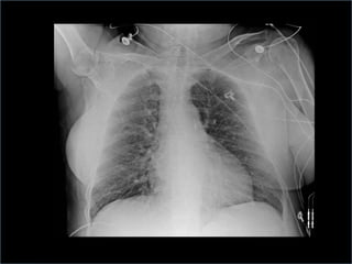
 Chest x-ray or fluoroscopy
radiopaque tip lies in the 2nd intercostal spaces
just above the left main bronchus; lower end of
balloon should lie cephalad to the renal arteries
 TOE
direct visualisation 1-2cm distal to the left
subclavian artery
TEE showing guide wire in aorta
Passage of IABP ballloon over guide wire
Short axis view of descending aorta
showing origin of left subclavian artery
Short axis view showing position of IABP tip
too high to Left Subclavian artery orifice
Short axis view showing position of IABP in
left Subclavian artery
27
ECG signal – most common
• Inflation
- middle of T wave
• Deflation
– peak of R wave
• Pacer (v/a)
• Arterial waveform
• An intrinsic pump rate
( CPB)
Triggering and timing of IABP :
28
29
30
Efficiency affected by :
1. timing of inflation and deflation
2. assist ratio(1:2, 1:3)
3. heart rate (tachycardia > 130/min reduces
benefit of IABP)
4. gas leak from balloon
5. CI of 1.2-1.4 required for IABP to be effective
Physiology of IABP
The normal IABP blood pressure
waveform
The normal IABP balloon
waveform
The balloon itself has a pressure transducer, and it generates a
waveform.
About 40 milliseconds before the dicrotic notch, the IABP balloon inflates. This is
timed with the ECG, usually - the end of the T wave is used as a marker that systole
has finished
Hemodynamic effects of IABP:
1. Reduction in systolic blood pressure
2. Fall in end-diastolic aortic pressure
3. Shortening of the isovolumetric phase of
contraction
4. Reduction in left ventricular wall stress
5. Increase in left ventricular ejection fraction
6. Reduction of preload/afterload
7. Increase in DPTI/TTI ratio
8. Improvement of coronary flow
Expected changes with IABP support in
patients with Cardiogenic shock
1. Decrease in SBP by 20 %
2. Increase in aortic Diastolic Press. by 30 % ( raise
coronary blood flow)
3. Increase in MAP
4. Reduction of the HR by 20%
5. Decrease in the mean PCWP by 20 %
6. Elevation in the COP by 20%
Balloon inflation and diastolic
augmentation :
The “normal” augmented
waveform
Benefits of accurate time of
inflation:
 Increased Coronary blood flow
and pressure and hence
myocardial perfusion is
increased.
 Increased diastolic pressure
leads to increased perfusion of
kidney and brain(systemic
perfusion is increased)
 Increased coronary collateral
circulation
Diastolic pressure time index (DPTI)
and coronary perfusion :
 The DPTI is crudely the time spent in diastole
at certain pressure.
 It reflects the time during which the diastolic
pressure in the aorta fills the coronary arteries
 correlates with the driving pressure required
for perfusion of the subendocardium
Post IABP :
Empirical evidence for the benefit of
diastolic augmentation
mean diastolic pressure
flow in the great cardiac vein
(this implies, the better the perfusion of the left
ventricle).
 Small study : diastolic augmentation for a 40cc balloon resulted in an
increase in mean aortic diastolic pressure from an average of 77mmHg to
99mmHg, with a proportional increase in great cardiac vein flow (from
44ml/min to 54ml/min). Of great relevance is the fact that the patients all
had 90% proximal LAD stenosis.
Myocardial oxygen consumption
and IABP :
 The IABP decreases myocardial oxygen
consumption by decreasing the mean left
ventricular ejection pressure, and by
decreasing the duration of isovolumetric
contraction.
 To eject blood in aorta LV need to overcome
2 variables : mass of blood and aortic end
diastolic pressure
 Mass of blood(water plus hematocrit) we
cannot change
 Deflation of balloon causes sudden fall in
aortic volume(approx 40cc according to size of
balloon) when the aortic wall is relaxing.
