DUODENAL ATRESIA
DIAGNOSTIC, THERAPY, PRE-OPERATIVE AND POST-OPERATIVE CARE
DR. ISA BASUKI
DEPARTMENT OF SURGERY, AWS GENERAL HOSPITAL
EPIDEMIOLOGY
• 1 PER 5000 TO 10,000 LIVE BIRTHS
• AFFECTING BOYS MORE COMMONLY THAN GIRLS
• MORE THAN 50% OF AFFECTED PATIENTS HAVE ASSOCIATED CONGENITAL
ANOMALIES
• TRISOMY 21  APPROXIMATELY 30% OF PATIENTS
• ISOLATED CARDIAC DEFECTS  30%
• OTHER GASTROINTESTINAL ANOMALIES  25%
• PREMATURE  45%
• GROWTH RETARDATION  33%
ETIOLOGY
• CONGENITAL DUODENAL OBSTRUCTION  INTRINSIC OR EXTRINSIC GASTROINTESTINAL LESION
• MOST COMMON CAUSE  ATRESIA
• INTRINSIC LESION  CAUSED BY A FAILURE OF RECANALIZATION OF THE FETAL DUODENUM
• EXTRINSIC FORM  DEFECTS IN THE DEVELOPMENT OF NEIGHBORING STRUCTURES
• ANNULAR PANCREAS IS AN UNCOMMON ETIOLOGY  THIS FORM OF OBSTRUCTION IS LIKELY DUE TO FAILURE OF
DUODENAL DEVELOPMENT RATHER THAN A TRUE CONSTRICTING LESION
• THE PRESENCE OF AN ANNULAR PANCREAS  VISIBLE INDICATOR FOR AN UNDERLYING STENOSIS OR ATRESIA
• OTHER:
• BILIARY ATRESIA,
• GALLBLADDER AGENESIS,
• STENOSIS OF THE COMMON BILE DUCT
• CHOLEDOCHAL CYST
CLASSIFICATION
• ANATOMICALLY  DUODENAL OBSTRUCTIONS ARE CLASSIFIED
AS:
• STENOSES 
• INCOMPLETE OBSTRUCTION DUE TO A FENESTRATED WEB OR DIAPHRAGM
• INVOLVE THE THIRD AND/OR FOURTH PART OF THE DUODENUM
• ATRESIA
CONT’D
• ATRESIAS, OR COMPLETE OBSTRUCTION ARE FURTHER CLASSIFIED INTO: (GRAY AND
SKANDALAKIS)
• TYPE I  92% OF CASES
• OBSTRUCTING SEPTUM (WEB) FORMED FROM MUCOSA AND SUBMUCOSA WITH NO DEFECT IN
SUBMUSCULARIS
• THE MESENTERY IS INTACT
• VARIANT  “WINDSOCK” DEFORMITY (THE MEMBRANE IS THIN AND ELONGATED)
• TYPE II  1% OF CASES
• A SHORT FIBROUS CORD CONNECTS THE TWO BLIND ENDS OF THE DUODENUM
• THE MESENTERY IS INTACT
• TYPE III  7% OF CASES
• THERE IS NO CONNECTIONS BETWEEN THE TWO BLIND ENDS OF THE DUODENUM
• V- SHAPED MESENTERY DEFECT
PATHOLOGY
• THE OBSTRUCTION CAN BE CLASSIFIED AS:
• PREAMPULLARY
• POSTAMPULLARY  APPROXIMATELY 85%
• THE PYLORUS IS USUALLY BOTH DISTENDED AND HYPERTROPHIC
• THE BOWEL DISTAL TO THE OBSTRUCTION IS COLLAPSED
• COMPLETE OBSTRUCTION OF THE DUODENUM  THE INCIDENCE OF
POLYHYDRAMNIOS 32% TO 81%.
