Gastrointestinal Stromal
Tumours
Dr Priyageet Kaur
Introduction
• Gastrointestinal stromal tumors (GISTs) constitute a
majority of mesenchymal neoplasms of the
gastrointestinal (GI) tract and abdomen.
• Pathologic activation of KIT signal transduction appears
to be a central event in GIST pathogenesis
How did the concept of GIST
evolve?
• Mazur and Clark introduced the term stromal tumour in
1983 after they failed to find ultrastructural evidence of
smooth muscle or nerve sheath differentiation
• Tumours with unequivocal smooth muscle derivation are
most commonly seen in esophagus and rectum
• The lack of unequivocal smooth muscle derivation +
presence of positivity for markers not indicative of
smooth muscle origingave rise to concept of GIST
• Formerly regarded as leiomyomas and
leiomyosarcomas based on morphology
• Subsequent IHC & ultrastructural study showed
that true e/o smooth muscle differentiation was
infrequent in gastric and small intestinal stromal
tumours- Desmin expression was unusual
• Thus GIST was introduced
Incidence and distribution
• GISTs represent about 1% of all GI
malignancies
• Malignant GISTs are rare with an
incidence of about 5 million of population
• Adults --- 50-60 years (mc age group)
• Incidence of GISTs (location-wise)
- 5% esophageal
- 50-70% stomach
- 25-40% small intestine
10-20% duodenum
27-37% jejunum
27-53% ileum
- <10% colorectal----------– 50% colonic;
50% rectal
- Rare omentum, peritoneum,
retroperitoneum
Nature and differentiation
• Originally arised from interstitial cell of Cajal (ICC)
• KIT-positive & CD34 positive fibroblast-like cells
• Pacemaker cells of the gut--- Regulate GI motility
• Location-
– Auerbach’s plexus of stomach, SI & colon
– Intercalated between intramural neurons and smooth
muscle cells
– Generate electrical slow waves
• Loss of ICC function has been implicated in diabetic
gastroenteropathy, gastroenteric arrhythmia, and
Hirschsprung’s disease
Clinical features
-Gastrointestinal bleeding or vague ulcer-like pain
are the most common symptoms of GIST.
-Anemia due to chronic bleeding
-Those GISTs that do not cause ulceration
can grow into a large size with little symptoms.
-palpable abdominal masses
-intestinal perforation.
-disseminated intra-abdominal tumor.
Macroscopic features
• Usually present as
single intramural
tumours
- Ulceration seen more in
endophytic tumours often
with a central crater
- Ulceration can occur in
entirely benign tumours
and does not necessarily
suggest malignancy
Polypoid mass with a large central scar
• Extramural
component
-may be attached to the
stomach by a thin
isthmus
• Both endophytic &
exophytic components
can also be present-
dumbbell shape
GIST in the mesentery of a 50 y/o female who presented with an abdominal
mass. The resected loop of small intestine measured 70 cm in length and
contained a 30 x 20 x 13 cm fleshy tumor with hemorrhagic surface.
GIST in the stomach
Cut surface
• Characteristically grey in colour (without the
typical whorling pattern typical of leiomyomas)
• Granular or rubbery
• Circumscribed but not encapsulated
• Coursing bvs may be seen
• Malignant GISTs tend to be whiter in color-
increased cellularity & are more likely to show
areas of necrosis, hghe & myxoid degeneration.
An ulcerated GIST originating in the muscle layer
Microscopic features
• Location:
1. submucosal
2. intramuscular– muscularis propria
Often the muscularis appears hypertrophic with
muscle bundles present within the tumour &
forming muscular septa that may divide the
tumour into lobules.
3. subserosal—predominantly in exophytic
tumours
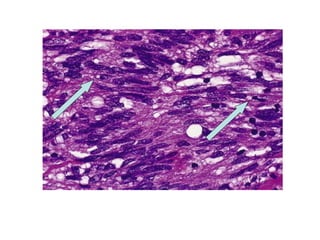
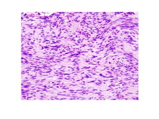
Spindle shaped
• About 70% of gastric GISTs and majority of the
rest of the bowel are spindle- celled tumours.