 This leads to decrease in aortic pressure at the
end of diastole
 The result is a lower pressure required for
aortic valve opening
Benefits of accurate deflation :
 LV will generate less
pressure throughout the
systole i.e afterload is
reduced
 More effective emptying of
LV thus stroke volume is
increased
 Shortening of IVC phase
 Decreased afterload also
reduce hemodynamics of
MR and VSD
Relationship of LV ejection
pressure to LV oxygen
consumption :
 The myocardial oxygen consumption, is
related to left ventricular workload. And a
major determinant of left ventricular workload
is the area under the LV systolic pressure
curve
 This area, termed TTI (tension time index) is
directly related to myocardial oxygen
consumption.
TTI (tension time index)
Post IABP :
Reduced mean LV ejection
pressure and systolic ejection
period
Rediced TTI
Reduced myocardial oxygen
consumption
 However, the mean ejection pressure is
actually not the most important parameter.
 By the time the aortic valve opens, most of the
myocardial work has already been done.
 As far as myocardial oxygen consumption
goes, the chief benefit from IABP
counterpulsation is actually from reducing
the amount of time spent in isovolumetric
contraction
Aortic end-diastolic pressure &
isovolumetric contraction
 Isovolumetric contraction : phase After the
mitral valve closing, and prior to the aortic
valve opening
 left ventricle it contracts against a static
intraventricular volume
 90% of myocardial oxygen consumption
 Additionally, during this time left ventricular
walls squeezes the precious oxygenated blood
out of the subendocardium.
 Obviously, anything that causes the aortic
valve to open earlier reduces the duration of
this period and reduces myocardial oxygen
consumption
Effect of IABP in MR and VSD
 Reduced aortic end diastolic pressure(
reduced afterload)
 Improve LV ejection
 Reduce shunt
Indications for the Use of IABP:
 No choice but pump
1. Failure to come off bypass machine
2. Severe aortic stenosis, mitral regurgitation or
ventricular septal defect with hemodynamic
compromise, while waiting for repair
 Probably harmless, but probably not useful
1. High risk CABG patients (pre-op) (Left main
stenosis >70%, LVEF less than 40%, Unstable
angina perioperatively, Re-do of the CABG)
2. High-risk PCI patients (pre-op)
3. Cardiogenic shock while waiting for PCI
4. Pulmonary oedema in spite of maximal
medical management
Contraindications
 Absolute
contraindications
1. Aortic regurgitation
2. Aortic aneurysm
3. Aortic dissection
4. Severe sepsis
5. Uncontrolled
coagulopathy
 Relative
contraindications
1. Atherosclerosis and
arterial tortuosity
2. Left ventricular
outflow tract
obstruction
3. Contraindications to
anticoagulation
Complications of IABP :
 Common
complications
1. Mild limb ischaemia -
2.9%
2. Balloon leak - 1.0%
3. Major limb ischaemia -
0.9%
4. Haemorrhage - 0.8%
5. Leg amputation due to
ischaemia - 0.1%
 Rare complications
1. Atheromatous
cholesterol emboli
2. Aortic or arterial
dissection
3. Cerebrovascular
accident
4. Thrombocytopenia
5. Haemolysis
6. Helium embolism
Pathophysiology of Abnormal IABP
Arterial Waveforms
Early balloon inflation results in
increased afterload
•Increased LV oxygen demand, due to increased afterload
•Decreased LV oxygen supply, due to decreased diastolic perfusion
•Decreased cardiac output, due to decreased stroke volume
Consequences :
 Premature closure of aortic valves
 Increased LVEDP and LVEDV leading to
Increased LV wall stress
 Subendocardial ischemia due to sqeezing (LV is
still contracting when balloon is inflated)
 increase in coronary vascular resistance results in
decreased flow though the coronary circulation
 Reduced flow though the coronary circulation
despite higher peak of diastolic augmentation
 the aortic valve closes prematurely.
 The duration of systole is reduced, and thus
stroke volume is reduced
 decreases cardiac output.
Late balloon inflation
Delayed balloon inflation results in decreased diastolic augmentation.
This results in decreased coronary perfusion
 i.e few miliseconds after Aortic valve closure
 Lower than optimal diastolic augmentation,
slightly increased coronary perfusion
Early balloon deflation
 If the balloon deflates too early, (i.e before
peak of R wave on ECG) the aortic pressure
has time to equalise.
