Approach to Bleeding!
Fatima (Fatuma) Khadadah
PGY5 University of Toronto
January 23rd 2020
Disclosures
• No relevant disclosures
• Slide credits to all previous TAAAC residents notably Drs Jiajia Liu and
Abi Vijenthira
Objectives
• Review the mechanisms behind normal and abnormal hemostasis
• Develop an approach to the patient with bleeding
• Discuss specific hemostatic scenarios and challenges
When you think of hemostasis you think of..
Wikipedia.org
Madness!
Slide from Dr. Michelle Sholzberg
Hemostasis is composed of 4major events:
1. Primary hemostasis
2. Secondary hemostasis
3. Fibrin clot formation and stabilization
4. Inhibition of coagulation
Bloody Easy Coagulation Simplified
Primary Hemostasis
• Collagen Vascular Abnormality
• Von Willibrand Disease (VWD)
• Platelet Deficiency
• Quantitative  thrombocytopenia
• Qualitative  platelet dysfunction
• Classic: mucocutaneous bleeding
(petechiae, purpura, gingival
bleeding, menorrhagia)
Normal
Abnormal
Secondary Hemostasis
Normal
Abnormal
• Hereditary or acquired
coagulation factor deficiency
• Hemophilia:
• Factor VIII (Hemophilia A)
• Factor IX (Hemophilia B)
• Drugs E.g. DOACs
• Classic: joint, intramuscular
bleeding
Fibrin Clot Formation and Stabilization
• Clot stabilizers
• Rare diseases
• Classic: Delayed bleeding
Normal
Abnormal
Inhibition of Coagulation
Normal
Abnormal
• Hereditary Thrombophilias!
• E.g. Factor V Leiden, Protein C and
S deficiency
• Inhibition of thrombin generation
+
Objectives
Review the mechanisms behind normal and abnormal hemostasis
• Develop an approach to the patient with bleeding
• Discuss specific hemostatic scenarios and challenges
Quiroga T, Hematology 2012
What is the most common bleeding disorder?
How to approach bleeding NYD?
Location of Bleeding
• Primary hemostasis defects
• Mucocutaneous bleeding
• Easy bruising
• Heavy menstrual bleeding
• Petichiae (low plts)
• Secondary hemostasis defects
• Hemarthrosis
• Intramuscular bleeding
• Retroperitoneal bleeding
• CNS bleeding
Onset
• Chronic/recurrent vs. 1st episode?
• Differentiate congenital vs. acquired
Severity
• Require blood transfusions?
PMHx
• Previous hemostatic challenges?
• Postpartum hemorrhage
• Circumcision
• Dental procedures
• Surgical procedures
• Comorbidities
• Liver/renal disease
Medications
• Anticoagulants, Antibiotics, ASA,
NSAIDs, valproic acid, SSRI
Family History
• VWD: predominantly autosomal
dominant (male and female
affected)
• Hemophilia A and B: X-linked
(predominately males affected)
What is the most important test to diagnose a
bleeding disorder?
• The clinical history!
• The PT/INR and PTT are only 1-2% sensitive for
bleeding disorders
• A bleeding history can be standardised using a Bleeding
Assessment Tool
ISTH Bleeding assessment tool
• Clinician-administered standardized bleeding history and bleeding
severity assessment
• Studied and sensitive in von Willebrand disease, inherited platelet
defects, and mild hemophilia/hemophilia carriers
• Score >4 suggestive of a bleeding disorder
• Sensitivity for vWD 99% - high NPV!
• Specificity 70-80% - > further testing is still needed!
www.isth.org/resource/resmgr/ssc/isth-ssc_bleeding_assessment.pdf
Further testing if ISTH BAT >4 ?
• CBC + differential
• PT/PTT/fibrinogen
• Liver/renal function testing
• Von Willebrand factor antigen level, ristocetin cofactor activity, and
factor VIII level
• Platelet function assay (PFA)
• (Platelet aggregation/Platelet secretion/Platelet flow cytometry)
DDx: Isolated Prolonged aPTT
• Heparin or other anticoagulant
• Deficiency or inhibitor of:
• Factor VIII
• Factor IX
• Factor XI
• Factor XII
• Contact factor (XII, PK, HMWK)
• Von Willebrand disease (2nd to low
FVIII)
• Lupus anticoagulant
Which of the above do not confer a bleeding risk?