• Oval uniform blunt-ended nuclei with
abundant amphophilic or eosinophilic
slightly fibrillary cytoplasm
• Pattern: cellular sheets or fascicles with whorled
storiform or palisaded patterns
GIST: Major Morphologic
Patterns
Spindle Cell (70%) Epithelioid (9%)
urtesy of Dr. C. Corless.
Other-> mixed 21%
Spindle cell GIST with short
fascicles & whorls
Spindle cell GIST with longer
fascicles in bundles
• Hyalinisation & myxoid
degeneration,
hemorrhage & even
necrosis may all occur in
varying proportions in
otherwise benign
tumours
• Mitotic activity is low &
usually behave in a
benign fashion
• Features s/o
smooth muscle
differentiation
such as
perinuclear
vacuoles may
be present but
should not invite
a diagnosis of
leiomyoma in
the absence of
IHC evidence Spindle cell GIST showing characteristic cytoplasmic
vacuoles indenting the nuclear poles
Spindle cell GIST with prominent nuclear palisading
Epithelioid GISTs
• Most occur in the fundus of the stomach
• These are the commonest GISTs prominent in
the antrum
• Rounded cells with abundant prominent
cleared cytoplasm & well defined cell borders
• The tumour cells are arranged in sheets or
packets , rather than fascicles; & tend to be
oriented in a perivascular pattern
Epithelioid GIST with more
pleomorphic nuclei & deeply
acidophilic cytoplasm
Epithelioid GIST with round cells,
clear cytoplasm & well defined cell
borders
Epithelioid GIST with pleomorphic
nuclei & clear vacuolated
cytoplasm
Epithelioid GIST with rhabdoid
features
• Hyalinisation & myxoid change are common
• Cellular pleomorphism is characteristic -large
bizarre nuclei are often present this per se
does not indicate malignancy
• Malignant epithelioid GISTs tend to have smaller
cells with less vacuolated cytoplasm
• They have more monotonous nuclei- cells
appear clustered with an alveolar pattern
GIST with abundant myxoid matrix separating the
individual tumour cells
GIST with numerous multinucleated
giant cells
• Criteria for malignancy is based on
proliferative indices, tumour size &
infiltrative pattern
Genetics-KIT Gene and Protein and
Their
Alterations in GIST
• KIT gene, mapped to 4q12, encodes a 145 -
160kDa protein, a transmembrane tyrosine
kinase receptor (RTK) for stem cell factor (SCF,
previously also called Steel factor).
• KIT displays extensive homology with other
members of RTK type III family, such as platelet-
derived growth factor receptors (PDGFR),
colony-stimulating factor-1 receptor (CSF1R)
and FMS-related tyrosine kinase 3 (FLT3).
• Activation of KIT leads to downstream
phosphorylation of substrate proteins and
subsequently activates networks of signal
transduction pathways which regulate
important cell functions including proliferation,
apoptosis, chemotaxis and adhesion.
• KIT expression is critical for the development
and maintenance of mast cells, hematopoietic
stem cells, melanocytes, gametocytes, and ICCs
in the GI tract.
• Structurally similar, constitutional, inheritable
germline mutations have been found in patients
with familial GISTs.
• In GISTs, the majority of KIT mutations have
been identified in the juxtamembrane
domain, exon 11.
• In addition, mutations in the extracellular (exon
9) and tyrosine kinase domains (exons 13, 14
and 17) have also been reported.
• Type of KIT mutation may have an impact of
Imatinib treatment.
• GISTs with KIT mutations affecting extracellular
(exon 9) and tyrosine kinase domains (exons 13
& 14) may not respond to tyrosine kinase
inhibitors equally well as do tumors with mutated
KIT juxtamembrane domain (exon 11)
Alternative receptor tyrosine kinase mutations
in PDGFRA
Approximately 35% of GISTs negative for KIT mutations
were recently shown to have activating mutations in the
PDGFRA gene encoding the platelet derived growth factor
alpha leading to similar signaling consequences as KIT
mutations did.
