Kurdistan Board GEH J Club:
Supervised by:
Dr. Mohamed Alshekhani
Professor in Medicine
MBChB-CABM-FRCP-EBGH 2016
1
Introduction:
• The three cancers commonly reported to be associated with
• metastasis to GIT include melanoma, lung cancer& breast cancer.
• In Taiwan HCC was the leading primary lesion.
• The primary cancer most commonly metastasizing to GIT may differ
from country to country or ethnicity to ethnicity.
• The incidence of GIT metastasis is rare,1/3847 in OGD ,1/1871 IN
colonoscopies.
• Incidence of metastasis in eso 0.3- 6.1%& stomach 0.2-5.4%.
• In melanoma, the incidence 43.5% in one autopsy series.
• Another review, metastasis from melanoma in liver 68%, colon
22%, stomach 20%, duodenum 12%, rectum 5%, eso 4%, anus 1%.
• Most have metastatic lesions in the gastrointestinal tract have also
had other sites of metastasis.
Introduction:
• Autopsy series record an incidence as high as 8–16% of breast
cancer metastasis to GIT with latency between the diagnosis of &
GIT metastasis few months -to years.
• Lobular BC represents a minor group of the histological subtype in
BC(10–15%), but it is the most common metastatic histological type
from BC to GIT.
• The autopsy data on GIT metastases from LC 14% incidence with
esophagus being the most common site,then SI & colon.
Introduction:
• Bloodborne mets to GIT are commonly observed in all malignancies.
• Most lesions are from malignant melanoma & BC or lung, most
commonly involve stomach & SI because of their rich blood supply.
• The radiologic appearance mainly depends on the histologic
characteristics of the lesion, including the degree of vascularity
relative to the growth rate&the desmoplastic capability.
• Although most GIT metastases are encountered in patients with
widespread metastases & known primary lesions, they may
occasionally present as the initial manifestation of an occult
primary lesion, leading to diagnostic difficulty.
• Familiarity with CT findings of blood-borne metastases to GIT &
understanding disease spread pattern in common primary cancers
will help in detecting metastatic disease & minimizing misdiagnosis
for another metachronous malignancy.
Clinical features:
• Can be quite variable so a high index of suspicion needed even with
nonspecific symptoms in patients who have current, recent or
remote history of above-mentioned tumors.
• The presenting symptoms may be nonspecific, but the symptoms of
GIB or abd pain are the 2 most common symptoms.
• Occasionally, wt loss, dysphagia,dyspepsia ,SIO may be presenting.
• The GIB can be gross, occult, acute or chronic.
• Small bowel palpable mass from metastatic melanoma&
obstructive jaundice from metastasis to the ampulla reported.
• The mets to eso can result in dysphagia& mets to stomach can
produce dyspepsia.
• Rarely malabsorption reported due to SI mets from melanoma.
• Asymptomatic in 3–22% with SI mets from melanoma.
• LC mets to GIT involve usually SI &appear clinically more frequently
as intestinal perforation due to the to necrotic tendency .
Endoscopic features:
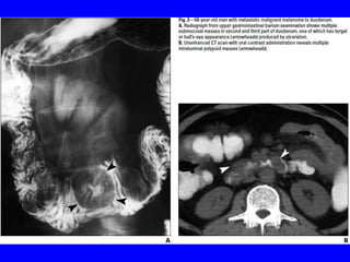
• Can be variable &can present as solitary or multiple nodular lesions.
• The appearance of these tumors as subtle mucosal changes,
multiple nodules, bull’s eye lesions, extrinsic mass lesions,
ulcerations,subepithelial growths or polypoid tumor masses
reported.
• In the stomach, solitary metastasis appears more common than
multiple.
• In one endoscopy series more frequently solitary (61.9%) rather
than multiple (38.1%)&most tumors were primary (mucosa-origin)
carcinoma-like (90.5%).
• Previous report, a submucosal tumor-like appearance of metastases
(51%) being more common than primary (mucosa-origin)
carcinoma-like lesions (39%).