• GROWTH RETARDATION IS ALSO COMMON
DIAGNOSIS
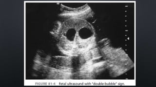
• HISTORY OF POLYHYDRAMNIOS
• PRENATAL ULTRASONOGRAPHY DETECT TWO FLUID-FILLED STRUCTURES CONSISTENT
WITH A DOUBLE BUBBLE IN UP TO 44% OF CASES
• MOST CASES OF DUODENAL ATRESIA ARE DETECTED AT BETWEEN 7 AND 8 MONTHS
OF GESTATION
• THE PRESENTATION OF THE NEONATE VARIES DEPENDING ON:
• OBSTRUCTION IS COMPLETE OR INCOMPLETE
• THE LOCATION OF THE AMPULLA OF VATER IN RELATION TO THE OBSTRUCTION
• CLASSIC PRESENTATION  BILIOUS EMESIS WITHIN THE FIRST HOURS OF LIFE IN AN
STABLE NEONATE (10% OF CASES THE EMESIS IS NONBILIOUS)
CONT’D
• ABDOMINAL DISTENTION MAY OR MAY NOT BE PRESENT, DUODENAL ATRESIA  SCAPHOID
• ASPIRATION VIA A NASOGASTRIC TUBE > 20 ML (N: < 5 ML)
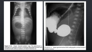
• THE DIAGNOSTIC RADIOGRAPHIC PRESENTATION (UPRIGHT ABDOMINAL RADIOGRAPH) 
“DOUBLE BUBBLE” SIGN WITH NO DISTAL BOWEL GAS
• THE PROXIMAL LEFT-SIDED BUBBLE  AIR- AND FLUID-FILLED STOMACH
• THE SECOND BUBBLE TO THE RIGHT  THE DILATED PROXIMAL DUODENUM
• HOWEVER, THE PRESENCE OF DISTAL GAS DOES NOT EXCLUDE THE DIAGNOSIS OF ATRESIA
• LIMITED UPPER GASTROINTESTINAL CONTRAST STUDY  TO EXCLUDE MALROTATION AND
VOLVULUS
PRE-OPERATIVE CARE
• APPROPRIATE RESUSCITATION
• CORRECTION OF FLUID BALANCE AND ELECTROLYTE ABNORMALITIES
• GASTRIC DECOMPRESSION
• PERENTERAL NUTRITION VIA CENTRAL CATHETER LINE
• INVESTIGATIONS:
• COMPLETE METABOLIC PROFILE,
• COMPLETE BLOOD CELL COUNT,
• COAGULATION STUDIES,
• AN ABDOMINAL AND SPINAL ULTRASOUND EVALUATION,
• TWO-DIMENSIONAL ECHOCARDIOGRAPHY
THERAPY / OPERATION
• SURGICAL CORRECTION OF DUODENAL OBSTRUCTION IS NOT URGENT
• PRIOR TO THE MID 1970S, DUODENOJEJUNOSTOMY WAS THE PREFERRED TECHNIQUE
FOR CORRECTING DUODENAL ATRESIA OR STENOSIS
• VARIOUS TECHNIQUES:
• SIDE-TO-SIDE DUODENODUODENOSTOMY,
• DIAMOND-SHAPED DUODENODUODENOSTOMY,
• PARTIAL WEB RESECTION WITH HEINEKE-MIKULICZ–TYPE DUODENOPLASTY,
• TAPERING DUODENOPLASTY
• TODAY, THE PROCEDURE OF CHOICE IS EITHER LAPAROSCOPIC OR OPEN
DUODENODUODENOSTOMY
CON’T
• LONG SIDE-TO-SIDE DUODENODUODENOSTOMY, ALTHOUGH EFFECTIVE, IS