Notably, tyrosine kinase inhibitor Imanitib also inhibits
PDGFR kinase.
Behaviour –general
• Malignant GISTs recur locally and spread mainly to
adjacent organs, omentum or mesentery,
retroperitoneum & liver
• Less commonly 0-15% to LN or rarely bone
• Distinction between benign & malignant cannot be made
with certainty:
1. poorly differentiated tumours do not always behave in a
malignant fashion
2. very small GISTs in some locations have been recorded
to metastasize
3. even the blandest looking tumours can recur esp wen
large even after 20-30 years
Gross appearance of liver metastasis from GIST
Esophagus
• GISTs account for 25% of esophageal stromal
tumours
• Lower third or GEJ
• Pred in males
• Spindled or epithelioid
• Majority are aggressive
Stomach
• Gastric GISTs are more frequent in males
• Young patients esp females have a better
outcome
• Epithelioid GISTs – 11% of gastric GISTs, of
which 73- 81% behave in a benign fashion
• Large tumours in the fundus or cardiac area and
posterior wall are more likely to be aggressive
Duodenum
• Mc in the second part
• 35-50% are malignant
• Cellular, have more than 2 mitoses per hpf
• Greater than 45mm in diameter
Jejunum and ileum
• Worse outcomes than gastric GISTs
Extragastrointestinal GISTs
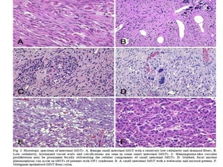
Immunohistochemistry
• ~95% of reported cases of
GIST are positive for KIT
(CD117)
• Other markers often positive
in GIST
– CD34
(mesenchymal/hematopoietic
precursor cell marker)
• Positive in 60%-70%
– Smooth-muscle actin
• Focal-Positive in 25%-
40%
– S-100
• Positive in 10%
• GIST rarely express desmin.
Different KIT staining
patterns in GIST
Courtesy of Dr. C. Corless.
Miettinen and Lasota. Virchows Arch. 2001;438:1.
GIST with strong and diffuse cytoplasmic staining of CD117 (c-kit)
• The most convincing pattern of CD117 positivity
is one featuring a cell membrane component
in addition to a cytoplasmic one
• The presence of CD117 immunoreactivity in a
tumor does not necessarily indicate that a
mutation of the gene is present. Conversely, a
CD117 mutation can exist in the absence of the
immunohistochemically detectable marker.
A. Spindle cell GIST with strong and diffuse cytoplasmic staining
of CD117 (c-kit) (×400);
B. Spindle cell GIST with strong and diffuse membrane staining of
CD34 (×400)
Epithelioid cell GIST with strong cytoplasmic staining
of CD117 (×100)
Epithelioid cell GIST with patchy and heterogeneous
staining of CD34 (×400)
Epithelioid cell GIST with punctate staining of h-
Caldesmon (×100)
Epithelioid cell GIST with patchy mambrane staining of
h-Caldesmon (×400)
Treatment
• The primary treatment of GIST consists of
surgical excision of the tumour with a good
margin of normal tissue
• Wide resection of LN areas is not indicated
because of the extreme rarity of LN metastasis.
• Gene product targeted therapy
• Imatinib (Glivec), a 2-phenylaminopyrimidine
derivative, a selective inhibitor of c-abl, c-kit &
PDGFR tyrosine kinases.
Prognostic indicators
• Mitotic activity & tumour size
• Site
• Proliferation markers ( Ki-67)
• Pattern of differentiation
• Loss of p16 regulator, loss of CD44 expression
& overexpression of HSPsunfavourable
factors
• Presence and type of KIT mutation
• Presence of PDGFR mutation
• Other molecular genetic features
Differential diagnosis
• Intramural
leiomyoma
1. Most common in the
esophagus
2. Composed of well
differentiated smooth
muscle cells, and usually
much less cellular than
GIST; focal atypia may
occur.