 The aortic end-diastolic pressure reverts to its
unassisted level,
 no reduction in the duration of left ventricular
isovolumetric contraction period
 left ventricle is not assisted in opening the
aortic valve, and so there is no afterload
reduction
 and therefore fails to decrease LV oxygen
demand
Early balloon deflation :
Late balloon deflation
i.e balloon is still inflated when aortic vale opens
and deflate few miliseconds after opening of
aortic valve.
Deflate late, so no reduction in aortic end
diastolic pressure
Increases aortic end-diastolic pressure, and thus
increases afterload and left ventricular oxygen
consumption
Causes of Poor diastolic
augmentation in spite of
appropriate timing
 very poor cardiac output
 decrease in the systemic vascular resistance,.
 too small balloon for the patient
 too high or too low position of balloon in aorta
 The low helium pressure (ie. the balloon is
filling incompletely)
 The balloon is not completely out of its sheath
(i.e. the "tail" of the balloon does not get a
chance to inflate)
Abnormal IABP Balloon Pressure Waveforms
Normal balloon waveforms :
IABP balloon Plateau pressure
 The balloon plateau is depend on pressure
inside the helium balloon and the pressure
inside the aorta, which relates to the elastic
recoil of the aortic walls (and to some extent to
the systemic vascular resistance as a whole).
1. Too small size balloon for patient
2. low peripheral vascular resistance (eg. septic
shock)
3. greatly reduced stroke volume (i.e. there is
not enough blood to eject in the aorta to
displace)
4. too low position of balloon in aorta
Low IABP balloon Plateau
pressure
Consequences :
 decreased diastolic augmentation, as well as a
high aortic end-diastolic pressure.
 cannot move much blood around the aorta,
and the IABP is not being useful to its full
potential
High IABP balloon plateau
pressure
 Balloon is too big for the patient
 Sever hypertensive patient
 too high position of balloon in the aorta
 The balloon catheter is kinked
High IABP balloon baseline filling
pressure
 normal baseline pressure in the helium circuit
should be around 10-15mmHg.
 high pressure S/O there is likely some
mechanical fault with the circuit, which limits
the normal emptying of the balloon.
1. The balloon catheter is kinked and and balloon is not
emptying properly
2. The system is overpressurised because the IABP is
malfunctioning
Consequences :
 Eventually the balloon can rupture
 the increased baseline pressure is transmitted
to the aorta, which results in increased
afterload and increased myocardial oxygen
demand. Decompensation ensues.
(Most IABP consoles will begin to alarm with an irritating
siren if the baseline pressure climbs over 20mmHg)
Low (or suddenly decreasing) IABP
balloon filling pressure baseline
 The filling pressure is adjusted automatically; if
this is not happening, there must be either :
1. helium leak
2. Balloon rupture
3. disconnection of the helium pipe
4. failure of the automated filling mechanism
Trials for IABP
 SHOCK
 BCIS -1
 CRISP-AMI
 IABP SHOCK 2
SHOCK (EARLY REVASCULARIZATION IN ACUTE
MYOCARDIAL INFARCTION COMPLICATED BY CARDIOGENIC
SHOCK August 1999)
 Patients with shock due to LV failure
complicating myocardial infarction
 emergency revascularization (152patients) or
initial medical stabilization (150 patients).
 Revascularization was accomplished by either
CABG or PCI.
 IABP was performed in 86% in both groups.
 The primary end point was mortality from all
causes at 30 days.
 Six-month survival was a secondary end point.
Conclusion :
 In patients with cardiogenic shock, emergency
revascularization did not significantly reduce
overall mortality at 30 days. However, after six
months there was a significant survival benefit.
 Early revascularization should be strongly
considered for patients with acute myocardial
infarction complicated by cardiogenic shock.