Lupus anticoagulant + Factor 12 deficiency!
DDx: Isolated Prolonged PT
• Vitamin K deficiency
• Warfarin therapy
• Liver disease
• Factor VII deficiency/inhibitor
DDx: Prolonged PT & aPTT
• High dose (heparin or)
warfarin
• Dilutional coagulopathy
• DIC
• Vitamin K deficiency
• Moderate to severe liver
disease
• Common pathway clotting
factor
deficiencies/inhibitors:
Mixing Study
• What is a Mixing study?
• Combine normal plasma + pt plasma 1:1
• Perform PTT afterwards
Two possible outcomes:
• PTT fully corrects
• PTT does not fully correct
INHIBITOR
FACTOR
DEFICIENCY
Moving on to inpatient bleeding
management and cases
Principles of Bleed Management
• ABCs
• Ask for help (surgical teams, ICU…)
• Intravenous access
• CBC, PT, PTT, Blood group and screen
• Fluid resuscitation +evaluate need for blood transfusion
• Tranexamic acid unless contraindicated
• Give targeted hemostatic therapy (factors, etc.) if appropriate
Tranexamic acid
• Evidence
• Trauma (CRASH-2) – improves survival if given <3h from trauma
• TBI (CRASH-3) – treatment <3 hrs reduces head injury related death
• Obstetrics (WOMAN) – reduces death in PPH if given ASAP
• Peri-procedural – decrease blood loss, need for blood transfusions, mortality
benefit
• Elective c-section, TKA, orthognatic surgery, cardiac surgery, spinal surgeries, TURP,
hemophilia and dental extractions
• Menorrhagia – decreased bleeding, improved quality of life
• SAH: decreased rebleeding and mortality
• GI bleeding: trend towards decreased mortality
• Cancer: safe to give and no increased risk of thrombosis or death (meta-analysis)
https://doi.org/10.1016/j.transproceed.2015.05.027.
Tranexamic acid
• Contraindications:
• Active thrombus (you want the clot to go away!)
• Hematuria (risk of urinary obstruction)
• NOT a contraindication:
• It is not a procoagulant -> multiple large prospective multicenter trials
in high-thrombotic risk populations (trauma, obstetrics) do not show
an increased risk of thrombosis
• Adverse effects
• Lowers seizure threshold
• Headache, GI effects
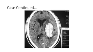
Case 1
50 year old man presents to ER with
sudden onset severe headache.
PMHx
1. Atrial fibrillation
Medications
1. Warfarin 5 mg PO daily
2. Metoprolol 25 mg PO BID
Investigations
• Hemoglobin 9 g/dL
• Platelets 200 x109/L
• WBC 9 x109/L
• INR 13
• aPTT 38 s
• Electrolytes, renal, and liver
function normal
Case Continued…
3 Step Approach to Life-threatening Bleeding
from Warfarin Excess
1. Stabilize
- ABCs (incl. call surgeons)
- Hold warfarin
- Give TXA
2. Vitamin K
- 10 mg IV (can repeat in
12h)
- Effect in 6-12 h
3. Prothrombin Complex
OR
Fresh Frozen Plasma
Short-term plan
– PCC (lasts 6 hours)
Long-term plan
– Intravenous vitamin K 10mg
Riv,
Apix
Dabi
Why might his INR be elevated?
• Interference with warfarin metabolism
• Heart failure (OR 1.6-3.0)
• Liver dysfunction (OR 2.8)
• Acute illness – infection, diarrhea (OR 12.8!)
• Fever (OR 2.9)
• Large day-to-day variations in Vitamin K intake
• Vitamin K-rich foods: Basil, green leafy vegetables (kale), scallions, chili powder,
asparagus, soybeans (cooked), dried prunes
• Drug Drug Interactions!! – including over-the-counter drugs (paracetamol),
antibiotics
CYP2C9
Warfarin reversal
• Warfarin
• No bleeding: INR > 10, vitamin K 5mg x 1 orally
• Minor bleeding:
• INR > 3 - hold warfarin
• INR 5-10 - oral Vitamin K 1-2.5mg x 1
• INR > 10 – oral vitamin K 5mg x 1
• Life threatening bleeding
• Vitamin K 10mg IV x 1
• PCC = Octaplex/Beriplex or FFP 15cc/kg.