3. Smooth muscle actin and
desmin-positive
4. CD117 and CD34-
negative
• Leiomyoma of
muscularis
mucosae
1. Usually endoscopically
diagnosed as an incidental
diminutive polyp in colon or
rectum of older adults.
2. Composed of well-
differentiated smooth
muscle cells merging with
muscularis mucosae and
usually covered by intact
mucosa.
3. Focal atypia may occur, but
behavior is benign.
• Retroperitoneal &
peri-intestinal
leiomyoma
1. Occurs nearly exclusively in
adult women, histologically
similar to uterine leiomyoma.
2. Can form a large
retroperitoneal tumor or
smaller nodule attached to
external aspect of intestines,
usually colon or rectum.
3. Positive for actins, desmin
and estrogen and
progesterone receptors
• Leiomyosarco
ma
1. Rare in stomach and
intestines (at most 5 -
10% of GISTs), but
retroperitoneum is a
common site.
2. Usually occurs in older
adults, with a significant
female predominance in
retroperitoneal tumors
• Histologically usually
composed of well-
differentiated smooth
muscle cells, but may
be focally pleomorphic.
• Immunohistochemically
typically positive for
smooth muscle actins
and desmin.
• Inflammatory
myofibroblastic
tumour
1. gastric or intestinal
mass simulating a
GIST.
2. More often omental or
mesenteric.
3. Spindled or slightly
epithelioid cells with
amphophilic cytoplasm
and cytoplasmic
processes.
4. Has ALKgene
expression and
rearrangements.
• Schwannomas
1. Usually a relatively small (<5
cm), yellow circumscribed
submucosal tumor, most
commonly in the stomach and
secondly in the colon.
2. Slender, often bundled S100-
protein positive spindle
cells.
3. GFAP-positivity is typical;
this is almost never seen in
GISTs
• Inflammatory
fibrous polyp
1. Spindle cell lesion, mc
seen in the small
intestine of adults as an
ulcerated intraluminal
polyp.
2. oval or slender spindle
cells in highly vascular
granulation tissue-like
stroma
3. Some examples are
CD34-positive, but all
are KIT-negative.
4. Smooth muscle actin
positivity is possible;
negative for desmin
• Glomus tumour
1. Conceptually identical
with glomus tumor of
peripheral soft tissue.
2. Occurs almost
exclusively in the
stomach in the GI-
tract, mostly in the
antrum.
3. Round tumor cells
arranged around
prominent, often
dilated vessels.
• Immunohistoche
mically positive
for smooth
muscle actin and
negative for
desmin.
• Variably CD34-
positive,but is
KIT-negative
• Fibromatosis/mesenteri
c desmoid
1. Can be extraintestinal or have
GIST-like gastric or intestinal
wall involvement. Grossly very
firm and white.
2. Histologically composed of
fibroblasts and myofibroblasts in
collagenous, often focally
myxoid background.
3. CD34-negative; can be focally
smooth muscle actin and
desmin positive
• Solitary fibrous
tumour
1. May present on the
peritoneal surfaces, pelvis
or occasionally in the liver.
2. Collagenous spindle cell
tumor, often with a focal
hemangiopericytoma-like
pattern.
3. Nearly always CD34-
positive and negative for
smooth muscle actin and
desmin
• Spindle cell carcinoma
• Follicular dendritic cell sarcoma
• PEComas
• Mesothelioma
• Dedifferentiated liposarcoma
Thank you!

Gastrointestinal stromal tumours ppt

  • 1.
  • 2.
    Introduction • Gastrointestinal stromaltumors (GISTs) constitute a majority of mesenchymal neoplasms of the gastrointestinal (GI) tract and abdomen. • Pathologic activation of KIT signal transduction appears to be a central event in GIST pathogenesis
  • 3.
    How did theconcept of GIST evolve? • Mazur and Clark introduced the term stromal tumour in 1983 after they failed to find ultrastructural evidence of smooth muscle or nerve sheath differentiation • Tumours with unequivocal smooth muscle derivation are most commonly seen in esophagus and rectum • The lack of unequivocal smooth muscle derivation + presence of positivity for markers not indicative of smooth muscle origingave rise to concept of GIST
  • 4.
