In the name of Allah, the Most
Gracious, the Most Merciful
Hospital Acquired Infections
hospital acquired pneumonia, ventilator associated infections, surgical site
infections, blood stream infections, urinary catheter associated infections.
15% of above will get HAP
 Scale of the problem : 1% admissions will get HAP
 Increase length of stay expensive, need IV abx
 Increase morbidity
 High mortality 20—50 %
Dr .Mohammed Munir Khan
Consultant pulmonologist
MB, DTCD, DCard, DGM, MRCP,
FRCP (London), FRCP (Ire.)
Definition
 Pneumonia - Infection of the lung parenchyma with
symptoms and signs of consolidation of lung parenchyma.
 Hospital Acquired – Occurs 48 hours or more after
hospital admission
Clinical features
 Fever
 Productive cough, pleuritic chest pain, SOB.
 Raised inflammatory markers
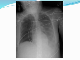
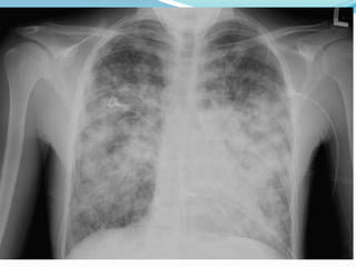
 New CXR infiltrates
 Deterioration of gas exchange
Risk factors for HAP
 Pt related and environment related
 Age >70
 Severe underlying disease/co morbidities
 Malnutrition
 Immune compromised
 Coma
 Metabolic acidosis
 Sinusitis
 Infection control related :
 Poor healthcare worker hand hygiene
 Contaminated respiratory equipment
 Intervention related
 Sedatives
 Corticosteroids
 Cytotoxic drugs
 Prolong use of antibiotics
 Ventilations (risk 20 times greater )
 During pulmonary infection, acute inflammation results in
the migration of neutrophils (and other inflammatory
exudate) out of capillaries and into the air spaces, forming
a marginated pool of neutrophils.
 Neutrophils phagocytize microbes.
 Increased mucus production which can form mucus plug
 Alveoli fill with fluid (inflammatory
exudate/pus/blood/mucus)  consolidation
Pathophysiology
Extrinsic factors
 Exposure to causative agent
 Exposure to pulomary irritant
Intrinsic factors (host related)
 Pulmonary injury – COPD, bronchiectasis, CF, Ca
 Loss of protective airway reflexes – CVA, intoxication,
altered mental status, intubated
 Spread from upper airways/haematogenous spread
 Immunocompromised
Scale of the problem : 1% admissions will
get HAP
Increase length of stay
Increase morbidity
Increase complications
High mortality 20 to 50%
Investigations
CXR - non specific infiltrates
Blood, sputum and pleural fluid for culture
Arterial blood gas for severity
Renal and liver function tests to assess organ
dysfunction
Serology of little use in HAP
< 5 days
 S pneumoniae
 H Influnenzae
 S aureus
 Enterobacter spp
The same bugs?
 Different for CAP and HAP
 Different < 5 days in hospital
 > 5 days in hospital
 Unventilated and ventilated patients
> 5 days in hospital
 P. Aerugenosa
 Enterobacter spp.
 Acinobacter spp.
 Klebsiella spp.
 S macrescens
 E coli
 Other GNRs
 Saureus/ MRSA
Other special risks
 Anaerobic bacteria
 Legionella pneumophila
 Viruses : infuenza A and B, RSV
 Fungi
Antibiotics
 Early onset infection <5 days not severe Co Amoxicav
or Cefuroxime / ceftriaxome 7days
 Late onset > 5days anti pseudomonial penecillin or
Ceftazidime or quinolone
 For MRSA suspected Vencomycin
 Consider adding Aminoglycoside for severe illness
suggested duration 7 or longer if pseudomonas
VAP
Complicates the course 8—60 % on MV
Mortality from 15% to 50%
Pathogenesis /risk factors
 Intubation compromise s natural barrier between
oropharynx and trachea.
 Age>60, hypoalbu, ARDS, COPD, coma, burns,
trauma, organ failure, gastric aspiration, resp tract
colonization, sinusitis, H2 receptor antagonist,
paralytic agents, prior antibiotics, continued
sedation, MV >2days, tracheostomy, NG tube,
supine position.
Poor prognostic factors
 Age
 Co morbidities
 Presence of fever < 35 c > 40c
 Cvs HR >125/min low BP
 Resp Rate >/30/min
 Sats <90 %
 Metabolic urea Na 130 Glucose >250 pH
<7.35
V A P
 Local policies and advice from microbiology
 Drug resistant pathogens P aeruginosa, MRSA,
acinobactor, klebsiella.