Balloon-pump assisted
Coronary Intervention Study
(BCIS-1):
 The first randomized controlled trial of
elective Intra-Aortic Balloon Pump (IABP)
insertion prior to high-risk PCI vs. PCI with
no planned IABP use
 17 UK centres
 n=301 (150 in each arm)
97
N= 301 Elective IABP(
151)
No elective
IABP(150)
P VALUE
MACE 15.2% 16% 0.85
All cause mortality
at 6 mths
4.6% 7.4% 0.32
Major procedural
complications
1.3% 10.7% <0.001
Major or minor
bleeding
19.2% 11.3% 0.06
Access site
complications
3.3% 0% 0.06
Patients (n = 301) had severe left ventricular dysfunction (ejection fraction ≤
30%) and extensive coronary disease (Jeopardy Score ≥ 8/12); those with
contraindications to or class I indications for IABP therapy were excluded
JAMA. 2010;304(8):867-874
Conclusions of long term results of BCIS1
trial(2012-2013)
In patients with severe ischemic cardiomyopathy treated
with PCI, all cause-mortality was 33% at 51 months
(median)
Elective IABP use during PCI was associated with an
observed 34% reduction in long-term all-cause mortality
CRISPAMI (Counterpulsation Reduces Infarct
Size Acute Myocardial Infarction)
 Published in 2011
 Selected patients with AWMI without
cardiogenic shock
 N = 300 (randomised multicentre US)
 IABP prior and 12 hr after PCI Vs routine
Primary PCI care
 Cardiac MRI 3-5 days post PCI
Conclusion :
 Among patients with acute STEMI AWMI
without cardiogenic shock us of IABP prior to
PCI as compared to standerd care PCI :
1. Does not reduce infarct size
2. All cause mortality at 6 months was not
different
 Does not support routine use of IAPB prior to
PCI without cardiogenic shock
SHOCK II trial(Intraaortic Balloon Support for
Myocardial Infarction with Cardiogenic Shock, October
2012)
 Patients with AMI + cardiogenic shock planned
for early revascularization (PCI / CABG)
 N = 600
 IABP(300) Vs optimal medical
stabilization(298)
 Primary end point : all cause mortality at 30
days
 Secondary end points :time to hemodynamic
stabilization, the length of stay in the intensive
care unit,serum lactate levels, the dose and
duration of catecholamine therapy, and renal
function
Results :
 At 30 days, 119 patients in the IABP group
(39.7%) and 123 patients in the control group
(41.3%) had died
 No significant difference between secondary
endpoints
 No significant difference between rate of major
bleeding in both groups
Conclusion :
 The use of IABP did not significantly reduce
30-day mortality in patients with cardiogenic
shock complicating acute myocardial infarction
for whom an early revascularization strategy
was planned
BCIS-1, CRISP-AMI, and IABP-
SHOCK II
 routine elective IABP insertion does not reduce
the risk of major adverse complications
associated with PCI in the context of acute or
chronic severe left ventricular impairment.
 However counterpulsation is broadly a safe
treatment, with acceptably low rates of device-
related complications
Thank you

IABP chetan

  • 1.
    INTRA-AORTIC BALLOON PUMP DrChetan Bhole SR Cardiology IABP Date : 28 April 2017 INTRA-AORTIC BALLOON PUMP
  • 2.
    Points for discussion: 1. History 2. Principles of IABP function 3. Anatomy of device 4. Physiology and Pathophysiology of IABP 5. Indications and Contraindications 6. Evidence
  • 3.
    History : In 1952Adrian Kantrowitz : “coronary blood flow can be increased by retardation of the arterial pressure pulse in animal models.” In 1958, Harken : “Removal of some of the blood volume via the femoral artery during systole and replacing it rapidly in diastole, so called diastolic augmentation as a treatment for left ventricular (LV) Adrian kantrowitz (1998-2008)
  • 4.
     Four yearslater, Moulopoulos and colleagues developed an experimental prototype of an IABP whose inflation and deflation were timed to the cardiac cycle. (15 F catheter, latex balloon & CO2)
  • 5.
     In 1968Kantrowitz reported improved systemic arterial pressure and urine output with the use of an IABP in two subjects with cardiogenic shock, one of who survived to hospital discharge.
  • 6.
     Percutaneous IABPsin sizes 8.5-9.5 French were introduced in 1979, and shortly after this, Bergman and colleagues described the first percutaneous insertion of IABP.
  • 7.
    Basic Principles of Counterpulsation: Counterpulsation : pulsatile movement of arterial blood which was "counter" to the normal pulsatile flow, a reversal of the ordinary dynamic.  balloon inflation in diastole and deflation in early systole.
  • 8.