    • Formerly regardedas leiomyomas and leiomyosarcomas based on morphology • Subsequent IHC & ultrastructural study showed that true e/o smooth muscle differentiation was infrequent in gastric and small intestinal stromal tumours- Desmin expression was unusual • Thus GIST was introduced
  • 5.
    Incidence and distribution •GISTs represent about 1% of all GI malignancies • Malignant GISTs are rare with an incidence of about 5 million of population • Adults --- 50-60 years (mc age group)
  • 6.
    • Incidence ofGISTs (location-wise) - 5% esophageal - 50-70% stomach - 25-40% small intestine 10-20% duodenum 27-37% jejunum 27-53% ileum - <10% colorectal----------– 50% colonic; 50% rectal - Rare omentum, peritoneum, retroperitoneum
  • 7.
    Nature and differentiation •Originally arised from interstitial cell of Cajal (ICC) • KIT-positive & CD34 positive fibroblast-like cells • Pacemaker cells of the gut--- Regulate GI motility • Location- – Auerbach’s plexus of stomach, SI & colon – Intercalated between intramural neurons and smooth muscle cells – Generate electrical slow waves • Loss of ICC function has been implicated in diabetic gastroenteropathy, gastroenteric arrhythmia, and Hirschsprung’s disease
  • 8.
    Clinical features -Gastrointestinal bleedingor vague ulcer-like pain are the most common symptoms of GIST. -Anemia due to chronic bleeding -Those GISTs that do not cause ulceration can grow into a large size with little symptoms. -palpable abdominal masses -intestinal perforation. -disseminated intra-abdominal tumor.
  • 9.
    Macroscopic features • Usuallypresent as single intramural tumours - Ulceration seen more in endophytic tumours often with a central crater - Ulceration can occur in entirely benign tumours and does not necessarily suggest malignancy
  • 10.
    Polypoid mass witha large central scar
  • 11.
    • Extramural component -may beattached to the stomach by a thin isthmus • Both endophytic & exophytic components can also be present- dumbbell shape
  • 13.
    GIST in themesentery of a 50 y/o female who presented with an abdominal mass. The resected loop of small intestine measured 70 cm in length and contained a 30 x 20 x 13 cm fleshy tumor with hemorrhagic surface.
  • 14.
    GIST in thestomach
  • 15.
    Cut surface • Characteristicallygrey in colour (without the typical whorling pattern typical of leiomyomas) • Granular or rubbery • Circumscribed but not encapsulated • Coursing bvs may be seen • Malignant GISTs tend to be whiter in color- increased cellularity & are more likely to show areas of necrosis, hghe & myxoid degeneration.
  • 17.
    An ulcerated GISToriginating in the muscle layer
  • 19.
    Microscopic features • Location: 1.submucosal 2. intramuscular– muscularis propria Often the muscularis appears hypertrophic with muscle bundles present within the tumour & forming muscular septa that may divide the tumour into lobules. 3. subserosal—predominantly in exophytic tumours
  • 20.
    Spindle shaped • About70% of gastric GISTs and majority of the rest of the bowel are spindle- celled tumours. • Oval uniform blunt-ended nuclei with abundant amphophilic or eosinophilic slightly fibrillary cytoplasm • Pattern: cellular sheets or fascicles with whorled storiform or palisaded patterns
  • 23.
    GIST: Major Morphologic Patterns SpindleCell (70%) Epithelioid (9%) urtesy of Dr. C. Corless. Other-> mixed 21%
  • 24.
    Spindle cell GISTwith short fascicles & whorls Spindle cell GIST with longer fascicles in bundles
  • 25.
    • Hyalinisation &myxoid degeneration, hemorrhage & even necrosis may all occur in varying proportions in otherwise benign tumours • Mitotic activity is low & usually behave in a benign fashion
  • 26.