Prothrombin Complex
(Octaplex, Beriplex)
CONTENTS:
• Factor 2, 7, 9, 10, PrC, PrS, heparin
• Specific for warfarin reversal
INDICATION
• Warfarin reversal or vit K deficiency with
life threatening bleeding and INR > 1.5 or
emergency surgery within < 6 hrs
***Contraindicated if HITT
***Lasts 6 hours
DOSE and PRACTICAL TIPS
• INR 1.5-2.99: 1000 units over 5 mins
• INR 3-4.99: 2000 units over 10 mins
• INR ≥ 5: 3000 units over15 mins (this is max
dose)
• If INR unknown and serious bleeding 
2000 units over 10 mins
Fresh Frozen Plasma
CONTENTS
• All clotting factors + fibrinogen
• INR of FFP = 1.6
INDICATION
• Liver disease and bleeding and INR > 1.5
• Warfarin reversal if no PCC OR patient has hx of HITT
**DON’T give plasma for:
• Bleeding/procedure & INR < 1.5
• NOT bleeding and INR > 1.5
DOSE and PRACTICAL TIPS
• 15 cc/kg round to nearest 250 mL
• Each unit of 250 mL will increase factor levels by 20%
• Max. effect only 5-6 hrs corresponding to shortest
half-life (factor VII!)
• Beware of transfusion reactions
• TACO, TRALI, AHTR
• Minor urticarial  give anti-histamine, NOT a
contraindication to more plasma
DOACs and bleeding
• General tips
• Local measures
• TXA 1g IV q8h
• When was the last dose and what is their creatinine clearance? It may
already be out of their system!
• Rivaroxaban or Apixaban
• If likely to still have anti-Xa on board: PCC 50 IU/kg or 2000 IU
• (andaxanet alfa)
• DABIGATRAN
• Idarucizumab 5g IV (2 vials)
Case 2
• 19 M presents with weakness
in left leg and flank bruising.
No trauma.
• PMHx:
• History of intermittent joint
swelling and pain since
childhood
• Meds: nil
• FMHx: younger brother had
appendectomy last year and
required +++ blood
transfusions
• O/E: HR 110, BP 120/80, T
36.8, RR 22, O2 100%
Case continued
PTT 50 s INR 1
Mixing study: PTT CORRECTS
Factor VIII level < 1%, Factor XI level 80%
• consistent with Hemophilia A
Overview of treatment
• Factor replacement (recombinant or plasma-derived)
• Cryoprecipitate (or Fresh frozen plasma)
Hemophilia A and B
• Hemophilia A
• FVIII deficiency
• Prevalence 1/5 000
• X-linked inheritance
• Hemophilia B
• FIX deficiency
• Prevalence 1/30 000
• X-linked inheritance
• Classified by severity
• World Federation of Hemophilia updated guidelines 2013
Severity Factor
Level
Bleeding Episodes
Severe < 1% Spontaneous bleeding into joints or muscles,
predominantly in the absence of identifiable
hemostatic challenge
Moderate 1-5% Occasional spontaneous bleeding; prolonged
bleeding with minor trauma or surgery
Mild 5-40% Severe bleeding with major trauma or surgery.
Spontaneous bleeding is rare.
Principles of Treating Bleeding Hemophilia Patient
• Acute bleeds should be treated as soon as possible, preferably within
2 hours. If in doubt, treat.
• In severe bleeding that may be life-threatening, treat with factor
immediately even before diagnostic assessment is completed
• Watch for critical sites that can be life- or limb-threatening (ex.