    Balloon inflation causes'volume displacement' of blood within the aorta, both proximally and distally. increase in coronary blood flow and improve systemic perfusion by augmentation of the intrinsic 'Windkessel effect.
  • 9.
  • 11.
    Balloon catheters:  30-60ml displacement volume  have concentric central lumen inside the helium channel which allows use of guide wire to introduce catheter and also allows recording of central arterial pressure.
  • 12.
    Size of balloon: Height BSA Ballon size 147-162cm < 1.8m2 30 cm3 162-182cm >1.8 m2 40 cm3 >182cm OR aortic diometer >20mm >1.8 m2 50 cm3
  • 13.
     Balloon size> 50 cm3 is not available.  40 cm³ balloon is most commonly used  Paediatric balloons also available : sizes 2.5, 5.0, 12.0 and 20 cm³
  • 14.
    Insertion of IABP:  percutaneous Seldinger technique or surgical  with or without sheath  Pass balloon through sheath over guidewire and insert estimated distance – measure from sternal angle to umbilicus then to femoral artery.  Must be inserted to at least the level of the manufacturer’s mark (usually double line) to ensure that entire balloon has emerged from sheath
  • 15.
     Balloon shouldbe positioned so that the tip is about 1-2 cm distal to the origin of the left subclavian artery  watch for loss of right radial pulse (too high)  Remove wire — return of blood via central lumen confirms that the tip is not sub-intimal and has not caused a dissection
  • 16.
    Confirmation of position arterial balloon waveform and pressures shown on monitor check for normal morphology and appropriate timing of inflation and deflation in 1:2 augmentation ratio  Chest x-ray or fluoroscopy radiopaque tip lies in the 2nd intercostal spaces just above the left main bronchus; lower end of balloon should lie cephalad to the renal arteries  TOE direct visualisation 1-2cm distal to the left subclavian artery
  • 22.
    TEE showing guidewire in aorta
  • 23.
    Passage of IABPballloon over guide wire
  • 24.
    Short axis viewof descending aorta showing origin of left subclavian artery
  • 25.
    Short axis viewshowing position of IABP tip too high to Left Subclavian artery orifice
  • 26.
    Short axis viewshowing position of IABP in left Subclavian artery
  • 27.
    27 ECG signal –most common • Inflation - middle of T wave • Deflation – peak of R wave • Pacer (v/a) • Arterial waveform • An intrinsic pump rate ( CPB) Triggering and timing of IABP :
  • 28.
  • 29.
  • 30.
  • 31.
    Efficiency affected by: 1. timing of inflation and deflation 2. assist ratio(1:2, 1:3) 3. heart rate (tachycardia > 130/min reduces benefit of IABP) 4. gas leak from balloon 5. CI of 1.2-1.4 required for IABP to be effective
  • 32.
  • 33.
    The normal IABPblood pressure waveform
  • 34.
    The normal IABPballoon waveform The balloon itself has a pressure transducer, and it generates a waveform.
  • 35.
    About 40 millisecondsbefore the dicrotic notch, the IABP balloon inflates. This is timed with the ECG, usually - the end of the T wave is used as a marker that systole has finished
  • 36.
    Hemodynamic effects ofIABP: 1. Reduction in systolic blood pressure 2. Fall in end-diastolic aortic pressure 3. Shortening of the isovolumetric phase of contraction 4. Reduction in left ventricular wall stress 5. Increase in left ventricular ejection fraction 6. Reduction of preload/afterload 7. Increase in DPTI/TTI ratio 8. Improvement of coronary flow
  • 37.
    Expected changes withIABP support in patients with Cardiogenic shock 1. Decrease in SBP by 20 % 2. Increase in aortic Diastolic Press. by 30 % ( raise coronary blood flow) 3. Increase in MAP 4. Reduction of the HR by 20% 5. Decrease in the mean PCWP by 20 % 6. Elevation in the COP by 20%
  • 38.
    Balloon inflation anddiastolic augmentation :
  • 39.
  • 40.
    Benefits of accuratetime of inflation:  Increased Coronary blood flow and pressure and hence myocardial perfusion is increased.  Increased diastolic pressure leads to increased perfusion of kidney and brain(systemic perfusion is increased)  Increased coronary collateral circulation
  • 41.