ASSOCIATED WITH A HIGH INCIDENCE OF ANASTOMOTIC DYSFUNCTION AND
PROLONGED OBSTRUCTION
• DUODENOJEJUNOSTOMY  BLIND-LOOP SYNDROME APPEARS TO BE MORE
COMMON
• GASTROJEJUNOSTOMY  HIGH INCIDENCE OF MARGINAL ULCERATION AND
BLEEDING
• FOR THE OPEN APPROACH  RIGHT UPPER QUADRANT SUPRAUMBILICAL TRANSVERSE
INCISION IS MADE
• AFTER MOBILIZING THE ASCENDING AND TRANSVERSE COLONS TO THE LEFT, THE
DUODENAL OBSTRUCTION IS READILY EXPOSED
CONT’D
• MALROTATION SHOULD BE EVALUATED BECAUSE IT CAN OCCUR IN ASSOCIATION WITH CONGENITAL
DUODENAL OBSTRUCTION IN UP TO 30% OF PATIENTS
• A SUFFICIENT LENGTH OF DUODENUM DISTAL TO THE ATRESIA IS MOBILIZED TO ALLOW FOR A TENSION-
FREE ANASTOMOSIS
• A TRANSVERSE DUODENOTOMY IS MADE IN THE ANTERIOR WALL OF THE DISTAL PORTION OF THE
DILATED PROXIMAL DUODENUM
• A DUODENOTOMY OF SIMILAR LENGTH IS MADE IN A VERTICAL ORIENTATION ON THE ANTIMESENTERIC
BORDER OF THE DISTAL DUODENUM
CONT’D
• THE ANASTOMOSIS IS THEN FASHIONED BY APPROXIMATING THE END OF EACH
INCISION TO THE APPROPRIATE MIDPORTION OF THE OTHER INCISION
• TAPERING DUODENOPLASTY IS USUALLY NOT NECESSARY AS THE PROXIMAL
DUODENAL DILATION FREQUENTLY RESOLVES AFTER RELIEF OF THE OBSTRUCTION
• THE LAPAROSCOPIC APPROACH WAS FIRST DESCRIBED BY ROTHENBERG
• STANDARD LAPAROSCOPIC APPROACH:
• PATIENT SUPINE,
• THE ABDOMEN IS INSUFFLATED THROUGH THE UMBILICUS
CONT’D
• THREE PORTS ARE USED:
• ONE AT THE UMBILICUS FOR THE CAMERA
• TWO WORKING PORTS IN THE LEFT/RIGHT MIDABDOMEN FOR SUTURING
• A LIVER RETRACTOR CAN BE PLACED IN THE RIGHT OR LEFT UPPER QUADRANT IF
NECESSARY
• ALTERNATIVELY, THE LIVER CAN BE ELEVATED BY PLACING A TRANSABDOMINAL WALL
SUTURE AROUND THE FALCIFORM LIGAMENT AND TYING IT OUTSIDE THE ABDOMEN
• THE DUODENUM IS MOBILIZED, AND THE LOCATION OF OBSTRUCTION IS IDENTIFIED
• USING THE SAME PRINCIPLES THAT HAVE BEEN DESCRIBED FOR THE OPEN
APPROACH, A STANDARD DIAMOND-SHAPED ANASTOMOSIS IS CREATED
RISK STRATIFICATION IN DUODENAL ATRESIA
Groups Mortality
Group A > 2.5 kg weight, no
additional.
congenital anomalies
11%
Group B 2-2.5kg with no anomaly OR
> 2.5 kg with additional.