neurovascular compromise in MSK bleeding) – may still need surgical
opinion
• Tranexamic acid
• Specific factor replacement
• If not available, can use cryoprecipitate or FFP if hemophilia A, and FFP if
hemophilia B
How To Dose Factor Concentrate
Disease Half-Life Yield Products
Hemophilia A
(VIII)
8-12 hours 2% / u / kg Kogenate
Advate
Hemophilia B
(IX)
18-24 hours 0.5-1% / u / kg Benefix
How To Dose Factor Concentrate
Bleed Severity Example Treatment Target Dosing (if severe
deficiency)
Major GI Bleed
Retroperit. Bleed
CNS Bleed
80-100% HA = 50 u/kg
HB = 100 u/kg
Moderate Hemarthrosis 60-80% HA = 30 u/kg
HB = 60 u/kg
Minor Dental Work 50-60% Consider DDAVP
Tranexamic Acid
If specific factor replacement unavailable:
• What contains VIII
• Cryoprecipitate (VIII, XIII, FBG, VWF)
• DDAVP (boosts plasma levels of FVIII and VWF) – 0.3 mcg/kg IV or SC can raise FVIII
by 3-6 times
• What contains IX
• Prothrombin Complex Concentrate
• What contains (or helps) both
• FFP – 1 cc FFP contains 1 unit of factor activity, but difficult to achieve FVIII or FIX
levels above 25-30%
• (Tranexamic Acid)
So how much factor does our patient need?
• Assuming weight is 70 kg
• Assume close to 0% VIII activity
• Factor VIII 70 kg x 2% /u / kg = 70 kg x 50 u / kg = 3500 units IV
How long to treat for?
• Hemarthrosis – 1-2 treatments (40-60%)
• Muscle hemorrhage – 2-3 days, sometimes much longer if at critical site or if
rehabilitation needed
• Throat / neck – 7-14 days
• UGIB – 7-14 days
• CNS – 7-21 days
• World Federation of Hemophilia Recommendations
Case 3
• A 23 F presents to the ER after
experiencing epistaxis and easy
bruising for three days. She
noted petechiae on her arms and
legs
• Exam reveals:
• Wet purpura
• Petechiae, ecchymoses
• Normal spleen size
Investigations:
• CBC: Hg 120, WBC 10, Platelets 2
• Biochemistry: Electrolytes N, Creatinine 80
• Coags: Fibrinogen 2, INR 1, PTT 30
Life-threatening thrombocytopenia
• Thrombotic microangiopathies (look for anemia, AKI, blood
film!)
• TTP
• aHUS
• DIC (always do PT/PTT/fibrinogen in thrombocytopenic patient)
• HELPP
• Isolated thrombocytopenia
• ITP
• HIT (if recent heparin exposure)
• Malignancy: Acute leukemia
Immune Thrombocytopenia (ITP)
• Diagnosis of exclusion
• An acquired immune-mediated disorder
• Isolated thrombocytopenia
• Platelet count less than 100 * 109/L, and the absence of any obvious
initiating and/or underlying cause
• Clinically: mucocutaneous bleeding. ICH rare (estimates 1.5%)
but fatal
Investigations
• Exclude other diagnoses
• Look for secondary cause!
• HIV, HCV, H.pylori
• Ancillary
• APLA, ANA
• Quantitative Ig (look for CVID)
• DAT, IAT
• Bone marrow if older, no response to steroids, clinical concern
RE: malignancy
Emergency Management of ITP
1. SUPPORTIVE MEASURES
• Tranexamic acid 500-1000 mg PO TID if bleeding
• Platelet transfusion in life/limb threatening
2. STEROIDS
• Prednisone 1 mg/kg PO OD OR dexamethasone 40 mg PO OD * 4 days
3. IVIG if need a rapid platelet count increase
• IVIG 1 g/kg * 2 days
• NB. Risks of IVIG
• May use Anti-D alternatively (50-75 mcg/kg IV) in RH + non-
splenectomized patients
• Concern for hemolysis
Transfusion Thresholds for Thrombocytopenia
• Non active bleeding - nonimmune
• Active bleeding or going for OR
• CNS bleed, eye bleed
• For patients in DIC, try to keep counts
NOT evidence based!!
10
50
100
> 30-
50
Objectives
Review the mechanisms behind normal and abnormal hemostasis
Develop an approach to the patient with bleeding
Discuss specific hemostatic scenarios and challenges
Conclusions
• 3 cases
1. Bleeding on anticoagulants
2. Inherited factor deficiencies
3. Bleeding and thrombocytopenia
• Give tranexamic acid unless contraindicated – improves
outcomes in all studied groups
• Always evaluate for causes and consequences of bleeding
• History crucial in patients with abnormal bleeding
Thank you!