    Diastolic pressure timeindex (DPTI) and coronary perfusion :  The DPTI is crudely the time spent in diastole at certain pressure.  It reflects the time during which the diastolic pressure in the aorta fills the coronary arteries  correlates with the driving pressure required for perfusion of the subendocardium
  • 43.
  • 44.
    Empirical evidence forthe benefit of diastolic augmentation mean diastolic pressure flow in the great cardiac vein (this implies, the better the perfusion of the left ventricle).
  • 45.
     Small study: diastolic augmentation for a 40cc balloon resulted in an increase in mean aortic diastolic pressure from an average of 77mmHg to 99mmHg, with a proportional increase in great cardiac vein flow (from 44ml/min to 54ml/min). Of great relevance is the fact that the patients all had 90% proximal LAD stenosis.
  • 46.
    Myocardial oxygen consumption andIABP :  The IABP decreases myocardial oxygen consumption by decreasing the mean left ventricular ejection pressure, and by decreasing the duration of isovolumetric contraction.
  • 47.
     To ejectblood in aorta LV need to overcome 2 variables : mass of blood and aortic end diastolic pressure  Mass of blood(water plus hematocrit) we cannot change
  • 48.
     Deflation ofballoon causes sudden fall in aortic volume(approx 40cc according to size of balloon) when the aortic wall is relaxing.  This leads to decrease in aortic pressure at the end of diastole  The result is a lower pressure required for aortic valve opening
  • 50.
    Benefits of accuratedeflation :  LV will generate less pressure throughout the systole i.e afterload is reduced  More effective emptying of LV thus stroke volume is increased  Shortening of IVC phase  Decreased afterload also reduce hemodynamics of MR and VSD
  • 51.
    Relationship of LVejection pressure to LV oxygen consumption :  The myocardial oxygen consumption, is related to left ventricular workload. And a major determinant of left ventricular workload is the area under the LV systolic pressure curve  This area, termed TTI (tension time index) is directly related to myocardial oxygen consumption.
  • 52.
  • 53.
  • 54.
    Reduced mean LVejection pressure and systolic ejection period Rediced TTI Reduced myocardial oxygen consumption
  • 55.
     However, themean ejection pressure is actually not the most important parameter.  By the time the aortic valve opens, most of the myocardial work has already been done.  As far as myocardial oxygen consumption goes, the chief benefit from IABP counterpulsation is actually from reducing the amount of time spent in isovolumetric contraction
  • 56.
    Aortic end-diastolic pressure& isovolumetric contraction  Isovolumetric contraction : phase After the mitral valve closing, and prior to the aortic valve opening  left ventricle it contracts against a static intraventricular volume  90% of myocardial oxygen consumption
  • 57.
     Additionally, duringthis time left ventricular walls squeezes the precious oxygenated blood out of the subendocardium.  Obviously, anything that causes the aortic valve to open earlier reduces the duration of this period and reduces myocardial oxygen consumption
  • 59.
    Effect of IABPin MR and VSD  Reduced aortic end diastolic pressure( reduced afterload)  Improve LV ejection  Reduce shunt
  • 60.
    Indications for theUse of IABP:  No choice but pump 1. Failure to come off bypass machine 2. Severe aortic stenosis, mitral regurgitation or ventricular septal defect with hemodynamic compromise, while waiting for repair
  • 61.
     Probably harmless,but probably not useful 1. High risk CABG patients (pre-op) (Left main stenosis >70%, LVEF less than 40%, Unstable angina perioperatively, Re-do of the CABG) 2. High-risk PCI patients (pre-op) 3. Cardiogenic shock while waiting for PCI 4. Pulmonary oedema in spite of maximal medical management
  • 62.
    Contraindications  Absolute contraindications 1. Aorticregurgitation 2. Aortic aneurysm 3. Aortic dissection 4. Severe sepsis 5. Uncontrolled coagulopathy  Relative contraindications 1. Atherosclerosis and arterial tortuosity 2. Left ventricular outflow tract obstruction 3. Contraindications to anticoagulation
  • 63.