serious anomaly
40%
Group C > 2 kg OR 2-2.5 kg with
additional serious anomaly
74%
POST-OPERATIVE CARE
• TOTAL PARENTERAL NUTRITION (TPN) IS CONTINUED
• NASOGASTRIC TUBE OUTPUT IS MONITORED
• FEEDINGS MAY BE STARTED WHEN THE VOLUME OF THE NASOGASTRIC OUTPUT HAS
DIMINISHED AND ITS COLOR HAS LIGHTENED AND IT BECOMES CLEAR  SEVERAL
DAYS TO A WEEK
• SMALL FEEDINGS ARE THEN INITIATED WITH VOLUME AND CONCENTRATION
ADVANCED AS TOLERATED
• THE MAJORITY MAY BE DISCHARGED WITHIN ONE TO SEVERAL WEEKS
COMPLICATIONS
• INTRAOPERATIVE
• INCORRECT IDENTIFICATION OF THE SITE OF OBSTRUCTION MOST COMMONLY
OCCURS WHEN A LONG, FLOPPY WEB (WINDSOCK DEFORMITY) IS PRESENT
• THE UNWARY SURGEON, NOT RECOGNIZING THE TRUE ATTACHMENT OF THE WEB,
MAY THEN CONSTRUCT A BYPASS ANASTOMOSIS ENTIRELY DISTAL TO IT
• MORE THAN ONE OBSTRUCTION PRESENT (RARE)
• THE CAREFUL PASSAGE AND WITHDRAWAL OF BALLOON CATHETERS BOTH
PROXIMALLY INTO THE STOMACH AND DISTALLY INTO THE JEJUNUMBEFORE
STARTING AN ANASTOMOSIS SHOULD PREVENT BOTH OF THESE SITUATIONS
CONT’D
• POSTOPERATIVE
• THE MOST COMMON  PROLONGED FEEDING INTOLERANCE
• IN GENERAL, IF NO SPECIFIC DIFFICULTIES WERE ENCOUNTERED AT THE INITIAL PROCEDURE, THERE
SHOULD BE CONCERN IF RELATIVELY NORMAL FUNCTION HAS NOT BEEN ACHIEVED BY 3 WEEKS
• UPPER GASTROINTESTINAL SERIES IS HELPFUL TO SEARCH FOR
• RESIDUAL ANATOMIC OBSTRUCTION,
• ANASTOMOTIC STENOSIS,
• PREVIOUSLY UNRECOGNIZED OBSTRUCTION AT A DIFFERENT LOCATION,
• POOR PERISTALSIS
• ADDITIONAL SIMPLE TAPERING OF THE PROXIMAL DUODENUM MAY SUFFICE TO PROVIDE
ADEQUATE ADDITIONAL MOTILITY
REFERENCES
1. HOLCOMB GW, MURPHY JP, M.D DJO. ASHCRAFT’S PEDIATRIC
SURGERY. 5TH ED. SAUNDERS/ELSEVIER; 2010.
2. CORAN AG, ADZICK NS, M.D TMK, M.D J-ML. PEDIATRIC SURGERY. 7TH
ED. ELSEVIER HEALTH SCIENCES; 2012.
THANK YOU

Duodenal Atresia

  • 1.
    DUODENAL ATRESIA DIAGNOSTIC, THERAPY,PRE-OPERATIVE AND POST-OPERATIVE CARE DR. ISA BASUKI DEPARTMENT OF SURGERY, AWS GENERAL HOSPITAL
  • 2.
    EPIDEMIOLOGY • 1 PER5000 TO 10,000 LIVE BIRTHS • AFFECTING BOYS MORE COMMONLY THAN GIRLS • MORE THAN 50% OF AFFECTED PATIENTS HAVE ASSOCIATED CONGENITAL ANOMALIES • TRISOMY 21  APPROXIMATELY 30% OF PATIENTS • ISOLATED CARDIAC DEFECTS  30% • OTHER GASTROINTESTINAL ANOMALIES  25% • PREMATURE  45% • GROWTH RETARDATION  33%
  • 3.
    ETIOLOGY • CONGENITAL DUODENALOBSTRUCTION  INTRINSIC OR EXTRINSIC GASTROINTESTINAL LESION • MOST COMMON CAUSE  ATRESIA • INTRINSIC LESION  CAUSED BY A FAILURE OF RECANALIZATION OF THE FETAL DUODENUM • EXTRINSIC FORM  DEFECTS IN THE DEVELOPMENT OF NEIGHBORING STRUCTURES • ANNULAR PANCREAS IS AN UNCOMMON ETIOLOGY  THIS FORM OF OBSTRUCTION IS LIKELY DUE TO FAILURE OF DUODENAL DEVELOPMENT RATHER THAN A TRUE CONSTRICTING LESION • THE PRESENCE OF AN ANNULAR PANCREAS  VISIBLE INDICATOR FOR AN UNDERLYING STENOSIS OR ATRESIA • OTHER: • BILIARY ATRESIA, • GALLBLADDER AGENESIS, • STENOSIS OF THE COMMON BILE DUCT • CHOLEDOCHAL CYST
  • 5.