    • Features s/o smoothmuscle differentiation such as perinuclear vacuoles may be present but should not invite a diagnosis of leiomyoma in the absence of IHC evidence Spindle cell GIST showing characteristic cytoplasmic vacuoles indenting the nuclear poles
  • 27.
    Spindle cell GISTwith prominent nuclear palisading
  • 28.
    Epithelioid GISTs • Mostoccur in the fundus of the stomach • These are the commonest GISTs prominent in the antrum • Rounded cells with abundant prominent cleared cytoplasm & well defined cell borders • The tumour cells are arranged in sheets or packets , rather than fascicles; & tend to be oriented in a perivascular pattern
  • 29.
    Epithelioid GIST withmore pleomorphic nuclei & deeply acidophilic cytoplasm Epithelioid GIST with round cells, clear cytoplasm & well defined cell borders
  • 30.
    Epithelioid GIST withpleomorphic nuclei & clear vacuolated cytoplasm Epithelioid GIST with rhabdoid features
  • 31.
    • Hyalinisation &myxoid change are common • Cellular pleomorphism is characteristic -large bizarre nuclei are often present this per se does not indicate malignancy • Malignant epithelioid GISTs tend to have smaller cells with less vacuolated cytoplasm • They have more monotonous nuclei- cells appear clustered with an alveolar pattern
  • 32.
    GIST with abundantmyxoid matrix separating the individual tumour cells
  • 33.
    GIST with numerousmultinucleated giant cells
  • 34.
    • Criteria formalignancy is based on proliferative indices, tumour size & infiltrative pattern
  • 36.
    Genetics-KIT Gene andProtein and Their Alterations in GIST • KIT gene, mapped to 4q12, encodes a 145 - 160kDa protein, a transmembrane tyrosine kinase receptor (RTK) for stem cell factor (SCF, previously also called Steel factor). • KIT displays extensive homology with other members of RTK type III family, such as platelet- derived growth factor receptors (PDGFR), colony-stimulating factor-1 receptor (CSF1R) and FMS-related tyrosine kinase 3 (FLT3).
  • 37.
    • Activation ofKIT leads to downstream phosphorylation of substrate proteins and subsequently activates networks of signal transduction pathways which regulate important cell functions including proliferation, apoptosis, chemotaxis and adhesion. • KIT expression is critical for the development and maintenance of mast cells, hematopoietic stem cells, melanocytes, gametocytes, and ICCs in the GI tract.
  • 38.
    • Structurally similar,constitutional, inheritable germline mutations have been found in patients with familial GISTs. • In GISTs, the majority of KIT mutations have been identified in the juxtamembrane domain, exon 11. • In addition, mutations in the extracellular (exon 9) and tyrosine kinase domains (exons 13, 14 and 17) have also been reported.
  • 39.
    • Type ofKIT mutation may have an impact of Imatinib treatment. • GISTs with KIT mutations affecting extracellular (exon 9) and tyrosine kinase domains (exons 13 & 14) may not respond to tyrosine kinase inhibitors equally well as do tumors with mutated KIT juxtamembrane domain (exon 11)
  • 40.
    Alternative receptor tyrosinekinase mutations in PDGFRA Approximately 35% of GISTs negative for KIT mutations were recently shown to have activating mutations in the PDGFRA gene encoding the platelet derived growth factor alpha leading to similar signaling consequences as KIT mutations did. Notably, tyrosine kinase inhibitor Imanitib also inhibits PDGFR kinase.
  • 41.
  • 42.
    • Malignant GISTsrecur locally and spread mainly to adjacent organs, omentum or mesentery, retroperitoneum & liver • Less commonly 0-15% to LN or rarely bone • Distinction between benign & malignant cannot be made with certainty: 1. poorly differentiated tumours do not always behave in a malignant fashion 2. very small GISTs in some locations have been recorded to metastasize 3. even the blandest looking tumours can recur esp wen large even after 20-30 years
  • 43.
    Gross appearance ofliver metastasis from GIST
  • 44.