    Complications of IABP:  Common complications 1. Mild limb ischaemia - 2.9% 2. Balloon leak - 1.0% 3. Major limb ischaemia - 0.9% 4. Haemorrhage - 0.8% 5. Leg amputation due to ischaemia - 0.1%  Rare complications 1. Atheromatous cholesterol emboli 2. Aortic or arterial dissection 3. Cerebrovascular accident 4. Thrombocytopenia 5. Haemolysis 6. Helium embolism
  • 64.
    Pathophysiology of AbnormalIABP Arterial Waveforms
  • 67.
    Early balloon inflationresults in increased afterload •Increased LV oxygen demand, due to increased afterload •Decreased LV oxygen supply, due to decreased diastolic perfusion •Decreased cardiac output, due to decreased stroke volume
  • 68.
    Consequences :  Prematureclosure of aortic valves  Increased LVEDP and LVEDV leading to Increased LV wall stress  Subendocardial ischemia due to sqeezing (LV is still contracting when balloon is inflated)  increase in coronary vascular resistance results in decreased flow though the coronary circulation
  • 69.
     Reduced flowthough the coronary circulation despite higher peak of diastolic augmentation  the aortic valve closes prematurely.  The duration of systole is reduced, and thus stroke volume is reduced  decreases cardiac output.
  • 70.
    Late balloon inflation Delayedballoon inflation results in decreased diastolic augmentation. This results in decreased coronary perfusion
  • 71.
     i.e fewmiliseconds after Aortic valve closure  Lower than optimal diastolic augmentation, slightly increased coronary perfusion
  • 72.
    Early balloon deflation If the balloon deflates too early, (i.e before peak of R wave on ECG) the aortic pressure has time to equalise.  The aortic end-diastolic pressure reverts to its unassisted level,  no reduction in the duration of left ventricular isovolumetric contraction period
  • 73.
     left ventricleis not assisted in opening the aortic valve, and so there is no afterload reduction  and therefore fails to decrease LV oxygen demand
  • 74.
  • 75.
    Late balloon deflation i.eballoon is still inflated when aortic vale opens and deflate few miliseconds after opening of aortic valve. Deflate late, so no reduction in aortic end diastolic pressure Increases aortic end-diastolic pressure, and thus increases afterload and left ventricular oxygen consumption
  • 77.
    Causes of Poordiastolic augmentation in spite of appropriate timing  very poor cardiac output  decrease in the systemic vascular resistance,.  too small balloon for the patient  too high or too low position of balloon in aorta  The low helium pressure (ie. the balloon is filling incompletely)  The balloon is not completely out of its sheath (i.e. the "tail" of the balloon does not get a chance to inflate)
  • 78.
    Abnormal IABP BalloonPressure Waveforms
  • 79.
  • 80.
    IABP balloon Plateaupressure  The balloon plateau is depend on pressure inside the helium balloon and the pressure inside the aorta, which relates to the elastic recoil of the aortic walls (and to some extent to the systemic vascular resistance as a whole).
  • 81.
    1. Too smallsize balloon for patient 2. low peripheral vascular resistance (eg. septic shock) 3. greatly reduced stroke volume (i.e. there is not enough blood to eject in the aorta to displace) 4. too low position of balloon in aorta Low IABP balloon Plateau pressure
  • 83.
    Consequences :  decreaseddiastolic augmentation, as well as a high aortic end-diastolic pressure.  cannot move much blood around the aorta, and the IABP is not being useful to its full potential
  • 84.
    High IABP balloonplateau pressure  Balloon is too big for the patient  Sever hypertensive patient  too high position of balloon in the aorta  The balloon catheter is kinked
  • 86.
    High IABP balloonbaseline filling pressure  normal baseline pressure in the helium circuit should be around 10-15mmHg.  high pressure S/O there is likely some mechanical fault with the circuit, which limits the normal emptying of the balloon. 1. The balloon catheter is kinked and and balloon is not emptying properly 2. The system is overpressurised because the IABP is malfunctioning
  • 88.
    Consequences :  Eventuallythe balloon can rupture  the increased baseline pressure is transmitted to the aorta, which results in increased afterload and increased myocardial oxygen demand. Decompensation ensues. (Most IABP consoles will begin to alarm with an irritating siren if the baseline pressure climbs over 20mmHg)
  • 89.