    CLASSIFICATION • ANATOMICALLY DUODENAL OBSTRUCTIONS ARE CLASSIFIED AS: • STENOSES  • INCOMPLETE OBSTRUCTION DUE TO A FENESTRATED WEB OR DIAPHRAGM • INVOLVE THE THIRD AND/OR FOURTH PART OF THE DUODENUM • ATRESIA
  • 6.
    CONT’D • ATRESIAS, ORCOMPLETE OBSTRUCTION ARE FURTHER CLASSIFIED INTO: (GRAY AND SKANDALAKIS) • TYPE I  92% OF CASES • OBSTRUCTING SEPTUM (WEB) FORMED FROM MUCOSA AND SUBMUCOSA WITH NO DEFECT IN SUBMUSCULARIS • THE MESENTERY IS INTACT • VARIANT  “WINDSOCK” DEFORMITY (THE MEMBRANE IS THIN AND ELONGATED) • TYPE II  1% OF CASES • A SHORT FIBROUS CORD CONNECTS THE TWO BLIND ENDS OF THE DUODENUM • THE MESENTERY IS INTACT • TYPE III  7% OF CASES • THERE IS NO CONNECTIONS BETWEEN THE TWO BLIND ENDS OF THE DUODENUM • V- SHAPED MESENTERY DEFECT
  • 8.
    PATHOLOGY • THE OBSTRUCTIONCAN BE CLASSIFIED AS: • PREAMPULLARY • POSTAMPULLARY  APPROXIMATELY 85% • THE PYLORUS IS USUALLY BOTH DISTENDED AND HYPERTROPHIC • THE BOWEL DISTAL TO THE OBSTRUCTION IS COLLAPSED • COMPLETE OBSTRUCTION OF THE DUODENUM  THE INCIDENCE OF POLYHYDRAMNIOS 32% TO 81%. • GROWTH RETARDATION IS ALSO COMMON
  • 9.
    DIAGNOSIS • HISTORY OFPOLYHYDRAMNIOS • PRENATAL ULTRASONOGRAPHY DETECT TWO FLUID-FILLED STRUCTURES CONSISTENT WITH A DOUBLE BUBBLE IN UP TO 44% OF CASES • MOST CASES OF DUODENAL ATRESIA ARE DETECTED AT BETWEEN 7 AND 8 MONTHS OF GESTATION • THE PRESENTATION OF THE NEONATE VARIES DEPENDING ON: • OBSTRUCTION IS COMPLETE OR INCOMPLETE • THE LOCATION OF THE AMPULLA OF VATER IN RELATION TO THE OBSTRUCTION • CLASSIC PRESENTATION  BILIOUS EMESIS WITHIN THE FIRST HOURS OF LIFE IN AN STABLE NEONATE (10% OF CASES THE EMESIS IS NONBILIOUS)
  • 10.
    CONT’D • ABDOMINAL DISTENTIONMAY OR MAY NOT BE PRESENT, DUODENAL ATRESIA  SCAPHOID • ASPIRATION VIA A NASOGASTRIC TUBE > 20 ML (N: < 5 ML) • THE DIAGNOSTIC RADIOGRAPHIC PRESENTATION (UPRIGHT ABDOMINAL RADIOGRAPH)  “DOUBLE BUBBLE” SIGN WITH NO DISTAL BOWEL GAS • THE PROXIMAL LEFT-SIDED BUBBLE  AIR- AND FLUID-FILLED STOMACH • THE SECOND BUBBLE TO THE RIGHT  THE DILATED PROXIMAL DUODENUM • HOWEVER, THE PRESENCE OF DISTAL GAS DOES NOT EXCLUDE THE DIAGNOSIS OF ATRESIA • LIMITED UPPER GASTROINTESTINAL CONTRAST STUDY  TO EXCLUDE MALROTATION AND VOLVULUS
  • 13.