• You’ve stopped the bleeding!

Approach to Bleeding TAAAC.pptxggbbjkkkkkg

  • 1.
    Approach to Bleeding! Fatima(Fatuma) Khadadah PGY5 University of Toronto January 23rd 2020
  • 2.
    Disclosures • No relevantdisclosures • Slide credits to all previous TAAAC residents notably Drs Jiajia Liu and Abi Vijenthira
  • 3.
    Objectives • Review themechanisms behind normal and abnormal hemostasis • Develop an approach to the patient with bleeding • Discuss specific hemostatic scenarios and challenges
  • 4.
    When you thinkof hemostasis you think of.. Wikipedia.org Madness!
  • 5.
    Slide from Dr.Michelle Sholzberg
  • 6.
    Hemostasis is composedof 4major events: 1. Primary hemostasis 2. Secondary hemostasis 3. Fibrin clot formation and stabilization 4. Inhibition of coagulation Bloody Easy Coagulation Simplified
  • 7.
    Primary Hemostasis • CollagenVascular Abnormality • Von Willibrand Disease (VWD) • Platelet Deficiency • Quantitative  thrombocytopenia • Qualitative  platelet dysfunction • Classic: mucocutaneous bleeding (petechiae, purpura, gingival bleeding, menorrhagia) Normal Abnormal
  • 8.
    Secondary Hemostasis Normal Abnormal • Hereditaryor acquired coagulation factor deficiency • Hemophilia: • Factor VIII (Hemophilia A) • Factor IX (Hemophilia B) • Drugs E.g. DOACs • Classic: joint, intramuscular bleeding
  • 9.
    Fibrin Clot Formationand Stabilization • Clot stabilizers • Rare diseases • Classic: Delayed bleeding Normal Abnormal
  • 10.
    Inhibition of Coagulation Normal Abnormal •Hereditary Thrombophilias! • E.g. Factor V Leiden, Protein C and S deficiency • Inhibition of thrombin generation +
  • 11.
    Objectives Review the mechanismsbehind normal and abnormal hemostasis • Develop an approach to the patient with bleeding • Discuss specific hemostatic scenarios and challenges
  • 12.
    Quiroga T, Hematology2012 What is the most common bleeding disorder?
  • 13.
    How to approachbleeding NYD? Location of Bleeding • Primary hemostasis defects • Mucocutaneous bleeding • Easy bruising • Heavy menstrual bleeding • Petichiae (low plts) • Secondary hemostasis defects • Hemarthrosis • Intramuscular bleeding • Retroperitoneal bleeding • CNS bleeding Onset • Chronic/recurrent vs. 1st episode? • Differentiate congenital vs. acquired Severity • Require blood transfusions? PMHx • Previous hemostatic challenges? • Postpartum hemorrhage • Circumcision • Dental procedures • Surgical procedures • Comorbidities • Liver/renal disease Medications • Anticoagulants, Antibiotics, ASA, NSAIDs, valproic acid, SSRI Family History • VWD: predominantly autosomal dominant (male and female affected) • Hemophilia A and B: X-linked (predominately males affected)
  • 14.
    What is themost important test to diagnose a bleeding disorder? • The clinical history! • The PT/INR and PTT are only 1-2% sensitive for bleeding disorders • A bleeding history can be standardised using a Bleeding Assessment Tool
  • 15.
    ISTH Bleeding assessmenttool • Clinician-administered standardized bleeding history and bleeding severity assessment • Studied and sensitive in von Willebrand disease, inherited platelet defects, and mild hemophilia/hemophilia carriers • Score >4 suggestive of a bleeding disorder • Sensitivity for vWD 99% - high NPV! • Specificity 70-80% - > further testing is still needed!
  • 16.
  • 19.
    Further testing ifISTH BAT >4 ? • CBC + differential • PT/PTT/fibrinogen • Liver/renal function testing • Von Willebrand factor antigen level, ristocetin cofactor activity, and factor VIII level • Platelet function assay (PFA) • (Platelet aggregation/Platelet secretion/Platelet flow cytometry)
  • 20.