    Esophagus • GISTs accountfor 25% of esophageal stromal tumours • Lower third or GEJ • Pred in males • Spindled or epithelioid • Majority are aggressive
  • 45.
    Stomach • Gastric GISTsare more frequent in males • Young patients esp females have a better outcome • Epithelioid GISTs – 11% of gastric GISTs, of which 73- 81% behave in a benign fashion • Large tumours in the fundus or cardiac area and posterior wall are more likely to be aggressive
  • 46.
    Duodenum • Mc inthe second part • 35-50% are malignant • Cellular, have more than 2 mitoses per hpf • Greater than 45mm in diameter Jejunum and ileum • Worse outcomes than gastric GISTs
  • 47.
  • 48.
    Immunohistochemistry • ~95% ofreported cases of GIST are positive for KIT (CD117) • Other markers often positive in GIST – CD34 (mesenchymal/hematopoietic precursor cell marker) • Positive in 60%-70% – Smooth-muscle actin • Focal-Positive in 25%- 40% – S-100 • Positive in 10% • GIST rarely express desmin. Different KIT staining patterns in GIST Courtesy of Dr. C. Corless. Miettinen and Lasota. Virchows Arch. 2001;438:1.
  • 49.
    GIST with strongand diffuse cytoplasmic staining of CD117 (c-kit)
  • 50.
    • The mostconvincing pattern of CD117 positivity is one featuring a cell membrane component in addition to a cytoplasmic one • The presence of CD117 immunoreactivity in a tumor does not necessarily indicate that a mutation of the gene is present. Conversely, a CD117 mutation can exist in the absence of the immunohistochemically detectable marker.
  • 51.
    A. Spindle cellGIST with strong and diffuse cytoplasmic staining of CD117 (c-kit) (×400); B. Spindle cell GIST with strong and diffuse membrane staining of CD34 (×400)
  • 52.
    Epithelioid cell GISTwith strong cytoplasmic staining of CD117 (×100)
  • 53.
    Epithelioid cell GISTwith patchy and heterogeneous staining of CD34 (×400)
  • 54.
    Epithelioid cell GISTwith punctate staining of h- Caldesmon (×100)
  • 55.
    Epithelioid cell GISTwith patchy mambrane staining of h-Caldesmon (×400)
  • 56.
    Treatment • The primarytreatment of GIST consists of surgical excision of the tumour with a good margin of normal tissue • Wide resection of LN areas is not indicated because of the extreme rarity of LN metastasis. • Gene product targeted therapy • Imatinib (Glivec), a 2-phenylaminopyrimidine derivative, a selective inhibitor of c-abl, c-kit & PDGFR tyrosine kinases.
  • 57.
    Prognostic indicators • Mitoticactivity & tumour size • Site • Proliferation markers ( Ki-67) • Pattern of differentiation • Loss of p16 regulator, loss of CD44 expression & overexpression of HSPsunfavourable factors • Presence and type of KIT mutation • Presence of PDGFR mutation • Other molecular genetic features
  • 59.
    Differential diagnosis • Intramural leiomyoma 1.Most common in the esophagus 2. Composed of well differentiated smooth muscle cells, and usually much less cellular than GIST; focal atypia may occur. 3. Smooth muscle actin and desmin-positive 4. CD117 and CD34- negative
  • 60.
    • Leiomyoma of muscularis mucosae 1.Usually endoscopically diagnosed as an incidental diminutive polyp in colon or rectum of older adults. 2. Composed of well- differentiated smooth muscle cells merging with muscularis mucosae and usually covered by intact mucosa. 3. Focal atypia may occur, but behavior is benign.
  • 61.
    • Retroperitoneal & peri-intestinal leiomyoma 1.Occurs nearly exclusively in adult women, histologically similar to uterine leiomyoma. 2. Can form a large retroperitoneal tumor or smaller nodule attached to external aspect of intestines, usually colon or rectum. 3. Positive for actins, desmin and estrogen and progesterone receptors
  • 62.