    PRE-OPERATIVE CARE • APPROPRIATERESUSCITATION • CORRECTION OF FLUID BALANCE AND ELECTROLYTE ABNORMALITIES • GASTRIC DECOMPRESSION • PERENTERAL NUTRITION VIA CENTRAL CATHETER LINE • INVESTIGATIONS: • COMPLETE METABOLIC PROFILE, • COMPLETE BLOOD CELL COUNT, • COAGULATION STUDIES, • AN ABDOMINAL AND SPINAL ULTRASOUND EVALUATION, • TWO-DIMENSIONAL ECHOCARDIOGRAPHY
  • 14.
    THERAPY / OPERATION •SURGICAL CORRECTION OF DUODENAL OBSTRUCTION IS NOT URGENT • PRIOR TO THE MID 1970S, DUODENOJEJUNOSTOMY WAS THE PREFERRED TECHNIQUE FOR CORRECTING DUODENAL ATRESIA OR STENOSIS • VARIOUS TECHNIQUES: • SIDE-TO-SIDE DUODENODUODENOSTOMY, • DIAMOND-SHAPED DUODENODUODENOSTOMY, • PARTIAL WEB RESECTION WITH HEINEKE-MIKULICZ–TYPE DUODENOPLASTY, • TAPERING DUODENOPLASTY • TODAY, THE PROCEDURE OF CHOICE IS EITHER LAPAROSCOPIC OR OPEN DUODENODUODENOSTOMY
  • 16.
    CON’T • LONG SIDE-TO-SIDEDUODENODUODENOSTOMY, ALTHOUGH EFFECTIVE, IS ASSOCIATED WITH A HIGH INCIDENCE OF ANASTOMOTIC DYSFUNCTION AND PROLONGED OBSTRUCTION • DUODENOJEJUNOSTOMY  BLIND-LOOP SYNDROME APPEARS TO BE MORE COMMON • GASTROJEJUNOSTOMY  HIGH INCIDENCE OF MARGINAL ULCERATION AND BLEEDING • FOR THE OPEN APPROACH  RIGHT UPPER QUADRANT SUPRAUMBILICAL TRANSVERSE INCISION IS MADE • AFTER MOBILIZING THE ASCENDING AND TRANSVERSE COLONS TO THE LEFT, THE DUODENAL OBSTRUCTION IS READILY EXPOSED
  • 17.
    CONT’D • MALROTATION SHOULDBE EVALUATED BECAUSE IT CAN OCCUR IN ASSOCIATION WITH CONGENITAL DUODENAL OBSTRUCTION IN UP TO 30% OF PATIENTS • A SUFFICIENT LENGTH OF DUODENUM DISTAL TO THE ATRESIA IS MOBILIZED TO ALLOW FOR A TENSION- FREE ANASTOMOSIS • A TRANSVERSE DUODENOTOMY IS MADE IN THE ANTERIOR WALL OF THE DISTAL PORTION OF THE DILATED PROXIMAL DUODENUM • A DUODENOTOMY OF SIMILAR LENGTH IS MADE IN A VERTICAL ORIENTATION ON THE ANTIMESENTERIC BORDER OF THE DISTAL DUODENUM
  • 18.
    CONT’D • THE ANASTOMOSISIS THEN FASHIONED BY APPROXIMATING THE END OF EACH INCISION TO THE APPROPRIATE MIDPORTION OF THE OTHER INCISION • TAPERING DUODENOPLASTY IS USUALLY NOT NECESSARY AS THE PROXIMAL DUODENAL DILATION FREQUENTLY RESOLVES AFTER RELIEF OF THE OBSTRUCTION • THE LAPAROSCOPIC APPROACH WAS FIRST DESCRIBED BY ROTHENBERG • STANDARD LAPAROSCOPIC APPROACH: • PATIENT SUPINE, • THE ABDOMEN IS INSUFFLATED THROUGH THE UMBILICUS
  • 23.