    DDx: Isolated ProlongedaPTT • Heparin or other anticoagulant • Deficiency or inhibitor of: • Factor VIII • Factor IX • Factor XI • Factor XII • Contact factor (XII, PK, HMWK) • Von Willebrand disease (2nd to low FVIII) • Lupus anticoagulant Which of the above do not confer a bleeding risk? Lupus anticoagulant + Factor 12 deficiency!
  • 21.
    DDx: Isolated ProlongedPT • Vitamin K deficiency • Warfarin therapy • Liver disease • Factor VII deficiency/inhibitor
  • 22.
    DDx: Prolonged PT& aPTT • High dose (heparin or) warfarin • Dilutional coagulopathy • DIC • Vitamin K deficiency • Moderate to severe liver disease • Common pathway clotting factor deficiencies/inhibitors:
  • 23.
    Mixing Study • Whatis a Mixing study? • Combine normal plasma + pt plasma 1:1 • Perform PTT afterwards Two possible outcomes: • PTT fully corrects • PTT does not fully correct INHIBITOR FACTOR DEFICIENCY
  • 24.
    Moving on toinpatient bleeding management and cases
  • 25.
    Principles of BleedManagement • ABCs • Ask for help (surgical teams, ICU…) • Intravenous access • CBC, PT, PTT, Blood group and screen • Fluid resuscitation +evaluate need for blood transfusion • Tranexamic acid unless contraindicated • Give targeted hemostatic therapy (factors, etc.) if appropriate
  • 26.
    Tranexamic acid • Evidence •Trauma (CRASH-2) – improves survival if given <3h from trauma • TBI (CRASH-3) – treatment <3 hrs reduces head injury related death • Obstetrics (WOMAN) – reduces death in PPH if given ASAP • Peri-procedural – decrease blood loss, need for blood transfusions, mortality benefit • Elective c-section, TKA, orthognatic surgery, cardiac surgery, spinal surgeries, TURP, hemophilia and dental extractions • Menorrhagia – decreased bleeding, improved quality of life • SAH: decreased rebleeding and mortality • GI bleeding: trend towards decreased mortality • Cancer: safe to give and no increased risk of thrombosis or death (meta-analysis) https://doi.org/10.1016/j.transproceed.2015.05.027.
  • 27.
    Tranexamic acid • Contraindications: •Active thrombus (you want the clot to go away!) • Hematuria (risk of urinary obstruction) • NOT a contraindication: • It is not a procoagulant -> multiple large prospective multicenter trials in high-thrombotic risk populations (trauma, obstetrics) do not show an increased risk of thrombosis • Adverse effects • Lowers seizure threshold • Headache, GI effects
  • 28.
    Case 1 50 yearold man presents to ER with sudden onset severe headache. PMHx 1. Atrial fibrillation Medications 1. Warfarin 5 mg PO daily 2. Metoprolol 25 mg PO BID Investigations • Hemoglobin 9 g/dL • Platelets 200 x109/L • WBC 9 x109/L • INR 13 • aPTT 38 s • Electrolytes, renal, and liver function normal
  • 29.
  • 30.
    3 Step Approachto Life-threatening Bleeding from Warfarin Excess 1. Stabilize - ABCs (incl. call surgeons) - Hold warfarin - Give TXA 2. Vitamin K - 10 mg IV (can repeat in 12h) - Effect in 6-12 h 3. Prothrombin Complex OR Fresh Frozen Plasma Short-term plan – PCC (lasts 6 hours) Long-term plan – Intravenous vitamin K 10mg
  • 31.
  • 32.
    Why might hisINR be elevated? • Interference with warfarin metabolism • Heart failure (OR 1.6-3.0) • Liver dysfunction (OR 2.8) • Acute illness – infection, diarrhea (OR 12.8!) • Fever (OR 2.9) • Large day-to-day variations in Vitamin K intake • Vitamin K-rich foods: Basil, green leafy vegetables (kale), scallions, chili powder, asparagus, soybeans (cooked), dried prunes • Drug Drug Interactions!! – including over-the-counter drugs (paracetamol), antibiotics
  • 33.
  • 34.
    Warfarin reversal • Warfarin •No bleeding: INR > 10, vitamin K 5mg x 1 orally • Minor bleeding: • INR > 3 - hold warfarin • INR 5-10 - oral Vitamin K 1-2.5mg x 1 • INR > 10 – oral vitamin K 5mg x 1 • Life threatening bleeding • Vitamin K 10mg IV x 1 • PCC = Octaplex/Beriplex or FFP 15cc/kg.