 Delay in treatment not an option
 Summary
 Thanks

Hospital acquired pneumonia

  • 1.
    In the nameof Allah, the Most Gracious, the Most Merciful
  • 2.
    Hospital Acquired Infections hospitalacquired pneumonia, ventilator associated infections, surgical site infections, blood stream infections, urinary catheter associated infections. 15% of above will get HAP  Scale of the problem : 1% admissions will get HAP  Increase length of stay expensive, need IV abx  Increase morbidity  High mortality 20—50 %
  • 3.
    Dr .Mohammed MunirKhan Consultant pulmonologist MB, DTCD, DCard, DGM, MRCP, FRCP (London), FRCP (Ire.)
  • 6.
    Definition  Pneumonia -Infection of the lung parenchyma with symptoms and signs of consolidation of lung parenchyma.  Hospital Acquired – Occurs 48 hours or more after hospital admission
  • 7.
    Clinical features  Fever Productive cough, pleuritic chest pain, SOB.  Raised inflammatory markers  New CXR infiltrates  Deterioration of gas exchange
  • 8.
    Risk factors forHAP  Pt related and environment related  Age >70  Severe underlying disease/co morbidities  Malnutrition  Immune compromised  Coma  Metabolic acidosis  Sinusitis
  • 9.
     Infection controlrelated :  Poor healthcare worker hand hygiene  Contaminated respiratory equipment
  • 10.
     Intervention related Sedatives  Corticosteroids  Cytotoxic drugs  Prolong use of antibiotics  Ventilations (risk 20 times greater )
  • 11.
     During pulmonaryinfection, acute inflammation results in the migration of neutrophils (and other inflammatory exudate) out of capillaries and into the air spaces, forming a marginated pool of neutrophils.  Neutrophils phagocytize microbes.  Increased mucus production which can form mucus plug  Alveoli fill with fluid (inflammatory exudate/pus/blood/mucus)  consolidation
  • 12.
    Pathophysiology Extrinsic factors  Exposureto causative agent  Exposure to pulomary irritant Intrinsic factors (host related)  Pulmonary injury – COPD, bronchiectasis, CF, Ca  Loss of protective airway reflexes – CVA, intoxication, altered mental status, intubated  Spread from upper airways/haematogenous spread  Immunocompromised Scale of the problem : 1% admissions will get HAP Increase length of stay Increase morbidity Increase complications High mortality 20 to 50%
  • 13.
    Investigations CXR - nonspecific infiltrates Blood, sputum and pleural fluid for culture Arterial blood gas for severity Renal and liver function tests to assess organ dysfunction Serology of little use in HAP
  • 16.
    < 5 days S pneumoniae  H Influnenzae  S aureus  Enterobacter spp
  • 17.
    The same bugs? Different for CAP and HAP  Different < 5 days in hospital  > 5 days in hospital  Unventilated and ventilated patients
  • 18.
    > 5 daysin hospital  P. Aerugenosa  Enterobacter spp.  Acinobacter spp.  Klebsiella spp.  S macrescens  E coli  Other GNRs  Saureus/ MRSA
  • 19.
    Other special risks Anaerobic bacteria  Legionella pneumophila  Viruses : infuenza A and B, RSV  Fungi
  • 20.
    Antibiotics  Early onsetinfection <5 days not severe Co Amoxicav or Cefuroxime / ceftriaxome 7days  Late onset > 5days anti pseudomonial penecillin or Ceftazidime or quinolone  For MRSA suspected Vencomycin  Consider adding Aminoglycoside for severe illness suggested duration 7 or longer if pseudomonas
  • 21.
    VAP Complicates the course8—60 % on MV Mortality from 15% to 50%
  • 22.
    Pathogenesis /risk factors Intubation compromise s natural barrier between oropharynx and trachea.  Age>60, hypoalbu, ARDS, COPD, coma, burns, trauma, organ failure, gastric aspiration, resp tract colonization, sinusitis, H2 receptor antagonist, paralytic agents, prior antibiotics, continued sedation, MV >2days, tracheostomy, NG tube, supine position.
  • 23.
    Poor prognostic factors Age  Co morbidities  Presence of fever < 35 c > 40c  Cvs HR >125/min low BP  Resp Rate >/30/min  Sats <90 %  Metabolic urea Na 130 Glucose >250 pH <7.35
  • 24.
    V A P Local policies and advice from microbiology  Drug resistant pathogens P aeruginosa, MRSA, acinobactor, klebsiella.  Delay in treatment not an option
  • 25.