• In cases of melanoma, all histologic subtypes may metastasize to
but the superficial spreading melanoma is the most common
Endoscopic features:
• Metastatic gastric &duodenal melanomas classically appear as small
submucosal nodules that may have central ulceration well-known
“target or bull’s-eye lesions” on endoscopy.
• These lesions may be either pigmented or amelanotic.
• The SI involvement with metastatic tumors is more common in
melanoma than upper or lower GIT due to its rich blood supply&
appear as intraluminal masses or serosal implants, usually
diagnosed on imaging studies.
• Metastatic breast cancer with GIT involvement represents evidence
of a systemic disease,with great variability, including lesions with a
benign appearance but also diffusely infiltrative lesions&localized
tumor formation with nodules/or ulceration.
Diagnosis:
• Can be difficult due to an often prolonged tumor-free interval &
benign appearance of the lesions &gastric metastasis may
occasionally mimic a gastric primary.
• Stomach is the most frequent GIT site for metastatic breast cancer.
• The most characteristic endoscopic finding of metastatic lobular
breast carcinoma is a linitis-plastica-like appearance,showing tumor
infiltration along the stomach wall with mural thickening of the
involved segment & submucosal infiltration,makes the diagnosis
difficult on endoscopic & imaging exams.
• Advances in imaging techniques like CT scan &EUS with guided
biopsy have aided confirmation of the diagnosis.
• The HCC with GIT metastasis is rare,only in 4–12% in autopsy,
usually present with GIB with OGD features included ulcerative
tumors mimicking advanced GC(43%) & submucosal tumors (29%)
mostly in stomach,duodenum, colon, duodenum&colon with
extremely poor prognosis.
Diagnosis:
• The GIT metastasis in RCC is very rare, duodenal,gastric metastasis
with endoscopic appearance of solitary or multiple nodules.
• The other tumors develop metastasis to GIT include malignant
pleural mesothelioma,hepatic angiosarcoma, primary
leiomyosarcoma,testicular seminoma& head / neck tumors.
Git j club secondaries.
Git j club secondaries.
Git j club secondaries.
Git j club secondaries.
Git j club secondaries.
Git j club secondaries.
Git j club secondaries.
Git j club secondaries.
Git j club secondaries.
Git j club secondaries.
Git j club secondaries.

Git j club secondaries.

  • 1.
    Kurdistan Board GEHJ Club: Supervised by: Dr. Mohamed Alshekhani Professor in Medicine MBChB-CABM-FRCP-EBGH 2016 1
  • 2.
    Introduction: • The threecancers commonly reported to be associated with • metastasis to GIT include melanoma, lung cancer& breast cancer. • In Taiwan HCC was the leading primary lesion. • The primary cancer most commonly metastasizing to GIT may differ from country to country or ethnicity to ethnicity. • The incidence of GIT metastasis is rare,1/3847 in OGD ,1/1871 IN colonoscopies. • Incidence of metastasis in eso 0.3- 6.1%& stomach 0.2-5.4%. • In melanoma, the incidence 43.5% in one autopsy series. • Another review, metastasis from melanoma in liver 68%, colon 22%, stomach 20%, duodenum 12%, rectum 5%, eso 4%, anus 1%. • Most have metastatic lesions in the gastrointestinal tract have also had other sites of metastasis.
  • 3.
    Introduction: • Autopsy seriesrecord an incidence as high as 8–16% of breast cancer metastasis to GIT with latency between the diagnosis of & GIT metastasis few months -to years. • Lobular BC represents a minor group of the histological subtype in BC(10–15%), but it is the most common metastatic histological type from BC to GIT. • The autopsy data on GIT metastases from LC 14% incidence with esophagus being the most common site,then SI & colon.
  • 4.