  • 35.
    Prothrombin Complex (Octaplex, Beriplex) CONTENTS: •Factor 2, 7, 9, 10, PrC, PrS, heparin • Specific for warfarin reversal INDICATION • Warfarin reversal or vit K deficiency with life threatening bleeding and INR > 1.5 or emergency surgery within < 6 hrs ***Contraindicated if HITT ***Lasts 6 hours DOSE and PRACTICAL TIPS • INR 1.5-2.99: 1000 units over 5 mins • INR 3-4.99: 2000 units over 10 mins • INR ≥ 5: 3000 units over15 mins (this is max dose) • If INR unknown and serious bleeding  2000 units over 10 mins Fresh Frozen Plasma CONTENTS • All clotting factors + fibrinogen • INR of FFP = 1.6 INDICATION • Liver disease and bleeding and INR > 1.5 • Warfarin reversal if no PCC OR patient has hx of HITT **DON’T give plasma for: • Bleeding/procedure & INR < 1.5 • NOT bleeding and INR > 1.5 DOSE and PRACTICAL TIPS • 15 cc/kg round to nearest 250 mL • Each unit of 250 mL will increase factor levels by 20% • Max. effect only 5-6 hrs corresponding to shortest half-life (factor VII!) • Beware of transfusion reactions • TACO, TRALI, AHTR • Minor urticarial  give anti-histamine, NOT a contraindication to more plasma
  • 37.
    DOACs and bleeding •General tips • Local measures • TXA 1g IV q8h • When was the last dose and what is their creatinine clearance? It may already be out of their system! • Rivaroxaban or Apixaban • If likely to still have anti-Xa on board: PCC 50 IU/kg or 2000 IU • (andaxanet alfa) • DABIGATRAN • Idarucizumab 5g IV (2 vials)
  • 38.
    Case 2 • 19M presents with weakness in left leg and flank bruising. No trauma. • PMHx: • History of intermittent joint swelling and pain since childhood • Meds: nil • FMHx: younger brother had appendectomy last year and required +++ blood transfusions • O/E: HR 110, BP 120/80, T 36.8, RR 22, O2 100%
  • 39.
    Case continued PTT 50s INR 1 Mixing study: PTT CORRECTS Factor VIII level < 1%, Factor XI level 80% • consistent with Hemophilia A Overview of treatment • Factor replacement (recombinant or plasma-derived) • Cryoprecipitate (or Fresh frozen plasma)
  • 40.
    Hemophilia A andB • Hemophilia A • FVIII deficiency • Prevalence 1/5 000 • X-linked inheritance • Hemophilia B • FIX deficiency • Prevalence 1/30 000 • X-linked inheritance • Classified by severity • World Federation of Hemophilia updated guidelines 2013 Severity Factor Level Bleeding Episodes Severe < 1% Spontaneous bleeding into joints or muscles, predominantly in the absence of identifiable hemostatic challenge Moderate 1-5% Occasional spontaneous bleeding; prolonged bleeding with minor trauma or surgery Mild 5-40% Severe bleeding with major trauma or surgery. Spontaneous bleeding is rare.
  • 41.
    Principles of TreatingBleeding Hemophilia Patient • Acute bleeds should be treated as soon as possible, preferably within 2 hours. If in doubt, treat. • In severe bleeding that may be life-threatening, treat with factor immediately even before diagnostic assessment is completed • Watch for critical sites that can be life- or limb-threatening (ex. neurovascular compromise in MSK bleeding) – may still need surgical opinion • Tranexamic acid • Specific factor replacement • If not available, can use cryoprecipitate or FFP if hemophilia A, and FFP if hemophilia B
  • 42.
    How To DoseFactor Concentrate Disease Half-Life Yield Products Hemophilia A (VIII) 8-12 hours 2% / u / kg Kogenate Advate Hemophilia B (IX) 18-24 hours 0.5-1% / u / kg Benefix
  • 43.