    CONT’D • THREE PORTSARE USED: • ONE AT THE UMBILICUS FOR THE CAMERA • TWO WORKING PORTS IN THE LEFT/RIGHT MIDABDOMEN FOR SUTURING • A LIVER RETRACTOR CAN BE PLACED IN THE RIGHT OR LEFT UPPER QUADRANT IF NECESSARY • ALTERNATIVELY, THE LIVER CAN BE ELEVATED BY PLACING A TRANSABDOMINAL WALL SUTURE AROUND THE FALCIFORM LIGAMENT AND TYING IT OUTSIDE THE ABDOMEN • THE DUODENUM IS MOBILIZED, AND THE LOCATION OF OBSTRUCTION IS IDENTIFIED • USING THE SAME PRINCIPLES THAT HAVE BEEN DESCRIBED FOR THE OPEN APPROACH, A STANDARD DIAMOND-SHAPED ANASTOMOSIS IS CREATED
  • 27.
    RISK STRATIFICATION INDUODENAL ATRESIA Groups Mortality Group A > 2.5 kg weight, no additional. congenital anomalies 11% Group B 2-2.5kg with no anomaly OR > 2.5 kg with additional. serious anomaly 40% Group C > 2 kg OR 2-2.5 kg with additional serious anomaly 74%
  • 28.
    POST-OPERATIVE CARE • TOTALPARENTERAL NUTRITION (TPN) IS CONTINUED • NASOGASTRIC TUBE OUTPUT IS MONITORED • FEEDINGS MAY BE STARTED WHEN THE VOLUME OF THE NASOGASTRIC OUTPUT HAS DIMINISHED AND ITS COLOR HAS LIGHTENED AND IT BECOMES CLEAR  SEVERAL DAYS TO A WEEK • SMALL FEEDINGS ARE THEN INITIATED WITH VOLUME AND CONCENTRATION ADVANCED AS TOLERATED • THE MAJORITY MAY BE DISCHARGED WITHIN ONE TO SEVERAL WEEKS
  • 29.
    COMPLICATIONS • INTRAOPERATIVE • INCORRECTIDENTIFICATION OF THE SITE OF OBSTRUCTION MOST COMMONLY OCCURS WHEN A LONG, FLOPPY WEB (WINDSOCK DEFORMITY) IS PRESENT • THE UNWARY SURGEON, NOT RECOGNIZING THE TRUE ATTACHMENT OF THE WEB, MAY THEN CONSTRUCT A BYPASS ANASTOMOSIS ENTIRELY DISTAL TO IT • MORE THAN ONE OBSTRUCTION PRESENT (RARE) • THE CAREFUL PASSAGE AND WITHDRAWAL OF BALLOON CATHETERS BOTH PROXIMALLY INTO THE STOMACH AND DISTALLY INTO THE JEJUNUMBEFORE STARTING AN ANASTOMOSIS SHOULD PREVENT BOTH OF THESE SITUATIONS
  • 30.
    CONT’D • POSTOPERATIVE • THEMOST COMMON  PROLONGED FEEDING INTOLERANCE • IN GENERAL, IF NO SPECIFIC DIFFICULTIES WERE ENCOUNTERED AT THE INITIAL PROCEDURE, THERE SHOULD BE CONCERN IF RELATIVELY NORMAL FUNCTION HAS NOT BEEN ACHIEVED BY 3 WEEKS • UPPER GASTROINTESTINAL SERIES IS HELPFUL TO SEARCH FOR • RESIDUAL ANATOMIC OBSTRUCTION, • ANASTOMOTIC STENOSIS, • PREVIOUSLY UNRECOGNIZED OBSTRUCTION AT A DIFFERENT LOCATION, • POOR PERISTALSIS • ADDITIONAL SIMPLE TAPERING OF THE PROXIMAL DUODENUM MAY SUFFICE TO PROVIDE ADEQUATE ADDITIONAL MOTILITY
  • 31.
    REFERENCES 1. HOLCOMB GW,MURPHY JP, M.D DJO. ASHCRAFT’S PEDIATRIC SURGERY. 5TH ED. SAUNDERS/ELSEVIER; 2010. 2. CORAN AG, ADZICK NS, M.D TMK, M.D J-ML. PEDIATRIC SURGERY. 7TH ED. ELSEVIER HEALTH SCIENCES; 2012.
  • 32.