    Introduction: • Bloodborne metsto GIT are commonly observed in all malignancies. • Most lesions are from malignant melanoma & BC or lung, most commonly involve stomach & SI because of their rich blood supply. • The radiologic appearance mainly depends on the histologic characteristics of the lesion, including the degree of vascularity relative to the growth rate&the desmoplastic capability. • Although most GIT metastases are encountered in patients with widespread metastases & known primary lesions, they may occasionally present as the initial manifestation of an occult primary lesion, leading to diagnostic difficulty. • Familiarity with CT findings of blood-borne metastases to GIT & understanding disease spread pattern in common primary cancers will help in detecting metastatic disease & minimizing misdiagnosis for another metachronous malignancy.
  • 5.
    Clinical features: • Canbe quite variable so a high index of suspicion needed even with nonspecific symptoms in patients who have current, recent or remote history of above-mentioned tumors. • The presenting symptoms may be nonspecific, but the symptoms of GIB or abd pain are the 2 most common symptoms. • Occasionally, wt loss, dysphagia,dyspepsia ,SIO may be presenting. • The GIB can be gross, occult, acute or chronic. • Small bowel palpable mass from metastatic melanoma& obstructive jaundice from metastasis to the ampulla reported. • The mets to eso can result in dysphagia& mets to stomach can produce dyspepsia. • Rarely malabsorption reported due to SI mets from melanoma. • Asymptomatic in 3–22% with SI mets from melanoma. • LC mets to GIT involve usually SI &appear clinically more frequently as intestinal perforation due to the to necrotic tendency .
  • 6.
    Endoscopic features: • Canbe variable &can present as solitary or multiple nodular lesions. • The appearance of these tumors as subtle mucosal changes, multiple nodules, bull’s eye lesions, extrinsic mass lesions, ulcerations,subepithelial growths or polypoid tumor masses reported. • In the stomach, solitary metastasis appears more common than multiple. • In one endoscopy series more frequently solitary (61.9%) rather than multiple (38.1%)&most tumors were primary (mucosa-origin) carcinoma-like (90.5%). • Previous report, a submucosal tumor-like appearance of metastases (51%) being more common than primary (mucosa-origin) carcinoma-like lesions (39%). • In cases of melanoma, all histologic subtypes may metastasize to but the superficial spreading melanoma is the most common
  • 7.
    Endoscopic features: • Metastaticgastric &duodenal melanomas classically appear as small submucosal nodules that may have central ulceration well-known “target or bull’s-eye lesions” on endoscopy. • These lesions may be either pigmented or amelanotic. • The SI involvement with metastatic tumors is more common in melanoma than upper or lower GIT due to its rich blood supply& appear as intraluminal masses or serosal implants, usually diagnosed on imaging studies. • Metastatic breast cancer with GIT involvement represents evidence of a systemic disease,with great variability, including lesions with a benign appearance but also diffusely infiltrative lesions&localized tumor formation with nodules/or ulceration.
  • 12.
    Diagnosis: • Can bedifficult due to an often prolonged tumor-free interval & benign appearance of the lesions &gastric metastasis may occasionally mimic a gastric primary. • Stomach is the most frequent GIT site for metastatic breast cancer. • The most characteristic endoscopic finding of metastatic lobular breast carcinoma is a linitis-plastica-like appearance,showing tumor infiltration along the stomach wall with mural thickening of the involved segment & submucosal infiltration,makes the diagnosis difficult on endoscopic & imaging exams. • Advances in imaging techniques like CT scan &EUS with guided biopsy have aided confirmation of the diagnosis. • The HCC with GIT metastasis is rare,only in 4–12% in autopsy, usually present with GIB with OGD features included ulcerative tumors mimicking advanced GC(43%) & submucosal tumors (29%) mostly in stomach,duodenum, colon, duodenum&colon with extremely poor prognosis.
  • 13.
    Diagnosis: • The GITmetastasis in RCC is very rare, duodenal,gastric metastasis with endoscopic appearance of solitary or multiple nodules. • The other tumors develop metastasis to GIT include malignant pleural mesothelioma,hepatic angiosarcoma, primary leiomyosarcoma,testicular seminoma& head / neck tumors.