    How To DoseFactor Concentrate Bleed Severity Example Treatment Target Dosing (if severe deficiency) Major GI Bleed Retroperit. Bleed CNS Bleed 80-100% HA = 50 u/kg HB = 100 u/kg Moderate Hemarthrosis 60-80% HA = 30 u/kg HB = 60 u/kg Minor Dental Work 50-60% Consider DDAVP Tranexamic Acid
  • 44.
    If specific factorreplacement unavailable: • What contains VIII • Cryoprecipitate (VIII, XIII, FBG, VWF) • DDAVP (boosts plasma levels of FVIII and VWF) – 0.3 mcg/kg IV or SC can raise FVIII by 3-6 times • What contains IX • Prothrombin Complex Concentrate • What contains (or helps) both • FFP – 1 cc FFP contains 1 unit of factor activity, but difficult to achieve FVIII or FIX levels above 25-30% • (Tranexamic Acid)
  • 45.
    So how muchfactor does our patient need? • Assuming weight is 70 kg • Assume close to 0% VIII activity • Factor VIII 70 kg x 2% /u / kg = 70 kg x 50 u / kg = 3500 units IV
  • 46.
    How long totreat for? • Hemarthrosis – 1-2 treatments (40-60%) • Muscle hemorrhage – 2-3 days, sometimes much longer if at critical site or if rehabilitation needed • Throat / neck – 7-14 days • UGIB – 7-14 days • CNS – 7-21 days • World Federation of Hemophilia Recommendations
  • 47.
    Case 3 • A23 F presents to the ER after experiencing epistaxis and easy bruising for three days. She noted petechiae on her arms and legs • Exam reveals: • Wet purpura • Petechiae, ecchymoses • Normal spleen size
  • 48.
    Investigations: • CBC: Hg120, WBC 10, Platelets 2 • Biochemistry: Electrolytes N, Creatinine 80 • Coags: Fibrinogen 2, INR 1, PTT 30
  • 49.
    Life-threatening thrombocytopenia • Thromboticmicroangiopathies (look for anemia, AKI, blood film!) • TTP • aHUS • DIC (always do PT/PTT/fibrinogen in thrombocytopenic patient) • HELPP • Isolated thrombocytopenia • ITP • HIT (if recent heparin exposure) • Malignancy: Acute leukemia
  • 51.
    Immune Thrombocytopenia (ITP) •Diagnosis of exclusion • An acquired immune-mediated disorder • Isolated thrombocytopenia • Platelet count less than 100 * 109/L, and the absence of any obvious initiating and/or underlying cause • Clinically: mucocutaneous bleeding. ICH rare (estimates 1.5%) but fatal
  • 52.
    Investigations • Exclude otherdiagnoses • Look for secondary cause! • HIV, HCV, H.pylori • Ancillary • APLA, ANA • Quantitative Ig (look for CVID) • DAT, IAT • Bone marrow if older, no response to steroids, clinical concern RE: malignancy
  • 53.
    Emergency Management ofITP 1. SUPPORTIVE MEASURES • Tranexamic acid 500-1000 mg PO TID if bleeding • Platelet transfusion in life/limb threatening 2. STEROIDS • Prednisone 1 mg/kg PO OD OR dexamethasone 40 mg PO OD * 4 days 3. IVIG if need a rapid platelet count increase • IVIG 1 g/kg * 2 days • NB. Risks of IVIG • May use Anti-D alternatively (50-75 mcg/kg IV) in RH + non- splenectomized patients • Concern for hemolysis
  • 54.
    Transfusion Thresholds forThrombocytopenia • Non active bleeding - nonimmune • Active bleeding or going for OR • CNS bleed, eye bleed • For patients in DIC, try to keep counts NOT evidence based!! 10 50 100 > 30- 50
  • 55.
    Objectives Review the mechanismsbehind normal and abnormal hemostasis Develop an approach to the patient with bleeding Discuss specific hemostatic scenarios and challenges
  • 56.
    Conclusions • 3 cases 1.Bleeding on anticoagulants 2. Inherited factor deficiencies 3. Bleeding and thrombocytopenia • Give tranexamic acid unless contraindicated – improves outcomes in all studied groups • Always evaluate for causes and consequences of bleeding • History crucial in patients with abnormal bleeding
  • 57.
    Thank you! • You’vestopped the bleeding!