    • Leiomyosarco ma 1. Rarein stomach and intestines (at most 5 - 10% of GISTs), but retroperitoneum is a common site. 2. Usually occurs in older adults, with a significant female predominance in retroperitoneal tumors
  • 63.
    • Histologically usually composedof well- differentiated smooth muscle cells, but may be focally pleomorphic. • Immunohistochemically typically positive for smooth muscle actins and desmin.
  • 64.
    • Inflammatory myofibroblastic tumour 1. gastricor intestinal mass simulating a GIST. 2. More often omental or mesenteric. 3. Spindled or slightly epithelioid cells with amphophilic cytoplasm and cytoplasmic processes. 4. Has ALKgene expression and rearrangements.
  • 65.
    • Schwannomas 1. Usuallya relatively small (<5 cm), yellow circumscribed submucosal tumor, most commonly in the stomach and secondly in the colon. 2. Slender, often bundled S100- protein positive spindle cells. 3. GFAP-positivity is typical; this is almost never seen in GISTs
  • 66.
    • Inflammatory fibrous polyp 1.Spindle cell lesion, mc seen in the small intestine of adults as an ulcerated intraluminal polyp. 2. oval or slender spindle cells in highly vascular granulation tissue-like stroma 3. Some examples are CD34-positive, but all are KIT-negative. 4. Smooth muscle actin positivity is possible; negative for desmin
  • 67.
    • Glomus tumour 1.Conceptually identical with glomus tumor of peripheral soft tissue. 2. Occurs almost exclusively in the stomach in the GI- tract, mostly in the antrum. 3. Round tumor cells arranged around prominent, often dilated vessels.
  • 68.
    • Immunohistoche mically positive forsmooth muscle actin and negative for desmin. • Variably CD34- positive,but is KIT-negative
  • 69.
    • Fibromatosis/mesenteri c desmoid 1.Can be extraintestinal or have GIST-like gastric or intestinal wall involvement. Grossly very firm and white. 2. Histologically composed of fibroblasts and myofibroblasts in collagenous, often focally myxoid background. 3. CD34-negative; can be focally smooth muscle actin and desmin positive
  • 70.
    • Solitary fibrous tumour 1.May present on the peritoneal surfaces, pelvis or occasionally in the liver. 2. Collagenous spindle cell tumor, often with a focal hemangiopericytoma-like pattern. 3. Nearly always CD34- positive and negative for smooth muscle actin and desmin
  • 71.
    • Spindle cellcarcinoma • Follicular dendritic cell sarcoma • PEComas • Mesothelioma • Dedifferentiated liposarcoma
  • 72.

Editor's Notes

  • #25 The major histologic patterns of GIST are spindle cell and epithelioid. GIST with a spindle cell morphology often will appear syncytial while clear cell borders are common in epithelioid GIST. Gastric GIST are often of spindle cell morphology, with the epithelioid GIST often historically misclassified as myoblastomas. GIST of the small intestine are primarily of spindle cell morphology. A salient feature of small intestine GIST, especially those of lower risk, is the presence of aggregates of collagen fibers known as skeinoid fibers. In contrast, epithelioid GIST of the small intestine are generally of high risk. Spindle cell morphologies dominate GIST at other sites.
  • #56 GIST are often defined as KIT-positive mesenchymal tumors of the GI tract. Over 90% of reported cases (but not all GIST) express KIT. KIT is a type III transmembrane receptor tyrosine kinase, the protein product of the KIT proto-oncogene. KIT is the single most common tumor marker for GIST. CD34 is a mesenchymal and hematopoietic precursor cell marker that is positive in many tumors of mesenchymal origin. It is expressed in 60% to 70% of GIST, making it a modestly sensitive and specific diagnostic GIST marker. Vimentin and smooth-muscle actin are variably expressed by GIST. Desmin is rarely present in GIST. In contrast, true smooth-muscle tumors often express high levels of desmin and smooth-muscle actin. S-100 is used to distinguish tumors of neural crest origin, such as schwannomas and melanomas, and it is particularly useful for differentiating GIST with neural phenotype (formerly GANT) from primary schwannomas.