    Low (or suddenlydecreasing) IABP balloon filling pressure baseline  The filling pressure is adjusted automatically; if this is not happening, there must be either : 1. helium leak 2. Balloon rupture 3. disconnection of the helium pipe 4. failure of the automated filling mechanism
  • 91.
  • 92.
     SHOCK  BCIS-1  CRISP-AMI  IABP SHOCK 2
  • 93.
    SHOCK (EARLY REVASCULARIZATIONIN ACUTE MYOCARDIAL INFARCTION COMPLICATED BY CARDIOGENIC SHOCK August 1999)  Patients with shock due to LV failure complicating myocardial infarction  emergency revascularization (152patients) or initial medical stabilization (150 patients).  Revascularization was accomplished by either CABG or PCI.
  • 94.
     IABP wasperformed in 86% in both groups.  The primary end point was mortality from all causes at 30 days.  Six-month survival was a secondary end point.
  • 95.
    Conclusion :  Inpatients with cardiogenic shock, emergency revascularization did not significantly reduce overall mortality at 30 days. However, after six months there was a significant survival benefit.  Early revascularization should be strongly considered for patients with acute myocardial infarction complicated by cardiogenic shock.
  • 96.
    Balloon-pump assisted Coronary InterventionStudy (BCIS-1):  The first randomized controlled trial of elective Intra-Aortic Balloon Pump (IABP) insertion prior to high-risk PCI vs. PCI with no planned IABP use  17 UK centres  n=301 (150 in each arm)
  • 97.
    97 N= 301 ElectiveIABP( 151) No elective IABP(150) P VALUE MACE 15.2% 16% 0.85 All cause mortality at 6 mths 4.6% 7.4% 0.32 Major procedural complications 1.3% 10.7% <0.001 Major or minor bleeding 19.2% 11.3% 0.06 Access site complications 3.3% 0% 0.06 Patients (n = 301) had severe left ventricular dysfunction (ejection fraction ≤ 30%) and extensive coronary disease (Jeopardy Score ≥ 8/12); those with contraindications to or class I indications for IABP therapy were excluded JAMA. 2010;304(8):867-874
  • 98.
    Conclusions of longterm results of BCIS1 trial(2012-2013) In patients with severe ischemic cardiomyopathy treated with PCI, all cause-mortality was 33% at 51 months (median) Elective IABP use during PCI was associated with an observed 34% reduction in long-term all-cause mortality
  • 99.
    CRISPAMI (Counterpulsation ReducesInfarct Size Acute Myocardial Infarction)  Published in 2011  Selected patients with AWMI without cardiogenic shock  N = 300 (randomised multicentre US)  IABP prior and 12 hr after PCI Vs routine Primary PCI care  Cardiac MRI 3-5 days post PCI
  • 100.
    Conclusion :  Amongpatients with acute STEMI AWMI without cardiogenic shock us of IABP prior to PCI as compared to standerd care PCI : 1. Does not reduce infarct size 2. All cause mortality at 6 months was not different  Does not support routine use of IAPB prior to PCI without cardiogenic shock
  • 101.
    SHOCK II trial(IntraaorticBalloon Support for Myocardial Infarction with Cardiogenic Shock, October 2012)  Patients with AMI + cardiogenic shock planned for early revascularization (PCI / CABG)  N = 600  IABP(300) Vs optimal medical stabilization(298)
  • 102.
     Primary endpoint : all cause mortality at 30 days  Secondary end points :time to hemodynamic stabilization, the length of stay in the intensive care unit,serum lactate levels, the dose and duration of catecholamine therapy, and renal function
  • 103.
    Results :  At30 days, 119 patients in the IABP group (39.7%) and 123 patients in the control group (41.3%) had died  No significant difference between secondary endpoints  No significant difference between rate of major bleeding in both groups
  • 104.
    Conclusion :  Theuse of IABP did not significantly reduce 30-day mortality in patients with cardiogenic shock complicating acute myocardial infarction for whom an early revascularization strategy was planned
  • 105.
    BCIS-1, CRISP-AMI, andIABP- SHOCK II  routine elective IABP insertion does not reduce the risk of major adverse complications associated with PCI in the context of acute or chronic severe left ventricular impairment.  However counterpulsation is broadly a safe treatment, with acceptably low rates of device- related complications
  • 106.